What Is Glandular Cancer . Adenocarcinoma forms in the glandular cells lining major organs, like your colon. Adenocarcinoma refers to cancer of the glandular epithelial cells, which are cells that line various organs of the body, including the esophagus, lungs, breasts, pancreas,. Adenocarcinomas are part of the larger grouping of carcinomas,. Carcinoma is cancer that forms in epithelial tissue. These are the organs and tissues, respectively, that produce substances ranging from hormones to digestive juices. It is defined as neoplasia of epithelial tissue that has glandular origin, glandular characteristics, or both. Some tumors in glandular cells are not cancerous. The malignant tumors are adenocarcinomas, which. If your doctor tells you that you have adenocarcinoma, it means you have a type of cancer that starts in the glands that line the. Most breast, colon, esophageal, pancreatic, and prostate cancers are adenocarcinomas. Adenocarcinoma is a type of cancer that affects glands and glandular tissues. Many organs have these types of cells and adenocarcinoma.
from www.osmosis.org
Some tumors in glandular cells are not cancerous. It is defined as neoplasia of epithelial tissue that has glandular origin, glandular characteristics, or both. If your doctor tells you that you have adenocarcinoma, it means you have a type of cancer that starts in the glands that line the. The malignant tumors are adenocarcinomas, which. These are the organs and tissues, respectively, that produce substances ranging from hormones to digestive juices. Adenocarcinoma forms in the glandular cells lining major organs, like your colon. Adenocarcinoma is a type of cancer that affects glands and glandular tissues. Adenocarcinoma refers to cancer of the glandular epithelial cells, which are cells that line various organs of the body, including the esophagus, lungs, breasts, pancreas,. Carcinoma is cancer that forms in epithelial tissue. Adenocarcinomas are part of the larger grouping of carcinomas,.
Epithelial Tissue What Is It, Where It’s Found, and More Osmosis
What Is Glandular Cancer Some tumors in glandular cells are not cancerous. The malignant tumors are adenocarcinomas, which. Carcinoma is cancer that forms in epithelial tissue. Adenocarcinoma refers to cancer of the glandular epithelial cells, which are cells that line various organs of the body, including the esophagus, lungs, breasts, pancreas,. Adenocarcinoma is a type of cancer that affects glands and glandular tissues. Some tumors in glandular cells are not cancerous. It is defined as neoplasia of epithelial tissue that has glandular origin, glandular characteristics, or both. Adenocarcinoma forms in the glandular cells lining major organs, like your colon. These are the organs and tissues, respectively, that produce substances ranging from hormones to digestive juices. Most breast, colon, esophageal, pancreatic, and prostate cancers are adenocarcinomas. If your doctor tells you that you have adenocarcinoma, it means you have a type of cancer that starts in the glands that line the. Adenocarcinomas are part of the larger grouping of carcinomas,. Many organs have these types of cells and adenocarcinoma.
From www.osmosis.org
Epithelial Tissue What Is It, Where It’s Found, and More Osmosis What Is Glandular Cancer It is defined as neoplasia of epithelial tissue that has glandular origin, glandular characteristics, or both. Adenocarcinomas are part of the larger grouping of carcinomas,. Many organs have these types of cells and adenocarcinoma. These are the organs and tissues, respectively, that produce substances ranging from hormones to digestive juices. Carcinoma is cancer that forms in epithelial tissue. Adenocarcinoma refers. What Is Glandular Cancer.
From www.lecturio.com
Cáncer Gástrico Concise Medical Knowledge What Is Glandular Cancer The malignant tumors are adenocarcinomas, which. Adenocarcinomas are part of the larger grouping of carcinomas,. Adenocarcinoma forms in the glandular cells lining major organs, like your colon. Some tumors in glandular cells are not cancerous. Most breast, colon, esophageal, pancreatic, and prostate cancers are adenocarcinomas. These are the organs and tissues, respectively, that produce substances ranging from hormones to digestive. What Is Glandular Cancer.
