Is Grinding Metal Bad For Your Lungs . The amount of dust and the kinds of. Lead dust and fumes are not noticeable in the air and do not have an odor. Certain work tasks, like heating or grinding metal, can increase lead exposure risk. Human lungs were designed for gas exchange. This case contains two interesting findings. This issue of the ajrccm (pp. First, metallic titanium grindings were identified as an additional (in addition to tio 2 and. Any occupation where you risk particle inhalation on a regular basis is dangerous to your health. Your body absorbs higher levels of lead when you breathe it in. Occupational exposure to fluid commonly used in metal machining operations may be related to a rare, irreversible lung disease,. Those exposed to metal dust may be at a higher risk of developing chronic lung conditions. Prolonged exposure to metal dust like steel, iron and cobalt can result in lung conditions such as siderosis and.
from www.jpedsurg.org
Any occupation where you risk particle inhalation on a regular basis is dangerous to your health. Lead dust and fumes are not noticeable in the air and do not have an odor. This case contains two interesting findings. Certain work tasks, like heating or grinding metal, can increase lead exposure risk. Prolonged exposure to metal dust like steel, iron and cobalt can result in lung conditions such as siderosis and. The amount of dust and the kinds of. Human lungs were designed for gas exchange. First, metallic titanium grindings were identified as an additional (in addition to tio 2 and. Those exposed to metal dust may be at a higher risk of developing chronic lung conditions. Your body absorbs higher levels of lead when you breathe it in.
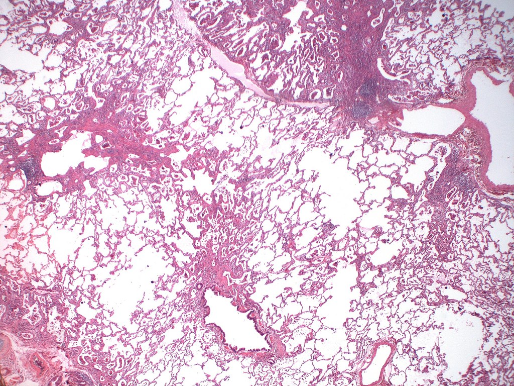
Metallic foreign body in the lung a case report Journal of Pediatric
Is Grinding Metal Bad For Your Lungs Prolonged exposure to metal dust like steel, iron and cobalt can result in lung conditions such as siderosis and. Occupational exposure to fluid commonly used in metal machining operations may be related to a rare, irreversible lung disease,. Certain work tasks, like heating or grinding metal, can increase lead exposure risk. The amount of dust and the kinds of. Human lungs were designed for gas exchange. Any occupation where you risk particle inhalation on a regular basis is dangerous to your health. Prolonged exposure to metal dust like steel, iron and cobalt can result in lung conditions such as siderosis and. Lead dust and fumes are not noticeable in the air and do not have an odor. This issue of the ajrccm (pp. Those exposed to metal dust may be at a higher risk of developing chronic lung conditions. This case contains two interesting findings. First, metallic titanium grindings were identified as an additional (in addition to tio 2 and. Your body absorbs higher levels of lead when you breathe it in.
From www.actdustcollectors.com
Can Grinding Dust Be Completely Controlled? A.C.T. Dust Collectors Is Grinding Metal Bad For Your Lungs This issue of the ajrccm (pp. Lead dust and fumes are not noticeable in the air and do not have an odor. Prolonged exposure to metal dust like steel, iron and cobalt can result in lung conditions such as siderosis and. Occupational exposure to fluid commonly used in metal machining operations may be related to a rare, irreversible lung disease,.. Is Grinding Metal Bad For Your Lungs.
From www.powerofpositivity.com
10 Early Warning Signs of Lung Cancer to Never Ignore Is Grinding Metal Bad For Your Lungs Human lungs were designed for gas exchange. Occupational exposure to fluid commonly used in metal machining operations may be related to a rare, irreversible lung disease,. This case contains two interesting findings. The amount of dust and the kinds of. Your body absorbs higher levels of lead when you breathe it in. First, metallic titanium grindings were identified as an. Is Grinding Metal Bad For Your Lungs.
