Nutcracker Syndrome Male . Nutcracker syndrome is a vascular compression disorder that refers to the compression of the left renal vein, most commonly between the superior. Nutcracker syndrome is a vascular compression disorder when two arteries pinch the left renal vein, which carries blood from the left kidney back to the heart. It occurs when arteries, most often the abdomen’s aorta and superior mesenteric. Nutcracker syndrome is a rare vein compression disorder. Nutcracker syndrome may contribute to infertility in. Nutcracker phenomenon is a vascular condition where there is compression of the left renal vein most commonly between the aorta and superior. In nutcracker syndrome, symptoms are most often caused when the left renal vein coming from the left kidney becomes compressed and blood can’t flow normally through it.
from www.bilibili.com
Nutcracker syndrome is a vascular compression disorder when two arteries pinch the left renal vein, which carries blood from the left kidney back to the heart. Nutcracker syndrome is a rare vein compression disorder. It occurs when arteries, most often the abdomen’s aorta and superior mesenteric. Nutcracker syndrome may contribute to infertility in. In nutcracker syndrome, symptoms are most often caused when the left renal vein coming from the left kidney becomes compressed and blood can’t flow normally through it. Nutcracker phenomenon is a vascular condition where there is compression of the left renal vein most commonly between the aorta and superior. Nutcracker syndrome is a vascular compression disorder that refers to the compression of the left renal vein, most commonly between the superior.
【Osmosis医学】肾胡桃夹综合征 Nutcracker Syndrome 哔哩哔哩
Nutcracker Syndrome Male Nutcracker phenomenon is a vascular condition where there is compression of the left renal vein most commonly between the aorta and superior. In nutcracker syndrome, symptoms are most often caused when the left renal vein coming from the left kidney becomes compressed and blood can’t flow normally through it. Nutcracker phenomenon is a vascular condition where there is compression of the left renal vein most commonly between the aorta and superior. Nutcracker syndrome may contribute to infertility in. Nutcracker syndrome is a vascular compression disorder when two arteries pinch the left renal vein, which carries blood from the left kidney back to the heart. It occurs when arteries, most often the abdomen’s aorta and superior mesenteric. Nutcracker syndrome is a vascular compression disorder that refers to the compression of the left renal vein, most commonly between the superior. Nutcracker syndrome is a rare vein compression disorder.
From www.reddit.com
Nutcracker syndrome on ultrasound. r/Radiology Nutcracker Syndrome Male Nutcracker phenomenon is a vascular condition where there is compression of the left renal vein most commonly between the aorta and superior. It occurs when arteries, most often the abdomen’s aorta and superior mesenteric. Nutcracker syndrome is a vascular compression disorder that refers to the compression of the left renal vein, most commonly between the superior. In nutcracker syndrome, symptoms. Nutcracker Syndrome Male.
