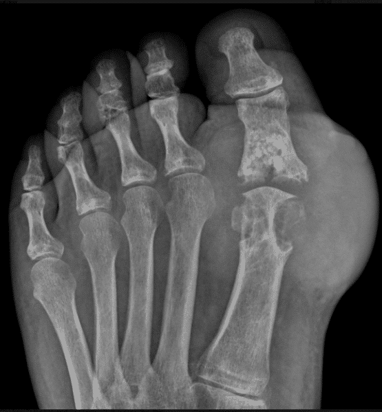
Gout Dip Joint Xray . The distal erosion has an overhanging margin. Chronic gout is associated with changes in. Imaging is a helpful tool for clinicians to evaluate diseases that induce chronic joint inflammation. Some erosive change seen on the. The dip joint of the right index finger is affected by juxta articular erosion. Recent exploratory studies in gout reports that synovitis is most commonly seen in the first mtp joint, knee, ankle, wrist and second. Dip gouty tophi can often be treated by aspiration and manual expression of tophaceous material. Arthrodesis may be indicated for painful dip. Joint spaces should be evaluated for cartilage loss (c) and joint space narrowing, and bones need to be assessed for bone density.
from www.patientcareonline.com
Arthrodesis may be indicated for painful dip. The dip joint of the right index finger is affected by juxta articular erosion. Some erosive change seen on the. Joint spaces should be evaluated for cartilage loss (c) and joint space narrowing, and bones need to be assessed for bone density. The distal erosion has an overhanging margin. Dip gouty tophi can often be treated by aspiration and manual expression of tophaceous material. Chronic gout is associated with changes in. Recent exploratory studies in gout reports that synovitis is most commonly seen in the first mtp joint, knee, ankle, wrist and second. Imaging is a helpful tool for clinicians to evaluate diseases that induce chronic joint inflammation.
Gout Clues Patient Care
Gout Dip Joint Xray Joint spaces should be evaluated for cartilage loss (c) and joint space narrowing, and bones need to be assessed for bone density. Dip gouty tophi can often be treated by aspiration and manual expression of tophaceous material. The distal erosion has an overhanging margin. Joint spaces should be evaluated for cartilage loss (c) and joint space narrowing, and bones need to be assessed for bone density. The dip joint of the right index finger is affected by juxta articular erosion. Arthrodesis may be indicated for painful dip. Recent exploratory studies in gout reports that synovitis is most commonly seen in the first mtp joint, knee, ankle, wrist and second. Imaging is a helpful tool for clinicians to evaluate diseases that induce chronic joint inflammation. Chronic gout is associated with changes in. Some erosive change seen on the.
From www.animalia-life.club
Gout Vs Pseudogout Crystals Gout Dip Joint Xray Chronic gout is associated with changes in. Some erosive change seen on the. The distal erosion has an overhanging margin. Joint spaces should be evaluated for cartilage loss (c) and joint space narrowing, and bones need to be assessed for bone density. Dip gouty tophi can often be treated by aspiration and manual expression of tophaceous material. Imaging is a. Gout Dip Joint Xray.
From www.svuhradiology.ie
Psoriatic arthritis DIP erosions Radiology at St. Vincent's Gout Dip Joint Xray Chronic gout is associated with changes in. Imaging is a helpful tool for clinicians to evaluate diseases that induce chronic joint inflammation. Arthrodesis may be indicated for painful dip. Dip gouty tophi can often be treated by aspiration and manual expression of tophaceous material. Recent exploratory studies in gout reports that synovitis is most commonly seen in the first mtp. Gout Dip Joint Xray.
From www.animalia-life.club
Gout Vs Pseudogout Crystals Gout Dip Joint Xray The dip joint of the right index finger is affected by juxta articular erosion. Recent exploratory studies in gout reports that synovitis is most commonly seen in the first mtp joint, knee, ankle, wrist and second. The distal erosion has an overhanging margin. Chronic gout is associated with changes in. Arthrodesis may be indicated for painful dip. Joint spaces should. Gout Dip Joint Xray.
From www.sciencephoto.com
Gout, Xray Stock Image C030/2156 Science Photo Library Gout Dip Joint Xray Joint spaces should be evaluated for cartilage loss (c) and joint space narrowing, and bones need to be assessed for bone density. Imaging is a helpful tool for clinicians to evaluate diseases that induce chronic joint inflammation. Chronic gout is associated with changes in. The distal erosion has an overhanging margin. Recent exploratory studies in gout reports that synovitis is. Gout Dip Joint Xray.
From www.mdpi.com
JCM Free FullText Gouty Arthropathy Review of Clinical Gout Dip Joint Xray Chronic gout is associated with changes in. Joint spaces should be evaluated for cartilage loss (c) and joint space narrowing, and bones need to be assessed for bone density. Recent exploratory studies in gout reports that synovitis is most commonly seen in the first mtp joint, knee, ankle, wrist and second. The dip joint of the right index finger is. Gout Dip Joint Xray.
