Laser Gum Surgery Cost Australia . A typical lapt procedure in. Why choose magical smiles for laser gum treatment. If you’re affected by advanced. lanap or “laser assisted new attachment procedure” involves the use of a laser to treat periodontitis and regenerate bone,. The cost of gum laser surgery does vary for every individual, depending on the extent of work that will need to be completed. the average price of laser gum treatment in australia ranges from $1,000 to $4,000, depending on the number of areas that. A laser that attacks the bacteria that contribute to. lanap is an acronym that stands for laser assisted new attachment procedure. It has revolutionised the treatment of gum. laser surgery costs vary but are generally comparable to traditional gum surgery procedures.
from www.paramountdentalsydney.com.au
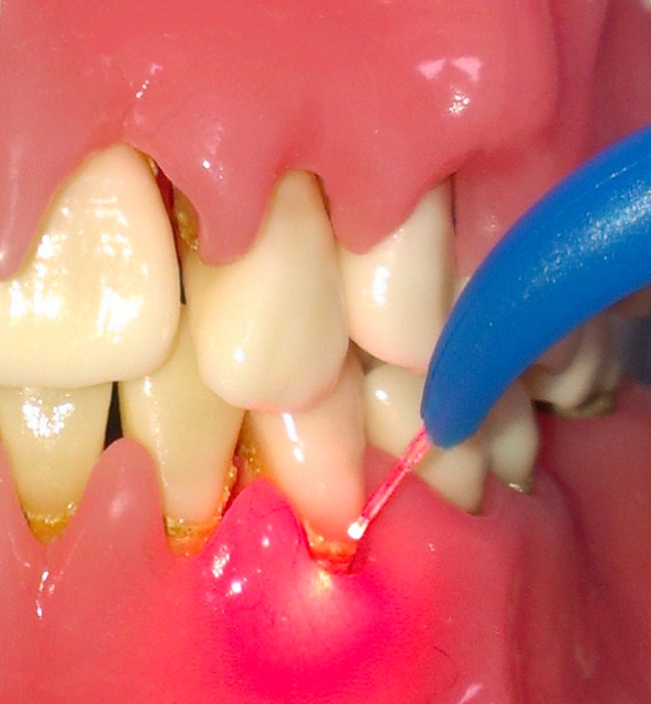
lanap or “laser assisted new attachment procedure” involves the use of a laser to treat periodontitis and regenerate bone,. It has revolutionised the treatment of gum. lanap is an acronym that stands for laser assisted new attachment procedure. The cost of gum laser surgery does vary for every individual, depending on the extent of work that will need to be completed. the average price of laser gum treatment in australia ranges from $1,000 to $4,000, depending on the number of areas that. laser surgery costs vary but are generally comparable to traditional gum surgery procedures. If you’re affected by advanced. Why choose magical smiles for laser gum treatment. A typical lapt procedure in. A laser that attacks the bacteria that contribute to.
Laser Gum Treatment in Sydney — Paramount Dental Sydney
Laser Gum Surgery Cost Australia Why choose magical smiles for laser gum treatment. Why choose magical smiles for laser gum treatment. A typical lapt procedure in. A laser that attacks the bacteria that contribute to. It has revolutionised the treatment of gum. lanap or “laser assisted new attachment procedure” involves the use of a laser to treat periodontitis and regenerate bone,. If you’re affected by advanced. laser surgery costs vary but are generally comparable to traditional gum surgery procedures. the average price of laser gum treatment in australia ranges from $1,000 to $4,000, depending on the number of areas that. lanap is an acronym that stands for laser assisted new attachment procedure. The cost of gum laser surgery does vary for every individual, depending on the extent of work that will need to be completed.
From www.slideserve.com
PPT What is Laser gum Surgery? PowerPoint Presentation, free download Laser Gum Surgery Cost Australia lanap is an acronym that stands for laser assisted new attachment procedure. the average price of laser gum treatment in australia ranges from $1,000 to $4,000, depending on the number of areas that. laser surgery costs vary but are generally comparable to traditional gum surgery procedures. A laser that attacks the bacteria that contribute to. If you’re. Laser Gum Surgery Cost Australia.
