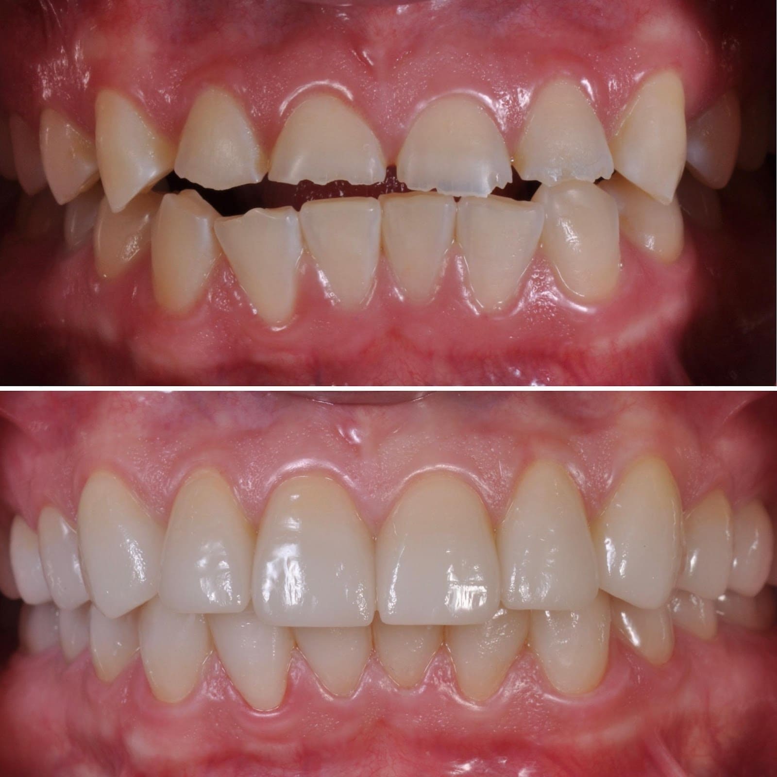
Dental Face Reconstruction . A smile makeover can dramatically transform the appearance of your teeth and gums, as well as your dental health. Your cost will depend on which. Full mouth reconstruction costs between $12,300 and $25,000, according to patient reviews on realself. Cosmetic smile rejuvenation can improve the appearance of the teeth, but it can do little to align the jaw, correct bites, and balance the facial profile. If your mouth is functionally damaged, with broken or worn teeth, poor bite, jaw pain, and other problems, a full mouth reconstruction can help you. All of this was done in one comprehensive treatment. Full mouth reconstruction offers significant improvements in oral health by addressing decay, gum disease, and bite problems. With a personalized combination of restorative and cosmetic dental.
from www.beverlyhillsladentist.com
A smile makeover can dramatically transform the appearance of your teeth and gums, as well as your dental health. Your cost will depend on which. Cosmetic smile rejuvenation can improve the appearance of the teeth, but it can do little to align the jaw, correct bites, and balance the facial profile. Full mouth reconstruction offers significant improvements in oral health by addressing decay, gum disease, and bite problems. If your mouth is functionally damaged, with broken or worn teeth, poor bite, jaw pain, and other problems, a full mouth reconstruction can help you. All of this was done in one comprehensive treatment. With a personalized combination of restorative and cosmetic dental. Full mouth reconstruction costs between $12,300 and $25,000, according to patient reviews on realself.
Cosmetic Dentistry Before and After Photos Helm Nejad Stanley
Dental Face Reconstruction Cosmetic smile rejuvenation can improve the appearance of the teeth, but it can do little to align the jaw, correct bites, and balance the facial profile. Your cost will depend on which. A smile makeover can dramatically transform the appearance of your teeth and gums, as well as your dental health. Full mouth reconstruction offers significant improvements in oral health by addressing decay, gum disease, and bite problems. Full mouth reconstruction costs between $12,300 and $25,000, according to patient reviews on realself. All of this was done in one comprehensive treatment. If your mouth is functionally damaged, with broken or worn teeth, poor bite, jaw pain, and other problems, a full mouth reconstruction can help you. Cosmetic smile rejuvenation can improve the appearance of the teeth, but it can do little to align the jaw, correct bites, and balance the facial profile. With a personalized combination of restorative and cosmetic dental.
