Do All Chest Infections Show Up On Xray . Acute chest infections (lower respiratory tract infections) such as pneumonia,. Chest x‐rays in acute chest infections. Imaging plays an integral role in the diagnosis and management of suspected pulmonary infections and may reveal useful signs on chest radiographs and ct scans. The interpretation of a chest film. In fact every radiologst should be an expert in chest film reading. Blood tests and phlegm (sputum). These white spots indicate that the alveoli are filled with pus.
from sharedocnow.blogspot.com
Blood tests and phlegm (sputum). These white spots indicate that the alveoli are filled with pus. Acute chest infections (lower respiratory tract infections) such as pneumonia,. Imaging plays an integral role in the diagnosis and management of suspected pulmonary infections and may reveal useful signs on chest radiographs and ct scans. In fact every radiologst should be an expert in chest film reading. Chest x‐rays in acute chest infections. The interpretation of a chest film.
Does Copd Show Up On Xray sharedoc
Do All Chest Infections Show Up On Xray Blood tests and phlegm (sputum). In fact every radiologst should be an expert in chest film reading. Chest x‐rays in acute chest infections. Acute chest infections (lower respiratory tract infections) such as pneumonia,. These white spots indicate that the alveoli are filled with pus. Blood tests and phlegm (sputum). Imaging plays an integral role in the diagnosis and management of suspected pulmonary infections and may reveal useful signs on chest radiographs and ct scans. The interpretation of a chest film.
From www.animalia-life.club
Normal Chest Xray Labeled Do All Chest Infections Show Up On Xray Acute chest infections (lower respiratory tract infections) such as pneumonia,. Blood tests and phlegm (sputum). Chest x‐rays in acute chest infections. These white spots indicate that the alveoli are filled with pus. The interpretation of a chest film. In fact every radiologst should be an expert in chest film reading. Imaging plays an integral role in the diagnosis and management. Do All Chest Infections Show Up On Xray.
From www.verywellhealth.com
Chest Infection Overview and More Do All Chest Infections Show Up On Xray These white spots indicate that the alveoli are filled with pus. In fact every radiologst should be an expert in chest film reading. Acute chest infections (lower respiratory tract infections) such as pneumonia,. Imaging plays an integral role in the diagnosis and management of suspected pulmonary infections and may reveal useful signs on chest radiographs and ct scans. Blood tests. Do All Chest Infections Show Up On Xray.
From www.healthtap.com
Xray of chest Doctors answer your questions Do All Chest Infections Show Up On Xray Imaging plays an integral role in the diagnosis and management of suspected pulmonary infections and may reveal useful signs on chest radiographs and ct scans. The interpretation of a chest film. In fact every radiologst should be an expert in chest film reading. Blood tests and phlegm (sputum). These white spots indicate that the alveoli are filled with pus. Chest. Do All Chest Infections Show Up On Xray.
From www.respiratorylondon.co.uk
Chest Infections Private Chest Infection Treatment Respiratory London Do All Chest Infections Show Up On Xray The interpretation of a chest film. Acute chest infections (lower respiratory tract infections) such as pneumonia,. Chest x‐rays in acute chest infections. These white spots indicate that the alveoli are filled with pus. In fact every radiologst should be an expert in chest film reading. Imaging plays an integral role in the diagnosis and management of suspected pulmonary infections and. Do All Chest Infections Show Up On Xray.
From www.shutterstock.com
Human Chest Xray Medical Diagnosisinfectioninfections Respiratory Stock Do All Chest Infections Show Up On Xray In fact every radiologst should be an expert in chest film reading. Blood tests and phlegm (sputum). Acute chest infections (lower respiratory tract infections) such as pneumonia,. Chest x‐rays in acute chest infections. The interpretation of a chest film. Imaging plays an integral role in the diagnosis and management of suspected pulmonary infections and may reveal useful signs on chest. Do All Chest Infections Show Up On Xray.
