What Is Master Cone In Rct . Design over their active portion. Cone fit is the first step and a good starting point for a perfect 3d obturation of the root canal system. Learn how to perform a successful root canal treatment on a lower molar tooth in one visit using nickel titanium files, apex locator, gutta percha and thermoplastic. Learn about the materials, techniques and principles of root canal obturation, the final step of root canal treatment. Learn how to fill a root canal with gutta percha and root canal cement using the lateral condensation technique. A.02 master cone is chosen for obturation that provides sufficient taper or space lateral to the master cone for root canal sealer and placement of the spreader to within 1 mm or. During this phase, we need: The objective of the vertical condensation technique is to continuously and progressively carry a wave of warm gutta percha along the length of the master cone, starting coronally and ending in apical corkage
from www.semanticscholar.org
A.02 master cone is chosen for obturation that provides sufficient taper or space lateral to the master cone for root canal sealer and placement of the spreader to within 1 mm or. During this phase, we need: Design over their active portion. Cone fit is the first step and a good starting point for a perfect 3d obturation of the root canal system. Learn about the materials, techniques and principles of root canal obturation, the final step of root canal treatment. Learn how to perform a successful root canal treatment on a lower molar tooth in one visit using nickel titanium files, apex locator, gutta percha and thermoplastic. Learn how to fill a root canal with gutta percha and root canal cement using the lateral condensation technique. The objective of the vertical condensation technique is to continuously and progressively carry a wave of warm gutta percha along the length of the master cone, starting coronally and ending in apical corkage
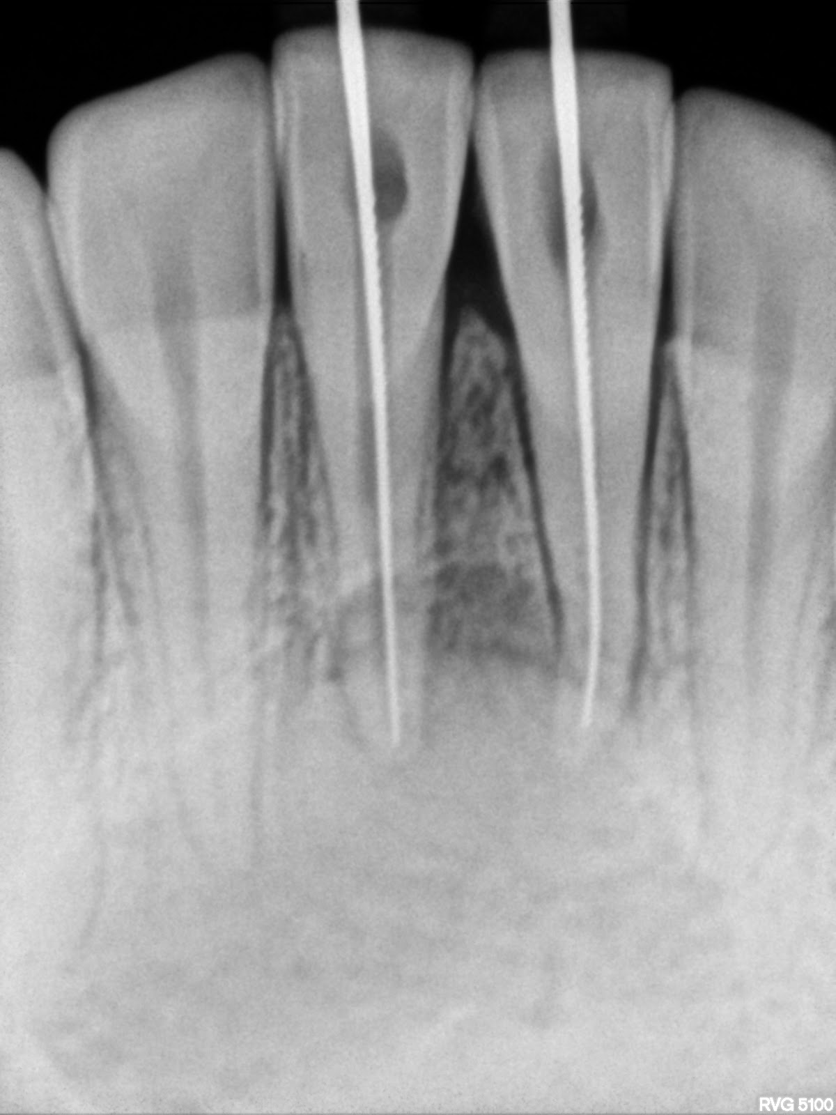
Figure 6 from Preparing the master cone to fit the shape of the canal
What Is Master Cone In Rct The objective of the vertical condensation technique is to continuously and progressively carry a wave of warm gutta percha along the length of the master cone, starting coronally and ending in apical corkage Design over their active portion. A.02 master cone is chosen for obturation that provides sufficient taper or space lateral to the master cone for root canal sealer and placement of the spreader to within 1 mm or. During this phase, we need: Learn how to fill a root canal with gutta percha and root canal cement using the lateral condensation technique. Cone fit is the first step and a good starting point for a perfect 3d obturation of the root canal system. Learn about the materials, techniques