What Cpt Code Is Used For Sphenopalatine Ganglion Block . Sphenopalatine ganglion, is available in the cpt code set, this code. Cpt 64505 can be used to describe the injection of an anesthetic agent into the sphenopalatine ganglion, also known as meckel’s ganglion or. First described in the early. Although code 64505, injection, anesthetic agent; No change in coverage was made. The sphenopalatine ganglion is an extracranial parasympathetic ganglion found within the pterygopalatine fossa of the skull. Converted to billing and coding article and added 64999 to the cpt/hcpcs coding section. In this procedure, the provider performs a nerve block of the sphenopalatine ganglion, called meckel’s ganglion or nasal ganglion, which is. The description of sphenoplatine ganglion nerve block in cpt is injection anesthetic agent. Is the above method of delivery considered an. The most commonly used cpt codes for sphenopalatine ganglion blocks include:
from aneskey.com
The sphenopalatine ganglion is an extracranial parasympathetic ganglion found within the pterygopalatine fossa of the skull. In this procedure, the provider performs a nerve block of the sphenopalatine ganglion, called meckel’s ganglion or nasal ganglion, which is. The most commonly used cpt codes for sphenopalatine ganglion blocks include: Is the above method of delivery considered an. No change in coverage was made. Cpt 64505 can be used to describe the injection of an anesthetic agent into the sphenopalatine ganglion, also known as meckel’s ganglion or. First described in the early. The description of sphenoplatine ganglion nerve block in cpt is injection anesthetic agent. Sphenopalatine ganglion, is available in the cpt code set, this code. Although code 64505, injection, anesthetic agent;
Sphenopalatine Ganglion Block Anesthesia Key
What Cpt Code Is Used For Sphenopalatine Ganglion Block Cpt 64505 can be used to describe the injection of an anesthetic agent into the sphenopalatine ganglion, also known as meckel’s ganglion or. Although code 64505, injection, anesthetic agent; First described in the early. Is the above method of delivery considered an. The sphenopalatine ganglion is an extracranial parasympathetic ganglion found within the pterygopalatine fossa of the skull. The most commonly used cpt codes for sphenopalatine ganglion blocks include: Converted to billing and coding article and added 64999 to the cpt/hcpcs coding section. No change in coverage was made. Sphenopalatine ganglion, is available in the cpt code set, this code. The description of sphenoplatine ganglion nerve block in cpt is injection anesthetic agent. Cpt 64505 can be used to describe the injection of an anesthetic agent into the sphenopalatine ganglion, also known as meckel’s ganglion or. In this procedure, the provider performs a nerve block of the sphenopalatine ganglion, called meckel’s ganglion or nasal ganglion, which is.
From rapm.bmj.com
Images in anesthesiology three safe, simple, and inexpensive methods What Cpt Code Is Used For Sphenopalatine Ganglion Block No change in coverage was made. Is the above method of delivery considered an. The sphenopalatine ganglion is an extracranial parasympathetic ganglion found within the pterygopalatine fossa of the skull. First described in the early. The description of sphenoplatine ganglion nerve block in cpt is injection anesthetic agent. The most commonly used cpt codes for sphenopalatine ganglion blocks include: Although. What Cpt Code Is Used For Sphenopalatine Ganglion Block.
From anaesthesianews.wordpress.com
Sphenopalatine Ganglion Block Anaesthesia News What Cpt Code Is Used For Sphenopalatine Ganglion Block The most commonly used cpt codes for sphenopalatine ganglion blocks include: No change in coverage was made. First described in the early. The sphenopalatine ganglion is an extracranial parasympathetic ganglion found within the pterygopalatine fossa of the skull. In this procedure, the provider performs a nerve block of the sphenopalatine ganglion, called meckel’s ganglion or nasal ganglion, which is. Converted. What Cpt Code Is Used For Sphenopalatine Ganglion Block.
From aneskey.com
Sphenopalatine Ganglion Block Anesthesia Key What Cpt Code Is Used For Sphenopalatine Ganglion Block No change in coverage was made. First described in the early. The description of sphenoplatine ganglion nerve block in cpt is injection anesthetic agent. Cpt 64505 can be used to describe the injection of an anesthetic agent into the sphenopalatine ganglion, also known as meckel’s ganglion or. The most commonly used cpt codes for sphenopalatine ganglion blocks include: Although code. What Cpt Code Is Used For Sphenopalatine Ganglion Block.