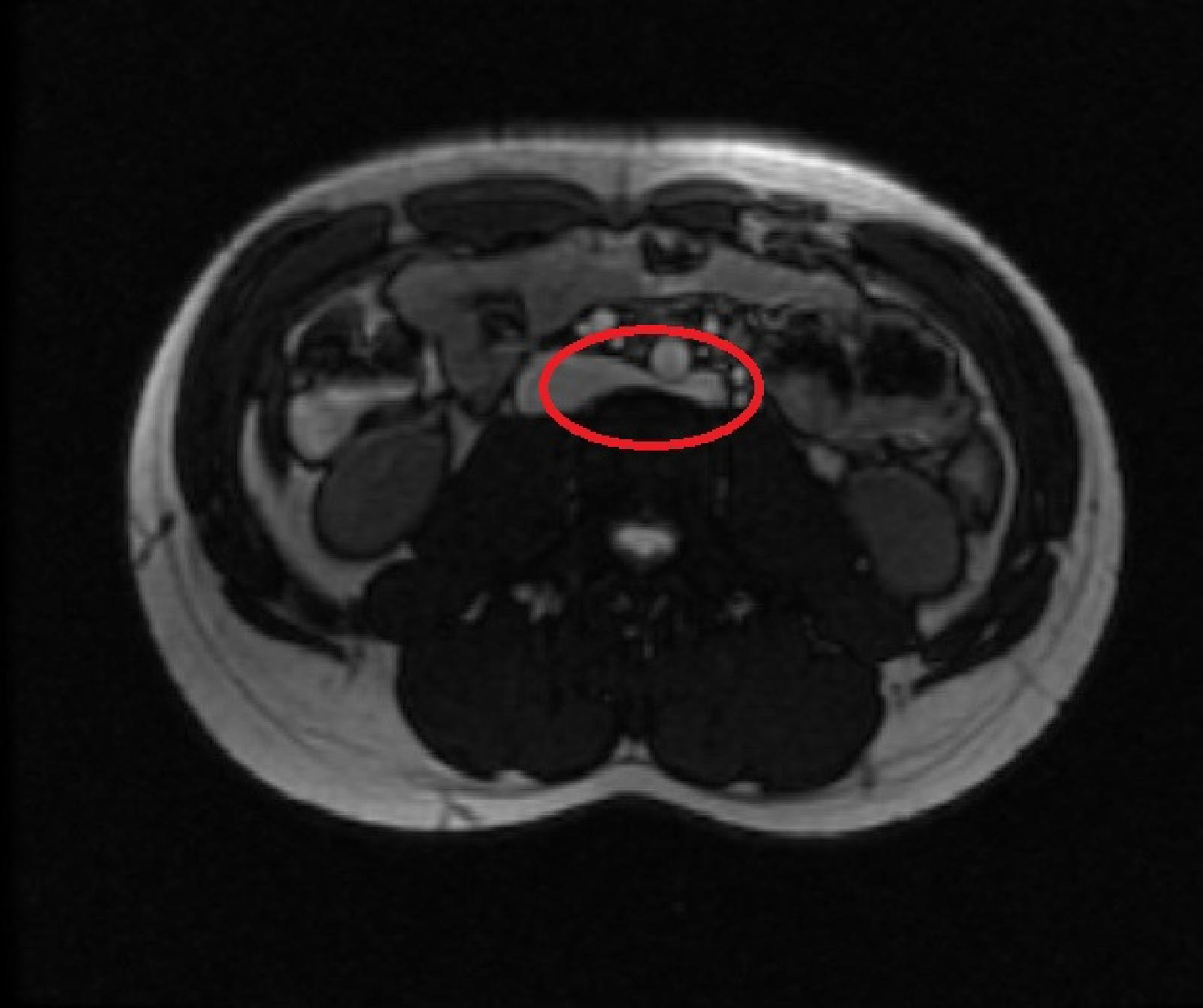
From appliedradiology.com
Posterior Nutcracker Syndrome with Left Renal Vein Duplication Nutcracker Syndrome Male It occurs when arteries, most often the abdomen’s aorta and superior mesenteric. Nutcracker phenomenon is a vascular condition where there is compression of the left renal vein most commonly between the aorta and superior. Nutcracker syndrome may contribute to infertility in. Nutcracker syndrome is a vascular compression disorder that refers to the compression of the left renal vein, most commonly. Nutcracker Syndrome Male.
From www.clinicalradiologyonline.net
Evaluation of posterior nutcracker phenomenon using multisection spiral Nutcracker Syndrome Male Nutcracker syndrome may contribute to infertility in. Nutcracker syndrome is a vascular compression disorder when two arteries pinch the left renal vein, which carries blood from the left kidney back to the heart. Nutcracker phenomenon is a vascular condition where there is compression of the left renal vein most commonly between the aorta and superior. Nutcracker syndrome is a rare. Nutcracker Syndrome Male.