From transcenddentistry.ca
Dental Reconstruction Explained Transcend Dentistry Dental Face Reconstruction With a personalized combination of restorative and cosmetic dental. All of this was done in one comprehensive treatment. Cosmetic smile rejuvenation can improve the appearance of the teeth, but it can do little to align the jaw, correct bites, and balance the facial profile. Full mouth reconstruction offers significant improvements in oral health by addressing decay, gum disease, and bite. Dental Face Reconstruction.
From www.mydrdennis.com
Dental Implants after Dentures Susan M. Dennis, D.D.S Dental Face Reconstruction Full mouth reconstruction costs between $12,300 and $25,000, according to patient reviews on realself. Cosmetic smile rejuvenation can improve the appearance of the teeth, but it can do little to align the jaw, correct bites, and balance the facial profile. All of this was done in one comprehensive treatment. With a personalized combination of restorative and cosmetic dental. Full mouth. Dental Face Reconstruction.
From www.pinterest.fr
Before and After Patient wore a poorlyconstructed denture and Dental Face Reconstruction With a personalized combination of restorative and cosmetic dental. All of this was done in one comprehensive treatment. Your cost will depend on which. A smile makeover can dramatically transform the appearance of your teeth and gums, as well as your dental health. If your mouth is functionally damaged, with broken or worn teeth, poor bite, jaw pain, and other. Dental Face Reconstruction.
From www.clinicadentalgrossdentistas.com
Find out all about dental reconstruction and its types Dental Face Reconstruction Cosmetic smile rejuvenation can improve the appearance of the teeth, but it can do little to align the jaw, correct bites, and balance the facial profile. Your cost will depend on which. All of this was done in one comprehensive treatment. If your mouth is functionally damaged, with broken or worn teeth, poor bite, jaw pain, and other problems, a. Dental Face Reconstruction.
From naturaldentistrycenter.com
Dental Implant Dentist Implant Surgery Dental Face Reconstruction All of this was done in one comprehensive treatment. Full mouth reconstruction offers significant improvements in oral health by addressing decay, gum disease, and bite problems. If your mouth is functionally damaged, with broken or worn teeth, poor bite, jaw pain, and other problems, a full mouth reconstruction can help you. A smile makeover can dramatically transform the appearance of. Dental Face Reconstruction.
From www.blendernation.com
Forensic Facial Reconstruction for Beginners BlenderNation Dental Face Reconstruction Full mouth reconstruction costs between $12,300 and $25,000, according to patient reviews on realself. A smile makeover can dramatically transform the appearance of your teeth and gums, as well as your dental health. Full mouth reconstruction offers significant improvements in oral health by addressing decay, gum disease, and bite problems. Cosmetic smile rejuvenation can improve the appearance of the teeth,. Dental Face Reconstruction.
From streitzdental.com
Before and After Photos of Dental Implants and Cosmetic Dentistry Dental Face Reconstruction Full mouth reconstruction offers significant improvements in oral health by addressing decay, gum disease, and bite problems. With a personalized combination of restorative and cosmetic dental. A smile makeover can dramatically transform the appearance of your teeth and gums, as well as your dental health. Cosmetic smile rejuvenation can improve the appearance of the teeth, but it can do little. Dental Face Reconstruction.
From transcenddentistry.ca
Dental Reconstruction Explained Transcend Dentistry Dental Face Reconstruction All of this was done in one comprehensive treatment. Full mouth reconstruction offers significant improvements in oral health by addressing decay, gum disease, and bite problems. If your mouth is functionally damaged, with broken or worn teeth, poor bite, jaw pain, and other problems, a full mouth reconstruction can help you. Full mouth reconstruction costs between $12,300 and $25,000, according. Dental Face Reconstruction.
From www.facialart.com
Reconstruction of Upper Jaw Bone and Multiple Dental Implants For Fixed Dental Face Reconstruction A smile makeover can dramatically transform the appearance of your teeth and gums, as well as your dental health. Full mouth reconstruction offers significant improvements in oral health by addressing decay, gum disease, and bite problems. With a personalized combination of restorative and cosmetic dental. Full mouth reconstruction costs between $12,300 and $25,000, according to patient reviews on realself. Your. Dental Face Reconstruction.