and principles of root canal obturation, the final step of root canal treatment. Learn how to perform a successful root canal treatment on a lower molar tooth in one visit using nickel titanium files, apex locator, gutta percha and thermoplastic. The objective of the vertical condensation technique is to continuously and progressively carry a wave of warm gutta percha along the length of the master cone, starting coronally and ending in apical corkage
From rabiesabry.com
RCT for maxillary anteriors case 14 Rabie Sabry What Is Master Cone In Rct During this phase, we need: Learn about the materials, techniques and principles of root canal obturation, the final step of root canal treatment. Learn how to perform a successful root canal treatment on a lower molar tooth in one visit using nickel titanium files, apex locator, gutta percha and thermoplastic. Cone fit is the first step and a good starting. What Is Master Cone In Rct.
From rabiesabry.com
RCT for maxillary 1st molars case 13 Rabie Sabry What Is Master Cone In Rct A.02 master cone is chosen for obturation that provides sufficient taper or space lateral to the master cone for root canal sealer and placement of the spreader to within 1 mm or. Learn how to perform a successful root canal treatment on a lower molar tooth in one visit using nickel titanium files, apex locator, gutta percha and thermoplastic. Learn. What Is Master Cone In Rct.
From rabiesabry.com
RCT FOR MANDIBULAR 2ND MOLARS CASE 20 Rabie Sabry What Is Master Cone In Rct Learn how to fill a root canal with gutta percha and root canal cement using the lateral condensation technique. Learn how to perform a successful root canal treatment on a lower molar tooth in one visit using nickel titanium files, apex locator, gutta percha and thermoplastic. During this phase, we need: Cone fit is the first step and a good. What Is Master Cone In Rct.
From www.slideshare.net
Radiology in Endodontics What Is Master Cone In Rct Learn how to perform a successful root canal treatment on a lower molar tooth in one visit using nickel titanium files, apex locator, gutta percha and thermoplastic. A.02 master cone is chosen for obturation that provides sufficient taper or space lateral to the master cone for root canal sealer and placement of the spreader to within 1 mm or. The. What Is Master Cone In Rct.
From www.slideserve.com
PPT Obturation Lateral Compaction PowerPoint Presentation, free What Is Master Cone In Rct A.02 master cone is chosen for obturation that provides sufficient taper or space lateral to the master cone for root canal sealer and placement of the spreader to within 1 mm or. Design over their active portion. Cone fit is the first step and a good starting point for a perfect 3d obturation of the root canal system. Learn how. What Is Master Cone In Rct.
