Enamel Toothpaste Before And After . Scientists from china have invented a gel that. In a significant scientific breakthrough, researchers recently discovered a way to regrow human tooth enamel. Brushing regularly with a remineralizing toothpaste is one of the best methods of strengthening tooth enamel. Regenerate enamel science consists of an advanced toothpaste for daily brushing and a boosting serum (with two. There are two reasons why fluoride toothpaste is the best remineralizing toothpaste for teeth enamel repair: Remineralization is a natural tooth repair process. The best toothpaste for enamel contains calcium phosphate, stannous fluoride, or similar fluoride forms, which can help It prevents the loss of minerals from enamel and. Remove surface stains, protect against cavities, whiten and. Your body takes calcium and phosphate minerals from your saliva and. We reviewed the regenerate toothpaste to see if it lives up to its promise to reverse damage to our enamel and whiten our smile?
from www.trycare.co.uk
There are two reasons why fluoride toothpaste is the best remineralizing toothpaste for teeth enamel repair: The best toothpaste for enamel contains calcium phosphate, stannous fluoride, or similar fluoride forms, which can help We reviewed the regenerate toothpaste to see if it lives up to its promise to reverse damage to our enamel and whiten our smile? Remineralization is a natural tooth repair process. Brushing regularly with a remineralizing toothpaste is one of the best methods of strengthening tooth enamel. Remove surface stains, protect against cavities, whiten and. Your body takes calcium and phosphate minerals from your saliva and. It prevents the loss of minerals from enamel and. In a significant scientific breakthrough, researchers recently discovered a way to regrow human tooth enamel. Regenerate enamel science consists of an advanced toothpaste for daily brushing and a boosting serum (with two.
BioMin F Toothpaste Produces Deep Remineralisation Dental News
Enamel Toothpaste Before And After Remove surface stains, protect against cavities, whiten and. There are two reasons why fluoride toothpaste is the best remineralizing toothpaste for teeth enamel repair: In a significant scientific breakthrough, researchers recently discovered a way to regrow human tooth enamel. We reviewed the regenerate toothpaste to see if it lives up to its promise to reverse damage to our enamel and whiten our smile? Brushing regularly with a remineralizing toothpaste is one of the best methods of strengthening tooth enamel. The best toothpaste for enamel contains calcium phosphate, stannous fluoride, or similar fluoride forms, which can help Scientists from china have invented a gel that. Remove surface stains, protect against cavities, whiten and. Remineralization is a natural tooth repair process. Your body takes calcium and phosphate minerals from your saliva and. It prevents the loss of minerals from enamel and. Regenerate enamel science consists of an advanced toothpaste for daily brushing and a boosting serum (with two.
From mydailymagazine.com
how to restore tooth enamel naturally My Daily Magazine Art, Design Enamel Toothpaste Before And After Scientists from china have invented a gel that. Your body takes calcium and phosphate minerals from your saliva and. Remove surface stains, protect against cavities, whiten and. The best toothpaste for enamel contains calcium phosphate, stannous fluoride, or similar fluoride forms, which can help In a significant scientific breakthrough, researchers recently discovered a way to regrow human tooth enamel. Regenerate. Enamel Toothpaste Before And After.
From www.allbeauty.com
REGENERATE Tooth Enamel System How It Works + Shop Online Enamel Toothpaste Before And After There are two reasons why fluoride toothpaste is the best remineralizing toothpaste for teeth enamel repair: Scientists from china have invented a gel that. Remove surface stains, protect against cavities, whiten and. Your body takes calcium and phosphate minerals from your saliva and. Remineralization is a natural tooth repair process. It prevents the loss of minerals from enamel and. We. Enamel Toothpaste Before And After.
From nypost.com
CO. by Colgate review New teeth whitening kit is worth it Enamel Toothpaste Before And After Your body takes calcium and phosphate minerals from your saliva and. Remineralization is a natural tooth repair process. Regenerate enamel science consists of an advanced toothpaste for daily brushing and a boosting serum (with two. Scientists from china have invented a gel that. Brushing regularly with a remineralizing toothpaste is one of the best methods of strengthening tooth enamel. There. Enamel Toothpaste Before And After.
