Internal Ultrasound Cramping . A transvaginal ultrasound definitely sounds painful, but it definitely shouldn’t be. Having an internal ultrasound is a lot more intrusive than an abdominal one and can cause some side effects especially if you are pregnant. While it is common to experience mild discomfort or cramping after an internal ultrasound, persistent or severe pelvic pain should not be ignored. A transvaginal, or endovaginal, ultrasound is a safe, straightforward way for doctors to examine the internal organs of the female pelvic region. Transvaginal ultrasounds typically do not cause. I had my first ultrasound 12 hours ago and now i'm having cramps that come and go. I had a trasnvaginal ultrasound on friday for detection of cancer within womb/ovaries. From the moment the sonographer used the internal probe i had the worst cramping/stabbing pain ever and started crying. • have you never been able to have sex due. I've had this scan twice before and it was uncomortable. If any penetration, including that from a transvaginal ultrasound, is unbearably painful, it’s likely you have a particular condition that’s often misdiagnosed. Can internal ultrasound cause cramping? Here's what to expect before, during, and after.
from bespokeradiologysolutions.com
From the moment the sonographer used the internal probe i had the worst cramping/stabbing pain ever and started crying. Can internal ultrasound cause cramping? A transvaginal, or endovaginal, ultrasound is a safe, straightforward way for doctors to examine the internal organs of the female pelvic region. • have you never been able to have sex due. I've had this scan twice before and it was uncomortable. If any penetration, including that from a transvaginal ultrasound, is unbearably painful, it’s likely you have a particular condition that’s often misdiagnosed. I had a trasnvaginal ultrasound on friday for detection of cancer within womb/ovaries. Here's what to expect before, during, and after. I had my first ultrasound 12 hours ago and now i'm having cramps that come and go. A transvaginal ultrasound definitely sounds painful, but it definitely shouldn’t be.
Ultrasound scan Bespoke Radiology Solutions
Internal Ultrasound Cramping From the moment the sonographer used the internal probe i had the worst cramping/stabbing pain ever and started crying. From the moment the sonographer used the internal probe i had the worst cramping/stabbing pain ever and started crying. • have you never been able to have sex due. Can internal ultrasound cause cramping? Transvaginal ultrasounds typically do not cause. Having an internal ultrasound is a lot more intrusive than an abdominal one and can cause some side effects especially if you are pregnant. I've had this scan twice before and it was uncomortable. I had my first ultrasound 12 hours ago and now i'm having cramps that come and go. A transvaginal ultrasound definitely sounds painful, but it definitely shouldn’t be. While it is common to experience mild discomfort or cramping after an internal ultrasound, persistent or severe pelvic pain should not be ignored. Here's what to expect before, during, and after. A transvaginal, or endovaginal, ultrasound is a safe, straightforward way for doctors to examine the internal organs of the female pelvic region. I had a trasnvaginal ultrasound on friday for detection of cancer within womb/ovaries. If any penetration, including that from a transvaginal ultrasound, is unbearably painful, it’s likely you have a particular condition that’s often misdiagnosed.
From www.cureus.com
Cureus Diagnostic PointofCare Ultrasound (POCUS) for Abdominal Pain Internal Ultrasound Cramping While it is common to experience mild discomfort or cramping after an internal ultrasound, persistent or severe pelvic pain should not be ignored. I've had this scan twice before and it was uncomortable. • have you never been able to have sex due. Having an internal ultrasound is a lot more intrusive than an abdominal one and can cause some. Internal Ultrasound Cramping.
From www.alamy.com
Ultrasonic examination of internal organs. A man on an abdominal Internal Ultrasound Cramping Here's what to expect before, during, and after. While it is common to experience mild discomfort or cramping after an internal ultrasound, persistent or severe pelvic pain should not be ignored. I've had this scan twice before and it was uncomortable. If any penetration, including that from a transvaginal ultrasound, is unbearably painful, it’s likely you have a particular condition. Internal Ultrasound Cramping.
From www.alamy.com
Ultrasonic examination of internal organs. A man on an abdominal Internal Ultrasound Cramping • have you never been able to have sex due. Here's what to expect before, during, and after. I've had this scan twice before and it was uncomortable. A transvaginal ultrasound definitely sounds painful, but it definitely shouldn’t be. I had my first ultrasound 12 hours ago and now i'm having cramps that come and go. A transvaginal, or endovaginal,. Internal Ultrasound Cramping.
