Labrador Retriever Lymphoma . Lymphosarcoma is a common cancer of lymphocytes in dogs and can occur in. Enlarged lymph nodes may also occur due to infections or autoimmune diseases, so your veterinarian will perform tests to determine the. Lymphoma in dogs is a type of cancer that starts in their white blood cells. Learn about the signs of lymphoma in dogs, the stages, treatments, and possible life expectancy of a dog with lymphoma. One of the most common instances of dog cancer is lymphoma. Dog lymphoma is cancer affecting white blood cells. Learn more about symptoms, stages, and treatments of canine lymphoma. Not all dogs with enlarged lymph nodes have lymphoma.
from www.semanticscholar.org
Learn more about symptoms, stages, and treatments of canine lymphoma. Not all dogs with enlarged lymph nodes have lymphoma. Lymphosarcoma is a common cancer of lymphocytes in dogs and can occur in. One of the most common instances of dog cancer is lymphoma. Learn about the signs of lymphoma in dogs, the stages, treatments, and possible life expectancy of a dog with lymphoma. Lymphoma in dogs is a type of cancer that starts in their white blood cells. Dog lymphoma is cancer affecting white blood cells. Enlarged lymph nodes may also occur due to infections or autoimmune diseases, so your veterinarian will perform tests to determine the.
Pemphigus erythematosus and cutaneous epitheliotropic lymphoma in a
Labrador Retriever Lymphoma Lymphoma in dogs is a type of cancer that starts in their white blood cells. Learn about the signs of lymphoma in dogs, the stages, treatments, and possible life expectancy of a dog with lymphoma. Dog lymphoma is cancer affecting white blood cells. One of the most common instances of dog cancer is lymphoma. Lymphosarcoma is a common cancer of lymphocytes in dogs and can occur in. Enlarged lymph nodes may also occur due to infections or autoimmune diseases, so your veterinarian will perform tests to determine the. Lymphoma in dogs is a type of cancer that starts in their white blood cells. Not all dogs with enlarged lymph nodes have lymphoma. Learn more about symptoms, stages, and treatments of canine lymphoma.
From www.justanswer.com
My mother’s dog had swollen lymph nodes and vets think it’s lymphoma Labrador Retriever Lymphoma Enlarged lymph nodes may also occur due to infections or autoimmune diseases, so your veterinarian will perform tests to determine the. Learn about the signs of lymphoma in dogs, the stages, treatments, and possible life expectancy of a dog with lymphoma. Not all dogs with enlarged lymph nodes have lymphoma. Lymphosarcoma is a common cancer of lymphocytes in dogs and. Labrador Retriever Lymphoma.
From www.researchgate.net
(PDF) Pemphigus erythematosus and cutaneous epitheliotropic lymphoma in Labrador Retriever Lymphoma Dog lymphoma is cancer affecting white blood cells. Lymphosarcoma is a common cancer of lymphocytes in dogs and can occur in. Learn more about symptoms, stages, and treatments of canine lymphoma. Not all dogs with enlarged lymph nodes have lymphoma. One of the most common instances of dog cancer is lymphoma. Learn about the signs of lymphoma in dogs, the. Labrador Retriever Lymphoma.
From www.researchgate.net
(PDF) Multicentric lymphoma in a male Labrador retriever dog Labrador Retriever Lymphoma Lymphoma in dogs is a type of cancer that starts in their white blood cells. Learn about the signs of lymphoma in dogs, the stages, treatments, and possible life expectancy of a dog with lymphoma. Learn more about symptoms, stages, and treatments of canine lymphoma. Not all dogs with enlarged lymph nodes have lymphoma. Lymphosarcoma is a common cancer of. Labrador Retriever Lymphoma.
From www.natural-dog-health-remedies.com
Lymphoma in Dogs Symptoms and Treatment Labrador Retriever Lymphoma Lymphoma in dogs is a type of cancer that starts in their white blood cells. One of the most common instances of dog cancer is lymphoma. Enlarged lymph nodes may also occur due to infections or autoimmune diseases, so your veterinarian will perform tests to determine the. Learn more about symptoms, stages, and treatments of canine lymphoma. Dog lymphoma is. Labrador Retriever Lymphoma.
From www.msdvetmanual.com
Lymphoma in Dogs Lymphoma in Dogs MSD Veterinary Manual Labrador Retriever Lymphoma One of the most common instances of dog cancer is lymphoma. Enlarged lymph nodes may also occur due to infections or autoimmune diseases, so your veterinarian will perform tests to determine the. Learn more about symptoms, stages, and treatments of canine lymphoma. Lymphosarcoma is a common cancer of lymphocytes in dogs and can occur in. Dog lymphoma is cancer affecting. Labrador Retriever Lymphoma.