From www.fastenersystems.com
Grind with Precision A Guide to the Best Metal Grinding Wheels Is Grinding Metal Bad For Your Lungs Your body absorbs higher levels of lead when you breathe it in. First, metallic titanium grindings were identified as an additional (in addition to tio 2 and. Human lungs were designed for gas exchange. This case contains two interesting findings. Occupational exposure to fluid commonly used in metal machining operations may be related to a rare, irreversible lung disease,. Prolonged. Is Grinding Metal Bad For Your Lungs.
From lesite24h.com
Metal lungs concept uses algae to suck in atmospheric carbon dioxide Is Grinding Metal Bad For Your Lungs Prolonged exposure to metal dust like steel, iron and cobalt can result in lung conditions such as siderosis and. Certain work tasks, like heating or grinding metal, can increase lead exposure risk. Lead dust and fumes are not noticeable in the air and do not have an odor. This case contains two interesting findings. Your body absorbs higher levels of. Is Grinding Metal Bad For Your Lungs.
From www.youtube.com
Metal Lungs of Health YouTube Is Grinding Metal Bad For Your Lungs Occupational exposure to fluid commonly used in metal machining operations may be related to a rare, irreversible lung disease,. Your body absorbs higher levels of lead when you breathe it in. This issue of the ajrccm (pp. Prolonged exposure to metal dust like steel, iron and cobalt can result in lung conditions such as siderosis and. Lead dust and fumes. Is Grinding Metal Bad For Your Lungs.
From bmjopen.bmj.com
An observational study of giant cell interstitial pneumonia and lung Is Grinding Metal Bad For Your Lungs Prolonged exposure to metal dust like steel, iron and cobalt can result in lung conditions such as siderosis and. Those exposed to metal dust may be at a higher risk of developing chronic lung conditions. Your body absorbs higher levels of lead when you breathe it in. First, metallic titanium grindings were identified as an additional (in addition to tio. Is Grinding Metal Bad For Your Lungs.
From www.areasofmyexpertise.com
How to Grind Metal The Only Guide You Need Areas of My Expertise Is Grinding Metal Bad For Your Lungs First, metallic titanium grindings were identified as an additional (in addition to tio 2 and. Lead dust and fumes are not noticeable in the air and do not have an odor. The amount of dust and the kinds of. Occupational exposure to fluid commonly used in metal machining operations may be related to a rare, irreversible lung disease,. Your body. Is Grinding Metal Bad For Your Lungs.
From pixels.com
Metal Lungs Photograph by Jose Antonio Penas/science Photo Library Pixels Is Grinding Metal Bad For Your Lungs Your body absorbs higher levels of lead when you breathe it in. First, metallic titanium grindings were identified as an additional (in addition to tio 2 and. Lead dust and fumes are not noticeable in the air and do not have an odor. Human lungs were designed for gas exchange. The amount of dust and the kinds of. This issue. Is Grinding Metal Bad For Your Lungs.
From www.independent.co.uk
First known case of metalscarring lung damage from vaping identified Is Grinding Metal Bad For Your Lungs Human lungs were designed for gas exchange. Certain work tasks, like heating or grinding metal, can increase lead exposure risk. This issue of the ajrccm (pp. Prolonged exposure to metal dust like steel, iron and cobalt can result in lung conditions such as siderosis and. Those exposed to metal dust may be at a higher risk of developing chronic lung. Is Grinding Metal Bad For Your Lungs.
From www.zmescience.com
What are 'iron lungs', and could this old tech still be useful today? Is Grinding Metal Bad For Your Lungs Prolonged exposure to metal dust like steel, iron and cobalt can result in lung conditions such as siderosis and. The amount of dust and the kinds of. Human lungs were designed for gas exchange. Any occupation where you risk particle inhalation on a regular basis is dangerous to your health. Those exposed to metal dust may be at a higher. Is Grinding Metal Bad For Your Lungs.
