Ct Scan Ulcer . However, this modality has a role in the detection of subphrenic and other collections that may occur. In the acute setting ct is the modality of choice for assessing a patient with acute abdominal pain, and in some settings. However, the ulcer crater itself can be difficult to directly see on ct. Ct scanning has no part in the primary detection of gastric ulcers; Thickening and swelling of the bowel wall; Abdominal ct scans are a diagnostic tool for identifying infections, inflammation, injury, or cancer in the abdomen or pelvis. Ct scans are often used to diagnose stomach ulcers, as they can provide clear images of the stomach lining. • multiplanar ct interpretation allows detecting deep ulcers and secondary signs of gastroduodenitis. Often you are looking for secondary signs of inflammation: The doctor will look for abnormal changes in the lining, such as ulcerations or inflammation. Ct is excellent for making the diagnosis of a perforated ulcer and can help guide treatment. A provider might use contact dye. In some cases, a ct scan may also be used to confirm the results of an endoscopy.
from www.casestacks.com
In the acute setting ct is the modality of choice for assessing a patient with acute abdominal pain, and in some settings. Ct scans are often used to diagnose stomach ulcers, as they can provide clear images of the stomach lining. Often you are looking for secondary signs of inflammation: Thickening and swelling of the bowel wall; The doctor will look for abnormal changes in the lining, such as ulcerations or inflammation. A provider might use contact dye. However, this modality has a role in the detection of subphrenic and other collections that may occur. • multiplanar ct interpretation allows detecting deep ulcers and secondary signs of gastroduodenitis. Ct scanning has no part in the primary detection of gastric ulcers; Abdominal ct scans are a diagnostic tool for identifying infections, inflammation, injury, or cancer in the abdomen or pelvis.
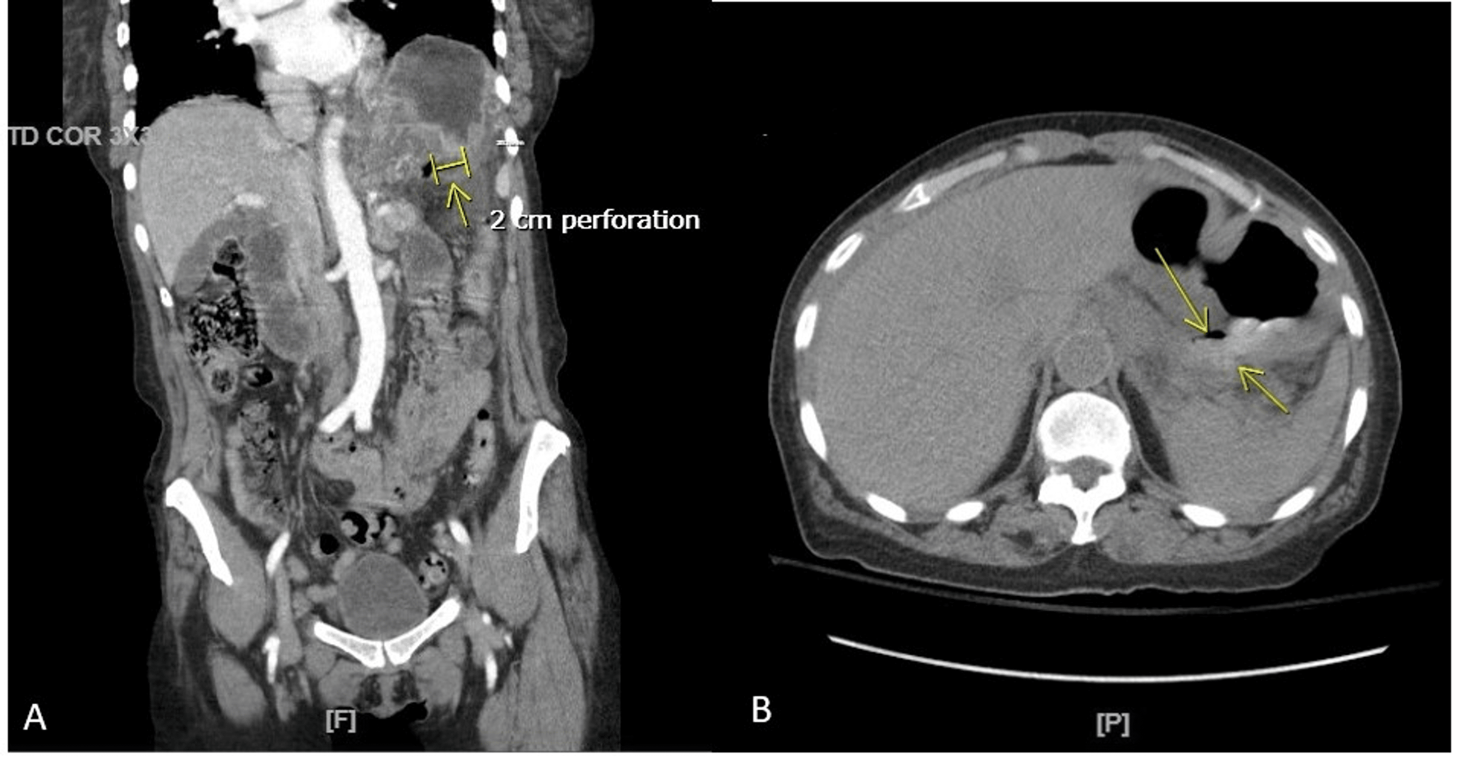
BodyCT Case 68
Ct Scan Ulcer Often you are looking for secondary signs of inflammation: Often you are looking for secondary signs of inflammation: • multiplanar ct interpretation allows detecting deep ulcers and secondary signs of gastroduodenitis. A provider might use contact dye. Abdominal ct scans are a diagnostic tool for identifying infections, inflammation, injury, or cancer in the abdomen or pelvis. The doctor will look for abnormal changes in the lining, such as ulcerations or inflammation. Ct scans are often used to diagnose stomach ulcers, as they can provide clear images of the stomach lining. Ct is excellent for making the diagnosis of a perforated ulcer and can help guide treatment. However, the ulcer crater itself can be difficult to directly see on ct. In the acute setting ct is the modality of choice for assessing a patient with acute abdominal pain, and in some settings. Ct scanning has no part in the primary detection of gastric ulcers; In some cases, a ct scan may also be used to confirm the results of an endoscopy. However, this modality has a role in the detection of subphrenic and other collections that may occur. Thickening and swelling of the bowel wall;
