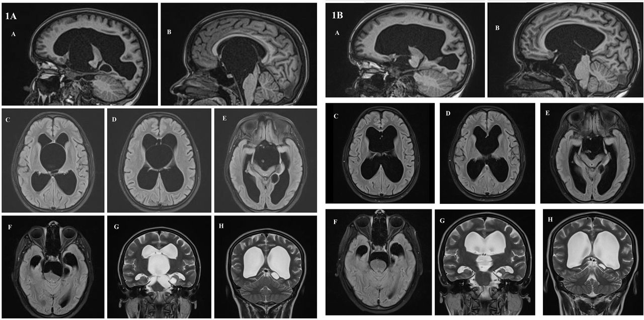
Bobble Head Syndrome . Mri of the head revealed a suprasellar arachnoid cyst and ventriculomegaly. The signs and symptoms of bhds. The bobble head doll syndrome is a rare neurological disorder characterized by repetitive and involuntary movement of the head that. The signs and symptoms of bhds.
from www.researchgate.net
The signs and symptoms of bhds. The bobble head doll syndrome is a rare neurological disorder characterized by repetitive and involuntary movement of the head that. The signs and symptoms of bhds. Mri of the head revealed a suprasellar arachnoid cyst and ventriculomegaly.
An unusual presentation of bobblehead doll syndrome in a patient with hydranencephaly and
Bobble Head Syndrome Mri of the head revealed a suprasellar arachnoid cyst and ventriculomegaly. The signs and symptoms of bhds. Mri of the head revealed a suprasellar arachnoid cyst and ventriculomegaly. The bobble head doll syndrome is a rare neurological disorder characterized by repetitive and involuntary movement of the head that. The signs and symptoms of bhds.
From www.scribd.com
Bobblehead doll syndrome Review of the pathophysiolo PDF Bobble Head Syndrome The bobble head doll syndrome is a rare neurological disorder characterized by repetitive and involuntary movement of the head that. The signs and symptoms of bhds. The signs and symptoms of bhds. Mri of the head revealed a suprasellar arachnoid cyst and ventriculomegaly. Bobble Head Syndrome.
From www.pedneur.com
“NoNo” Type BobbleHead Doll Syndrome in an Infant With an Arachnoid Cyst of the Posterior Bobble Head Syndrome The bobble head doll syndrome is a rare neurological disorder characterized by repetitive and involuntary movement of the head that. The signs and symptoms of bhds. The signs and symptoms of bhds. Mri of the head revealed a suprasellar arachnoid cyst and ventriculomegaly. Bobble Head Syndrome.
From www.researchgate.net
A still image from the video showing bobblehead doll syndrome prior to... Download Scientific Bobble Head Syndrome The signs and symptoms of bhds. Mri of the head revealed a suprasellar arachnoid cyst and ventriculomegaly. The bobble head doll syndrome is a rare neurological disorder characterized by repetitive and involuntary movement of the head that. The signs and symptoms of bhds. Bobble Head Syndrome.
From www.shutterstock.com
Bobblehead Doll Syndrome Rare Neurological Movement Stock Illustration 2233335887 Shutterstock Bobble Head Syndrome Mri of the head revealed a suprasellar arachnoid cyst and ventriculomegaly. The signs and symptoms of bhds. The signs and symptoms of bhds. The bobble head doll syndrome is a rare neurological disorder characterized by repetitive and involuntary movement of the head that. Bobble Head Syndrome.
From www.researchgate.net
An unusual presentation of bobblehead doll syndrome in a patient with hydranencephaly and Bobble Head Syndrome The bobble head doll syndrome is a rare neurological disorder characterized by repetitive and involuntary movement of the head that. Mri of the head revealed a suprasellar arachnoid cyst and ventriculomegaly. The signs and symptoms of bhds. The signs and symptoms of bhds. Bobble Head Syndrome.
From thejns.org
Bobble—head doll syndrome and drop attacks in a child with a cystic choroid plexus papilloma of Bobble Head Syndrome The signs and symptoms of bhds. Mri of the head revealed a suprasellar arachnoid cyst and ventriculomegaly. The bobble head doll syndrome is a rare neurological disorder characterized by repetitive and involuntary movement of the head that. The signs and symptoms of bhds. Bobble Head Syndrome.
