Feeding Tube In Small Bowel . This opening is called a fistula. Tube feeding (enteral nutrition) delivers liquid nutrition through a flexible tube that goes in through your nose or directly into your stomach or small. Indications include aspiration, severe ger, recurrent nausea and vomiting, gastric or proximal small bowel dysmotility, and postsurgery. Normally, a gastric tube should also be placed to decompress. A pej tube is placed in your jejunum, which is the second part of your small intestine. Feeding can commence when position of the feeding tube is confirmed in the small bowel. The soft, flexible tube enters a surgically created opening. Enteral feeding tubes allow liquid food to enter your stomach or intestine through a tube. If the tube can’t be placed into your stomach, you may have a pej tube placed instead (see figure 1, right). A peg is a feeding tube that is placed into your stomach (see figure 1, left). For feeding into the small bowel (jejunostomy feeding), an opening is made through the abdominal wall. A feeding tube is a flexible plastic tube placed into your stomach or bowel to help you get nutrition when you're unable to eat as well as you.
from physicians.oslerthoracics.ca
A peg is a feeding tube that is placed into your stomach (see figure 1, left). Tube feeding (enteral nutrition) delivers liquid nutrition through a flexible tube that goes in through your nose or directly into your stomach or small. A pej tube is placed in your jejunum, which is the second part of your small intestine. Indications include aspiration, severe ger, recurrent nausea and vomiting, gastric or proximal small bowel dysmotility, and postsurgery. This opening is called a fistula. Enteral feeding tubes allow liquid food to enter your stomach or intestine through a tube. If the tube can’t be placed into your stomach, you may have a pej tube placed instead (see figure 1, right). Normally, a gastric tube should also be placed to decompress. Feeding can commence when position of the feeding tube is confirmed in the small bowel. For feeding into the small bowel (jejunostomy feeding), an opening is made through the abdominal wall.
MINIMALLY INVASIVE ESOPHAGECTOMY Physicians
Feeding Tube In Small Bowel Indications include aspiration, severe ger, recurrent nausea and vomiting, gastric or proximal small bowel dysmotility, and postsurgery. The soft, flexible tube enters a surgically created opening. If the tube can’t be placed into your stomach, you may have a pej tube placed instead (see figure 1, right). Enteral feeding tubes allow liquid food to enter your stomach or intestine through a tube. Feeding can commence when position of the feeding tube is confirmed in the small bowel. Normally, a gastric tube should also be placed to decompress. Tube feeding (enteral nutrition) delivers liquid nutrition through a flexible tube that goes in through your nose or directly into your stomach or small. A feeding tube is a flexible plastic tube placed into your stomach or bowel to help you get nutrition when you're unable to eat as well as you. A pej tube is placed in your jejunum, which is the second part of your small intestine. For feeding into the small bowel (jejunostomy feeding), an opening is made through the abdominal wall. A peg is a feeding tube that is placed into your stomach (see figure 1, left). Indications include aspiration, severe ger, recurrent nausea and vomiting, gastric or proximal small bowel dysmotility, and postsurgery. This opening is called a fistula.
From www.yumpu.com
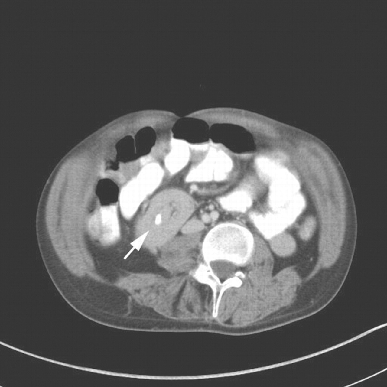
Instructions for Placing Nasogastric, Small Bowel Feeding Tubes Feeding Tube In Small Bowel Normally, a gastric tube should also be placed to decompress. A feeding tube is a flexible plastic tube placed into your stomach or bowel to help you get nutrition when you're unable to eat as well as you. This opening is called a fistula. A pej tube is placed in your jejunum, which is the second part of your small. Feeding Tube In Small Bowel.