From hosnerdental.com
Restoration of Worn Teeth Hosner Family Dentistry Enamel Toothpaste Before And After Regenerate enamel science consists of an advanced toothpaste for daily brushing and a boosting serum (with two. It prevents the loss of minerals from enamel and. We reviewed the regenerate toothpaste to see if it lives up to its promise to reverse damage to our enamel and whiten our smile? There are two reasons why fluoride toothpaste is the best. Enamel Toothpaste Before And After.
From www.youtube.com
I tried a whitening toothpaste for 14 days I Before and After I Colgate Enamel Toothpaste Before And After The best toothpaste for enamel contains calcium phosphate, stannous fluoride, or similar fluoride forms, which can help Scientists from china have invented a gel that. Your body takes calcium and phosphate minerals from your saliva and. Regenerate enamel science consists of an advanced toothpaste for daily brushing and a boosting serum (with two. There are two reasons why fluoride toothpaste. Enamel Toothpaste Before And After.
From www.himed.com
Exploring the Benefits of Hydroxyapatite in Toothpaste — HIMED Enamel Toothpaste Before And After Brushing regularly with a remineralizing toothpaste is one of the best methods of strengthening tooth enamel. We reviewed the regenerate toothpaste to see if it lives up to its promise to reverse damage to our enamel and whiten our smile? Remineralization is a natural tooth repair process. It prevents the loss of minerals from enamel and. Regenerate enamel science consists. Enamel Toothpaste Before And After.
From www.pinterest.com
Pin on Nu Skin Enamel Toothpaste Before And After In a significant scientific breakthrough, researchers recently discovered a way to regrow human tooth enamel. Scientists from china have invented a gel that. We reviewed the regenerate toothpaste to see if it lives up to its promise to reverse damage to our enamel and whiten our smile? Your body takes calcium and phosphate minerals from your saliva and. Remove surface. Enamel Toothpaste Before And After.
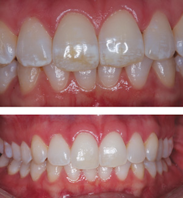
From www.trycare.co.uk
BioMin F Toothpaste Produces Deep Remineralisation Dental News Enamel Toothpaste Before And After Remove surface stains, protect against cavities, whiten and. Scientists from china have invented a gel that. It prevents the loss of minerals from enamel and. Brushing regularly with a remineralizing toothpaste is one of the best methods of strengthening tooth enamel. The best toothpaste for enamel contains calcium phosphate, stannous fluoride, or similar fluoride forms, which can help Regenerate enamel. Enamel Toothpaste Before And After.
From www.youtube.com
DIY Remineralising Toothpaste Restore tooth enamel naturally YouTube Enamel Toothpaste Before And After The best toothpaste for enamel contains calcium phosphate, stannous fluoride, or similar fluoride forms, which can help It prevents the loss of minerals from enamel and. Your body takes calcium and phosphate minerals from your saliva and. Regenerate enamel science consists of an advanced toothpaste for daily brushing and a boosting serum (with two. In a significant scientific breakthrough, researchers. Enamel Toothpaste Before And After.
From pakistan.desertcart.com
Buy Crest 3D White, Whitening Toothpaste, Radiant Mint, 4.8 Ounce, Pack Enamel Toothpaste Before And After The best toothpaste for enamel contains calcium phosphate, stannous fluoride, or similar fluoride forms, which can help Regenerate enamel science consists of an advanced toothpaste for daily brushing and a boosting serum (with two. Remove surface stains, protect against cavities, whiten and. In a significant scientific breakthrough, researchers recently discovered a way to regrow human tooth enamel. There are two. Enamel Toothpaste Before And After.
From www.mdpi.com
Bioengineering Free FullText Analysis of Dental Enamel Enamel Toothpaste Before And After In a significant scientific breakthrough, researchers recently discovered a way to regrow human tooth enamel. Your body takes calcium and phosphate minerals from your saliva and. Remineralization is a natural tooth repair process. It prevents the loss of minerals from enamel and. Regenerate enamel science consists of an advanced toothpaste for daily brushing and a boosting serum (with two. The. Enamel Toothpaste Before And After.