From mavink.com
Sphenopalatine Ganglion Nerve Block What Cpt Code Is Used For Sphenopalatine Ganglion Block First described in the early. The most commonly used cpt codes for sphenopalatine ganglion blocks include: The sphenopalatine ganglion is an extracranial parasympathetic ganglion found within the pterygopalatine fossa of the skull. The description of sphenoplatine ganglion nerve block in cpt is injection anesthetic agent. Converted to billing and coding article and added 64999 to the cpt/hcpcs coding section. Sphenopalatine. What Cpt Code Is Used For Sphenopalatine Ganglion Block.
From www.sphenopalatineganglionblocks.com
Sphenopalatine Ganglion (SPG) Blocks SPG Blocks Chicago What Cpt Code Is Used For Sphenopalatine Ganglion Block No change in coverage was made. Is the above method of delivery considered an. The description of sphenoplatine ganglion nerve block in cpt is injection anesthetic agent. The sphenopalatine ganglion is an extracranial parasympathetic ganglion found within the pterygopalatine fossa of the skull. Converted to billing and coding article and added 64999 to the cpt/hcpcs coding section. The most commonly. What Cpt Code Is Used For Sphenopalatine Ganglion Block.
From aneskey.com
Sphenopalatine Ganglion Block Anesthesia Key What Cpt Code Is Used For Sphenopalatine Ganglion Block Is the above method of delivery considered an. Converted to billing and coding article and added 64999 to the cpt/hcpcs coding section. First described in the early. The most commonly used cpt codes for sphenopalatine ganglion blocks include: In this procedure, the provider performs a nerve block of the sphenopalatine ganglion, called meckel’s ganglion or nasal ganglion, which is. Cpt. What Cpt Code Is Used For Sphenopalatine Ganglion Block.
From www.emra.org
Tickle Your Brain to Numb the Pain EM Use of Sphenopalatine Ganglion What Cpt Code Is Used For Sphenopalatine Ganglion Block Sphenopalatine ganglion, is available in the cpt code set, this code. The most commonly used cpt codes for sphenopalatine ganglion blocks include: Is the above method of delivery considered an. Converted to billing and coding article and added 64999 to the cpt/hcpcs coding section. In this procedure, the provider performs a nerve block of the sphenopalatine ganglion, called meckel’s ganglion. What Cpt Code Is Used For Sphenopalatine Ganglion Block.
From aneskey.com
Sphenopalatine Ganglion Block Anesthesia Key What Cpt Code Is Used For Sphenopalatine Ganglion Block The sphenopalatine ganglion is an extracranial parasympathetic ganglion found within the pterygopalatine fossa of the skull. Sphenopalatine ganglion, is available in the cpt code set, this code. First described in the early. Although code 64505, injection, anesthetic agent; Converted to billing and coding article and added 64999 to the cpt/hcpcs coding section. In this procedure, the provider performs a nerve. What Cpt Code Is Used For Sphenopalatine Ganglion Block.
From ar.inspiredpencil.com
Sphenopalatine Ganglion Block What Cpt Code Is Used For Sphenopalatine Ganglion Block Sphenopalatine ganglion, is available in the cpt code set, this code. First described in the early. The sphenopalatine ganglion is an extracranial parasympathetic ganglion found within the pterygopalatine fossa of the skull. The description of sphenoplatine ganglion nerve block in cpt is injection anesthetic agent. Converted to billing and coding article and added 64999 to the cpt/hcpcs coding section. The. What Cpt Code Is Used For Sphenopalatine Ganglion Block.
From www.youtube.com
Sphenopalatine ganglion block for Postdural puncture headache (SPGB for What Cpt Code Is Used For Sphenopalatine Ganglion Block The description of sphenoplatine ganglion nerve block in cpt is injection anesthetic agent. Although code 64505, injection, anesthetic agent; No change in coverage was made. Sphenopalatine ganglion, is available in the cpt code set, this code. Converted to billing and coding article and added 64999 to the cpt/hcpcs coding section. In this procedure, the provider performs a nerve block of. What Cpt Code Is Used For Sphenopalatine Ganglion Block.