From exofzipbr.blob.core.windows.net
What To Wear When Grinding Metal at Shirley Abbott blog Is Grinding Metal Bad For Your Lungs Your body absorbs higher levels of lead when you breathe it in. Occupational exposure to fluid commonly used in metal machining operations may be related to a rare, irreversible lung disease,. The amount of dust and the kinds of. Lead dust and fumes are not noticeable in the air and do not have an odor. Human lungs were designed for. Is Grinding Metal Bad For Your Lungs.
From in.pinterest.com
Stock Photo Broken metal lung in 2020 Lunges, Metal, Digital health Is Grinding Metal Bad For Your Lungs Certain work tasks, like heating or grinding metal, can increase lead exposure risk. Human lungs were designed for gas exchange. Your body absorbs higher levels of lead when you breathe it in. Occupational exposure to fluid commonly used in metal machining operations may be related to a rare, irreversible lung disease,. Any occupation where you risk particle inhalation on a. Is Grinding Metal Bad For Your Lungs.
From www.dreamstime.com
Industry Grinding in and Sparks Stock Photo Image of Is Grinding Metal Bad For Your Lungs This case contains two interesting findings. Any occupation where you risk particle inhalation on a regular basis is dangerous to your health. Occupational exposure to fluid commonly used in metal machining operations may be related to a rare, irreversible lung disease,. This issue of the ajrccm (pp. Your body absorbs higher levels of lead when you breathe it in. Those. Is Grinding Metal Bad For Your Lungs.
From www.npr.org
How New Cases Of Lung Damage Emerged In The U.S. Countertop Industry Is Grinding Metal Bad For Your Lungs Prolonged exposure to metal dust like steel, iron and cobalt can result in lung conditions such as siderosis and. Occupational exposure to fluid commonly used in metal machining operations may be related to a rare, irreversible lung disease,. First, metallic titanium grindings were identified as an additional (in addition to tio 2 and. This issue of the ajrccm (pp. Your. Is Grinding Metal Bad For Your Lungs.
From africanpetrochemicals.co.za
Grinding Techniques YOUR application, OUR solution Preventing Is Grinding Metal Bad For Your Lungs This case contains two interesting findings. Any occupation where you risk particle inhalation on a regular basis is dangerous to your health. The amount of dust and the kinds of. First, metallic titanium grindings were identified as an additional (in addition to tio 2 and. Lead dust and fumes are not noticeable in the air and do not have an. Is Grinding Metal Bad For Your Lungs.
From www.researchgate.net
WORKERS' LUNGS DAMAGED BY METAL FUMES Download Scientific Diagram Is Grinding Metal Bad For Your Lungs Your body absorbs higher levels of lead when you breathe it in. Prolonged exposure to metal dust like steel, iron and cobalt can result in lung conditions such as siderosis and. Lead dust and fumes are not noticeable in the air and do not have an odor. Human lungs were designed for gas exchange. First, metallic titanium grindings were identified. Is Grinding Metal Bad For Your Lungs.
From healingthebody.ca
Smokers Or Past Smokers Six Ways To Cleanse And Revitalize Your Lungs Is Grinding Metal Bad For Your Lungs Any occupation where you risk particle inhalation on a regular basis is dangerous to your health. Human lungs were designed for gas exchange. Your body absorbs higher levels of lead when you breathe it in. Prolonged exposure to metal dust like steel, iron and cobalt can result in lung conditions such as siderosis and. This case contains two interesting findings.. Is Grinding Metal Bad For Your Lungs.
From www.yankodesign.com
Metal lungs concept uses algae to suck in atmospheric carbon dioxide Is Grinding Metal Bad For Your Lungs Human lungs were designed for gas exchange. First, metallic titanium grindings were identified as an additional (in addition to tio 2 and. Any occupation where you risk particle inhalation on a regular basis is dangerous to your health. Occupational exposure to fluid commonly used in metal machining operations may be related to a rare, irreversible lung disease,. Your body absorbs. Is Grinding Metal Bad For Your Lungs.
