Stress Fracture Knee Running . Point tenderness is when a specific bone feels sore to the touch, and performing. It differs from a standard fracture by way of mechanism. Standard fractures are usually caused by a. A tibial shaft stress fracture is an overuse injury where normal or abnormal bone is subjected to repetitive stress, resulting in microfractures. As discussed, runners typically get stress fractures in their feet, shins, knees and hips. What are the different causes of stress fractures? Stress fractures that occur in the knee are normally harder to diagnose than a stress fracture in the tibia or foot. Stress fractures are essentially cracks or breaks in the bone. What is a stress fracture and where are runners most likely to get them?
from amjcaserep.com
What are the different causes of stress fractures? What is a stress fracture and where are runners most likely to get them? Standard fractures are usually caused by a. As discussed, runners typically get stress fractures in their feet, shins, knees and hips. Stress fractures are essentially cracks or breaks in the bone. A tibial shaft stress fracture is an overuse injury where normal or abnormal bone is subjected to repetitive stress, resulting in microfractures. It differs from a standard fracture by way of mechanism. Point tenderness is when a specific bone feels sore to the touch, and performing. Stress fractures that occur in the knee are normally harder to diagnose than a stress fracture in the tibia or foot.
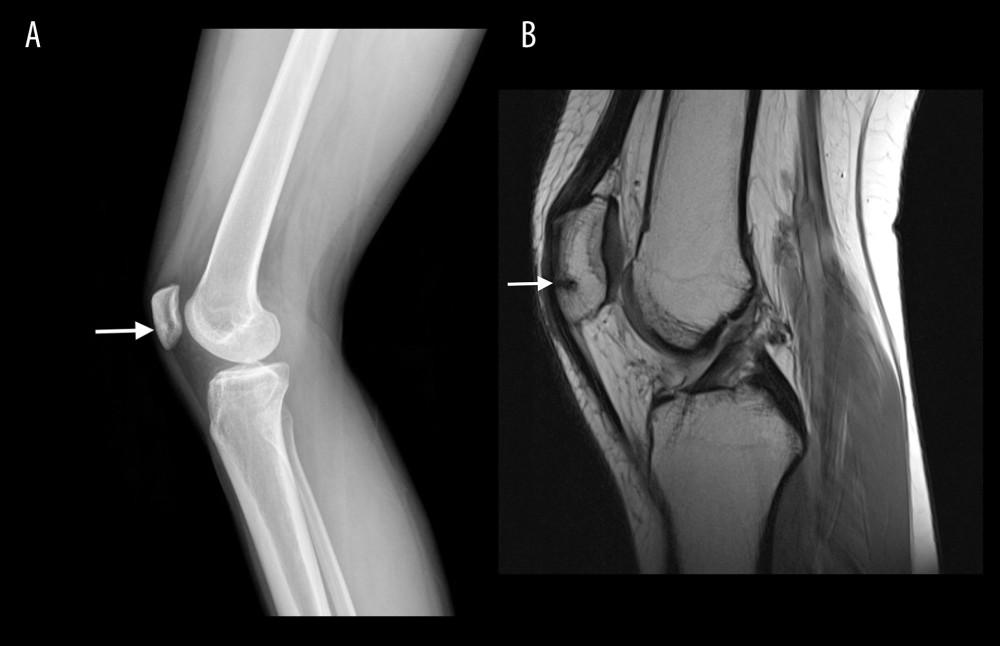
American Journal of Case Reports An 18YearOld Female Athlete Presenting with Knee Pain
Stress Fracture Knee Running What is a stress fracture and where are runners most likely to get them? A tibial shaft stress fracture is an overuse injury where normal or abnormal bone is subjected to repetitive stress, resulting in microfractures. Stress fractures that occur in the knee are normally harder to diagnose than a stress fracture in the tibia or foot. Stress fractures are essentially cracks or breaks in the bone. As discussed, runners typically get stress fractures in their feet, shins, knees and hips. Standard fractures are usually caused by a. Point tenderness is when a specific bone feels sore to the touch, and performing. What is a stress fracture and where are runners most likely to get them? It differs from a standard fracture by way of mechanism. What are the different causes of stress fractures?