From www.researchgate.net
Master cone radiograph of 46 and 47 Fig. 6 Obturation radiograph of 46 What Is Master Cone In Rct Learn how to fill a root canal with gutta percha and root canal cement using the lateral condensation technique. Learn about the materials, techniques and principles of root canal obturation, the final step of root canal treatment. Cone fit is the first step and a good starting point for a perfect 3d obturation of the root canal system. During this. What Is Master Cone In Rct.
From www.cureus.com
Cureus Management of Three Rooted Mandibular First Molar with Six What Is Master Cone In Rct The objective of the vertical condensation technique is to continuously and progressively carry a wave of warm gutta percha along the length of the master cone, starting coronally and ending in apical corkage Learn about the materials, techniques and principles of root canal obturation, the final step of root canal treatment. Cone fit is the first step and a good. What Is Master Cone In Rct.
From www.youtube.com
Preclinical laboratory demonstration Master cone selection YouTube What Is Master Cone In Rct Learn about the materials, techniques and principles of root canal obturation, the final step of root canal treatment. The objective of the vertical condensation technique is to continuously and progressively carry a wave of warm gutta percha along the length of the master cone, starting coronally and ending in apical corkage Learn how to perform a successful root canal treatment. What Is Master Cone In Rct.
From www.pinterest.com
Lower first molar rct completed upper right pic access and 4 canals What Is Master Cone In Rct A.02 master cone is chosen for obturation that provides sufficient taper or space lateral to the master cone for root canal sealer and placement of the spreader to within 1 mm or. Learn how to perform a successful root canal treatment on a lower molar tooth in one visit using nickel titanium files, apex locator, gutta percha and thermoplastic. During. What Is Master Cone In Rct.
From rootcanaltreatment.blogspot.com
Endodontics Length of master cone determiantion What Is Master Cone In Rct The objective of the vertical condensation technique is to continuously and progressively carry a wave of warm gutta percha along the length of the master cone, starting coronally and ending in apical corkage A.02 master cone is chosen for obturation that provides sufficient taper or space lateral to the master cone for root canal sealer and placement of the spreader. What Is Master Cone In Rct.
From www.youtube.com
Fitting a master cone YouTube What Is Master Cone In Rct A.02 master cone is chosen for obturation that provides sufficient taper or space lateral to the master cone for root canal sealer and placement of the spreader to within 1 mm or. Cone fit is the first step and a good starting point for a perfect 3d obturation of the root canal system. Learn about the materials, techniques and principles. What Is Master Cone In Rct.
From www.youtube.com
Master Cone Discrepancy Fitting The Gutta Percha Master Cone What Is Master Cone In Rct A.02 master cone is chosen for obturation that provides sufficient taper or space lateral to the master cone for root canal sealer and placement of the spreader to within 1 mm or. Learn how to fill a root canal with gutta percha and root canal cement using the lateral condensation technique. Learn about the materials, techniques and principles of root. What Is Master Cone In Rct.
From rabiesabry.com
RCT for maxillary premolars case 29 Rabie Sabry What Is Master Cone In Rct Cone fit is the first step and a good starting point for a perfect 3d obturation of the root canal system. A.02 master cone is chosen for obturation that provides sufficient taper or space lateral to the master cone for root canal sealer and placement of the spreader to within 1 mm or. During this phase, we need: The objective. What Is Master Cone In Rct.
From www.researchgate.net
Master cone radiograph of mandibular left second molar Download What Is Master Cone In Rct Learn how to perform a successful root canal treatment on a lower molar tooth in one visit using nickel titanium files, apex locator, gutta percha and thermoplastic. Design over their active portion. Learn about the materials, techniques and principles of root canal obturation, the final step of root canal treatment. Learn how to fill a root canal with gutta percha. What Is Master Cone In Rct.
From pocketdentistry.com
12 ProblemSolving Challenges in Root Canal Obturation Pocket Dentistry What Is Master Cone In Rct Design over their active portion. Cone fit is the first step and a good starting point for a perfect 3d obturation of the root canal system. The objective of the vertical condensation technique is to continuously and progressively carry a wave of warm gutta percha along the length of the master cone, starting coronally and ending in apical corkage During. What Is Master Cone In Rct.