From www.ctisus.com
Pneumoperitoneum Due To Perforated Gastric Ulcer Stomach Case Studies Ct Scan Ulcer Thickening and swelling of the bowel wall; Abdominal ct scans are a diagnostic tool for identifying infections, inflammation, injury, or cancer in the abdomen or pelvis. In the acute setting ct is the modality of choice for assessing a patient with acute abdominal pain, and in some settings. The doctor will look for abnormal changes in the lining, such as. Ct Scan Ulcer.
From www.researchgate.net
atherosclerotic ulcer—axial postcontrast CT scan in a Ct Scan Ulcer Often you are looking for secondary signs of inflammation: The doctor will look for abnormal changes in the lining, such as ulcerations or inflammation. In the acute setting ct is the modality of choice for assessing a patient with acute abdominal pain, and in some settings. However, the ulcer crater itself can be difficult to directly see on ct. •. Ct Scan Ulcer.
From atlas.mudr.org
Radiology case Perforation of gastric ulcer, stomach ulcer Ct Scan Ulcer Often you are looking for secondary signs of inflammation: Ct scans are often used to diagnose stomach ulcers, as they can provide clear images of the stomach lining. In some cases, a ct scan may also be used to confirm the results of an endoscopy. • multiplanar ct interpretation allows detecting deep ulcers and secondary signs of gastroduodenitis. However, this. Ct Scan Ulcer.
From www.ctisus.com
Duodenal Ulcer with Local Inflammation Small Bowel Case Studies Ct Scan Ulcer In some cases, a ct scan may also be used to confirm the results of an endoscopy. However, this modality has a role in the detection of subphrenic and other collections that may occur. • multiplanar ct interpretation allows detecting deep ulcers and secondary signs of gastroduodenitis. Ct scans are often used to diagnose stomach ulcers, as they can provide. Ct Scan Ulcer.
From radiopaedia.org
Perforated duodenal ulcer Image Ct Scan Ulcer Thickening and swelling of the bowel wall; However, this modality has a role in the detection of subphrenic and other collections that may occur. • multiplanar ct interpretation allows detecting deep ulcers and secondary signs of gastroduodenitis. In the acute setting ct is the modality of choice for assessing a patient with acute abdominal pain, and in some settings. Abdominal. Ct Scan Ulcer.
From www.researchgate.net
Abdomen CT scan shows diffuse wall thickening and ulceration of gastric Ct Scan Ulcer Abdominal ct scans are a diagnostic tool for identifying infections, inflammation, injury, or cancer in the abdomen or pelvis. In some cases, a ct scan may also be used to confirm the results of an endoscopy. Often you are looking for secondary signs of inflammation: Thickening and swelling of the bowel wall; • multiplanar ct interpretation allows detecting deep ulcers. Ct Scan Ulcer.