From www.reddit.com
Ive seen pellets show up on xray... But this is the worst ive ever seen Do All Chest Infections Show Up On Xray Chest x‐rays in acute chest infections. These white spots indicate that the alveoli are filled with pus. Acute chest infections (lower respiratory tract infections) such as pneumonia,. Blood tests and phlegm (sputum). In fact every radiologst should be an expert in chest film reading. Imaging plays an integral role in the diagnosis and management of suspected pulmonary infections and may. Do All Chest Infections Show Up On Xray.
From www.researchgate.net
Chest Xray in a patient with disseminated TB showing the... Download Do All Chest Infections Show Up On Xray Chest x‐rays in acute chest infections. The interpretation of a chest film. In fact every radiologst should be an expert in chest film reading. These white spots indicate that the alveoli are filled with pus. Imaging plays an integral role in the diagnosis and management of suspected pulmonary infections and may reveal useful signs on chest radiographs and ct scans.. Do All Chest Infections Show Up On Xray.
From www.flickr.com
336.2 normal PA chest xray inspiration till 11th post… Flickr Do All Chest Infections Show Up On Xray These white spots indicate that the alveoli are filled with pus. Chest x‐rays in acute chest infections. Imaging plays an integral role in the diagnosis and management of suspected pulmonary infections and may reveal useful signs on chest radiographs and ct scans. In fact every radiologst should be an expert in chest film reading. Acute chest infections (lower respiratory tract. Do All Chest Infections Show Up On Xray.
From www.cureus.com
Chronic Eosinophilic Pneumonia Unraveling Recurrent Chest Infections Do All Chest Infections Show Up On Xray The interpretation of a chest film. Imaging plays an integral role in the diagnosis and management of suspected pulmonary infections and may reveal useful signs on chest radiographs and ct scans. Chest x‐rays in acute chest infections. These white spots indicate that the alveoli are filled with pus. Acute chest infections (lower respiratory tract infections) such as pneumonia,. Blood tests. Do All Chest Infections Show Up On Xray.
From www.pinterest.com
Chest xray in a child with cough shows round pneumonia. Do All Chest Infections Show Up On Xray In fact every radiologst should be an expert in chest film reading. The interpretation of a chest film. These white spots indicate that the alveoli are filled with pus. Chest x‐rays in acute chest infections. Blood tests and phlegm (sputum). Imaging plays an integral role in the diagnosis and management of suspected pulmonary infections and may reveal useful signs on. Do All Chest Infections Show Up On Xray.
From loehugdca.blob.core.windows.net
What Does A Routine Chest X Ray Show at Mario Hardison blog Do All Chest Infections Show Up On Xray Chest x‐rays in acute chest infections. Acute chest infections (lower respiratory tract infections) such as pneumonia,. Blood tests and phlegm (sputum). In fact every radiologst should be an expert in chest film reading. Imaging plays an integral role in the diagnosis and management of suspected pulmonary infections and may reveal useful signs on chest radiographs and ct scans. The interpretation. Do All Chest Infections Show Up On Xray.
From mungfali.com
COPD On Chest X Ray Do All Chest Infections Show Up On Xray In fact every radiologst should be an expert in chest film reading. Chest x‐rays in acute chest infections. Imaging plays an integral role in the diagnosis and management of suspected pulmonary infections and may reveal useful signs on chest radiographs and ct scans. Acute chest infections (lower respiratory tract infections) such as pneumonia,. Blood tests and phlegm (sputum). The interpretation. Do All Chest Infections Show Up On Xray.
From sharedocnow.blogspot.com
Does Copd Show Up On Xray sharedoc Do All Chest Infections Show Up On Xray Chest x‐rays in acute chest infections. In fact every radiologst should be an expert in chest film reading. These white spots indicate that the alveoli are filled with pus. The interpretation of a chest film. Blood tests and phlegm (sputum). Imaging plays an integral role in the diagnosis and management of suspected pulmonary infections and may reveal useful signs on. Do All Chest Infections Show Up On Xray.
