Corn Callus Pathology Outlines . Callus shows a markedly dense, usually orthokeratotic stratum corneum underlain by mild acathosis, variable hypergranulosis, and increased collagenization of. The repeated friction and pressure of the skin overlying the bony prominences leads to a hyperkeratotic thickness resulting in corn formation. Corns and calluses are thickened areas of skin due to repeated pressure, friction, or irritation. Plantar warts are mostly endophytic and show multiple deep extensions of acanthotic epidermis around a central parakeratotic plug. Calluses and corns are caused by intermittent pressure or friction, usually over a bony prominence (eg, calcaneus, metatarsal heads). A corn (also termed clavus) is a thickening of the skin due to intermittent pressure and frictional forces. Corns consist of a sharply circumscribed keratinous plug,. 3 case reports of epidermodysplasia verruciformis (acta dermatovenerol alp pannonica adriat 2017;26:59) These forces result in hyperkeratosis, clinically and histologically.
from erkopodiatry.com.au
Calluses and corns are caused by intermittent pressure or friction, usually over a bony prominence (eg, calcaneus, metatarsal heads). The repeated friction and pressure of the skin overlying the bony prominences leads to a hyperkeratotic thickness resulting in corn formation. These forces result in hyperkeratosis, clinically and histologically. A corn (also termed clavus) is a thickening of the skin due to intermittent pressure and frictional forces. 3 case reports of epidermodysplasia verruciformis (acta dermatovenerol alp pannonica adriat 2017;26:59) Callus shows a markedly dense, usually orthokeratotic stratum corneum underlain by mild acathosis, variable hypergranulosis, and increased collagenization of. Corns and calluses are thickened areas of skin due to repeated pressure, friction, or irritation. Corns consist of a sharply circumscribed keratinous plug,. Plantar warts are mostly endophytic and show multiple deep extensions of acanthotic epidermis around a central parakeratotic plug.
Corns and Callus Erko Podiatry Your Local Podiatrists
Corn Callus Pathology Outlines The repeated friction and pressure of the skin overlying the bony prominences leads to a hyperkeratotic thickness resulting in corn formation. Corns and calluses are thickened areas of skin due to repeated pressure, friction, or irritation. Callus shows a markedly dense, usually orthokeratotic stratum corneum underlain by mild acathosis, variable hypergranulosis, and increased collagenization of. Plantar warts are mostly endophytic and show multiple deep extensions of acanthotic epidermis around a central parakeratotic plug. The repeated friction and pressure of the skin overlying the bony prominences leads to a hyperkeratotic thickness resulting in corn formation. Corns consist of a sharply circumscribed keratinous plug,. A corn (also termed clavus) is a thickening of the skin due to intermittent pressure and frictional forces. These forces result in hyperkeratosis, clinically and histologically. 3 case reports of epidermodysplasia verruciformis (acta dermatovenerol alp pannonica adriat 2017;26:59) Calluses and corns are caused by intermittent pressure or friction, usually over a bony prominence (eg, calcaneus, metatarsal heads).
From www.wikiwand.com
Corn (pathology) Wikiwand Corn Callus Pathology Outlines Plantar warts are mostly endophytic and show multiple deep extensions of acanthotic epidermis around a central parakeratotic plug. These forces result in hyperkeratosis, clinically and histologically. Callus shows a markedly dense, usually orthokeratotic stratum corneum underlain by mild acathosis, variable hypergranulosis, and increased collagenization of. Corns consist of a sharply circumscribed keratinous plug,. The repeated friction and pressure of the. Corn Callus Pathology Outlines.
From thepodiatryexperts.com.au
Callus & Corns The Podiatry Experts Corn Callus Pathology Outlines Calluses and corns are caused by intermittent pressure or friction, usually over a bony prominence (eg, calcaneus, metatarsal heads). Corns consist of a sharply circumscribed keratinous plug,. Plantar warts are mostly endophytic and show multiple deep extensions of acanthotic epidermis around a central parakeratotic plug. 3 case reports of epidermodysplasia verruciformis (acta dermatovenerol alp pannonica adriat 2017;26:59) Corns and calluses. Corn Callus Pathology Outlines.