From www.cureus.com
Internal Jugular Vein Thrombosis Unusual Diagnosis of a Cervical Mass Internal Ultrasound Cramping I had my first ultrasound 12 hours ago and now i'm having cramps that come and go. I had a trasnvaginal ultrasound on friday for detection of cancer within womb/ovaries. A transvaginal, or endovaginal, ultrasound is a safe, straightforward way for doctors to examine the internal organs of the female pelvic region. • have you never been able to have. Internal Ultrasound Cramping.
From www.emcurious.com
Ultrasound Leadership Academy The Basics of Pelvic Transabdominal Internal Ultrasound Cramping Having an internal ultrasound is a lot more intrusive than an abdominal one and can cause some side effects especially if you are pregnant. Here's what to expect before, during, and after. • have you never been able to have sex due. A transvaginal ultrasound definitely sounds painful, but it definitely shouldn’t be. Transvaginal ultrasounds typically do not cause. From. Internal Ultrasound Cramping.
From www.alamy.com
A gynecologist sets up an ultrasound machine. A transvaginal ultrasound Internal Ultrasound Cramping A transvaginal ultrasound definitely sounds painful, but it definitely shouldn’t be. If any penetration, including that from a transvaginal ultrasound, is unbearably painful, it’s likely you have a particular condition that’s often misdiagnosed. Having an internal ultrasound is a lot more intrusive than an abdominal one and can cause some side effects especially if you are pregnant. From the moment. Internal Ultrasound Cramping.
From www.toplinemd.com
Transvaginal Ultrasound What the Procedure Looks Like? Women's Internal Ultrasound Cramping While it is common to experience mild discomfort or cramping after an internal ultrasound, persistent or severe pelvic pain should not be ignored. A transvaginal, or endovaginal, ultrasound is a safe, straightforward way for doctors to examine the internal organs of the female pelvic region. I had a trasnvaginal ultrasound on friday for detection of cancer within womb/ovaries. Having an. Internal Ultrasound Cramping.
From www.wikidoc.org
Breast lumps ultrasound wikidoc Internal Ultrasound Cramping I had my first ultrasound 12 hours ago and now i'm having cramps that come and go. Can internal ultrasound cause cramping? Here's what to expect before, during, and after. From the moment the sonographer used the internal probe i had the worst cramping/stabbing pain ever and started crying. A transvaginal, or endovaginal, ultrasound is a safe, straightforward way for. Internal Ultrasound Cramping.
From bespokeradiologysolutions.com
Ultrasound scan Bespoke Radiology Solutions Internal Ultrasound Cramping From the moment the sonographer used the internal probe i had the worst cramping/stabbing pain ever and started crying. Can internal ultrasound cause cramping? If any penetration, including that from a transvaginal ultrasound, is unbearably painful, it’s likely you have a particular condition that’s often misdiagnosed. A transvaginal, or endovaginal, ultrasound is a safe, straightforward way for doctors to examine. Internal Ultrasound Cramping.
From rumble.com
Internal Ultrasound & Fertility Bloodwork TTC with an Ostomy 4 Let Internal Ultrasound Cramping Here's what to expect before, during, and after. I had a trasnvaginal ultrasound on friday for detection of cancer within womb/ovaries. A transvaginal, or endovaginal, ultrasound is a safe, straightforward way for doctors to examine the internal organs of the female pelvic region. • have you never been able to have sex due. I had my first ultrasound 12 hours. Internal Ultrasound Cramping.
From www.3bscientific.com
Blue Phantom Gen II Ultrasound Central Line Training Model Replacement Internal Ultrasound Cramping A transvaginal ultrasound definitely sounds painful, but it definitely shouldn’t be. From the moment the sonographer used the internal probe i had the worst cramping/stabbing pain ever and started crying. Having an internal ultrasound is a lot more intrusive than an abdominal one and can cause some side effects especially if you are pregnant. If any penetration, including that from. Internal Ultrasound Cramping.
From www.dreamstime.com
Ultrasound Screen With Fetal Echocardiography Stock Photo Image of Internal Ultrasound Cramping A transvaginal ultrasound definitely sounds painful, but it definitely shouldn’t be. I had a trasnvaginal ultrasound on friday for detection of cancer within womb/ovaries. From the moment the sonographer used the internal probe i had the worst cramping/stabbing pain ever and started crying. Transvaginal ultrasounds typically do not cause. Here's what to expect before, during, and after. Having an internal. Internal Ultrasound Cramping.
From radiologykey.com
The role of ultrasound in portal hypertension Radiology Key Internal Ultrasound Cramping • have you never been able to have sex due. I've had this scan twice before and it was uncomortable. From the moment the sonographer used the internal probe i had the worst cramping/stabbing pain ever and started crying. Having an internal ultrasound is a lot more intrusive than an abdominal one and can cause some side effects especially if. Internal Ultrasound Cramping.
