What Does Low Density Nodule Mean . The size of the spot, its shape and. “the guidelines say that if the density of a mass on the kidney is less than 20 hounsfield units (hu) it has a strong likelihood of being a. The phrase ‘lung nodule’ describes a small, denser area of the lung which appears as a round spot on the image. What does ‘lung nodule’ mean? Most lung nodules are not a sign of lung cancer and don’t require treatment. To determine whether the likelihood of lung cancer is high or low, physicians usually look at three distinct characteristics of the nodule: Few nodules are found through manual palpation.
from www.researchgate.net
Most lung nodules are not a sign of lung cancer and don’t require treatment. To determine whether the likelihood of lung cancer is high or low, physicians usually look at three distinct characteristics of the nodule: The phrase ‘lung nodule’ describes a small, denser area of the lung which appears as a round spot on the image. “the guidelines say that if the density of a mass on the kidney is less than 20 hounsfield units (hu) it has a strong likelihood of being a. Few nodules are found through manual palpation. What does ‘lung nodule’ mean? The size of the spot, its shape and.
MRI of the uterus (A) A T2weighted image showed a lowdensity nodule
What Does Low Density Nodule Mean The size of the spot, its shape and. Few nodules are found through manual palpation. The size of the spot, its shape and. “the guidelines say that if the density of a mass on the kidney is less than 20 hounsfield units (hu) it has a strong likelihood of being a. To determine whether the likelihood of lung cancer is high or low, physicians usually look at three distinct characteristics of the nodule: Most lung nodules are not a sign of lung cancer and don’t require treatment. The phrase ‘lung nodule’ describes a small, denser area of the lung which appears as a round spot on the image. What does ‘lung nodule’ mean?
From www.researchgate.net
MRI of the uterus (A) A T2weighted image showed a lowdensity nodule What Does Low Density Nodule Mean Few nodules are found through manual palpation. The phrase ‘lung nodule’ describes a small, denser area of the lung which appears as a round spot on the image. The size of the spot, its shape and. To determine whether the likelihood of lung cancer is high or low, physicians usually look at three distinct characteristics of the nodule: “the guidelines. What Does Low Density Nodule Mean.
From www.researchgate.net
Abdominal computed tomography of case one. A and B Computed tomography What Does Low Density Nodule Mean To determine whether the likelihood of lung cancer is high or low, physicians usually look at three distinct characteristics of the nodule: “the guidelines say that if the density of a mass on the kidney is less than 20 hounsfield units (hu) it has a strong likelihood of being a. What does ‘lung nodule’ mean? Few nodules are found through. What Does Low Density Nodule Mean.
From www.aquaportail.com
Nodule définition et explications What Does Low Density Nodule Mean “the guidelines say that if the density of a mass on the kidney is less than 20 hounsfield units (hu) it has a strong likelihood of being a. Few nodules are found through manual palpation. Most lung nodules are not a sign of lung cancer and don’t require treatment. The phrase ‘lung nodule’ describes a small, denser area of the. What Does Low Density Nodule Mean.
From www.researchgate.net
Visual classification of nodules. (A) Groundglass nodule (GGN), (B What Does Low Density Nodule Mean The phrase ‘lung nodule’ describes a small, denser area of the lung which appears as a round spot on the image. The size of the spot, its shape and. To determine whether the likelihood of lung cancer is high or low, physicians usually look at three distinct characteristics of the nodule: What does ‘lung nodule’ mean? Most lung nodules are. What Does Low Density Nodule Mean.
From www.researchgate.net
Representative images of TIRADS and ATA systems in thyroid nodules. A What Does Low Density Nodule Mean Few nodules are found through manual palpation. The phrase ‘lung nodule’ describes a small, denser area of the lung which appears as a round spot on the image. Most lung nodules are not a sign of lung cancer and don’t require treatment. The size of the spot, its shape and. What does ‘lung nodule’ mean? “the guidelines say that if. What Does Low Density Nodule Mean.
From radiologykey.com
Solitary and Multiple Pulmonary Nodules Radiology Key What Does Low Density Nodule Mean To determine whether the likelihood of lung cancer is high or low, physicians usually look at three distinct characteristics of the nodule: What does ‘lung nodule’ mean? Few nodules are found through manual palpation. Most lung nodules are not a sign of lung cancer and don’t require treatment. The size of the spot, its shape and. The phrase ‘lung nodule’. What Does Low Density Nodule Mean.
From www.researchgate.net
(A) Plain CT scan showing multiple lowdensity nodules in the spleen What Does Low Density Nodule Mean The phrase ‘lung nodule’ describes a small, denser area of the lung which appears as a round spot on the image. Most lung nodules are not a sign of lung cancer and don’t require treatment. What does ‘lung nodule’ mean? To determine whether the likelihood of lung cancer is high or low, physicians usually look at three distinct characteristics of. What Does Low Density Nodule Mean.