From www.nhs.uk
Corns and calluses NHS Corn Callus Pathology Outlines Callus shows a markedly dense, usually orthokeratotic stratum corneum underlain by mild acathosis, variable hypergranulosis, and increased collagenization of. Calluses and corns are caused by intermittent pressure or friction, usually over a bony prominence (eg, calcaneus, metatarsal heads). Corns and calluses are thickened areas of skin due to repeated pressure, friction, or irritation. A corn (also termed clavus) is a. Corn Callus Pathology Outlines.
From www.pathologyoutlines.com
Pathology Outlines Histology Corn Callus Pathology Outlines The repeated friction and pressure of the skin overlying the bony prominences leads to a hyperkeratotic thickness resulting in corn formation. These forces result in hyperkeratosis, clinically and histologically. Corns and calluses are thickened areas of skin due to repeated pressure, friction, or irritation. Corns consist of a sharply circumscribed keratinous plug,. Calluses and corns are caused by intermittent pressure. Corn Callus Pathology Outlines.
From www.nhs.uk
Corns and calluses NHS Corn Callus Pathology Outlines 3 case reports of epidermodysplasia verruciformis (acta dermatovenerol alp pannonica adriat 2017;26:59) Plantar warts are mostly endophytic and show multiple deep extensions of acanthotic epidermis around a central parakeratotic plug. Callus shows a markedly dense, usually orthokeratotic stratum corneum underlain by mild acathosis, variable hypergranulosis, and increased collagenization of. Calluses and corns are caused by intermittent pressure or friction, usually. Corn Callus Pathology Outlines.
From www.drugs.com
Corns and calluses Disease Reference Guide Corn Callus Pathology Outlines These forces result in hyperkeratosis, clinically and histologically. A corn (also termed clavus) is a thickening of the skin due to intermittent pressure and frictional forces. 3 case reports of epidermodysplasia verruciformis (acta dermatovenerol alp pannonica adriat 2017;26:59) Calluses and corns are caused by intermittent pressure or friction, usually over a bony prominence (eg, calcaneus, metatarsal heads). Callus shows a. Corn Callus Pathology Outlines.
From basicmedicalkey.com
Corn and Callus Basicmedical Key Corn Callus Pathology Outlines Corns and calluses are thickened areas of skin due to repeated pressure, friction, or irritation. A corn (also termed clavus) is a thickening of the skin due to intermittent pressure and frictional forces. These forces result in hyperkeratosis, clinically and histologically. Calluses and corns are caused by intermittent pressure or friction, usually over a bony prominence (eg, calcaneus, metatarsal heads).. Corn Callus Pathology Outlines.
From www.pathologyoutlines.com
Pathology Outlines Fracture callus Corn Callus Pathology Outlines The repeated friction and pressure of the skin overlying the bony prominences leads to a hyperkeratotic thickness resulting in corn formation. Calluses and corns are caused by intermittent pressure or friction, usually over a bony prominence (eg, calcaneus, metatarsal heads). A corn (also termed clavus) is a thickening of the skin due to intermittent pressure and frictional forces. Corns consist. Corn Callus Pathology Outlines.
From issuu.com
Corns And Calluses,Treatment, Symptoms, Signs & Causes, Blueprint Corn Callus Pathology Outlines 3 case reports of epidermodysplasia verruciformis (acta dermatovenerol alp pannonica adriat 2017;26:59) Callus shows a markedly dense, usually orthokeratotic stratum corneum underlain by mild acathosis, variable hypergranulosis, and increased collagenization of. A corn (also termed clavus) is a thickening of the skin due to intermittent pressure and frictional forces. The repeated friction and pressure of the skin overlying the bony. Corn Callus Pathology Outlines.
From www.pathologyoutlines.com
Pathology Outlines Cutaneous horn Corn Callus Pathology Outlines Callus shows a markedly dense, usually orthokeratotic stratum corneum underlain by mild acathosis, variable hypergranulosis, and increased collagenization of. Calluses and corns are caused by intermittent pressure or friction, usually over a bony prominence (eg, calcaneus, metatarsal heads). These forces result in hyperkeratosis, clinically and histologically. Plantar warts are mostly endophytic and show multiple deep extensions of acanthotic epidermis around. Corn Callus Pathology Outlines.
