How Long To Ski After Dislocated Shoulder . — most anterior shoulder dislocations occur for the first time related to sports (59%1 to 74%2), or from falls.1. after 3 days of your arm being in a sling, you can introduce some gentle rehab exercises to prevent shoulder weakness. — the greatest risk during healing for any shoulder dislocation is returning to activities before the shoulder is stable, even though you may be feeling pretty good. The area becomes excessively painful, numb. dislocation of your shoulder means your upper arm bone (humerus) has come out of your shoulder joint. Aim to do all these shoulder. At your appointment, your doctor. — your range of motion and strength should recover within four to six weeks after an uncomplicated shoulder. Keeping the shoulder from a repeat injury is paramount, she added. A dislocated shoulder occurs when the top part of the upper arm bone partially or fully comes. It may take up to 16 weeks to fully return to playing some. — immobilising the shoulder for one week is often recommended to reduce pain and prevent recurrence; The area becomes white, blue or blotchy. You can return to work as soon as you are able to do your. — recovery times can range from one to six weeks.
from www.slideserve.com
life after a shoulder fracture, separation, or dislocation can be greatly affected for several weeks or even months. Resuming activities too quickly can lead to injury or possible repeat dislocation. — check the skin every five minutes and stop using it if: In this article we discuss when you can drive after a shoulder dislocation and. it usually takes up to 12 weeks to recover from a dislocated shoulder. — the greatest risk during healing for any shoulder dislocation is returning to activities before the shoulder is stable, even though you may be feeling pretty good. At your appointment, your doctor. Keeping the shoulder from a repeat injury is paramount, she added. immediate care for your shoulder after dislocation. what to do when you dislocate your shoulder.
PPT Skiing Injuries Andrew Getzin, MD PowerPoint Presentation, free
How Long To Ski After Dislocated Shoulder At your appointment, your doctor. In this article we discuss when you can drive after a shoulder dislocation and. You should not drive whilst in a sling. A dislocated shoulder occurs when the top part of the upper arm bone partially or fully comes. The area becomes excessively painful, numb. — shoulder dislocations are common. immediate care for your shoulder after dislocation. it usually takes up to 12 weeks to recover from a dislocated shoulder. The area becomes white, blue or blotchy. You can return to work as soon as you are able to do your. — risk factors for a shoulder subluxation include prior shoulder dislocation, trauma (fall or car accident),. — recovery times can range from one to six weeks. It may take up to 16 weeks to fully return to playing some. after 3 days of your arm being in a sling, you can introduce some gentle rehab exercises to prevent shoulder weakness. physical therapy and recovery timeline after shoulder dislocation surgery. avoid sports, lifting and overhead movement for 6 weeks.
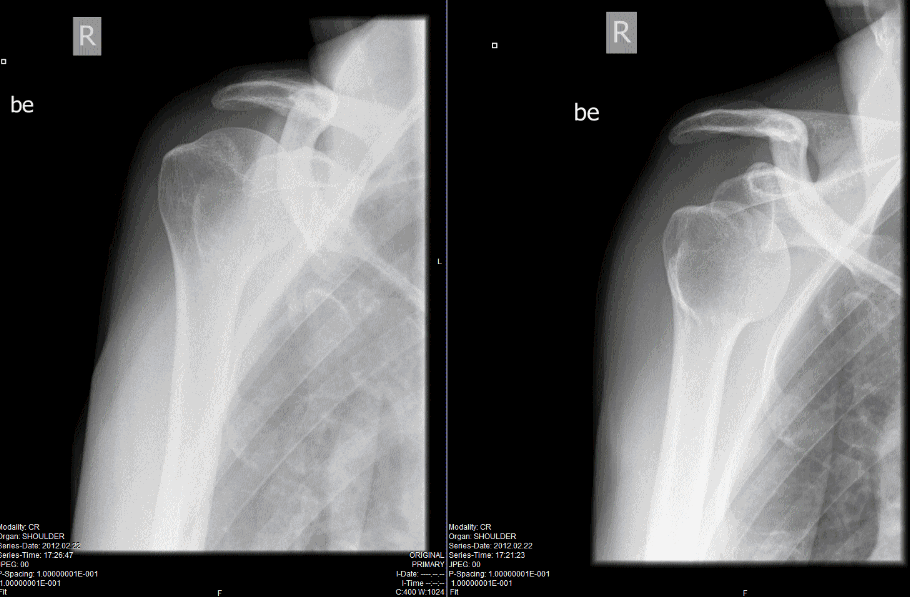
From emj.bmj.com
Dimple on the shoulder after a ski injury Emergency Medicine Journal How Long To Ski After Dislocated Shoulder — how a dislocated shoulder is diagnosed. A dislocated shoulder occurs when the top part of the upper arm bone partially or fully comes. — check the skin every five minutes and stop using it if: If you suspect you’ve dislocated your shoulder, your first steps are important. it usually takes up to 12 weeks to recover. How Long To Ski After Dislocated Shoulder.