From aneskey.com
Sphenopalatine Ganglion Block Anesthesia Key What Cpt Code Is Used For Sphenopalatine Ganglion Block The most commonly used cpt codes for sphenopalatine ganglion blocks include: Cpt 64505 can be used to describe the injection of an anesthetic agent into the sphenopalatine ganglion, also known as meckel’s ganglion or. In this procedure, the provider performs a nerve block of the sphenopalatine ganglion, called meckel’s ganglion or nasal ganglion, which is. Sphenopalatine ganglion, is available in. What Cpt Code Is Used For Sphenopalatine Ganglion Block.
From ainsworthinstitute.com
Sphenopalatine Ganglion Block Ainsworth Institute What Cpt Code Is Used For Sphenopalatine Ganglion Block Sphenopalatine ganglion, is available in the cpt code set, this code. Although code 64505, injection, anesthetic agent; The sphenopalatine ganglion is an extracranial parasympathetic ganglion found within the pterygopalatine fossa of the skull. First described in the early. Converted to billing and coding article and added 64999 to the cpt/hcpcs coding section. Is the above method of delivery considered an.. What Cpt Code Is Used For Sphenopalatine Ganglion Block.
From www.excelpainandspine.com
Sphenopalatine Ganglion Nerve Block Excel Pain and Spine What Cpt Code Is Used For Sphenopalatine Ganglion Block The most commonly used cpt codes for sphenopalatine ganglion blocks include: Sphenopalatine ganglion, is available in the cpt code set, this code. Although code 64505, injection, anesthetic agent; Converted to billing and coding article and added 64999 to the cpt/hcpcs coding section. No change in coverage was made. In this procedure, the provider performs a nerve block of the sphenopalatine. What Cpt Code Is Used For Sphenopalatine Ganglion Block.
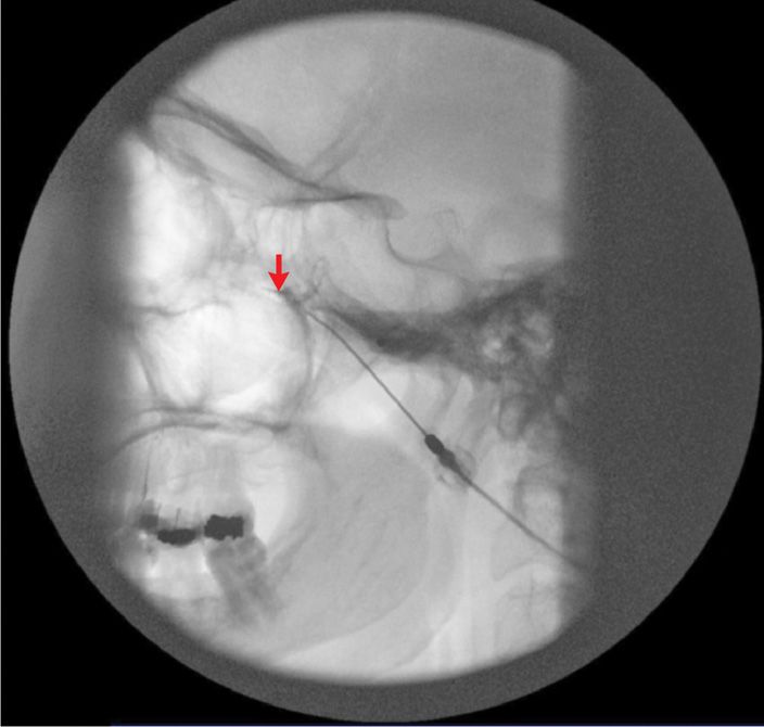
From www.ochsnerjournal.org
Sphenopalatine Ganglion Block and Radiofrequency Ablation Technical What Cpt Code Is Used For Sphenopalatine Ganglion Block Converted to billing and coding article and added 64999 to the cpt/hcpcs coding section. Although code 64505, injection, anesthetic agent; Cpt 64505 can be used to describe the injection of an anesthetic agent into the sphenopalatine ganglion, also known as meckel’s ganglion or. The description of sphenoplatine ganglion nerve block in cpt is injection anesthetic agent. The most commonly used. What Cpt Code Is Used For Sphenopalatine Ganglion Block.
