What Does Mild Bladder Wall Thickening Mean . I had thickening of my bladder wall when i was experiencing severe urine retention, where my bladder was forced to hold up to 1000. Chronic inflammation can cause scarring and thickening of the bladder wall, making. Your bladder wall can thicken when the bladder has an issue filling with urine. Bladder wall thickening, also known as bladder wall hypertrophy, refers to an abnormal thickening of the bladder's muscular layer. There are several serious underlying conditions that could. Bladder trabeculation happens when the walls of the bladder thicken, making them harder to contract. When that happens, it’s harder for. Bladder wall thickening can indicate several medical conditions, including bladder stones, urinary tract infections, bladder cancer, or interstitial cystitis. The severity of the thickening of the. Interstitial cystitis (ic) is a painful condition in which the bladder wall becomes irritated and inflamed.
from giomdjqvc.blob.core.windows.net
Bladder wall thickening, also known as bladder wall hypertrophy, refers to an abnormal thickening of the bladder's muscular layer. I had thickening of my bladder wall when i was experiencing severe urine retention, where my bladder was forced to hold up to 1000. When that happens, it’s harder for. There are several serious underlying conditions that could. Bladder wall thickening can indicate several medical conditions, including bladder stones, urinary tract infections, bladder cancer, or interstitial cystitis. Chronic inflammation can cause scarring and thickening of the bladder wall, making. Bladder trabeculation happens when the walls of the bladder thicken, making them harder to contract. The severity of the thickening of the. Your bladder wall can thicken when the bladder has an issue filling with urine. Interstitial cystitis (ic) is a painful condition in which the bladder wall becomes irritated and inflamed.
What Does Thickening Of The Womb Wall Mean at Tommy Stokes blog
What Does Mild Bladder Wall Thickening Mean There are several serious underlying conditions that could. Chronic inflammation can cause scarring and thickening of the bladder wall, making. There are several serious underlying conditions that could. Interstitial cystitis (ic) is a painful condition in which the bladder wall becomes irritated and inflamed. The severity of the thickening of the. Bladder trabeculation happens when the walls of the bladder thicken, making them harder to contract. Bladder wall thickening, also known as bladder wall hypertrophy, refers to an abnormal thickening of the bladder's muscular layer. When that happens, it’s harder for. Bladder wall thickening can indicate several medical conditions, including bladder stones, urinary tract infections, bladder cancer, or interstitial cystitis. Your bladder wall can thicken when the bladder has an issue filling with urine. I had thickening of my bladder wall when i was experiencing severe urine retention, where my bladder was forced to hold up to 1000.
From elispot.biz
Mild bladder wall thickening The request could not be satisfied What Does Mild Bladder Wall Thickening Mean Bladder wall thickening, also known as bladder wall hypertrophy, refers to an abnormal thickening of the bladder's muscular layer. The severity of the thickening of the. Bladder wall thickening can indicate several medical conditions, including bladder stones, urinary tract infections, bladder cancer, or interstitial cystitis. Bladder trabeculation happens when the walls of the bladder thicken, making them harder to contract.. What Does Mild Bladder Wall Thickening Mean.
From www.researchgate.net
Thickening of the left lateral wall of the urinary bladder seen on the What Does Mild Bladder Wall Thickening Mean Bladder wall thickening, also known as bladder wall hypertrophy, refers to an abnormal thickening of the bladder's muscular layer. Interstitial cystitis (ic) is a painful condition in which the bladder wall becomes irritated and inflamed. There are several serious underlying conditions that could. I had thickening of my bladder wall when i was experiencing severe urine retention, where my bladder. What Does Mild Bladder Wall Thickening Mean.
From www.researchgate.net
Differential Diagnosis of Bladder Wall Thickening. Download Table What Does Mild Bladder Wall Thickening Mean Chronic inflammation can cause scarring and thickening of the bladder wall, making. Bladder trabeculation happens when the walls of the bladder thicken, making them harder to contract. When that happens, it’s harder for. Interstitial cystitis (ic) is a painful condition in which the bladder wall becomes irritated and inflamed. I had thickening of my bladder wall when i was experiencing. What Does Mild Bladder Wall Thickening Mean.