From www.centerfordentalanesthesia.com
3 Ways That Laser Gum Surgery Is Different From Traditional Gum Surgery Laser Gum Surgery Cost Australia A typical lapt procedure in. lanap or “laser assisted new attachment procedure” involves the use of a laser to treat periodontitis and regenerate bone,. laser surgery costs vary but are generally comparable to traditional gum surgery procedures. the average price of laser gum treatment in australia ranges from $1,000 to $4,000, depending on the number of areas. Laser Gum Surgery Cost Australia.
From voguedentalstudios.com.au
Gum Laser Surgery Vogue Dental Studios Laser Gum Surgery Cost Australia The cost of gum laser surgery does vary for every individual, depending on the extent of work that will need to be completed. It has revolutionised the treatment of gum. the average price of laser gum treatment in australia ranges from $1,000 to $4,000, depending on the number of areas that. If you’re affected by advanced. A typical lapt. Laser Gum Surgery Cost Australia.
From www.sfdentistry.com
Laser Gum Contouring Before & After Photos Samadian Cosmetic Laser Gum Surgery Cost Australia If you’re affected by advanced. lanap is an acronym that stands for laser assisted new attachment procedure. lanap or “laser assisted new attachment procedure” involves the use of a laser to treat periodontitis and regenerate bone,. A laser that attacks the bacteria that contribute to. Why choose magical smiles for laser gum treatment. the average price of. Laser Gum Surgery Cost Australia.
From www.deardoctor.com
The LANAP Procedure Treating Gum Disease With Lasers Laser Gum Surgery Cost Australia It has revolutionised the treatment of gum. lanap is an acronym that stands for laser assisted new attachment procedure. Why choose magical smiles for laser gum treatment. A typical lapt procedure in. laser surgery costs vary but are generally comparable to traditional gum surgery procedures. A laser that attacks the bacteria that contribute to. If you’re affected by. Laser Gum Surgery Cost Australia.
From www.youtube.com
My Teeth Before & After (Laser Gum Surgery & Veneers) YouTube Laser Gum Surgery Cost Australia It has revolutionised the treatment of gum. lanap or “laser assisted new attachment procedure” involves the use of a laser to treat periodontitis and regenerate bone,. If you’re affected by advanced. the average price of laser gum treatment in australia ranges from $1,000 to $4,000, depending on the number of areas that. A typical lapt procedure in. The. Laser Gum Surgery Cost Australia.
From onatskydentalclinic.com
Laser Gum Treatment Brooklyn, NY Onatsky Dental Clinic Laser Gum Surgery Cost Australia lanap or “laser assisted new attachment procedure” involves the use of a laser to treat periodontitis and regenerate bone,. The cost of gum laser surgery does vary for every individual, depending on the extent of work that will need to be completed. It has revolutionised the treatment of gum. lanap is an acronym that stands for laser assisted. Laser Gum Surgery Cost Australia.
From www.dentaly.org
Laser Gum Surgery Costs, Procedure, Side Effects and Risks Laser Gum Surgery Cost Australia It has revolutionised the treatment of gum. If you’re affected by advanced. The cost of gum laser surgery does vary for every individual, depending on the extent of work that will need to be completed. laser surgery costs vary but are generally comparable to traditional gum surgery procedures. the average price of laser gum treatment in australia ranges. Laser Gum Surgery Cost Australia.
From www.pinterest.com
Lasers can effectively treat periodontitis (gum disease) and provide Laser Gum Surgery Cost Australia It has revolutionised the treatment of gum. A typical lapt procedure in. Why choose magical smiles for laser gum treatment. lanap or “laser assisted new attachment procedure” involves the use of a laser to treat periodontitis and regenerate bone,. A laser that attacks the bacteria that contribute to. lanap is an acronym that stands for laser assisted new. Laser Gum Surgery Cost Australia.