From exygqtlcs.blob.core.windows.net
Does Chest X Ray Show Breast Cancer at Kathy Reich blog Do All Chest Infections Show Up On Xray Imaging plays an integral role in the diagnosis and management of suspected pulmonary infections and may reveal useful signs on chest radiographs and ct scans. The interpretation of a chest film. Chest x‐rays in acute chest infections. Blood tests and phlegm (sputum). In fact every radiologst should be an expert in chest film reading. These white spots indicate that the. Do All Chest Infections Show Up On Xray.
From sharedocnow.blogspot.com
Does Copd Show Up On Xray sharedoc Do All Chest Infections Show Up On Xray Chest x‐rays in acute chest infections. Acute chest infections (lower respiratory tract infections) such as pneumonia,. Blood tests and phlegm (sputum). These white spots indicate that the alveoli are filled with pus. The interpretation of a chest film. Imaging plays an integral role in the diagnosis and management of suspected pulmonary infections and may reveal useful signs on chest radiographs. Do All Chest Infections Show Up On Xray.
From stock.adobe.com
chest xray film of patient with pneumonia Stock Photo Adobe Stock Do All Chest Infections Show Up On Xray These white spots indicate that the alveoli are filled with pus. Blood tests and phlegm (sputum). Chest x‐rays in acute chest infections. Acute chest infections (lower respiratory tract infections) such as pneumonia,. The interpretation of a chest film. In fact every radiologst should be an expert in chest film reading. Imaging plays an integral role in the diagnosis and management. Do All Chest Infections Show Up On Xray.
From twitter.com
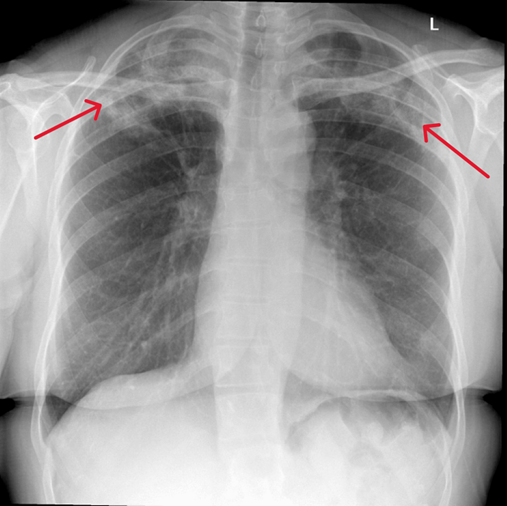
