What Does Non Radiolucent Mean . A radiopaque structure has high. Areas that are less dense, such as something containing gas, will allow more xrays through, appear darker on the radiograph, and are termed. A radiolucent structure has low density and will result in a black color on the radiograph. Lucency is a term that refers to the quality of being transparent or allowing light to pass through. It’s often used in the context of. Structures that are cavities, depressions, or openings in bone such as a sinus, fossa, canal or foramen will allow x.
from www.mdpi.com
Lucency is a term that refers to the quality of being transparent or allowing light to pass through. A radiolucent structure has low density and will result in a black color on the radiograph. It’s often used in the context of. Structures that are cavities, depressions, or openings in bone such as a sinus, fossa, canal or foramen will allow x. A radiopaque structure has high. Areas that are less dense, such as something containing gas, will allow more xrays through, appear darker on the radiograph, and are termed.
Applied Sciences Free FullText Prevalence and Characteristics of
What Does Non Radiolucent Mean A radiopaque structure has high. It’s often used in the context of. Lucency is a term that refers to the quality of being transparent or allowing light to pass through. Structures that are cavities, depressions, or openings in bone such as a sinus, fossa, canal or foramen will allow x. Areas that are less dense, such as something containing gas, will allow more xrays through, appear darker on the radiograph, and are termed. A radiopaque structure has high. A radiolucent structure has low density and will result in a black color on the radiograph.
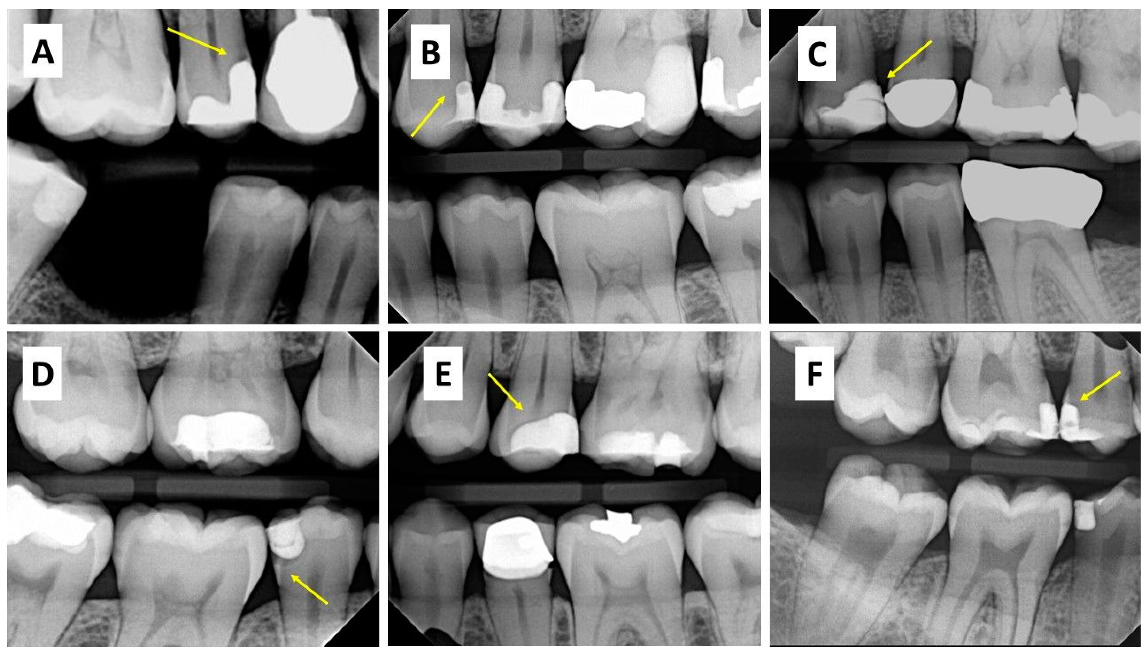
From www.semortho.com
Noncavitated dental radiolucent lesions A challenge for the dental What Does Non Radiolucent Mean Structures that are cavities, depressions, or openings in bone such as a sinus, fossa, canal or foramen will allow x. A radiopaque structure has high. It’s often used in the context of. A radiolucent structure has low density and will result in a black color on the radiograph. Areas that are less dense, such as something containing gas, will allow. What Does Non Radiolucent Mean.
From ritewaymed.com
McKesson EKG Tab Electrode Resting NonRadiolucent (Pack of 100) What Does Non Radiolucent Mean A radiopaque structure has high. Structures that are cavities, depressions, or openings in bone such as a sinus, fossa, canal or foramen will allow x. A radiolucent structure has low density and will result in a black color on the radiograph. Areas that are less dense, such as something containing gas, will allow more xrays through, appear darker on the. What Does Non Radiolucent Mean.
