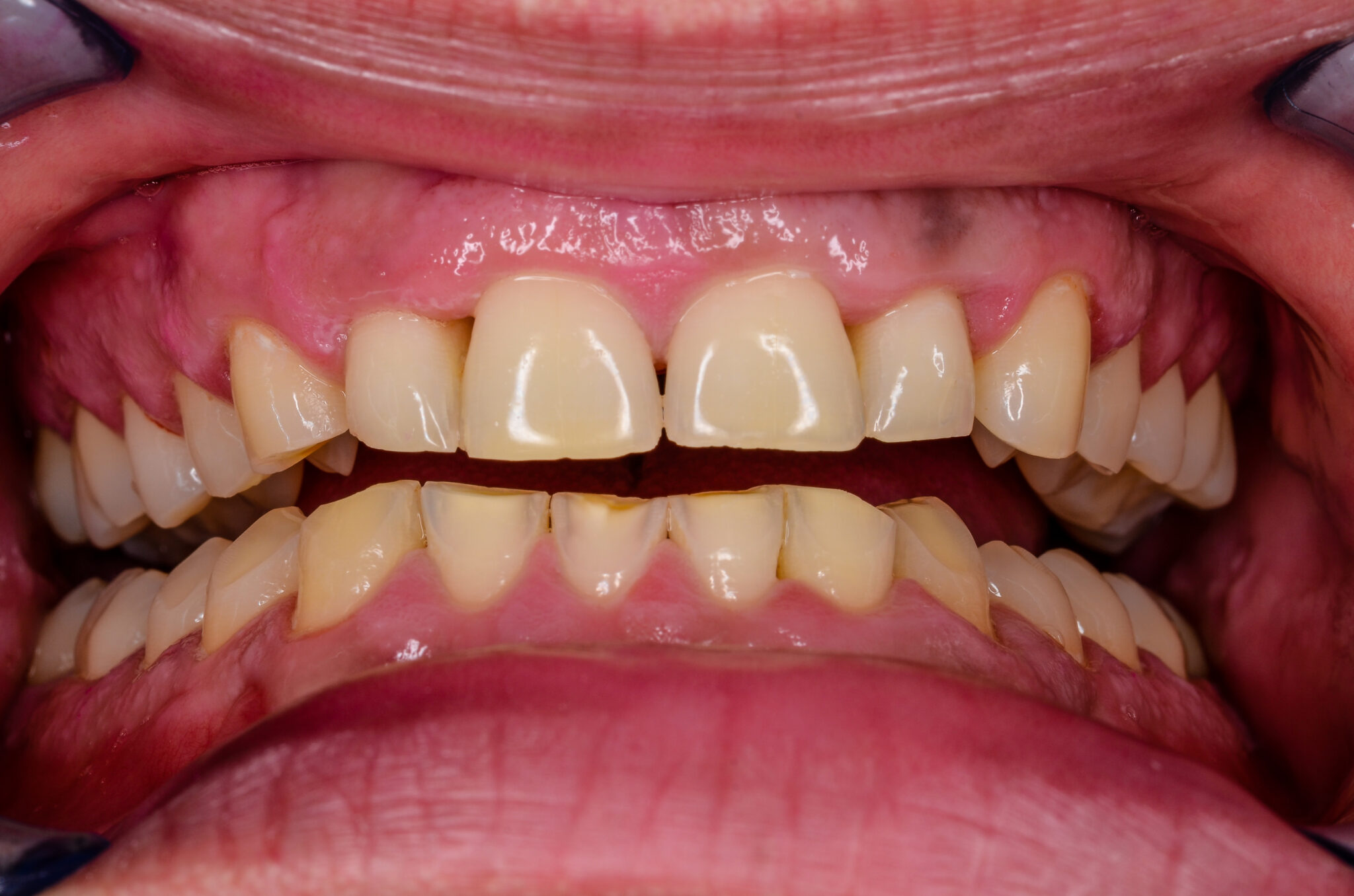
Why Do We Grind Teeth At Night . Bruxism is when you clench, grind or gnash your teeth, often due to stress, anxiety, sleep disorders or medications. Bruxism is the habit of grinding or clenching your teeth, often unconsciously. Dentists explain the major bruxism symptoms to know and when to seek treatment. Learn about the symptoms, consequences, and treatment. Learn about the types, causes, effects, and treatments. Bruxism can affect both children and adults. Grinding your teeth at night can cause worn teeth, facial pain, and headaches. Bruxism is the clenching, grinding, or gnashing of teeth, either awake or asleep. Find out how stress, bite problems, sleep. It can be caused by stress, personality, family history, medications, or neurological conditions. Learn about the causes and prevention of teeth grinding in sleep, also known as bruxism. Sleep bruxism is involuntary teeth grinding during sleep, which can be caused by stress, genetics, or other factors.