From elispot.biz
What does thickening of the bladder wall mean What Is Interstitial What Does Mild Bladder Wall Thickening Mean The severity of the thickening of the. Interstitial cystitis (ic) is a painful condition in which the bladder wall becomes irritated and inflamed. I had thickening of my bladder wall when i was experiencing severe urine retention, where my bladder was forced to hold up to 1000. Bladder trabeculation happens when the walls of the bladder thicken, making them harder. What Does Mild Bladder Wall Thickening Mean.
From www.artofit.org
Bladder infection cystitis symptoms causes and natural remedies for What Does Mild Bladder Wall Thickening Mean Bladder wall thickening, also known as bladder wall hypertrophy, refers to an abnormal thickening of the bladder's muscular layer. Chronic inflammation can cause scarring and thickening of the bladder wall, making. Bladder trabeculation happens when the walls of the bladder thicken, making them harder to contract. Bladder wall thickening can indicate several medical conditions, including bladder stones, urinary tract infections,. What Does Mild Bladder Wall Thickening Mean.
From www.researchgate.net
The abdominal CT shows gall bladder distension with mild wall What Does Mild Bladder Wall Thickening Mean When that happens, it’s harder for. Bladder wall thickening can indicate several medical conditions, including bladder stones, urinary tract infections, bladder cancer, or interstitial cystitis. Bladder wall thickening, also known as bladder wall hypertrophy, refers to an abnormal thickening of the bladder's muscular layer. There are several serious underlying conditions that could. I had thickening of my bladder wall when. What Does Mild Bladder Wall Thickening Mean.
From elispot.biz
Mild bladder wall thickening The request could not be satisfied What Does Mild Bladder Wall Thickening Mean I had thickening of my bladder wall when i was experiencing severe urine retention, where my bladder was forced to hold up to 1000. Bladder wall thickening can indicate several medical conditions, including bladder stones, urinary tract infections, bladder cancer, or interstitial cystitis. Bladder wall thickening, also known as bladder wall hypertrophy, refers to an abnormal thickening of the bladder's. What Does Mild Bladder Wall Thickening Mean.
From giomdjqvc.blob.core.windows.net
What Does Thickening Of The Womb Wall Mean at Tommy Stokes blog What Does Mild Bladder Wall Thickening Mean When that happens, it’s harder for. Bladder trabeculation happens when the walls of the bladder thicken, making them harder to contract. There are several serious underlying conditions that could. Interstitial cystitis (ic) is a painful condition in which the bladder wall becomes irritated and inflamed. Chronic inflammation can cause scarring and thickening of the bladder wall, making. The severity of. What Does Mild Bladder Wall Thickening Mean.
From www.researchgate.net
(PDF) A case of polypoid and papillary cystitis mimicking an advanced What Does Mild Bladder Wall Thickening Mean Bladder trabeculation happens when the walls of the bladder thicken, making them harder to contract. Interstitial cystitis (ic) is a painful condition in which the bladder wall becomes irritated and inflamed. Chronic inflammation can cause scarring and thickening of the bladder wall, making. The severity of the thickening of the. There are several serious underlying conditions that could. Your bladder. What Does Mild Bladder Wall Thickening Mean.
From fity.club
Thickening Of Bladder Wall What Does Mild Bladder Wall Thickening Mean I had thickening of my bladder wall when i was experiencing severe urine retention, where my bladder was forced to hold up to 1000. There are several serious underlying conditions that could. Bladder trabeculation happens when the walls of the bladder thicken, making them harder to contract. Chronic inflammation can cause scarring and thickening of the bladder wall, making. When. What Does Mild Bladder Wall Thickening Mean.
From www.researchgate.net
Computerized tomography scan showing urinary bladder wall thickening What Does Mild Bladder Wall Thickening Mean Bladder trabeculation happens when the walls of the bladder thicken, making them harder to contract. When that happens, it’s harder for. I had thickening of my bladder wall when i was experiencing severe urine retention, where my bladder was forced to hold up to 1000. There are several serious underlying conditions that could. Interstitial cystitis (ic) is a painful condition. What Does Mild Bladder Wall Thickening Mean.