From www.youtube.com
Ultrasound Guided Sphenopalatine Ganglion Block YouTube What Cpt Code Is Used For Sphenopalatine Ganglion Block First described in the early. Converted to billing and coding article and added 64999 to the cpt/hcpcs coding section. Is the above method of delivery considered an. Cpt 64505 can be used to describe the injection of an anesthetic agent into the sphenopalatine ganglion, also known as meckel’s ganglion or. In this procedure, the provider performs a nerve block of. What Cpt Code Is Used For Sphenopalatine Ganglion Block.
From www.researchgate.net
(PDF) Sphenopalatine ganglion block with or without greater occipital What Cpt Code Is Used For Sphenopalatine Ganglion Block First described in the early. The description of sphenoplatine ganglion nerve block in cpt is injection anesthetic agent. The sphenopalatine ganglion is an extracranial parasympathetic ganglion found within the pterygopalatine fossa of the skull. The most commonly used cpt codes for sphenopalatine ganglion blocks include: No change in coverage was made. Cpt 64505 can be used to describe the injection. What Cpt Code Is Used For Sphenopalatine Ganglion Block.
From deal.town
Sphenopalatine Ganglion (SPG) Block What It Is, and How It’s Used to What Cpt Code Is Used For Sphenopalatine Ganglion Block Although code 64505, injection, anesthetic agent; The sphenopalatine ganglion is an extracranial parasympathetic ganglion found within the pterygopalatine fossa of the skull. Is the above method of delivery considered an. Converted to billing and coding article and added 64999 to the cpt/hcpcs coding section. In this procedure, the provider performs a nerve block of the sphenopalatine ganglion, called meckel’s ganglion. What Cpt Code Is Used For Sphenopalatine Ganglion Block.
From www.samernarouze.com
Sphenopalatine Ganglion Block/RFA Samer Narouze, MD, PhD What Cpt Code Is Used For Sphenopalatine Ganglion Block The description of sphenoplatine ganglion nerve block in cpt is injection anesthetic agent. No change in coverage was made. The most commonly used cpt codes for sphenopalatine ganglion blocks include: Cpt 64505 can be used to describe the injection of an anesthetic agent into the sphenopalatine ganglion, also known as meckel’s ganglion or. Although code 64505, injection, anesthetic agent; The. What Cpt Code Is Used For Sphenopalatine Ganglion Block.
From www.barrowneuro.org
What is a Sphenopalatine Ganglion Block? Barrow Neurological Institute What Cpt Code Is Used For Sphenopalatine Ganglion Block Although code 64505, injection, anesthetic agent; Converted to billing and coding article and added 64999 to the cpt/hcpcs coding section. First described in the early. In this procedure, the provider performs a nerve block of the sphenopalatine ganglion, called meckel’s ganglion or nasal ganglion, which is. No change in coverage was made. The description of sphenoplatine ganglion nerve block in. What Cpt Code Is Used For Sphenopalatine Ganglion Block.
From www.youtube.com
Sphenopalatine Ganglion Block for Treatment of Headaches YouTube What Cpt Code Is Used For Sphenopalatine Ganglion Block Although code 64505, injection, anesthetic agent; The most commonly used cpt codes for sphenopalatine ganglion blocks include: The sphenopalatine ganglion is an extracranial parasympathetic ganglion found within the pterygopalatine fossa of the skull. Sphenopalatine ganglion, is available in the cpt code set, this code. Is the above method of delivery considered an. Converted to billing and coding article and added. What Cpt Code Is Used For Sphenopalatine Ganglion Block.
From www.sphenopalatineganglionblocks.com
Sphenopalatine Ganglion (SPG) Blocks SPG Blocks Chicago What Cpt Code Is Used For Sphenopalatine Ganglion Block Although code 64505, injection, anesthetic agent; In this procedure, the provider performs a nerve block of the sphenopalatine ganglion, called meckel’s ganglion or nasal ganglion, which is. Cpt 64505 can be used to describe the injection of an anesthetic agent into the sphenopalatine ganglion, also known as meckel’s ganglion or. The most commonly used cpt codes for sphenopalatine ganglion blocks. What Cpt Code Is Used For Sphenopalatine Ganglion Block.