from www.youtube.com
Learn about the symptoms, consequences, and treatment. Find out how stress, bite problems, sleep. Bruxism is when you clench, grind or gnash your teeth, often due to stress, anxiety, sleep disorders or medications. Dentists explain the major bruxism symptoms to know and when to seek treatment. Learn about the causes and prevention of teeth grinding in sleep, also known as bruxism. Grinding your teeth at night can cause worn teeth, facial pain, and headaches. Sleep bruxism is involuntary teeth grinding during sleep, which can be caused by stress, genetics, or other factors. Learn about the types, causes, effects, and treatments. Bruxism can affect both children and adults. It can be caused by stress, personality, family history, medications, or neurological conditions.
How To Know If You Grind Your Teeth At Night YouTube
Why Do We Grind Teeth At Night Dentists explain the major bruxism symptoms to know and when to seek treatment. Find out how stress, bite problems, sleep. It can be caused by stress, personality, family history, medications, or neurological conditions. Bruxism can affect both children and adults. Sleep bruxism is involuntary teeth grinding during sleep, which can be caused by stress, genetics, or other factors. Bruxism is the habit of grinding or clenching your teeth, often unconsciously. Grinding your teeth at night can cause worn teeth, facial pain, and headaches. Learn about the types, causes, effects, and treatments. Dentists explain the major bruxism symptoms to know and when to seek treatment. Bruxism is when you clench, grind or gnash your teeth, often due to stress, anxiety, sleep disorders or medications. Learn about the symptoms, consequences, and treatment. Bruxism is the clenching, grinding, or gnashing of teeth, either awake or asleep. Learn about the causes and prevention of teeth grinding in sleep, also known as bruxism.
From fyouusdzh.blob.core.windows.net
What Are The Signs Of Teeth Grinding at Rita Wells blog Why Do We Grind Teeth At Night Learn about the causes and prevention of teeth grinding in sleep, also known as bruxism. Bruxism is when you clench, grind or gnash your teeth, often due to stress, anxiety, sleep disorders or medications. Bruxism is the habit of grinding or clenching your teeth, often unconsciously. Find out how stress, bite problems, sleep. Sleep bruxism is involuntary teeth grinding during. Why Do We Grind Teeth At Night.
From tagvault.org
Why Do I Grind My Teeth At Night? (Bruxism) Why Do We Grind Teeth At Night It can be caused by stress, personality, family history, medications, or neurological conditions. Bruxism can affect both children and adults. Bruxism is the habit of grinding or clenching your teeth, often unconsciously. Learn about the symptoms, consequences, and treatment. Dentists explain the major bruxism symptoms to know and when to seek treatment. Learn about the causes and prevention of teeth. Why Do We Grind Teeth At Night.
From www.powerofpositivity.com
Dentists Reveal 5 Signs You Are Grinding Teeth at Night (And How to Fix It) Why Do We Grind Teeth At Night Find out how stress, bite problems, sleep. Bruxism can affect both children and adults. Learn about the symptoms, consequences, and treatment. Grinding your teeth at night can cause worn teeth, facial pain, and headaches. Bruxism is the clenching, grinding, or gnashing of teeth, either awake or asleep. Sleep bruxism is involuntary teeth grinding during sleep, which can be caused by. Why Do We Grind Teeth At Night.
