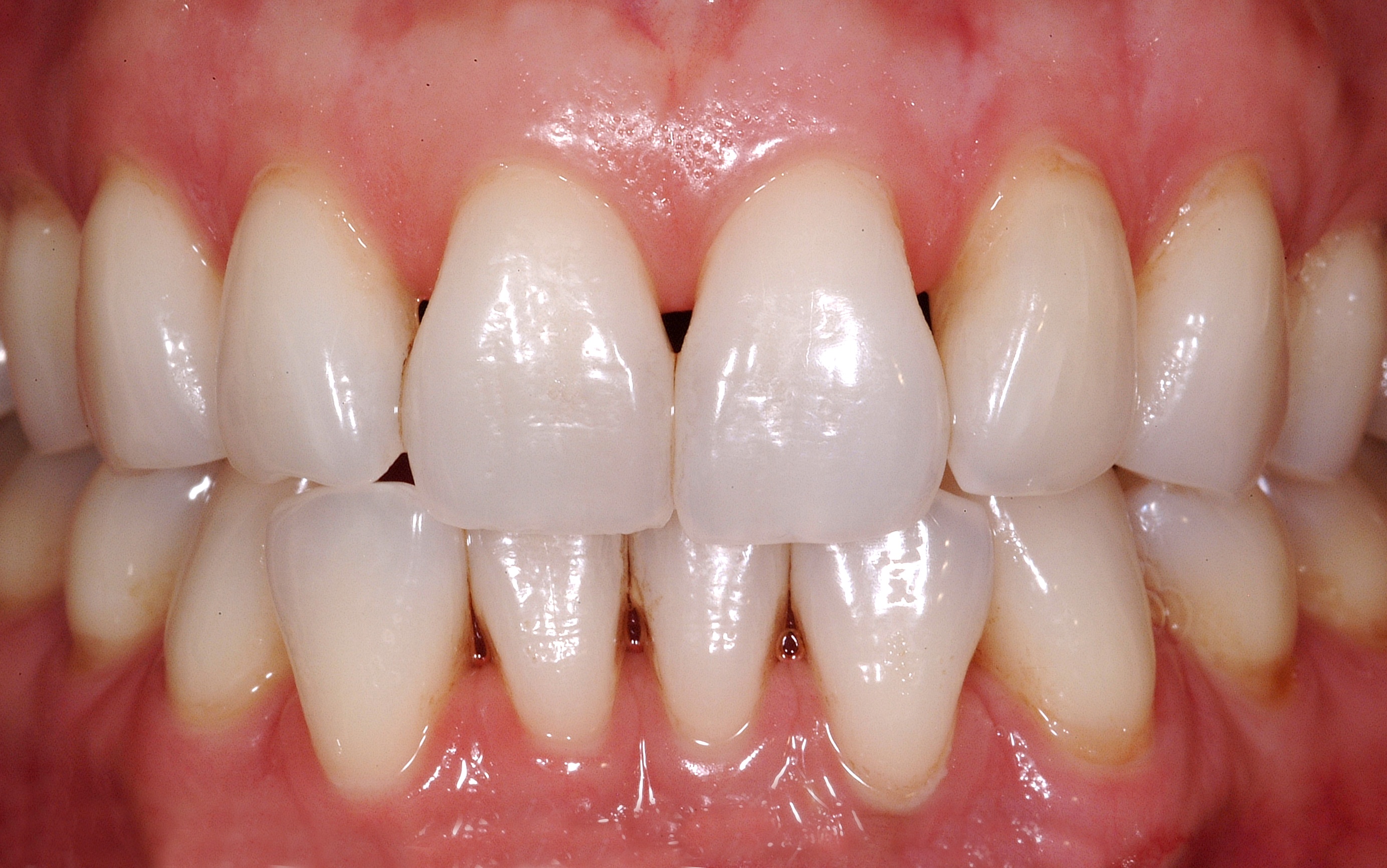
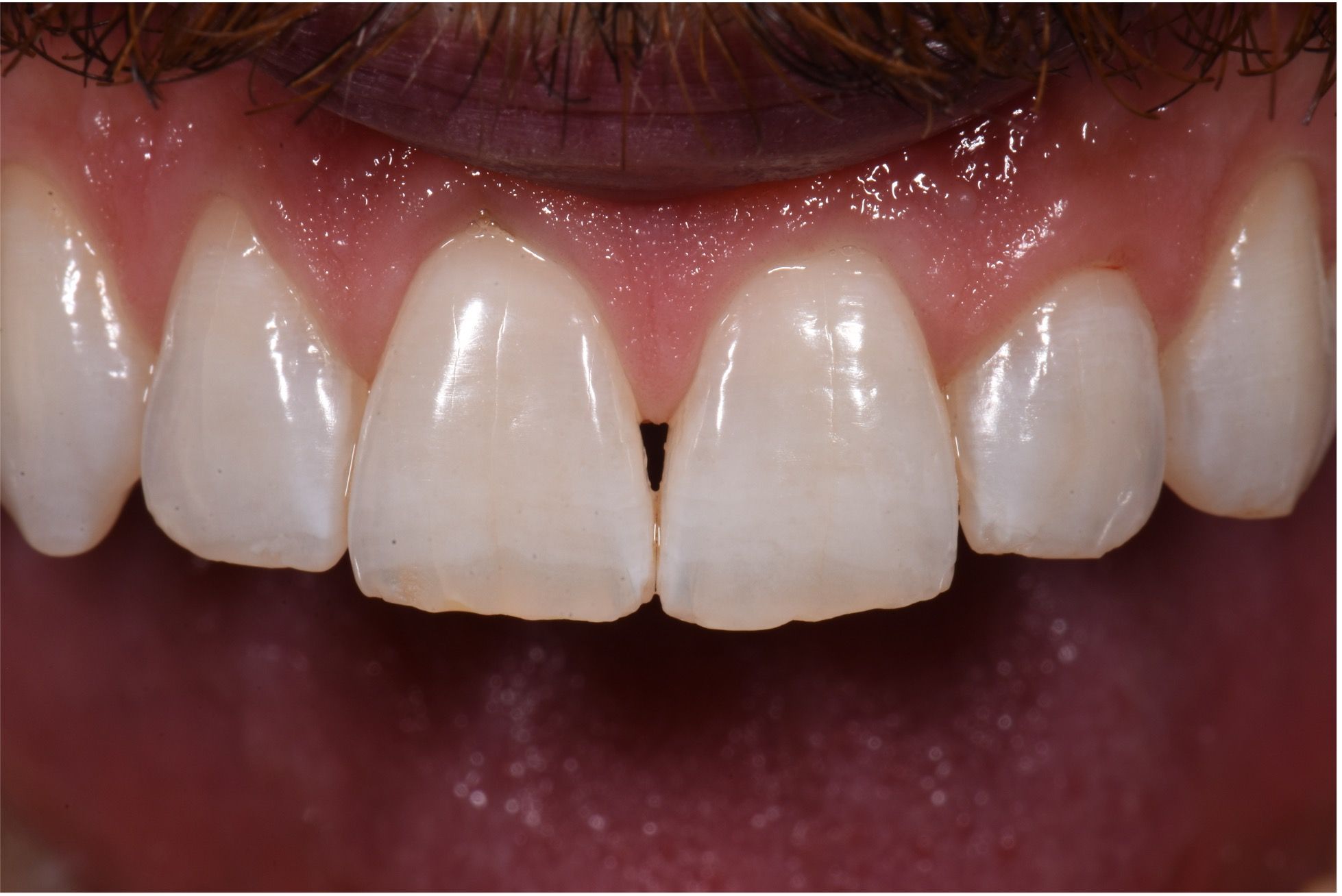
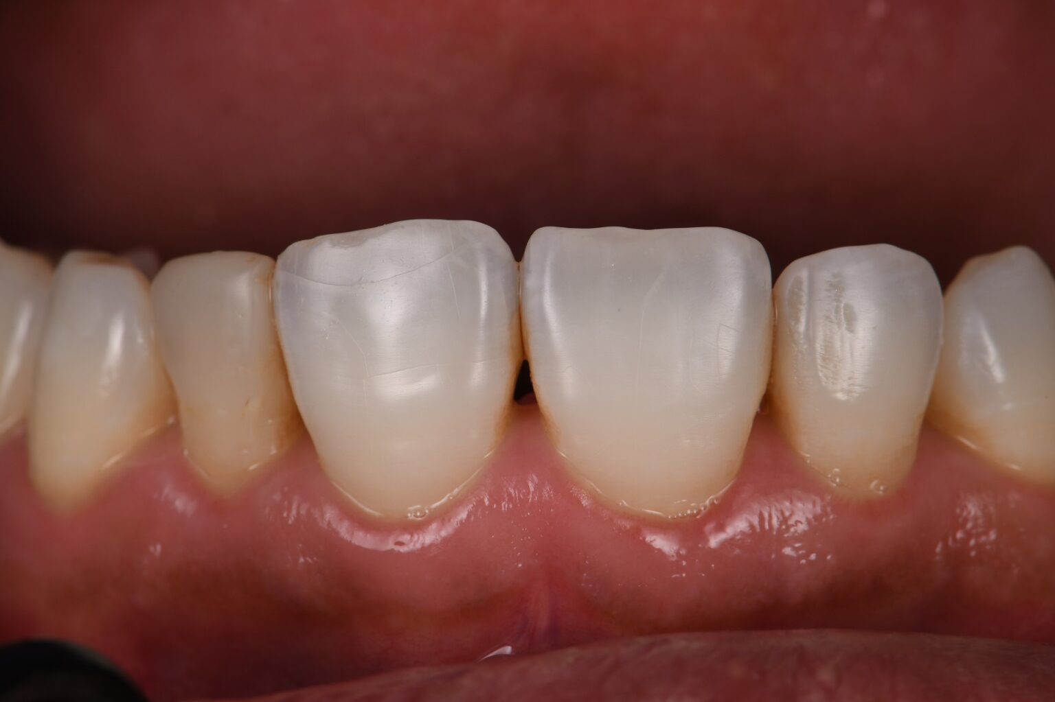
Composite Resin For Black Triangles . Bioclear is pleased to introduce the black triangle system, a new matrix system that enables black triangle closure up to 40% faster* than with the. When a patient has black triangles, dr. The 26 participants were divided into two groups where: Fong to change the shape of a. Group (a) represents individuals with a black triangle that was. Bioclear systems typically involve heating both paste resin composite and flowable resin composite to 155 degrees, which makes it more flowable. In this blog post, we will guide you through what causes black triangles and how bioclear clear matrix composite resin can effectively help fill. Jihyon kim, dds, and david j. Clark, dds, demonstrate a matrix and overmolding technique utilizing thermal liquefaction of. Fong fixes the gaps using bioclear.
from www.mdpi.com