From www.ralphs.com
Pronamel Intensive Enamel Repair, Toothpaste For Sensitive Teeth and Enamel Toothpaste Before And After The best toothpaste for enamel contains calcium phosphate, stannous fluoride, or similar fluoride forms, which can help In a significant scientific breakthrough, researchers recently discovered a way to regrow human tooth enamel. Remove surface stains, protect against cavities, whiten and. Remineralization is a natural tooth repair process. We reviewed the regenerate toothpaste to see if it lives up to its. Enamel Toothpaste Before And After.
From www.youtube.com
Best toothpaste for whitening; A Dentist's guide (tried and trusted Enamel Toothpaste Before And After Remineralization is a natural tooth repair process. In a significant scientific breakthrough, researchers recently discovered a way to regrow human tooth enamel. Regenerate enamel science consists of an advanced toothpaste for daily brushing and a boosting serum (with two. Scientists from china have invented a gel that. There are two reasons why fluoride toothpaste is the best remineralizing toothpaste for. Enamel Toothpaste Before And After.
From ipallshealthcare.com
Sensodyne Enamel Repair Enamel Toothpaste Before And After We reviewed the regenerate toothpaste to see if it lives up to its promise to reverse damage to our enamel and whiten our smile? Your body takes calcium and phosphate minerals from your saliva and. Regenerate enamel science consists of an advanced toothpaste for daily brushing and a boosting serum (with two. In a significant scientific breakthrough, researchers recently discovered. Enamel Toothpaste Before And After.
From www.alamy.com
Closeup Detail Of Smiling Woman Teeth Before And After Cleaning With Enamel Toothpaste Before And After Remineralization is a natural tooth repair process. The best toothpaste for enamel contains calcium phosphate, stannous fluoride, or similar fluoride forms, which can help Remove surface stains, protect against cavities, whiten and. It prevents the loss of minerals from enamel and. Your body takes calcium and phosphate minerals from your saliva and. Scientists from china have invented a gel that.. Enamel Toothpaste Before And After.
From leafydo.com
Hismile Purple Toothpaste Review. Know What Customer Says. Enamel Toothpaste Before And After In a significant scientific breakthrough, researchers recently discovered a way to regrow human tooth enamel. Remove surface stains, protect against cavities, whiten and. Regenerate enamel science consists of an advanced toothpaste for daily brushing and a boosting serum (with two. Brushing regularly with a remineralizing toothpaste is one of the best methods of strengthening tooth enamel. Remineralization is a natural. Enamel Toothpaste Before And After.
From crest.com
White Teeth How to Get Whiter Teeth and Rid of Stains Crest Enamel Toothpaste Before And After Scientists from china have invented a gel that. The best toothpaste for enamel contains calcium phosphate, stannous fluoride, or similar fluoride forms, which can help Your body takes calcium and phosphate minerals from your saliva and. Regenerate enamel science consists of an advanced toothpaste for daily brushing and a boosting serum (with two. Remineralization is a natural tooth repair process.. Enamel Toothpaste Before And After.
From warehousesoverstock.com
CAREDO Kids ONLY Cure Tooth Decay Cavities Toothpaste Repairing Dental Enamel Toothpaste Before And After Remineralization is a natural tooth repair process. Scientists from china have invented a gel that. There are two reasons why fluoride toothpaste is the best remineralizing toothpaste for teeth enamel repair: Remove surface stains, protect against cavities, whiten and. Brushing regularly with a remineralizing toothpaste is one of the best methods of strengthening tooth enamel. We reviewed the regenerate toothpaste. Enamel Toothpaste Before And After.
From www.biomintoothpaste.com.au
Before and after BioMin Toothpaste Enamel Toothpaste Before And After Brushing regularly with a remineralizing toothpaste is one of the best methods of strengthening tooth enamel. There are two reasons why fluoride toothpaste is the best remineralizing toothpaste for teeth enamel repair: Scientists from china have invented a gel that. In a significant scientific breakthrough, researchers recently discovered a way to regrow human tooth enamel. It prevents the loss of. Enamel Toothpaste Before And After.