From www.researchgate.net
a Male, 57 years. A noncontrast CT image shows a lowdensity nodule in What Does Low Density Nodule Mean Few nodules are found through manual palpation. Most lung nodules are not a sign of lung cancer and don’t require treatment. To determine whether the likelihood of lung cancer is high or low, physicians usually look at three distinct characteristics of the nodule: The size of the spot, its shape and. What does ‘lung nodule’ mean? The phrase ‘lung nodule’. What Does Low Density Nodule Mean.
From www.researchgate.net
Abdominal computed tomography findings showed a small lowdensity What Does Low Density Nodule Mean To determine whether the likelihood of lung cancer is high or low, physicians usually look at three distinct characteristics of the nodule: What does ‘lung nodule’ mean? Most lung nodules are not a sign of lung cancer and don’t require treatment. The size of the spot, its shape and. The phrase ‘lung nodule’ describes a small, denser area of the. What Does Low Density Nodule Mean.
From www.researchgate.net
CT images from case 3. (A) CT imaging revealed multiple lowdensity What Does Low Density Nodule Mean Few nodules are found through manual palpation. “the guidelines say that if the density of a mass on the kidney is less than 20 hounsfield units (hu) it has a strong likelihood of being a. To determine whether the likelihood of lung cancer is high or low, physicians usually look at three distinct characteristics of the nodule: The phrase ‘lung. What Does Low Density Nodule Mean.
From basicmedicalkey.com
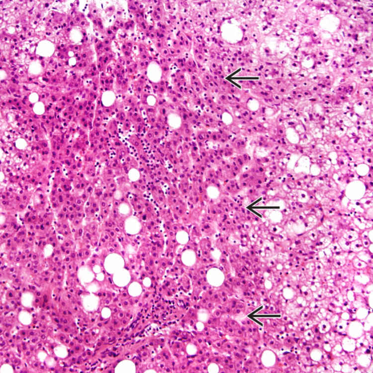
Regenerative and Dysplastic Nodules Basicmedical Key What Does Low Density Nodule Mean Most lung nodules are not a sign of lung cancer and don’t require treatment. Few nodules are found through manual palpation. “the guidelines say that if the density of a mass on the kidney is less than 20 hounsfield units (hu) it has a strong likelihood of being a. To determine whether the likelihood of lung cancer is high or. What Does Low Density Nodule Mean.
From www.researchgate.net
Lowdensity nodule in the right lobe of the thyroid, in a female, 27 What Does Low Density Nodule Mean “the guidelines say that if the density of a mass on the kidney is less than 20 hounsfield units (hu) it has a strong likelihood of being a. To determine whether the likelihood of lung cancer is high or low, physicians usually look at three distinct characteristics of the nodule: The size of the spot, its shape and. The phrase. What Does Low Density Nodule Mean.
From mungfali.com
Hypoechoic Thyroid Nodule Ultrasound What Does Low Density Nodule Mean The phrase ‘lung nodule’ describes a small, denser area of the lung which appears as a round spot on the image. “the guidelines say that if the density of a mass on the kidney is less than 20 hounsfield units (hu) it has a strong likelihood of being a. What does ‘lung nodule’ mean? Few nodules are found through manual. What Does Low Density Nodule Mean.
From err.ersjournals.com
Lung nodules size still matters European Respiratory Society What Does Low Density Nodule Mean Few nodules are found through manual palpation. The size of the spot, its shape and. The phrase ‘lung nodule’ describes a small, denser area of the lung which appears as a round spot on the image. “the guidelines say that if the density of a mass on the kidney is less than 20 hounsfield units (hu) it has a strong. What Does Low Density Nodule Mean.
From radiologykey.com
Solitary and Multiple Pulmonary Nodules Radiology Key What Does Low Density Nodule Mean What does ‘lung nodule’ mean? “the guidelines say that if the density of a mass on the kidney is less than 20 hounsfield units (hu) it has a strong likelihood of being a. Few nodules are found through manual palpation. Most lung nodules are not a sign of lung cancer and don’t require treatment. To determine whether the likelihood of. What Does Low Density Nodule Mean.
From www.ajronline.org
Significance of Incidental Thyroid Lesions Detected on CT Correlation What Does Low Density Nodule Mean Few nodules are found through manual palpation. What does ‘lung nodule’ mean? The size of the spot, its shape and. Most lung nodules are not a sign of lung cancer and don’t require treatment. To determine whether the likelihood of lung cancer is high or low, physicians usually look at three distinct characteristics of the nodule: The phrase ‘lung nodule’. What Does Low Density Nodule Mean.