From www.raleighortho.com
Stress Fractures of the Knee Raleigh Orthopaedic Stress Fracture Knee Running Stress fractures that occur in the knee are normally harder to diagnose than a stress fracture in the tibia or foot. A tibial shaft stress fracture is an overuse injury where normal or abnormal bone is subjected to repetitive stress, resulting in microfractures. What is a stress fracture and where are runners most likely to get them? Stress fractures are. Stress Fracture Knee Running.
From runnerclick.com
Stress Fractures A Runner's Approach to Diagnosis, Treatment & Prevention RunnerClick Stress Fracture Knee Running A tibial shaft stress fracture is an overuse injury where normal or abnormal bone is subjected to repetitive stress, resulting in microfractures. What is a stress fracture and where are runners most likely to get them? It differs from a standard fracture by way of mechanism. Standard fractures are usually caused by a. What are the different causes of stress. Stress Fracture Knee Running.
From bjsm.bmj.com
Propagation of stress fracture of the patella British Journal of Sports Medicine Stress Fracture Knee Running What is a stress fracture and where are runners most likely to get them? As discussed, runners typically get stress fractures in their feet, shins, knees and hips. Stress fractures that occur in the knee are normally harder to diagnose than a stress fracture in the tibia or foot. Point tenderness is when a specific bone feels sore to the. Stress Fracture Knee Running.
From kneeinjury.weebly.com
Radiography Knee Injury and Prevention Stress Fracture Knee Running A tibial shaft stress fracture is an overuse injury where normal or abnormal bone is subjected to repetitive stress, resulting in microfractures. Point tenderness is when a specific bone feels sore to the touch, and performing. What is a stress fracture and where are runners most likely to get them? As discussed, runners typically get stress fractures in their feet,. Stress Fracture Knee Running.
From www.pinterest.com
Signs and Symptoms of Fractured Tibial Plateau or Tibial Plateau Fractures Tibial plateau Stress Fracture Knee Running Point tenderness is when a specific bone feels sore to the touch, and performing. A tibial shaft stress fracture is an overuse injury where normal or abnormal bone is subjected to repetitive stress, resulting in microfractures. Stress fractures that occur in the knee are normally harder to diagnose than a stress fracture in the tibia or foot. It differs from. Stress Fracture Knee Running.
From kneeinjury.weebly.com
Radiography Knee Injury and Prevention Stress Fracture Knee Running Stress fractures that occur in the knee are normally harder to diagnose than a stress fracture in the tibia or foot. Point tenderness is when a specific bone feels sore to the touch, and performing. What is a stress fracture and where are runners most likely to get them? As discussed, runners typically get stress fractures in their feet, shins,. Stress Fracture Knee Running.
From ar.inspiredpencil.com
Running Stress Fracture Shin Symptoms Stress Fracture Knee Running Standard fractures are usually caused by a. Stress fractures that occur in the knee are normally harder to diagnose than a stress fracture in the tibia or foot. It differs from a standard fracture by way of mechanism. What are the different causes of stress fractures? What is a stress fracture and where are runners most likely to get them?. Stress Fracture Knee Running.
From hughston.com
Stress Fractures in Adolescent Athletes Hughston Clinic Stress Fracture Knee Running What are the different causes of stress fractures? Stress fractures that occur in the knee are normally harder to diagnose than a stress fracture in the tibia or foot. As discussed, runners typically get stress fractures in their feet, shins, knees and hips. It differs from a standard fracture by way of mechanism. Standard fractures are usually caused by a.. Stress Fracture Knee Running.