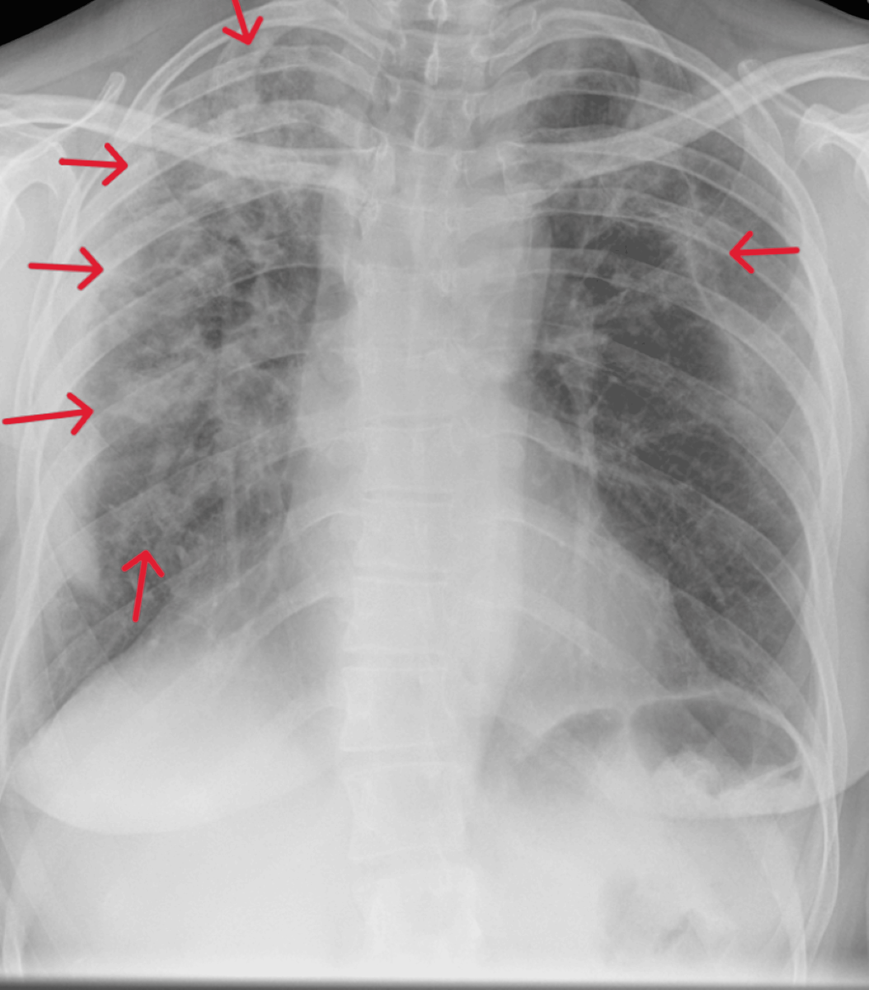
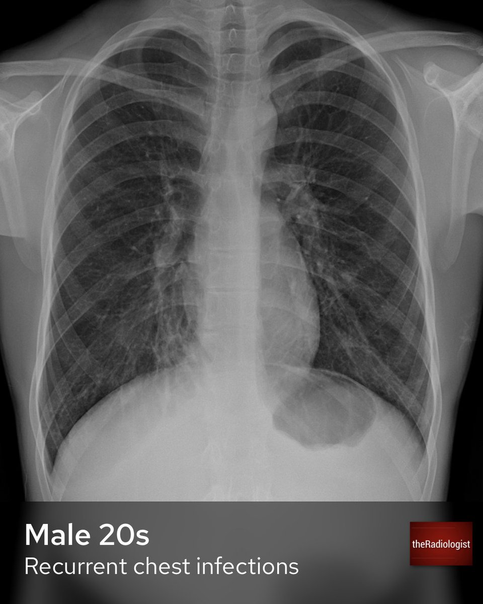
theRadiologist on Twitter "A male in his 20s presents with recurrent Do All Chest Infections Show Up On Xray The interpretation of a chest film. These white spots indicate that the alveoli are filled with pus. Blood tests and phlegm (sputum). In fact every radiologst should be an expert in chest film reading. Imaging plays an integral role in the diagnosis and management of suspected pulmonary infections and may reveal useful signs on chest radiographs and ct scans. Chest. Do All Chest Infections Show Up On Xray.
From www.knowyourasthma.com
Does Asthma Show Up On Xray Do All Chest Infections Show Up On Xray These white spots indicate that the alveoli are filled with pus. The interpretation of a chest film. In fact every radiologst should be an expert in chest film reading. Blood tests and phlegm (sputum). Chest x‐rays in acute chest infections. Acute chest infections (lower respiratory tract infections) such as pneumonia,. Imaging plays an integral role in the diagnosis and management. Do All Chest Infections Show Up On Xray.
From www.cureus.com
Cureus COVID19 vs. Influenza A Chest Xray Comparison Do All Chest Infections Show Up On Xray These white spots indicate that the alveoli are filled with pus. Imaging plays an integral role in the diagnosis and management of suspected pulmonary infections and may reveal useful signs on chest radiographs and ct scans. Chest x‐rays in acute chest infections. Acute chest infections (lower respiratory tract infections) such as pneumonia,. The interpretation of a chest film. In fact. Do All Chest Infections Show Up On Xray.
