What Is Tissue Necrosis . It can be caused by injury, radiation, or chemicals and cannot be reversed. Trauma to a cell can cause its contents. Necrosis can occur due to injuries, infections, diseases or lack of blood. Cell outlines are preserved (cells look ghostly), and everything looks red. See this in infections and, for some unknown reason, in brain infarcts. Necrosis is the medical term for the death of your body tissue. Irreversible cell injury and eventual cell death due to pathological processes are termed necrosis. It is characterized by the premature. It is an uncontrolled cell death that results in swelling of the cell. Necrosis is an accidental or unprogrammed cell death that causes tissue death. Necrosis is the death of body tissue due to lack of blood supply. Necrosis is a type of cell death that occurs as a result of injury or damage to cells and tissues.
from www.andreasastier.com
Necrosis can occur due to injuries, infections, diseases or lack of blood. Cell outlines are preserved (cells look ghostly), and everything looks red. Necrosis is the death of body tissue due to lack of blood supply. See this in infections and, for some unknown reason, in brain infarcts. Necrosis is a type of cell death that occurs as a result of injury or damage to cells and tissues. Necrosis is the medical term for the death of your body tissue. Trauma to a cell can cause its contents. It can be caused by injury, radiation, or chemicals and cannot be reversed. Irreversible cell injury and eventual cell death due to pathological processes are termed necrosis. It is characterized by the premature.
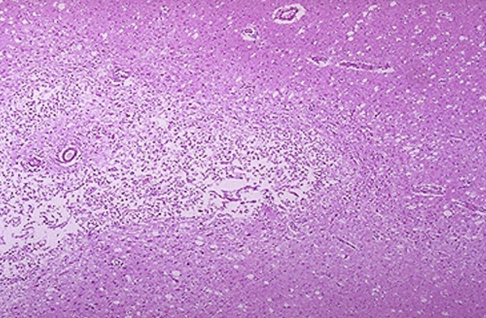
The Different Types of Necrosis and Their Histological Identifications
What Is Tissue Necrosis Necrosis is a type of cell death that occurs as a result of injury or damage to cells and tissues. It is characterized by the premature. Necrosis is an accidental or unprogrammed cell death that causes tissue death. Necrosis is a type of cell death that occurs as a result of injury or damage to cells and tissues. Trauma to a cell can cause its contents. It is an uncontrolled cell death that results in swelling of the cell. Necrosis can occur due to injuries, infections, diseases or lack of blood. Cell outlines are preserved (cells look ghostly), and everything looks red. It can be caused by injury, radiation, or chemicals and cannot be reversed. See this in infections and, for some unknown reason, in brain infarcts. Necrosis is the medical term for the death of your body tissue. Necrosis is the death of body tissue due to lack of blood supply. Irreversible cell injury and eventual cell death due to pathological processes are termed necrosis.
From www.andreasastier.com
The Different Types of Necrosis and Their Histological Identifications What Is Tissue Necrosis Necrosis is an accidental or unprogrammed cell death that causes tissue death. Necrosis is the medical term for the death of your body tissue. Cell outlines are preserved (cells look ghostly), and everything looks red. Necrosis can occur due to injuries, infections, diseases or lack of blood. It can be caused by injury, radiation, or chemicals and cannot be reversed.. What Is Tissue Necrosis.
From www.researchgate.net
Histologic imaging of necrotic tissue Necrosis (black arrows) in the What Is Tissue Necrosis Cell outlines are preserved (cells look ghostly), and everything looks red. Irreversible cell injury and eventual cell death due to pathological processes are termed necrosis. It is an uncontrolled cell death that results in swelling of the cell. Necrosis is a type of cell death that occurs as a result of injury or damage to cells and tissues. It can. What Is Tissue Necrosis.
From www.slideserve.com
PPT Cell injurynecrosis, apoptosis. Adaptationsatrophy, hypertrophy What Is Tissue Necrosis Irreversible cell injury and eventual cell death due to pathological processes are termed necrosis. Necrosis is the medical term for the death of your body tissue. Trauma to a cell can cause its contents. It is characterized by the premature. Necrosis is an accidental or unprogrammed cell death that causes tissue death. Necrosis is the death of body tissue due. What Is Tissue Necrosis.
From www.youtube.com
NECROSIS , PART 2 Types Of Necrosis YouTube What Is Tissue Necrosis It is characterized by the premature. Cell outlines are preserved (cells look ghostly), and everything looks red. Necrosis is the death of body tissue due to lack of blood supply. Necrosis is a type of cell death that occurs as a result of injury or damage to cells and tissues. Irreversible cell injury and eventual cell death due to pathological. What Is Tissue Necrosis.