From ar.inspiredpencil.com
Knee Subchondral Stress Fracture Stress Fracture Knee Running Stress fractures are essentially cracks or breaks in the bone. Point tenderness is when a specific bone feels sore to the touch, and performing. What are the different causes of stress fractures? It differs from a standard fracture by way of mechanism. Stress fractures that occur in the knee are normally harder to diagnose than a stress fracture in the. Stress Fracture Knee Running.
From in.pinterest.com
Common running injuries Infographic Running injuries, Runners knee, Running Stress Fracture Knee Running Stress fractures that occur in the knee are normally harder to diagnose than a stress fracture in the tibia or foot. What is a stress fracture and where are runners most likely to get them? Standard fractures are usually caused by a. It differs from a standard fracture by way of mechanism. Stress fractures are essentially cracks or breaks in. Stress Fracture Knee Running.
From www.runtothefinish.com
7 Running After Stress Fracture Guidelines (W/ an Athletic Trainer) Stress Fracture Knee Running A tibial shaft stress fracture is an overuse injury where normal or abnormal bone is subjected to repetitive stress, resulting in microfractures. It differs from a standard fracture by way of mechanism. As discussed, runners typically get stress fractures in their feet, shins, knees and hips. Point tenderness is when a specific bone feels sore to the touch, and performing.. Stress Fracture Knee Running.
From bjsm.bmj.com
Stress fractures of the femoral shaft in athletes a new treatment algorithm British Journal Stress Fracture Knee Running What is a stress fracture and where are runners most likely to get them? It differs from a standard fracture by way of mechanism. Standard fractures are usually caused by a. As discussed, runners typically get stress fractures in their feet, shins, knees and hips. A tibial shaft stress fracture is an overuse injury where normal or abnormal bone is. Stress Fracture Knee Running.
From bjsm.bmj.com
Propagation of stress fracture of the patella British Journal of Sports Medicine Stress Fracture Knee Running Stress fractures are essentially cracks or breaks in the bone. Point tenderness is when a specific bone feels sore to the touch, and performing. As discussed, runners typically get stress fractures in their feet, shins, knees and hips. Standard fractures are usually caused by a. It differs from a standard fracture by way of mechanism. Stress fractures that occur in. Stress Fracture Knee Running.
From runningmagazine.ca
Tibial stress injuries Canadian Running Magazine Stress Fracture Knee Running Point tenderness is when a specific bone feels sore to the touch, and performing. What is a stress fracture and where are runners most likely to get them? It differs from a standard fracture by way of mechanism. Stress fractures are essentially cracks or breaks in the bone. Stress fractures that occur in the knee are normally harder to diagnose. Stress Fracture Knee Running.
From www.pinterest.com
2 Causes of Stress Fractures of the Tibia in a Heel Strike Runner Stress Fracture, Running Stress Fracture Knee Running Stress fractures that occur in the knee are normally harder to diagnose than a stress fracture in the tibia or foot. What is a stress fracture and where are runners most likely to get them? A tibial shaft stress fracture is an overuse injury where normal or abnormal bone is subjected to repetitive stress, resulting in microfractures. As discussed, runners. Stress Fracture Knee Running.
From casereports.bmj.com
Stress fracture of the proximal fibula after total knee arthroplasty Vaish et al. 2016 BMJ Stress Fracture Knee Running Standard fractures are usually caused by a. Stress fractures that occur in the knee are normally harder to diagnose than a stress fracture in the tibia or foot. What are the different causes of stress fractures? It differs from a standard fracture by way of mechanism. What is a stress fracture and where are runners most likely to get them?. Stress Fracture Knee Running.
From www.fastrunning.com
Stress Fractures Everything a Runner Needs to Know Fast Running Stress Fracture Knee Running What are the different causes of stress fractures? Stress fractures are essentially cracks or breaks in the bone. Stress fractures that occur in the knee are normally harder to diagnose than a stress fracture in the tibia or foot. As discussed, runners typically get stress fractures in their feet, shins, knees and hips. A tibial shaft stress fracture is an. Stress Fracture Knee Running.