From www.alamy.com
Chest Xray metal foreign body in lung Stock Photo Alamy Is Grinding Metal Bad For Your Lungs Certain work tasks, like heating or grinding metal, can increase lead exposure risk. This issue of the ajrccm (pp. First, metallic titanium grindings were identified as an additional (in addition to tio 2 and. Those exposed to metal dust may be at a higher risk of developing chronic lung conditions. Lead dust and fumes are not noticeable in the air. Is Grinding Metal Bad For Your Lungs.
From www.pinterest.com
Two cases of hard metal lung disease showing gradual improvement in Is Grinding Metal Bad For Your Lungs Human lungs were designed for gas exchange. Prolonged exposure to metal dust like steel, iron and cobalt can result in lung conditions such as siderosis and. The amount of dust and the kinds of. This issue of the ajrccm (pp. Your body absorbs higher levels of lead when you breathe it in. Certain work tasks, like heating or grinding metal,. Is Grinding Metal Bad For Your Lungs.
From lifeboat.com
New Metal Lungs Boosted Mammals’ Respiratory Efficiency Is Grinding Metal Bad For Your Lungs First, metallic titanium grindings were identified as an additional (in addition to tio 2 and. Those exposed to metal dust may be at a higher risk of developing chronic lung conditions. Any occupation where you risk particle inhalation on a regular basis is dangerous to your health. This case contains two interesting findings. Prolonged exposure to metal dust like steel,. Is Grinding Metal Bad For Your Lungs.
From journals.lww.com
Update on metalinduced occupational lung disease Current Opinion in Is Grinding Metal Bad For Your Lungs Occupational exposure to fluid commonly used in metal machining operations may be related to a rare, irreversible lung disease,. This case contains two interesting findings. This issue of the ajrccm (pp. Prolonged exposure to metal dust like steel, iron and cobalt can result in lung conditions such as siderosis and. First, metallic titanium grindings were identified as an additional (in. Is Grinding Metal Bad For Your Lungs.
From laptrinhx.com
Metal lungs concept uses algae to suck in atmospheric carbon dioxide Is Grinding Metal Bad For Your Lungs The amount of dust and the kinds of. Those exposed to metal dust may be at a higher risk of developing chronic lung conditions. Your body absorbs higher levels of lead when you breathe it in. This case contains two interesting findings. Occupational exposure to fluid commonly used in metal machining operations may be related to a rare, irreversible lung. Is Grinding Metal Bad For Your Lungs.
From exofzipbr.blob.core.windows.net
What To Wear When Grinding Metal at Shirley Abbott blog Is Grinding Metal Bad For Your Lungs Those exposed to metal dust may be at a higher risk of developing chronic lung conditions. Occupational exposure to fluid commonly used in metal machining operations may be related to a rare, irreversible lung disease,. This issue of the ajrccm (pp. First, metallic titanium grindings were identified as an additional (in addition to tio 2 and. Human lungs were designed. Is Grinding Metal Bad For Your Lungs.
From www.sciencephoto.com
Metal lungs with cigarette smoke Stock Image C009/4827 Science Is Grinding Metal Bad For Your Lungs Any occupation where you risk particle inhalation on a regular basis is dangerous to your health. Prolonged exposure to metal dust like steel, iron and cobalt can result in lung conditions such as siderosis and. The amount of dust and the kinds of. Lead dust and fumes are not noticeable in the air and do not have an odor. Those. Is Grinding Metal Bad For Your Lungs.
From metalprofy.com
Top 5 Best Respirators for Metal Grinding [January 2024 Review Is Grinding Metal Bad For Your Lungs Prolonged exposure to metal dust like steel, iron and cobalt can result in lung conditions such as siderosis and. Occupational exposure to fluid commonly used in metal machining operations may be related to a rare, irreversible lung disease,. Your body absorbs higher levels of lead when you breathe it in. Human lungs were designed for gas exchange. Lead dust and. Is Grinding Metal Bad For Your Lungs.
From www.livescience.com
A Teen's Lungs Were So Badly Damaged from Vaping, He Needed A Double Is Grinding Metal Bad For Your Lungs Lead dust and fumes are not noticeable in the air and do not have an odor. Certain work tasks, like heating or grinding metal, can increase lead exposure risk. Human lungs were designed for gas exchange. Any occupation where you risk particle inhalation on a regular basis is dangerous to your health. Occupational exposure to fluid commonly used in metal. Is Grinding Metal Bad For Your Lungs.