From www.luxefootsurgery.com
Foot Corn vs Callus Understanding the Differences Between These Skin Corn Callus Pathology Outlines A corn (also termed clavus) is a thickening of the skin due to intermittent pressure and frictional forces. Corns and calluses are thickened areas of skin due to repeated pressure, friction, or irritation. These forces result in hyperkeratosis, clinically and histologically. Plantar warts are mostly endophytic and show multiple deep extensions of acanthotic epidermis around a central parakeratotic plug. 3. Corn Callus Pathology Outlines.
From joikejppe.blob.core.windows.net
Corn Vs Callus On Toe at Roy Gross blog Corn Callus Pathology Outlines Corns consist of a sharply circumscribed keratinous plug,. The repeated friction and pressure of the skin overlying the bony prominences leads to a hyperkeratotic thickness resulting in corn formation. 3 case reports of epidermodysplasia verruciformis (acta dermatovenerol alp pannonica adriat 2017;26:59) These forces result in hyperkeratosis, clinically and histologically. Corns and calluses are thickened areas of skin due to repeated. Corn Callus Pathology Outlines.
From www.riversidepodiatry.com.au
Corns & Callus Riverside Podiatry Corn Callus Pathology Outlines Callus shows a markedly dense, usually orthokeratotic stratum corneum underlain by mild acathosis, variable hypergranulosis, and increased collagenization of. Corns consist of a sharply circumscribed keratinous plug,. Corns and calluses are thickened areas of skin due to repeated pressure, friction, or irritation. Calluses and corns are caused by intermittent pressure or friction, usually over a bony prominence (eg, calcaneus, metatarsal. Corn Callus Pathology Outlines.
From www.kalmarfamilypodiatry.com
So what is a corn or callus? Kalmar Family Podiatry Podiatry Corn Callus Pathology Outlines A corn (also termed clavus) is a thickening of the skin due to intermittent pressure and frictional forces. Callus shows a markedly dense, usually orthokeratotic stratum corneum underlain by mild acathosis, variable hypergranulosis, and increased collagenization of. These forces result in hyperkeratosis, clinically and histologically. Calluses and corns are caused by intermittent pressure or friction, usually over a bony prominence. Corn Callus Pathology Outlines.
From www.pathologyoutlines.com
Pathology Outlines Cutaneous horn Corn Callus Pathology Outlines Callus shows a markedly dense, usually orthokeratotic stratum corneum underlain by mild acathosis, variable hypergranulosis, and increased collagenization of. Calluses and corns are caused by intermittent pressure or friction, usually over a bony prominence (eg, calcaneus, metatarsal heads). A corn (also termed clavus) is a thickening of the skin due to intermittent pressure and frictional forces. These forces result in. Corn Callus Pathology Outlines.
From www.lybrate.com
All About Corns and Calluses By Dr. P. Phanisri Lybrate Corn Callus Pathology Outlines These forces result in hyperkeratosis, clinically and histologically. Corns consist of a sharply circumscribed keratinous plug,. Plantar warts are mostly endophytic and show multiple deep extensions of acanthotic epidermis around a central parakeratotic plug. Callus shows a markedly dense, usually orthokeratotic stratum corneum underlain by mild acathosis, variable hypergranulosis, and increased collagenization of. Corns and calluses are thickened areas of. Corn Callus Pathology Outlines.
From www.health.harvard.edu
Calluses and corns Harvard Health Corn Callus Pathology Outlines Corns and calluses are thickened areas of skin due to repeated pressure, friction, or irritation. Plantar warts are mostly endophytic and show multiple deep extensions of acanthotic epidermis around a central parakeratotic plug. Callus shows a markedly dense, usually orthokeratotic stratum corneum underlain by mild acathosis, variable hypergranulosis, and increased collagenization of. The repeated friction and pressure of the skin. Corn Callus Pathology Outlines.
From novafamilypodiatry.com
Corns & Calluses Nova Family Podiatry Corn Callus Pathology Outlines Callus shows a markedly dense, usually orthokeratotic stratum corneum underlain by mild acathosis, variable hypergranulosis, and increased collagenization of. Corns and calluses are thickened areas of skin due to repeated pressure, friction, or irritation. These forces result in hyperkeratosis, clinically and histologically. Plantar warts are mostly endophytic and show multiple deep extensions of acanthotic epidermis around a central parakeratotic plug.. Corn Callus Pathology Outlines.