From www.amcny.org
Lymphoma in Dogs The Animal Medical Center Labrador Retriever Lymphoma One of the most common instances of dog cancer is lymphoma. Dog lymphoma is cancer affecting white blood cells. Learn about the signs of lymphoma in dogs, the stages, treatments, and possible life expectancy of a dog with lymphoma. Not all dogs with enlarged lymph nodes have lymphoma. Enlarged lymph nodes may also occur due to infections or autoimmune diseases,. Labrador Retriever Lymphoma.
From www.pdsa.org.uk
Lymphoma in dogs PDSA Labrador Retriever Lymphoma Not all dogs with enlarged lymph nodes have lymphoma. One of the most common instances of dog cancer is lymphoma. Lymphosarcoma is a common cancer of lymphocytes in dogs and can occur in. Enlarged lymph nodes may also occur due to infections or autoimmune diseases, so your veterinarian will perform tests to determine the. Learn about the signs of lymphoma. Labrador Retriever Lymphoma.
From www.justanswer.com
My mother’s dog had swollen lymph nodes and vets think it’s lymphoma Labrador Retriever Lymphoma Not all dogs with enlarged lymph nodes have lymphoma. Learn more about symptoms, stages, and treatments of canine lymphoma. Enlarged lymph nodes may also occur due to infections or autoimmune diseases, so your veterinarian will perform tests to determine the. One of the most common instances of dog cancer is lymphoma. Learn about the signs of lymphoma in dogs, the. Labrador Retriever Lymphoma.
From ibimapublishing.com
Epitheliotrophic Cutaneous T Cell Lymphoma (CETL) in a Labrador Labrador Retriever Lymphoma Lymphoma in dogs is a type of cancer that starts in their white blood cells. Lymphosarcoma is a common cancer of lymphocytes in dogs and can occur in. Learn more about symptoms, stages, and treatments of canine lymphoma. Learn about the signs of lymphoma in dogs, the stages, treatments, and possible life expectancy of a dog with lymphoma. Enlarged lymph. Labrador Retriever Lymphoma.
From www.veterinaryradiology.net
4 year old Labrador Retriever Labrador Retriever Lymphoma Learn about the signs of lymphoma in dogs, the stages, treatments, and possible life expectancy of a dog with lymphoma. Not all dogs with enlarged lymph nodes have lymphoma. Learn more about symptoms, stages, and treatments of canine lymphoma. Enlarged lymph nodes may also occur due to infections or autoimmune diseases, so your veterinarian will perform tests to determine the.. Labrador Retriever Lymphoma.
From dogtreatmentpro.com
What You Should Know About Canine Lymphoma Symptoms,Holistic Treatment Labrador Retriever Lymphoma One of the most common instances of dog cancer is lymphoma. Learn more about symptoms, stages, and treatments of canine lymphoma. Not all dogs with enlarged lymph nodes have lymphoma. Lymphosarcoma is a common cancer of lymphocytes in dogs and can occur in. Enlarged lymph nodes may also occur due to infections or autoimmune diseases, so your veterinarian will perform. Labrador Retriever Lymphoma.
From www.pinterest.com
Our poor guy has lymphoma, but he will be loved and cared for dearly Labrador Retriever Lymphoma Learn more about symptoms, stages, and treatments of canine lymphoma. One of the most common instances of dog cancer is lymphoma. Lymphoma in dogs is a type of cancer that starts in their white blood cells. Enlarged lymph nodes may also occur due to infections or autoimmune diseases, so your veterinarian will perform tests to determine the. Learn about the. Labrador Retriever Lymphoma.
From www.semanticscholar.org
Pemphigus erythematosus and cutaneous epitheliotropic lymphoma in a Labrador Retriever Lymphoma Learn about the signs of lymphoma in dogs, the stages, treatments, and possible life expectancy of a dog with lymphoma. One of the most common instances of dog cancer is lymphoma. Not all dogs with enlarged lymph nodes have lymphoma. Enlarged lymph nodes may also occur due to infections or autoimmune diseases, so your veterinarian will perform tests to determine. Labrador Retriever Lymphoma.
From www.semanticscholar.org
Figure 1 from Epitheliotrophic Cutaneous T Cell Lymphoma (CETL) in a Labrador Retriever Lymphoma One of the most common instances of dog cancer is lymphoma. Dog lymphoma is cancer affecting white blood cells. Lymphosarcoma is a common cancer of lymphocytes in dogs and can occur in. Learn about the signs of lymphoma in dogs, the stages, treatments, and possible life expectancy of a dog with lymphoma. Lymphoma in dogs is a type of cancer. Labrador Retriever Lymphoma.