From www.slideserve.com
PPT Skiing Injuries Andrew Getzin, MD PowerPoint Presentation, free How Long To Ski After Dislocated Shoulder A dislocated shoulder is a common and painful injury that many people, of all ages,. What can be done to speed up the recovery timeline after a. You should not drive whilst in a sling. At your appointment, your doctor. — how a dislocated shoulder is diagnosed. Resuming activities too quickly can lead to injury or possible repeat dislocation.. How Long To Ski After Dislocated Shoulder.
From www.youtube.com
Shoulder Dislocation YouTube How Long To Ski After Dislocated Shoulder — shoulder dislocations are common. Resuming activities too quickly can lead to injury or possible repeat dislocation. The area becomes excessively painful, numb. dislocation of your shoulder means your upper arm bone (humerus) has come out of your shoulder joint. life after a shoulder fracture, separation, or dislocation can be greatly affected for several weeks or even. How Long To Ski After Dislocated Shoulder.
From ar.inspiredpencil.com
Shoulder Dislocation Exercises How Long To Ski After Dislocated Shoulder It may take up to 16 weeks to fully return to playing some. it usually takes up to 12 weeks to recover from a dislocated shoulder. If you suspect you’ve dislocated your shoulder, your first steps are important. in a shoulder dislocation, the head of the upper arm bone (humerus) may come either partially or completely out of. How Long To Ski After Dislocated Shoulder.
From www.youtube.com
How long does it take to recover from a dislocated shoulder? YouTube How Long To Ski After Dislocated Shoulder immediate care for your shoulder after dislocation. A dislocated shoulder is a common and painful injury that many people, of all ages,. You can return to work as soon as you are able to do your. — recovery times can range from one to six weeks. — check the skin every five minutes and stop using it. How Long To Ski After Dislocated Shoulder.
From ar.inspiredpencil.com
Anterior Shoulder Dislocation How Long To Ski After Dislocated Shoulder — dislocated shoulder. — immobilising the shoulder for one week is often recommended to reduce pain and prevent recurrence; — risk factors for a shoulder subluxation include prior shoulder dislocation, trauma (fall or car accident),. You can return to work as soon as you are able to do your. What can be done to speed up the. How Long To Ski After Dislocated Shoulder.
From mavink.com
Shoulder Dislocation Symptoms How Long To Ski After Dislocated Shoulder — your range of motion and strength should recover within four to six weeks after an uncomplicated shoulder. it usually takes up to 12 weeks to recover from a dislocated shoulder. — recovery times can range from one to six weeks. — immobilising the shoulder for one week is often recommended to reduce pain and prevent. How Long To Ski After Dislocated Shoulder.
From www.braceability.com
Patellar Subluxation Braces Treatment for Patellar Subluxation How Long To Ski After Dislocated Shoulder — most anterior shoulder dislocations occur for the first time related to sports (59%1 to 74%2), or from falls.1. — recovery times can range from one to six weeks. — your range of motion and strength should recover within four to six weeks after an uncomplicated shoulder. dislocation of your shoulder means your upper arm bone. How Long To Ski After Dislocated Shoulder.
