Dental Treatment Before And After Photos . But when it comes to showing prospective patients what you can do, a picture is worth 1,000 words. Below, you will find just a few real before and after dental photos and examples of the countless restorative and cosmetic smile. You're a dentist, not a photographer. See our before and after photos of dental implants, invisalign, braces, veneers and teeth whitening. View 122 before and after tooth repair photos, submitted by real doctors, to get an idea of the results patients have seen. By looking at the dental treatment before and after photos, you can get a better idea of the dentist’s work, as well as their experience and knowledge. View 49 before and after dental bridge photos, submitted by real doctors, to get an idea of the results patients have seen.
from www.stockhilldental.co.uk
But when it comes to showing prospective patients what you can do, a picture is worth 1,000 words. View 122 before and after tooth repair photos, submitted by real doctors, to get an idea of the results patients have seen. You're a dentist, not a photographer. View 49 before and after dental bridge photos, submitted by real doctors, to get an idea of the results patients have seen. See our before and after photos of dental implants, invisalign, braces, veneers and teeth whitening. Below, you will find just a few real before and after dental photos and examples of the countless restorative and cosmetic smile. By looking at the dental treatment before and after photos, you can get a better idea of the dentist’s work, as well as their experience and knowledge.
Before and After Good Dentist Near Me Composite Bonding Teeth
Dental Treatment Before And After Photos See our before and after photos of dental implants, invisalign, braces, veneers and teeth whitening. Below, you will find just a few real before and after dental photos and examples of the countless restorative and cosmetic smile. But when it comes to showing prospective patients what you can do, a picture is worth 1,000 words. See our before and after photos of dental implants, invisalign, braces, veneers and teeth whitening. You're a dentist, not a photographer. View 49 before and after dental bridge photos, submitted by real doctors, to get an idea of the results patients have seen. By looking at the dental treatment before and after photos, you can get a better idea of the dentist’s work, as well as their experience and knowledge. View 122 before and after tooth repair photos, submitted by real doctors, to get an idea of the results patients have seen.
From www.greenwichfamilydental.com
Dental Treatment Before & After Photos Greenwich Stamford CT Dental Treatment Before And After Photos But when it comes to showing prospective patients what you can do, a picture is worth 1,000 words. By looking at the dental treatment before and after photos, you can get a better idea of the dentist’s work, as well as their experience and knowledge. See our before and after photos of dental implants, invisalign, braces, veneers and teeth whitening.. Dental Treatment Before And After Photos.
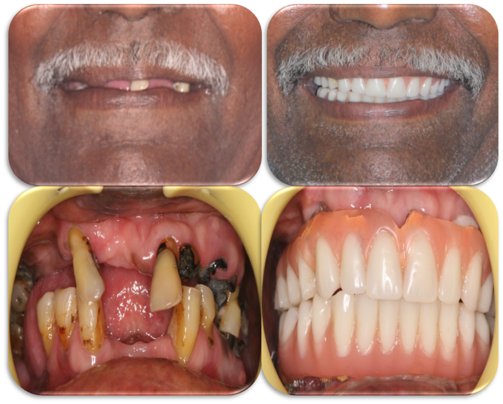
From allonfourimplantsindia.com
Before/ after treatment photos Dental Treatment Before And After Photos View 122 before and after tooth repair photos, submitted by real doctors, to get an idea of the results patients have seen. But when it comes to showing prospective patients what you can do, a picture is worth 1,000 words. Below, you will find just a few real before and after dental photos and examples of the countless restorative and. Dental Treatment Before And After Photos.
From www.excellentvipclinics.com
Dental Treatment Before After Dental Treatment Before After Excellent Dental Treatment Before And After Photos See our before and after photos of dental implants, invisalign, braces, veneers and teeth whitening. You're a dentist, not a photographer. By looking at the dental treatment before and after photos, you can get a better idea of the dentist’s work, as well as their experience and knowledge. But when it comes to showing prospective patients what you can do,. Dental Treatment Before And After Photos.
From dentistspreston.com
Before and After Dental Bonding Photos Cosmetic Bonding Dentists Dental Treatment Before And After Photos View 122 before and after tooth repair photos, submitted by real doctors, to get an idea of the results patients have seen. Below, you will find just a few real before and after dental photos and examples of the countless restorative and cosmetic smile. View 49 before and after dental bridge photos, submitted by real doctors, to get an idea. Dental Treatment Before And After Photos.