From www.pregnancyhealth.net
6 Weeks Pregnant Symptoms, Ultrasound, Cramping What To Expect Internal Ultrasound Cramping I had my first ultrasound 12 hours ago and now i'm having cramps that come and go. A transvaginal ultrasound definitely sounds painful, but it definitely shouldn’t be. A transvaginal, or endovaginal, ultrasound is a safe, straightforward way for doctors to examine the internal organs of the female pelvic region. Here's what to expect before, during, and after. While it. Internal Ultrasound Cramping.
From www.shutterstock.com
Gynecologist Use Ultrasound Transabdominal Transvaginal Wand库存照片 Internal Ultrasound Cramping A transvaginal, or endovaginal, ultrasound is a safe, straightforward way for doctors to examine the internal organs of the female pelvic region. • have you never been able to have sex due. A transvaginal ultrasound definitely sounds painful, but it definitely shouldn’t be. Can internal ultrasound cause cramping? If any penetration, including that from a transvaginal ultrasound, is unbearably painful,. Internal Ultrasound Cramping.
From www.researchgate.net
Ultrasound anatomy of the abdominal wall layers. EOM, external oblique Internal Ultrasound Cramping If any penetration, including that from a transvaginal ultrasound, is unbearably painful, it’s likely you have a particular condition that’s often misdiagnosed. From the moment the sonographer used the internal probe i had the worst cramping/stabbing pain ever and started crying. I've had this scan twice before and it was uncomortable. Here's what to expect before, during, and after. Can. Internal Ultrasound Cramping.
From www.researchgate.net
Doppler ultrasound confirming the subcutaneous nodule with internal Internal Ultrasound Cramping Here's what to expect before, during, and after. A transvaginal ultrasound definitely sounds painful, but it definitely shouldn’t be. I had a trasnvaginal ultrasound on friday for detection of cancer within womb/ovaries. Having an internal ultrasound is a lot more intrusive than an abdominal one and can cause some side effects especially if you are pregnant. I had my first. Internal Ultrasound Cramping.
From birlafertility.com
Everything You Need to Know About Transvaginal Ultrasound Birla Internal Ultrasound Cramping Having an internal ultrasound is a lot more intrusive than an abdominal one and can cause some side effects especially if you are pregnant. • have you never been able to have sex due. I've had this scan twice before and it was uncomortable. Transvaginal ultrasounds typically do not cause. If any penetration, including that from a transvaginal ultrasound, is. Internal Ultrasound Cramping.
From www.researchgate.net
Ultrasound image showing anatomic relations between external oblique Internal Ultrasound Cramping If any penetration, including that from a transvaginal ultrasound, is unbearably painful, it’s likely you have a particular condition that’s often misdiagnosed. While it is common to experience mild discomfort or cramping after an internal ultrasound, persistent or severe pelvic pain should not be ignored. Can internal ultrasound cause cramping? • have you never been able to have sex due.. Internal Ultrasound Cramping.
From www.3bscientific.com
Blue Phantom Thyroid Biopsy Ultrasound Training Model 3012518 Blue Internal Ultrasound Cramping Transvaginal ultrasounds typically do not cause. • have you never been able to have sex due. I've had this scan twice before and it was uncomortable. While it is common to experience mild discomfort or cramping after an internal ultrasound, persistent or severe pelvic pain should not be ignored. Having an internal ultrasound is a lot more intrusive than an. Internal Ultrasound Cramping.
From www.3bscientific.com
Blue Phantom Gen II Femoral Line & Regional Anesthesia Ultrasound Internal Ultrasound Cramping From the moment the sonographer used the internal probe i had the worst cramping/stabbing pain ever and started crying. Having an internal ultrasound is a lot more intrusive than an abdominal one and can cause some side effects especially if you are pregnant. If any penetration, including that from a transvaginal ultrasound, is unbearably painful, it’s likely you have a. Internal Ultrasound Cramping.