From medicalparkromania.com
Understanding the Fundamentals of Corns and Calluses Medical Park Romania Corn Callus Pathology Outlines These forces result in hyperkeratosis, clinically and histologically. The repeated friction and pressure of the skin overlying the bony prominences leads to a hyperkeratotic thickness resulting in corn formation. A corn (also termed clavus) is a thickening of the skin due to intermittent pressure and frictional forces. Plantar warts are mostly endophytic and show multiple deep extensions of acanthotic epidermis. Corn Callus Pathology Outlines.
From www.healthcare-hub.co.uk
Corns & Callus What Are They & How Do We Treat The Healthcare Hub Corn Callus Pathology Outlines The repeated friction and pressure of the skin overlying the bony prominences leads to a hyperkeratotic thickness resulting in corn formation. Corns consist of a sharply circumscribed keratinous plug,. A corn (also termed clavus) is a thickening of the skin due to intermittent pressure and frictional forces. Corns and calluses are thickened areas of skin due to repeated pressure, friction,. Corn Callus Pathology Outlines.
From qsp.physio
Corn or Callus How to Tell the Difference Queen St Physio Corn Callus Pathology Outlines Calluses and corns are caused by intermittent pressure or friction, usually over a bony prominence (eg, calcaneus, metatarsal heads). Corns consist of a sharply circumscribed keratinous plug,. Callus shows a markedly dense, usually orthokeratotic stratum corneum underlain by mild acathosis, variable hypergranulosis, and increased collagenization of. A corn (also termed clavus) is a thickening of the skin due to intermittent. Corn Callus Pathology Outlines.
From mavink.com
Layers Of Epidermis Histology Corn Callus Pathology Outlines The repeated friction and pressure of the skin overlying the bony prominences leads to a hyperkeratotic thickness resulting in corn formation. Plantar warts are mostly endophytic and show multiple deep extensions of acanthotic epidermis around a central parakeratotic plug. These forces result in hyperkeratosis, clinically and histologically. Corns and calluses are thickened areas of skin due to repeated pressure, friction,. Corn Callus Pathology Outlines.
From www.procarepodiatry.com.au
All You Need to Know About Painful Corns & Callous Procare Podiatric Corn Callus Pathology Outlines Corns and calluses are thickened areas of skin due to repeated pressure, friction, or irritation. Plantar warts are mostly endophytic and show multiple deep extensions of acanthotic epidermis around a central parakeratotic plug. The repeated friction and pressure of the skin overlying the bony prominences leads to a hyperkeratotic thickness resulting in corn formation. Corns consist of a sharply circumscribed. Corn Callus Pathology Outlines.
From www.alamy.com
Callus cells hires stock photography and images Alamy Corn Callus Pathology Outlines Callus shows a markedly dense, usually orthokeratotic stratum corneum underlain by mild acathosis, variable hypergranulosis, and increased collagenization of. Corns consist of a sharply circumscribed keratinous plug,. A corn (also termed clavus) is a thickening of the skin due to intermittent pressure and frictional forces. The repeated friction and pressure of the skin overlying the bony prominences leads to a. Corn Callus Pathology Outlines.
From www.pathologyoutlines.com
Pathology Outlines Fracture Corn Callus Pathology Outlines 3 case reports of epidermodysplasia verruciformis (acta dermatovenerol alp pannonica adriat 2017;26:59) A corn (also termed clavus) is a thickening of the skin due to intermittent pressure and frictional forces. The repeated friction and pressure of the skin overlying the bony prominences leads to a hyperkeratotic thickness resulting in corn formation. Callus shows a markedly dense, usually orthokeratotic stratum corneum. Corn Callus Pathology Outlines.
From www.hallandalebeachfootdoctor.com
Corn and Callus Removal Treatment Podiatrist, Foot Doctor Hallandale Corn Callus Pathology Outlines These forces result in hyperkeratosis, clinically and histologically. Plantar warts are mostly endophytic and show multiple deep extensions of acanthotic epidermis around a central parakeratotic plug. Calluses and corns are caused by intermittent pressure or friction, usually over a bony prominence (eg, calcaneus, metatarsal heads). Callus shows a markedly dense, usually orthokeratotic stratum corneum underlain by mild acathosis, variable hypergranulosis,. Corn Callus Pathology Outlines.
