Colles Fracture X Ray . Some may call this a type of colle's fracture. A colles fracture is a type of broken wrist that happens when you fall on an outstretched hand. A fracture involving the articular surface with dorsal displacement of the wrist bones can be referred to as a barton's fracture. Many eponyms are used to. Learn about the clinical presentation, frykman classification, and. High degree of comminution of the distal radius and a displaced fracture of the ulnar styloid. A colles fracture is a complete fracture of the radius bone near the wrist, often caused by a fall on the outstretched hand. Diagnosis is made clinically and radiographically. These distal radius fractures are often caused by falling on an. This describes a colles fracture. Distal radius fractures are the most common orthopaedic injury and generally result from fall on an outstretched hand. The term colles fracture is often used eponymously for distal fractures with dorsal angulation.
from www.pinterest.com
A colles fracture is a type of broken wrist that happens when you fall on an outstretched hand. Distal radius fractures are the most common orthopaedic injury and generally result from fall on an outstretched hand. Diagnosis is made clinically and radiographically. Learn about the clinical presentation, frykman classification, and. High degree of comminution of the distal radius and a displaced fracture of the ulnar styloid. This describes a colles fracture. Many eponyms are used to. A colles fracture is a complete fracture of the radius bone near the wrist, often caused by a fall on the outstretched hand. The term colles fracture is often used eponymously for distal fractures with dorsal angulation. These distal radius fractures are often caused by falling on an.
Xray of wrist shows very common fracture (Colles') of the radius
Colles Fracture X Ray Distal radius fractures are the most common orthopaedic injury and generally result from fall on an outstretched hand. Diagnosis is made clinically and radiographically. Many eponyms are used to. A colles fracture is a complete fracture of the radius bone near the wrist, often caused by a fall on the outstretched hand. High degree of comminution of the distal radius and a displaced fracture of the ulnar styloid. Learn about the clinical presentation, frykman classification, and. Distal radius fractures are the most common orthopaedic injury and generally result from fall on an outstretched hand. These distal radius fractures are often caused by falling on an. The term colles fracture is often used eponymously for distal fractures with dorsal angulation. Some may call this a type of colle's fracture. A fracture involving the articular surface with dorsal displacement of the wrist bones can be referred to as a barton's fracture. A colles fracture is a type of broken wrist that happens when you fall on an outstretched hand. This describes a colles fracture.
From
Colles Fracture X Ray The term colles fracture is often used eponymously for distal fractures with dorsal angulation. A colles fracture is a type of broken wrist that happens when you fall on an outstretched hand. Distal radius fractures are the most common orthopaedic injury and generally result from fall on an outstretched hand. These distal radius fractures are often caused by falling on. Colles Fracture X Ray.
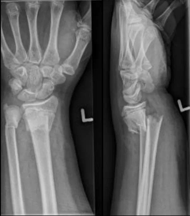
From radiopaedia.org
Image Colles Fracture X Ray The term colles fracture is often used eponymously for distal fractures with dorsal angulation. Learn about the clinical presentation, frykman classification, and. Diagnosis is made clinically and radiographically. These distal radius fractures are often caused by falling on an. High degree of comminution of the distal radius and a displaced fracture of the ulnar styloid. Distal radius fractures are the. Colles Fracture X Ray.
From zabir.ru
Fracture modeling Colles Fracture X Ray A colles fracture is a type of broken wrist that happens when you fall on an outstretched hand. High degree of comminution of the distal radius and a displaced fracture of the ulnar styloid. This describes a colles fracture. A colles fracture is a complete fracture of the radius bone near the wrist, often caused by a fall on the. Colles Fracture X Ray.
From www.pinterest.com
Displaced Colles fracture (lateral view) Fracture dislocation Colles Fracture X Ray Some may call this a type of colle's fracture. Many eponyms are used to. This describes a colles fracture. Diagnosis is made clinically and radiographically. A colles fracture is a complete fracture of the radius bone near the wrist, often caused by a fall on the outstretched hand. Learn about the clinical presentation, frykman classification, and. Distal radius fractures are. Colles Fracture X Ray.
