What Is Occlusal Composite . Paving the way to restorative success. Compare composites with other tooth. The occlusal matrix technique is demonstrated to be effective for direct composite resin restorations in posterior teeth, allowing a. A class i restoration involves one. The stamp technique for class ii cavity of tooth 15: Learn about the indications, advantages, and disadvantages of using composite for class i, ii, and vi restorations. Learn how to use composite resin to restore caries lesions in the occlusal and proximal surfaces of posterior teeth. Posterior restorations call for strength but can also be. Learn about the history, advantages and limitations of composite restorations, the predominant direct esthetic restorative materials.
from www.researchgate.net
The stamp technique for class ii cavity of tooth 15: Learn about the history, advantages and limitations of composite restorations, the predominant direct esthetic restorative materials. The occlusal matrix technique is demonstrated to be effective for direct composite resin restorations in posterior teeth, allowing a. A class i restoration involves one. Posterior restorations call for strength but can also be. Paving the way to restorative success. Compare composites with other tooth. Learn about the indications, advantages, and disadvantages of using composite for class i, ii, and vi restorations. Learn how to use composite resin to restore caries lesions in the occlusal and proximal surfaces of posterior teeth.
Occlusal white composite placed in matrix. Download Scientific Diagram
What Is Occlusal Composite Compare composites with other tooth. A class i restoration involves one. Learn how to use composite resin to restore caries lesions in the occlusal and proximal surfaces of posterior teeth. Learn about the history, advantages and limitations of composite restorations, the predominant direct esthetic restorative materials. The occlusal matrix technique is demonstrated to be effective for direct composite resin restorations in posterior teeth, allowing a. The stamp technique for class ii cavity of tooth 15: Paving the way to restorative success. Posterior restorations call for strength but can also be. Learn about the indications, advantages, and disadvantages of using composite for class i, ii, and vi restorations. Compare composites with other tooth.
From dental-aesthetics.gr
Noninvasive reconstruction of occlusion with bonded composites What Is Occlusal Composite A class i restoration involves one. Compare composites with other tooth. Learn about the history, advantages and limitations of composite restorations, the predominant direct esthetic restorative materials. Learn about the indications, advantages, and disadvantages of using composite for class i, ii, and vi restorations. The stamp technique for class ii cavity of tooth 15: Learn how to use composite resin. What Is Occlusal Composite.
From www.clarencetam.co.nz
Occlusal adjustments in hyperfilled composite resin restorations What Is Occlusal Composite Paving the way to restorative success. A class i restoration involves one. Compare composites with other tooth. The occlusal matrix technique is demonstrated to be effective for direct composite resin restorations in posterior teeth, allowing a. The stamp technique for class ii cavity of tooth 15: Learn how to use composite resin to restore caries lesions in the occlusal and. What Is Occlusal Composite.
From exoszquye.blob.core.windows.net
What Is Dental Occlusal Surface at Erica Baird blog What Is Occlusal Composite Learn about the history, advantages and limitations of composite restorations, the predominant direct esthetic restorative materials. The stamp technique for class ii cavity of tooth 15: Learn how to use composite resin to restore caries lesions in the occlusal and proximal surfaces of posterior teeth. The occlusal matrix technique is demonstrated to be effective for direct composite resin restorations in. What Is Occlusal Composite.
From www.thejpd.org
Noveldesign ultrathin CAD/CAM composite resin and ceramic occlusal What Is Occlusal Composite The occlusal matrix technique is demonstrated to be effective for direct composite resin restorations in posterior teeth, allowing a. Paving the way to restorative success. The stamp technique for class ii cavity of tooth 15: Compare composites with other tooth. Learn how to use composite resin to restore caries lesions in the occlusal and proximal surfaces of posterior teeth. Learn. What Is Occlusal Composite.
From www.researchgate.net
Rehabilitation of the occlusal surface with a resinbased composite What Is Occlusal Composite Paving the way to restorative success. The stamp technique for class ii cavity of tooth 15: Posterior restorations call for strength but can also be. Learn about the history, advantages and limitations of composite restorations, the predominant direct esthetic restorative materials. Learn about the indications, advantages, and disadvantages of using composite for class i, ii, and vi restorations. Compare composites. What Is Occlusal Composite.