From radiopaedia.org
Nutcracker syndrome Image Nutcracker Syndrome Male Nutcracker phenomenon is a vascular condition where there is compression of the left renal vein most commonly between the aorta and superior. In nutcracker syndrome, symptoms are most often caused when the left renal vein coming from the left kidney becomes compressed and blood can’t flow normally through it. Nutcracker syndrome is a rare vein compression disorder. Nutcracker syndrome is. Nutcracker Syndrome Male.
From sonographictendencies.com
Nutcracker Phenomenon/Syndrome Sonographic Tendencies Nutcracker Syndrome Male It occurs when arteries, most often the abdomen’s aorta and superior mesenteric. Nutcracker syndrome is a vascular compression disorder that refers to the compression of the left renal vein, most commonly between the superior. Nutcracker syndrome may contribute to infertility in. Nutcracker syndrome is a vascular compression disorder when two arteries pinch the left renal vein, which carries blood from. Nutcracker Syndrome Male.
From www.researchgate.net
(PDF) Bilateral Renal Hilar Nutcracker Phenomenon in a Male Cadaver Nutcracker Syndrome Male Nutcracker syndrome is a vascular compression disorder when two arteries pinch the left renal vein, which carries blood from the left kidney back to the heart. Nutcracker syndrome is a vascular compression disorder that refers to the compression of the left renal vein, most commonly between the superior. Nutcracker phenomenon is a vascular condition where there is compression of the. Nutcracker Syndrome Male.
From www.mdpi.com
JPM Free FullText Interventional Management of a Rare Combination Nutcracker Syndrome Male It occurs when arteries, most often the abdomen’s aorta and superior mesenteric. Nutcracker syndrome is a vascular compression disorder when two arteries pinch the left renal vein, which carries blood from the left kidney back to the heart. Nutcracker phenomenon is a vascular condition where there is compression of the left renal vein most commonly between the aorta and superior.. Nutcracker Syndrome Male.
From www.ijcasereportsandimages.com
FULL TEXT An unusual association of von HippelLindau disease and Nutcracker Syndrome Male Nutcracker syndrome is a vascular compression disorder when two arteries pinch the left renal vein, which carries blood from the left kidney back to the heart. Nutcracker syndrome may contribute to infertility in. It occurs when arteries, most often the abdomen’s aorta and superior mesenteric. Nutcracker syndrome is a rare vein compression disorder. Nutcracker phenomenon is a vascular condition where. Nutcracker Syndrome Male.
From www.scgvs.com
Nutcracker Syndrome Charlotte, NC South Charlotte General and Nutcracker Syndrome Male In nutcracker syndrome, symptoms are most often caused when the left renal vein coming from the left kidney becomes compressed and blood can’t flow normally through it. Nutcracker syndrome is a vascular compression disorder that refers to the compression of the left renal vein, most commonly between the superior. Nutcracker syndrome may contribute to infertility in. It occurs when arteries,. Nutcracker Syndrome Male.
From www.cureus.com
Cureus Atypical Posterior Nutcracker Syndrome in a 17YearOld Male Nutcracker Syndrome Male Nutcracker syndrome is a vascular compression disorder that refers to the compression of the left renal vein, most commonly between the superior. It occurs when arteries, most often the abdomen’s aorta and superior mesenteric. In nutcracker syndrome, symptoms are most often caused when the left renal vein coming from the left kidney becomes compressed and blood can’t flow normally through. Nutcracker Syndrome Male.
From www.researchgate.net
Main clinical features of the Nutcracker Syndrome. Abbreviations LRV Nutcracker Syndrome Male Nutcracker syndrome is a rare vein compression disorder. Nutcracker syndrome is a vascular compression disorder when two arteries pinch the left renal vein, which carries blood from the left kidney back to the heart. Nutcracker syndrome is a vascular compression disorder that refers to the compression of the left renal vein, most commonly between the superior. Nutcracker phenomenon is a. Nutcracker Syndrome Male.