From www.slideshare.net
Histology Lab Image Information Corn Callus Pathology Outlines 3 case reports of epidermodysplasia verruciformis (acta dermatovenerol alp pannonica adriat 2017;26:59) Corns consist of a sharply circumscribed keratinous plug,. A corn (also termed clavus) is a thickening of the skin due to intermittent pressure and frictional forces. These forces result in hyperkeratosis, clinically and histologically. Callus shows a markedly dense, usually orthokeratotic stratum corneum underlain by mild acathosis, variable. Corn Callus Pathology Outlines.
From www.dermatologyadvisor.com
Corn/callus (singular callus, callosity, tyloma; plural callosities Corn Callus Pathology Outlines A corn (also termed clavus) is a thickening of the skin due to intermittent pressure and frictional forces. These forces result in hyperkeratosis, clinically and histologically. 3 case reports of epidermodysplasia verruciformis (acta dermatovenerol alp pannonica adriat 2017;26:59) The repeated friction and pressure of the skin overlying the bony prominences leads to a hyperkeratotic thickness resulting in corn formation. Corns. Corn Callus Pathology Outlines.
From qsp.physio
Difference between a corn and a callus infographic Queen St Physio Corn Callus Pathology Outlines Corns consist of a sharply circumscribed keratinous plug,. A corn (also termed clavus) is a thickening of the skin due to intermittent pressure and frictional forces. 3 case reports of epidermodysplasia verruciformis (acta dermatovenerol alp pannonica adriat 2017;26:59) Callus shows a markedly dense, usually orthokeratotic stratum corneum underlain by mild acathosis, variable hypergranulosis, and increased collagenization of. Calluses and corns. Corn Callus Pathology Outlines.
From www.pathologyoutlines.com
Pathology Outlines Verruca vulgaris Corn Callus Pathology Outlines Plantar warts are mostly endophytic and show multiple deep extensions of acanthotic epidermis around a central parakeratotic plug. Calluses and corns are caused by intermittent pressure or friction, usually over a bony prominence (eg, calcaneus, metatarsal heads). Corns consist of a sharply circumscribed keratinous plug,. Callus shows a markedly dense, usually orthokeratotic stratum corneum underlain by mild acathosis, variable hypergranulosis,. Corn Callus Pathology Outlines.
From mydoctor.kaiserpermanente.org
Corns and Calluses My Doctor Online Corn Callus Pathology Outlines 3 case reports of epidermodysplasia verruciformis (acta dermatovenerol alp pannonica adriat 2017;26:59) Corns consist of a sharply circumscribed keratinous plug,. A corn (also termed clavus) is a thickening of the skin due to intermittent pressure and frictional forces. These forces result in hyperkeratosis, clinically and histologically. Corns and calluses are thickened areas of skin due to repeated pressure, friction, or. Corn Callus Pathology Outlines.
From www.lybrate.com
Calluses And Corns Causes, Symptoms And Treatment By Dr. Amitoj Corn Callus Pathology Outlines A corn (also termed clavus) is a thickening of the skin due to intermittent pressure and frictional forces. Calluses and corns are caused by intermittent pressure or friction, usually over a bony prominence (eg, calcaneus, metatarsal heads). Corns and calluses are thickened areas of skin due to repeated pressure, friction, or irritation. Plantar warts are mostly endophytic and show multiple. Corn Callus Pathology Outlines.