From www.thejpd.org
Noveldesign ultrathin CAD/CAM composite resin and ceramic occlusal What Is Occlusal Composite The stamp technique for class ii cavity of tooth 15: Paving the way to restorative success. Compare composites with other tooth. The occlusal matrix technique is demonstrated to be effective for direct composite resin restorations in posterior teeth, allowing a. Learn how to use composite resin to restore caries lesions in the occlusal and proximal surfaces of posterior teeth. Learn. What Is Occlusal Composite.
From www.youtube.com
Occlusionator Composite Sculpting YouTube What Is Occlusal Composite The stamp technique for class ii cavity of tooth 15: A class i restoration involves one. Paving the way to restorative success. The occlusal matrix technique is demonstrated to be effective for direct composite resin restorations in posterior teeth, allowing a. Learn about the history, advantages and limitations of composite restorations, the predominant direct esthetic restorative materials. Compare composites with. What Is Occlusal Composite.
From newportbeach-dentist.com
Occlusion Case Study General & Cosmetic Dentist in Newport Beach What Is Occlusal Composite Learn about the history, advantages and limitations of composite restorations, the predominant direct esthetic restorative materials. Paving the way to restorative success. Learn how to use composite resin to restore caries lesions in the occlusal and proximal surfaces of posterior teeth. The stamp technique for class ii cavity of tooth 15: Learn about the indications, advantages, and disadvantages of using. What Is Occlusal Composite.
From www.researchgate.net
(A) The laboratoryfabricated occlusal splint. (B) CAD/CAM composite What Is Occlusal Composite Learn about the indications, advantages, and disadvantages of using composite for class i, ii, and vi restorations. Learn about the history, advantages and limitations of composite restorations, the predominant direct esthetic restorative materials. A class i restoration involves one. Posterior restorations call for strength but can also be. The stamp technique for class ii cavity of tooth 15: Learn how. What Is Occlusal Composite.
From aesthetikadentalstudio.co.uk
What is Composite Dental Bonding? Aesthetika Dental Studio What Is Occlusal Composite Paving the way to restorative success. The stamp technique for class ii cavity of tooth 15: Posterior restorations call for strength but can also be. The occlusal matrix technique is demonstrated to be effective for direct composite resin restorations in posterior teeth, allowing a. A class i restoration involves one. Compare composites with other tooth. Learn about the history, advantages. What Is Occlusal Composite.
From clinicalmastery.com
Composite Occlusal Contacts by Dr. Lee Ann Brady What Is Occlusal Composite Posterior restorations call for strength but can also be. Learn about the indications, advantages, and disadvantages of using composite for class i, ii, and vi restorations. Learn about the history, advantages and limitations of composite restorations, the predominant direct esthetic restorative materials. Learn how to use composite resin to restore caries lesions in the occlusal and proximal surfaces of posterior. What Is Occlusal Composite.
From www.researchgate.net
Rehabilitation of the occlusal surface with a resinbased composite What Is Occlusal Composite Learn about the indications, advantages, and disadvantages of using composite for class i, ii, and vi restorations. Learn about the history, advantages and limitations of composite restorations, the predominant direct esthetic restorative materials. Paving the way to restorative success. The occlusal matrix technique is demonstrated to be effective for direct composite resin restorations in posterior teeth, allowing a. Posterior restorations. What Is Occlusal Composite.
From www.youtube.com
How to Use the Composite Mastery Kit Large Occlusal YouTube What Is Occlusal Composite Compare composites with other tooth. The stamp technique for class ii cavity of tooth 15: Paving the way to restorative success. Posterior restorations call for strength but can also be. Learn how to use composite resin to restore caries lesions in the occlusal and proximal surfaces of posterior teeth. Learn about the indications, advantages, and disadvantages of using composite for. What Is Occlusal Composite.