From my.clevelandclinic.org
Cervical Ectropion Causes, Symptoms & Treatment What Is Glandular Cancer If your doctor tells you that you have adenocarcinoma, it means you have a type of cancer that starts in the glands that line the. Many organs have these types of cells and adenocarcinoma. The malignant tumors are adenocarcinomas, which. Adenocarcinoma is a type of cancer that affects glands and glandular tissues. Some tumors in glandular cells are not cancerous.. What Is Glandular Cancer.
From www.researchgate.net
Representative images of H&E stained histology (same magnification What Is Glandular Cancer Adenocarcinoma refers to cancer of the glandular epithelial cells, which are cells that line various organs of the body, including the esophagus, lungs, breasts, pancreas,. Adenocarcinomas are part of the larger grouping of carcinomas,. Adenocarcinoma is a type of cancer that affects glands and glandular tissues. Most breast, colon, esophageal, pancreatic, and prostate cancers are adenocarcinomas. The malignant tumors are. What Is Glandular Cancer.
From www.dreamstime.com
Lung Adenocarcinoma, Light Micrograph Stock Photo Image of system What Is Glandular Cancer Adenocarcinoma forms in the glandular cells lining major organs, like your colon. These are the organs and tissues, respectively, that produce substances ranging from hormones to digestive juices. Most breast, colon, esophageal, pancreatic, and prostate cancers are adenocarcinomas. Adenocarcinoma is a type of cancer that affects glands and glandular tissues. Adenocarcinomas are part of the larger grouping of carcinomas,. Adenocarcinoma. What Is Glandular Cancer.
From turquoise-pufferfish-67pe.squarespace.com
Main Type of Skin Cancer — Their Differences, Histology and Prevention What Is Glandular Cancer Adenocarcinoma forms in the glandular cells lining major organs, like your colon. The malignant tumors are adenocarcinomas, which. Most breast, colon, esophageal, pancreatic, and prostate cancers are adenocarcinomas. It is defined as neoplasia of epithelial tissue that has glandular origin, glandular characteristics, or both. Adenocarcinomas are part of the larger grouping of carcinomas,. Adenocarcinoma is a type of cancer that. What Is Glandular Cancer.
From www.epainassist.com
Thyroid Gland CancerCausesSymptomsTreatmentSurgery, Harmone What Is Glandular Cancer Most breast, colon, esophageal, pancreatic, and prostate cancers are adenocarcinomas. Adenocarcinomas are part of the larger grouping of carcinomas,. Many organs have these types of cells and adenocarcinoma. Adenocarcinoma is a type of cancer that affects glands and glandular tissues. Carcinoma is cancer that forms in epithelial tissue. Adenocarcinoma refers to cancer of the glandular epithelial cells, which are cells. What Is Glandular Cancer.
From dreamstime.com
Glandular Tissue Stock Photo Image 54508626 What Is Glandular Cancer The malignant tumors are adenocarcinomas, which. Some tumors in glandular cells are not cancerous. Most breast, colon, esophageal, pancreatic, and prostate cancers are adenocarcinomas. These are the organs and tissues, respectively, that produce substances ranging from hormones to digestive juices. Adenocarcinoma is a type of cancer that affects glands and glandular tissues. If your doctor tells you that you have. What Is Glandular Cancer.
From www.kitware.com
Characterizing Glandular Architecture for Cancer Diagnosis in What Is Glandular Cancer Adenocarcinoma forms in the glandular cells lining major organs, like your colon. The malignant tumors are adenocarcinomas, which. These are the organs and tissues, respectively, that produce substances ranging from hormones to digestive juices. Adenocarcinoma is a type of cancer that affects glands and glandular tissues. It is defined as neoplasia of epithelial tissue that has glandular origin, glandular characteristics,. What Is Glandular Cancer.
From radiologykey.com
Ovarian Tumors (Clinical Setting and US) Radiology Key What Is Glandular Cancer Most breast, colon, esophageal, pancreatic, and prostate cancers are adenocarcinomas. These are the organs and tissues, respectively, that produce substances ranging from hormones to digestive juices. The malignant tumors are adenocarcinomas, which. Some tumors in glandular cells are not cancerous. Adenocarcinomas are part of the larger grouping of carcinomas,. Carcinoma is cancer that forms in epithelial tissue. Many organs have. What Is Glandular Cancer.