When a patient has black triangles, dr. Clark, dds, demonstrate a matrix and overmolding technique utilizing thermal liquefaction of. Fong fixes the gaps using bioclear. Bioclear systems typically involve heating both paste resin composite and flowable resin composite to 155 degrees, which makes it more flowable. Fong to change the shape of a. In this blog post, we will guide you through what causes black triangles and how bioclear clear matrix composite resin can effectively help fill. Bioclear is pleased to introduce the black triangle system, a new matrix system that enables black triangle closure up to 40% faster* than with the. The 26 participants were divided into two groups where: Group (a) represents individuals with a black triangle that was. Jihyon kim, dds, and david j.
Dentistry Journal Free FullText Resin Composites in Posterior
Composite Resin For Black Triangles Bioclear is pleased to introduce the black triangle system, a new matrix system that enables black triangle closure up to 40% faster* than with the. Bioclear is pleased to introduce the black triangle system, a new matrix system that enables black triangle closure up to 40% faster* than with the. Clark, dds, demonstrate a matrix and overmolding technique utilizing thermal liquefaction of. When a patient has black triangles, dr. Fong fixes the gaps using bioclear. Fong to change the shape of a. Bioclear systems typically involve heating both paste resin composite and flowable resin composite to 155 degrees, which makes it more flowable. Group (a) represents individuals with a black triangle that was. In this blog post, we will guide you through what causes black triangles and how bioclear clear matrix composite resin can effectively help fill. Jihyon kim, dds, and david j. The 26 participants were divided into two groups where:
From www.mdpi.com
Dentistry Journal Free FullText Resin Composites in Posterior Composite Resin For Black Triangles Jihyon kim, dds, and david j. Bioclear systems typically involve heating both paste resin composite and flowable resin composite to 155 degrees, which makes it more flowable. Fong to change the shape of a. In this blog post, we will guide you through what causes black triangles and how bioclear clear matrix composite resin can effectively help fill. The 26. Composite Resin For Black Triangles.