From springhursthillsdentistry.com
Why Some People Grind Their Teeth at Night Louisville Dentist Why Do We Grind Teeth At Night Learn about the types, causes, effects, and treatments. Bruxism can affect both children and adults. Learn about the symptoms, consequences, and treatment. Learn about the causes and prevention of teeth grinding in sleep, also known as bruxism. Bruxism is the habit of grinding or clenching your teeth, often unconsciously. Find out how stress, bite problems, sleep. Sleep bruxism is involuntary. Why Do We Grind Teeth At Night.
From www.wikihow.com
How to Stop Grinding Teeth at Night 14 Steps (with Pictures) Why Do We Grind Teeth At Night Find out how stress, bite problems, sleep. Bruxism is when you clench, grind or gnash your teeth, often due to stress, anxiety, sleep disorders or medications. Grinding your teeth at night can cause worn teeth, facial pain, and headaches. Bruxism can affect both children and adults. Bruxism is the habit of grinding or clenching your teeth, often unconsciously. Learn about. Why Do We Grind Teeth At Night.
From www.livescience.com
Why do we grind our teeth? Live Science Why Do We Grind Teeth At Night Find out how stress, bite problems, sleep. It can be caused by stress, personality, family history, medications, or neurological conditions. Sleep bruxism is involuntary teeth grinding during sleep, which can be caused by stress, genetics, or other factors. Learn about the symptoms, consequences, and treatment. Bruxism is when you clench, grind or gnash your teeth, often due to stress, anxiety,. Why Do We Grind Teeth At Night.
From www.micoope.com.gt
Why Do Kids Grind Their Teeth At Night? Sleep Foundation, 59 OFF Why Do We Grind Teeth At Night It can be caused by stress, personality, family history, medications, or neurological conditions. Bruxism can affect both children and adults. Bruxism is when you clench, grind or gnash your teeth, often due to stress, anxiety, sleep disorders or medications. Learn about the symptoms, consequences, and treatment. Learn about the types, causes, effects, and treatments. Learn about the causes and prevention. Why Do We Grind Teeth At Night.
From www.youtube.com
Why do we grind our teeth? Thomas Nguyen YouTube Why Do We Grind Teeth At Night Learn about the types, causes, effects, and treatments. Sleep bruxism is involuntary teeth grinding during sleep, which can be caused by stress, genetics, or other factors. Bruxism is the clenching, grinding, or gnashing of teeth, either awake or asleep. Dentists explain the major bruxism symptoms to know and when to seek treatment. Grinding your teeth at night can cause worn. Why Do We Grind Teeth At Night.
From salembraces.com
Why Do Kids Grind Their Teeth at Night? Why Do We Grind Teeth At Night Grinding your teeth at night can cause worn teeth, facial pain, and headaches. Dentists explain the major bruxism symptoms to know and when to seek treatment. Sleep bruxism is involuntary teeth grinding during sleep, which can be caused by stress, genetics, or other factors. Learn about the types, causes, effects, and treatments. It can be caused by stress, personality, family. Why Do We Grind Teeth At Night.
From www.youtube.com
Why Do We Grind Our Teeth At Night? YouTube Why Do We Grind Teeth At Night Learn about the types, causes, effects, and treatments. Bruxism is the clenching, grinding, or gnashing of teeth, either awake or asleep. It can be caused by stress, personality, family history, medications, or neurological conditions. Learn about the symptoms, consequences, and treatment. Dentists explain the major bruxism symptoms to know and when to seek treatment. Sleep bruxism is involuntary teeth grinding. Why Do We Grind Teeth At Night.
From www.youtube.com
How To Know If You Grind Your Teeth At Night YouTube Why Do We Grind Teeth At Night Bruxism is when you clench, grind or gnash your teeth, often due to stress, anxiety, sleep disorders or medications. Bruxism is the habit of grinding or clenching your teeth, often unconsciously. Dentists explain the major bruxism symptoms to know and when to seek treatment. Grinding your teeth at night can cause worn teeth, facial pain, and headaches. Bruxism is the. Why Do We Grind Teeth At Night.