From dxomnktus.blob.core.windows.net
What Is Gastric Enteral Feeding at Christopher Moore blog Feeding Tube In Small Bowel Normally, a gastric tube should also be placed to decompress. For feeding into the small bowel (jejunostomy feeding), an opening is made through the abdominal wall. Feeding can commence when position of the feeding tube is confirmed in the small bowel. A feeding tube is a flexible plastic tube placed into your stomach or bowel to help you get nutrition. Feeding Tube In Small Bowel.
From www.lecturio.com
SmallBore Feeding Tube Guide [+ Free Cheat Sheet] Lecturio Feeding Tube In Small Bowel Indications include aspiration, severe ger, recurrent nausea and vomiting, gastric or proximal small bowel dysmotility, and postsurgery. For feeding into the small bowel (jejunostomy feeding), an opening is made through the abdominal wall. This opening is called a fistula. A peg is a feeding tube that is placed into your stomach (see figure 1, left). A feeding tube is a. Feeding Tube In Small Bowel.
From www.semanticscholar.org
Small bowel feeding tube placement using an tube Feeding Tube In Small Bowel A feeding tube is a flexible plastic tube placed into your stomach or bowel to help you get nutrition when you're unable to eat as well as you. The soft, flexible tube enters a surgically created opening. For feeding into the small bowel (jejunostomy feeding), an opening is made through the abdominal wall. If the tube can’t be placed into. Feeding Tube In Small Bowel.
From www.slideshare.net
Procedure for inserting an oral/nasal small bowel feeding tube in CCTC Feeding Tube In Small Bowel A peg is a feeding tube that is placed into your stomach (see figure 1, left). Tube feeding (enteral nutrition) delivers liquid nutrition through a flexible tube that goes in through your nose or directly into your stomach or small. Feeding can commence when position of the feeding tube is confirmed in the small bowel. Normally, a gastric tube should. Feeding Tube In Small Bowel.
From fg.bmj.com
Identifying small bowel intussusception related to a gastroenteric Feeding Tube In Small Bowel Feeding can commence when position of the feeding tube is confirmed in the small bowel. A peg is a feeding tube that is placed into your stomach (see figure 1, left). Tube feeding (enteral nutrition) delivers liquid nutrition through a flexible tube that goes in through your nose or directly into your stomach or small. This opening is called a. Feeding Tube In Small Bowel.
From www.semanticscholar.org
A new method for insertion of long intestinal tube for small bowel Feeding Tube In Small Bowel This opening is called a fistula. Indications include aspiration, severe ger, recurrent nausea and vomiting, gastric or proximal small bowel dysmotility, and postsurgery. Feeding can commence when position of the feeding tube is confirmed in the small bowel. A peg is a feeding tube that is placed into your stomach (see figure 1, left). For feeding into the small bowel. Feeding Tube In Small Bowel.
From wtcs.pressbooks.pub
17.2 Basic Concepts of Enteral Tubes Nursing Skills Feeding Tube In Small Bowel The soft, flexible tube enters a surgically created opening. If the tube can’t be placed into your stomach, you may have a pej tube placed instead (see figure 1, right). Indications include aspiration, severe ger, recurrent nausea and vomiting, gastric or proximal small bowel dysmotility, and postsurgery. Enteral feeding tubes allow liquid food to enter your stomach or intestine through. Feeding Tube In Small Bowel.
From www.roswellpark.org
Feeding tubes — what you should know Roswell Park Comprehensive Feeding Tube In Small Bowel Normally, a gastric tube should also be placed to decompress. The soft, flexible tube enters a surgically created opening. Indications include aspiration, severe ger, recurrent nausea and vomiting, gastric or proximal small bowel dysmotility, and postsurgery. For feeding into the small bowel (jejunostomy feeding), an opening is made through the abdominal wall. If the tube can’t be placed into your. Feeding Tube In Small Bowel.