From www.sachardental.com
Dentist NYC Top Prosthodontist NYC Sachar Dental NYC Dental Face Reconstruction With a personalized combination of restorative and cosmetic dental. Cosmetic smile rejuvenation can improve the appearance of the teeth, but it can do little to align the jaw, correct bites, and balance the facial profile. Full mouth reconstruction offers significant improvements in oral health by addressing decay, gum disease, and bite problems. Your cost will depend on which. All of. Dental Face Reconstruction.
From www.beverlyhillsladentist.com
Cosmetic Dentistry Before and After Photos Helm Nejad Stanley Dental Face Reconstruction Cosmetic smile rejuvenation can improve the appearance of the teeth, but it can do little to align the jaw, correct bites, and balance the facial profile. Full mouth reconstruction offers significant improvements in oral health by addressing decay, gum disease, and bite problems. Full mouth reconstruction costs between $12,300 and $25,000, according to patient reviews on realself. With a personalized. Dental Face Reconstruction.
From dentalinsuranceinsiders.com
What Is Dental Reconstruction? Dental Insurance Insiders Dental Face Reconstruction If your mouth is functionally damaged, with broken or worn teeth, poor bite, jaw pain, and other problems, a full mouth reconstruction can help you. Full mouth reconstruction offers significant improvements in oral health by addressing decay, gum disease, and bite problems. A smile makeover can dramatically transform the appearance of your teeth and gums, as well as your dental. Dental Face Reconstruction.
From dentakings.com
Facial Trauma Denta Kings Dental Face Reconstruction Cosmetic smile rejuvenation can improve the appearance of the teeth, but it can do little to align the jaw, correct bites, and balance the facial profile. Your cost will depend on which. All of this was done in one comprehensive treatment. A smile makeover can dramatically transform the appearance of your teeth and gums, as well as your dental health.. Dental Face Reconstruction.
From petrosains.com.my
Facial Reconstruction Science or Art? Petrosains Dental Face Reconstruction A smile makeover can dramatically transform the appearance of your teeth and gums, as well as your dental health. All of this was done in one comprehensive treatment. Your cost will depend on which. Full mouth reconstruction offers significant improvements in oral health by addressing decay, gum disease, and bite problems. Full mouth reconstruction costs between $12,300 and $25,000, according. Dental Face Reconstruction.
From www.nosehilldental.com
Repairing worn teeth Calgary NW dentist explains Nosehill Dental Centre Dental Face Reconstruction Full mouth reconstruction offers significant improvements in oral health by addressing decay, gum disease, and bite problems. Full mouth reconstruction costs between $12,300 and $25,000, according to patient reviews on realself. Your cost will depend on which. All of this was done in one comprehensive treatment. With a personalized combination of restorative and cosmetic dental. If your mouth is functionally. Dental Face Reconstruction.
From www.facialart.com
Reconstruction of Upper Jaw Bone and Multiple Dental Implants For Fixed Dental Face Reconstruction With a personalized combination of restorative and cosmetic dental. Your cost will depend on which. A smile makeover can dramatically transform the appearance of your teeth and gums, as well as your dental health. All of this was done in one comprehensive treatment. Full mouth reconstruction costs between $12,300 and $25,000, according to patient reviews on realself. If your mouth. Dental Face Reconstruction.
From vbosedentalcare.com
DENTAL IMPLANTS V Bose Dental Care Madurai Dental Face Reconstruction Full mouth reconstruction costs between $12,300 and $25,000, according to patient reviews on realself. If your mouth is functionally damaged, with broken or worn teeth, poor bite, jaw pain, and other problems, a full mouth reconstruction can help you. All of this was done in one comprehensive treatment. Cosmetic smile rejuvenation can improve the appearance of the teeth, but it. Dental Face Reconstruction.