From elenaconde.com
Necrosis and purple edges in leg ulcers keys to guide your diagnosis What Is Tissue Necrosis Necrosis is the medical term for the death of your body tissue. Irreversible cell injury and eventual cell death due to pathological processes are termed necrosis. Necrosis is a type of cell death that occurs as a result of injury or damage to cells and tissues. It is characterized by the premature. Trauma to a cell can cause its contents.. What Is Tissue Necrosis.
From www.andreasastier.com
The Different Types of Necrosis and Their Histological Identifications What Is Tissue Necrosis Trauma to a cell can cause its contents. Cell outlines are preserved (cells look ghostly), and everything looks red. See this in infections and, for some unknown reason, in brain infarcts. Irreversible cell injury and eventual cell death due to pathological processes are termed necrosis. It is characterized by the premature. Necrosis can occur due to injuries, infections, diseases or. What Is Tissue Necrosis.
From www.semanticscholar.org
Figure 1 from Tissue necrosis following extravasation of acyclovir in What Is Tissue Necrosis Necrosis is the medical term for the death of your body tissue. See this in infections and, for some unknown reason, in brain infarcts. Necrosis is the death of body tissue due to lack of blood supply. Necrosis can occur due to injuries, infections, diseases or lack of blood. Cell outlines are preserved (cells look ghostly), and everything looks red.. What Is Tissue Necrosis.
From www.andreasastier.com
The Different Types of Necrosis and Their Histological Identifications What Is Tissue Necrosis Necrosis is an accidental or unprogrammed cell death that causes tissue death. Trauma to a cell can cause its contents. Necrosis is the medical term for the death of your body tissue. It is characterized by the premature. Necrosis is a type of cell death that occurs as a result of injury or damage to cells and tissues. It is. What Is Tissue Necrosis.
From forum.image.sc
Necrosis analysis in H&E tissue slide Image Analysis Image.sc Forum What Is Tissue Necrosis Irreversible cell injury and eventual cell death due to pathological processes are termed necrosis. It is an uncontrolled cell death that results in swelling of the cell. It can be caused by injury, radiation, or chemicals and cannot be reversed. Necrosis is the death of body tissue due to lack of blood supply. Trauma to a cell can cause its. What Is Tissue Necrosis.
From www.youtube.com
What is Necrosis? Pathology mini tutorial YouTube What Is Tissue Necrosis See this in infections and, for some unknown reason, in brain infarcts. Necrosis can occur due to injuries, infections, diseases or lack of blood. It can be caused by injury, radiation, or chemicals and cannot be reversed. Necrosis is an accidental or unprogrammed cell death that causes tissue death. Trauma to a cell can cause its contents. Necrosis is a. What Is Tissue Necrosis.
From www.andreasastier.com
The Different Types of Necrosis and Their Histological Identifications What Is Tissue Necrosis Necrosis is the medical term for the death of your body tissue. See this in infections and, for some unknown reason, in brain infarcts. It is an uncontrolled cell death that results in swelling of the cell. It can be caused by injury, radiation, or chemicals and cannot be reversed. Irreversible cell injury and eventual cell death due to pathological. What Is Tissue Necrosis.
From blog.cellsignal.com
Mechanisms of Cell Death Necrosis & Necroptosis What Is Tissue Necrosis Necrosis is a type of cell death that occurs as a result of injury or damage to cells and tissues. Necrosis is the death of body tissue due to lack of blood supply. It is characterized by the premature. It is an uncontrolled cell death that results in swelling of the cell. Trauma to a cell can cause its contents.. What Is Tissue Necrosis.
From www.andreasastier.com
The Different Types of Necrosis and Their Histological Identifications What Is Tissue Necrosis Necrosis can occur due to injuries, infections, diseases or lack of blood. It is an uncontrolled cell death that results in swelling of the cell. It can be caused by injury, radiation, or chemicals and cannot be reversed. Irreversible cell injury and eventual cell death due to pathological processes are termed necrosis. Necrosis is an accidental or unprogrammed cell death. What Is Tissue Necrosis.
From medmovie.com
Necrotizing Fasciitis What Is Tissue Necrosis Necrosis is a type of cell death that occurs as a result of injury or damage to cells and tissues. Necrosis is the medical term for the death of your body tissue. Trauma to a cell can cause its contents. It is characterized by the premature. It can be caused by injury, radiation, or chemicals and cannot be reversed. Irreversible. What Is Tissue Necrosis.