From thejns.org
Bobble—head doll syndrome and drop attacks in a child with a cystic choroid plexus papilloma of Bobble Head Syndrome The bobble head doll syndrome is a rare neurological disorder characterized by repetitive and involuntary movement of the head that. The signs and symptoms of bhds. Mri of the head revealed a suprasellar arachnoid cyst and ventriculomegaly. The signs and symptoms of bhds. Bobble Head Syndrome.
From www.semanticscholar.org
Figure 4 from The bobble‐head doll syndrome Semantic Scholar Bobble Head Syndrome Mri of the head revealed a suprasellar arachnoid cyst and ventriculomegaly. The signs and symptoms of bhds. The bobble head doll syndrome is a rare neurological disorder characterized by repetitive and involuntary movement of the head that. The signs and symptoms of bhds. Bobble Head Syndrome.
From www.youtube.com
A Rare Case of BobbleHead Doll Syndrome YouTube Bobble Head Syndrome The signs and symptoms of bhds. The bobble head doll syndrome is a rare neurological disorder characterized by repetitive and involuntary movement of the head that. Mri of the head revealed a suprasellar arachnoid cyst and ventriculomegaly. The signs and symptoms of bhds. Bobble Head Syndrome.
From www.facebook.com
Bobblehead doll syndrome is a pediatric condition characterized by involuntary, repetitive Bobble Head Syndrome The signs and symptoms of bhds. The signs and symptoms of bhds. The bobble head doll syndrome is a rare neurological disorder characterized by repetitive and involuntary movement of the head that. Mri of the head revealed a suprasellar arachnoid cyst and ventriculomegaly. Bobble Head Syndrome.
From www.youtube.com
Síndrome BobbleheadDoll BobbleheadDoll Syndrome (Greeting NEJMvideo) YouTube Bobble Head Syndrome The signs and symptoms of bhds. The signs and symptoms of bhds. The bobble head doll syndrome is a rare neurological disorder characterized by repetitive and involuntary movement of the head that. Mri of the head revealed a suprasellar arachnoid cyst and ventriculomegaly. Bobble Head Syndrome.
From www.semanticscholar.org
Figure 3 from The bobble‐head doll syndrome Semantic Scholar Bobble Head Syndrome The signs and symptoms of bhds. The signs and symptoms of bhds. The bobble head doll syndrome is a rare neurological disorder characterized by repetitive and involuntary movement of the head that. Mri of the head revealed a suprasellar arachnoid cyst and ventriculomegaly. Bobble Head Syndrome.
From www.shutterstock.com
Bobblehead Doll Syndrome Rare Neurological Movement Stock Illustration 2233335887 Shutterstock Bobble Head Syndrome The signs and symptoms of bhds. The signs and symptoms of bhds. Mri of the head revealed a suprasellar arachnoid cyst and ventriculomegaly. The bobble head doll syndrome is a rare neurological disorder characterized by repetitive and involuntary movement of the head that. Bobble Head Syndrome.
From www.researchgate.net
(PDF) Bobble head doll syndrome A rare case report Bobble Head Syndrome The signs and symptoms of bhds. The signs and symptoms of bhds. The bobble head doll syndrome is a rare neurological disorder characterized by repetitive and involuntary movement of the head that. Mri of the head revealed a suprasellar arachnoid cyst and ventriculomegaly. Bobble Head Syndrome.
From www.shutterstock.com
Bobblehead Doll Syndrome Word Written On Stock Photo 2167956293 Shutterstock Bobble Head Syndrome The bobble head doll syndrome is a rare neurological disorder characterized by repetitive and involuntary movement of the head that. The signs and symptoms of bhds. Mri of the head revealed a suprasellar arachnoid cyst and ventriculomegaly. The signs and symptoms of bhds. Bobble Head Syndrome.
From www.researchgate.net
(PDF) BobbleHead Doll Syndrome Treated Surgically Bobble Head Syndrome The signs and symptoms of bhds. Mri of the head revealed a suprasellar arachnoid cyst and ventriculomegaly. The bobble head doll syndrome is a rare neurological disorder characterized by repetitive and involuntary movement of the head that. The signs and symptoms of bhds. Bobble Head Syndrome.