From joidtcpns.blob.core.windows.net
Face Dental Implant at Dawn Trumble blog Dental Face Reconstruction A smile makeover can dramatically transform the appearance of your teeth and gums, as well as your dental health. Full mouth reconstruction costs between $12,300 and $25,000, according to patient reviews on realself. Full mouth reconstruction offers significant improvements in oral health by addressing decay, gum disease, and bite problems. If your mouth is functionally damaged, with broken or worn. Dental Face Reconstruction.
From www.beverlyhillsladentist.com
Cosmetic Dentistry Before and After Photos Helm Nejad Stanley Dental Face Reconstruction Cosmetic smile rejuvenation can improve the appearance of the teeth, but it can do little to align the jaw, correct bites, and balance the facial profile. All of this was done in one comprehensive treatment. A smile makeover can dramatically transform the appearance of your teeth and gums, as well as your dental health. If your mouth is functionally damaged,. Dental Face Reconstruction.
From www.faceliftdentistry.com
NonInvasive Full Mouth Reconstruction Dental Face Reconstruction If your mouth is functionally damaged, with broken or worn teeth, poor bite, jaw pain, and other problems, a full mouth reconstruction can help you. All of this was done in one comprehensive treatment. With a personalized combination of restorative and cosmetic dental. Full mouth reconstruction offers significant improvements in oral health by addressing decay, gum disease, and bite problems.. Dental Face Reconstruction.
From www.athens-dental.com
maxillofacial prostheticsathens dentalDimitrios Antoniou Dental Face Reconstruction A smile makeover can dramatically transform the appearance of your teeth and gums, as well as your dental health. With a personalized combination of restorative and cosmetic dental. All of this was done in one comprehensive treatment. Your cost will depend on which. Full mouth reconstruction offers significant improvements in oral health by addressing decay, gum disease, and bite problems.. Dental Face Reconstruction.
From www.youtube.com
Dental implants review Before and After Surgery YouTube Dental Face Reconstruction All of this was done in one comprehensive treatment. Full mouth reconstruction offers significant improvements in oral health by addressing decay, gum disease, and bite problems. Your cost will depend on which. A smile makeover can dramatically transform the appearance of your teeth and gums, as well as your dental health. Cosmetic smile rejuvenation can improve the appearance of the. Dental Face Reconstruction.
From www.clarencetam.co.nz
Smile Reconstruction Smile Makeover Best Cosmetic Dentist New Zealand Dental Face Reconstruction All of this was done in one comprehensive treatment. If your mouth is functionally damaged, with broken or worn teeth, poor bite, jaw pain, and other problems, a full mouth reconstruction can help you. A smile makeover can dramatically transform the appearance of your teeth and gums, as well as your dental health. Your cost will depend on which. Full. Dental Face Reconstruction.
From www.txstate.edu
Forensic Art Forensic Facial Reconstruction Sculpture Forensic Dental Face Reconstruction Your cost will depend on which. Cosmetic smile rejuvenation can improve the appearance of the teeth, but it can do little to align the jaw, correct bites, and balance the facial profile. Full mouth reconstruction offers significant improvements in oral health by addressing decay, gum disease, and bite problems. A smile makeover can dramatically transform the appearance of your teeth. Dental Face Reconstruction.
From minnesotapros.com
Full Mouth Reconstruction II Minnesota Prosthodontist Dr. Lisa James Dental Face Reconstruction Full mouth reconstruction costs between $12,300 and $25,000, according to patient reviews on realself. All of this was done in one comprehensive treatment. A smile makeover can dramatically transform the appearance of your teeth and gums, as well as your dental health. If your mouth is functionally damaged, with broken or worn teeth, poor bite, jaw pain, and other problems,. Dental Face Reconstruction.
From www.facialart.com
Reconstruction of Upper Jaw Bone and Multiple Dental Implants For Fixed Dental Face Reconstruction Cosmetic smile rejuvenation can improve the appearance of the teeth, but it can do little to align the jaw, correct bites, and balance the facial profile. If your mouth is functionally damaged, with broken or worn teeth, poor bite, jaw pain, and other problems, a full mouth reconstruction can help you. A smile makeover can dramatically transform the appearance of. Dental Face Reconstruction.