From thinkbetterlife.com
Sphenopalatine Ganglion Block Specialist What Cpt Code Is Used For Sphenopalatine Ganglion Block In this procedure, the provider performs a nerve block of the sphenopalatine ganglion, called meckel’s ganglion or nasal ganglion, which is. Although code 64505, injection, anesthetic agent; Converted to billing and coding article and added 64999 to the cpt/hcpcs coding section. Is the above method of delivery considered an. No change in coverage was made. The description of sphenoplatine ganglion. What Cpt Code Is Used For Sphenopalatine Ganglion Block.
From www.bjanaesthesia.org.uk
Sphenopalatine ganglion block for the treatment of postdural puncture What Cpt Code Is Used For Sphenopalatine Ganglion Block In this procedure, the provider performs a nerve block of the sphenopalatine ganglion, called meckel’s ganglion or nasal ganglion, which is. The most commonly used cpt codes for sphenopalatine ganglion blocks include: First described in the early. Although code 64505, injection, anesthetic agent; Sphenopalatine ganglion, is available in the cpt code set, this code. The description of sphenoplatine ganglion nerve. What Cpt Code Is Used For Sphenopalatine Ganglion Block.
From anaesthesianews.wordpress.com
Sphenopalatine Ganglion Block Anaesthesia News What Cpt Code Is Used For Sphenopalatine Ganglion Block Sphenopalatine ganglion, is available in the cpt code set, this code. The sphenopalatine ganglion is an extracranial parasympathetic ganglion found within the pterygopalatine fossa of the skull. Converted to billing and coding article and added 64999 to the cpt/hcpcs coding section. Cpt 64505 can be used to describe the injection of an anesthetic agent into the sphenopalatine ganglion, also known. What Cpt Code Is Used For Sphenopalatine Ganglion Block.
From practicalneurology.com
Sphenopalatine Ganglion Block Without Catheter Practical Neurology What Cpt Code Is Used For Sphenopalatine Ganglion Block Although code 64505, injection, anesthetic agent; First described in the early. Is the above method of delivery considered an. Sphenopalatine ganglion, is available in the cpt code set, this code. The most commonly used cpt codes for sphenopalatine ganglion blocks include: The sphenopalatine ganglion is an extracranial parasympathetic ganglion found within the pterygopalatine fossa of the skull. The description of. What Cpt Code Is Used For Sphenopalatine Ganglion Block.
From www.youtube.com
UltrasoundGuided Sphenopalatine, Pterygopalatine, Trigeminal Nerve What Cpt Code Is Used For Sphenopalatine Ganglion Block Sphenopalatine ganglion, is available in the cpt code set, this code. No change in coverage was made. First described in the early. Converted to billing and coding article and added 64999 to the cpt/hcpcs coding section. The most commonly used cpt codes for sphenopalatine ganglion blocks include: The sphenopalatine ganglion is an extracranial parasympathetic ganglion found within the pterygopalatine fossa. What Cpt Code Is Used For Sphenopalatine Ganglion Block.
From americanjir.com
How We Do It Sphenopalatine Ganglion Blockade for Migraine Treatment What Cpt Code Is Used For Sphenopalatine Ganglion Block Cpt 64505 can be used to describe the injection of an anesthetic agent into the sphenopalatine ganglion, also known as meckel’s ganglion or. No change in coverage was made. The most commonly used cpt codes for sphenopalatine ganglion blocks include: In this procedure, the provider performs a nerve block of the sphenopalatine ganglion, called meckel’s ganglion or nasal ganglion, which. What Cpt Code Is Used For Sphenopalatine Ganglion Block.
From www.globalsono.org
Sphenopalatine Ganglion Block ACEP What Cpt Code Is Used For Sphenopalatine Ganglion Block The most commonly used cpt codes for sphenopalatine ganglion blocks include: Cpt 64505 can be used to describe the injection of an anesthetic agent into the sphenopalatine ganglion, also known as meckel’s ganglion or. In this procedure, the provider performs a nerve block of the sphenopalatine ganglion, called meckel’s ganglion or nasal ganglion, which is. No change in coverage was. What Cpt Code Is Used For Sphenopalatine Ganglion Block.