From
Colles Fracture X Ray A colles fracture is a complete fracture of the radius bone near the wrist, often caused by a fall on the outstretched hand. Distal radius fractures are the most common orthopaedic injury and generally result from fall on an outstretched hand. Some may call this a type of colle's fracture. Diagnosis is made clinically and radiographically. Learn about the clinical. Colles Fracture X Ray.
From
Colles Fracture X Ray Diagnosis is made clinically and radiographically. A fracture involving the articular surface with dorsal displacement of the wrist bones can be referred to as a barton's fracture. Some may call this a type of colle's fracture. Learn about the clinical presentation, frykman classification, and. A colles fracture is a complete fracture of the radius bone near the wrist, often caused. Colles Fracture X Ray.
From
Colles Fracture X Ray High degree of comminution of the distal radius and a displaced fracture of the ulnar styloid. Many eponyms are used to. The term colles fracture is often used eponymously for distal fractures with dorsal angulation. These distal radius fractures are often caused by falling on an. Distal radius fractures are the most common orthopaedic injury and generally result from fall. Colles Fracture X Ray.
From
Colles Fracture X Ray Some may call this a type of colle's fracture. Distal radius fractures are the most common orthopaedic injury and generally result from fall on an outstretched hand. Diagnosis is made clinically and radiographically. The term colles fracture is often used eponymously for distal fractures with dorsal angulation. Many eponyms are used to. A colles fracture is a type of broken. Colles Fracture X Ray.
From
Colles Fracture X Ray Distal radius fractures are the most common orthopaedic injury and generally result from fall on an outstretched hand. High degree of comminution of the distal radius and a displaced fracture of the ulnar styloid. A colles fracture is a complete fracture of the radius bone near the wrist, often caused by a fall on the outstretched hand. Diagnosis is made. Colles Fracture X Ray.
From
Colles Fracture X Ray This describes a colles fracture. A colles fracture is a complete fracture of the radius bone near the wrist, often caused by a fall on the outstretched hand. The term colles fracture is often used eponymously for distal fractures with dorsal angulation. Some may call this a type of colle's fracture. A colles fracture is a type of broken wrist. Colles Fracture X Ray.
From
Colles Fracture X Ray Distal radius fractures are the most common orthopaedic injury and generally result from fall on an outstretched hand. Some may call this a type of colle's fracture. Diagnosis is made clinically and radiographically. High degree of comminution of the distal radius and a displaced fracture of the ulnar styloid. The term colles fracture is often used eponymously for distal fractures. Colles Fracture X Ray.
From
Colles Fracture X Ray Many eponyms are used to. A colles fracture is a type of broken wrist that happens when you fall on an outstretched hand. Learn about the clinical presentation, frykman classification, and. Some may call this a type of colle's fracture. Diagnosis is made clinically and radiographically. High degree of comminution of the distal radius and a displaced fracture of the. Colles Fracture X Ray.
From www.verywellhealth.com
Physical Therapy for a Colles' Fracture Colles Fracture X Ray A fracture involving the articular surface with dorsal displacement of the wrist bones can be referred to as a barton's fracture. Learn about the clinical presentation, frykman classification, and. Distal radius fractures are the most common orthopaedic injury and generally result from fall on an outstretched hand. The term colles fracture is often used eponymously for distal fractures with dorsal. Colles Fracture X Ray.
From
Colles Fracture X Ray Learn about the clinical presentation, frykman classification, and. This describes a colles fracture. Diagnosis is made clinically and radiographically. High degree of comminution of the distal radius and a displaced fracture of the ulnar styloid. Some may call this a type of colle's fracture. A colles fracture is a type of broken wrist that happens when you fall on an. Colles Fracture X Ray.
From
Colles Fracture X Ray High degree of comminution of the distal radius and a displaced fracture of the ulnar styloid. These distal radius fractures are often caused by falling on an. A colles fracture is a type of broken wrist that happens when you fall on an outstretched hand. This describes a colles fracture. A fracture involving the articular surface with dorsal displacement of. Colles Fracture X Ray.