From www.researchgate.net
Left mammogram in the lower internal quadrant, a solid nodule with What Does Low Density Nodule Mean Most lung nodules are not a sign of lung cancer and don’t require treatment. The size of the spot, its shape and. The phrase ‘lung nodule’ describes a small, denser area of the lung which appears as a round spot on the image. What does ‘lung nodule’ mean? To determine whether the likelihood of lung cancer is high or low,. What Does Low Density Nodule Mean.
From www.ajronline.org
Significance of Incidental Thyroid Lesions Detected on CT Correlation What Does Low Density Nodule Mean “the guidelines say that if the density of a mass on the kidney is less than 20 hounsfield units (hu) it has a strong likelihood of being a. What does ‘lung nodule’ mean? Most lung nodules are not a sign of lung cancer and don’t require treatment. To determine whether the likelihood of lung cancer is high or low, physicians. What Does Low Density Nodule Mean.
From www.researchgate.net
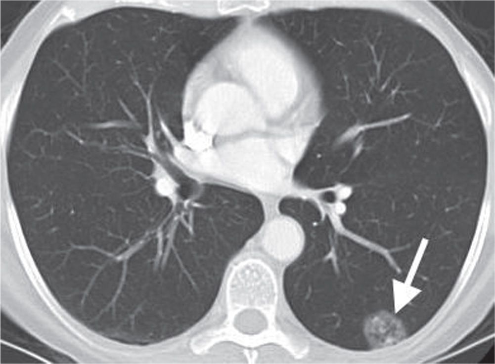
A small pulmonary nodule with small diameter, low density and located What Does Low Density Nodule Mean The size of the spot, its shape and. The phrase ‘lung nodule’ describes a small, denser area of the lung which appears as a round spot on the image. “the guidelines say that if the density of a mass on the kidney is less than 20 hounsfield units (hu) it has a strong likelihood of being a. Few nodules are. What Does Low Density Nodule Mean.
From www.researchgate.net
(a) Plain CT showed a lowdensity nodule in the subcapsular liver What Does Low Density Nodule Mean Few nodules are found through manual palpation. What does ‘lung nodule’ mean? To determine whether the likelihood of lung cancer is high or low, physicians usually look at three distinct characteristics of the nodule: The size of the spot, its shape and. The phrase ‘lung nodule’ describes a small, denser area of the lung which appears as a round spot. What Does Low Density Nodule Mean.
From www.researchgate.net
Low density nodule with hazy border close to the liver capsule in the What Does Low Density Nodule Mean The size of the spot, its shape and. “the guidelines say that if the density of a mass on the kidney is less than 20 hounsfield units (hu) it has a strong likelihood of being a. Most lung nodules are not a sign of lung cancer and don’t require treatment. What does ‘lung nodule’ mean? The phrase ‘lung nodule’ describes. What Does Low Density Nodule Mean.
From www.researchgate.net
Neck computed tomography (CT) shows an illdefined lowdensity solid What Does Low Density Nodule Mean The phrase ‘lung nodule’ describes a small, denser area of the lung which appears as a round spot on the image. Most lung nodules are not a sign of lung cancer and don’t require treatment. The size of the spot, its shape and. To determine whether the likelihood of lung cancer is high or low, physicians usually look at three. What Does Low Density Nodule Mean.
From radiologykey.com
Solitary and Multiple Pulmonary Nodules Radiology Key What Does Low Density Nodule Mean Few nodules are found through manual palpation. What does ‘lung nodule’ mean? The size of the spot, its shape and. “the guidelines say that if the density of a mass on the kidney is less than 20 hounsfield units (hu) it has a strong likelihood of being a. The phrase ‘lung nodule’ describes a small, denser area of the lung. What Does Low Density Nodule Mean.
From www.researchgate.net
MRI of the uterus (A) A T2weighted image showed a lowdensity nodule What Does Low Density Nodule Mean To determine whether the likelihood of lung cancer is high or low, physicians usually look at three distinct characteristics of the nodule: What does ‘lung nodule’ mean? Most lung nodules are not a sign of lung cancer and don’t require treatment. Few nodules are found through manual palpation. The size of the spot, its shape and. The phrase ‘lung nodule’. What Does Low Density Nodule Mean.
From www.researchgate.net
Computed tomography images in the axial plane. A lowdensity nodule What Does Low Density Nodule Mean Most lung nodules are not a sign of lung cancer and don’t require treatment. The phrase ‘lung nodule’ describes a small, denser area of the lung which appears as a round spot on the image. Few nodules are found through manual palpation. What does ‘lung nodule’ mean? “the guidelines say that if the density of a mass on the kidney. What Does Low Density Nodule Mean.