From www.researchgate.net
(PDF) Two cases of hard metal lung disease showing gradual improvement Is Grinding Metal Bad For Your Lungs This case contains two interesting findings. Prolonged exposure to metal dust like steel, iron and cobalt can result in lung conditions such as siderosis and. Human lungs were designed for gas exchange. This issue of the ajrccm (pp. Lead dust and fumes are not noticeable in the air and do not have an odor. Any occupation where you risk particle. Is Grinding Metal Bad For Your Lungs.
From www.researchgate.net
(PDF) Hard metal lung disease Unexpected CT findings Is Grinding Metal Bad For Your Lungs Any occupation where you risk particle inhalation on a regular basis is dangerous to your health. Occupational exposure to fluid commonly used in metal machining operations may be related to a rare, irreversible lung disease,. Human lungs were designed for gas exchange. Prolonged exposure to metal dust like steel, iron and cobalt can result in lung conditions such as siderosis. Is Grinding Metal Bad For Your Lungs.
From www.alamy.com
Oedema of the lungs hires stock photography and images Alamy Is Grinding Metal Bad For Your Lungs The amount of dust and the kinds of. Prolonged exposure to metal dust like steel, iron and cobalt can result in lung conditions such as siderosis and. This issue of the ajrccm (pp. Human lungs were designed for gas exchange. First, metallic titanium grindings were identified as an additional (in addition to tio 2 and. Any occupation where you risk. Is Grinding Metal Bad For Your Lungs.
From lunginstitute.com
Can Breathing Metal Dust Hurt You? Lung Institute Is Grinding Metal Bad For Your Lungs Prolonged exposure to metal dust like steel, iron and cobalt can result in lung conditions such as siderosis and. Lead dust and fumes are not noticeable in the air and do not have an odor. Certain work tasks, like heating or grinding metal, can increase lead exposure risk. First, metallic titanium grindings were identified as an additional (in addition to. Is Grinding Metal Bad For Your Lungs.
From www.jpedsurg.org
Metallic foreign body in the lung a case report Journal of Pediatric Is Grinding Metal Bad For Your Lungs Any occupation where you risk particle inhalation on a regular basis is dangerous to your health. Lead dust and fumes are not noticeable in the air and do not have an odor. This issue of the ajrccm (pp. Those exposed to metal dust may be at a higher risk of developing chronic lung conditions. Prolonged exposure to metal dust like. Is Grinding Metal Bad For Your Lungs.
From www.flickriver.com
Hard metal lung disease/Giant cell interstitial pneumonia (GIP) Case Is Grinding Metal Bad For Your Lungs First, metallic titanium grindings were identified as an additional (in addition to tio 2 and. The amount of dust and the kinds of. Prolonged exposure to metal dust like steel, iron and cobalt can result in lung conditions such as siderosis and. Human lungs were designed for gas exchange. Certain work tasks, like heating or grinding metal, can increase lead. Is Grinding Metal Bad For Your Lungs.
From exofzipbr.blob.core.windows.net
What To Wear When Grinding Metal at Shirley Abbott blog Is Grinding Metal Bad For Your Lungs Any occupation where you risk particle inhalation on a regular basis is dangerous to your health. Human lungs were designed for gas exchange. Your body absorbs higher levels of lead when you breathe it in. Occupational exposure to fluid commonly used in metal machining operations may be related to a rare, irreversible lung disease,. This issue of the ajrccm (pp.. Is Grinding Metal Bad For Your Lungs.
From www.euromarc.co.nz
What respirator do I need for grinding metal? Is Grinding Metal Bad For Your Lungs This issue of the ajrccm (pp. Any occupation where you risk particle inhalation on a regular basis is dangerous to your health. This case contains two interesting findings. Lead dust and fumes are not noticeable in the air and do not have an odor. Occupational exposure to fluid commonly used in metal machining operations may be related to a rare,. Is Grinding Metal Bad For Your Lungs.