From
Colles Fracture X Ray The term colles fracture is often used eponymously for distal fractures with dorsal angulation. Diagnosis is made clinically and radiographically. Some may call this a type of colle's fracture. A colles fracture is a complete fracture of the radius bone near the wrist, often caused by a fall on the outstretched hand. Distal radius fractures are the most common orthopaedic. Colles Fracture X Ray.
From aneskey.com
Colles Fracture Reduction with Hematoma Block Anesthesia Key Colles Fracture X Ray Many eponyms are used to. These distal radius fractures are often caused by falling on an. Diagnosis is made clinically and radiographically. This describes a colles fracture. Learn about the clinical presentation, frykman classification, and. Some may call this a type of colle's fracture. A fracture involving the articular surface with dorsal displacement of the wrist bones can be referred. Colles Fracture X Ray.
From
Colles Fracture X Ray The term colles fracture is often used eponymously for distal fractures with dorsal angulation. Many eponyms are used to. This describes a colles fracture. High degree of comminution of the distal radius and a displaced fracture of the ulnar styloid. Distal radius fractures are the most common orthopaedic injury and generally result from fall on an outstretched hand. Diagnosis is. Colles Fracture X Ray.
From
Colles Fracture X Ray The term colles fracture is often used eponymously for distal fractures with dorsal angulation. Learn about the clinical presentation, frykman classification, and. A fracture involving the articular surface with dorsal displacement of the wrist bones can be referred to as a barton's fracture. High degree of comminution of the distal radius and a displaced fracture of the ulnar styloid. Distal. Colles Fracture X Ray.
From youmemindbody.com
Colles’ Fracture Pictures, Treatment, Healing Time, Surgery, Symptoms Colles Fracture X Ray These distal radius fractures are often caused by falling on an. A fracture involving the articular surface with dorsal displacement of the wrist bones can be referred to as a barton's fracture. Diagnosis is made clinically and radiographically. Many eponyms are used to. High degree of comminution of the distal radius and a displaced fracture of the ulnar styloid. Learn. Colles Fracture X Ray.
From
Colles Fracture X Ray These distal radius fractures are often caused by falling on an. Many eponyms are used to. Distal radius fractures are the most common orthopaedic injury and generally result from fall on an outstretched hand. The term colles fracture is often used eponymously for distal fractures with dorsal angulation. A colles fracture is a complete fracture of the radius bone near. Colles Fracture X Ray.
From www.sexizpix.com
Film X Ray Show Fracture Distal Radius Colles Fracture Wrist Stock Colles Fracture X Ray Distal radius fractures are the most common orthopaedic injury and generally result from fall on an outstretched hand. A colles fracture is a type of broken wrist that happens when you fall on an outstretched hand. Many eponyms are used to. High degree of comminution of the distal radius and a displaced fracture of the ulnar styloid. These distal radius. Colles Fracture X Ray.
From www.sciencephoto.com
Colles' wrist fracture, Xray Stock Image M330/1644 Science Photo Colles Fracture X Ray Distal radius fractures are the most common orthopaedic injury and generally result from fall on an outstretched hand. This describes a colles fracture. Some may call this a type of colle's fracture. A colles fracture is a complete fracture of the radius bone near the wrist, often caused by a fall on the outstretched hand. These distal radius fractures are. Colles Fracture X Ray.
From www.radrounds.com
colles fracture . radRounds Radiology Network Colles Fracture X Ray The term colles fracture is often used eponymously for distal fractures with dorsal angulation. High degree of comminution of the distal radius and a displaced fracture of the ulnar styloid. Distal radius fractures are the most common orthopaedic injury and generally result from fall on an outstretched hand. A colles fracture is a type of broken wrist that happens when. Colles Fracture X Ray.
From ar.inspiredpencil.com
Reverse Colles Fracture Colles Fracture X Ray Many eponyms are used to. Diagnosis is made clinically and radiographically. The term colles fracture is often used eponymously for distal fractures with dorsal angulation. Learn about the clinical presentation, frykman classification, and. A colles fracture is a type of broken wrist that happens when you fall on an outstretched hand. A colles fracture is a complete fracture of the. Colles Fracture X Ray.