From drpetermann.nyc
Dental Implants before and after photo Manhattan Dentist Dental Treatment Before And After Photos View 49 before and after dental bridge photos, submitted by real doctors, to get an idea of the results patients have seen. But when it comes to showing prospective patients what you can do, a picture is worth 1,000 words. Below, you will find just a few real before and after dental photos and examples of the countless restorative and. Dental Treatment Before And After Photos.
From www.excellentvipclinics.com
Dental Treatment Before After Dental Treatment Before After Excellent Dental Treatment Before And After Photos You're a dentist, not a photographer. View 122 before and after tooth repair photos, submitted by real doctors, to get an idea of the results patients have seen. View 49 before and after dental bridge photos, submitted by real doctors, to get an idea of the results patients have seen. Below, you will find just a few real before and. Dental Treatment Before And After Photos.
From www.furumotodentistry.com
Cosmetic Dentistry Diamond Bar & Brea Family Dentist Veneers Dental Treatment Before And After Photos See our before and after photos of dental implants, invisalign, braces, veneers and teeth whitening. By looking at the dental treatment before and after photos, you can get a better idea of the dentist’s work, as well as their experience and knowledge. Below, you will find just a few real before and after dental photos and examples of the countless. Dental Treatment Before And After Photos.
From www.artofit.org
Dental treatment before and after photo Artofit Dental Treatment Before And After Photos See our before and after photos of dental implants, invisalign, braces, veneers and teeth whitening. View 122 before and after tooth repair photos, submitted by real doctors, to get an idea of the results patients have seen. But when it comes to showing prospective patients what you can do, a picture is worth 1,000 words. View 49 before and after. Dental Treatment Before And After Photos.
From www.dentaglobal.com
BeforeAfter Pictures DENTAGLOBAL. Dental Implants, Cosmetic Dental Treatment Before And After Photos But when it comes to showing prospective patients what you can do, a picture is worth 1,000 words. You're a dentist, not a photographer. Below, you will find just a few real before and after dental photos and examples of the countless restorative and cosmetic smile. By looking at the dental treatment before and after photos, you can get a. Dental Treatment Before And After Photos.
From www.stockhilldental.co.uk
Before and After Good Dentist Near Me Composite Bonding Teeth Dental Treatment Before And After Photos You're a dentist, not a photographer. See our before and after photos of dental implants, invisalign, braces, veneers and teeth whitening. But when it comes to showing prospective patients what you can do, a picture is worth 1,000 words. View 122 before and after tooth repair photos, submitted by real doctors, to get an idea of the results patients have. Dental Treatment Before And After Photos.
From krasivoe-foto.ru
Передних Зубов Фото До И После — Красивое Фото Dental Treatment Before And After Photos But when it comes to showing prospective patients what you can do, a picture is worth 1,000 words. See our before and after photos of dental implants, invisalign, braces, veneers and teeth whitening. View 122 before and after tooth repair photos, submitted by real doctors, to get an idea of the results patients have seen. Below, you will find just. Dental Treatment Before And After Photos.
From allonfourimplantsindia.com
Before/ after treatment photos Dental Treatment Before And After Photos Below, you will find just a few real before and after dental photos and examples of the countless restorative and cosmetic smile. But when it comes to showing prospective patients what you can do, a picture is worth 1,000 words. See our before and after photos of dental implants, invisalign, braces, veneers and teeth whitening. You're a dentist, not a. Dental Treatment Before And After Photos.
From www.shutterstock.com
Dental Treatment Before After Stock Photo 1646608849 Shutterstock Dental Treatment Before And After Photos View 122 before and after tooth repair photos, submitted by real doctors, to get an idea of the results patients have seen. By looking at the dental treatment before and after photos, you can get a better idea of the dentist’s work, as well as their experience and knowledge. View 49 before and after dental bridge photos, submitted by real. Dental Treatment Before And After Photos.
From southerndental.net
Cosmetic Dentistry Southern Dental Dental Treatment Before And After Photos View 122 before and after tooth repair photos, submitted by real doctors, to get an idea of the results patients have seen. But when it comes to showing prospective patients what you can do, a picture is worth 1,000 words. Below, you will find just a few real before and after dental photos and examples of the countless restorative and. Dental Treatment Before And After Photos.