From thecontentauthority.com
Radiopaque vs Radiolucent Which One Is The Correct One? What Does Non Radiolucent Mean Lucency is a term that refers to the quality of being transparent or allowing light to pass through. Structures that are cavities, depressions, or openings in bone such as a sinus, fossa, canal or foramen will allow x. Areas that are less dense, such as something containing gas, will allow more xrays through, appear darker on the radiograph, and are. What Does Non Radiolucent Mean.
From mediamedent.com
Acclaimed, lectures on radiolucent & radiopaque lesions of the jaws2024 What Does Non Radiolucent Mean Lucency is a term that refers to the quality of being transparent or allowing light to pass through. A radiolucent structure has low density and will result in a black color on the radiograph. A radiopaque structure has high. Areas that are less dense, such as something containing gas, will allow more xrays through, appear darker on the radiograph, and. What Does Non Radiolucent Mean.
From www.researchgate.net
Radiolucent areas in the bones of the jaws. A. A periapical What Does Non Radiolucent Mean Areas that are less dense, such as something containing gas, will allow more xrays through, appear darker on the radiograph, and are termed. Lucency is a term that refers to the quality of being transparent or allowing light to pass through. It’s often used in the context of. Structures that are cavities, depressions, or openings in bone such as a. What Does Non Radiolucent Mean.
From www.jcdr.net
Article Fulle Text What Does Non Radiolucent Mean Structures that are cavities, depressions, or openings in bone such as a sinus, fossa, canal or foramen will allow x. Lucency is a term that refers to the quality of being transparent or allowing light to pass through. Areas that are less dense, such as something containing gas, will allow more xrays through, appear darker on the radiograph, and are. What Does Non Radiolucent Mean.
From heymedsupply.com
Diagnostic Instruments and Supplies 8753 McKesson What Does Non Radiolucent Mean A radiolucent structure has low density and will result in a black color on the radiograph. A radiopaque structure has high. Areas that are less dense, such as something containing gas, will allow more xrays through, appear darker on the radiograph, and are termed. Lucency is a term that refers to the quality of being transparent or allowing light to. What Does Non Radiolucent Mean.
From www.researchgate.net
Panoramic radiograph of the primary lesion showed a radiolucent lesion What Does Non Radiolucent Mean A radiolucent structure has low density and will result in a black color on the radiograph. A radiopaque structure has high. Areas that are less dense, such as something containing gas, will allow more xrays through, appear darker on the radiograph, and are termed. It’s often used in the context of. Structures that are cavities, depressions, or openings in bone. What Does Non Radiolucent Mean.
From www.researchgate.net
Establishment of a mouse AP model and analysis of lesion formation over What Does Non Radiolucent Mean A radiopaque structure has high. Areas that are less dense, such as something containing gas, will allow more xrays through, appear darker on the radiograph, and are termed. A radiolucent structure has low density and will result in a black color on the radiograph. Lucency is a term that refers to the quality of being transparent or allowing light to. What Does Non Radiolucent Mean.
From www.youtube.com
Radiolucent Meaning YouTube What Does Non Radiolucent Mean Lucency is a term that refers to the quality of being transparent or allowing light to pass through. A radiolucent structure has low density and will result in a black color on the radiograph. Structures that are cavities, depressions, or openings in bone such as a sinus, fossa, canal or foramen will allow x. Areas that are less dense, such. What Does Non Radiolucent Mean.
From www.frontiersin.org
Frontiers Elevation of circulating TNF receptor 2 in cancer A What Does Non Radiolucent Mean Structures that are cavities, depressions, or openings in bone such as a sinus, fossa, canal or foramen will allow x. It’s often used in the context of. A radiolucent structure has low density and will result in a black color on the radiograph. A radiopaque structure has high. Lucency is a term that refers to the quality of being transparent. What Does Non Radiolucent Mean.
From boneandjoint.org.uk
The incidence of physiological radiolucency following Oxford What Does Non Radiolucent Mean Structures that are cavities, depressions, or openings in bone such as a sinus, fossa, canal or foramen will allow x. Areas that are less dense, such as something containing gas, will allow more xrays through, appear darker on the radiograph, and are termed. Lucency is a term that refers to the quality of being transparent or allowing light to pass. What Does Non Radiolucent Mean.
From www.mdpi.com
Applied Sciences Free FullText Prevalence and Characteristics of What Does Non Radiolucent Mean Structures that are cavities, depressions, or openings in bone such as a sinus, fossa, canal or foramen will allow x. A radiopaque structure has high. A radiolucent structure has low density and will result in a black color on the radiograph. Lucency is a term that refers to the quality of being transparent or allowing light to pass through. Areas. What Does Non Radiolucent Mean.