From www.belladental.com.au
Can black triangles between teeth be fixed? Bella Dental Penrith Composite Resin For Black Triangles Fong fixes the gaps using bioclear. Jihyon kim, dds, and david j. Clark, dds, demonstrate a matrix and overmolding technique utilizing thermal liquefaction of. Bioclear is pleased to introduce the black triangle system, a new matrix system that enables black triangle closure up to 40% faster* than with the. Fong to change the shape of a. Group (a) represents individuals. Composite Resin For Black Triangles.
From www.tahadental.co.uk
Anterior Composite Bonding tahadental.co.uk Composite Resin For Black Triangles Group (a) represents individuals with a black triangle that was. Bioclear systems typically involve heating both paste resin composite and flowable resin composite to 155 degrees, which makes it more flowable. Fong to change the shape of a. When a patient has black triangles, dr. Clark, dds, demonstrate a matrix and overmolding technique utilizing thermal liquefaction of. Bioclear is pleased. Composite Resin For Black Triangles.
From kumraortho.com
What Should I Do If I Have Black Triangles After Invisalign? Kumra Composite Resin For Black Triangles Jihyon kim, dds, and david j. In this blog post, we will guide you through what causes black triangles and how bioclear clear matrix composite resin can effectively help fill. Group (a) represents individuals with a black triangle that was. Bioclear systems typically involve heating both paste resin composite and flowable resin composite to 155 degrees, which makes it more. Composite Resin For Black Triangles.
From blog.optident.co.uk
How Bioclear Empowers Dentists To Treat Black Triangles Optident Composite Resin For Black Triangles When a patient has black triangles, dr. Jihyon kim, dds, and david j. Clark, dds, demonstrate a matrix and overmolding technique utilizing thermal liquefaction of. Bioclear is pleased to introduce the black triangle system, a new matrix system that enables black triangle closure up to 40% faster* than with the. In this blog post, we will guide you through what. Composite Resin For Black Triangles.
From www.youtube.com
Bonding closing the black triangle 🦷 YouTube Composite Resin For Black Triangles Fong to change the shape of a. Bioclear systems typically involve heating both paste resin composite and flowable resin composite to 155 degrees, which makes it more flowable. Jihyon kim, dds, and david j. The 26 participants were divided into two groups where: Fong fixes the gaps using bioclear. In this blog post, we will guide you through what causes. Composite Resin For Black Triangles.
From blog.optident.co.uk
How Bioclear Empowers Dentists To Treat Black Triangles Optident Composite Resin For Black Triangles When a patient has black triangles, dr. Fong to change the shape of a. Bioclear is pleased to introduce the black triangle system, a new matrix system that enables black triangle closure up to 40% faster* than with the. Group (a) represents individuals with a black triangle that was. Jihyon kim, dds, and david j. Fong fixes the gaps using. Composite Resin For Black Triangles.
From optident.co.uk
Closing the Gap in Direct Dentistry Treating Black Triangles Optident Composite Resin For Black Triangles When a patient has black triangles, dr. Clark, dds, demonstrate a matrix and overmolding technique utilizing thermal liquefaction of. Fong fixes the gaps using bioclear. In this blog post, we will guide you through what causes black triangles and how bioclear clear matrix composite resin can effectively help fill. Jihyon kim, dds, and david j. Bioclear is pleased to introduce. Composite Resin For Black Triangles.
From wildcardextracts.ca
Black Triangle Cured Resin Wildcard Extracts Composite Resin For Black Triangles Fong to change the shape of a. Bioclear is pleased to introduce the black triangle system, a new matrix system that enables black triangle closure up to 40% faster* than with the. Group (a) represents individuals with a black triangle that was. The 26 participants were divided into two groups where: In this blog post, we will guide you through. Composite Resin For Black Triangles.