From litfl.com
Abdominal CT peptic ulcer disease • LITFL • Radiology Library Ct Scan Ulcer A provider might use contact dye. Thickening and swelling of the bowel wall; Often you are looking for secondary signs of inflammation: In some cases, a ct scan may also be used to confirm the results of an endoscopy. However, this modality has a role in the detection of subphrenic and other collections that may occur. Abdominal ct scans are. Ct Scan Ulcer.
From www.cancerstaging.com
Perforated Antral Ulcer Stomach Case Studies CTisus CT Scanning Ct Scan Ulcer Ct scans are often used to diagnose stomach ulcers, as they can provide clear images of the stomach lining. Abdominal ct scans are a diagnostic tool for identifying infections, inflammation, injury, or cancer in the abdomen or pelvis. Often you are looking for secondary signs of inflammation: However, the ulcer crater itself can be difficult to directly see on ct.. Ct Scan Ulcer.
From www.casestacks.com
BodyCT Case 68 Ct Scan Ulcer Abdominal ct scans are a diagnostic tool for identifying infections, inflammation, injury, or cancer in the abdomen or pelvis. However, the ulcer crater itself can be difficult to directly see on ct. Ct scans are often used to diagnose stomach ulcers, as they can provide clear images of the stomach lining. The doctor will look for abnormal changes in the. Ct Scan Ulcer.
From litfl.com
Abdominal CT peptic ulcer perforation • LITFL • Radiology Library Ct Scan Ulcer In the acute setting ct is the modality of choice for assessing a patient with acute abdominal pain, and in some settings. Abdominal ct scans are a diagnostic tool for identifying infections, inflammation, injury, or cancer in the abdomen or pelvis. Thickening and swelling of the bowel wall; Ct scans are often used to diagnose stomach ulcers, as they can. Ct Scan Ulcer.
From www.cureus.com
Cureus Chronic Lymphocytic Leukemia Causing Gastric Ulcer Perforation Ct Scan Ulcer A provider might use contact dye. Ct scanning has no part in the primary detection of gastric ulcers; Often you are looking for secondary signs of inflammation: • multiplanar ct interpretation allows detecting deep ulcers and secondary signs of gastroduodenitis. The doctor will look for abnormal changes in the lining, such as ulcerations or inflammation. Thickening and swelling of the. Ct Scan Ulcer.
From www.ctisus.com
Ulcer with Active Bleed in Gastric Antrum Stomach Case Studies Ct Scan Ulcer Ct scanning has no part in the primary detection of gastric ulcers; Often you are looking for secondary signs of inflammation: Ct is excellent for making the diagnosis of a perforated ulcer and can help guide treatment. The doctor will look for abnormal changes in the lining, such as ulcerations or inflammation. A provider might use contact dye. However, this. Ct Scan Ulcer.
From www.ahajournals.org
Atherosclerotic Ulcer of the Aortic Arch Circulation Ct Scan Ulcer Abdominal ct scans are a diagnostic tool for identifying infections, inflammation, injury, or cancer in the abdomen or pelvis. Ct scanning has no part in the primary detection of gastric ulcers; However, this modality has a role in the detection of subphrenic and other collections that may occur. A provider might use contact dye. In some cases, a ct scan. Ct Scan Ulcer.
From catlovster.blogspot.com
Does An Ulcer Show Up On A Cat Scan Cat Lovster Ct Scan Ulcer • multiplanar ct interpretation allows detecting deep ulcers and secondary signs of gastroduodenitis. Often you are looking for secondary signs of inflammation: Ct scanning has no part in the primary detection of gastric ulcers; Thickening and swelling of the bowel wall; Abdominal ct scans are a diagnostic tool for identifying infections, inflammation, injury, or cancer in the abdomen or pelvis.. Ct Scan Ulcer.
From angiologist.com
Aortic Ulcer Diagnosis and Management Ct Scan Ulcer • multiplanar ct interpretation allows detecting deep ulcers and secondary signs of gastroduodenitis. Thickening and swelling of the bowel wall; Often you are looking for secondary signs of inflammation: In the acute setting ct is the modality of choice for assessing a patient with acute abdominal pain, and in some settings. Ct scans are often used to diagnose stomach ulcers,. Ct Scan Ulcer.