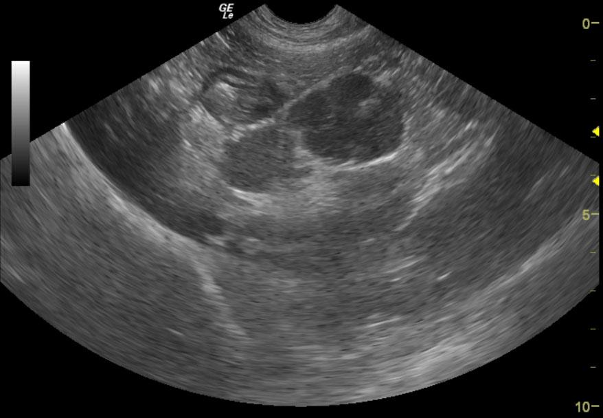
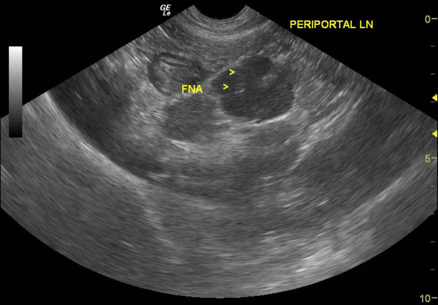
From members.sonopath.com
Lymphoma in a 4 year old FS Labrador Retriever mix dog Members Labrador Retriever Lymphoma Learn more about symptoms, stages, and treatments of canine lymphoma. Enlarged lymph nodes may also occur due to infections or autoimmune diseases, so your veterinarian will perform tests to determine the. Lymphosarcoma is a common cancer of lymphocytes in dogs and can occur in. Learn about the signs of lymphoma in dogs, the stages, treatments, and possible life expectancy of. Labrador Retriever Lymphoma.
From www.semanticscholar.org
Pemphigus erythematosus and cutaneous epitheliotropic lymphoma in a Labrador Retriever Lymphoma Not all dogs with enlarged lymph nodes have lymphoma. Lymphosarcoma is a common cancer of lymphocytes in dogs and can occur in. Learn more about symptoms, stages, and treatments of canine lymphoma. One of the most common instances of dog cancer is lymphoma. Dog lymphoma is cancer affecting white blood cells. Enlarged lymph nodes may also occur due to infections. Labrador Retriever Lymphoma.
From labradortime.com
Understanding the Silent Killer for Labrador Lymphoma in Dogs Labrador Retriever Lymphoma Dog lymphoma is cancer affecting white blood cells. Not all dogs with enlarged lymph nodes have lymphoma. Learn more about symptoms, stages, and treatments of canine lymphoma. Learn about the signs of lymphoma in dogs, the stages, treatments, and possible life expectancy of a dog with lymphoma. Lymphoma in dogs is a type of cancer that starts in their white. Labrador Retriever Lymphoma.
From www.purina-arabia.com
Lymphoma in Dogs Symptoms and Treatment Purina Labrador Retriever Lymphoma Learn more about symptoms, stages, and treatments of canine lymphoma. Not all dogs with enlarged lymph nodes have lymphoma. Learn about the signs of lymphoma in dogs, the stages, treatments, and possible life expectancy of a dog with lymphoma. Enlarged lymph nodes may also occur due to infections or autoimmune diseases, so your veterinarian will perform tests to determine the.. Labrador Retriever Lymphoma.
From www.researchgate.net
(PDF) Epitheliotrophic Cutaneous T Cell Lymphoma (CETL) in a Labrador Labrador Retriever Lymphoma Dog lymphoma is cancer affecting white blood cells. Lymphosarcoma is a common cancer of lymphocytes in dogs and can occur in. Lymphoma in dogs is a type of cancer that starts in their white blood cells. One of the most common instances of dog cancer is lymphoma. Learn more about symptoms, stages, and treatments of canine lymphoma. Not all dogs. Labrador Retriever Lymphoma.
From members.sonopath.com
Lymphoma in a 4 year old FS Labrador Retriever mix dog Members Labrador Retriever Lymphoma Lymphosarcoma is a common cancer of lymphocytes in dogs and can occur in. Not all dogs with enlarged lymph nodes have lymphoma. Enlarged lymph nodes may also occur due to infections or autoimmune diseases, so your veterinarian will perform tests to determine the. Dog lymphoma is cancer affecting white blood cells. Learn about the signs of lymphoma in dogs, the. Labrador Retriever Lymphoma.
