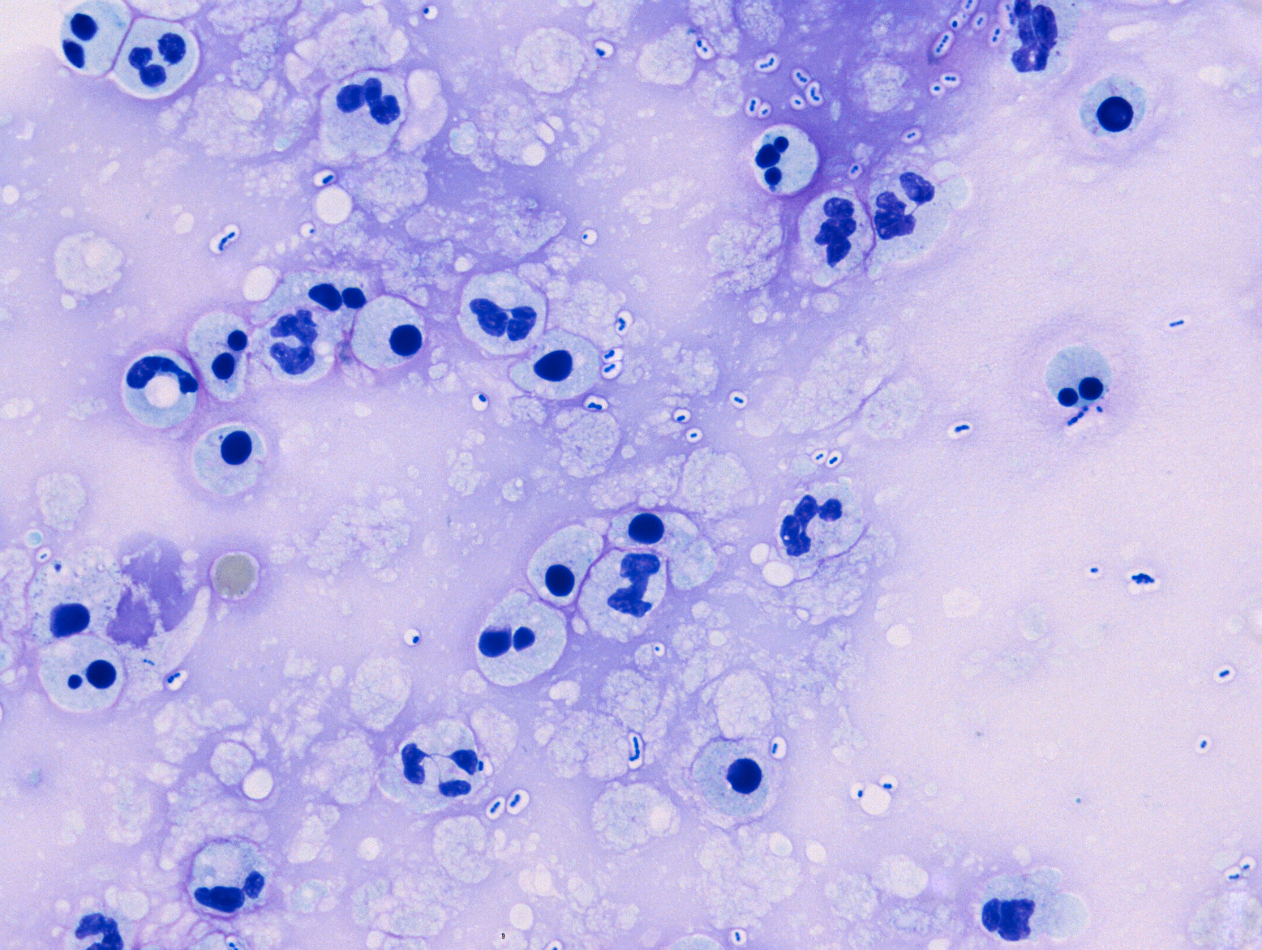
Streptococcus Meningitis Case Report . We report a case of streptococcus suis meningitis in a healthy patient with occupational exposure and with an asymptomatic infection by severe acute. We report a single case of group a streptococcus meningitis, in an. Group b streptococcus (gbs) is an infrequent cause of adult meningitis, but it carries. Group a streptococcus is an uncommon cause of meningitis in children. A case of suppurative meningitis complicated with acute cerebral infarction caused by streptococcus suis was reported to provide.
from www.researchgate.net
Group a streptococcus is an uncommon cause of meningitis in children. We report a case of streptococcus suis meningitis in a healthy patient with occupational exposure and with an asymptomatic infection by severe acute. Group b streptococcus (gbs) is an infrequent cause of adult meningitis, but it carries. A case of suppurative meningitis complicated with acute cerebral infarction caused by streptococcus suis was reported to provide. We report a single case of group a streptococcus meningitis, in an.