From www.scribd.com
Types of Necrosis and Infarct Necrosis Ischemia What Is Tissue Necrosis Necrosis is a type of cell death that occurs as a result of injury or damage to cells and tissues. Necrosis is the death of body tissue due to lack of blood supply. Necrosis is the medical term for the death of your body tissue. Cell outlines are preserved (cells look ghostly), and everything looks red. Trauma to a cell. What Is Tissue Necrosis.
From www.thelancet.com
Necrotising softtissue infections The Lancet Infectious Diseases What Is Tissue Necrosis Necrosis can occur due to injuries, infections, diseases or lack of blood. It is an uncontrolled cell death that results in swelling of the cell. Irreversible cell injury and eventual cell death due to pathological processes are termed necrosis. See this in infections and, for some unknown reason, in brain infarcts. Necrosis is the death of body tissue due to. What Is Tissue Necrosis.
From healthpathy.com
Necrosis Pathology, Types & Causes Healthpathy What Is Tissue Necrosis It is an uncontrolled cell death that results in swelling of the cell. It can be caused by injury, radiation, or chemicals and cannot be reversed. Trauma to a cell can cause its contents. Necrosis is an accidental or unprogrammed cell death that causes tissue death. Necrosis is the death of body tissue due to lack of blood supply. Necrosis. What Is Tissue Necrosis.
From www.ahajournals.org
Regulated Necrosis in Atherosclerosis Arteriosclerosis, Thrombosis What Is Tissue Necrosis It is characterized by the premature. Necrosis is a type of cell death that occurs as a result of injury or damage to cells and tissues. Irreversible cell injury and eventual cell death due to pathological processes are termed necrosis. See this in infections and, for some unknown reason, in brain infarcts. Necrosis is the death of body tissue due. What Is Tissue Necrosis.
From www.youtube.com
Patterns of tissue necrosisCell injuryGeneral pathology YouTube What Is Tissue Necrosis Trauma to a cell can cause its contents. Necrosis is the medical term for the death of your body tissue. Necrosis is an accidental or unprogrammed cell death that causes tissue death. Necrosis is a type of cell death that occurs as a result of injury or damage to cells and tissues. Necrosis can occur due to injuries, infections, diseases. What Is Tissue Necrosis.
From www.researchgate.net
Gross morphologic and histopathologic changes. (A) Necrosis in tumor What Is Tissue Necrosis Necrosis can occur due to injuries, infections, diseases or lack of blood. Cell outlines are preserved (cells look ghostly), and everything looks red. Irreversible cell injury and eventual cell death due to pathological processes are termed necrosis. Necrosis is the death of body tissue due to lack of blood supply. See this in infections and, for some unknown reason, in. What Is Tissue Necrosis.
From studylib.net
Patterns of Tissue Necrosis What Is Tissue Necrosis See this in infections and, for some unknown reason, in brain infarcts. Necrosis can occur due to injuries, infections, diseases or lack of blood. Necrosis is the medical term for the death of your body tissue. Necrosis is the death of body tissue due to lack of blood supply. Irreversible cell injury and eventual cell death due to pathological processes. What Is Tissue Necrosis.
From maxfacts.uk
Soft tissue necrosis What Is Tissue Necrosis Necrosis can occur due to injuries, infections, diseases or lack of blood. Necrosis is a type of cell death that occurs as a result of injury or damage to cells and tissues. Irreversible cell injury and eventual cell death due to pathological processes are termed necrosis. Necrosis is the medical term for the death of your body tissue. It is. What Is Tissue Necrosis.
From www.verywellhealth.com
Necrosis Symptoms, Causes, Risk Factors, Treatment What Is Tissue Necrosis See this in infections and, for some unknown reason, in brain infarcts. Irreversible cell injury and eventual cell death due to pathological processes are termed necrosis. Trauma to a cell can cause its contents. Necrosis is the medical term for the death of your body tissue. It is an uncontrolled cell death that results in swelling of the cell. Necrosis. What Is Tissue Necrosis.
From pathologia.ed.ac.uk
Necrosis Pathologia What Is Tissue Necrosis See this in infections and, for some unknown reason, in brain infarcts. Necrosis can occur due to injuries, infections, diseases or lack of blood. It is characterized by the premature. Necrosis is an accidental or unprogrammed cell death that causes tissue death. Cell outlines are preserved (cells look ghostly), and everything looks red. Necrosis is the medical term for the. What Is Tissue Necrosis.