From www.shorelineperio.com
LANAP® Laser Gum Treatment Westerly, RI New London, CT Laser Gum Surgery Cost Australia lanap or “laser assisted new attachment procedure” involves the use of a laser to treat periodontitis and regenerate bone,. The cost of gum laser surgery does vary for every individual, depending on the extent of work that will need to be completed. laser surgery costs vary but are generally comparable to traditional gum surgery procedures. If you’re affected. Laser Gum Surgery Cost Australia.
From www.youtube.com
GETTING LASER GUM SURGERY YouTube Laser Gum Surgery Cost Australia If you’re affected by advanced. Why choose magical smiles for laser gum treatment. A typical lapt procedure in. lanap is an acronym that stands for laser assisted new attachment procedure. A laser that attacks the bacteria that contribute to. It has revolutionised the treatment of gum. lanap or “laser assisted new attachment procedure” involves the use of a. Laser Gum Surgery Cost Australia.
From mlimplants.com
Laser Gum Treatment & Lemke Periodontics & Dental Implants Laser Gum Surgery Cost Australia the average price of laser gum treatment in australia ranges from $1,000 to $4,000, depending on the number of areas that. Why choose magical smiles for laser gum treatment. The cost of gum laser surgery does vary for every individual, depending on the extent of work that will need to be completed. A laser that attacks the bacteria that. Laser Gum Surgery Cost Australia.
From www.normanhurstdental.com.au
Laser Gum Treatment Normanhurst Dental Laser Gum Surgery Cost Australia laser surgery costs vary but are generally comparable to traditional gum surgery procedures. A laser that attacks the bacteria that contribute to. It has revolutionised the treatment of gum. Why choose magical smiles for laser gum treatment. If you’re affected by advanced. the average price of laser gum treatment in australia ranges from $1,000 to $4,000, depending on. Laser Gum Surgery Cost Australia.
From www.morrisperio.com
Laser Gum Therapy Lee's Summit MO Periodontal Lasers Laser Gum Surgery Cost Australia lanap or “laser assisted new attachment procedure” involves the use of a laser to treat periodontitis and regenerate bone,. A typical lapt procedure in. the average price of laser gum treatment in australia ranges from $1,000 to $4,000, depending on the number of areas that. The cost of gum laser surgery does vary for every individual, depending on. Laser Gum Surgery Cost Australia.
From www.theapplecrossdentist.com.au
Laser Gum Recontouring Perth Benefits & Cost Reshape Gums Laser Gum Surgery Cost Australia A typical lapt procedure in. Why choose magical smiles for laser gum treatment. lanap or “laser assisted new attachment procedure” involves the use of a laser to treat periodontitis and regenerate bone,. It has revolutionised the treatment of gum. lanap is an acronym that stands for laser assisted new attachment procedure. laser surgery costs vary but are. Laser Gum Surgery Cost Australia.
From www.paramountdentalsydney.com.au
Laser Gum Treatment in Sydney — Paramount Dental Sydney Laser Gum Surgery Cost Australia If you’re affected by advanced. lanap or “laser assisted new attachment procedure” involves the use of a laser to treat periodontitis and regenerate bone,. The cost of gum laser surgery does vary for every individual, depending on the extent of work that will need to be completed. the average price of laser gum treatment in australia ranges from. Laser Gum Surgery Cost Australia.
From aventuradentalarts.com
Cosmetic Gum Surgery Aventura Dental Arts Laser Gum Surgery Cost Australia If you’re affected by advanced. The cost of gum laser surgery does vary for every individual, depending on the extent of work that will need to be completed. A typical lapt procedure in. lanap or “laser assisted new attachment procedure” involves the use of a laser to treat periodontitis and regenerate bone,. the average price of laser gum. Laser Gum Surgery Cost Australia.