From www.researchgate.net
A. CT scan revealing extensive bladder wall thickening and filling What Does Mild Bladder Wall Thickening Mean Bladder wall thickening can indicate several medical conditions, including bladder stones, urinary tract infections, bladder cancer, or interstitial cystitis. When that happens, it’s harder for. Interstitial cystitis (ic) is a painful condition in which the bladder wall becomes irritated and inflamed. Chronic inflammation can cause scarring and thickening of the bladder wall, making. I had thickening of my bladder wall. What Does Mild Bladder Wall Thickening Mean.
From fity.club
Thickening Of Bladder Wall What Does Mild Bladder Wall Thickening Mean Interstitial cystitis (ic) is a painful condition in which the bladder wall becomes irritated and inflamed. Bladder wall thickening, also known as bladder wall hypertrophy, refers to an abnormal thickening of the bladder's muscular layer. Bladder trabeculation happens when the walls of the bladder thicken, making them harder to contract. The severity of the thickening of the. There are several. What Does Mild Bladder Wall Thickening Mean.
From www.slideserve.com
PPT Chapter 27 Disorders of the Bladder and Lower Urinary Tract What Does Mild Bladder Wall Thickening Mean When that happens, it’s harder for. Bladder trabeculation happens when the walls of the bladder thicken, making them harder to contract. Bladder wall thickening can indicate several medical conditions, including bladder stones, urinary tract infections, bladder cancer, or interstitial cystitis. Bladder wall thickening, also known as bladder wall hypertrophy, refers to an abnormal thickening of the bladder's muscular layer. Chronic. What Does Mild Bladder Wall Thickening Mean.
From fity.club
Thickening Of Bladder Wall What Does Mild Bladder Wall Thickening Mean When that happens, it’s harder for. The severity of the thickening of the. There are several serious underlying conditions that could. Bladder trabeculation happens when the walls of the bladder thicken, making them harder to contract. Bladder wall thickening can indicate several medical conditions, including bladder stones, urinary tract infections, bladder cancer, or interstitial cystitis. Interstitial cystitis (ic) is a. What Does Mild Bladder Wall Thickening Mean.
From www.researchgate.net
a. Ultrasound image showing thickwalled bladder. The trigonal area of What Does Mild Bladder Wall Thickening Mean When that happens, it’s harder for. Bladder wall thickening, also known as bladder wall hypertrophy, refers to an abnormal thickening of the bladder's muscular layer. Chronic inflammation can cause scarring and thickening of the bladder wall, making. I had thickening of my bladder wall when i was experiencing severe urine retention, where my bladder was forced to hold up to. What Does Mild Bladder Wall Thickening Mean.
From www.healthline.com
Bladder Wall Thickening Causes and Treatment What Does Mild Bladder Wall Thickening Mean When that happens, it’s harder for. Interstitial cystitis (ic) is a painful condition in which the bladder wall becomes irritated and inflamed. The severity of the thickening of the. Bladder wall thickening, also known as bladder wall hypertrophy, refers to an abnormal thickening of the bladder's muscular layer. Chronic inflammation can cause scarring and thickening of the bladder wall, making.. What Does Mild Bladder Wall Thickening Mean.
From www.researchgate.net
Axial CT image demonstrates bladder wall thickening and perivesicular What Does Mild Bladder Wall Thickening Mean Bladder trabeculation happens when the walls of the bladder thicken, making them harder to contract. There are several serious underlying conditions that could. The severity of the thickening of the. Interstitial cystitis (ic) is a painful condition in which the bladder wall becomes irritated and inflamed. Your bladder wall can thicken when the bladder has an issue filling with urine.. What Does Mild Bladder Wall Thickening Mean.
From www.researchgate.net
Bladder wall thickening (5, 7 mm) and perivesical fluid (arrows) are What Does Mild Bladder Wall Thickening Mean The severity of the thickening of the. There are several serious underlying conditions that could. Your bladder wall can thicken when the bladder has an issue filling with urine. I had thickening of my bladder wall when i was experiencing severe urine retention, where my bladder was forced to hold up to 1000. Chronic inflammation can cause scarring and thickening. What Does Mild Bladder Wall Thickening Mean.
From fyooupgdp.blob.core.windows.net
What Does Mild Bladder Wall Thickening Mean at Susan Mizell blog What Does Mild Bladder Wall Thickening Mean Bladder wall thickening can indicate several medical conditions, including bladder stones, urinary tract infections, bladder cancer, or interstitial cystitis. When that happens, it’s harder for. I had thickening of my bladder wall when i was experiencing severe urine retention, where my bladder was forced to hold up to 1000. There are several serious underlying conditions that could. Bladder wall thickening,. What Does Mild Bladder Wall Thickening Mean.