From www.pinterest.com
Cosmetic Dentistry Before And After From The Aspects Dental Clinic In Dental Treatment Before And After Photos View 122 before and after tooth repair photos, submitted by real doctors, to get an idea of the results patients have seen. By looking at the dental treatment before and after photos, you can get a better idea of the dentist’s work, as well as their experience and knowledge. Below, you will find just a few real before and after. Dental Treatment Before And After Photos.
From thechicagodentalstudio.com
Cosmetic Dentistry Invisalign, Veneers, Implants, and More Dental Treatment Before And After Photos Below, you will find just a few real before and after dental photos and examples of the countless restorative and cosmetic smile. View 122 before and after tooth repair photos, submitted by real doctors, to get an idea of the results patients have seen. By looking at the dental treatment before and after photos, you can get a better idea. Dental Treatment Before And After Photos.
From www.drdanib.com
Cosmetic Dentistry Before After Photos, Porcelain Veneers Pictures Dental Treatment Before And After Photos But when it comes to showing prospective patients what you can do, a picture is worth 1,000 words. View 49 before and after dental bridge photos, submitted by real doctors, to get an idea of the results patients have seen. You're a dentist, not a photographer. By looking at the dental treatment before and after photos, you can get a. Dental Treatment Before And After Photos.
From 24houremergencydentistlondon.com
Teeth scaling procedure results before and after Dental Treatment Before And After Photos You're a dentist, not a photographer. But when it comes to showing prospective patients what you can do, a picture is worth 1,000 words. View 49 before and after dental bridge photos, submitted by real doctors, to get an idea of the results patients have seen. By looking at the dental treatment before and after photos, you can get a. Dental Treatment Before And After Photos.
From www.thesummerdental.com
Before and After Dental Treatment The Summer Dental Dental Treatment Before And After Photos By looking at the dental treatment before and after photos, you can get a better idea of the dentist’s work, as well as their experience and knowledge. View 49 before and after dental bridge photos, submitted by real doctors, to get an idea of the results patients have seen. Below, you will find just a few real before and after. Dental Treatment Before And After Photos.
From dentalcarestudios.com
Dental Care Studios Before & After Dental Treatment Patient Photos Dental Treatment Before And After Photos View 122 before and after tooth repair photos, submitted by real doctors, to get an idea of the results patients have seen. Below, you will find just a few real before and after dental photos and examples of the countless restorative and cosmetic smile. You're a dentist, not a photographer. See our before and after photos of dental implants, invisalign,. Dental Treatment Before And After Photos.
From streitzdental.com
Before and After Photos of Dental Implants and Cosmetic Dentistry Dental Treatment Before And After Photos You're a dentist, not a photographer. By looking at the dental treatment before and after photos, you can get a better idea of the dentist’s work, as well as their experience and knowledge. View 122 before and after tooth repair photos, submitted by real doctors, to get an idea of the results patients have seen. View 49 before and after. Dental Treatment Before And After Photos.
From www.youtube.com
Before and After Examples of Dental Treatment for Replacement and Dental Treatment Before And After Photos See our before and after photos of dental implants, invisalign, braces, veneers and teeth whitening. View 49 before and after dental bridge photos, submitted by real doctors, to get an idea of the results patients have seen. Below, you will find just a few real before and after dental photos and examples of the countless restorative and cosmetic smile. View. Dental Treatment Before And After Photos.
From streitzdental.com
Before and After Photos of Dental Implants and Cosmetic Dentistry Dental Treatment Before And After Photos Below, you will find just a few real before and after dental photos and examples of the countless restorative and cosmetic smile. By looking at the dental treatment before and after photos, you can get a better idea of the dentist’s work, as well as their experience and knowledge. See our before and after photos of dental implants, invisalign, braces,. Dental Treatment Before And After Photos.
From dentalhealthsociety.com
Deep Teeth Cleaning Before and After Dental Health Society Dental Treatment Before And After Photos See our before and after photos of dental implants, invisalign, braces, veneers and teeth whitening. But when it comes to showing prospective patients what you can do, a picture is worth 1,000 words. You're a dentist, not a photographer. View 49 before and after dental bridge photos, submitted by real doctors, to get an idea of the results patients have. Dental Treatment Before And After Photos.
From www.freshbreathdentalclinic.in
Invisalign treatment in Kalyan nagar Invisible Braces treatment in Dental Treatment Before And After Photos View 49 before and after dental bridge photos, submitted by real doctors, to get an idea of the results patients have seen. Below, you will find just a few real before and after dental photos and examples of the countless restorative and cosmetic smile. View 122 before and after tooth repair photos, submitted by real doctors, to get an idea. Dental Treatment Before And After Photos.