From es.slideshare.net
Procedure for inserting an oral/nasal small bowel feeding tube in CCTC Feeding Tube In Small Bowel Normally, a gastric tube should also be placed to decompress. Indications include aspiration, severe ger, recurrent nausea and vomiting, gastric or proximal small bowel dysmotility, and postsurgery. Enteral feeding tubes allow liquid food to enter your stomach or intestine through a tube. This opening is called a fistula. Feeding can commence when position of the feeding tube is confirmed in. Feeding Tube In Small Bowel.
From fg.bmj.com
Identifying small bowel intussusception related to a gastroenteric Feeding Tube In Small Bowel The soft, flexible tube enters a surgically created opening. This opening is called a fistula. A peg is a feeding tube that is placed into your stomach (see figure 1, left). For feeding into the small bowel (jejunostomy feeding), an opening is made through the abdominal wall. Normally, a gastric tube should also be placed to decompress. Enteral feeding tubes. Feeding Tube In Small Bowel.
From www.researchgate.net
Techniques for placement of smallbowel feeding tubes Download Table Feeding Tube In Small Bowel Indications include aspiration, severe ger, recurrent nausea and vomiting, gastric or proximal small bowel dysmotility, and postsurgery. If the tube can’t be placed into your stomach, you may have a pej tube placed instead (see figure 1, right). Normally, a gastric tube should also be placed to decompress. Enteral feeding tubes allow liquid food to enter your stomach or intestine. Feeding Tube In Small Bowel.
From mungfali.com
Feeding Tube Into Small Intestine Feeding Tube In Small Bowel Normally, a gastric tube should also be placed to decompress. Indications include aspiration, severe ger, recurrent nausea and vomiting, gastric or proximal small bowel dysmotility, and postsurgery. A peg is a feeding tube that is placed into your stomach (see figure 1, left). Enteral feeding tubes allow liquid food to enter your stomach or intestine through a tube. A pej. Feeding Tube In Small Bowel.
From www.healthproductsforyou.com
Enteral Feeding What, When, and How Read at HPFY Feeding Tube In Small Bowel Tube feeding (enteral nutrition) delivers liquid nutrition through a flexible tube that goes in through your nose or directly into your stomach or small. For feeding into the small bowel (jejunostomy feeding), an opening is made through the abdominal wall. A feeding tube is a flexible plastic tube placed into your stomach or bowel to help you get nutrition when. Feeding Tube In Small Bowel.
From www.slideserve.com
PPT GastroIntestinal Tubes & Enteral Nutrition PowerPoint Feeding Tube In Small Bowel Normally, a gastric tube should also be placed to decompress. Enteral feeding tubes allow liquid food to enter your stomach or intestine through a tube. If the tube can’t be placed into your stomach, you may have a pej tube placed instead (see figure 1, right). The soft, flexible tube enters a surgically created opening. For feeding into the small. Feeding Tube In Small Bowel.
From www.slideshare.net
Procedure for inserting an oral/nasal small bowel feeding tube in CCTC Feeding Tube In Small Bowel The soft, flexible tube enters a surgically created opening. A pej tube is placed in your jejunum, which is the second part of your small intestine. Normally, a gastric tube should also be placed to decompress. Tube feeding (enteral nutrition) delivers liquid nutrition through a flexible tube that goes in through your nose or directly into your stomach or small.. Feeding Tube In Small Bowel.
From physicians.oslerthoracics.ca
MINIMALLY INVASIVE ESOPHAGECTOMY Physicians Feeding Tube In Small Bowel A feeding tube is a flexible plastic tube placed into your stomach or bowel to help you get nutrition when you're unable to eat as well as you. Enteral feeding tubes allow liquid food to enter your stomach or intestine through a tube. If the tube can’t be placed into your stomach, you may have a pej tube placed instead. Feeding Tube In Small Bowel.
From mungfali.com
Feeding Tube Into Small Intestine Feeding Tube In Small Bowel Tube feeding (enteral nutrition) delivers liquid nutrition through a flexible tube that goes in through your nose or directly into your stomach or small. A peg is a feeding tube that is placed into your stomach (see figure 1, left). If the tube can’t be placed into your stomach, you may have a pej tube placed instead (see figure 1,. Feeding Tube In Small Bowel.