From blog.coachparry.com
Fibula Stress Fracture How To Get Back Into Running SAFELY Stress Fracture Knee Running It differs from a standard fracture by way of mechanism. What is a stress fracture and where are runners most likely to get them? Stress fractures that occur in the knee are normally harder to diagnose than a stress fracture in the tibia or foot. Point tenderness is when a specific bone feels sore to the touch, and performing. As. Stress Fracture Knee Running.
From ar.inspiredpencil.com
Running Stress Fracture Shin Symptoms Stress Fracture Knee Running It differs from a standard fracture by way of mechanism. What is a stress fracture and where are runners most likely to get them? What are the different causes of stress fractures? Stress fractures are essentially cracks or breaks in the bone. Standard fractures are usually caused by a. A tibial shaft stress fracture is an overuse injury where normal. Stress Fracture Knee Running.
From ar.inspiredpencil.com
Knee Subchondral Stress Fracture Stress Fracture Knee Running It differs from a standard fracture by way of mechanism. What are the different causes of stress fractures? Standard fractures are usually caused by a. What is a stress fracture and where are runners most likely to get them? Stress fractures are essentially cracks or breaks in the bone. As discussed, runners typically get stress fractures in their feet, shins,. Stress Fracture Knee Running.
From ar.inspiredpencil.com
Knee Subchondral Stress Fracture Stress Fracture Knee Running What are the different causes of stress fractures? It differs from a standard fracture by way of mechanism. As discussed, runners typically get stress fractures in their feet, shins, knees and hips. Stress fractures that occur in the knee are normally harder to diagnose than a stress fracture in the tibia or foot. Point tenderness is when a specific bone. Stress Fracture Knee Running.
From therundoctor.com
Tibial Stress Fracture The Run Doctor Stress Fracture Knee Running As discussed, runners typically get stress fractures in their feet, shins, knees and hips. Stress fractures are essentially cracks or breaks in the bone. Point tenderness is when a specific bone feels sore to the touch, and performing. Standard fractures are usually caused by a. What are the different causes of stress fractures? Stress fractures that occur in the knee. Stress Fracture Knee Running.
From www.advnture.com
Help I have a stress fracture from running Advnture Stress Fracture Knee Running Stress fractures that occur in the knee are normally harder to diagnose than a stress fracture in the tibia or foot. As discussed, runners typically get stress fractures in their feet, shins, knees and hips. A tibial shaft stress fracture is an overuse injury where normal or abnormal bone is subjected to repetitive stress, resulting in microfractures. It differs from. Stress Fracture Knee Running.
From kneeinjury.weebly.com
Radiography Knee Injury and Prevention Stress Fracture Knee Running Stress fractures are essentially cracks or breaks in the bone. As discussed, runners typically get stress fractures in their feet, shins, knees and hips. It differs from a standard fracture by way of mechanism. Stress fractures that occur in the knee are normally harder to diagnose than a stress fracture in the tibia or foot. Point tenderness is when a. Stress Fracture Knee Running.
From animalia-life.club
Running Stress Fracture Shin Symptoms Stress Fracture Knee Running What is a stress fracture and where are runners most likely to get them? A tibial shaft stress fracture is an overuse injury where normal or abnormal bone is subjected to repetitive stress, resulting in microfractures. It differs from a standard fracture by way of mechanism. Point tenderness is when a specific bone feels sore to the touch, and performing.. Stress Fracture Knee Running.
From www.chrisbaileyorthopaedics.com
Knee fractures Chris Bailey Orthopaedics Stress Fracture Knee Running It differs from a standard fracture by way of mechanism. What is a stress fracture and where are runners most likely to get them? Stress fractures that occur in the knee are normally harder to diagnose than a stress fracture in the tibia or foot. As discussed, runners typically get stress fractures in their feet, shins, knees and hips. What. Stress Fracture Knee Running.