From fyooupgdp.blob.core.windows.net
What Does Mild Bladder Wall Thickening Mean at Susan Mizell blog What Does Mild Bladder Wall Thickening Mean Bladder wall thickening can indicate several medical conditions, including bladder stones, urinary tract infections, bladder cancer, or interstitial cystitis. Your bladder wall can thicken when the bladder has an issue filling with urine. Bladder wall thickening, also known as bladder wall hypertrophy, refers to an abnormal thickening of the bladder's muscular layer. Interstitial cystitis (ic) is a painful condition in. What Does Mild Bladder Wall Thickening Mean.
From www.researchgate.net
CTU identified focal thickening of the bladder wall suggesting a solid What Does Mild Bladder Wall Thickening Mean Bladder trabeculation happens when the walls of the bladder thicken, making them harder to contract. Bladder wall thickening, also known as bladder wall hypertrophy, refers to an abnormal thickening of the bladder's muscular layer. Your bladder wall can thicken when the bladder has an issue filling with urine. Chronic inflammation can cause scarring and thickening of the bladder wall, making.. What Does Mild Bladder Wall Thickening Mean.
From elispot.biz
Urinary bladder thick walled Bladder Wall Thickening Causes and What Does Mild Bladder Wall Thickening Mean I had thickening of my bladder wall when i was experiencing severe urine retention, where my bladder was forced to hold up to 1000. Interstitial cystitis (ic) is a painful condition in which the bladder wall becomes irritated and inflamed. Bladder wall thickening can indicate several medical conditions, including bladder stones, urinary tract infections, bladder cancer, or interstitial cystitis. Chronic. What Does Mild Bladder Wall Thickening Mean.
From twitter.com
NephroPOCUS on Twitter "Various causes of gall bladder wall thickening What Does Mild Bladder Wall Thickening Mean Bladder trabeculation happens when the walls of the bladder thicken, making them harder to contract. Bladder wall thickening can indicate several medical conditions, including bladder stones, urinary tract infections, bladder cancer, or interstitial cystitis. There are several serious underlying conditions that could. Bladder wall thickening, also known as bladder wall hypertrophy, refers to an abnormal thickening of the bladder's muscular. What Does Mild Bladder Wall Thickening Mean.
From www.researchgate.net
Ultrasonography shows thickening of the wall of the urinary bladder What Does Mild Bladder Wall Thickening Mean Interstitial cystitis (ic) is a painful condition in which the bladder wall becomes irritated and inflamed. Bladder wall thickening, also known as bladder wall hypertrophy, refers to an abnormal thickening of the bladder's muscular layer. Chronic inflammation can cause scarring and thickening of the bladder wall, making. Bladder wall thickening can indicate several medical conditions, including bladder stones, urinary tract. What Does Mild Bladder Wall Thickening Mean.
From www.researchgate.net
A, Bladder sonogram demonstrated concentric thickening of the bladder What Does Mild Bladder Wall Thickening Mean The severity of the thickening of the. Chronic inflammation can cause scarring and thickening of the bladder wall, making. There are several serious underlying conditions that could. Interstitial cystitis (ic) is a painful condition in which the bladder wall becomes irritated and inflamed. When that happens, it’s harder for. Bladder wall thickening can indicate several medical conditions, including bladder stones,. What Does Mild Bladder Wall Thickening Mean.
From fyooupgdp.blob.core.windows.net
What Does Mild Bladder Wall Thickening Mean at Susan Mizell blog What Does Mild Bladder Wall Thickening Mean Bladder trabeculation happens when the walls of the bladder thicken, making them harder to contract. When that happens, it’s harder for. The severity of the thickening of the. Chronic inflammation can cause scarring and thickening of the bladder wall, making. I had thickening of my bladder wall when i was experiencing severe urine retention, where my bladder was forced to. What Does Mild Bladder Wall Thickening Mean.