From www.semanticscholar.org
Figure 1 from Bedside method for placing small bowel feeding tubes in Feeding Tube In Small Bowel If the tube can’t be placed into your stomach, you may have a pej tube placed instead (see figure 1, right). Normally, a gastric tube should also be placed to decompress. For feeding into the small bowel (jejunostomy feeding), an opening is made through the abdominal wall. Indications include aspiration, severe ger, recurrent nausea and vomiting, gastric or proximal small. Feeding Tube In Small Bowel.
From basicmedicalkey.com
Enteral Nutrition Basicmedical Key Feeding Tube In Small Bowel Enteral feeding tubes allow liquid food to enter your stomach or intestine through a tube. If the tube can’t be placed into your stomach, you may have a pej tube placed instead (see figure 1, right). This opening is called a fistula. Normally, a gastric tube should also be placed to decompress. A feeding tube is a flexible plastic tube. Feeding Tube In Small Bowel.
From www.gbtechusa.com
CORPAK 209551 Ultra Lite Enteral Feeding Tube For Small Bowel Feeding Feeding Tube In Small Bowel This opening is called a fistula. A pej tube is placed in your jejunum, which is the second part of your small intestine. Tube feeding (enteral nutrition) delivers liquid nutrition through a flexible tube that goes in through your nose or directly into your stomach or small. If the tube can’t be placed into your stomach, you may have a. Feeding Tube In Small Bowel.
From slideshare.net
Procedure for inserting an oral/nasal small bowel feeding tube in CCTC Feeding Tube In Small Bowel Feeding can commence when position of the feeding tube is confirmed in the small bowel. Indications include aspiration, severe ger, recurrent nausea and vomiting, gastric or proximal small bowel dysmotility, and postsurgery. If the tube can’t be placed into your stomach, you may have a pej tube placed instead (see figure 1, right). Normally, a gastric tube should also be. Feeding Tube In Small Bowel.
From www.semanticscholar.org
Small bowel feeding tube placement using an tube Feeding Tube In Small Bowel For feeding into the small bowel (jejunostomy feeding), an opening is made through the abdominal wall. If the tube can’t be placed into your stomach, you may have a pej tube placed instead (see figure 1, right). Enteral feeding tubes allow liquid food to enter your stomach or intestine through a tube. Indications include aspiration, severe ger, recurrent nausea and. Feeding Tube In Small Bowel.
From www.rnpedia.com
Tube Feeding RNpedia Feeding Tube In Small Bowel This opening is called a fistula. Feeding can commence when position of the feeding tube is confirmed in the small bowel. A peg is a feeding tube that is placed into your stomach (see figure 1, left). Normally, a gastric tube should also be placed to decompress. If the tube can’t be placed into your stomach, you may have a. Feeding Tube In Small Bowel.
From www.slideshare.net
Procedure for inserting an oral/nasal small bowel feeding tube in CCTC Feeding Tube In Small Bowel Tube feeding (enteral nutrition) delivers liquid nutrition through a flexible tube that goes in through your nose or directly into your stomach or small. Indications include aspiration, severe ger, recurrent nausea and vomiting, gastric or proximal small bowel dysmotility, and postsurgery. Normally, a gastric tube should also be placed to decompress. The soft, flexible tube enters a surgically created opening.. Feeding Tube In Small Bowel.
From www.researchgate.net
For direct small bowel feeding, radiologically guided gastrojejunostomy Feeding Tube In Small Bowel The soft, flexible tube enters a surgically created opening. If the tube can’t be placed into your stomach, you may have a pej tube placed instead (see figure 1, right). Normally, a gastric tube should also be placed to decompress. Enteral feeding tubes allow liquid food to enter your stomach or intestine through a tube. For feeding into the small. Feeding Tube In Small Bowel.
From www.researchgate.net
(PDF) Bedside placement of smallbowel feeding tubes in the intensive Feeding Tube In Small Bowel If the tube can’t be placed into your stomach, you may have a pej tube placed instead (see figure 1, right). Feeding can commence when position of the feeding tube is confirmed in the small bowel. A peg is a feeding tube that is placed into your stomach (see figure 1, left). Tube feeding (enteral nutrition) delivers liquid nutrition through. Feeding Tube In Small Bowel.