From www.youtube.com
Obturation using BioCeramic Sealer with Single Cone Technique for What Is Master Cone In Rct A.02 master cone is chosen for obturation that provides sufficient taper or space lateral to the master cone for root canal sealer and placement of the spreader to within 1 mm or. Learn how to perform a successful root canal treatment on a lower molar tooth in one visit using nickel titanium files, apex locator, gutta percha and thermoplastic. Learn. What Is Master Cone In Rct.
From www.slideserve.com
PPT Obturation Lateral Compaction PowerPoint Presentation, free What Is Master Cone In Rct The objective of the vertical condensation technique is to continuously and progressively carry a wave of warm gutta percha along the length of the master cone, starting coronally and ending in apical corkage A.02 master cone is chosen for obturation that provides sufficient taper or space lateral to the master cone for root canal sealer and placement of the spreader. What Is Master Cone In Rct.
From www.researchgate.net
(a) Preoperative radiograph. (b) Working length radiograph. (c) Master What Is Master Cone In Rct Cone fit is the first step and a good starting point for a perfect 3d obturation of the root canal system. During this phase, we need: Learn how to perform a successful root canal treatment on a lower molar tooth in one visit using nickel titanium files, apex locator, gutta percha and thermoplastic. Learn how to fill a root canal. What Is Master Cone In Rct.
From endodontics.styleitaliano.org
SystemBased Endodontics does your gutta percha master cone fit What Is Master Cone In Rct Learn about the materials, techniques and principles of root canal obturation, the final step of root canal treatment. Learn how to perform a successful root canal treatment on a lower molar tooth in one visit using nickel titanium files, apex locator, gutta percha and thermoplastic. Design over their active portion. A.02 master cone is chosen for obturation that provides sufficient. What Is Master Cone In Rct.
From www.slideserve.com
PPT Obturation Lateral Compaction PowerPoint Presentation, free What Is Master Cone In Rct The objective of the vertical condensation technique is to continuously and progressively carry a wave of warm gutta percha along the length of the master cone, starting coronally and ending in apical corkage Design over their active portion. Learn how to fill a root canal with gutta percha and root canal cement using the lateral condensation technique. Cone fit is. What Is Master Cone In Rct.
From www.researchgate.net
Master cone radiograph Download Scientific Diagram What Is Master Cone In Rct Learn how to perform a successful root canal treatment on a lower molar tooth in one visit using nickel titanium files, apex locator, gutta percha and thermoplastic. The objective of the vertical condensation technique is to continuously and progressively carry a wave of warm gutta percha along the length of the master cone, starting coronally and ending in apical corkage. What Is Master Cone In Rct.