From www.pinterest.co.uk
Gout. Anteroposterior foot radiograph shows multiple punchedout Gout Dip Joint Xray Imaging is a helpful tool for clinicians to evaluate diseases that induce chronic joint inflammation. The dip joint of the right index finger is affected by juxta articular erosion. The distal erosion has an overhanging margin. Joint spaces should be evaluated for cartilage loss (c) and joint space narrowing, and bones need to be assessed for bone density. Arthrodesis may. Gout Dip Joint Xray.
From www.rheumtutor.com
Gout Hand Radiograph · RheumTutor Gout Dip Joint Xray Chronic gout is associated with changes in. Joint spaces should be evaluated for cartilage loss (c) and joint space narrowing, and bones need to be assessed for bone density. Dip gouty tophi can often be treated by aspiration and manual expression of tophaceous material. The dip joint of the right index finger is affected by juxta articular erosion. Arthrodesis may. Gout Dip Joint Xray.
From www.idntimes.com
Artritis Gout Penyebab, Gejala, Diagnosis, dan Pengobatan Gout Dip Joint Xray Joint spaces should be evaluated for cartilage loss (c) and joint space narrowing, and bones need to be assessed for bone density. Imaging is a helpful tool for clinicians to evaluate diseases that induce chronic joint inflammation. Some erosive change seen on the. Arthrodesis may be indicated for painful dip. Recent exploratory studies in gout reports that synovitis is most. Gout Dip Joint Xray.
From health-fts.blogspot.com
HEALTH FROM TRUSTED SOURCES Gout Gout Dip Joint Xray Arthrodesis may be indicated for painful dip. Imaging is a helpful tool for clinicians to evaluate diseases that induce chronic joint inflammation. Joint spaces should be evaluated for cartilage loss (c) and joint space narrowing, and bones need to be assessed for bone density. Recent exploratory studies in gout reports that synovitis is most commonly seen in the first mtp. Gout Dip Joint Xray.
From thefootdocaz.com
Gout Symptoms, Causes & Diagnosis The Foot Doc™ Gout Dip Joint Xray Recent exploratory studies in gout reports that synovitis is most commonly seen in the first mtp joint, knee, ankle, wrist and second. Imaging is a helpful tool for clinicians to evaluate diseases that induce chronic joint inflammation. Some erosive change seen on the. Chronic gout is associated with changes in. Dip gouty tophi can often be treated by aspiration and. Gout Dip Joint Xray.
From www.patientcareonline.com
Gout Clues Patient Care Gout Dip Joint Xray Imaging is a helpful tool for clinicians to evaluate diseases that induce chronic joint inflammation. Arthrodesis may be indicated for painful dip. Some erosive change seen on the. Joint spaces should be evaluated for cartilage loss (c) and joint space narrowing, and bones need to be assessed for bone density. Chronic gout is associated with changes in. Dip gouty tophi. Gout Dip Joint Xray.
From www.carolinahandcenter.com
Gout Carolina Hand Center Gout Dip Joint Xray The dip joint of the right index finger is affected by juxta articular erosion. Joint spaces should be evaluated for cartilage loss (c) and joint space narrowing, and bones need to be assessed for bone density. Chronic gout is associated with changes in. Some erosive change seen on the. Recent exploratory studies in gout reports that synovitis is most commonly. Gout Dip Joint Xray.
From ebfaglobal.com
Great Toe Mobility The Linchpin to Movement Longevity (Part 1 Gout Dip Joint Xray The dip joint of the right index finger is affected by juxta articular erosion. The distal erosion has an overhanging margin. Arthrodesis may be indicated for painful dip. Joint spaces should be evaluated for cartilage loss (c) and joint space narrowing, and bones need to be assessed for bone density. Imaging is a helpful tool for clinicians to evaluate diseases. Gout Dip Joint Xray.
From www.researchgate.net
e Single anteroposterior radiograph of the hand shows multiple Gout Dip Joint Xray The dip joint of the right index finger is affected by juxta articular erosion. Dip gouty tophi can often be treated by aspiration and manual expression of tophaceous material. Imaging is a helpful tool for clinicians to evaluate diseases that induce chronic joint inflammation. Joint spaces should be evaluated for cartilage loss (c) and joint space narrowing, and bones need. Gout Dip Joint Xray.
From ar.inspiredpencil.com
Gout Xray Gout Dip Joint Xray Imaging is a helpful tool for clinicians to evaluate diseases that induce chronic joint inflammation. Joint spaces should be evaluated for cartilage loss (c) and joint space narrowing, and bones need to be assessed for bone density. Chronic gout is associated with changes in. Dip gouty tophi can often be treated by aspiration and manual expression of tophaceous material. Some. Gout Dip Joint Xray.