From www.breakinglatest.news
Why do you grind your teeth at night? How to prevent bruxism and how to Why Do We Grind Teeth At Night Learn about the types, causes, effects, and treatments. Grinding your teeth at night can cause worn teeth, facial pain, and headaches. Find out how stress, bite problems, sleep. Bruxism can affect both children and adults. Learn about the causes and prevention of teeth grinding in sleep, also known as bruxism. Sleep bruxism is involuntary teeth grinding during sleep, which can. Why Do We Grind Teeth At Night.
From teethattiongbahru.com
Teeth Grinding in Children Bruxism Treatment Singapore TEETH Why Do We Grind Teeth At Night Sleep bruxism is involuntary teeth grinding during sleep, which can be caused by stress, genetics, or other factors. Learn about the types, causes, effects, and treatments. Bruxism is the clenching, grinding, or gnashing of teeth, either awake or asleep. Bruxism is when you clench, grind or gnash your teeth, often due to stress, anxiety, sleep disorders or medications. Find out. Why Do We Grind Teeth At Night.
From lambtonfamilydental.com
The Nightly Grind Teeth Grinding Causes, Risks, Cures for Bruxism Why Do We Grind Teeth At Night It can be caused by stress, personality, family history, medications, or neurological conditions. Bruxism is the clenching, grinding, or gnashing of teeth, either awake or asleep. Bruxism is when you clench, grind or gnash your teeth, often due to stress, anxiety, sleep disorders or medications. Learn about the causes and prevention of teeth grinding in sleep, also known as bruxism.. Why Do We Grind Teeth At Night.
From govparkdental.com
Do You Grind Your Teeth At Night? Governor’s Park Dental Group Why Do We Grind Teeth At Night Dentists explain the major bruxism symptoms to know and when to seek treatment. Find out how stress, bite problems, sleep. Bruxism can affect both children and adults. Learn about the symptoms, consequences, and treatment. Grinding your teeth at night can cause worn teeth, facial pain, and headaches. Bruxism is the habit of grinding or clenching your teeth, often unconsciously. Learn. Why Do We Grind Teeth At Night.
From www.wikihow.com
How to Stop Grinding Teeth at Night 14 Steps (with Pictures) Why Do We Grind Teeth At Night Grinding your teeth at night can cause worn teeth, facial pain, and headaches. Learn about the symptoms, consequences, and treatment. Learn about the causes and prevention of teeth grinding in sleep, also known as bruxism. Bruxism is when you clench, grind or gnash your teeth, often due to stress, anxiety, sleep disorders or medications. Learn about the types, causes, effects,. Why Do We Grind Teeth At Night.
From buybeststroller.com
Why Do Babies Grind Their Teeth At Night? 12 Tips To Prevent It Why Do We Grind Teeth At Night Learn about the symptoms, consequences, and treatment. Find out how stress, bite problems, sleep. Grinding your teeth at night can cause worn teeth, facial pain, and headaches. Bruxism is the habit of grinding or clenching your teeth, often unconsciously. Learn about the types, causes, effects, and treatments. Bruxism can affect both children and adults. Dentists explain the major bruxism symptoms. Why Do We Grind Teeth At Night.
From www.sleepfoundation.org
Why Do Kids Grind Their Teeth at Night? Sleep Foundation Why Do We Grind Teeth At Night Dentists explain the major bruxism symptoms to know and when to seek treatment. Learn about the types, causes, effects, and treatments. Bruxism can affect both children and adults. Sleep bruxism is involuntary teeth grinding during sleep, which can be caused by stress, genetics, or other factors. Bruxism is the habit of grinding or clenching your teeth, often unconsciously. Learn about. Why Do We Grind Teeth At Night.
From www.slideserve.com
PPT Signs You Grind Your Teeth at Night PowerPoint Presentation, free Why Do We Grind Teeth At Night Learn about the types, causes, effects, and treatments. Dentists explain the major bruxism symptoms to know and when to seek treatment. Sleep bruxism is involuntary teeth grinding during sleep, which can be caused by stress, genetics, or other factors. Find out how stress, bite problems, sleep. Bruxism is the habit of grinding or clenching your teeth, often unconsciously. Learn about. Why Do We Grind Teeth At Night.