From www.istockphoto.com
Tissue Necrosis Caused By A Stingray Whip Injury Four Weeks Previously What Is Tissue Necrosis Necrosis is a type of cell death that occurs as a result of injury or damage to cells and tissues. It is an uncontrolled cell death that results in swelling of the cell. Necrosis can occur due to injuries, infections, diseases or lack of blood. Necrosis is the death of body tissue due to lack of blood supply. It is. What Is Tissue Necrosis.
From coreem.net
Necrotizing Soft Tissue Infection Core EM What Is Tissue Necrosis Necrosis can occur due to injuries, infections, diseases or lack of blood. Cell outlines are preserved (cells look ghostly), and everything looks red. It is an uncontrolled cell death that results in swelling of the cell. Irreversible cell injury and eventual cell death due to pathological processes are termed necrosis. Necrosis is the medical term for the death of your. What Is Tissue Necrosis.
From www.verywellhealth.com
Overview of Necrosis In the Human Body What Is Tissue Necrosis Necrosis is the death of body tissue due to lack of blood supply. Necrosis is a type of cell death that occurs as a result of injury or damage to cells and tissues. Necrosis is an accidental or unprogrammed cell death that causes tissue death. It is an uncontrolled cell death that results in swelling of the cell. Necrosis is. What Is Tissue Necrosis.
From www.andreasastier.com
The Different Types of Necrosis and Their Histological Identifications What Is Tissue Necrosis Necrosis is the death of body tissue due to lack of blood supply. Cell outlines are preserved (cells look ghostly), and everything looks red. It is an uncontrolled cell death that results in swelling of the cell. See this in infections and, for some unknown reason, in brain infarcts. Necrosis is the medical term for the death of your body. What Is Tissue Necrosis.
From www.researchgate.net
Soft tissue necrosis in ALTR/ARMD. (a) Transmural necrosis of What Is Tissue Necrosis Necrosis can occur due to injuries, infections, diseases or lack of blood. It is characterized by the premature. Necrosis is the death of body tissue due to lack of blood supply. See this in infections and, for some unknown reason, in brain infarcts. Irreversible cell injury and eventual cell death due to pathological processes are termed necrosis. Necrosis is a. What Is Tissue Necrosis.
From creativemeddoses.com
Necrosis VS Apoptosis, six major differences Creative Med Doses What Is Tissue Necrosis Necrosis can occur due to injuries, infections, diseases or lack of blood. Trauma to a cell can cause its contents. Necrosis is an accidental or unprogrammed cell death that causes tissue death. Irreversible cell injury and eventual cell death due to pathological processes are termed necrosis. Necrosis is the death of body tissue due to lack of blood supply. Cell. What Is Tissue Necrosis.
From step1.medbullets.com
Necrosis Pathology Medbullets Step 1 What Is Tissue Necrosis Necrosis can occur due to injuries, infections, diseases or lack of blood. Necrosis is a type of cell death that occurs as a result of injury or damage to cells and tissues. See this in infections and, for some unknown reason, in brain infarcts. It is characterized by the premature. Necrosis is the medical term for the death of your. What Is Tissue Necrosis.
From www.andreasastier.com
The Different Types of Necrosis and Their Histological Identifications What Is Tissue Necrosis Necrosis is the medical term for the death of your body tissue. It is an uncontrolled cell death that results in swelling of the cell. Cell outlines are preserved (cells look ghostly), and everything looks red. It is characterized by the premature. Necrosis is an accidental or unprogrammed cell death that causes tissue death. See this in infections and, for. What Is Tissue Necrosis.
From facty.com
Types Of Necrosis Facty Health What Is Tissue Necrosis Necrosis is an accidental or unprogrammed cell death that causes tissue death. See this in infections and, for some unknown reason, in brain infarcts. Necrosis can occur due to injuries, infections, diseases or lack of blood. Cell outlines are preserved (cells look ghostly), and everything looks red. Necrosis is a type of cell death that occurs as a result of. What Is Tissue Necrosis.
From steptohealth.com
Diagnosis of Skin Necrosis Illnesses Step To Health What Is Tissue Necrosis Necrosis is a type of cell death that occurs as a result of injury or damage to cells and tissues. It is characterized by the premature. Cell outlines are preserved (cells look ghostly), and everything looks red. Trauma to a cell can cause its contents. Necrosis is the medical term for the death of your body tissue. Necrosis is an. What Is Tissue Necrosis.