From www.researchgate.net
CT scan shows a suspicious large deep ulcer with gastrointestinal wall Ct Scan Ulcer Ct scanning has no part in the primary detection of gastric ulcers; • multiplanar ct interpretation allows detecting deep ulcers and secondary signs of gastroduodenitis. Ct scans are often used to diagnose stomach ulcers, as they can provide clear images of the stomach lining. The doctor will look for abnormal changes in the lining, such as ulcerations or inflammation. However,. Ct Scan Ulcer.
From insightsimaging.springeropen.com
Nonperforated peptic ulcer disease multidetector CT findings Ct Scan Ulcer A provider might use contact dye. Ct scanning has no part in the primary detection of gastric ulcers; However, this modality has a role in the detection of subphrenic and other collections that may occur. However, the ulcer crater itself can be difficult to directly see on ct. In some cases, a ct scan may also be used to confirm. Ct Scan Ulcer.
From litfl.com
Abdominal CT peptic ulcer perforation • LITFL • Radiology Library Ct Scan Ulcer Thickening and swelling of the bowel wall; In some cases, a ct scan may also be used to confirm the results of an endoscopy. Often you are looking for secondary signs of inflammation: Abdominal ct scans are a diagnostic tool for identifying infections, inflammation, injury, or cancer in the abdomen or pelvis. The doctor will look for abnormal changes in. Ct Scan Ulcer.
From www.svuhradiology.ie
Perforated Duodenal Ulcer CT Radiology at St. Vincent's University Ct Scan Ulcer Abdominal ct scans are a diagnostic tool for identifying infections, inflammation, injury, or cancer in the abdomen or pelvis. Ct scanning has no part in the primary detection of gastric ulcers; • multiplanar ct interpretation allows detecting deep ulcers and secondary signs of gastroduodenitis. A provider might use contact dye. However, the ulcer crater itself can be difficult to directly. Ct Scan Ulcer.
From www.researchgate.net
atherosclerotic ulcer—axial postcontrast CT scan in a Ct Scan Ulcer Ct is excellent for making the diagnosis of a perforated ulcer and can help guide treatment. In some cases, a ct scan may also be used to confirm the results of an endoscopy. Abdominal ct scans are a diagnostic tool for identifying infections, inflammation, injury, or cancer in the abdomen or pelvis. Ct scanning has no part in the primary. Ct Scan Ulcer.
From pubs.rsna.org
CT of Gastric Emergencies RadioGraphics Ct Scan Ulcer Ct scans are often used to diagnose stomach ulcers, as they can provide clear images of the stomach lining. In the acute setting ct is the modality of choice for assessing a patient with acute abdominal pain, and in some settings. Abdominal ct scans are a diagnostic tool for identifying infections, inflammation, injury, or cancer in the abdomen or pelvis.. Ct Scan Ulcer.
From www.ctisus.com
Large Decubitus Ulcer Musculoskeletal Case Studies CTisus CT Scanning Ct Scan Ulcer Abdominal ct scans are a diagnostic tool for identifying infections, inflammation, injury, or cancer in the abdomen or pelvis. The doctor will look for abnormal changes in the lining, such as ulcerations or inflammation. Ct scanning has no part in the primary detection of gastric ulcers; A provider might use contact dye. Often you are looking for secondary signs of. Ct Scan Ulcer.
From www.researchgate.net
a Esophagram test and b CT scan show the decubitus ulcer in the Ct Scan Ulcer Thickening and swelling of the bowel wall; Ct is excellent for making the diagnosis of a perforated ulcer and can help guide treatment. However, the ulcer crater itself can be difficult to directly see on ct. A provider might use contact dye. Often you are looking for secondary signs of inflammation: Abdominal ct scans are a diagnostic tool for identifying. Ct Scan Ulcer.
From radiopaedia.org
Image Ct Scan Ulcer • multiplanar ct interpretation allows detecting deep ulcers and secondary signs of gastroduodenitis. However, the ulcer crater itself can be difficult to directly see on ct. The doctor will look for abnormal changes in the lining, such as ulcerations or inflammation. A provider might use contact dye. Ct scanning has no part in the primary detection of gastric ulcers; Ct. Ct Scan Ulcer.
From www.researchgate.net
c. CT scan image through upper thighs shows Teflon felt in base of Ct Scan Ulcer A provider might use contact dye. Often you are looking for secondary signs of inflammation: Ct scans are often used to diagnose stomach ulcers, as they can provide clear images of the stomach lining. Ct scanning has no part in the primary detection of gastric ulcers; Thickening and swelling of the bowel wall; Abdominal ct scans are a diagnostic tool. Ct Scan Ulcer.