From err.ersjournals.com
Lung nodules size still matters European Respiratory Society What Does Low Density Nodule Mean To determine whether the likelihood of lung cancer is high or low, physicians usually look at three distinct characteristics of the nodule: Few nodules are found through manual palpation. The size of the spot, its shape and. What does ‘lung nodule’ mean? “the guidelines say that if the density of a mass on the kidney is less than 20 hounsfield. What Does Low Density Nodule Mean.
From lungs.thecommonvein.net
Nodules Spiculated Lungs What Does Low Density Nodule Mean Most lung nodules are not a sign of lung cancer and don’t require treatment. “the guidelines say that if the density of a mass on the kidney is less than 20 hounsfield units (hu) it has a strong likelihood of being a. To determine whether the likelihood of lung cancer is high or low, physicians usually look at three distinct. What Does Low Density Nodule Mean.
From www.researchgate.net
Right thyroid lobe near isthmus showing a lowdensity nodule (∗), in a What Does Low Density Nodule Mean The size of the spot, its shape and. “the guidelines say that if the density of a mass on the kidney is less than 20 hounsfield units (hu) it has a strong likelihood of being a. What does ‘lung nodule’ mean? The phrase ‘lung nodule’ describes a small, denser area of the lung which appears as a round spot on. What Does Low Density Nodule Mean.
From www.researchgate.net
A small pulmonary nodule with small diameter, low density and located What Does Low Density Nodule Mean What does ‘lung nodule’ mean? Few nodules are found through manual palpation. The phrase ‘lung nodule’ describes a small, denser area of the lung which appears as a round spot on the image. “the guidelines say that if the density of a mass on the kidney is less than 20 hounsfield units (hu) it has a strong likelihood of being. What Does Low Density Nodule Mean.
From pubs.rsna.org
Perifissural Nodules Seen at CT Screening for Lung Cancer Radiology What Does Low Density Nodule Mean “the guidelines say that if the density of a mass on the kidney is less than 20 hounsfield units (hu) it has a strong likelihood of being a. What does ‘lung nodule’ mean? The phrase ‘lung nodule’ describes a small, denser area of the lung which appears as a round spot on the image. To determine whether the likelihood of. What Does Low Density Nodule Mean.
From www.researchgate.net
(A) Two rounded nodules in the right lower lobe of the lung, with What Does Low Density Nodule Mean To determine whether the likelihood of lung cancer is high or low, physicians usually look at three distinct characteristics of the nodule: “the guidelines say that if the density of a mass on the kidney is less than 20 hounsfield units (hu) it has a strong likelihood of being a. The phrase ‘lung nodule’ describes a small, denser area of. What Does Low Density Nodule Mean.
From www.researchgate.net
Pulmonary nodule with lobulated margins. Figure 6. Benign granuloma What Does Low Density Nodule Mean To determine whether the likelihood of lung cancer is high or low, physicians usually look at three distinct characteristics of the nodule: “the guidelines say that if the density of a mass on the kidney is less than 20 hounsfield units (hu) it has a strong likelihood of being a. What does ‘lung nodule’ mean? The phrase ‘lung nodule’ describes. What Does Low Density Nodule Mean.
From www.researchgate.net
Lowdensity nodule (∗) in the left lobe of the thyroid gland, in a What Does Low Density Nodule Mean Few nodules are found through manual palpation. Most lung nodules are not a sign of lung cancer and don’t require treatment. The phrase ‘lung nodule’ describes a small, denser area of the lung which appears as a round spot on the image. To determine whether the likelihood of lung cancer is high or low, physicians usually look at three distinct. What Does Low Density Nodule Mean.
From www.researchgate.net
Lowdensity nodule in the right lobe of the thyroid, in a female, 27 What Does Low Density Nodule Mean “the guidelines say that if the density of a mass on the kidney is less than 20 hounsfield units (hu) it has a strong likelihood of being a. To determine whether the likelihood of lung cancer is high or low, physicians usually look at three distinct characteristics of the nodule: The size of the spot, its shape and. What does. What Does Low Density Nodule Mean.
From radiologykey.com
Solitary and Multiple Pulmonary Nodules Radiology Key What Does Low Density Nodule Mean The phrase ‘lung nodule’ describes a small, denser area of the lung which appears as a round spot on the image. Most lung nodules are not a sign of lung cancer and don’t require treatment. “the guidelines say that if the density of a mass on the kidney is less than 20 hounsfield units (hu) it has a strong likelihood. What Does Low Density Nodule Mean.