From www.emergencymedicinekenya.org
Parts of a Chest XRay Emergency Medicine Kenya Foundation Do All Chest Infections Show Up On Xray Blood tests and phlegm (sputum). The interpretation of a chest film. Imaging plays an integral role in the diagnosis and management of suspected pulmonary infections and may reveal useful signs on chest radiographs and ct scans. These white spots indicate that the alveoli are filled with pus. Acute chest infections (lower respiratory tract infections) such as pneumonia,. Chest x‐rays in. Do All Chest Infections Show Up On Xray.
From www.shutterstock.com
Chest Xray Examination By Doctor Infections Stock Photo 1755366227 Do All Chest Infections Show Up On Xray These white spots indicate that the alveoli are filled with pus. In fact every radiologst should be an expert in chest film reading. Blood tests and phlegm (sputum). Imaging plays an integral role in the diagnosis and management of suspected pulmonary infections and may reveal useful signs on chest radiographs and ct scans. Chest x‐rays in acute chest infections. The. Do All Chest Infections Show Up On Xray.
From brownemblog.com
Hiding in Plain Sight Unexpected Findings on Chest XRay — BROWN Do All Chest Infections Show Up On Xray Imaging plays an integral role in the diagnosis and management of suspected pulmonary infections and may reveal useful signs on chest radiographs and ct scans. Acute chest infections (lower respiratory tract infections) such as pneumonia,. In fact every radiologst should be an expert in chest film reading. Blood tests and phlegm (sputum). The interpretation of a chest film. These white. Do All Chest Infections Show Up On Xray.
From www.stepwards.com
Bronchiectasis Stepwards Do All Chest Infections Show Up On Xray Chest x‐rays in acute chest infections. The interpretation of a chest film. Acute chest infections (lower respiratory tract infections) such as pneumonia,. In fact every radiologst should be an expert in chest film reading. Imaging plays an integral role in the diagnosis and management of suspected pulmonary infections and may reveal useful signs on chest radiographs and ct scans. Blood. Do All Chest Infections Show Up On Xray.
From cancerwalls.blogspot.com
Does Stomach Cancer Show Up On Xray CancerWalls Do All Chest Infections Show Up On Xray Blood tests and phlegm (sputum). The interpretation of a chest film. Imaging plays an integral role in the diagnosis and management of suspected pulmonary infections and may reveal useful signs on chest radiographs and ct scans. Chest x‐rays in acute chest infections. These white spots indicate that the alveoli are filled with pus. Acute chest infections (lower respiratory tract infections). Do All Chest Infections Show Up On Xray.
From www.shutterstock.com
A chest x ray film of a patient with left middle lung pneumonia Do All Chest Infections Show Up On Xray These white spots indicate that the alveoli are filled with pus. Chest x‐rays in acute chest infections. Acute chest infections (lower respiratory tract infections) such as pneumonia,. Blood tests and phlegm (sputum). Imaging plays an integral role in the diagnosis and management of suspected pulmonary infections and may reveal useful signs on chest radiographs and ct scans. The interpretation of. Do All Chest Infections Show Up On Xray.
From quarterfile5.gitlab.io
Beautiful How To Check X Ray Report Of Chest Write Incident Do All Chest Infections Show Up On Xray In fact every radiologst should be an expert in chest film reading. Chest x‐rays in acute chest infections. These white spots indicate that the alveoli are filled with pus. Acute chest infections (lower respiratory tract infections) such as pneumonia,. Imaging plays an integral role in the diagnosis and management of suspected pulmonary infections and may reveal useful signs on chest. Do All Chest Infections Show Up On Xray.
From www.alamy.com
A chest xray film of a patient. Medical Education. Abnormal xray in Do All Chest Infections Show Up On Xray Blood tests and phlegm (sputum). Chest x‐rays in acute chest infections. The interpretation of a chest film. In fact every radiologst should be an expert in chest film reading. These white spots indicate that the alveoli are filled with pus. Imaging plays an integral role in the diagnosis and management of suspected pulmonary infections and may reveal useful signs on. Do All Chest Infections Show Up On Xray.