From slideplayer.com
Nutcracker Phenomenon and Nutcracker Syndrome ppt download Nutcracker Syndrome Male Nutcracker syndrome is a rare vein compression disorder. In nutcracker syndrome, symptoms are most often caused when the left renal vein coming from the left kidney becomes compressed and blood can’t flow normally through it. Nutcracker syndrome is a vascular compression disorder when two arteries pinch the left renal vein, which carries blood from the left kidney back to the. Nutcracker Syndrome Male.
From slideplayer.com
Nutcracker Phenomenon and Nutcracker Syndrome ppt download Nutcracker Syndrome Male Nutcracker syndrome is a vascular compression disorder when two arteries pinch the left renal vein, which carries blood from the left kidney back to the heart. Nutcracker syndrome is a rare vein compression disorder. In nutcracker syndrome, symptoms are most often caused when the left renal vein coming from the left kidney becomes compressed and blood can’t flow normally through. Nutcracker Syndrome Male.
From radiopaedia.org
Nutcracker syndrome (annotated CT) Image Nutcracker Syndrome Male Nutcracker syndrome is a vascular compression disorder that refers to the compression of the left renal vein, most commonly between the superior. Nutcracker syndrome may contribute to infertility in. In nutcracker syndrome, symptoms are most often caused when the left renal vein coming from the left kidney becomes compressed and blood can’t flow normally through it. It occurs when arteries,. Nutcracker Syndrome Male.
From www.researchgate.net
CT angiography of a patient with "the nutcracker syndrome" Download Nutcracker Syndrome Male It occurs when arteries, most often the abdomen’s aorta and superior mesenteric. Nutcracker syndrome is a rare vein compression disorder. Nutcracker syndrome is a vascular compression disorder when two arteries pinch the left renal vein, which carries blood from the left kidney back to the heart. In nutcracker syndrome, symptoms are most often caused when the left renal vein coming. Nutcracker Syndrome Male.
From sonographictendencies.com
Nutcracker Phenomenon/Syndrome Sonographic Tendencies Nutcracker Syndrome Male It occurs when arteries, most often the abdomen’s aorta and superior mesenteric. Nutcracker syndrome is a rare vein compression disorder. Nutcracker syndrome may contribute to infertility in. Nutcracker phenomenon is a vascular condition where there is compression of the left renal vein most commonly between the aorta and superior. Nutcracker syndrome is a vascular compression disorder that refers to the. Nutcracker Syndrome Male.
From www.researchgate.net
(PDF) Superior Mesenteric Artery Syndrome Combined with Renal Nutcracker Syndrome Male Nutcracker phenomenon is a vascular condition where there is compression of the left renal vein most commonly between the aorta and superior. Nutcracker syndrome is a vascular compression disorder that refers to the compression of the left renal vein, most commonly between the superior. Nutcracker syndrome is a rare vein compression disorder. Nutcracker syndrome is a vascular compression disorder when. Nutcracker Syndrome Male.
From www.scgvs.com
Nutcracker Syndrome Charlotte, NC South Charlotte General and Nutcracker Syndrome Male It occurs when arteries, most often the abdomen’s aorta and superior mesenteric. Nutcracker syndrome is a rare vein compression disorder. Nutcracker syndrome may contribute to infertility in. Nutcracker phenomenon is a vascular condition where there is compression of the left renal vein most commonly between the aorta and superior. Nutcracker syndrome is a vascular compression disorder when two arteries pinch. Nutcracker Syndrome Male.
From radiopaedia.org
Nutcracker syndrome Image Nutcracker Syndrome Male Nutcracker syndrome is a vascular compression disorder when two arteries pinch the left renal vein, which carries blood from the left kidney back to the heart. Nutcracker syndrome is a vascular compression disorder that refers to the compression of the left renal vein, most commonly between the superior. It occurs when arteries, most often the abdomen’s aorta and superior mesenteric.. Nutcracker Syndrome Male.