From fr.slideshare.net
Procedure for inserting an oral/nasal small bowel feeding tube in CCTC Feeding Tube In Small Bowel This opening is called a fistula. For feeding into the small bowel (jejunostomy feeding), an opening is made through the abdominal wall. Tube feeding (enteral nutrition) delivers liquid nutrition through a flexible tube that goes in through your nose or directly into your stomach or small. If the tube can’t be placed into your stomach, you may have a pej. Feeding Tube In Small Bowel.
From nurseslabs.com
Nasogastric Intubation Insertion Procedures & Technique Feeding Tube In Small Bowel Normally, a gastric tube should also be placed to decompress. If the tube can’t be placed into your stomach, you may have a pej tube placed instead (see figure 1, right). For feeding into the small bowel (jejunostomy feeding), an opening is made through the abdominal wall. Tube feeding (enteral nutrition) delivers liquid nutrition through a flexible tube that goes. Feeding Tube In Small Bowel.
From www.giejournal.org
Su1567 Nasojejunal Feeding Tube Placement Technique Utilizing Through Feeding Tube In Small Bowel The soft, flexible tube enters a surgically created opening. A feeding tube is a flexible plastic tube placed into your stomach or bowel to help you get nutrition when you're unable to eat as well as you. A pej tube is placed in your jejunum, which is the second part of your small intestine. A peg is a feeding tube. Feeding Tube In Small Bowel.
From oxfordmedicaleducation.com
Nasogastric (NG) Tube Placement Oxford Medical Education Feeding Tube In Small Bowel Tube feeding (enteral nutrition) delivers liquid nutrition through a flexible tube that goes in through your nose or directly into your stomach or small. If the tube can’t be placed into your stomach, you may have a pej tube placed instead (see figure 1, right). Enteral feeding tubes allow liquid food to enter your stomach or intestine through a tube.. Feeding Tube In Small Bowel.
From study.com
What is a Feeding Tube? Types & Complications Lesson Feeding Tube In Small Bowel Feeding can commence when position of the feeding tube is confirmed in the small bowel. Tube feeding (enteral nutrition) delivers liquid nutrition through a flexible tube that goes in through your nose or directly into your stomach or small. This opening is called a fistula. The soft, flexible tube enters a surgically created opening. Normally, a gastric tube should also. Feeding Tube In Small Bowel.
From www.ausmed.com.au
Enteral Feeding and Tube Management Ausmed Feeding Tube In Small Bowel Indications include aspiration, severe ger, recurrent nausea and vomiting, gastric or proximal small bowel dysmotility, and postsurgery. Enteral feeding tubes allow liquid food to enter your stomach or intestine through a tube. For feeding into the small bowel (jejunostomy feeding), an opening is made through the abdominal wall. The soft, flexible tube enters a surgically created opening. A peg is. Feeding Tube In Small Bowel.
From www.gbtechusa.com
CORPAK 209551 Ultra Lite Enteral Feeding Tube For Small Bowel Feeding Feeding Tube In Small Bowel Normally, a gastric tube should also be placed to decompress. A feeding tube is a flexible plastic tube placed into your stomach or bowel to help you get nutrition when you're unable to eat as well as you. Tube feeding (enteral nutrition) delivers liquid nutrition through a flexible tube that goes in through your nose or directly into your stomach. Feeding Tube In Small Bowel.
From www.slideshare.net
Procedure for inserting an oral/nasal small bowel feeding tube in CCTC Feeding Tube In Small Bowel Enteral feeding tubes allow liquid food to enter your stomach or intestine through a tube. Indications include aspiration, severe ger, recurrent nausea and vomiting, gastric or proximal small bowel dysmotility, and postsurgery. If the tube can’t be placed into your stomach, you may have a pej tube placed instead (see figure 1, right). A feeding tube is a flexible plastic. Feeding Tube In Small Bowel.