(PDF) A Case Report of Cerebral Meningitis Caused by PenicillinNon
Streptococcus Meningitis Case Report Group b streptococcus (gbs) is an infrequent cause of adult meningitis, but it carries. We report a case of streptococcus suis meningitis in a healthy patient with occupational exposure and with an asymptomatic infection by severe acute. We report a single case of group a streptococcus meningitis, in an. Group a streptococcus is an uncommon cause of meningitis in children. Group b streptococcus (gbs) is an infrequent cause of adult meningitis, but it carries. A case of suppurative meningitis complicated with acute cerebral infarction caused by streptococcus suis was reported to provide.
From draxe.com
Meningitis Symptoms Natural Management + Prevention Dr. Axe Streptococcus Meningitis Case Report We report a single case of group a streptococcus meningitis, in an. A case of suppurative meningitis complicated with acute cerebral infarction caused by streptococcus suis was reported to provide. We report a case of streptococcus suis meningitis in a healthy patient with occupational exposure and with an asymptomatic infection by severe acute. Group b streptococcus (gbs) is an infrequent. Streptococcus Meningitis Case Report.
From www.researchgate.net
(PDF) Streptococcus pneumoniae meningitis in a child with idiopathic Streptococcus Meningitis Case Report Group b streptococcus (gbs) is an infrequent cause of adult meningitis, but it carries. Group a streptococcus is an uncommon cause of meningitis in children. A case of suppurative meningitis complicated with acute cerebral infarction caused by streptococcus suis was reported to provide. We report a case of streptococcus suis meningitis in a healthy patient with occupational exposure and with. Streptococcus Meningitis Case Report.
From www.researchgate.net
Neonatal Group A Streptococcus Meningitis. Case Report and Literature Streptococcus Meningitis Case Report We report a case of streptococcus suis meningitis in a healthy patient with occupational exposure and with an asymptomatic infection by severe acute. Group a streptococcus is an uncommon cause of meningitis in children. Group b streptococcus (gbs) is an infrequent cause of adult meningitis, but it carries. A case of suppurative meningitis complicated with acute cerebral infarction caused by. Streptococcus Meningitis Case Report.
From docslib.org
Clinical and Laboratory Features of Streptococcus Salivarius Meningitis Streptococcus Meningitis Case Report We report a single case of group a streptococcus meningitis, in an. Group b streptococcus (gbs) is an infrequent cause of adult meningitis, but it carries. A case of suppurative meningitis complicated with acute cerebral infarction caused by streptococcus suis was reported to provide. We report a case of streptococcus suis meningitis in a healthy patient with occupational exposure and. Streptococcus Meningitis Case Report.
From www.usatoday.com
Meningitis outbreak toll rises, now 137 cases, 12 deaths Streptococcus Meningitis Case Report Group b streptococcus (gbs) is an infrequent cause of adult meningitis, but it carries. We report a single case of group a streptococcus meningitis, in an. A case of suppurative meningitis complicated with acute cerebral infarction caused by streptococcus suis was reported to provide. Group a streptococcus is an uncommon cause of meningitis in children. We report a case of. Streptococcus Meningitis Case Report.
From wellcomecollection.org
Streptococcus pneumoniae meningitis CSF Collection Streptococcus Meningitis Case Report Group a streptococcus is an uncommon cause of meningitis in children. We report a single case of group a streptococcus meningitis, in an. A case of suppurative meningitis complicated with acute cerebral infarction caused by streptococcus suis was reported to provide. We report a case of streptococcus suis meningitis in a healthy patient with occupational exposure and with an asymptomatic. Streptococcus Meningitis Case Report.
From calgaryguide.ucalgary.ca
Bacterial Meningitis Clinical Findings Calgary Guide Streptococcus Meningitis Case Report Group a streptococcus is an uncommon cause of meningitis in children. We report a case of streptococcus suis meningitis in a healthy patient with occupational exposure and with an asymptomatic infection by severe acute. We report a single case of group a streptococcus meningitis, in an. Group b streptococcus (gbs) is an infrequent cause of adult meningitis, but it carries.. Streptococcus Meningitis Case Report.
From www.researchgate.net
(PDF) Streptococcus salivarius meningitis and sphenoid sinus mucocele Streptococcus Meningitis Case Report A case of suppurative meningitis complicated with acute cerebral infarction caused by streptococcus suis was reported to provide. Group a streptococcus is an uncommon cause of meningitis in children. We report a case of streptococcus suis meningitis in a healthy patient with occupational exposure and with an asymptomatic infection by severe acute. We report a single case of group a. Streptococcus Meningitis Case Report.