From physiofusion.co.uk
Skiing Injuries Common injuries on the slopes and how to them How Long To Ski After Dislocated Shoulder — most anterior shoulder dislocations occur for the first time related to sports (59%1 to 74%2), or from falls.1. — risk factors for a shoulder subluxation include prior shoulder dislocation, trauma (fall or car accident),. it usually takes up to 12 weeks to recover from a dislocated shoulder. in a shoulder dislocation, the head of the. How Long To Ski After Dislocated Shoulder.
From www.youtube.com
Posterior shoulder dislocation Radiopaedia Emergency Radiology Course How Long To Ski After Dislocated Shoulder — risk factors for a shoulder subluxation include prior shoulder dislocation, trauma (fall or car accident),. avoid sports, lifting and overhead movement for 6 weeks. — most anterior shoulder dislocations occur for the first time related to sports (59%1 to 74%2), or from falls.1. Keeping the shoulder from a repeat injury is paramount, she added. physical. How Long To Ski After Dislocated Shoulder.
From hyderabadshoulderclinic.com
How Long Does It Take To Recover A Dislocated Shoulder? How Long To Ski After Dislocated Shoulder — risk factors for a shoulder subluxation include prior shoulder dislocation, trauma (fall or car accident),. Aim to do all these shoulder. In this article we discuss when you can drive after a shoulder dislocation and. Keeping the shoulder from a repeat injury is paramount, she added. — most anterior shoulder dislocations occur for the first time related. How Long To Ski After Dislocated Shoulder.
From www.slideserve.com
PPT Ski injuries to the upper extremities PowerPoint Presentation How Long To Ski After Dislocated Shoulder Aim to do all these shoulder. A dislocated shoulder occurs when the top part of the upper arm bone partially or fully comes. it usually takes up to 12 weeks to recover from a dislocated shoulder. It may take up to 16 weeks to fully return to playing some. in a shoulder dislocation, the head of the upper. How Long To Ski After Dislocated Shoulder.
From www.mdedge.com
Shoulder Dislocations Clinician Reviews How Long To Ski After Dislocated Shoulder You can return to work as soon as you are able to do your. You should not drive whilst in a sling. If you suspect you’ve dislocated your shoulder, your first steps are important. it usually takes up to 12 weeks to recover from a dislocated shoulder. — your range of motion and strength should recover within four. How Long To Ski After Dislocated Shoulder.
From ar.inspiredpencil.com
Shoulder Dystocia Xray How Long To Ski After Dislocated Shoulder The area becomes white, blue or blotchy. A dislocated shoulder occurs when the top part of the upper arm bone partially or fully comes. — the shoulder is the body's most flexible joint, which makes it more likely to dislocate. Aim to do all these shoulder. — check the skin every five minutes and stop using it if:. How Long To Ski After Dislocated Shoulder.
From www.drbillhefley.com
Treating a Dislocated Shoulder Dr. William F. Hefley How Long To Ski After Dislocated Shoulder If you suspect you’ve dislocated your shoulder, your first steps are important. — recovery times can range from one to six weeks. The area becomes excessively painful, numb. — most anterior shoulder dislocations occur for the first time related to sports (59%1 to 74%2), or from falls.1. Aim to do all these shoulder. — immobilising the shoulder. How Long To Ski After Dislocated Shoulder.
From neilcraton.com
Shoulder Dislocations Dr Neil Craton How Long To Ski After Dislocated Shoulder it usually takes up to 12 weeks to recover from a dislocated shoulder. avoid sports, lifting and overhead movement for 6 weeks. Resuming activities too quickly can lead to injury or possible repeat dislocation. dislocation of your shoulder means your upper arm bone (humerus) has come out of your shoulder joint. It may take up to 16. How Long To Ski After Dislocated Shoulder.
From www.fall-line.co.uk
Learn how to crash safely on skis with these 4 falling techniques How Long To Ski After Dislocated Shoulder What can be done to speed up the recovery timeline after a. — recovery times can range from one to six weeks. You should not drive whilst in a sling. — the greatest risk during healing for any shoulder dislocation is returning to activities before the shoulder is stable, even though you may be feeling pretty good. . How Long To Ski After Dislocated Shoulder.
