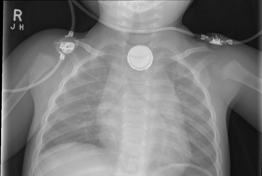
Can A Button Battery Pass Through . While most button battery ingestions are benign, passing through the gut without a problem, in recent years the number of debilitating or fatal battery ingestions has dramatically increased. Sometimes button batteries do pass through the body without a problem. Since button batteries are small, bright and shiny, they are very attractive to toddlers and young children. For this reason, it’s very important to. However, if a button battery, particularly a lithium coin battery, remains stuck in someone’s. Batteries passing through the esophagus usually pass uneventfully through the entire digestive tract. Immediate medical care is important because button batteries in the oesophagus can cause severe damage within. Call the national button battery ingestion.
from www.gov.uk
Batteries passing through the esophagus usually pass uneventfully through the entire digestive tract. For this reason, it’s very important to. Since button batteries are small, bright and shiny, they are very attractive to toddlers and young children. While most button battery ingestions are benign, passing through the gut without a problem, in recent years the number of debilitating or fatal battery ingestions has dramatically increased. Call the national button battery ingestion. Sometimes button batteries do pass through the body without a problem. However, if a button battery, particularly a lithium coin battery, remains stuck in someone’s. Immediate medical care is important because button batteries in the oesophagus can cause severe damage within.
Child safety button batteries GOV.UK
Can A Button Battery Pass Through While most button battery ingestions are benign, passing through the gut without a problem, in recent years the number of debilitating or fatal battery ingestions has dramatically increased. For this reason, it’s very important to. While most button battery ingestions are benign, passing through the gut without a problem, in recent years the number of debilitating or fatal battery ingestions has dramatically increased. Immediate medical care is important because button batteries in the oesophagus can cause severe damage within. Since button batteries are small, bright and shiny, they are very attractive to toddlers and young children. Sometimes button batteries do pass through the body without a problem. Call the national button battery ingestion. However, if a button battery, particularly a lithium coin battery, remains stuck in someone’s. Batteries passing through the esophagus usually pass uneventfully through the entire digestive tract.
From pedimom.com
Button Battery Ingestion In Children. What You Need To Know To Protect Can A Button Battery Pass Through Immediate medical care is important because button batteries in the oesophagus can cause severe damage within. For this reason, it’s very important to. However, if a button battery, particularly a lithium coin battery, remains stuck in someone’s. Sometimes button batteries do pass through the body without a problem. Batteries passing through the esophagus usually pass uneventfully through the entire digestive. Can A Button Battery Pass Through.
From www.uhhospitals.org
Why Are Button Batteries So Dangerous for Children? University Hospitals Can A Button Battery Pass Through For this reason, it’s very important to. Call the national button battery ingestion. Immediate medical care is important because button batteries in the oesophagus can cause severe damage within. However, if a button battery, particularly a lithium coin battery, remains stuck in someone’s. Sometimes button batteries do pass through the body without a problem. While most button battery ingestions are. Can A Button Battery Pass Through.
From firstaidforlife.org.uk
Why button batteries are so dangerous First Aid for Life Can A Button Battery Pass Through Call the national button battery ingestion. While most button battery ingestions are benign, passing through the gut without a problem, in recent years the number of debilitating or fatal battery ingestions has dramatically increased. For this reason, it’s very important to. However, if a button battery, particularly a lithium coin battery, remains stuck in someone’s. Since button batteries are small,. Can A Button Battery Pass Through.
From www.choice.com.au
The dangers of button batteries to children CHOICE Can A Button Battery Pass Through Since button batteries are small, bright and shiny, they are very attractive to toddlers and young children. Batteries passing through the esophagus usually pass uneventfully through the entire digestive tract. While most button battery ingestions are benign, passing through the gut without a problem, in recent years the number of debilitating or fatal battery ingestions has dramatically increased. Immediate medical. Can A Button Battery Pass Through.
From www.gov.uk
Child safety button batteries GOV.UK Can A Button Battery Pass Through Since button batteries are small, bright and shiny, they are very attractive to toddlers and young children. Immediate medical care is important because button batteries in the oesophagus can cause severe damage within. Batteries passing through the esophagus usually pass uneventfully through the entire digestive tract. However, if a button battery, particularly a lithium coin battery, remains stuck in someone’s.. Can A Button Battery Pass Through.