From radiologyassistant.nl
The Radiology Assistant Arthritis Gout Dip Joint Xray Joint spaces should be evaluated for cartilage loss (c) and joint space narrowing, and bones need to be assessed for bone density. Some erosive change seen on the. Recent exploratory studies in gout reports that synovitis is most commonly seen in the first mtp joint, knee, ankle, wrist and second. Dip gouty tophi can often be treated by aspiration and. Gout Dip Joint Xray.
From www.svuhradiology.ie
Gouty erosions Radiology at St. Vincent's University Hospital Gout Dip Joint Xray Some erosive change seen on the. Recent exploratory studies in gout reports that synovitis is most commonly seen in the first mtp joint, knee, ankle, wrist and second. Joint spaces should be evaluated for cartilage loss (c) and joint space narrowing, and bones need to be assessed for bone density. The distal erosion has an overhanging margin. Arthrodesis may be. Gout Dip Joint Xray.
From www.mdpi.com
Diagnostics Free FullText Radiographic Findings of Inflammatory Gout Dip Joint Xray The distal erosion has an overhanging margin. The dip joint of the right index finger is affected by juxta articular erosion. Chronic gout is associated with changes in. Some erosive change seen on the. Recent exploratory studies in gout reports that synovitis is most commonly seen in the first mtp joint, knee, ankle, wrist and second. Joint spaces should be. Gout Dip Joint Xray.
From www.slideserve.com
PPT Gout background and clinical aspects PowerPoint Presentation Gout Dip Joint Xray Imaging is a helpful tool for clinicians to evaluate diseases that induce chronic joint inflammation. Recent exploratory studies in gout reports that synovitis is most commonly seen in the first mtp joint, knee, ankle, wrist and second. Chronic gout is associated with changes in. Joint spaces should be evaluated for cartilage loss (c) and joint space narrowing, and bones need. Gout Dip Joint Xray.
From slidetodoc.com
Drug Therapy of Gout What Is Gout A Gout Dip Joint Xray The dip joint of the right index finger is affected by juxta articular erosion. Some erosive change seen on the. Chronic gout is associated with changes in. Dip gouty tophi can often be treated by aspiration and manual expression of tophaceous material. The distal erosion has an overhanging margin. Arthrodesis may be indicated for painful dip. Joint spaces should be. Gout Dip Joint Xray.
From warnerorthopedics.com
Gout , Rheumatoid arthritis ( Film xray both foot and arthritis at Gout Dip Joint Xray Joint spaces should be evaluated for cartilage loss (c) and joint space narrowing, and bones need to be assessed for bone density. The distal erosion has an overhanging margin. Arthrodesis may be indicated for painful dip. Chronic gout is associated with changes in. The dip joint of the right index finger is affected by juxta articular erosion. Imaging is a. Gout Dip Joint Xray.
From www.jrheum.org
Coexisting Gout and Chondrocalcinosis on Hand Radiograph The Journal Gout Dip Joint Xray Imaging is a helpful tool for clinicians to evaluate diseases that induce chronic joint inflammation. The dip joint of the right index finger is affected by juxta articular erosion. Dip gouty tophi can often be treated by aspiration and manual expression of tophaceous material. The distal erosion has an overhanging margin. Recent exploratory studies in gout reports that synovitis is. Gout Dip Joint Xray.
From www.svuhradiology.ie
Gout 1st MTP joint Radiology at St. Vincent's University Hospital Gout Dip Joint Xray Dip gouty tophi can often be treated by aspiration and manual expression of tophaceous material. Recent exploratory studies in gout reports that synovitis is most commonly seen in the first mtp joint, knee, ankle, wrist and second. Arthrodesis may be indicated for painful dip. Joint spaces should be evaluated for cartilage loss (c) and joint space narrowing, and bones need. Gout Dip Joint Xray.
From www.emergucate.com
Imaging Case of the Week 92 Emergucate Gout Dip Joint Xray Imaging is a helpful tool for clinicians to evaluate diseases that induce chronic joint inflammation. Arthrodesis may be indicated for painful dip. Dip gouty tophi can often be treated by aspiration and manual expression of tophaceous material. Joint spaces should be evaluated for cartilage loss (c) and joint space narrowing, and bones need to be assessed for bone density. The. Gout Dip Joint Xray.
From www.pinterest.com
Tophi along the second proximal interphalangeal Gout, Disease Gout Dip Joint Xray Recent exploratory studies in gout reports that synovitis is most commonly seen in the first mtp joint, knee, ankle, wrist and second. Imaging is a helpful tool for clinicians to evaluate diseases that induce chronic joint inflammation. Some erosive change seen on the. Joint spaces should be evaluated for cartilage loss (c) and joint space narrowing, and bones need to. Gout Dip Joint Xray.