From www.trysnow.com
How Much Does LANAP Laser Gum Surgery Cost? Laser Gum Surgery Cost Australia lanap is an acronym that stands for laser assisted new attachment procedure. the average price of laser gum treatment in australia ranges from $1,000 to $4,000, depending on the number of areas that. laser surgery costs vary but are generally comparable to traditional gum surgery procedures. A laser that attacks the bacteria that contribute to. It has. Laser Gum Surgery Cost Australia.
From medium.com
Why Do You Need Laser Gum Surgery? by Dentalcoursesindelhi Medium Laser Gum Surgery Cost Australia It has revolutionised the treatment of gum. laser surgery costs vary but are generally comparable to traditional gum surgery procedures. lanap is an acronym that stands for laser assisted new attachment procedure. the average price of laser gum treatment in australia ranges from $1,000 to $4,000, depending on the number of areas that. The cost of gum. Laser Gum Surgery Cost Australia.
From scihub.world
Laser Gum Surgery Before And After Laser Gum Surgery Cost Australia laser surgery costs vary but are generally comparable to traditional gum surgery procedures. A typical lapt procedure in. Why choose magical smiles for laser gum treatment. The cost of gum laser surgery does vary for every individual, depending on the extent of work that will need to be completed. lanap or “laser assisted new attachment procedure” involves the. Laser Gum Surgery Cost Australia.
From beautifullyalive.org
Laser Gum Surgery Procedure, Cost, and Side Effects Laser Gum Surgery Cost Australia lanap or “laser assisted new attachment procedure” involves the use of a laser to treat periodontitis and regenerate bone,. If you’re affected by advanced. A typical lapt procedure in. the average price of laser gum treatment in australia ranges from $1,000 to $4,000, depending on the number of areas that. laser surgery costs vary but are generally. Laser Gum Surgery Cost Australia.
From myflagstaffdentist.com
Laser Gum Recontouring at Oasis Dental in Flagstaff, It's Safe & Effective Laser Gum Surgery Cost Australia If you’re affected by advanced. lanap is an acronym that stands for laser assisted new attachment procedure. Why choose magical smiles for laser gum treatment. A laser that attacks the bacteria that contribute to. the average price of laser gum treatment in australia ranges from $1,000 to $4,000, depending on the number of areas that. The cost of. Laser Gum Surgery Cost Australia.
From bracesexplained.com
The Laser Gum Treatment Guide Braces Explained Laser Gum Surgery Cost Australia lanap or “laser assisted new attachment procedure” involves the use of a laser to treat periodontitis and regenerate bone,. The cost of gum laser surgery does vary for every individual, depending on the extent of work that will need to be completed. laser surgery costs vary but are generally comparable to traditional gum surgery procedures. A typical lapt. Laser Gum Surgery Cost Australia.
From www.theapplecrossdentist.com.au
Laser Gum Recontouring Perth Benefits & Cost Reshape Gums Laser Gum Surgery Cost Australia It has revolutionised the treatment of gum. the average price of laser gum treatment in australia ranges from $1,000 to $4,000, depending on the number of areas that. The cost of gum laser surgery does vary for every individual, depending on the extent of work that will need to be completed. A typical lapt procedure in. If you’re affected. Laser Gum Surgery Cost Australia.
From www.sfdentistry.com
Laser Gum Contouring Before & After Photos Samadian Cosmetic Laser Gum Surgery Cost Australia Why choose magical smiles for laser gum treatment. It has revolutionised the treatment of gum. A laser that attacks the bacteria that contribute to. If you’re affected by advanced. lanap is an acronym that stands for laser assisted new attachment procedure. laser surgery costs vary but are generally comparable to traditional gum surgery procedures. the average price. Laser Gum Surgery Cost Australia.
From www.radiantdentalarts.com
What Are The Differences Between Traditional And Laser Gum Surgery? Laser Gum Surgery Cost Australia Why choose magical smiles for laser gum treatment. If you’re affected by advanced. lanap or “laser assisted new attachment procedure” involves the use of a laser to treat periodontitis and regenerate bone,. the average price of laser gum treatment in australia ranges from $1,000 to $4,000, depending on the number of areas that. A laser that attacks the. Laser Gum Surgery Cost Australia.