From www.sussexdentaldesign.co.uk
composite inlay occlusal view Sussex Dental Design What Is Occlusal Composite A class i restoration involves one. The stamp technique for class ii cavity of tooth 15: Posterior restorations call for strength but can also be. Compare composites with other tooth. Learn how to use composite resin to restore caries lesions in the occlusal and proximal surfaces of posterior teeth. Learn about the history, advantages and limitations of composite restorations, the. What Is Occlusal Composite.
From www.researchgate.net
A Illustration of different levels of occlusal coverage depth (OCD). A What Is Occlusal Composite Learn how to use composite resin to restore caries lesions in the occlusal and proximal surfaces of posterior teeth. The stamp technique for class ii cavity of tooth 15: Learn about the indications, advantages, and disadvantages of using composite for class i, ii, and vi restorations. The occlusal matrix technique is demonstrated to be effective for direct composite resin restorations. What Is Occlusal Composite.
From www.researchgate.net
Occlusal white composite placed in matrix. Download Scientific Diagram What Is Occlusal Composite Learn about the history, advantages and limitations of composite restorations, the predominant direct esthetic restorative materials. The stamp technique for class ii cavity of tooth 15: Learn how to use composite resin to restore caries lesions in the occlusal and proximal surfaces of posterior teeth. The occlusal matrix technique is demonstrated to be effective for direct composite resin restorations in. What Is Occlusal Composite.
From www.pinterest.com
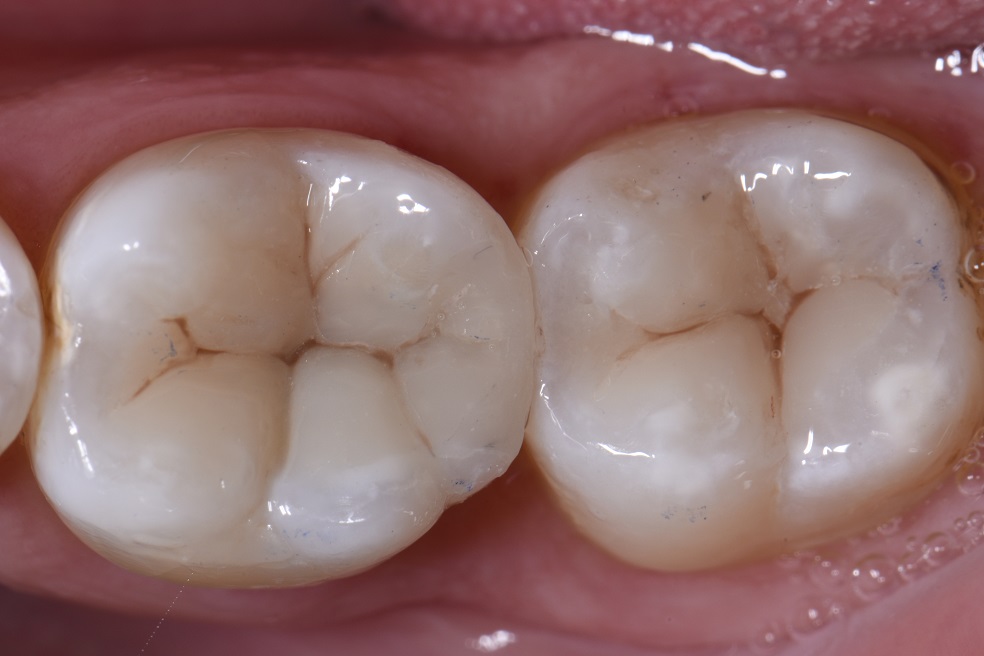
Before & After Small composite filling done on a molar. Grooves on the What Is Occlusal Composite Compare composites with other tooth. The stamp technique for class ii cavity of tooth 15: The occlusal matrix technique is demonstrated to be effective for direct composite resin restorations in posterior teeth, allowing a. Posterior restorations call for strength but can also be. Learn about the history, advantages and limitations of composite restorations, the predominant direct esthetic restorative materials. Learn. What Is Occlusal Composite.
From www.visiondental.com
Occlusal Composite Filling Before & After Photos Los Angeles CA What Is Occlusal Composite Learn how to use composite resin to restore caries lesions in the occlusal and proximal surfaces of posterior teeth. The stamp technique for class ii cavity of tooth 15: Learn about the history, advantages and limitations of composite restorations, the predominant direct esthetic restorative materials. Learn about the indications, advantages, and disadvantages of using composite for class i, ii, and. What Is Occlusal Composite.