From www.researchgate.net
Clinical features and treatment modalities for nutcracker syndrome Nutcracker Syndrome Male Nutcracker syndrome may contribute to infertility in. Nutcracker syndrome is a vascular compression disorder when two arteries pinch the left renal vein, which carries blood from the left kidney back to the heart. It occurs when arteries, most often the abdomen’s aorta and superior mesenteric. Nutcracker phenomenon is a vascular condition where there is compression of the left renal vein. Nutcracker Syndrome Male.
From radiopaedia.org
Left testicular varicocele nutcracker phenomenon Image Nutcracker Syndrome Male In nutcracker syndrome, symptoms are most often caused when the left renal vein coming from the left kidney becomes compressed and blood can’t flow normally through it. Nutcracker syndrome is a vascular compression disorder when two arteries pinch the left renal vein, which carries blood from the left kidney back to the heart. Nutcracker syndrome may contribute to infertility in.. Nutcracker Syndrome Male.
From radiologykey.com
Nutcracker Syndrome Radiology Key Nutcracker Syndrome Male In nutcracker syndrome, symptoms are most often caused when the left renal vein coming from the left kidney becomes compressed and blood can’t flow normally through it. Nutcracker syndrome is a vascular compression disorder when two arteries pinch the left renal vein, which carries blood from the left kidney back to the heart. Nutcracker syndrome is a rare vein compression. Nutcracker Syndrome Male.
From angiologist.com
Nutcracker syndrome Definition, Symptoms and Treatment Nutcracker Syndrome Male Nutcracker syndrome is a vascular compression disorder that refers to the compression of the left renal vein, most commonly between the superior. Nutcracker phenomenon is a vascular condition where there is compression of the left renal vein most commonly between the aorta and superior. It occurs when arteries, most often the abdomen’s aorta and superior mesenteric. Nutcracker syndrome is a. Nutcracker Syndrome Male.
From www.mdpi.com
Diagnostics Free FullText From Nutcracker Phenomenon to Nutcracker Nutcracker Syndrome Male Nutcracker phenomenon is a vascular condition where there is compression of the left renal vein most commonly between the aorta and superior. Nutcracker syndrome may contribute to infertility in. Nutcracker syndrome is a vascular compression disorder when two arteries pinch the left renal vein, which carries blood from the left kidney back to the heart. It occurs when arteries, most. Nutcracker Syndrome Male.
From www.mdpi.com
Diagnostics Free FullText From Nutcracker Phenomenon to Nutcracker Nutcracker Syndrome Male In nutcracker syndrome, symptoms are most often caused when the left renal vein coming from the left kidney becomes compressed and blood can’t flow normally through it. Nutcracker syndrome may contribute to infertility in. Nutcracker syndrome is a vascular compression disorder that refers to the compression of the left renal vein, most commonly between the superior. Nutcracker syndrome is a. Nutcracker Syndrome Male.
From appliedradiology.com
Posterior Nutcracker Syndrome with Left Renal Vein Duplication Nutcracker Syndrome Male It occurs when arteries, most often the abdomen’s aorta and superior mesenteric. Nutcracker syndrome may contribute to infertility in. Nutcracker syndrome is a rare vein compression disorder. Nutcracker syndrome is a vascular compression disorder that refers to the compression of the left renal vein, most commonly between the superior. In nutcracker syndrome, symptoms are most often caused when the left. Nutcracker Syndrome Male.
From www.bilibili.com
【Osmosis医学】肾胡桃夹综合征 Nutcracker Syndrome 哔哩哔哩 Nutcracker Syndrome Male It occurs when arteries, most often the abdomen’s aorta and superior mesenteric. Nutcracker syndrome is a vascular compression disorder when two arteries pinch the left renal vein, which carries blood from the left kidney back to the heart. Nutcracker phenomenon is a vascular condition where there is compression of the left renal vein most commonly between the aorta and superior.. Nutcracker Syndrome Male.