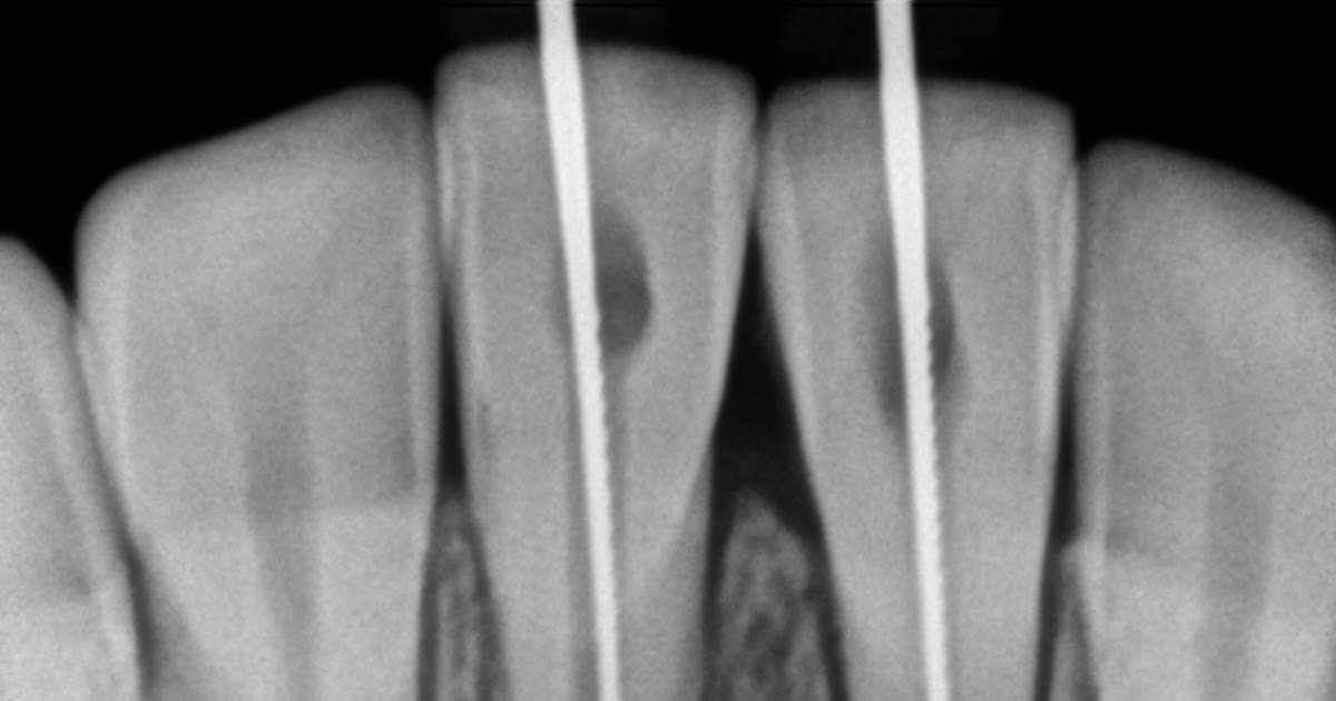
From www.semanticscholar.org
Figure 6 from Preparing the master cone to fit the shape of the canal What Is Master Cone In Rct Learn how to perform a successful root canal treatment on a lower molar tooth in one visit using nickel titanium files, apex locator, gutta percha and thermoplastic. Cone fit is the first step and a good starting point for a perfect 3d obturation of the root canal system. Learn about the materials, techniques and principles of root canal obturation, the. What Is Master Cone In Rct.
From www.researchgate.net
Master cone radiograph. Download Scientific Diagram What Is Master Cone In Rct Design over their active portion. A.02 master cone is chosen for obturation that provides sufficient taper or space lateral to the master cone for root canal sealer and placement of the spreader to within 1 mm or. Learn how to perform a successful root canal treatment on a lower molar tooth in one visit using nickel titanium files, apex locator,. What Is Master Cone In Rct.
From www.youtube.com
Customising the master cone YouTube What Is Master Cone In Rct Learn about the materials, techniques and principles of root canal obturation, the final step of root canal treatment. Cone fit is the first step and a good starting point for a perfect 3d obturation of the root canal system. A.02 master cone is chosen for obturation that provides sufficient taper or space lateral to the master cone for root canal. What Is Master Cone In Rct.
From www.slideshare.net
endodonticcasepresentation140515075602phpapp01 (2).pdf What Is Master Cone In Rct Cone fit is the first step and a good starting point for a perfect 3d obturation of the root canal system. Learn how to perform a successful root canal treatment on a lower molar tooth in one visit using nickel titanium files, apex locator, gutta percha and thermoplastic. Learn how to fill a root canal with gutta percha and root. What Is Master Cone In Rct.
From www.researchgate.net
Master cone radiograph Download Scientific Diagram What Is Master Cone In Rct A.02 master cone is chosen for obturation that provides sufficient taper or space lateral to the master cone for root canal sealer and placement of the spreader to within 1 mm or. Design over their active portion. Cone fit is the first step and a good starting point for a perfect 3d obturation of the root canal system. Learn how. What Is Master Cone In Rct.
