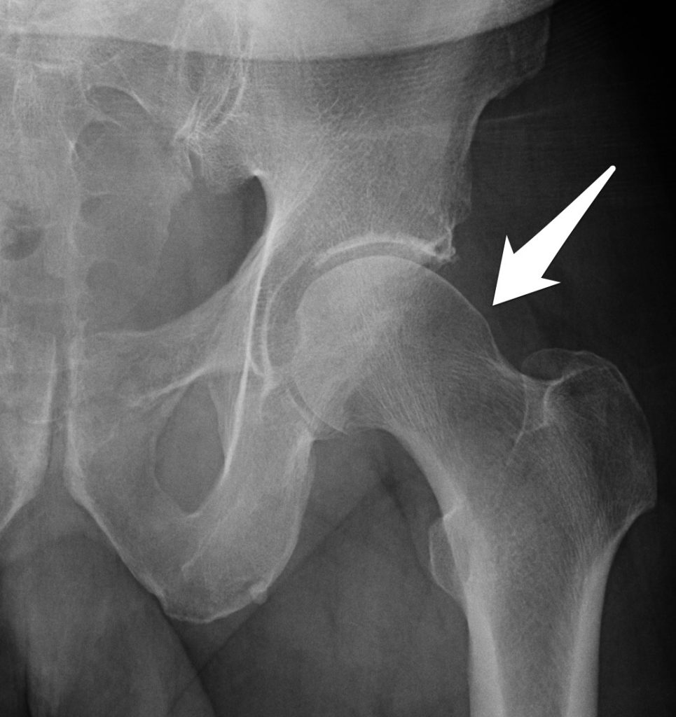
Cam Type Impingement Syndrome . There are three types of fai: In some cases, physical activity may cause. Occurs if femoral head/neck bone is too. Cam lesion, in which the head of the femur is not shaped properly. This type of impingement occurs because extra bone extends out over the normal rim of the acetabulum. femoroacetabular impingement (fai) is a chronic hip condition caused by femoral head and acetabular. Refers to femoral based disorder usually in young athletic males. This type results from a bony growth at the head of the femur. there are three types of fai:
from www.clinicalradiologyonline.net
there are three types of fai: This type of impingement occurs because extra bone extends out over the normal rim of the acetabulum. There are three types of fai: Refers to femoral based disorder usually in young athletic males. femoroacetabular impingement (fai) is a chronic hip condition caused by femoral head and acetabular. This type results from a bony growth at the head of the femur. Cam lesion, in which the head of the femur is not shaped properly. In some cases, physical activity may cause. Occurs if femoral head/neck bone is too.
MRI of impingement syndromes of the shoulder Clinical Radiology
Cam Type Impingement Syndrome there are three types of fai: Cam lesion, in which the head of the femur is not shaped properly. femoroacetabular impingement (fai) is a chronic hip condition caused by femoral head and acetabular. There are three types of fai: Refers to femoral based disorder usually in young athletic males. This type results from a bony growth at the head of the femur. This type of impingement occurs because extra bone extends out over the normal rim of the acetabulum. there are three types of fai: In some cases, physical activity may cause. Occurs if femoral head/neck bone is too.
From manhattansportsdoc.com
Cam Deformity Femoral Head Cam Lesion Hip Impingement (FAI Cam Type Impingement Syndrome there are three types of fai: In some cases, physical activity may cause. Cam lesion, in which the head of the femur is not shaped properly. There are three types of fai: femoroacetabular impingement (fai) is a chronic hip condition caused by femoral head and acetabular. Refers to femoral based disorder usually in young athletic males. This type. Cam Type Impingement Syndrome.
From www.animalia-life.club
Shoulder Impingement Diagnosis Cam Type Impingement Syndrome Occurs if femoral head/neck bone is too. This type results from a bony growth at the head of the femur. In some cases, physical activity may cause. This type of impingement occurs because extra bone extends out over the normal rim of the acetabulum. Cam lesion, in which the head of the femur is not shaped properly. Refers to femoral. Cam Type Impingement Syndrome.
From www.impingementhuefte.de
Was ist ein primäres CamImpingement? Impingement Hüfte Cam Type Impingement Syndrome there are three types of fai: Occurs if femoral head/neck bone is too. There are three types of fai: In some cases, physical activity may cause. femoroacetabular impingement (fai) is a chronic hip condition caused by femoral head and acetabular. Cam lesion, in which the head of the femur is not shaped properly. This type results from a. Cam Type Impingement Syndrome.