From litfl.com
Abdominal CT peptic ulcer perforation • LITFL • Radiology Library Ct Scan Ulcer Ct scanning has no part in the primary detection of gastric ulcers; However, the ulcer crater itself can be difficult to directly see on ct. • multiplanar ct interpretation allows detecting deep ulcers and secondary signs of gastroduodenitis. However, this modality has a role in the detection of subphrenic and other collections that may occur. Often you are looking for. Ct Scan Ulcer.
From em.umaryland.edu
UMEM Educational Pearls University of Maryland School of Medicine Ct Scan Ulcer • multiplanar ct interpretation allows detecting deep ulcers and secondary signs of gastroduodenitis. The doctor will look for abnormal changes in the lining, such as ulcerations or inflammation. Thickening and swelling of the bowel wall; However, this modality has a role in the detection of subphrenic and other collections that may occur. Abdominal ct scans are a diagnostic tool for. Ct Scan Ulcer.
From www.aafp.org
Gastric Ulcer and Abnormal Findings on CT AAFP Ct Scan Ulcer However, the ulcer crater itself can be difficult to directly see on ct. However, this modality has a role in the detection of subphrenic and other collections that may occur. Ct scanning has no part in the primary detection of gastric ulcers; Ct is excellent for making the diagnosis of a perforated ulcer and can help guide treatment. In the. Ct Scan Ulcer.
From litfl.com
Abdominal CT peptic ulcer perforation • LITFL • Radiology Library Ct Scan Ulcer Ct scans are often used to diagnose stomach ulcers, as they can provide clear images of the stomach lining. Abdominal ct scans are a diagnostic tool for identifying infections, inflammation, injury, or cancer in the abdomen or pelvis. Thickening and swelling of the bowel wall; • multiplanar ct interpretation allows detecting deep ulcers and secondary signs of gastroduodenitis. Often you. Ct Scan Ulcer.
From www.researchgate.net
Preoperative CT scan showed aortic ulcer like appearance Ct Scan Ulcer Often you are looking for secondary signs of inflammation: • multiplanar ct interpretation allows detecting deep ulcers and secondary signs of gastroduodenitis. In some cases, a ct scan may also be used to confirm the results of an endoscopy. The doctor will look for abnormal changes in the lining, such as ulcerations or inflammation. Ct scanning has no part in. Ct Scan Ulcer.
From www.researchgate.net
CT scan of abdomen and pelvis showing a large ulcer in the perianal Ct Scan Ulcer Thickening and swelling of the bowel wall; Ct scans are often used to diagnose stomach ulcers, as they can provide clear images of the stomach lining. Ct scanning has no part in the primary detection of gastric ulcers; A provider might use contact dye. In the acute setting ct is the modality of choice for assessing a patient with acute. Ct Scan Ulcer.
From www.ctisus.com
Large Decubitus Ulcer Musculoskeletal Case Studies CTisus CT Scanning Ct Scan Ulcer However, the ulcer crater itself can be difficult to directly see on ct. In some cases, a ct scan may also be used to confirm the results of an endoscopy. Ct scans are often used to diagnose stomach ulcers, as they can provide clear images of the stomach lining. • multiplanar ct interpretation allows detecting deep ulcers and secondary signs. Ct Scan Ulcer.
From www.ctisus.com
Ulcer with Active Bleed in Gastric Antrum Stomach Case Studies Ct Scan Ulcer Ct scans are often used to diagnose stomach ulcers, as they can provide clear images of the stomach lining. In some cases, a ct scan may also be used to confirm the results of an endoscopy. However, this modality has a role in the detection of subphrenic and other collections that may occur. A provider might use contact dye. Abdominal. Ct Scan Ulcer.
From www.pinterest.com
atherosclerotic ulcer. Ulcers, Ct scan, Vascular Ct Scan Ulcer Ct scans are often used to diagnose stomach ulcers, as they can provide clear images of the stomach lining. Thickening and swelling of the bowel wall; Ct is excellent for making the diagnosis of a perforated ulcer and can help guide treatment. Abdominal ct scans are a diagnostic tool for identifying infections, inflammation, injury, or cancer in the abdomen or. Ct Scan Ulcer.
From litfl.com
Abdominal CT peptic ulcer perforation • LITFL • Radiology Library Ct Scan Ulcer Often you are looking for secondary signs of inflammation: Ct is excellent for making the diagnosis of a perforated ulcer and can help guide treatment. A provider might use contact dye. However, this modality has a role in the detection of subphrenic and other collections that may occur. Ct scans are often used to diagnose stomach ulcers, as they can. Ct Scan Ulcer.