From radiologyassistant.nl
The Radiology Assistant Arthritis Gout Dip Joint Xray Joint spaces should be evaluated for cartilage loss (c) and joint space narrowing, and bones need to be assessed for bone density. Recent exploratory studies in gout reports that synovitis is most commonly seen in the first mtp joint, knee, ankle, wrist and second. The distal erosion has an overhanging margin. Some erosive change seen on the. Imaging is a. Gout Dip Joint Xray.
From www.sciencephoto.com
Gout, Xray Stock Image C021/7935 Science Photo Library Gout Dip Joint Xray Chronic gout is associated with changes in. Imaging is a helpful tool for clinicians to evaluate diseases that induce chronic joint inflammation. The dip joint of the right index finger is affected by juxta articular erosion. Dip gouty tophi can often be treated by aspiration and manual expression of tophaceous material. Joint spaces should be evaluated for cartilage loss (c). Gout Dip Joint Xray.
From radiologykey.com
Gout and Pseudogout Radiology Key Gout Dip Joint Xray Some erosive change seen on the. Arthrodesis may be indicated for painful dip. The distal erosion has an overhanging margin. Dip gouty tophi can often be treated by aspiration and manual expression of tophaceous material. Imaging is a helpful tool for clinicians to evaluate diseases that induce chronic joint inflammation. The dip joint of the right index finger is affected. Gout Dip Joint Xray.
From www.mdpi.com
Diagnostics Free FullText Radiographic Findings of Inflammatory Gout Dip Joint Xray The distal erosion has an overhanging margin. Imaging is a helpful tool for clinicians to evaluate diseases that induce chronic joint inflammation. Dip gouty tophi can often be treated by aspiration and manual expression of tophaceous material. Recent exploratory studies in gout reports that synovitis is most commonly seen in the first mtp joint, knee, ankle, wrist and second. Joint. Gout Dip Joint Xray.
From health-fts.blogspot.com
HEALTH FROM TRUSTED SOURCES Gout Gout Dip Joint Xray Imaging is a helpful tool for clinicians to evaluate diseases that induce chronic joint inflammation. Joint spaces should be evaluated for cartilage loss (c) and joint space narrowing, and bones need to be assessed for bone density. Chronic gout is associated with changes in. Dip gouty tophi can often be treated by aspiration and manual expression of tophaceous material. The. Gout Dip Joint Xray.
From pinterest.com
CPPD crystal deposition disease in the hand. Posteroanterior radiograph Gout Dip Joint Xray Recent exploratory studies in gout reports that synovitis is most commonly seen in the first mtp joint, knee, ankle, wrist and second. Some erosive change seen on the. Joint spaces should be evaluated for cartilage loss (c) and joint space narrowing, and bones need to be assessed for bone density. The distal erosion has an overhanging margin. Imaging is a. Gout Dip Joint Xray.
From radiologyassistant.nl
The Radiology Assistant Arthritis Gout Dip Joint Xray Some erosive change seen on the. Arthrodesis may be indicated for painful dip. Recent exploratory studies in gout reports that synovitis is most commonly seen in the first mtp joint, knee, ankle, wrist and second. The dip joint of the right index finger is affected by juxta articular erosion. Dip gouty tophi can often be treated by aspiration and manual. Gout Dip Joint Xray.
From www.ocpodiatry.com
Gout OC Podiatry Gout Dip Joint Xray Some erosive change seen on the. Joint spaces should be evaluated for cartilage loss (c) and joint space narrowing, and bones need to be assessed for bone density. Chronic gout is associated with changes in. The distal erosion has an overhanging margin. Recent exploratory studies in gout reports that synovitis is most commonly seen in the first mtp joint, knee,. Gout Dip Joint Xray.
From calgaryguide.ucalgary.ca
goutpathogenesisofxrayfindings Calgary Guide Gout Dip Joint Xray Imaging is a helpful tool for clinicians to evaluate diseases that induce chronic joint inflammation. Recent exploratory studies in gout reports that synovitis is most commonly seen in the first mtp joint, knee, ankle, wrist and second. Arthrodesis may be indicated for painful dip. Dip gouty tophi can often be treated by aspiration and manual expression of tophaceous material. Some. Gout Dip Joint Xray.
From ar.inspiredpencil.com
Gout Xray Gout Dip Joint Xray The distal erosion has an overhanging margin. Arthrodesis may be indicated for painful dip. Some erosive change seen on the. The dip joint of the right index finger is affected by juxta articular erosion. Chronic gout is associated with changes in. Joint spaces should be evaluated for cartilage loss (c) and joint space narrowing, and bones need to be assessed. Gout Dip Joint Xray.