From movementdisorders.onlinelibrary.wiley.com
Bobble‐Head Doll Syndrome in a Child with Suprasellar Arachnoid Cyst Saracoglu 2019 Bobble Head Syndrome Mri of the head revealed a suprasellar arachnoid cyst and ventriculomegaly. The bobble head doll syndrome is a rare neurological disorder characterized by repetitive and involuntary movement of the head that. The signs and symptoms of bhds. The signs and symptoms of bhds. Bobble Head Syndrome.
From pn.bmj.com
Bobblehead doll syndrome with suprasellar arachnoid cyst Practical Neurology Bobble Head Syndrome The signs and symptoms of bhds. The bobble head doll syndrome is a rare neurological disorder characterized by repetitive and involuntary movement of the head that. The signs and symptoms of bhds. Mri of the head revealed a suprasellar arachnoid cyst and ventriculomegaly. Bobble Head Syndrome.
From www.researchgate.net
(PDF) Bobble head doll syndrome (BHDS) Case report Bobble Head Syndrome Mri of the head revealed a suprasellar arachnoid cyst and ventriculomegaly. The signs and symptoms of bhds. The bobble head doll syndrome is a rare neurological disorder characterized by repetitive and involuntary movement of the head that. The signs and symptoms of bhds. Bobble Head Syndrome.
From thejns.org
A neuroanatomical basis for the bobblehead doll syndrome in Journal of Neurosurgery Volume 41 Bobble Head Syndrome The signs and symptoms of bhds. Mri of the head revealed a suprasellar arachnoid cyst and ventriculomegaly. The signs and symptoms of bhds. The bobble head doll syndrome is a rare neurological disorder characterized by repetitive and involuntary movement of the head that. Bobble Head Syndrome.
From www.health-az.com
BobbleHead Doll Syndrome Signs and Symptoms Health A to Z Bobble Head Syndrome Mri of the head revealed a suprasellar arachnoid cyst and ventriculomegaly. The signs and symptoms of bhds. The bobble head doll syndrome is a rare neurological disorder characterized by repetitive and involuntary movement of the head that. The signs and symptoms of bhds. Bobble Head Syndrome.
From pmpagm.blogspot.com
MILES TO READ B4 I SLEEP P BOBBLE HEAD DOLL SYNDROME Bobble Head Syndrome The signs and symptoms of bhds. Mri of the head revealed a suprasellar arachnoid cyst and ventriculomegaly. The bobble head doll syndrome is a rare neurological disorder characterized by repetitive and involuntary movement of the head that. The signs and symptoms of bhds. Bobble Head Syndrome.
From www.researchgate.net
(PDF) Bobblehead doll syndrome due to a suprasellar archnoid cyst Endoscopic treatment in two Bobble Head Syndrome The signs and symptoms of bhds. The bobble head doll syndrome is a rare neurological disorder characterized by repetitive and involuntary movement of the head that. Mri of the head revealed a suprasellar arachnoid cyst and ventriculomegaly. The signs and symptoms of bhds. Bobble Head Syndrome.
From www.pedneur.com
“NoNo” Type BobbleHead Doll Syndrome in an Infant With an Arachnoid Cyst of the Posterior Bobble Head Syndrome Mri of the head revealed a suprasellar arachnoid cyst and ventriculomegaly. The bobble head doll syndrome is a rare neurological disorder characterized by repetitive and involuntary movement of the head that. The signs and symptoms of bhds. The signs and symptoms of bhds. Bobble Head Syndrome.
From www.thephamly.com.au
Bobble head syndrome KEEP IT IN THE PHAMLY Bobble Head Syndrome Mri of the head revealed a suprasellar arachnoid cyst and ventriculomegaly. The bobble head doll syndrome is a rare neurological disorder characterized by repetitive and involuntary movement of the head that. The signs and symptoms of bhds. The signs and symptoms of bhds. Bobble Head Syndrome.