From riverview.dental
Riverview Dentist Riverview Dental Arts Trios IntraOral 3D Scanner Dental Face Reconstruction A smile makeover can dramatically transform the appearance of your teeth and gums, as well as your dental health. Full mouth reconstruction offers significant improvements in oral health by addressing decay, gum disease, and bite problems. All of this was done in one comprehensive treatment. Full mouth reconstruction costs between $12,300 and $25,000, according to patient reviews on realself. Your. Dental Face Reconstruction.
From naturaldentistrycenter.com
3D Scan (CBCT) Conebeam Diagnose Infections, Problems, Pain Low Dental Face Reconstruction Full mouth reconstruction offers significant improvements in oral health by addressing decay, gum disease, and bite problems. If your mouth is functionally damaged, with broken or worn teeth, poor bite, jaw pain, and other problems, a full mouth reconstruction can help you. Full mouth reconstruction costs between $12,300 and $25,000, according to patient reviews on realself. Cosmetic smile rejuvenation can. Dental Face Reconstruction.
From www.facialart.com
Reconstruction of Upper Jaw Bone and Multiple Dental Implants For Fixed Dental Face Reconstruction With a personalized combination of restorative and cosmetic dental. All of this was done in one comprehensive treatment. Full mouth reconstruction costs between $12,300 and $25,000, according to patient reviews on realself. Your cost will depend on which. Cosmetic smile rejuvenation can improve the appearance of the teeth, but it can do little to align the jaw, correct bites, and. Dental Face Reconstruction.
From dailymigrants.com
Before And After Pictures Of Dental Implants Dental Face Reconstruction With a personalized combination of restorative and cosmetic dental. Full mouth reconstruction offers significant improvements in oral health by addressing decay, gum disease, and bite problems. If your mouth is functionally damaged, with broken or worn teeth, poor bite, jaw pain, and other problems, a full mouth reconstruction can help you. All of this was done in one comprehensive treatment.. Dental Face Reconstruction.
From www.drantipov.com
Immediate Implants and Teeth AllOn4 Surgical Case Dental Implants Dental Face Reconstruction With a personalized combination of restorative and cosmetic dental. All of this was done in one comprehensive treatment. Cosmetic smile rejuvenation can improve the appearance of the teeth, but it can do little to align the jaw, correct bites, and balance the facial profile. Your cost will depend on which. Full mouth reconstruction costs between $12,300 and $25,000, according to. Dental Face Reconstruction.
From rpsmelbourne.com.au
Mandible Reconstruction Reconstructive Plastic Surgery Melbourne Dental Face Reconstruction Your cost will depend on which. With a personalized combination of restorative and cosmetic dental. Full mouth reconstruction costs between $12,300 and $25,000, according to patient reviews on realself. Full mouth reconstruction offers significant improvements in oral health by addressing decay, gum disease, and bite problems. All of this was done in one comprehensive treatment. A smile makeover can dramatically. Dental Face Reconstruction.
From nextsmile.com.au
What Does Dental Reconstruction Involve? Next Smile Dental Face Reconstruction Cosmetic smile rejuvenation can improve the appearance of the teeth, but it can do little to align the jaw, correct bites, and balance the facial profile. Your cost will depend on which. Full mouth reconstruction offers significant improvements in oral health by addressing decay, gum disease, and bite problems. Full mouth reconstruction costs between $12,300 and $25,000, according to patient. Dental Face Reconstruction.
From transcenddentistry.ca
Dental Reconstruction Explained Transcend Dentistry Dental Face Reconstruction All of this was done in one comprehensive treatment. Your cost will depend on which. With a personalized combination of restorative and cosmetic dental. A smile makeover can dramatically transform the appearance of your teeth and gums, as well as your dental health. Full mouth reconstruction offers significant improvements in oral health by addressing decay, gum disease, and bite problems.. Dental Face Reconstruction.
From modsquaddental.com
Dental ReconstructionMOD Squad Dental MOD Squad Dental Dental Face Reconstruction All of this was done in one comprehensive treatment. Cosmetic smile rejuvenation can improve the appearance of the teeth, but it can do little to align the jaw, correct bites, and balance the facial profile. Full mouth reconstruction costs between $12,300 and $25,000, according to patient reviews on realself. A smile makeover can dramatically transform the appearance of your teeth. Dental Face Reconstruction.