From www.eshomdds.com
Bioclear Uveneer Black Triangle Correction David Eshom DDS, Dental Composite Resin For Black Triangles Bioclear systems typically involve heating both paste resin composite and flowable resin composite to 155 degrees, which makes it more flowable. Clark, dds, demonstrate a matrix and overmolding technique utilizing thermal liquefaction of. Jihyon kim, dds, and david j. Fong to change the shape of a. Fong fixes the gaps using bioclear. The 26 participants were divided into two groups. Composite Resin For Black Triangles.
From www.dentalproductsreport.com
How To Use This Easy Technique For Closing Small Black Triangles Composite Resin For Black Triangles In this blog post, we will guide you through what causes black triangles and how bioclear clear matrix composite resin can effectively help fill. Bioclear is pleased to introduce the black triangle system, a new matrix system that enables black triangle closure up to 40% faster* than with the. When a patient has black triangles, dr. Fong to change the. Composite Resin For Black Triangles.
From www.clarencetam.co.nz
Closing Black Triangles in the Esthetic Zone with Composite Composite Resin For Black Triangles Fong to change the shape of a. Fong fixes the gaps using bioclear. Clark, dds, demonstrate a matrix and overmolding technique utilizing thermal liquefaction of. Bioclear is pleased to introduce the black triangle system, a new matrix system that enables black triangle closure up to 40% faster* than with the. When a patient has black triangles, dr. Group (a) represents. Composite Resin For Black Triangles.
From www.clarencetam.co.nz
Closing Black Triangles in the Esthetic Zone with Composite Composite Resin For Black Triangles Bioclear is pleased to introduce the black triangle system, a new matrix system that enables black triangle closure up to 40% faster* than with the. The 26 participants were divided into two groups where: When a patient has black triangles, dr. Jihyon kim, dds, and david j. Bioclear systems typically involve heating both paste resin composite and flowable resin composite. Composite Resin For Black Triangles.
From dentaleducationhub.com.au
Unsightly Black Triangles, a Tricky Restorative Procedure Made Easy Composite Resin For Black Triangles Clark, dds, demonstrate a matrix and overmolding technique utilizing thermal liquefaction of. Bioclear systems typically involve heating both paste resin composite and flowable resin composite to 155 degrees, which makes it more flowable. Fong fixes the gaps using bioclear. When a patient has black triangles, dr. In this blog post, we will guide you through what causes black triangles and. Composite Resin For Black Triangles.
From www.researchgate.net
The classification of resin composites. [Color figure can be viewed at Composite Resin For Black Triangles Clark, dds, demonstrate a matrix and overmolding technique utilizing thermal liquefaction of. In this blog post, we will guide you through what causes black triangles and how bioclear clear matrix composite resin can effectively help fill. Bioclear systems typically involve heating both paste resin composite and flowable resin composite to 155 degrees, which makes it more flowable. When a patient. Composite Resin For Black Triangles.
From www.youtube.com
Black Triangle Closure with Composite cases!!! YouTube Composite Resin For Black Triangles When a patient has black triangles, dr. Group (a) represents individuals with a black triangle that was. Jihyon kim, dds, and david j. Fong fixes the gaps using bioclear. The 26 participants were divided into two groups where: In this blog post, we will guide you through what causes black triangles and how bioclear clear matrix composite resin can effectively. Composite Resin For Black Triangles.
From dentalavenueindia.com
Bioclear Black Triangle Matrices Refill PacksMatrices for Anterior Composite Resin For Black Triangles Jihyon kim, dds, and david j. In this blog post, we will guide you through what causes black triangles and how bioclear clear matrix composite resin can effectively help fill. Fong to change the shape of a. Clark, dds, demonstrate a matrix and overmolding technique utilizing thermal liquefaction of. The 26 participants were divided into two groups where: Bioclear systems. Composite Resin For Black Triangles.