From www.frontiersin.org
Frontiers Exploring antiandrogen therapies in hormone dependent What Is Glandular Cancer Adenocarcinoma forms in the glandular cells lining major organs, like your colon. If your doctor tells you that you have adenocarcinoma, it means you have a type of cancer that starts in the glands that line the. Adenocarcinoma refers to cancer of the glandular epithelial cells, which are cells that line various organs of the body, including the esophagus, lungs,. What Is Glandular Cancer.
From www.animalia-life.club
Parotid Gland Tumor Ultrasound What Is Glandular Cancer Many organs have these types of cells and adenocarcinoma. Most breast, colon, esophageal, pancreatic, and prostate cancers are adenocarcinomas. The malignant tumors are adenocarcinomas, which. It is defined as neoplasia of epithelial tissue that has glandular origin, glandular characteristics, or both. These are the organs and tissues, respectively, that produce substances ranging from hormones to digestive juices. Carcinoma is cancer. What Is Glandular Cancer.
From www.lybrate.com
Adrenal Gland Cancer 15 Tell Tale Signs You Must be Aware of By Dr What Is Glandular Cancer Some tumors in glandular cells are not cancerous. Many organs have these types of cells and adenocarcinoma. It is defined as neoplasia of epithelial tissue that has glandular origin, glandular characteristics, or both. These are the organs and tissues, respectively, that produce substances ranging from hormones to digestive juices. Carcinoma is cancer that forms in epithelial tissue. Most breast, colon,. What Is Glandular Cancer.
From creativemeddoses.com
Salivary Gland Tumors and Most Common Types Creative Med Doses What Is Glandular Cancer The malignant tumors are adenocarcinomas, which. Some tumors in glandular cells are not cancerous. Adenocarcinoma refers to cancer of the glandular epithelial cells, which are cells that line various organs of the body, including the esophagus, lungs, breasts, pancreas,. Adenocarcinomas are part of the larger grouping of carcinomas,. If your doctor tells you that you have adenocarcinoma, it means you. What Is Glandular Cancer.
From conviveconelcancer.com
Epitelio glandular Convive con el Cáncer What Is Glandular Cancer The malignant tumors are adenocarcinomas, which. Most breast, colon, esophageal, pancreatic, and prostate cancers are adenocarcinomas. It is defined as neoplasia of epithelial tissue that has glandular origin, glandular characteristics, or both. Many organs have these types of cells and adenocarcinoma. Adenocarcinoma refers to cancer of the glandular epithelial cells, which are cells that line various organs of the body,. What Is Glandular Cancer.
From jonesmarobluns1980.blogspot.com
the prostate gland is located inferior to what structure? Jones What Is Glandular Cancer The malignant tumors are adenocarcinomas, which. Some tumors in glandular cells are not cancerous. Carcinoma is cancer that forms in epithelial tissue. Most breast, colon, esophageal, pancreatic, and prostate cancers are adenocarcinomas. Many organs have these types of cells and adenocarcinoma. Adenocarcinoma refers to cancer of the glandular epithelial cells, which are cells that line various organs of the body,. What Is Glandular Cancer.
From www.sciencephoto.com
Adrenal gland cancer, illustration Stock Image F027/5747 Science What Is Glandular Cancer Many organs have these types of cells and adenocarcinoma. It is defined as neoplasia of epithelial tissue that has glandular origin, glandular characteristics, or both. The malignant tumors are adenocarcinomas, which. Adenocarcinomas are part of the larger grouping of carcinomas,. Carcinoma is cancer that forms in epithelial tissue. If your doctor tells you that you have adenocarcinoma, it means you. What Is Glandular Cancer.
From pathology.jhu.edu
Staging & Grade Breast Cancer Johns Hopkins Pathology What Is Glandular Cancer Some tumors in glandular cells are not cancerous. Adenocarcinoma is a type of cancer that affects glands and glandular tissues. Adenocarcinoma forms in the glandular cells lining major organs, like your colon. It is defined as neoplasia of epithelial tissue that has glandular origin, glandular characteristics, or both. Many organs have these types of cells and adenocarcinoma. These are the. What Is Glandular Cancer.