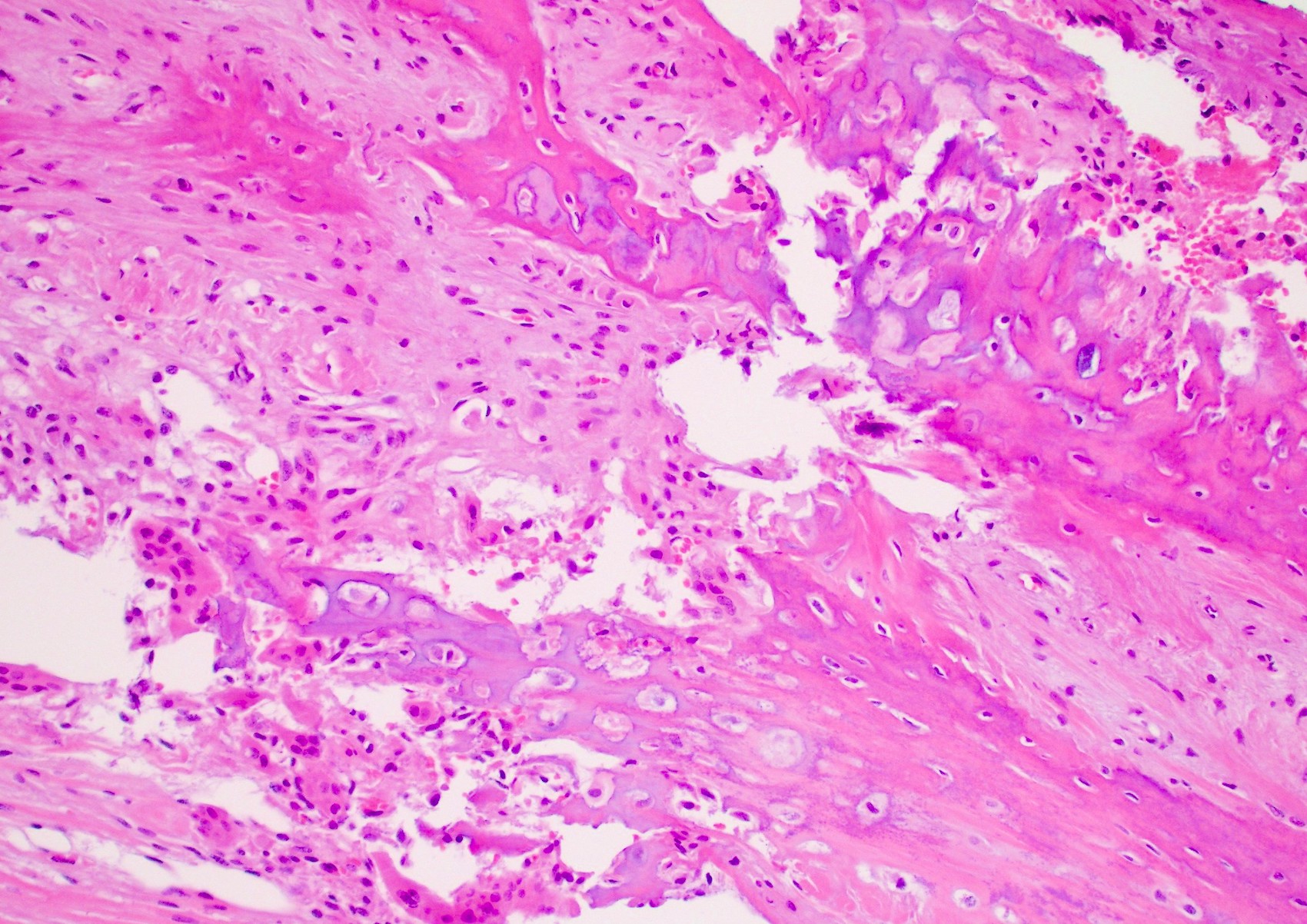
From www.researchgate.net
Histologic section of fracture site during the early, fibrous callus Corn Callus Pathology Outlines Callus shows a markedly dense, usually orthokeratotic stratum corneum underlain by mild acathosis, variable hypergranulosis, and increased collagenization of. Plantar warts are mostly endophytic and show multiple deep extensions of acanthotic epidermis around a central parakeratotic plug. These forces result in hyperkeratosis, clinically and histologically. Corns and calluses are thickened areas of skin due to repeated pressure, friction, or irritation.. Corn Callus Pathology Outlines.
From www.shutterstock.com
Medical Illustration Explain Callus Vs Corn ilustrações stock 1508918783 Corn Callus Pathology Outlines Plantar warts are mostly endophytic and show multiple deep extensions of acanthotic epidermis around a central parakeratotic plug. These forces result in hyperkeratosis, clinically and histologically. A corn (also termed clavus) is a thickening of the skin due to intermittent pressure and frictional forces. Corns consist of a sharply circumscribed keratinous plug,. Calluses and corns are caused by intermittent pressure. Corn Callus Pathology Outlines.
From erkopodiatry.com.au
Corns and Callus Erko Podiatry Your Local Podiatrists Corn Callus Pathology Outlines Calluses and corns are caused by intermittent pressure or friction, usually over a bony prominence (eg, calcaneus, metatarsal heads). A corn (also termed clavus) is a thickening of the skin due to intermittent pressure and frictional forces. Corns and calluses are thickened areas of skin due to repeated pressure, friction, or irritation. Corns consist of a sharply circumscribed keratinous plug,.. Corn Callus Pathology Outlines.