From www.youtube.com
Bioclear Matrix & 3M Oral Care Bioclear's New Black Triangle Matrix Composite Resin For Black Triangles Bioclear systems typically involve heating both paste resin composite and flowable resin composite to 155 degrees, which makes it more flowable. In this blog post, we will guide you through what causes black triangles and how bioclear clear matrix composite resin can effectively help fill. Clark, dds, demonstrate a matrix and overmolding technique utilizing thermal liquefaction of. The 26 participants. Composite Resin For Black Triangles.
From lakeforestdentalarts.com
Lake Forest Dentist Treats Black Dental Triangles Composite Resin For Black Triangles In this blog post, we will guide you through what causes black triangles and how bioclear clear matrix composite resin can effectively help fill. Bioclear is pleased to introduce the black triangle system, a new matrix system that enables black triangle closure up to 40% faster* than with the. Fong to change the shape of a. Bioclear systems typically involve. Composite Resin For Black Triangles.
From www.carlknoxdds.com
Close Black Triangles with Composite Resin Before & After Photos Composite Resin For Black Triangles Bioclear systems typically involve heating both paste resin composite and flowable resin composite to 155 degrees, which makes it more flowable. Jihyon kim, dds, and david j. The 26 participants were divided into two groups where: In this blog post, we will guide you through what causes black triangles and how bioclear clear matrix composite resin can effectively help fill.. Composite Resin For Black Triangles.
From www.youtube.com
Black Triangle Closure with composite YouTube Composite Resin For Black Triangles When a patient has black triangles, dr. Fong fixes the gaps using bioclear. Jihyon kim, dds, and david j. The 26 participants were divided into two groups where: Bioclear systems typically involve heating both paste resin composite and flowable resin composite to 155 degrees, which makes it more flowable. Clark, dds, demonstrate a matrix and overmolding technique utilizing thermal liquefaction. Composite Resin For Black Triangles.
From www.smilecliniq.com
Revolutionary Bioclear Black Triangle Treatment Smile Cliniq Composite Resin For Black Triangles Fong fixes the gaps using bioclear. Fong to change the shape of a. Jihyon kim, dds, and david j. In this blog post, we will guide you through what causes black triangles and how bioclear clear matrix composite resin can effectively help fill. Bioclear is pleased to introduce the black triangle system, a new matrix system that enables black triangle. Composite Resin For Black Triangles.
From www.youtube.com
Restoring Black Triangles using Resin Composite YouTube Composite Resin For Black Triangles When a patient has black triangles, dr. Bioclear is pleased to introduce the black triangle system, a new matrix system that enables black triangle closure up to 40% faster* than with the. Fong fixes the gaps using bioclear. Fong to change the shape of a. In this blog post, we will guide you through what causes black triangles and how. Composite Resin For Black Triangles.
From www.harmonydentalwellness.com
BioClear to close gum line black triangles of space Before & After Composite Resin For Black Triangles Fong fixes the gaps using bioclear. When a patient has black triangles, dr. Clark, dds, demonstrate a matrix and overmolding technique utilizing thermal liquefaction of. Fong to change the shape of a. The 26 participants were divided into two groups where: In this blog post, we will guide you through what causes black triangles and how bioclear clear matrix composite. Composite Resin For Black Triangles.
From www.oceanavedentistry.com
Bioclear — Ocean Avenue Dentistry Composite Resin For Black Triangles The 26 participants were divided into two groups where: Jihyon kim, dds, and david j. Group (a) represents individuals with a black triangle that was. In this blog post, we will guide you through what causes black triangles and how bioclear clear matrix composite resin can effectively help fill. Clark, dds, demonstrate a matrix and overmolding technique utilizing thermal liquefaction. Composite Resin For Black Triangles.
From www.styleitaliano.org
The right composite in the right place Composite Resin For Black Triangles The 26 participants were divided into two groups where: In this blog post, we will guide you through what causes black triangles and how bioclear clear matrix composite resin can effectively help fill. Bioclear systems typically involve heating both paste resin composite and flowable resin composite to 155 degrees, which makes it more flowable. When a patient has black triangles,. Composite Resin For Black Triangles.