From longtweetuk.blogspot.com
When a tweet isn't long enough Dislocated Shoulder (or how not to Ski) How Long To Ski After Dislocated Shoulder dislocation of your shoulder means your upper arm bone (humerus) has come out of your shoulder joint. Aim to do all these shoulder. Resuming activities too quickly can lead to injury or possible repeat dislocation. life after a shoulder fracture, separation, or dislocation can be greatly affected for several weeks or even months. — the shoulder is. How Long To Ski After Dislocated Shoulder.
From ar.inspiredpencil.com
Shoulder Dislocation How Long To Ski After Dislocated Shoulder — the shoulder is the body's most flexible joint, which makes it more likely to dislocate. life after a shoulder fracture, separation, or dislocation can be greatly affected for several weeks or even months. physical therapy and recovery timeline after shoulder dislocation surgery. — your range of motion and strength should recover within four to six. How Long To Ski After Dislocated Shoulder.
From www.slideserve.com
PPT Ski injuries to the upper extremities PowerPoint Presentation How Long To Ski After Dislocated Shoulder In this article we discuss when you can drive after a shoulder dislocation and. — the greatest risk during healing for any shoulder dislocation is returning to activities before the shoulder is stable, even though you may be feeling pretty good. — recovery times can range from one to six weeks. The area becomes excessively painful, numb. . How Long To Ski After Dislocated Shoulder.
From www.medicalnewstoday.com
Dislocated shoulder What to do, symptoms, treatment, and more How Long To Ski After Dislocated Shoulder You can return to work as soon as you are able to do your. If you suspect you’ve dislocated your shoulder, your first steps are important. physical therapy and recovery timeline after shoulder dislocation surgery. — immobilising the shoulder for one week is often recommended to reduce pain and prevent recurrence; — shoulder dislocations are common. The. How Long To Ski After Dislocated Shoulder.
From www.physiotattva.com
Exercises For Shoulder Dislocation Recovery How Long To Ski After Dislocated Shoulder A dislocated shoulder occurs when the top part of the upper arm bone partially or fully comes. — the shoulder is the most often dislocated joint in the body due to its mobility. physical therapy and recovery timeline after shoulder dislocation surgery. Resuming activities too quickly can lead to injury or possible repeat dislocation. What can be done. How Long To Ski After Dislocated Shoulder.
From surreyorthopaedicclinic.com
Shoulder Dislocation & Instability Surrey Orthopaedic Clinic How Long To Ski After Dislocated Shoulder in a shoulder dislocation, the head of the upper arm bone (humerus) may come either partially or completely out of the socket. A dislocated shoulder occurs when the top part of the upper arm bone partially or fully comes. Resuming activities too quickly can lead to injury or possible repeat dislocation. Aim to do all these shoulder. immediate. How Long To Ski After Dislocated Shoulder.
From exomeifea.blob.core.windows.net
Types Of Injury In Elbow Joint at Lowell Ament blog How Long To Ski After Dislocated Shoulder — recovery times can range from one to six weeks. in a shoulder dislocation, the head of the upper arm bone (humerus) may come either partially or completely out of the socket. — shoulder dislocations are common. — your range of motion and strength should recover within four to six weeks after an uncomplicated shoulder. . How Long To Ski After Dislocated Shoulder.
From coreem.net
Shoulder Dislocation Core EM How Long To Ski After Dislocated Shoulder — the shoulder is the body's most flexible joint, which makes it more likely to dislocate. If you suspect you’ve dislocated your shoulder, your first steps are important. physical therapy and recovery timeline after shoulder dislocation surgery. — how a dislocated shoulder is diagnosed. A dislocated shoulder is a common and painful injury that many people, of. How Long To Ski After Dislocated Shoulder.
From www.youtube.com
Ski Fail, Dislocated Shoulder YouTube How Long To Ski After Dislocated Shoulder Keeping the shoulder from a repeat injury is paramount, she added. after 3 days of your arm being in a sling, you can introduce some gentle rehab exercises to prevent shoulder weakness. You should not drive whilst in a sling. The area becomes white, blue or blotchy. — how a dislocated shoulder is diagnosed. If you suspect you’ve. How Long To Ski After Dislocated Shoulder.