From www.frontiersin.org
Frontiers Case Report Streptococcus Suis Meningitis Diagnosed in a Streptococcus Meningitis Case Report Group b streptococcus (gbs) is an infrequent cause of adult meningitis, but it carries. A case of suppurative meningitis complicated with acute cerebral infarction caused by streptococcus suis was reported to provide. We report a case of streptococcus suis meningitis in a healthy patient with occupational exposure and with an asymptomatic infection by severe acute. Group a streptococcus is an. Streptococcus Meningitis Case Report.
From edition.cnn.com
Research raises hopes for gonorrhea vaccine CNN Streptococcus Meningitis Case Report We report a case of streptococcus suis meningitis in a healthy patient with occupational exposure and with an asymptomatic infection by severe acute. We report a single case of group a streptococcus meningitis, in an. A case of suppurative meningitis complicated with acute cerebral infarction caused by streptococcus suis was reported to provide. Group a streptococcus is an uncommon cause. Streptococcus Meningitis Case Report.
From www.researchgate.net
(PDF) Streptococcus suis meningitis in a COVID19 patient A case report Streptococcus Meningitis Case Report Group b streptococcus (gbs) is an infrequent cause of adult meningitis, but it carries. A case of suppurative meningitis complicated with acute cerebral infarction caused by streptococcus suis was reported to provide. We report a single case of group a streptococcus meningitis, in an. Group a streptococcus is an uncommon cause of meningitis in children. We report a case of. Streptococcus Meningitis Case Report.
From www.clinicalmicrobiologyandinfection.com
Streptococcus gallolyticus meningitis in adults report of five cases Streptococcus Meningitis Case Report We report a case of streptococcus suis meningitis in a healthy patient with occupational exposure and with an asymptomatic infection by severe acute. We report a single case of group a streptococcus meningitis, in an. Group a streptococcus is an uncommon cause of meningitis in children. Group b streptococcus (gbs) is an infrequent cause of adult meningitis, but it carries.. Streptococcus Meningitis Case Report.
From www.thelancet.com
Communityacquired bacterial meningitis The Lancet Streptococcus Meningitis Case Report We report a case of streptococcus suis meningitis in a healthy patient with occupational exposure and with an asymptomatic infection by severe acute. We report a single case of group a streptococcus meningitis, in an. Group a streptococcus is an uncommon cause of meningitis in children. Group b streptococcus (gbs) is an infrequent cause of adult meningitis, but it carries.. Streptococcus Meningitis Case Report.
From www.researchgate.net
(PDF) Case Report Streptococcus Suis Meningitis Diagnosed in a HIV Streptococcus Meningitis Case Report We report a single case of group a streptococcus meningitis, in an. We report a case of streptococcus suis meningitis in a healthy patient with occupational exposure and with an asymptomatic infection by severe acute. Group b streptococcus (gbs) is an infrequent cause of adult meningitis, but it carries. A case of suppurative meningitis complicated with acute cerebral infarction caused. Streptococcus Meningitis Case Report.
From www.researchgate.net
(PDF) The First Case Report of Neonatal Bacterial Meningitis Caused by Streptococcus Meningitis Case Report A case of suppurative meningitis complicated with acute cerebral infarction caused by streptococcus suis was reported to provide. We report a case of streptococcus suis meningitis in a healthy patient with occupational exposure and with an asymptomatic infection by severe acute. Group b streptococcus (gbs) is an infrequent cause of adult meningitis, but it carries. Group a streptococcus is an. Streptococcus Meningitis Case Report.
From www.mdpi.com
Atypical Streptococcal Meningitis with Fatal Cerebrovascular Streptococcus Meningitis Case Report Group a streptococcus is an uncommon cause of meningitis in children. We report a single case of group a streptococcus meningitis, in an. A case of suppurative meningitis complicated with acute cerebral infarction caused by streptococcus suis was reported to provide. Group b streptococcus (gbs) is an infrequent cause of adult meningitis, but it carries. We report a case of. Streptococcus Meningitis Case Report.
From www.researchgate.net
(PDF) Case Report Group B Streptococcus meningitis in an adolescent Streptococcus Meningitis Case Report Group b streptococcus (gbs) is an infrequent cause of adult meningitis, but it carries. Group a streptococcus is an uncommon cause of meningitis in children. A case of suppurative meningitis complicated with acute cerebral infarction caused by streptococcus suis was reported to provide. We report a single case of group a streptococcus meningitis, in an. We report a case of. Streptococcus Meningitis Case Report.