From ibimapublishing.com
Epitheliotrophic Cutaneous T Cell Lymphoma (CETL) in a Labrador Labrador Retriever Lymphoma Lymphosarcoma is a common cancer of lymphocytes in dogs and can occur in. Not all dogs with enlarged lymph nodes have lymphoma. Learn about the signs of lymphoma in dogs, the stages, treatments, and possible life expectancy of a dog with lymphoma. Lymphoma in dogs is a type of cancer that starts in their white blood cells. Dog lymphoma is. Labrador Retriever Lymphoma.
From www.pinterest.com
Zahras lymphoma is back!! Shes recovered from the pneumonia & had chemo Labrador Retriever Lymphoma One of the most common instances of dog cancer is lymphoma. Learn more about symptoms, stages, and treatments of canine lymphoma. Lymphoma in dogs is a type of cancer that starts in their white blood cells. Enlarged lymph nodes may also occur due to infections or autoimmune diseases, so your veterinarian will perform tests to determine the. Dog lymphoma is. Labrador Retriever Lymphoma.
From ibimapublishing.com
Epitheliotrophic Cutaneous T Cell Lymphoma (CETL) in a Labrador Labrador Retriever Lymphoma Learn more about symptoms, stages, and treatments of canine lymphoma. Lymphosarcoma is a common cancer of lymphocytes in dogs and can occur in. Learn about the signs of lymphoma in dogs, the stages, treatments, and possible life expectancy of a dog with lymphoma. One of the most common instances of dog cancer is lymphoma. Dog lymphoma is cancer affecting white. Labrador Retriever Lymphoma.
From ibimapublishing.com
Epitheliotrophic Cutaneous T Cell Lymphoma (CETL) in a Labrador Labrador Retriever Lymphoma Learn more about symptoms, stages, and treatments of canine lymphoma. Not all dogs with enlarged lymph nodes have lymphoma. Dog lymphoma is cancer affecting white blood cells. Enlarged lymph nodes may also occur due to infections or autoimmune diseases, so your veterinarian will perform tests to determine the. Lymphosarcoma is a common cancer of lymphocytes in dogs and can occur. Labrador Retriever Lymphoma.
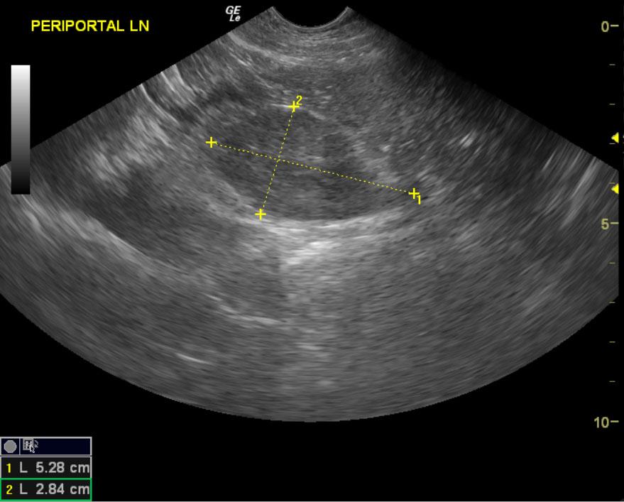
From members.sonopath.com
Lymphoma in a 4 year old FS Labrador Retriever mix dog Members Labrador Retriever Lymphoma Learn more about symptoms, stages, and treatments of canine lymphoma. Enlarged lymph nodes may also occur due to infections or autoimmune diseases, so your veterinarian will perform tests to determine the. One of the most common instances of dog cancer is lymphoma. Not all dogs with enlarged lymph nodes have lymphoma. Lymphosarcoma is a common cancer of lymphocytes in dogs. Labrador Retriever Lymphoma.
From www.semanticscholar.org
Pemphigus erythematosus and cutaneous epitheliotropic lymphoma in a Labrador Retriever Lymphoma One of the most common instances of dog cancer is lymphoma. Learn more about symptoms, stages, and treatments of canine lymphoma. Learn about the signs of lymphoma in dogs, the stages, treatments, and possible life expectancy of a dog with lymphoma. Enlarged lymph nodes may also occur due to infections or autoimmune diseases, so your veterinarian will perform tests to. Labrador Retriever Lymphoma.