From en.acatech.de
Battery Pass Implementation of a new generation of digital product Can A Button Battery Pass Through However, if a button battery, particularly a lithium coin battery, remains stuck in someone’s. Batteries passing through the esophagus usually pass uneventfully through the entire digestive tract. Call the national button battery ingestion. While most button battery ingestions are benign, passing through the gut without a problem, in recent years the number of debilitating or fatal battery ingestions has dramatically. Can A Button Battery Pass Through.
From www.holidaycalendar.io
National Button Battery Awareness Day June 12, 2024 Can A Button Battery Pass Through While most button battery ingestions are benign, passing through the gut without a problem, in recent years the number of debilitating or fatal battery ingestions has dramatically increased. However, if a button battery, particularly a lithium coin battery, remains stuck in someone’s. For this reason, it’s very important to. Since button batteries are small, bright and shiny, they are very. Can A Button Battery Pass Through.
From www.cprkids.com.au
Our free Button Battery Guide is here! CPR Kids Can A Button Battery Pass Through Immediate medical care is important because button batteries in the oesophagus can cause severe damage within. Since button batteries are small, bright and shiny, they are very attractive to toddlers and young children. Sometimes button batteries do pass through the body without a problem. For this reason, it’s very important to. While most button battery ingestions are benign, passing through. Can A Button Battery Pass Through.
From blog.nemours.org
Button Batteries Nemours Blog Can A Button Battery Pass Through While most button battery ingestions are benign, passing through the gut without a problem, in recent years the number of debilitating or fatal battery ingestions has dramatically increased. Batteries passing through the esophagus usually pass uneventfully through the entire digestive tract. Sometimes button batteries do pass through the body without a problem. Call the national button battery ingestion. Immediate medical. Can A Button Battery Pass Through.
From www.everydayhealth.com
Button Batteries Are Sending More Children to the Emergency Room Can A Button Battery Pass Through However, if a button battery, particularly a lithium coin battery, remains stuck in someone’s. While most button battery ingestions are benign, passing through the gut without a problem, in recent years the number of debilitating or fatal battery ingestions has dramatically increased. Batteries passing through the esophagus usually pass uneventfully through the entire digestive tract. Call the national button battery. Can A Button Battery Pass Through.
From www.news.com.au
ACCC Stark warning as button battery laws take effect Can A Button Battery Pass Through Sometimes button batteries do pass through the body without a problem. For this reason, it’s very important to. However, if a button battery, particularly a lithium coin battery, remains stuck in someone’s. Call the national button battery ingestion. Immediate medical care is important because button batteries in the oesophagus can cause severe damage within. While most button battery ingestions are. Can A Button Battery Pass Through.
From www.apsf.org
Perioperative Management of Button Battery Ingestions in Children Can A Button Battery Pass Through Batteries passing through the esophagus usually pass uneventfully through the entire digestive tract. For this reason, it’s very important to. Since button batteries are small, bright and shiny, they are very attractive to toddlers and young children. Immediate medical care is important because button batteries in the oesophagus can cause severe damage within. While most button battery ingestions are benign,. Can A Button Battery Pass Through.
From batterytools.net
Button Battery Size Chart Battery Tools Can A Button Battery Pass Through Since button batteries are small, bright and shiny, they are very attractive to toddlers and young children. While most button battery ingestions are benign, passing through the gut without a problem, in recent years the number of debilitating or fatal battery ingestions has dramatically increased. For this reason, it’s very important to. Immediate medical care is important because button batteries. Can A Button Battery Pass Through.
From pedimom.com
Button Battery Ingestion In Children. What You Need To Know To Protect Can A Button Battery Pass Through However, if a button battery, particularly a lithium coin battery, remains stuck in someone’s. Immediate medical care is important because button batteries in the oesophagus can cause severe damage within. For this reason, it’s very important to. Batteries passing through the esophagus usually pass uneventfully through the entire digestive tract. Since button batteries are small, bright and shiny, they are. Can A Button Battery Pass Through.
From 7news.com.au
Shocking experiment reveals the damage a button battery can do if Can A Button Battery Pass Through Batteries passing through the esophagus usually pass uneventfully through the entire digestive tract. For this reason, it’s very important to. However, if a button battery, particularly a lithium coin battery, remains stuck in someone’s. Immediate medical care is important because button batteries in the oesophagus can cause severe damage within. Call the national button battery ingestion. While most button battery. Can A Button Battery Pass Through.