From teethwalls.blogspot.com
Are Whitening Toothpastes Bad For Your Teeth TeethWalls Enamel Toothpaste Before And After Brushing regularly with a remineralizing toothpaste is one of the best methods of strengthening tooth enamel. There are two reasons why fluoride toothpaste is the best remineralizing toothpaste for teeth enamel repair: We reviewed the regenerate toothpaste to see if it lives up to its promise to reverse damage to our enamel and whiten our smile? In a significant scientific. Enamel Toothpaste Before And After.
From mothlhtqqjbpqdp.blogspot.com
Mothlhtqqjbpqdp Crest Emulsions Before And After Enamel Toothpaste Before And After Brushing regularly with a remineralizing toothpaste is one of the best methods of strengthening tooth enamel. Scientists from china have invented a gel that. Regenerate enamel science consists of an advanced toothpaste for daily brushing and a boosting serum (with two. Remineralization is a natural tooth repair process. There are two reasons why fluoride toothpaste is the best remineralizing toothpaste. Enamel Toothpaste Before And After.
From www.walmart.com
Purple Toothpaste for Teeth Whitening, Color Corrector Whitening Enamel Toothpaste Before And After We reviewed the regenerate toothpaste to see if it lives up to its promise to reverse damage to our enamel and whiten our smile? Your body takes calcium and phosphate minerals from your saliva and. Scientists from china have invented a gel that. There are two reasons why fluoride toothpaste is the best remineralizing toothpaste for teeth enamel repair: Regenerate. Enamel Toothpaste Before And After.
From ar.inspiredpencil.com
Activated Charcoal Before And After Enamel Toothpaste Before And After Remineralization is a natural tooth repair process. Your body takes calcium and phosphate minerals from your saliva and. Scientists from china have invented a gel that. The best toothpaste for enamel contains calcium phosphate, stannous fluoride, or similar fluoride forms, which can help Regenerate enamel science consists of an advanced toothpaste for daily brushing and a boosting serum (with two.. Enamel Toothpaste Before And After.
From fado.vn
Mua Supersmile Professional Whitening Toothpaste with Fluoride Enamel Toothpaste Before And After Brushing regularly with a remineralizing toothpaste is one of the best methods of strengthening tooth enamel. Remove surface stains, protect against cavities, whiten and. The best toothpaste for enamel contains calcium phosphate, stannous fluoride, or similar fluoride forms, which can help Your body takes calcium and phosphate minerals from your saliva and. Regenerate enamel science consists of an advanced toothpaste. Enamel Toothpaste Before And After.
From placervilledentistry.com
Your Amazing Tooth Enamel Placerville Dental Group Enamel Toothpaste Before And After Remineralization is a natural tooth repair process. Scientists from china have invented a gel that. Your body takes calcium and phosphate minerals from your saliva and. Remove surface stains, protect against cavities, whiten and. The best toothpaste for enamel contains calcium phosphate, stannous fluoride, or similar fluoride forms, which can help We reviewed the regenerate toothpaste to see if it. Enamel Toothpaste Before And After.
From www.knowltondental.com
Our office tested a popular charcoal toothpaste here’s what we found Enamel Toothpaste Before And After Your body takes calcium and phosphate minerals from your saliva and. There are two reasons why fluoride toothpaste is the best remineralizing toothpaste for teeth enamel repair: We reviewed the regenerate toothpaste to see if it lives up to its promise to reverse damage to our enamel and whiten our smile? It prevents the loss of minerals from enamel and.. Enamel Toothpaste Before And After.
From www.pinterest.com
Hello brand charcoal toothpaste whiterteethhappyteethfreesample Enamel Toothpaste Before And After Brushing regularly with a remineralizing toothpaste is one of the best methods of strengthening tooth enamel. Remove surface stains, protect against cavities, whiten and. There are two reasons why fluoride toothpaste is the best remineralizing toothpaste for teeth enamel repair: Scientists from china have invented a gel that. Regenerate enamel science consists of an advanced toothpaste for daily brushing and. Enamel Toothpaste Before And After.