From www.pinterest.com
The Complete Guide To Treating & Preventing Stress Fractures While Running — Runner's Blueprint Stress Fracture Knee Running A tibial shaft stress fracture is an overuse injury where normal or abnormal bone is subjected to repetitive stress, resulting in microfractures. Point tenderness is when a specific bone feels sore to the touch, and performing. What are the different causes of stress fractures? It differs from a standard fracture by way of mechanism. As discussed, runners typically get stress. Stress Fracture Knee Running.
From amjcaserep.com
American Journal of Case Reports An 18YearOld Female Athlete Presenting with Knee Pain Stress Fracture Knee Running What is a stress fracture and where are runners most likely to get them? Standard fractures are usually caused by a. A tibial shaft stress fracture is an overuse injury where normal or abnormal bone is subjected to repetitive stress, resulting in microfractures. Point tenderness is when a specific bone feels sore to the touch, and performing. What are the. Stress Fracture Knee Running.
From www.vivehealth.com
Fractured Knee The Complete Injury Guide Vive Health Stress Fracture Knee Running Stress fractures are essentially cracks or breaks in the bone. A tibial shaft stress fracture is an overuse injury where normal or abnormal bone is subjected to repetitive stress, resulting in microfractures. Point tenderness is when a specific bone feels sore to the touch, and performing. Standard fractures are usually caused by a. As discussed, runners typically get stress fractures. Stress Fracture Knee Running.
From www.pinterest.com
Returning to Running After Stress Fracture Suzlyfe Stress fracture, Injury prevention, Fracture Stress Fracture Knee Running Point tenderness is when a specific bone feels sore to the touch, and performing. Standard fractures are usually caused by a. It differs from a standard fracture by way of mechanism. What are the different causes of stress fractures? A tibial shaft stress fracture is an overuse injury where normal or abnormal bone is subjected to repetitive stress, resulting in. Stress Fracture Knee Running.
From www.pinterest.com
Retuning to running after stress fracture or other major injury Stress fracture, Running Stress Fracture Knee Running Standard fractures are usually caused by a. A tibial shaft stress fracture is an overuse injury where normal or abnormal bone is subjected to repetitive stress, resulting in microfractures. What is a stress fracture and where are runners most likely to get them? It differs from a standard fracture by way of mechanism. Stress fractures are essentially cracks or breaks. Stress Fracture Knee Running.
From www.sportsmedreview.com
Stress Radiographs of the Knee Sports Medicine Review Stress Fracture Knee Running It differs from a standard fracture by way of mechanism. Stress fractures are essentially cracks or breaks in the bone. A tibial shaft stress fracture is an overuse injury where normal or abnormal bone is subjected to repetitive stress, resulting in microfractures. As discussed, runners typically get stress fractures in their feet, shins, knees and hips. What is a stress. Stress Fracture Knee Running.
From kneeinjury.weebly.com
Radiography Knee Injury and Prevention Stress Fracture Knee Running It differs from a standard fracture by way of mechanism. What are the different causes of stress fractures? What is a stress fracture and where are runners most likely to get them? A tibial shaft stress fracture is an overuse injury where normal or abnormal bone is subjected to repetitive stress, resulting in microfractures. Stress fractures that occur in the. Stress Fracture Knee Running.
From runnerclick.com
Stress Fractures A Runner's Approach to Diagnosis, Treatment & Prevention RunnerClick Stress Fracture Knee Running Stress fractures are essentially cracks or breaks in the bone. Standard fractures are usually caused by a. What is a stress fracture and where are runners most likely to get them? Stress fractures that occur in the knee are normally harder to diagnose than a stress fracture in the tibia or foot. Point tenderness is when a specific bone feels. Stress Fracture Knee Running.
From www.vivehealth.com
Fractured Knee The Complete Injury Guide Vive Health Stress Fracture Knee Running What is a stress fracture and where are runners most likely to get them? As discussed, runners typically get stress fractures in their feet, shins, knees and hips. Stress fractures are essentially cracks or breaks in the bone. What are the different causes of stress fractures? A tibial shaft stress fracture is an overuse injury where normal or abnormal bone. Stress Fracture Knee Running.