From dentalhealthsociety.com
Deep Teeth Cleaning Before and After Dental Health Society Dental Treatment Before And After Photos View 122 before and after tooth repair photos, submitted by real doctors, to get an idea of the results patients have seen. View 49 before and after dental bridge photos, submitted by real doctors, to get an idea of the results patients have seen. By looking at the dental treatment before and after photos, you can get a better idea. Dental Treatment Before And After Photos.
From ivorydentalclinic.co.in
Smile Teeth Before & After Dental Treatment Ivory Dental Clinic Dental Treatment Before And After Photos See our before and after photos of dental implants, invisalign, braces, veneers and teeth whitening. You're a dentist, not a photographer. Below, you will find just a few real before and after dental photos and examples of the countless restorative and cosmetic smile. But when it comes to showing prospective patients what you can do, a picture is worth 1,000. Dental Treatment Before And After Photos.
From streitzdental.com
Before and After Photos of Dental Implants and Cosmetic Dentistry Dental Treatment Before And After Photos But when it comes to showing prospective patients what you can do, a picture is worth 1,000 words. View 49 before and after dental bridge photos, submitted by real doctors, to get an idea of the results patients have seen. See our before and after photos of dental implants, invisalign, braces, veneers and teeth whitening. You're a dentist, not a. Dental Treatment Before And After Photos.
From www.artofit.org
Dental treatment before and after photo Artofit Dental Treatment Before And After Photos See our before and after photos of dental implants, invisalign, braces, veneers and teeth whitening. By looking at the dental treatment before and after photos, you can get a better idea of the dentist’s work, as well as their experience and knowledge. You're a dentist, not a photographer. View 49 before and after dental bridge photos, submitted by real doctors,. Dental Treatment Before And After Photos.
From www.smilingdental.com.au
Dental Work Before & After Pictures Smiling Dental Dental Treatment Before And After Photos See our before and after photos of dental implants, invisalign, braces, veneers and teeth whitening. Below, you will find just a few real before and after dental photos and examples of the countless restorative and cosmetic smile. View 122 before and after tooth repair photos, submitted by real doctors, to get an idea of the results patients have seen. But. Dental Treatment Before And After Photos.
From www.dreamstime.com
Woman Teeth before and after Dental Treatment Stock Image Image of Dental Treatment Before And After Photos You're a dentist, not a photographer. Below, you will find just a few real before and after dental photos and examples of the countless restorative and cosmetic smile. View 49 before and after dental bridge photos, submitted by real doctors, to get an idea of the results patients have seen. View 122 before and after tooth repair photos, submitted by. Dental Treatment Before And After Photos.
From www.dentalimplantcostguide.com
21 Dental Implant Before and After Photos Dental Treatment Before And After Photos By looking at the dental treatment before and after photos, you can get a better idea of the dentist’s work, as well as their experience and knowledge. View 122 before and after tooth repair photos, submitted by real doctors, to get an idea of the results patients have seen. Below, you will find just a few real before and after. Dental Treatment Before And After Photos.
From www.shutterstock.com
Teeth Before And After Treatment Dental Composite Filling. Stock Dental Treatment Before And After Photos Below, you will find just a few real before and after dental photos and examples of the countless restorative and cosmetic smile. See our before and after photos of dental implants, invisalign, braces, veneers and teeth whitening. By looking at the dental treatment before and after photos, you can get a better idea of the dentist’s work, as well as. Dental Treatment Before And After Photos.
From www.dreamstime.com
Woman Teeth before and after Dental Treatment. Happy Smiling Woman Dental Treatment Before And After Photos View 49 before and after dental bridge photos, submitted by real doctors, to get an idea of the results patients have seen. Below, you will find just a few real before and after dental photos and examples of the countless restorative and cosmetic smile. But when it comes to showing prospective patients what you can do, a picture is worth. Dental Treatment Before And After Photos.
From www.bocodental.com
Dental Treatment Before and After Photos Boulder CO BOCO Dental Dental Treatment Before And After Photos Below, you will find just a few real before and after dental photos and examples of the countless restorative and cosmetic smile. See our before and after photos of dental implants, invisalign, braces, veneers and teeth whitening. View 122 before and after tooth repair photos, submitted by real doctors, to get an idea of the results patients have seen. By. Dental Treatment Before And After Photos.