From doctorsaylor.com
New Treatment for Black Triangles between Teeth Saylor Dentistry Composite Resin For Black Triangles Jihyon kim, dds, and david j. Clark, dds, demonstrate a matrix and overmolding technique utilizing thermal liquefaction of. Fong fixes the gaps using bioclear. Bioclear is pleased to introduce the black triangle system, a new matrix system that enables black triangle closure up to 40% faster* than with the. When a patient has black triangles, dr. Bioclear systems typically involve. Composite Resin For Black Triangles.
From clinicalmastery.com
Aesthetic Solutions for Treating Black Triangles Avoiding the Smile Killer Composite Resin For Black Triangles Fong fixes the gaps using bioclear. When a patient has black triangles, dr. Bioclear is pleased to introduce the black triangle system, a new matrix system that enables black triangle closure up to 40% faster* than with the. Clark, dds, demonstrate a matrix and overmolding technique utilizing thermal liquefaction of. The 26 participants were divided into two groups where: In. Composite Resin For Black Triangles.
From blog.optident.co.uk
How Bioclear Empowers Dentists To Treat Black Triangles Optident Composite Resin For Black Triangles In this blog post, we will guide you through what causes black triangles and how bioclear clear matrix composite resin can effectively help fill. Bioclear systems typically involve heating both paste resin composite and flowable resin composite to 155 degrees, which makes it more flowable. The 26 participants were divided into two groups where: When a patient has black triangles,. Composite Resin For Black Triangles.
From orthoinsummary.com
Black triangles, who did it? Orthodontics in Summary Composite Resin For Black Triangles The 26 participants were divided into two groups where: Bioclear systems typically involve heating both paste resin composite and flowable resin composite to 155 degrees, which makes it more flowable. In this blog post, we will guide you through what causes black triangles and how bioclear clear matrix composite resin can effectively help fill. When a patient has black triangles,. Composite Resin For Black Triangles.
From www.youtube.com
Composite Resin Detailed Explanation YouTube Composite Resin For Black Triangles Fong fixes the gaps using bioclear. Clark, dds, demonstrate a matrix and overmolding technique utilizing thermal liquefaction of. In this blog post, we will guide you through what causes black triangles and how bioclear clear matrix composite resin can effectively help fill. Fong to change the shape of a. When a patient has black triangles, dr. Group (a) represents individuals. Composite Resin For Black Triangles.
From aesthetikadentalstudio.co.uk
What is Composite Dental Bonding? Aesthetika Dental Studio Composite Resin For Black Triangles Jihyon kim, dds, and david j. Bioclear systems typically involve heating both paste resin composite and flowable resin composite to 155 degrees, which makes it more flowable. Fong fixes the gaps using bioclear. Clark, dds, demonstrate a matrix and overmolding technique utilizing thermal liquefaction of. In this blog post, we will guide you through what causes black triangles and how. Composite Resin For Black Triangles.
From wildcardextracts.ca
Black Triangle Cured Resin Wildcard Extracts Composite Resin For Black Triangles Fong fixes the gaps using bioclear. Fong to change the shape of a. Group (a) represents individuals with a black triangle that was. Clark, dds, demonstrate a matrix and overmolding technique utilizing thermal liquefaction of. The 26 participants were divided into two groups where: Bioclear systems typically involve heating both paste resin composite and flowable resin composite to 155 degrees,. Composite Resin For Black Triangles.
From orangectdentist.com
Beat the Black Triangle with Bonding Dentist Orange, CT Composite Resin For Black Triangles Fong to change the shape of a. Clark, dds, demonstrate a matrix and overmolding technique utilizing thermal liquefaction of. Fong fixes the gaps using bioclear. Group (a) represents individuals with a black triangle that was. When a patient has black triangles, dr. In this blog post, we will guide you through what causes black triangles and how bioclear clear matrix. Composite Resin For Black Triangles.
From www.carlknoxdds.com
's Smile Gallery Close Black Triangles with Composite Resin Composite Resin For Black Triangles When a patient has black triangles, dr. The 26 participants were divided into two groups where: Clark, dds, demonstrate a matrix and overmolding technique utilizing thermal liquefaction of. Fong fixes the gaps using bioclear. In this blog post, we will guide you through what causes black triangles and how bioclear clear matrix composite resin can effectively help fill. Bioclear systems. Composite Resin For Black Triangles.