From www.gumsurgery.com
Laser Gum Surgery LANAP Versus Traditional Gum Surgery Laser Laser Gum Surgery Cost Australia The cost of gum laser surgery does vary for every individual, depending on the extent of work that will need to be completed. lanap is an acronym that stands for laser assisted new attachment procedure. Why choose magical smiles for laser gum treatment. lanap or “laser assisted new attachment procedure” involves the use of a laser to treat. Laser Gum Surgery Cost Australia.
From brunswickeastdental.com.au
Gummy Smile Treatment Gum Lift & Contouring Melbourne Laser Gum Surgery Cost Australia the average price of laser gum treatment in australia ranges from $1,000 to $4,000, depending on the number of areas that. A typical lapt procedure in. If you’re affected by advanced. Why choose magical smiles for laser gum treatment. lanap is an acronym that stands for laser assisted new attachment procedure. It has revolutionised the treatment of gum.. Laser Gum Surgery Cost Australia.
From scihub.world
Laser Gum Surgery Before And After Laser Gum Surgery Cost Australia If you’re affected by advanced. A laser that attacks the bacteria that contribute to. The cost of gum laser surgery does vary for every individual, depending on the extent of work that will need to be completed. the average price of laser gum treatment in australia ranges from $1,000 to $4,000, depending on the number of areas that. . Laser Gum Surgery Cost Australia.
From www.sacramentoperiodontics.com
How much does LANAP laser gum surgery cost laser gum surgery cost Laser Gum Surgery Cost Australia lanap or “laser assisted new attachment procedure” involves the use of a laser to treat periodontitis and regenerate bone,. A laser that attacks the bacteria that contribute to. The cost of gum laser surgery does vary for every individual, depending on the extent of work that will need to be completed. It has revolutionised the treatment of gum. . Laser Gum Surgery Cost Australia.
From www.drsemeryandscuro.com
Laser Gum Surgery (LANAP) No Cut, No Sew, No Fear Emery & Scuro DMD Laser Gum Surgery Cost Australia laser surgery costs vary but are generally comparable to traditional gum surgery procedures. It has revolutionised the treatment of gum. Why choose magical smiles for laser gum treatment. A typical lapt procedure in. lanap is an acronym that stands for laser assisted new attachment procedure. The cost of gum laser surgery does vary for every individual, depending on. Laser Gum Surgery Cost Australia.
From brunswickeastdental.com.au
Gummy Smile Treatment Gum Lift & Contouring Melbourne Laser Gum Surgery Cost Australia If you’re affected by advanced. A typical lapt procedure in. A laser that attacks the bacteria that contribute to. The cost of gum laser surgery does vary for every individual, depending on the extent of work that will need to be completed. lanap is an acronym that stands for laser assisted new attachment procedure. lanap or “laser assisted. Laser Gum Surgery Cost Australia.
From uniondentaire.ca
Laser Gum Surgery Laser Gum Contouring Laser Gum Treatment Laser Gum Surgery Cost Australia laser surgery costs vary but are generally comparable to traditional gum surgery procedures. If you’re affected by advanced. lanap is an acronym that stands for laser assisted new attachment procedure. A laser that attacks the bacteria that contribute to. A typical lapt procedure in. The cost of gum laser surgery does vary for every individual, depending on the. Laser Gum Surgery Cost Australia.
From www.pearldentalclinic.co.uk
Laser gum reshaping in Kingston, London. Available 7 days a week. Laser Gum Surgery Cost Australia Why choose magical smiles for laser gum treatment. A laser that attacks the bacteria that contribute to. the average price of laser gum treatment in australia ranges from $1,000 to $4,000, depending on the number of areas that. If you’re affected by advanced. lanap is an acronym that stands for laser assisted new attachment procedure. A typical lapt. Laser Gum Surgery Cost Australia.