From www.youtube.com
How to fix bobble head syndrome on your doll YouTube Bobble Head Syndrome The bobble head doll syndrome is a rare neurological disorder characterized by repetitive and involuntary movement of the head that. Mri of the head revealed a suprasellar arachnoid cyst and ventriculomegaly. The signs and symptoms of bhds. The signs and symptoms of bhds. Bobble Head Syndrome.
From www.researchgate.net
An unusual presentation of bobblehead doll syndrome in a patient with hydranencephaly and Bobble Head Syndrome The signs and symptoms of bhds. The bobble head doll syndrome is a rare neurological disorder characterized by repetitive and involuntary movement of the head that. The signs and symptoms of bhds. Mri of the head revealed a suprasellar arachnoid cyst and ventriculomegaly. Bobble Head Syndrome.
From www.researchgate.net
(PDF) Bobblehead doll syndrome Therapeutic and longterm followup in four children Bobble Head Syndrome The bobble head doll syndrome is a rare neurological disorder characterized by repetitive and involuntary movement of the head that. The signs and symptoms of bhds. Mri of the head revealed a suprasellar arachnoid cyst and ventriculomegaly. The signs and symptoms of bhds. Bobble Head Syndrome.
From profngoerahhospitalbali.com
Kenali dan Waspadai Bobble Head Doll Syndrome RSUP Prof. dr. I.G.N.G. Ngoerah Bobble Head Syndrome Mri of the head revealed a suprasellar arachnoid cyst and ventriculomegaly. The signs and symptoms of bhds. The signs and symptoms of bhds. The bobble head doll syndrome is a rare neurological disorder characterized by repetitive and involuntary movement of the head that. Bobble Head Syndrome.
From twitter.com
Oren Gottfried, MD on Twitter "Bobble Head Syndrome (BHDS)" Bobble Head Syndrome The bobble head doll syndrome is a rare neurological disorder characterized by repetitive and involuntary movement of the head that. The signs and symptoms of bhds. Mri of the head revealed a suprasellar arachnoid cyst and ventriculomegaly. The signs and symptoms of bhds. Bobble Head Syndrome.
From www.semanticscholar.org
Figure 2 from The bobble‐head doll syndrome Semantic Scholar Bobble Head Syndrome The signs and symptoms of bhds. The signs and symptoms of bhds. Mri of the head revealed a suprasellar arachnoid cyst and ventriculomegaly. The bobble head doll syndrome is a rare neurological disorder characterized by repetitive and involuntary movement of the head that. Bobble Head Syndrome.
From www.researchgate.net
(PDF) Large intraventricular epidermoid with bobble head doll syndrome in an adult Bobble Head Syndrome The signs and symptoms of bhds. The bobble head doll syndrome is a rare neurological disorder characterized by repetitive and involuntary movement of the head that. Mri of the head revealed a suprasellar arachnoid cyst and ventriculomegaly. The signs and symptoms of bhds. Bobble Head Syndrome.
From musc.bcst.md
A Rare Case of BobbleHead Doll Syndrome The Medical University of South Carolina Bobble Head Syndrome Mri of the head revealed a suprasellar arachnoid cyst and ventriculomegaly. The bobble head doll syndrome is a rare neurological disorder characterized by repetitive and involuntary movement of the head that. The signs and symptoms of bhds. The signs and symptoms of bhds. Bobble Head Syndrome.
From www.academia.edu
(PDF) BobbleHead Doll Syndrome in a Child with Suprasellar Arachnoid Cyst mehmet Kazan Bobble Head Syndrome The bobble head doll syndrome is a rare neurological disorder characterized by repetitive and involuntary movement of the head that. Mri of the head revealed a suprasellar arachnoid cyst and ventriculomegaly. The signs and symptoms of bhds. The signs and symptoms of bhds. Bobble Head Syndrome.
From thejns.org
Bobblehead doll syndrome report of 2 cases and a review of the literature, with video Bobble Head Syndrome The bobble head doll syndrome is a rare neurological disorder characterized by repetitive and involuntary movement of the head that. The signs and symptoms of bhds. Mri of the head revealed a suprasellar arachnoid cyst and ventriculomegaly. The signs and symptoms of bhds. Bobble Head Syndrome.