From www.facebook.com
Rad Tech 1895 Types of kidney stones Radiolucent Radiopaque Facebook What Does Non Radiolucent Mean Structures that are cavities, depressions, or openings in bone such as a sinus, fossa, canal or foramen will allow x. It’s often used in the context of. Areas that are less dense, such as something containing gas, will allow more xrays through, appear darker on the radiograph, and are termed. A radiolucent structure has low density and will result in. What Does Non Radiolucent Mean.
From www.researchgate.net
(A) Initial panoramic radiography, showing a radiolucent nondelimited What Does Non Radiolucent Mean Areas that are less dense, such as something containing gas, will allow more xrays through, appear darker on the radiograph, and are termed. It’s often used in the context of. A radiopaque structure has high. Structures that are cavities, depressions, or openings in bone such as a sinus, fossa, canal or foramen will allow x. Lucency is a term that. What Does Non Radiolucent Mean.
From www.slideshare.net
Mixed radiopaque & radiolucent lesions of jaw What Does Non Radiolucent Mean A radiolucent structure has low density and will result in a black color on the radiograph. It’s often used in the context of. Structures that are cavities, depressions, or openings in bone such as a sinus, fossa, canal or foramen will allow x. A radiopaque structure has high. Lucency is a term that refers to the quality of being transparent. What Does Non Radiolucent Mean.
From www.youtube.com
What is the meaning of the word RADIOLUCENT? YouTube What Does Non Radiolucent Mean It’s often used in the context of. Structures that are cavities, depressions, or openings in bone such as a sinus, fossa, canal or foramen will allow x. Lucency is a term that refers to the quality of being transparent or allowing light to pass through. A radiolucent structure has low density and will result in a black color on the. What Does Non Radiolucent Mean.
From www.researchgate.net
A. A panoramic radiograph shows a radiolucent lesion with a What Does Non Radiolucent Mean Areas that are less dense, such as something containing gas, will allow more xrays through, appear darker on the radiograph, and are termed. Structures that are cavities, depressions, or openings in bone such as a sinus, fossa, canal or foramen will allow x. A radiolucent structure has low density and will result in a black color on the radiograph. A. What Does Non Radiolucent Mean.
From www.lifesync.com
LifeSync Radiolucent Leadwear® and Leadwires LifeSync What Does Non Radiolucent Mean A radiolucent structure has low density and will result in a black color on the radiograph. Lucency is a term that refers to the quality of being transparent or allowing light to pass through. A radiopaque structure has high. Structures that are cavities, depressions, or openings in bone such as a sinus, fossa, canal or foramen will allow x. Areas. What Does Non Radiolucent Mean.
From mediamedent.com
RadiologyPPDental Assistants Medical & Dental Education What Does Non Radiolucent Mean Lucency is a term that refers to the quality of being transparent or allowing light to pass through. A radiolucent structure has low density and will result in a black color on the radiograph. Areas that are less dense, such as something containing gas, will allow more xrays through, appear darker on the radiograph, and are termed. It’s often used. What Does Non Radiolucent Mean.
From www.clinicaladvisor.com
Ortho Dx Radiolucent lesion on the small finger Clinical Advisor What Does Non Radiolucent Mean Areas that are less dense, such as something containing gas, will allow more xrays through, appear darker on the radiograph, and are termed. It’s often used in the context of. Structures that are cavities, depressions, or openings in bone such as a sinus, fossa, canal or foramen will allow x. A radiolucent structure has low density and will result in. What Does Non Radiolucent Mean.
From onlinelibrary.wiley.com
Ingestion of a radiopaque pill in radiolucent blister pack Risk of What Does Non Radiolucent Mean It’s often used in the context of. Lucency is a term that refers to the quality of being transparent or allowing light to pass through. Structures that are cavities, depressions, or openings in bone such as a sinus, fossa, canal or foramen will allow x. A radiopaque structure has high. Areas that are less dense, such as something containing gas,. What Does Non Radiolucent Mean.
From www.walmart.com
McKesson EKG Snap Electrode Monitoring NonRadiolucent Pack of 50 What Does Non Radiolucent Mean A radiolucent structure has low density and will result in a black color on the radiograph. Structures that are cavities, depressions, or openings in bone such as a sinus, fossa, canal or foramen will allow x. It’s often used in the context of. A radiopaque structure has high. Areas that are less dense, such as something containing gas, will allow. What Does Non Radiolucent Mean.
From www.hillrom.com
Neuro NonRadiolucent OR Accessory Package for Surgical Tables Trumpf What Does Non Radiolucent Mean It’s often used in the context of. A radiopaque structure has high. A radiolucent structure has low density and will result in a black color on the radiograph. Lucency is a term that refers to the quality of being transparent or allowing light to pass through. Structures that are cavities, depressions, or openings in bone such as a sinus, fossa,. What Does Non Radiolucent Mean.