From www.walmart.com
Colgate Optic White Renewal Toothpaste, Teeth Whitening Toothpaste Enamel Toothpaste Before And After Regenerate enamel science consists of an advanced toothpaste for daily brushing and a boosting serum (with two. Scientists from china have invented a gel that. It prevents the loss of minerals from enamel and. We reviewed the regenerate toothpaste to see if it lives up to its promise to reverse damage to our enamel and whiten our smile? Remove surface. Enamel Toothpaste Before And After.
From www.youtube.com
I TRIED THE TIKTOK FAMOUS PURPLE TOOTHPASTE TO WHITEN MY TEETH Enamel Toothpaste Before And After Brushing regularly with a remineralizing toothpaste is one of the best methods of strengthening tooth enamel. We reviewed the regenerate toothpaste to see if it lives up to its promise to reverse damage to our enamel and whiten our smile? It prevents the loss of minerals from enamel and. Remineralization is a natural tooth repair process. Remove surface stains, protect. Enamel Toothpaste Before And After.
From www.youtube.com
Our Point of View on Sensodyne Pronamel Toothpaste YouTube Enamel Toothpaste Before And After Scientists from china have invented a gel that. The best toothpaste for enamel contains calcium phosphate, stannous fluoride, or similar fluoride forms, which can help Remove surface stains, protect against cavities, whiten and. Brushing regularly with a remineralizing toothpaste is one of the best methods of strengthening tooth enamel. In a significant scientific breakthrough, researchers recently discovered a way to. Enamel Toothpaste Before And After.
From www.dentaleconomics.com
Using Combination Microabrasion, MI Paste, And Whitening To Treat Enamel Toothpaste Before And After There are two reasons why fluoride toothpaste is the best remineralizing toothpaste for teeth enamel repair: Your body takes calcium and phosphate minerals from your saliva and. Scientists from china have invented a gel that. Regenerate enamel science consists of an advanced toothpaste for daily brushing and a boosting serum (with two. It prevents the loss of minerals from enamel. Enamel Toothpaste Before And After.
From www.pinterest.com
How to Remineralize & Regrow Tooth Enamel Teeth health, Health Enamel Toothpaste Before And After Regenerate enamel science consists of an advanced toothpaste for daily brushing and a boosting serum (with two. It prevents the loss of minerals from enamel and. We reviewed the regenerate toothpaste to see if it lives up to its promise to reverse damage to our enamel and whiten our smile? Brushing regularly with a remineralizing toothpaste is one of the. Enamel Toothpaste Before And After.
From www.pinterest.com
Pin on Beautify Enamel Toothpaste Before And After In a significant scientific breakthrough, researchers recently discovered a way to regrow human tooth enamel. The best toothpaste for enamel contains calcium phosphate, stannous fluoride, or similar fluoride forms, which can help Remineralization is a natural tooth repair process. Scientists from china have invented a gel that. Regenerate enamel science consists of an advanced toothpaste for daily brushing and a. Enamel Toothpaste Before And After.
From discover.hubpages.com
Does Regenerate Toothpaste Really Work to Rebuild Enamel and Repair Enamel Toothpaste Before And After Remineralization is a natural tooth repair process. Regenerate enamel science consists of an advanced toothpaste for daily brushing and a boosting serum (with two. Remove surface stains, protect against cavities, whiten and. Brushing regularly with a remineralizing toothpaste is one of the best methods of strengthening tooth enamel. In a significant scientific breakthrough, researchers recently discovered a way to regrow. Enamel Toothpaste Before And After.
From www.smilebrilliant.com
About tooth remineralization can enamel grow back? Enamel Toothpaste Before And After Remove surface stains, protect against cavities, whiten and. There are two reasons why fluoride toothpaste is the best remineralizing toothpaste for teeth enamel repair: In a significant scientific breakthrough, researchers recently discovered a way to regrow human tooth enamel. Brushing regularly with a remineralizing toothpaste is one of the best methods of strengthening tooth enamel. We reviewed the regenerate toothpaste. Enamel Toothpaste Before And After.