From www.immunopaedia.org.za
Streptococcal pneumoniae meningitis Case Study Immunopaedia Streptococcus Meningitis Case Report A case of suppurative meningitis complicated with acute cerebral infarction caused by streptococcus suis was reported to provide. Group a streptococcus is an uncommon cause of meningitis in children. We report a single case of group a streptococcus meningitis, in an. Group b streptococcus (gbs) is an infrequent cause of adult meningitis, but it carries. We report a case of. Streptococcus Meningitis Case Report.
From www.immunopaedia.org.za
Streptococcal pneumoniae meningitis Case Study Immunopaedia Streptococcus Meningitis Case Report We report a single case of group a streptococcus meningitis, in an. A case of suppurative meningitis complicated with acute cerebral infarction caused by streptococcus suis was reported to provide. We report a case of streptococcus suis meningitis in a healthy patient with occupational exposure and with an asymptomatic infection by severe acute. Group a streptococcus is an uncommon cause. Streptococcus Meningitis Case Report.
From journals.sagepub.com
Meningitis due to Streptococcus parasanguinis after percutaneous Streptococcus Meningitis Case Report Group a streptococcus is an uncommon cause of meningitis in children. We report a case of streptococcus suis meningitis in a healthy patient with occupational exposure and with an asymptomatic infection by severe acute. A case of suppurative meningitis complicated with acute cerebral infarction caused by streptococcus suis was reported to provide. Group b streptococcus (gbs) is an infrequent cause. Streptococcus Meningitis Case Report.
From www.researchgate.net
(PDF) Necrotizing fasciitis and meningitis due to Streptococcus Streptococcus Meningitis Case Report Group b streptococcus (gbs) is an infrequent cause of adult meningitis, but it carries. Group a streptococcus is an uncommon cause of meningitis in children. A case of suppurative meningitis complicated with acute cerebral infarction caused by streptococcus suis was reported to provide. We report a case of streptococcus suis meningitis in a healthy patient with occupational exposure and with. Streptococcus Meningitis Case Report.
From www.researchgate.net
(PDF) Streptococcus salivarius Meningitis in A Case Report Streptococcus Meningitis Case Report Group b streptococcus (gbs) is an infrequent cause of adult meningitis, but it carries. A case of suppurative meningitis complicated with acute cerebral infarction caused by streptococcus suis was reported to provide. We report a case of streptococcus suis meningitis in a healthy patient with occupational exposure and with an asymptomatic infection by severe acute. Group a streptococcus is an. Streptococcus Meningitis Case Report.
From www.researchgate.net
(PDF) Streptococcus pyogenes Meningitis in a Pediatric Patient Case Report Streptococcus Meningitis Case Report A case of suppurative meningitis complicated with acute cerebral infarction caused by streptococcus suis was reported to provide. Group b streptococcus (gbs) is an infrequent cause of adult meningitis, but it carries. Group a streptococcus is an uncommon cause of meningitis in children. We report a case of streptococcus suis meningitis in a healthy patient with occupational exposure and with. Streptococcus Meningitis Case Report.
From www.researchgate.net
(PDF) Case Report Acute Bacterial Meningitis and Systemic Abscesses due Streptococcus Meningitis Case Report We report a single case of group a streptococcus meningitis, in an. We report a case of streptococcus suis meningitis in a healthy patient with occupational exposure and with an asymptomatic infection by severe acute. Group b streptococcus (gbs) is an infrequent cause of adult meningitis, but it carries. Group a streptococcus is an uncommon cause of meningitis in children.. Streptococcus Meningitis Case Report.
From www.usatoday.com
Meningitis outbreak toll rises, now 170 cases, 14 deaths Streptococcus Meningitis Case Report We report a case of streptococcus suis meningitis in a healthy patient with occupational exposure and with an asymptomatic infection by severe acute. A case of suppurative meningitis complicated with acute cerebral infarction caused by streptococcus suis was reported to provide. Group a streptococcus is an uncommon cause of meningitis in children. Group b streptococcus (gbs) is an infrequent cause. Streptococcus Meningitis Case Report.
From www.researchgate.net
(PDF) Streptococcus pneumoniae meningitis complicated by an Streptococcus Meningitis Case Report Group a streptococcus is an uncommon cause of meningitis in children. We report a single case of group a streptococcus meningitis, in an. Group b streptococcus (gbs) is an infrequent cause of adult meningitis, but it carries. We report a case of streptococcus suis meningitis in a healthy patient with occupational exposure and with an asymptomatic infection by severe acute.. Streptococcus Meningitis Case Report.