From www.researchgate.net
Signs of bilateral femuroacetabular CAM impingement (arrows). Figura Cam Type Impingement Syndrome This type results from a bony growth at the head of the femur. There are three types of fai: Cam lesion, in which the head of the femur is not shaped properly. Occurs if femoral head/neck bone is too. there are three types of fai: Refers to femoral based disorder usually in young athletic males. In some cases, physical. Cam Type Impingement Syndrome.
From www.roberthowells.com.au
FemoroAcetabular Impingement Robert Howells Cam Type Impingement Syndrome This type results from a bony growth at the head of the femur. There are three types of fai: femoroacetabular impingement (fai) is a chronic hip condition caused by femoral head and acetabular. Occurs if femoral head/neck bone is too. there are three types of fai: This type of impingement occurs because extra bone extends out over the. Cam Type Impingement Syndrome.
From www.vrogue.co
Cam Type Femoral Acetabular Impingement Syndrome 38 Y vrogue.co Cam Type Impingement Syndrome there are three types of fai: This type results from a bony growth at the head of the femur. In some cases, physical activity may cause. Cam lesion, in which the head of the femur is not shaped properly. femoroacetabular impingement (fai) is a chronic hip condition caused by femoral head and acetabular. Refers to femoral based disorder. Cam Type Impingement Syndrome.
From www.dr-meyer-orthopaedics.com
Anterior Hip Impingement Arthroscopy Doctor Matthieu Meyer Cam Type Impingement Syndrome femoroacetabular impingement (fai) is a chronic hip condition caused by femoral head and acetabular. This type of impingement occurs because extra bone extends out over the normal rim of the acetabulum. There are three types of fai: Occurs if femoral head/neck bone is too. In some cases, physical activity may cause. This type results from a bony growth at. Cam Type Impingement Syndrome.
From manhattansportsdoc.com
Hip Impingement Syndrome Archives Benedict Nwachukwu, MD, MBA Hip Cam Type Impingement Syndrome femoroacetabular impingement (fai) is a chronic hip condition caused by femoral head and acetabular. This type results from a bony growth at the head of the femur. Refers to femoral based disorder usually in young athletic males. In some cases, physical activity may cause. This type of impingement occurs because extra bone extends out over the normal rim of. Cam Type Impingement Syndrome.
From mavink.com
Hip Cam Impingement Lesion Cam Type Impingement Syndrome Refers to femoral based disorder usually in young athletic males. there are three types of fai: In some cases, physical activity may cause. femoroacetabular impingement (fai) is a chronic hip condition caused by femoral head and acetabular. There are three types of fai: This type of impingement occurs because extra bone extends out over the normal rim of. Cam Type Impingement Syndrome.
From www.chiropractorcollegepark.com
Shoulder Impingement Syndrome Causes, Symptoms, & Treatment Cam Type Impingement Syndrome Occurs if femoral head/neck bone is too. This type results from a bony growth at the head of the femur. there are three types of fai: Cam lesion, in which the head of the femur is not shaped properly. This type of impingement occurs because extra bone extends out over the normal rim of the acetabulum. femoroacetabular impingement. Cam Type Impingement Syndrome.
From www.clinicalradiologyonline.net
The imaging findings of impingement syndromes of the lower limb Cam Type Impingement Syndrome Occurs if femoral head/neck bone is too. Refers to femoral based disorder usually in young athletic males. This type results from a bony growth at the head of the femur. This type of impingement occurs because extra bone extends out over the normal rim of the acetabulum. There are three types of fai: In some cases, physical activity may cause.. Cam Type Impingement Syndrome.
From www.anteriorhipreview.com
cam impingement Cam Type Impingement Syndrome In some cases, physical activity may cause. This type of impingement occurs because extra bone extends out over the normal rim of the acetabulum. there are three types of fai: Cam lesion, in which the head of the femur is not shaped properly. Refers to femoral based disorder usually in young athletic males. This type results from a bony. Cam Type Impingement Syndrome.
From narodnatribuna.info
Shoulder Impingement Syndrome Cam Type Impingement Syndrome This type results from a bony growth at the head of the femur. there are three types of fai: This type of impingement occurs because extra bone extends out over the normal rim of the acetabulum. Refers to femoral based disorder usually in young athletic males. Cam lesion, in which the head of the femur is not shaped properly.. Cam Type Impingement Syndrome.
From one-treatment.blogspot.com
Cam Type Femoroacetabular Impingement Treatment Cam Type Impingement Syndrome Refers to femoral based disorder usually in young athletic males. This type results from a bony growth at the head of the femur. femoroacetabular impingement (fai) is a chronic hip condition caused by femoral head and acetabular. This type of impingement occurs because extra bone extends out over the normal rim of the acetabulum. there are three types. Cam Type Impingement Syndrome.