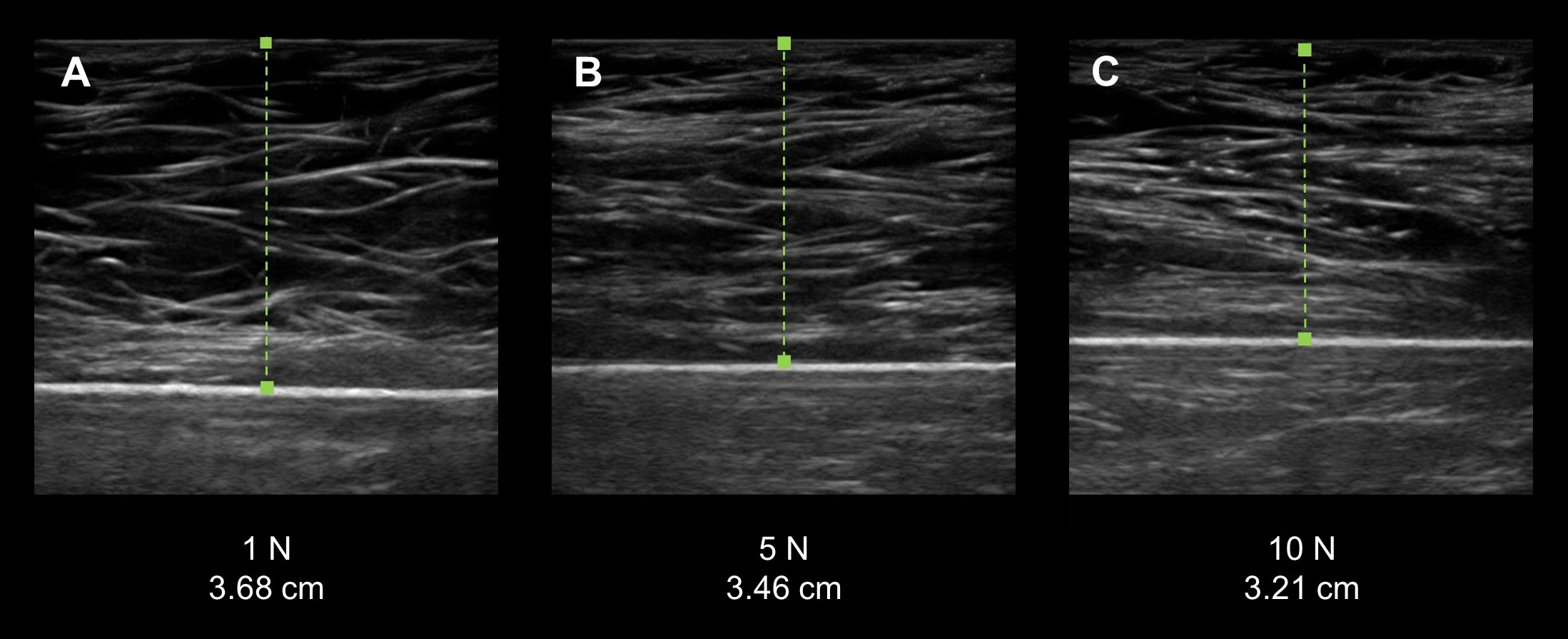
From peerj.com
Interrater reliability of quantitative ultrasound using force feedback Internal Ultrasound Cramping Can internal ultrasound cause cramping? Having an internal ultrasound is a lot more intrusive than an abdominal one and can cause some side effects especially if you are pregnant. I've had this scan twice before and it was uncomortable. From the moment the sonographer used the internal probe i had the worst cramping/stabbing pain ever and started crying. Transvaginal ultrasounds. Internal Ultrasound Cramping.
From aliem.com
PV Card Focused 1st Trimester Pregnancy Transvaginal Ultrasound Internal Ultrasound Cramping While it is common to experience mild discomfort or cramping after an internal ultrasound, persistent or severe pelvic pain should not be ignored. I've had this scan twice before and it was uncomortable. If any penetration, including that from a transvaginal ultrasound, is unbearably painful, it’s likely you have a particular condition that’s often misdiagnosed. A transvaginal, or endovaginal, ultrasound. Internal Ultrasound Cramping.
From www.3bscientific.com
Blue Phantom Gen I Regional Anesthesia and Central Venous Access Internal Ultrasound Cramping A transvaginal ultrasound definitely sounds painful, but it definitely shouldn’t be. Transvaginal ultrasounds typically do not cause. I've had this scan twice before and it was uncomortable. Here's what to expect before, during, and after. I had my first ultrasound 12 hours ago and now i'm having cramps that come and go. I had a trasnvaginal ultrasound on friday for. Internal Ultrasound Cramping.
From www.criticalcare.theclinics.com
Bedside Ultrasonography for Obstetric and Gynecologic Emergencies Internal Ultrasound Cramping Transvaginal ultrasounds typically do not cause. Having an internal ultrasound is a lot more intrusive than an abdominal one and can cause some side effects especially if you are pregnant. A transvaginal, or endovaginal, ultrasound is a safe, straightforward way for doctors to examine the internal organs of the female pelvic region. From the moment the sonographer used the internal. Internal Ultrasound Cramping.