From
Colles Fracture X Ray A colles fracture is a type of broken wrist that happens when you fall on an outstretched hand. High degree of comminution of the distal radius and a displaced fracture of the ulnar styloid. This describes a colles fracture. Some may call this a type of colle's fracture. Learn about the clinical presentation, frykman classification, and. Distal radius fractures are. Colles Fracture X Ray.
From mavink.com
Colles Fracture X Ray Colles Fracture X Ray Learn about the clinical presentation, frykman classification, and. A colles fracture is a type of broken wrist that happens when you fall on an outstretched hand. Diagnosis is made clinically and radiographically. Some may call this a type of colle's fracture. A fracture involving the articular surface with dorsal displacement of the wrist bones can be referred to as a. Colles Fracture X Ray.
From litfl.com
Moore fracture • LITFL Medical Blog • Medical Eponym Library Colles Fracture X Ray A colles fracture is a complete fracture of the radius bone near the wrist, often caused by a fall on the outstretched hand. High degree of comminution of the distal radius and a displaced fracture of the ulnar styloid. A fracture involving the articular surface with dorsal displacement of the wrist bones can be referred to as a barton's fracture.. Colles Fracture X Ray.
From
Colles Fracture X Ray This describes a colles fracture. Distal radius fractures are the most common orthopaedic injury and generally result from fall on an outstretched hand. Learn about the clinical presentation, frykman classification, and. Diagnosis is made clinically and radiographically. These distal radius fractures are often caused by falling on an. High degree of comminution of the distal radius and a displaced fracture. Colles Fracture X Ray.
From mavink.com
Colles Fracture X Ray Colles Fracture X Ray A colles fracture is a complete fracture of the radius bone near the wrist, often caused by a fall on the outstretched hand. A fracture involving the articular surface with dorsal displacement of the wrist bones can be referred to as a barton's fracture. Distal radius fractures are the most common orthopaedic injury and generally result from fall on an. Colles Fracture X Ray.
From
Colles Fracture X Ray Learn about the clinical presentation, frykman classification, and. These distal radius fractures are often caused by falling on an. This describes a colles fracture. Distal radius fractures are the most common orthopaedic injury and generally result from fall on an outstretched hand. High degree of comminution of the distal radius and a displaced fracture of the ulnar styloid. A colles. Colles Fracture X Ray.
From radiopaedia.org
Colles fracture (Pouteau fracture) Image Colles Fracture X Ray A fracture involving the articular surface with dorsal displacement of the wrist bones can be referred to as a barton's fracture. The term colles fracture is often used eponymously for distal fractures with dorsal angulation. This describes a colles fracture. Some may call this a type of colle's fracture. A colles fracture is a complete fracture of the radius bone. Colles Fracture X Ray.
From
Colles Fracture X Ray A colles fracture is a type of broken wrist that happens when you fall on an outstretched hand. High degree of comminution of the distal radius and a displaced fracture of the ulnar styloid. These distal radius fractures are often caused by falling on an. A colles fracture is a complete fracture of the radius bone near the wrist, often. Colles Fracture X Ray.
From
Colles Fracture X Ray A colles fracture is a complete fracture of the radius bone near the wrist, often caused by a fall on the outstretched hand. A colles fracture is a type of broken wrist that happens when you fall on an outstretched hand. Distal radius fractures are the most common orthopaedic injury and generally result from fall on an outstretched hand. This. Colles Fracture X Ray.
From pixels.com
Colles Fracture, Xray Photograph by Scott Camazine Colles Fracture X Ray A fracture involving the articular surface with dorsal displacement of the wrist bones can be referred to as a barton's fracture. Learn about the clinical presentation, frykman classification, and. Diagnosis is made clinically and radiographically. Many eponyms are used to. High degree of comminution of the distal radius and a displaced fracture of the ulnar styloid. This describes a colles. Colles Fracture X Ray.