From www.preventchildinjury.org
Button Battery Safety — Prevent Child Injury Can A Button Battery Pass Through Call the national button battery ingestion. However, if a button battery, particularly a lithium coin battery, remains stuck in someone’s. Since button batteries are small, bright and shiny, they are very attractive to toddlers and young children. Sometimes button batteries do pass through the body without a problem. For this reason, it’s very important to. Batteries passing through the esophagus. Can A Button Battery Pass Through.
From kiddipedia.com.au
Button Batteries How to Keep Your Children Safe Can A Button Battery Pass Through Call the national button battery ingestion. For this reason, it’s very important to. While most button battery ingestions are benign, passing through the gut without a problem, in recent years the number of debilitating or fatal battery ingestions has dramatically increased. However, if a button battery, particularly a lithium coin battery, remains stuck in someone’s. Sometimes button batteries do pass. Can A Button Battery Pass Through.
From www.inck.com.au
Button Batteries Mandatory Safety Standards Can A Button Battery Pass Through Batteries passing through the esophagus usually pass uneventfully through the entire digestive tract. Call the national button battery ingestion. For this reason, it’s very important to. However, if a button battery, particularly a lithium coin battery, remains stuck in someone’s. Immediate medical care is important because button batteries in the oesophagus can cause severe damage within. Since button batteries are. Can A Button Battery Pass Through.
From stage.batteryrecycling.org.au
Button Battery Anatomy Australian Battery Recycling Initiative Can A Button Battery Pass Through Since button batteries are small, bright and shiny, they are very attractive to toddlers and young children. For this reason, it’s very important to. Batteries passing through the esophagus usually pass uneventfully through the entire digestive tract. Call the national button battery ingestion. Sometimes button batteries do pass through the body without a problem. While most button battery ingestions are. Can A Button Battery Pass Through.
From www.cpsc.gov
Button Battery Safety CPSC.gov Can A Button Battery Pass Through While most button battery ingestions are benign, passing through the gut without a problem, in recent years the number of debilitating or fatal battery ingestions has dramatically increased. However, if a button battery, particularly a lithium coin battery, remains stuck in someone’s. Immediate medical care is important because button batteries in the oesophagus can cause severe damage within. Batteries passing. Can A Button Battery Pass Through.
From www.canada.ca
Battery safety Button batteries Canada.ca Can A Button Battery Pass Through For this reason, it’s very important to. Immediate medical care is important because button batteries in the oesophagus can cause severe damage within. Sometimes button batteries do pass through the body without a problem. Call the national button battery ingestion. However, if a button battery, particularly a lithium coin battery, remains stuck in someone’s. Batteries passing through the esophagus usually. Can A Button Battery Pass Through.
From buttonbatteryawareness.com
Button Battery Awareness Education about the dangers of button Can A Button Battery Pass Through For this reason, it’s very important to. However, if a button battery, particularly a lithium coin battery, remains stuck in someone’s. While most button battery ingestions are benign, passing through the gut without a problem, in recent years the number of debilitating or fatal battery ingestions has dramatically increased. Sometimes button batteries do pass through the body without a problem.. Can A Button Battery Pass Through.
From en.acatech.de
Battery Passport Content Guidance acatech National Academy of Can A Button Battery Pass Through However, if a button battery, particularly a lithium coin battery, remains stuck in someone’s. Immediate medical care is important because button batteries in the oesophagus can cause severe damage within. For this reason, it’s very important to. Batteries passing through the esophagus usually pass uneventfully through the entire digestive tract. While most button battery ingestions are benign, passing through the. Can A Button Battery Pass Through.
From bipba.co.uk
Battery safety BIPBA The British and Irish Portable Battery Association Can A Button Battery Pass Through However, if a button battery, particularly a lithium coin battery, remains stuck in someone’s. For this reason, it’s very important to. While most button battery ingestions are benign, passing through the gut without a problem, in recent years the number of debilitating or fatal battery ingestions has dramatically increased. Call the national button battery ingestion. Sometimes button batteries do pass. Can A Button Battery Pass Through.
From www.conwaymedicalcenter.com
The Dangers of Button Battery Ingestion · Conway Medical Center Can A Button Battery Pass Through However, if a button battery, particularly a lithium coin battery, remains stuck in someone’s. While most button battery ingestions are benign, passing through the gut without a problem, in recent years the number of debilitating or fatal battery ingestions has dramatically increased. Immediate medical care is important because button batteries in the oesophagus can cause severe damage within. Batteries passing. Can A Button Battery Pass Through.