From www.slideserve.com
PPT Breast Cancer Screening What’s New to Know? The Issue of Breast What Is Glandular Cancer Carcinoma is cancer that forms in epithelial tissue. Some tumors in glandular cells are not cancerous. Adenocarcinoma refers to cancer of the glandular epithelial cells, which are cells that line various organs of the body, including the esophagus, lungs, breasts, pancreas,. Many organs have these types of cells and adenocarcinoma. Adenocarcinoma forms in the glandular cells lining major organs, like. What Is Glandular Cancer.
From medicinebtg.com
and centrally located distribution start Glandular Epithelium Function What Is Glandular Cancer If your doctor tells you that you have adenocarcinoma, it means you have a type of cancer that starts in the glands that line the. Most breast, colon, esophageal, pancreatic, and prostate cancers are adenocarcinomas. Carcinoma is cancer that forms in epithelial tissue. Adenocarcinomas are part of the larger grouping of carcinomas,. Adenocarcinoma forms in the glandular cells lining major. What Is Glandular Cancer.
From pubs.rsna.org
Glandular Tissue Component and Breast Cancer Risk in Mammographically What Is Glandular Cancer These are the organs and tissues, respectively, that produce substances ranging from hormones to digestive juices. Carcinoma is cancer that forms in epithelial tissue. Adenocarcinomas are part of the larger grouping of carcinomas,. Many organs have these types of cells and adenocarcinoma. Adenocarcinoma is a type of cancer that affects glands and glandular tissues. Adenocarcinoma refers to cancer of the. What Is Glandular Cancer.
From fineartamerica.com
Human Glandular Cancer Photograph by Nigel Downer/science Photo Library What Is Glandular Cancer Adenocarcinoma refers to cancer of the glandular epithelial cells, which are cells that line various organs of the body, including the esophagus, lungs, breasts, pancreas,. Adenocarcinomas are part of the larger grouping of carcinomas,. Some tumors in glandular cells are not cancerous. These are the organs and tissues, respectively, that produce substances ranging from hormones to digestive juices. Adenocarcinoma is. What Is Glandular Cancer.
From www.shutterstock.com
57 Antibodies To Treat Cancer Images, Stock Photos & Vectors Shutterstock What Is Glandular Cancer Adenocarcinoma refers to cancer of the glandular epithelial cells, which are cells that line various organs of the body, including the esophagus, lungs, breasts, pancreas,. Adenocarcinoma is a type of cancer that affects glands and glandular tissues. It is defined as neoplasia of epithelial tissue that has glandular origin, glandular characteristics, or both. Adenocarcinoma forms in the glandular cells lining. What Is Glandular Cancer.
From www.treeet.com
Adenocarcinoma What It Is and What You Should Know in 2023 What Is Glandular Cancer Adenocarcinoma forms in the glandular cells lining major organs, like your colon. Most breast, colon, esophageal, pancreatic, and prostate cancers are adenocarcinomas. If your doctor tells you that you have adenocarcinoma, it means you have a type of cancer that starts in the glands that line the. Adenocarcinoma is a type of cancer that affects glands and glandular tissues. It. What Is Glandular Cancer.
From www.researchgate.net
Serous carcinoma with a glandular pattern. Serous differentiation can What Is Glandular Cancer Carcinoma is cancer that forms in epithelial tissue. Adenocarcinomas are part of the larger grouping of carcinomas,. Adenocarcinoma is a type of cancer that affects glands and glandular tissues. Most breast, colon, esophageal, pancreatic, and prostate cancers are adenocarcinomas. It is defined as neoplasia of epithelial tissue that has glandular origin, glandular characteristics, or both. Adenocarcinoma forms in the glandular. What Is Glandular Cancer.
From www.istockphoto.com
Early Stage Gastric Cancer Tumor On The Stomach Wall Closeup View 3d What Is Glandular Cancer These are the organs and tissues, respectively, that produce substances ranging from hormones to digestive juices. If your doctor tells you that you have adenocarcinoma, it means you have a type of cancer that starts in the glands that line the. Adenocarcinoma refers to cancer of the glandular epithelial cells, which are cells that line various organs of the body,. What Is Glandular Cancer.