From janettefuller.blogspot.com
Fuller My Dog Has Cancer Labrador Retriever Lymphoma Not all dogs with enlarged lymph nodes have lymphoma. Learn about the signs of lymphoma in dogs, the stages, treatments, and possible life expectancy of a dog with lymphoma. Lymphosarcoma is a common cancer of lymphocytes in dogs and can occur in. Learn more about symptoms, stages, and treatments of canine lymphoma. Lymphoma in dogs is a type of cancer. Labrador Retriever Lymphoma.
From ibimapublishing.com
IBIMA Publishing Epitheliotrophic Cutaneous T Cell Lymphoma (CETL) in a Labrador Retriever Lymphoma Lymphoma in dogs is a type of cancer that starts in their white blood cells. Learn about the signs of lymphoma in dogs, the stages, treatments, and possible life expectancy of a dog with lymphoma. Learn more about symptoms, stages, and treatments of canine lymphoma. Lymphosarcoma is a common cancer of lymphocytes in dogs and can occur in. Not all. Labrador Retriever Lymphoma.
From www.pinterest.com
NATIONAL CANINE LYMPHOMA AWARENESS DAY NOVEMBER 7 Labrador Labrador Retriever Lymphoma One of the most common instances of dog cancer is lymphoma. Lymphosarcoma is a common cancer of lymphocytes in dogs and can occur in. Learn more about symptoms, stages, and treatments of canine lymphoma. Dog lymphoma is cancer affecting white blood cells. Enlarged lymph nodes may also occur due to infections or autoimmune diseases, so your veterinarian will perform tests. Labrador Retriever Lymphoma.
From bowwowinsurance.com.au
Dog Lymphoma Symptoms & Treatment Bow Wow Meow Labrador Retriever Lymphoma Lymphosarcoma is a common cancer of lymphocytes in dogs and can occur in. Enlarged lymph nodes may also occur due to infections or autoimmune diseases, so your veterinarian will perform tests to determine the. Lymphoma in dogs is a type of cancer that starts in their white blood cells. One of the most common instances of dog cancer is lymphoma.. Labrador Retriever Lymphoma.
From blog.petloverscentre.com
Lymphoma in Dogs Causes, Signs & Treatment [+ Vet Advice] Labrador Retriever Lymphoma Learn more about symptoms, stages, and treatments of canine lymphoma. Learn about the signs of lymphoma in dogs, the stages, treatments, and possible life expectancy of a dog with lymphoma. Enlarged lymph nodes may also occur due to infections or autoimmune diseases, so your veterinarian will perform tests to determine the. One of the most common instances of dog cancer. Labrador Retriever Lymphoma.
From ibimapublishing.com
Epitheliotrophic Cutaneous T Cell Lymphoma (CETL) in a Labrador Labrador Retriever Lymphoma One of the most common instances of dog cancer is lymphoma. Dog lymphoma is cancer affecting white blood cells. Enlarged lymph nodes may also occur due to infections or autoimmune diseases, so your veterinarian will perform tests to determine the. Lymphosarcoma is a common cancer of lymphocytes in dogs and can occur in. Learn more about symptoms, stages, and treatments. Labrador Retriever Lymphoma.
From animalia-life.club
What Causes Mast Cell Tumors In Dogs Labrador Retriever Lymphoma Lymphosarcoma is a common cancer of lymphocytes in dogs and can occur in. Learn about the signs of lymphoma in dogs, the stages, treatments, and possible life expectancy of a dog with lymphoma. One of the most common instances of dog cancer is lymphoma. Lymphoma in dogs is a type of cancer that starts in their white blood cells. Learn. Labrador Retriever Lymphoma.
From www.pinterest.com
Watch out for the signs and symptoms of lymphoma in dogs. Lymphoma in Labrador Retriever Lymphoma Enlarged lymph nodes may also occur due to infections or autoimmune diseases, so your veterinarian will perform tests to determine the. Lymphoma in dogs is a type of cancer that starts in their white blood cells. One of the most common instances of dog cancer is lymphoma. Learn more about symptoms, stages, and treatments of canine lymphoma. Dog lymphoma is. Labrador Retriever Lymphoma.
From members.sonopath.com
Lymphoma in a 4 year old FS Labrador Retriever mix dog Members Labrador Retriever Lymphoma One of the most common instances of dog cancer is lymphoma. Learn about the signs of lymphoma in dogs, the stages, treatments, and possible life expectancy of a dog with lymphoma. Lymphosarcoma is a common cancer of lymphocytes in dogs and can occur in. Not all dogs with enlarged lymph nodes have lymphoma. Dog lymphoma is cancer affecting white blood. Labrador Retriever Lymphoma.