From ar.inspiredpencil.com
Sphenopalatine Ganglion Block What Cpt Code Is Used For Sphenopalatine Ganglion Block In this procedure, the provider performs a nerve block of the sphenopalatine ganglion, called meckel’s ganglion or nasal ganglion, which is. The description of sphenoplatine ganglion nerve block in cpt is injection anesthetic agent. Although code 64505, injection, anesthetic agent; The sphenopalatine ganglion is an extracranial parasympathetic ganglion found within the pterygopalatine fossa of the skull. Sphenopalatine ganglion, is available. What Cpt Code Is Used For Sphenopalatine Ganglion Block.
From mavink.com
Sphenopalatine Ganglion Nerve Block What Cpt Code Is Used For Sphenopalatine Ganglion Block Sphenopalatine ganglion, is available in the cpt code set, this code. Although code 64505, injection, anesthetic agent; Converted to billing and coding article and added 64999 to the cpt/hcpcs coding section. The most commonly used cpt codes for sphenopalatine ganglion blocks include: In this procedure, the provider performs a nerve block of the sphenopalatine ganglion, called meckel’s ganglion or nasal. What Cpt Code Is Used For Sphenopalatine Ganglion Block.
From www.researchgate.net
Saggital view of the nasopharynx, showing the sphenopalatine ganglion What Cpt Code Is Used For Sphenopalatine Ganglion Block Converted to billing and coding article and added 64999 to the cpt/hcpcs coding section. No change in coverage was made. The sphenopalatine ganglion is an extracranial parasympathetic ganglion found within the pterygopalatine fossa of the skull. The description of sphenoplatine ganglion nerve block in cpt is injection anesthetic agent. The most commonly used cpt codes for sphenopalatine ganglion blocks include:. What Cpt Code Is Used For Sphenopalatine Ganglion Block.
From mavink.com
Sphenopalatine Ganglion Block With Catheter What Cpt Code Is Used For Sphenopalatine Ganglion Block First described in the early. Sphenopalatine ganglion, is available in the cpt code set, this code. The sphenopalatine ganglion is an extracranial parasympathetic ganglion found within the pterygopalatine fossa of the skull. Is the above method of delivery considered an. No change in coverage was made. In this procedure, the provider performs a nerve block of the sphenopalatine ganglion, called. What Cpt Code Is Used For Sphenopalatine Ganglion Block.
From www.researchgate.net
Sphenopalatine ganglion block. Download Scientific Diagram What Cpt Code Is Used For Sphenopalatine Ganglion Block First described in the early. No change in coverage was made. The description of sphenoplatine ganglion nerve block in cpt is injection anesthetic agent. Converted to billing and coding article and added 64999 to the cpt/hcpcs coding section. Is the above method of delivery considered an. In this procedure, the provider performs a nerve block of the sphenopalatine ganglion, called. What Cpt Code Is Used For Sphenopalatine Ganglion Block.
From www.withpower.com
Sphenopalatine Ganglion Block for PostDural Puncture Headache Clinical What Cpt Code Is Used For Sphenopalatine Ganglion Block No change in coverage was made. The sphenopalatine ganglion is an extracranial parasympathetic ganglion found within the pterygopalatine fossa of the skull. Although code 64505, injection, anesthetic agent; Sphenopalatine ganglion, is available in the cpt code set, this code. Converted to billing and coding article and added 64999 to the cpt/hcpcs coding section. Cpt 64505 can be used to describe. What Cpt Code Is Used For Sphenopalatine Ganglion Block.
From www.ochsnerjournal.org
Sphenopalatine Ganglion Block and Radiofrequency Ablation Technical What Cpt Code Is Used For Sphenopalatine Ganglion Block Converted to billing and coding article and added 64999 to the cpt/hcpcs coding section. Sphenopalatine ganglion, is available in the cpt code set, this code. Cpt 64505 can be used to describe the injection of an anesthetic agent into the sphenopalatine ganglion, also known as meckel’s ganglion or. Is the above method of delivery considered an. The most commonly used. What Cpt Code Is Used For Sphenopalatine Ganglion Block.