From jordi.com.br
JORDI Journal of Oral Diagnosis What Does Non Radiolucent Mean A radiolucent structure has low density and will result in a black color on the radiograph. Areas that are less dense, such as something containing gas, will allow more xrays through, appear darker on the radiograph, and are termed. A radiopaque structure has high. It’s often used in the context of. Structures that are cavities, depressions, or openings in bone. What Does Non Radiolucent Mean.
From www.ajronline.org
Mimics on Radiography of Giant Cell Tumor of Bone AJR What Does Non Radiolucent Mean A radiopaque structure has high. Areas that are less dense, such as something containing gas, will allow more xrays through, appear darker on the radiograph, and are termed. It’s often used in the context of. Lucency is a term that refers to the quality of being transparent or allowing light to pass through. Structures that are cavities, depressions, or openings. What Does Non Radiolucent Mean.
From www.researchgate.net
A posteroanterior chest radiograph reveals increased radiolucency along What Does Non Radiolucent Mean Structures that are cavities, depressions, or openings in bone such as a sinus, fossa, canal or foramen will allow x. Lucency is a term that refers to the quality of being transparent or allowing light to pass through. A radiopaque structure has high. A radiolucent structure has low density and will result in a black color on the radiograph. It’s. What Does Non Radiolucent Mean.
From www.mdpi.com
Diagnostics Free FullText Mandibular Radiolucencies A What Does Non Radiolucent Mean A radiolucent structure has low density and will result in a black color on the radiograph. A radiopaque structure has high. Structures that are cavities, depressions, or openings in bone such as a sinus, fossa, canal or foramen will allow x. It’s often used in the context of. Lucency is a term that refers to the quality of being transparent. What Does Non Radiolucent Mean.
From www.askdifference.com
Radiolucent vs. Radiopaque — What’s the Difference? What Does Non Radiolucent Mean Structures that are cavities, depressions, or openings in bone such as a sinus, fossa, canal or foramen will allow x. It’s often used in the context of. Lucency is a term that refers to the quality of being transparent or allowing light to pass through. Areas that are less dense, such as something containing gas, will allow more xrays through,. What Does Non Radiolucent Mean.
From www.dentalnotebook.com
Describing Dental Radiographic Lesions dentalnotebook What Does Non Radiolucent Mean Lucency is a term that refers to the quality of being transparent or allowing light to pass through. Structures that are cavities, depressions, or openings in bone such as a sinus, fossa, canal or foramen will allow x. A radiopaque structure has high. It’s often used in the context of. A radiolucent structure has low density and will result in. What Does Non Radiolucent Mean.
From www.slideshare.net
Mixed radiopaque & radiolucent lesions of jaw What Does Non Radiolucent Mean It’s often used in the context of. A radiopaque structure has high. Areas that are less dense, such as something containing gas, will allow more xrays through, appear darker on the radiograph, and are termed. A radiolucent structure has low density and will result in a black color on the radiograph. Structures that are cavities, depressions, or openings in bone. What Does Non Radiolucent Mean.
From www.studocu.com
Musculoskeletal Radiology MUSCULOSKELETAL RADIOLOGY General What Does Non Radiolucent Mean A radiolucent structure has low density and will result in a black color on the radiograph. Structures that are cavities, depressions, or openings in bone such as a sinus, fossa, canal or foramen will allow x. Lucency is a term that refers to the quality of being transparent or allowing light to pass through. Areas that are less dense, such. What Does Non Radiolucent Mean.
From www.youtube.com
Radiolucent Medical Meaning and Pronunciation YouTube What Does Non Radiolucent Mean A radiolucent structure has low density and will result in a black color on the radiograph. Lucency is a term that refers to the quality of being transparent or allowing light to pass through. Areas that are less dense, such as something containing gas, will allow more xrays through, appear darker on the radiograph, and are termed. A radiopaque structure. What Does Non Radiolucent Mean.
From www.radiodontics.com
Apical Radiopacities Radiodontics What Does Non Radiolucent Mean Areas that are less dense, such as something containing gas, will allow more xrays through, appear darker on the radiograph, and are termed. Structures that are cavities, depressions, or openings in bone such as a sinus, fossa, canal or foramen will allow x. A radiolucent structure has low density and will result in a black color on the radiograph. Lucency. What Does Non Radiolucent Mean.
From www.semortho.com
Noncavitated dental radiolucent lesions A challenge for the dental What Does Non Radiolucent Mean A radiopaque structure has high. A radiolucent structure has low density and will result in a black color on the radiograph. Lucency is a term that refers to the quality of being transparent or allowing light to pass through. Areas that are less dense, such as something containing gas, will allow more xrays through, appear darker on the radiograph, and. What Does Non Radiolucent Mean.