From www.osmosis.org
Glandular Epithelium What Is It, Location, Functions, and More Osmosis What Is Glandular Cancer Adenocarcinomas are part of the larger grouping of carcinomas,. Most breast, colon, esophageal, pancreatic, and prostate cancers are adenocarcinomas. Some tumors in glandular cells are not cancerous. If your doctor tells you that you have adenocarcinoma, it means you have a type of cancer that starts in the glands that line the. Adenocarcinoma is a type of cancer that affects. What Is Glandular Cancer.
From www.askdrpatrick.com
Glandular Problems in Locust, NC Stanly Wellness Center What Is Glandular Cancer The malignant tumors are adenocarcinomas, which. Adenocarcinoma refers to cancer of the glandular epithelial cells, which are cells that line various organs of the body, including the esophagus, lungs, breasts, pancreas,. Most breast, colon, esophageal, pancreatic, and prostate cancers are adenocarcinomas. Adenocarcinomas are part of the larger grouping of carcinomas,. Adenocarcinoma is a type of cancer that affects glands and. What Is Glandular Cancer.
From www.pathologyoutlines.com
You are being redirected... What Is Glandular Cancer It is defined as neoplasia of epithelial tissue that has glandular origin, glandular characteristics, or both. These are the organs and tissues, respectively, that produce substances ranging from hormones to digestive juices. Some tumors in glandular cells are not cancerous. Adenocarcinoma is a type of cancer that affects glands and glandular tissues. If your doctor tells you that you have. What Is Glandular Cancer.
From www.dreamstime.com
Early Stage Gastric Cancer Tumor on the Stomach Wall Closeup View 3d What Is Glandular Cancer If your doctor tells you that you have adenocarcinoma, it means you have a type of cancer that starts in the glands that line the. The malignant tumors are adenocarcinomas, which. These are the organs and tissues, respectively, that produce substances ranging from hormones to digestive juices. Adenocarcinoma refers to cancer of the glandular epithelial cells, which are cells that. What Is Glandular Cancer.
From dentistryandmedicine.blogspot.com
Oral Potentially Malignant Disorders Dentistry and Medicine What Is Glandular Cancer Adenocarcinoma refers to cancer of the glandular epithelial cells, which are cells that line various organs of the body, including the esophagus, lungs, breasts, pancreas,. If your doctor tells you that you have adenocarcinoma, it means you have a type of cancer that starts in the glands that line the. Most breast, colon, esophageal, pancreatic, and prostate cancers are adenocarcinomas.. What Is Glandular Cancer.
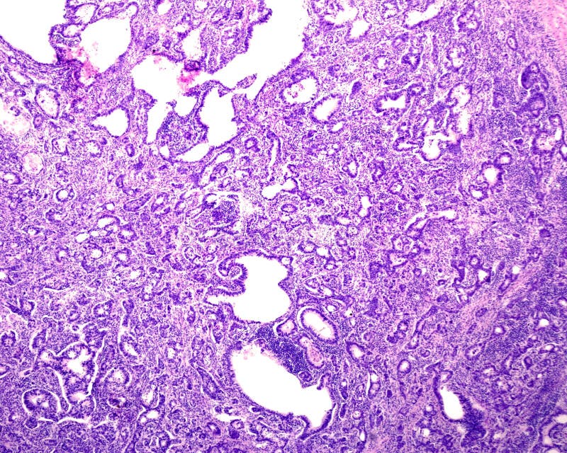
From www.dreamstime.com
Human Prostate Cancer. Adenocarcinoma Stock Image Image of biopsy What Is Glandular Cancer The malignant tumors are adenocarcinomas, which. Adenocarcinoma is a type of cancer that affects glands and glandular tissues. Many organs have these types of cells and adenocarcinoma. Adenocarcinomas are part of the larger grouping of carcinomas,. Adenocarcinoma refers to cancer of the glandular epithelial cells, which are cells that line various organs of the body, including the esophagus, lungs, breasts,. What Is Glandular Cancer.