From www.smallbusiness.wa.gov.au
Button batteries and your business Small Business Development Corporation Can A Button Battery Pass Through Call the national button battery ingestion. Batteries passing through the esophagus usually pass uneventfully through the entire digestive tract. Sometimes button batteries do pass through the body without a problem. Immediate medical care is important because button batteries in the oesophagus can cause severe damage within. For this reason, it’s very important to. However, if a button battery, particularly a. Can A Button Battery Pass Through.
From buttonbatteryawareness.com
Files available to download Button Battery Awareness Can A Button Battery Pass Through Sometimes button batteries do pass through the body without a problem. While most button battery ingestions are benign, passing through the gut without a problem, in recent years the number of debilitating or fatal battery ingestions has dramatically increased. Call the national button battery ingestion. However, if a button battery, particularly a lithium coin battery, remains stuck in someone’s. Immediate. Can A Button Battery Pass Through.
From www.alibaba.com
High Voltage Battery Pass Through Hvpt Ipt Power Tongue 3 Pin 125a 150a Can A Button Battery Pass Through However, if a button battery, particularly a lithium coin battery, remains stuck in someone’s. Batteries passing through the esophagus usually pass uneventfully through the entire digestive tract. Sometimes button batteries do pass through the body without a problem. For this reason, it’s very important to. While most button battery ingestions are benign, passing through the gut without a problem, in. Can A Button Battery Pass Through.
From www.popsci.com
What to expect if your child swallows a button battery Popular Science Can A Button Battery Pass Through While most button battery ingestions are benign, passing through the gut without a problem, in recent years the number of debilitating or fatal battery ingestions has dramatically increased. Immediate medical care is important because button batteries in the oesophagus can cause severe damage within. Call the national button battery ingestion. Sometimes button batteries do pass through the body without a. Can A Button Battery Pass Through.
From www.sal.net.au
BUTTON BATTERIES new regulations SAL Can A Button Battery Pass Through While most button battery ingestions are benign, passing through the gut without a problem, in recent years the number of debilitating or fatal battery ingestions has dramatically increased. Immediate medical care is important because button batteries in the oesophagus can cause severe damage within. However, if a button battery, particularly a lithium coin battery, remains stuck in someone’s. Batteries passing. Can A Button Battery Pass Through.
From tasmaniantimes.com
Button Battery Safety Tasmanian Times Can A Button Battery Pass Through Immediate medical care is important because button batteries in the oesophagus can cause severe damage within. However, if a button battery, particularly a lithium coin battery, remains stuck in someone’s. While most button battery ingestions are benign, passing through the gut without a problem, in recent years the number of debilitating or fatal battery ingestions has dramatically increased. Sometimes button. Can A Button Battery Pass Through.
From www.apsf.org
Perioperative Management of Button Battery Ingestions in Children Can A Button Battery Pass Through However, if a button battery, particularly a lithium coin battery, remains stuck in someone’s. Sometimes button batteries do pass through the body without a problem. Since button batteries are small, bright and shiny, they are very attractive to toddlers and young children. Call the national button battery ingestion. For this reason, it’s very important to. While most button battery ingestions. Can A Button Battery Pass Through.
From battery-news.de
BatteriepassLeitfaden veröffentlicht BatteryNews.de Can A Button Battery Pass Through While most button battery ingestions are benign, passing through the gut without a problem, in recent years the number of debilitating or fatal battery ingestions has dramatically increased. Sometimes button batteries do pass through the body without a problem. For this reason, it’s very important to. Immediate medical care is important because button batteries in the oesophagus can cause severe. Can A Button Battery Pass Through.
From www1.racgp.org.au
RACGP Button battery injury Can A Button Battery Pass Through While most button battery ingestions are benign, passing through the gut without a problem, in recent years the number of debilitating or fatal battery ingestions has dramatically increased. Call the national button battery ingestion. Since button batteries are small, bright and shiny, they are very attractive to toddlers and young children. Sometimes button batteries do pass through the body without. Can A Button Battery Pass Through.
From rebelem.com
Button Battery Ingestion REBEL EM Emergency Medicine Blog Can A Button Battery Pass Through Immediate medical care is important because button batteries in the oesophagus can cause severe damage within. While most button battery ingestions are benign, passing through the gut without a problem, in recent years the number of debilitating or fatal battery ingestions has dramatically increased. However, if a button battery, particularly a lithium coin battery, remains stuck in someone’s. Since button. Can A Button Battery Pass Through.