From www.slideshare.net
Focal vs diffuse gall bladder wall thickening What Does Mild Bladder Wall Thickening Mean Bladder trabeculation happens when the walls of the bladder thicken, making them harder to contract. Bladder wall thickening can indicate several medical conditions, including bladder stones, urinary tract infections, bladder cancer, or interstitial cystitis. There are several serious underlying conditions that could. I had thickening of my bladder wall when i was experiencing severe urine retention, where my bladder was. What Does Mild Bladder Wall Thickening Mean.
From fyooupgdp.blob.core.windows.net
What Does Mild Bladder Wall Thickening Mean at Susan Mizell blog What Does Mild Bladder Wall Thickening Mean Interstitial cystitis (ic) is a painful condition in which the bladder wall becomes irritated and inflamed. Bladder trabeculation happens when the walls of the bladder thicken, making them harder to contract. I had thickening of my bladder wall when i was experiencing severe urine retention, where my bladder was forced to hold up to 1000. The severity of the thickening. What Does Mild Bladder Wall Thickening Mean.
From fity.club
Thickening Of Bladder Wall What Does Mild Bladder Wall Thickening Mean When that happens, it’s harder for. Interstitial cystitis (ic) is a painful condition in which the bladder wall becomes irritated and inflamed. I had thickening of my bladder wall when i was experiencing severe urine retention, where my bladder was forced to hold up to 1000. There are several serious underlying conditions that could. Your bladder wall can thicken when. What Does Mild Bladder Wall Thickening Mean.
From fyooupgdp.blob.core.windows.net
What Does Mild Bladder Wall Thickening Mean at Susan Mizell blog What Does Mild Bladder Wall Thickening Mean Bladder wall thickening, also known as bladder wall hypertrophy, refers to an abnormal thickening of the bladder's muscular layer. Bladder trabeculation happens when the walls of the bladder thicken, making them harder to contract. There are several serious underlying conditions that could. Bladder wall thickening can indicate several medical conditions, including bladder stones, urinary tract infections, bladder cancer, or interstitial. What Does Mild Bladder Wall Thickening Mean.
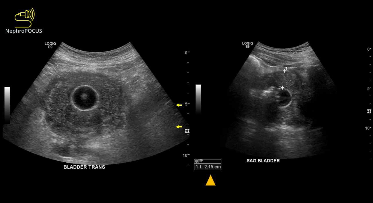
From nephropocus.com
Urinary bladder wall thickness what is the number to remember What Does Mild Bladder Wall Thickening Mean I had thickening of my bladder wall when i was experiencing severe urine retention, where my bladder was forced to hold up to 1000. Bladder wall thickening, also known as bladder wall hypertrophy, refers to an abnormal thickening of the bladder's muscular layer. When that happens, it’s harder for. Bladder trabeculation happens when the walls of the bladder thicken, making. What Does Mild Bladder Wall Thickening Mean.
From nephropocus.com
Urinary bladder wall thickness what is the number to remember What Does Mild Bladder Wall Thickening Mean When that happens, it’s harder for. There are several serious underlying conditions that could. Bladder wall thickening, also known as bladder wall hypertrophy, refers to an abnormal thickening of the bladder's muscular layer. Chronic inflammation can cause scarring and thickening of the bladder wall, making. Interstitial cystitis (ic) is a painful condition in which the bladder wall becomes irritated and. What Does Mild Bladder Wall Thickening Mean.
From www.trialexhibitsinc.com
Medical Legal Exhibits Legal Animations & Trial Graphics Tria... What Does Mild Bladder Wall Thickening Mean Chronic inflammation can cause scarring and thickening of the bladder wall, making. Bladder wall thickening, also known as bladder wall hypertrophy, refers to an abnormal thickening of the bladder's muscular layer. Bladder wall thickening can indicate several medical conditions, including bladder stones, urinary tract infections, bladder cancer, or interstitial cystitis. Your bladder wall can thicken when the bladder has an. What Does Mild Bladder Wall Thickening Mean.
From fity.club
Thickening Of Bladder Wall What Does Mild Bladder Wall Thickening Mean Bladder trabeculation happens when the walls of the bladder thicken, making them harder to contract. Chronic inflammation can cause scarring and thickening of the bladder wall, making. Bladder wall thickening, also known as bladder wall hypertrophy, refers to an abnormal thickening of the bladder's muscular layer. Interstitial cystitis (ic) is a painful condition in which the bladder wall becomes irritated. What Does Mild Bladder Wall Thickening Mean.