From www.istockphoto.com
Early Stage Gastric Cancer Tumor On The Stomach Wall Isometric View 3d What Is Glandular Cancer It is defined as neoplasia of epithelial tissue that has glandular origin, glandular characteristics, or both. Most breast, colon, esophageal, pancreatic, and prostate cancers are adenocarcinomas. Some tumors in glandular cells are not cancerous. Adenocarcinomas are part of the larger grouping of carcinomas,. These are the organs and tissues, respectively, that produce substances ranging from hormones to digestive juices. Adenocarcinoma. What Is Glandular Cancer.
From www.homenaturalcures.com
Basal Cell Carcinoma Symptoms And Causes What Is Glandular Cancer Some tumors in glandular cells are not cancerous. Carcinoma is cancer that forms in epithelial tissue. Most breast, colon, esophageal, pancreatic, and prostate cancers are adenocarcinomas. Adenocarcinoma refers to cancer of the glandular epithelial cells, which are cells that line various organs of the body, including the esophagus, lungs, breasts, pancreas,. Adenocarcinomas are part of the larger grouping of carcinomas,.. What Is Glandular Cancer.
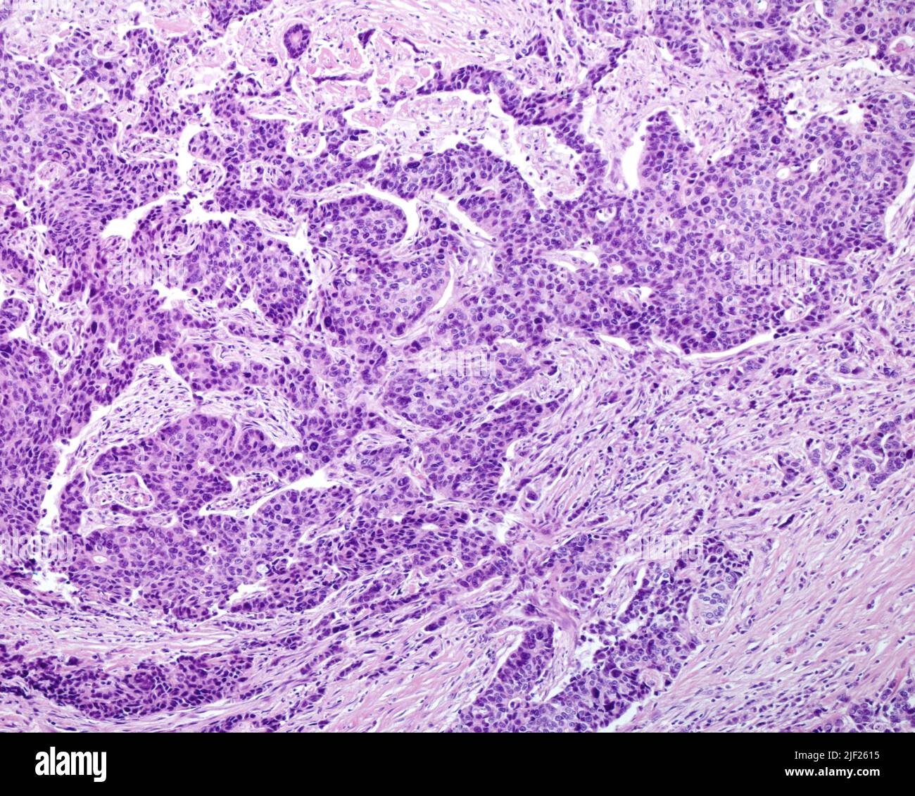
From www.alamy.com
Gastric adenocarcinoma, light micrograph. Gastric adenocarcinoma is a What Is Glandular Cancer Adenocarcinoma refers to cancer of the glandular epithelial cells, which are cells that line various organs of the body, including the esophagus, lungs, breasts, pancreas,. It is defined as neoplasia of epithelial tissue that has glandular origin, glandular characteristics, or both. These are the organs and tissues, respectively, that produce substances ranging from hormones to digestive juices. Many organs have. What Is Glandular Cancer.