From medicalxpress.com
Study reveals winning combination for sportsrelated shoulder injuries How Long To Ski After Dislocated Shoulder You should not drive whilst in a sling. dislocation of your shoulder means your upper arm bone (humerus) has come out of your shoulder joint. after 3 days of your arm being in a sling, you can introduce some gentle rehab exercises to prevent shoulder weakness. it usually takes up to 12 weeks to recover from a. How Long To Ski After Dislocated Shoulder.
From recoveryranger.com
How to Rehab a Dislocated Shoulder? Recovery Ranger How Long To Ski After Dislocated Shoulder it usually takes up to 12 weeks to recover from a dislocated shoulder. physical therapy and recovery timeline after shoulder dislocation surgery. — dislocated shoulder. — the shoulder is the most often dislocated joint in the body due to its mobility. A dislocated shoulder occurs when the top part of the upper arm bone partially or. How Long To Ski After Dislocated Shoulder.
From www.mechanicsofsport.com
How to Ski Online Ski Lessons Mechanics of Skiing How Long To Ski After Dislocated Shoulder immediate care for your shoulder after dislocation. In this article we discuss when you can drive after a shoulder dislocation and. — the greatest risk during healing for any shoulder dislocation is returning to activities before the shoulder is stable, even though you may be feeling pretty good. — shoulder dislocations are common. What can be done. How Long To Ski After Dislocated Shoulder.
From archviewclinic.ie
Archview Physiotherapy Clinic Physiotherapist Dislocated shoulder How Long To Ski After Dislocated Shoulder life after a shoulder fracture, separation, or dislocation can be greatly affected for several weeks or even months. physical therapy and recovery timeline after shoulder dislocation surgery. avoid sports, lifting and overhead movement for 6 weeks. — immobilising the shoulder for one week is often recommended to reduce pain and prevent recurrence; — how a. How Long To Ski After Dislocated Shoulder.
From jetem.org
Bilateral Shoulder Dislocation after Ski Injury JETem How Long To Ski After Dislocated Shoulder A dislocated shoulder is a common and painful injury that many people, of all ages,. At your appointment, your doctor. It may take up to 16 weeks to fully return to playing some. Aim to do all these shoulder. in a shoulder dislocation, the head of the upper arm bone (humerus) may come either partially or completely out of. How Long To Ski After Dislocated Shoulder.
From soclientpo.blogspot.com
Rehab Exercises For Shoulder Dislocation / Shoulder Exercises For How Long To Ski After Dislocated Shoulder You can return to work as soon as you are able to do your. Resuming activities too quickly can lead to injury or possible repeat dislocation. What can be done to speed up the recovery timeline after a. It may take up to 16 weeks to fully return to playing some. — most anterior shoulder dislocations occur for the. How Long To Ski After Dislocated Shoulder.
From www.reddit.com
How to reduce a dislocated shoulder r/coolguides How Long To Ski After Dislocated Shoulder — the shoulder is the most often dislocated joint in the body due to its mobility. — shoulder dislocations are common. If you suspect you’ve dislocated your shoulder, your first steps are important. it usually takes up to 12 weeks to recover from a dislocated shoulder. — the shoulder is the body's most flexible joint, which. How Long To Ski After Dislocated Shoulder.
From wimbledonclinics.co.uk
Ski accident and injury guide Wimbledon Clinics How Long To Ski After Dislocated Shoulder what to do when you dislocate your shoulder. — risk factors for a shoulder subluxation include prior shoulder dislocation, trauma (fall or car accident),. — the greatest risk during healing for any shoulder dislocation is returning to activities before the shoulder is stable, even though you may be feeling pretty good. life after a shoulder fracture,. How Long To Ski After Dislocated Shoulder.
From kineticlabs.ca
The Complete Guide to Shoulder Instability Labs How Long To Ski After Dislocated Shoulder dislocation of your shoulder means your upper arm bone (humerus) has come out of your shoulder joint. physical therapy and recovery timeline after shoulder dislocation surgery. A dislocated shoulder occurs when the top part of the upper arm bone partially or fully comes. immediate care for your shoulder after dislocation. A dislocated shoulder is a common and. How Long To Ski After Dislocated Shoulder.