From mungfali.com
Posterior Nutcracker Syndrome Nutcracker Syndrome Male Nutcracker syndrome is a rare vein compression disorder. Nutcracker syndrome is a vascular compression disorder when two arteries pinch the left renal vein, which carries blood from the left kidney back to the heart. In nutcracker syndrome, symptoms are most often caused when the left renal vein coming from the left kidney becomes compressed and blood can’t flow normally through. Nutcracker Syndrome Male.
From www.ijcasereportsandimages.com
FULL TEXT Posterior nutcracker syndrome with left renal vein Nutcracker Syndrome Male Nutcracker syndrome is a rare vein compression disorder. Nutcracker syndrome is a vascular compression disorder when two arteries pinch the left renal vein, which carries blood from the left kidney back to the heart. Nutcracker syndrome may contribute to infertility in. Nutcracker phenomenon is a vascular condition where there is compression of the left renal vein most commonly between the. Nutcracker Syndrome Male.
From vascularcarecentre.com
Nutcracker phenomenon and syndrome Vascular Care Centre Nutcracker Syndrome Male It occurs when arteries, most often the abdomen’s aorta and superior mesenteric. In nutcracker syndrome, symptoms are most often caused when the left renal vein coming from the left kidney becomes compressed and blood can’t flow normally through it. Nutcracker syndrome is a vascular compression disorder when two arteries pinch the left renal vein, which carries blood from the left. Nutcracker Syndrome Male.
From mungfali.com
Posterior Nutcracker Syndrome Nutcracker Syndrome Male Nutcracker syndrome is a vascular compression disorder that refers to the compression of the left renal vein, most commonly between the superior. Nutcracker phenomenon is a vascular condition where there is compression of the left renal vein most commonly between the aorta and superior. Nutcracker syndrome is a vascular compression disorder when two arteries pinch the left renal vein, which. Nutcracker Syndrome Male.
From radiopaedia.org
Nutcracker syndrome Image Nutcracker Syndrome Male Nutcracker syndrome is a vascular compression disorder that refers to the compression of the left renal vein, most commonly between the superior. It occurs when arteries, most often the abdomen’s aorta and superior mesenteric. Nutcracker phenomenon is a vascular condition where there is compression of the left renal vein most commonly between the aorta and superior. Nutcracker syndrome is a. Nutcracker Syndrome Male.
From www.veinspecialists.com
Nutcracker Syndrome 2 Vein Specialists of the South Nutcracker Syndrome Male It occurs when arteries, most often the abdomen’s aorta and superior mesenteric. Nutcracker syndrome is a vascular compression disorder that refers to the compression of the left renal vein, most commonly between the superior. In nutcracker syndrome, symptoms are most often caused when the left renal vein coming from the left kidney becomes compressed and blood can’t flow normally through. Nutcracker Syndrome Male.
From sonographictendencies.com
Nutcracker Phenomenon/Syndrome Sonographic Tendencies Nutcracker Syndrome Male Nutcracker syndrome is a vascular compression disorder when two arteries pinch the left renal vein, which carries blood from the left kidney back to the heart. It occurs when arteries, most often the abdomen’s aorta and superior mesenteric. Nutcracker phenomenon is a vascular condition where there is compression of the left renal vein most commonly between the aorta and superior.. Nutcracker Syndrome Male.
From radiopaedia.org
Nutcracker syndrome Image Nutcracker Syndrome Male Nutcracker syndrome is a vascular compression disorder when two arteries pinch the left renal vein, which carries blood from the left kidney back to the heart. It occurs when arteries, most often the abdomen’s aorta and superior mesenteric. In nutcracker syndrome, symptoms are most often caused when the left renal vein coming from the left kidney becomes compressed and blood. Nutcracker Syndrome Male.