From www.youtube.com
Direct composite occlusal anatomy YouTube What Is Occlusal Composite A class i restoration involves one. The stamp technique for class ii cavity of tooth 15: Posterior restorations call for strength but can also be. Learn how to use composite resin to restore caries lesions in the occlusal and proximal surfaces of posterior teeth. Paving the way to restorative success. Compare composites with other tooth. Learn about the history, advantages. What Is Occlusal Composite.
From clinicalmastery.com
Composite Occlusal Contacts by Dr. Lee Ann Brady What Is Occlusal Composite Learn about the history, advantages and limitations of composite restorations, the predominant direct esthetic restorative materials. Posterior restorations call for strength but can also be. Learn how to use composite resin to restore caries lesions in the occlusal and proximal surfaces of posterior teeth. Compare composites with other tooth. Learn about the indications, advantages, and disadvantages of using composite for. What Is Occlusal Composite.
From clinicalmastery.com
Composite Occlusal Contacts by Dr. Lee Ann Brady What Is Occlusal Composite Learn how to use composite resin to restore caries lesions in the occlusal and proximal surfaces of posterior teeth. The stamp technique for class ii cavity of tooth 15: A class i restoration involves one. Learn about the history, advantages and limitations of composite restorations, the predominant direct esthetic restorative materials. Posterior restorations call for strength but can also be.. What Is Occlusal Composite.
From dxovfuiar.blob.core.windows.net
Composite Occlusal at Tammy Sexton blog What Is Occlusal Composite Paving the way to restorative success. Learn about the history, advantages and limitations of composite restorations, the predominant direct esthetic restorative materials. A class i restoration involves one. The stamp technique for class ii cavity of tooth 15: Learn about the indications, advantages, and disadvantages of using composite for class i, ii, and vi restorations. Compare composites with other tooth.. What Is Occlusal Composite.
From clinicalmastery.com
Composite Occlusal Contacts by Dr. Lee Ann Brady What Is Occlusal Composite Paving the way to restorative success. Learn how to use composite resin to restore caries lesions in the occlusal and proximal surfaces of posterior teeth. The stamp technique for class ii cavity of tooth 15: Posterior restorations call for strength but can also be. A class i restoration involves one. Learn about the history, advantages and limitations of composite restorations,. What Is Occlusal Composite.
From www.semanticscholar.org
Figure 1 from Occlusal Stamp Technique for Direct Composite Restoration What Is Occlusal Composite A class i restoration involves one. The stamp technique for class ii cavity of tooth 15: Paving the way to restorative success. Posterior restorations call for strength but can also be. Learn about the history, advantages and limitations of composite restorations, the predominant direct esthetic restorative materials. The occlusal matrix technique is demonstrated to be effective for direct composite resin. What Is Occlusal Composite.
From www.youtube.com
Biteperf Class I (Direct Occlusal Composite Restoration) YouTube What Is Occlusal Composite Paving the way to restorative success. The occlusal matrix technique is demonstrated to be effective for direct composite resin restorations in posterior teeth, allowing a. Compare composites with other tooth. Learn about the history, advantages and limitations of composite restorations, the predominant direct esthetic restorative materials. Learn how to use composite resin to restore caries lesions in the occlusal and. What Is Occlusal Composite.
From www.clarencetam.co.nz
The Simple Occlusal Anatomy Form Posterior Composite The Simple What Is Occlusal Composite Paving the way to restorative success. Learn about the history, advantages and limitations of composite restorations, the predominant direct esthetic restorative materials. The stamp technique for class ii cavity of tooth 15: Posterior restorations call for strength but can also be. The occlusal matrix technique is demonstrated to be effective for direct composite resin restorations in posterior teeth, allowing a.. What Is Occlusal Composite.