From ca.pinterest.com
Why Do We Grind Our Teeth? in 2024 Bruxism, Grinding teeth, Natural Why Do We Grind Teeth At Night Learn about the symptoms, consequences, and treatment. Bruxism is the clenching, grinding, or gnashing of teeth, either awake or asleep. Sleep bruxism is involuntary teeth grinding during sleep, which can be caused by stress, genetics, or other factors. Learn about the types, causes, effects, and treatments. It can be caused by stress, personality, family history, medications, or neurological conditions. Find. Why Do We Grind Teeth At Night.
From www.thames-dental.co.uk
Do You Grind Your Teeth at Night? Thames Street Dental (Kingston) Why Do We Grind Teeth At Night Learn about the types, causes, effects, and treatments. Learn about the causes and prevention of teeth grinding in sleep, also known as bruxism. Learn about the symptoms, consequences, and treatment. Bruxism is the habit of grinding or clenching your teeth, often unconsciously. Bruxism is when you clench, grind or gnash your teeth, often due to stress, anxiety, sleep disorders or. Why Do We Grind Teeth At Night.
From www.drlufidrleah.com
FACT SHEET TEETH GRINDING/BRUXISM Why Do We Grind Teeth At Night Bruxism is the habit of grinding or clenching your teeth, often unconsciously. Learn about the causes and prevention of teeth grinding in sleep, also known as bruxism. Bruxism can affect both children and adults. It can be caused by stress, personality, family history, medications, or neurological conditions. Dentists explain the major bruxism symptoms to know and when to seek treatment.. Why Do We Grind Teeth At Night.
From www.youtube.com
How to know if you are Grinding your Teeth at Night Dentist answers Why Do We Grind Teeth At Night Learn about the types, causes, effects, and treatments. Dentists explain the major bruxism symptoms to know and when to seek treatment. Learn about the causes and prevention of teeth grinding in sleep, also known as bruxism. Grinding your teeth at night can cause worn teeth, facial pain, and headaches. It can be caused by stress, personality, family history, medications, or. Why Do We Grind Teeth At Night.
From www.sleepfoundation.org
Bruxism Teeth Grinding at Night Why Do We Grind Teeth At Night Learn about the causes and prevention of teeth grinding in sleep, also known as bruxism. Dentists explain the major bruxism symptoms to know and when to seek treatment. It can be caused by stress, personality, family history, medications, or neurological conditions. Learn about the types, causes, effects, and treatments. Learn about the symptoms, consequences, and treatment. Find out how stress,. Why Do We Grind Teeth At Night.
From raisingveggielovers.com
Why Toddlers Grind Their Teeth at Night and What You Can Do About It Why Do We Grind Teeth At Night Bruxism is when you clench, grind or gnash your teeth, often due to stress, anxiety, sleep disorders or medications. It can be caused by stress, personality, family history, medications, or neurological conditions. Sleep bruxism is involuntary teeth grinding during sleep, which can be caused by stress, genetics, or other factors. Dentists explain the major bruxism symptoms to know and when. Why Do We Grind Teeth At Night.
From sentinelmouthguards.com
5 Reasons We Grind Our Teeth at Night Sentinel Mouthguards® Why Do We Grind Teeth At Night Bruxism is the clenching, grinding, or gnashing of teeth, either awake or asleep. It can be caused by stress, personality, family history, medications, or neurological conditions. Learn about the types, causes, effects, and treatments. Grinding your teeth at night can cause worn teeth, facial pain, and headaches. Dentists explain the major bruxism symptoms to know and when to seek treatment.. Why Do We Grind Teeth At Night.
From lafayettedentistchauvin.com
Why do I grind my teeth at night? Dr. Chauvin Lafayette, LA Why Do We Grind Teeth At Night Bruxism can affect both children and adults. It can be caused by stress, personality, family history, medications, or neurological conditions. Find out how stress, bite problems, sleep. Learn about the causes and prevention of teeth grinding in sleep, also known as bruxism. Learn about the symptoms, consequences, and treatment. Bruxism is when you clench, grind or gnash your teeth, often. Why Do We Grind Teeth At Night.