From www.physio.de
News Unterscheidung Impingementsyndrome (FAI) Cam Type Impingement Syndrome there are three types of fai: This type results from a bony growth at the head of the femur. femoroacetabular impingement (fai) is a chronic hip condition caused by femoral head and acetabular. Refers to femoral based disorder usually in young athletic males. Cam lesion, in which the head of the femur is not shaped properly. In some. Cam Type Impingement Syndrome.
From www.dr-meyer-orthopaedics.com
Anterior Hip Impingement Arthroscopy Doctor Matthieu Meyer Cam Type Impingement Syndrome there are three types of fai: In some cases, physical activity may cause. This type results from a bony growth at the head of the femur. This type of impingement occurs because extra bone extends out over the normal rim of the acetabulum. Refers to femoral based disorder usually in young athletic males. There are three types of fai:. Cam Type Impingement Syndrome.
From journals.lww.com
Arthroscopic Treatment of CamType Impingement of the Hip JBJS Reviews Cam Type Impingement Syndrome Refers to femoral based disorder usually in young athletic males. This type results from a bony growth at the head of the femur. Occurs if femoral head/neck bone is too. This type of impingement occurs because extra bone extends out over the normal rim of the acetabulum. femoroacetabular impingement (fai) is a chronic hip condition caused by femoral head. Cam Type Impingement Syndrome.
From www.vrogue.co
Cam Type Femoral Acetabular Impingement Syndrome 38 Y vrogue.co Cam Type Impingement Syndrome there are three types of fai: This type results from a bony growth at the head of the femur. femoroacetabular impingement (fai) is a chronic hip condition caused by femoral head and acetabular. This type of impingement occurs because extra bone extends out over the normal rim of the acetabulum. Refers to femoral based disorder usually in young. Cam Type Impingement Syndrome.
From mavink.com
Cam Femoral Acetabular Impingement Cam Type Impingement Syndrome femoroacetabular impingement (fai) is a chronic hip condition caused by femoral head and acetabular. Refers to femoral based disorder usually in young athletic males. there are three types of fai: Occurs if femoral head/neck bone is too. This type results from a bony growth at the head of the femur. There are three types of fai: Cam lesion,. Cam Type Impingement Syndrome.
From www.nirschl.com
Femoroacetabular Impingement Arlington VA Nirschl Orthopaedic Center Cam Type Impingement Syndrome Cam lesion, in which the head of the femur is not shaped properly. There are three types of fai: This type results from a bony growth at the head of the femur. This type of impingement occurs because extra bone extends out over the normal rim of the acetabulum. In some cases, physical activity may cause. Occurs if femoral head/neck. Cam Type Impingement Syndrome.
From www.clinicalradiologyonline.net
MRI of impingement syndromes of the shoulder Clinical Radiology Cam Type Impingement Syndrome Occurs if femoral head/neck bone is too. Refers to femoral based disorder usually in young athletic males. This type of impingement occurs because extra bone extends out over the normal rim of the acetabulum. This type results from a bony growth at the head of the femur. femoroacetabular impingement (fai) is a chronic hip condition caused by femoral head. Cam Type Impingement Syndrome.
From radiopaedia.org
Image Cam Type Impingement Syndrome Cam lesion, in which the head of the femur is not shaped properly. In some cases, physical activity may cause. Refers to femoral based disorder usually in young athletic males. there are three types of fai: femoroacetabular impingement (fai) is a chronic hip condition caused by femoral head and acetabular. There are three types of fai: This type. Cam Type Impingement Syndrome.
From familyclinic.netlify.app
Femoral acetabular impingement syndrome Cam Type Impingement Syndrome Occurs if femoral head/neck bone is too. There are three types of fai: In some cases, physical activity may cause. This type of impingement occurs because extra bone extends out over the normal rim of the acetabulum. This type results from a bony growth at the head of the femur. femoroacetabular impingement (fai) is a chronic hip condition caused. Cam Type Impingement Syndrome.
From www.npjournal.org
Femoroacetabular Impingement A Guide to Diagnosis in Primary Care Cam Type Impingement Syndrome femoroacetabular impingement (fai) is a chronic hip condition caused by femoral head and acetabular. In some cases, physical activity may cause. This type results from a bony growth at the head of the femur. Cam lesion, in which the head of the femur is not shaped properly. there are three types of fai: This type of impingement occurs. Cam Type Impingement Syndrome.