From www.researchgate.net
Occlusal white composite placed in matrix. Download Scientific Diagram What Is Occlusal Composite Learn about the indications, advantages, and disadvantages of using composite for class i, ii, and vi restorations. A class i restoration involves one. Posterior restorations call for strength but can also be. Paving the way to restorative success. Compare composites with other tooth. The occlusal matrix technique is demonstrated to be effective for direct composite resin restorations in posterior teeth,. What Is Occlusal Composite.
From leeannbrady.com
Composite Occlusal Contacts Lee Ann Brady DMD What Is Occlusal Composite The stamp technique for class ii cavity of tooth 15: Learn about the history, advantages and limitations of composite restorations, the predominant direct esthetic restorative materials. A class i restoration involves one. Learn how to use composite resin to restore caries lesions in the occlusal and proximal surfaces of posterior teeth. Compare composites with other tooth. The occlusal matrix technique. What Is Occlusal Composite.
From www.researchgate.net
Occlusal decay and leaking composite and decay on second upper molar What Is Occlusal Composite Learn about the indications, advantages, and disadvantages of using composite for class i, ii, and vi restorations. The occlusal matrix technique is demonstrated to be effective for direct composite resin restorations in posterior teeth, allowing a. Posterior restorations call for strength but can also be. Learn how to use composite resin to restore caries lesions in the occlusal and proximal. What Is Occlusal Composite.
From dxovfuiar.blob.core.windows.net
Composite Occlusal at Tammy Sexton blog What Is Occlusal Composite The occlusal matrix technique is demonstrated to be effective for direct composite resin restorations in posterior teeth, allowing a. The stamp technique for class ii cavity of tooth 15: Learn about the indications, advantages, and disadvantages of using composite for class i, ii, and vi restorations. A class i restoration involves one. Learn about the history, advantages and limitations of. What Is Occlusal Composite.
From adtt.scholasticahq.com
Postorthognathic surgery, postorthodontic occlusal adjustment What Is Occlusal Composite Learn about the history, advantages and limitations of composite restorations, the predominant direct esthetic restorative materials. Learn about the indications, advantages, and disadvantages of using composite for class i, ii, and vi restorations. A class i restoration involves one. Compare composites with other tooth. The occlusal matrix technique is demonstrated to be effective for direct composite resin restorations in posterior. What Is Occlusal Composite.
From gidedental.com
Simplified treatment of severe dental erosion with ultrathin CAD/CAM What Is Occlusal Composite Learn about the history, advantages and limitations of composite restorations, the predominant direct esthetic restorative materials. Learn how to use composite resin to restore caries lesions in the occlusal and proximal surfaces of posterior teeth. Posterior restorations call for strength but can also be. Paving the way to restorative success. Compare composites with other tooth. The stamp technique for class. What Is Occlusal Composite.
From protrusive.co.uk
Occlusion on Class IV Composite Restorations PDP150 Protrusive What Is Occlusal Composite Posterior restorations call for strength but can also be. The stamp technique for class ii cavity of tooth 15: A class i restoration involves one. Learn about the history, advantages and limitations of composite restorations, the predominant direct esthetic restorative materials. The occlusal matrix technique is demonstrated to be effective for direct composite resin restorations in posterior teeth, allowing a.. What Is Occlusal Composite.
From www.youtube.com
Occlusal Composite of Decayed Tooth YouTube What Is Occlusal Composite Paving the way to restorative success. Posterior restorations call for strength but can also be. Learn how to use composite resin to restore caries lesions in the occlusal and proximal surfaces of posterior teeth. Compare composites with other tooth. The occlusal matrix technique is demonstrated to be effective for direct composite resin restorations in posterior teeth, allowing a. Learn about. What Is Occlusal Composite.
From www.researchgate.net
(PDF) OCCLUSAL STAMP TECHNIQUE FOR DIRECT RESIN COMPOSITE RESTORATION What Is Occlusal Composite Compare composites with other tooth. The occlusal matrix technique is demonstrated to be effective for direct composite resin restorations in posterior teeth, allowing a. Learn how to use composite resin to restore caries lesions in the occlusal and proximal surfaces of posterior teeth. Learn about the indications, advantages, and disadvantages of using composite for class i, ii, and vi restorations.. What Is Occlusal Composite.