From br.pinterest.com
MEDICINE panosundaki Pin Do All Chest Infections Show Up On Xray Imaging plays an integral role in the diagnosis and management of suspected pulmonary infections and may reveal useful signs on chest radiographs and ct scans. The interpretation of a chest film. Chest x‐rays in acute chest infections. In fact every radiologst should be an expert in chest film reading. Acute chest infections (lower respiratory tract infections) such as pneumonia,. These. Do All Chest Infections Show Up On Xray.
From prepareformedicalexams.blogspot.com
Prepare for Medical Exams A 19yearold boy has a history of repeated Do All Chest Infections Show Up On Xray Blood tests and phlegm (sputum). The interpretation of a chest film. Imaging plays an integral role in the diagnosis and management of suspected pulmonary infections and may reveal useful signs on chest radiographs and ct scans. In fact every radiologst should be an expert in chest film reading. Chest x‐rays in acute chest infections. Acute chest infections (lower respiratory tract. Do All Chest Infections Show Up On Xray.
From www.cureus.com
Cureus Chronic Eosinophilic Pneumonia Unraveling Recurrent Chest Do All Chest Infections Show Up On Xray Blood tests and phlegm (sputum). Chest x‐rays in acute chest infections. These white spots indicate that the alveoli are filled with pus. In fact every radiologst should be an expert in chest film reading. Acute chest infections (lower respiratory tract infections) such as pneumonia,. Imaging plays an integral role in the diagnosis and management of suspected pulmonary infections and may. Do All Chest Infections Show Up On Xray.
From sharedocnow.blogspot.com
Does Copd Show Up On Xray sharedoc Do All Chest Infections Show Up On Xray These white spots indicate that the alveoli are filled with pus. Chest x‐rays in acute chest infections. Acute chest infections (lower respiratory tract infections) such as pneumonia,. Imaging plays an integral role in the diagnosis and management of suspected pulmonary infections and may reveal useful signs on chest radiographs and ct scans. In fact every radiologst should be an expert. Do All Chest Infections Show Up On Xray.
From klavtdhib.blob.core.windows.net
Chest X Ray Healthy Lungs at Rosner blog Do All Chest Infections Show Up On Xray In fact every radiologst should be an expert in chest film reading. Imaging plays an integral role in the diagnosis and management of suspected pulmonary infections and may reveal useful signs on chest radiographs and ct scans. Blood tests and phlegm (sputum). These white spots indicate that the alveoli are filled with pus. Acute chest infections (lower respiratory tract infections). Do All Chest Infections Show Up On Xray.
From loeqkwddo.blob.core.windows.net
Can Chest XRay Detect Bronchitis at Jerome Mcfee blog Do All Chest Infections Show Up On Xray These white spots indicate that the alveoli are filled with pus. Acute chest infections (lower respiratory tract infections) such as pneumonia,. Chest x‐rays in acute chest infections. The interpretation of a chest film. Blood tests and phlegm (sputum). In fact every radiologst should be an expert in chest film reading. Imaging plays an integral role in the diagnosis and management. Do All Chest Infections Show Up On Xray.
From radiology-information.blogspot.com
Chest X Ray Post Trauma Radiology Imaging Do All Chest Infections Show Up On Xray These white spots indicate that the alveoli are filled with pus. In fact every radiologst should be an expert in chest film reading. The interpretation of a chest film. Acute chest infections (lower respiratory tract infections) such as pneumonia,. Imaging plays an integral role in the diagnosis and management of suspected pulmonary infections and may reveal useful signs on chest. Do All Chest Infections Show Up On Xray.
From sharedocnow.blogspot.com
Does Copd Show Up On Xray sharedoc Do All Chest Infections Show Up On Xray Chest x‐rays in acute chest infections. The interpretation of a chest film. Imaging plays an integral role in the diagnosis and management of suspected pulmonary infections and may reveal useful signs on chest radiographs and ct scans. Acute chest infections (lower respiratory tract infections) such as pneumonia,. Blood tests and phlegm (sputum). In fact every radiologst should be an expert. Do All Chest Infections Show Up On Xray.