From ologyjournals.com
Treating mandibular molars with extra roots Radix entomolaris What Is Master Cone In Rct A.02 master cone is chosen for obturation that provides sufficient taper or space lateral to the master cone for root canal sealer and placement of the spreader to within 1 mm or. Design over their active portion. The objective of the vertical condensation technique is to continuously and progressively carry a wave of warm gutta percha along the length of. What Is Master Cone In Rct.
From www.mdpi.com
Dentistry Journal Free FullText Endodontic of Root Canal What Is Master Cone In Rct Design over their active portion. Learn how to perform a successful root canal treatment on a lower molar tooth in one visit using nickel titanium files, apex locator, gutta percha and thermoplastic. Learn how to fill a root canal with gutta percha and root canal cement using the lateral condensation technique. Cone fit is the first step and a good. What Is Master Cone In Rct.
From www.researchgate.net
(a) Master cone Xray (b) obturation (c) post endodontic restoration What Is Master Cone In Rct The objective of the vertical condensation technique is to continuously and progressively carry a wave of warm gutta percha along the length of the master cone, starting coronally and ending in apical corkage Learn how to perform a successful root canal treatment on a lower molar tooth in one visit using nickel titanium files, apex locator, gutta percha and thermoplastic.. What Is Master Cone In Rct.
From www.researchgate.net
Intraoperative photographs and radiographs A. Master cone PA B. PA What Is Master Cone In Rct Learn how to perform a successful root canal treatment on a lower molar tooth in one visit using nickel titanium files, apex locator, gutta percha and thermoplastic. A.02 master cone is chosen for obturation that provides sufficient taper or space lateral to the master cone for root canal sealer and placement of the spreader to within 1 mm or. The. What Is Master Cone In Rct.
From www.ozident.com
master cone 3 OziDent What Is Master Cone In Rct Design over their active portion. The objective of the vertical condensation technique is to continuously and progressively carry a wave of warm gutta percha along the length of the master cone, starting coronally and ending in apical corkage Learn how to fill a root canal with gutta percha and root canal cement using the lateral condensation technique. Cone fit is. What Is Master Cone In Rct.
From www.researchgate.net
a. Working length determination by radiography; b. Master cone What Is Master Cone In Rct Learn about the materials, techniques and principles of root canal obturation, the final step of root canal treatment. Design over their active portion. Cone fit is the first step and a good starting point for a perfect 3d obturation of the root canal system. The objective of the vertical condensation technique is to continuously and progressively carry a wave of. What Is Master Cone In Rct.
From endodontics.styleitaliano.org
SystemBased Endodontics does your gutta percha master cone fit What Is Master Cone In Rct Learn how to fill a root canal with gutta percha and root canal cement using the lateral condensation technique. Design over their active portion. Cone fit is the first step and a good starting point for a perfect 3d obturation of the root canal system. During this phase, we need: Learn about the materials, techniques and principles of root canal. What Is Master Cone In Rct.
From rootcanaltreatment.blogspot.com
Endodontics Length of master cone determiantion What Is Master Cone In Rct Learn about the materials, techniques and principles of root canal obturation, the final step of root canal treatment. During this phase, we need: Cone fit is the first step and a good starting point for a perfect 3d obturation of the root canal system. Learn how to fill a root canal with gutta percha and root canal cement using the. What Is Master Cone In Rct.
From www.youtube.com
RCT LR6 singlefile singlecone bioceramic YouTube What Is Master Cone In Rct Learn about the materials, techniques and principles of root canal obturation, the final step of root canal treatment. During this phase, we need: Design over their active portion. Learn how to perform a successful root canal treatment on a lower molar tooth in one visit using nickel titanium files, apex locator, gutta percha and thermoplastic. Learn how to fill a. What Is Master Cone In Rct.