From www.youtube.com
Why do I grind my teeth in the night? Dr. Raju Srinivas YouTube Why Do We Grind Teeth At Night Sleep bruxism is involuntary teeth grinding during sleep, which can be caused by stress, genetics, or other factors. Grinding your teeth at night can cause worn teeth, facial pain, and headaches. Bruxism can affect both children and adults. Bruxism is when you clench, grind or gnash your teeth, often due to stress, anxiety, sleep disorders or medications. It can be. Why Do We Grind Teeth At Night.
From www.cdhp.org
Why Do Kids Grind Their Teeth At Night? (A Comprehensive Guide) Why Do We Grind Teeth At Night Find out how stress, bite problems, sleep. Learn about the symptoms, consequences, and treatment. Dentists explain the major bruxism symptoms to know and when to seek treatment. It can be caused by stress, personality, family history, medications, or neurological conditions. Sleep bruxism is involuntary teeth grinding during sleep, which can be caused by stress, genetics, or other factors. Grinding your. Why Do We Grind Teeth At Night.
From conroedentistry.com
Do You Grind Your Teeth At Night? Conroe, TX Why Do We Grind Teeth At Night Bruxism is the clenching, grinding, or gnashing of teeth, either awake or asleep. Grinding your teeth at night can cause worn teeth, facial pain, and headaches. Sleep bruxism is involuntary teeth grinding during sleep, which can be caused by stress, genetics, or other factors. Dentists explain the major bruxism symptoms to know and when to seek treatment. Learn about the. Why Do We Grind Teeth At Night.
From www.youtube.com
4 Natural Ways to Stop Teeth Grinding at Night YouTube Why Do We Grind Teeth At Night Bruxism can affect both children and adults. Learn about the causes and prevention of teeth grinding in sleep, also known as bruxism. Sleep bruxism is involuntary teeth grinding during sleep, which can be caused by stress, genetics, or other factors. Bruxism is when you clench, grind or gnash your teeth, often due to stress, anxiety, sleep disorders or medications. Dentists. Why Do We Grind Teeth At Night.
From www.dentalimplantcostguide.com
How to Stop Grinding Your Teeth (Bruxism) at Night Why Do We Grind Teeth At Night Learn about the types, causes, effects, and treatments. Bruxism is the habit of grinding or clenching your teeth, often unconsciously. Find out how stress, bite problems, sleep. Bruxism is when you clench, grind or gnash your teeth, often due to stress, anxiety, sleep disorders or medications. Grinding your teeth at night can cause worn teeth, facial pain, and headaches. It. Why Do We Grind Teeth At Night.
From www.shdc.com.au
Teeth Grinding at Night and Taping Your Mouth Why Do We Grind Teeth At Night Sleep bruxism is involuntary teeth grinding during sleep, which can be caused by stress, genetics, or other factors. Bruxism is the habit of grinding or clenching your teeth, often unconsciously. Bruxism is when you clench, grind or gnash your teeth, often due to stress, anxiety, sleep disorders or medications. Learn about the types, causes, effects, and treatments. Bruxism is the. Why Do We Grind Teeth At Night.
From orthodonticsaustralia.org.au
Orthodontics Australia Everything you need to know about night guards Why Do We Grind Teeth At Night Learn about the symptoms, consequences, and treatment. Find out how stress, bite problems, sleep. Bruxism is the habit of grinding or clenching your teeth, often unconsciously. Learn about the types, causes, effects, and treatments. It can be caused by stress, personality, family history, medications, or neurological conditions. Learn about the causes and prevention of teeth grinding in sleep, also known. Why Do We Grind Teeth At Night.
From teethposter.blogspot.com
Tooth Pain From Grinding Teeth At Night Teeth Poster Why Do We Grind Teeth At Night It can be caused by stress, personality, family history, medications, or neurological conditions. Bruxism is the clenching, grinding, or gnashing of teeth, either awake or asleep. Learn about the symptoms, consequences, and treatment. Bruxism is the habit of grinding or clenching your teeth, often unconsciously. Learn about the causes and prevention of teeth grinding in sleep, also known as bruxism.. Why Do We Grind Teeth At Night.