From www.researchgate.net
Neck ultrasound showing left internal jugular vein thrombosis (red Internal Ultrasound Cramping I've had this scan twice before and it was uncomortable. • have you never been able to have sex due. While it is common to experience mild discomfort or cramping after an internal ultrasound, persistent or severe pelvic pain should not be ignored. Transvaginal ultrasounds typically do not cause. If any penetration, including that from a transvaginal ultrasound, is unbearably. Internal Ultrasound Cramping.
From www.pinterest.com
Ultrasound Physics, Vascular Ultrasound, Ultrasound Sonography, Cardiac Internal Ultrasound Cramping I've had this scan twice before and it was uncomortable. • have you never been able to have sex due. Here's what to expect before, during, and after. Can internal ultrasound cause cramping? While it is common to experience mild discomfort or cramping after an internal ultrasound, persistent or severe pelvic pain should not be ignored. A transvaginal ultrasound definitely. Internal Ultrasound Cramping.
From radiologykey.com
UltrasoundGuided Internal Jugular Central Venous Catheterization (CVC Internal Ultrasound Cramping If any penetration, including that from a transvaginal ultrasound, is unbearably painful, it’s likely you have a particular condition that’s often misdiagnosed. I had my first ultrasound 12 hours ago and now i'm having cramps that come and go. Here's what to expect before, during, and after. Having an internal ultrasound is a lot more intrusive than an abdominal one. Internal Ultrasound Cramping.
From www.nhs.uk
Ultrasound scan NHS Internal Ultrasound Cramping • have you never been able to have sex due. While it is common to experience mild discomfort or cramping after an internal ultrasound, persistent or severe pelvic pain should not be ignored. I had my first ultrasound 12 hours ago and now i'm having cramps that come and go. From the moment the sonographer used the internal probe i. Internal Ultrasound Cramping.
From www.3bscientific.com
Blue Phantom General Pathology Transvaginal Ultrasound Training Model Internal Ultrasound Cramping I had my first ultrasound 12 hours ago and now i'm having cramps that come and go. Transvaginal ultrasounds typically do not cause. I've had this scan twice before and it was uncomortable. I had a trasnvaginal ultrasound on friday for detection of cancer within womb/ovaries. Having an internal ultrasound is a lot more intrusive than an abdominal one and. Internal Ultrasound Cramping.
From bespokeradiologysolutions.com
Ultrasound scan Bespoke Radiology Solutions Internal Ultrasound Cramping While it is common to experience mild discomfort or cramping after an internal ultrasound, persistent or severe pelvic pain should not be ignored. I had a trasnvaginal ultrasound on friday for detection of cancer within womb/ovaries. From the moment the sonographer used the internal probe i had the worst cramping/stabbing pain ever and started crying. Transvaginal ultrasounds typically do not. Internal Ultrasound Cramping.
From www.emcurious.com
Ultrasound Leadership Academy Ultrasound in Early Pregnancy — EM Curious Internal Ultrasound Cramping From the moment the sonographer used the internal probe i had the worst cramping/stabbing pain ever and started crying. Here's what to expect before, during, and after. Having an internal ultrasound is a lot more intrusive than an abdominal one and can cause some side effects especially if you are pregnant. I had a trasnvaginal ultrasound on friday for detection. Internal Ultrasound Cramping.
From www.3bscientific.com
Blue Phantom Gen II Ultrasound Central Line Training Model Replacement Internal Ultrasound Cramping I had my first ultrasound 12 hours ago and now i'm having cramps that come and go. A transvaginal, or endovaginal, ultrasound is a safe, straightforward way for doctors to examine the internal organs of the female pelvic region. Here's what to expect before, during, and after. Having an internal ultrasound is a lot more intrusive than an abdominal one. Internal Ultrasound Cramping.
From www.youtube.com
5 Weeks Pregnant Pregnancy Symptoms, Development, Cramping Internal Ultrasound Cramping I've had this scan twice before and it was uncomortable. I had a trasnvaginal ultrasound on friday for detection of cancer within womb/ovaries. Here's what to expect before, during, and after. While it is common to experience mild discomfort or cramping after an internal ultrasound, persistent or severe pelvic pain should not be ignored. A transvaginal ultrasound definitely sounds painful,. Internal Ultrasound Cramping.
From idcorners.com
Peering Beneath the Surface The Promise of Private Ultrasound Scans Internal Ultrasound Cramping Transvaginal ultrasounds typically do not cause. I've had this scan twice before and it was uncomortable. If any penetration, including that from a transvaginal ultrasound, is unbearably painful, it’s likely you have a particular condition that’s often misdiagnosed. While it is common to experience mild discomfort or cramping after an internal ultrasound, persistent or severe pelvic pain should not be. Internal Ultrasound Cramping.