From www.impingementhuefte.de
Cam Impingement Impingement Hüfte Cam Type Impingement Syndrome Cam lesion, in which the head of the femur is not shaped properly. In some cases, physical activity may cause. This type of impingement occurs because extra bone extends out over the normal rim of the acetabulum. This type results from a bony growth at the head of the femur. femoroacetabular impingement (fai) is a chronic hip condition caused. Cam Type Impingement Syndrome.
From www.researchgate.net
a) Camtype impingement before hip arthroscopy; b) same patient after Cam Type Impingement Syndrome In some cases, physical activity may cause. This type results from a bony growth at the head of the femur. Occurs if femoral head/neck bone is too. There are three types of fai: Cam lesion, in which the head of the femur is not shaped properly. Refers to femoral based disorder usually in young athletic males. femoroacetabular impingement (fai). Cam Type Impingement Syndrome.
From drdavidgeier.com
Hip injury 7 common causes of hip pain in active people Dr Geier Cam Type Impingement Syndrome Occurs if femoral head/neck bone is too. This type of impingement occurs because extra bone extends out over the normal rim of the acetabulum. there are three types of fai: femoroacetabular impingement (fai) is a chronic hip condition caused by femoral head and acetabular. Cam lesion, in which the head of the femur is not shaped properly. This. Cam Type Impingement Syndrome.
From www.semanticscholar.org
Cam impingement of the hip—a risk factor for hip osteoarthritis Cam Type Impingement Syndrome This type of impingement occurs because extra bone extends out over the normal rim of the acetabulum. There are three types of fai: This type results from a bony growth at the head of the femur. there are three types of fai: Refers to femoral based disorder usually in young athletic males. Cam lesion, in which the head of. Cam Type Impingement Syndrome.
From www.floridaortho.com
Shoulder Impingement Florida Orthopaedic Institute Cam Type Impingement Syndrome There are three types of fai: In some cases, physical activity may cause. there are three types of fai: This type of impingement occurs because extra bone extends out over the normal rim of the acetabulum. Refers to femoral based disorder usually in young athletic males. femoroacetabular impingement (fai) is a chronic hip condition caused by femoral head. Cam Type Impingement Syndrome.
From www.vrogue.co
Imaging Of Femoral Acetabular Impingement Syndrome St vrogue.co Cam Type Impingement Syndrome there are three types of fai: In some cases, physical activity may cause. Occurs if femoral head/neck bone is too. Cam lesion, in which the head of the femur is not shaped properly. This type of impingement occurs because extra bone extends out over the normal rim of the acetabulum. There are three types of fai: This type results. Cam Type Impingement Syndrome.
From radedasia.com
MRI HIP CAM FAI FEMORO ACETABULAR IMPINGEMENT Radedasia Cam Type Impingement Syndrome Cam lesion, in which the head of the femur is not shaped properly. This type of impingement occurs because extra bone extends out over the normal rim of the acetabulum. This type results from a bony growth at the head of the femur. femoroacetabular impingement (fai) is a chronic hip condition caused by femoral head and acetabular. Refers to. Cam Type Impingement Syndrome.
From www.democratandchronicle.com
The Injury Zone Common Hip Conditions Cam Type Impingement Syndrome There are three types of fai: Cam lesion, in which the head of the femur is not shaped properly. Refers to femoral based disorder usually in young athletic males. Occurs if femoral head/neck bone is too. In some cases, physical activity may cause. there are three types of fai: femoroacetabular impingement (fai) is a chronic hip condition caused. Cam Type Impingement Syndrome.
From www.socalhip.com
Hip Impingement Treatment North Hollywood Los Angeles Orthopedic Cam Type Impingement Syndrome This type results from a bony growth at the head of the femur. femoroacetabular impingement (fai) is a chronic hip condition caused by femoral head and acetabular. This type of impingement occurs because extra bone extends out over the normal rim of the acetabulum. In some cases, physical activity may cause. there are three types of fai: Occurs. Cam Type Impingement Syndrome.
From mavink.com
Shoulder Impingement Mri Cam Type Impingement Syndrome Cam lesion, in which the head of the femur is not shaped properly. In some cases, physical activity may cause. there are three types of fai: Refers to femoral based disorder usually in young athletic males. Occurs if femoral head/neck bone is too. There are three types of fai: femoroacetabular impingement (fai) is a chronic hip condition caused. Cam Type Impingement Syndrome.
From mungfali.com
MRI Shoulder Impingement Syndrome Cam Type Impingement Syndrome femoroacetabular impingement (fai) is a chronic hip condition caused by femoral head and acetabular. Occurs if femoral head/neck bone is too. there are three types of fai: There are three types of fai: This type of impingement occurs because extra bone extends out over the normal rim of the acetabulum. In some cases, physical activity may cause. Refers. Cam Type Impingement Syndrome.