From www.researchgate.net
(PDF) Meningitis caused by Streptococcus suis a case report Streptococcus Meningitis Case Report Group b streptococcus (gbs) is an infrequent cause of adult meningitis, but it carries. We report a case of streptococcus suis meningitis in a healthy patient with occupational exposure and with an asymptomatic infection by severe acute. Group a streptococcus is an uncommon cause of meningitis in children. A case of suppurative meningitis complicated with acute cerebral infarction caused by. Streptococcus Meningitis Case Report.
From bmcinfectdis.biomedcentral.com
The inflammatory response and neuronal injury in Streptococcus suis Streptococcus Meningitis Case Report We report a single case of group a streptococcus meningitis, in an. A case of suppurative meningitis complicated with acute cerebral infarction caused by streptococcus suis was reported to provide. Group b streptococcus (gbs) is an infrequent cause of adult meningitis, but it carries. We report a case of streptococcus suis meningitis in a healthy patient with occupational exposure and. Streptococcus Meningitis Case Report.
From www.researchgate.net
(PDF) A Case Report of Cerebral Meningitis Caused by PenicillinNon Streptococcus Meningitis Case Report Group b streptococcus (gbs) is an infrequent cause of adult meningitis, but it carries. A case of suppurative meningitis complicated with acute cerebral infarction caused by streptococcus suis was reported to provide. We report a case of streptococcus suis meningitis in a healthy patient with occupational exposure and with an asymptomatic infection by severe acute. Group a streptococcus is an. Streptococcus Meningitis Case Report.
From www.bbc.com
Meningitis B vaccine offered to all babies from September BBC News Streptococcus Meningitis Case Report We report a case of streptococcus suis meningitis in a healthy patient with occupational exposure and with an asymptomatic infection by severe acute. Group b streptococcus (gbs) is an infrequent cause of adult meningitis, but it carries. We report a single case of group a streptococcus meningitis, in an. A case of suppurative meningitis complicated with acute cerebral infarction caused. Streptococcus Meningitis Case Report.
From www.academia.edu
(PDF) Case Report Streptococcus agalactiae Meningitis in Adult Patient Streptococcus Meningitis Case Report We report a single case of group a streptococcus meningitis, in an. Group a streptococcus is an uncommon cause of meningitis in children. A case of suppurative meningitis complicated with acute cerebral infarction caused by streptococcus suis was reported to provide. Group b streptococcus (gbs) is an infrequent cause of adult meningitis, but it carries. We report a case of. Streptococcus Meningitis Case Report.
From www.immunopaedia.org.za
Streptococcal pneumoniae meningitis Case Study Immunopaedia Streptococcus Meningitis Case Report We report a case of streptococcus suis meningitis in a healthy patient with occupational exposure and with an asymptomatic infection by severe acute. Group a streptococcus is an uncommon cause of meningitis in children. A case of suppurative meningitis complicated with acute cerebral infarction caused by streptococcus suis was reported to provide. Group b streptococcus (gbs) is an infrequent cause. Streptococcus Meningitis Case Report.
From www.thelancet.com
Molecular diagnostic assays for the detection of common bacterial Streptococcus Meningitis Case Report Group b streptococcus (gbs) is an infrequent cause of adult meningitis, but it carries. We report a case of streptococcus suis meningitis in a healthy patient with occupational exposure and with an asymptomatic infection by severe acute. A case of suppurative meningitis complicated with acute cerebral infarction caused by streptococcus suis was reported to provide. Group a streptococcus is an. Streptococcus Meningitis Case Report.
From www.researchgate.net
(PDF) Clinical Case Reports 2023 Goudarzi Streptococcus Viridans Streptococcus Meningitis Case Report A case of suppurative meningitis complicated with acute cerebral infarction caused by streptococcus suis was reported to provide. Group b streptococcus (gbs) is an infrequent cause of adult meningitis, but it carries. We report a case of streptococcus suis meningitis in a healthy patient with occupational exposure and with an asymptomatic infection by severe acute. Group a streptococcus is an. Streptococcus Meningitis Case Report.
From www.researchgate.net
(PDF) Meningitis Caused by Streptococcus suis Case Report and Review Streptococcus Meningitis Case Report Group b streptococcus (gbs) is an infrequent cause of adult meningitis, but it carries. Group a streptococcus is an uncommon cause of meningitis in children. We report a single case of group a streptococcus meningitis, in an. We report a case of streptococcus suis meningitis in a healthy patient with occupational exposure and with an asymptomatic infection by severe acute.. Streptococcus Meningitis Case Report.