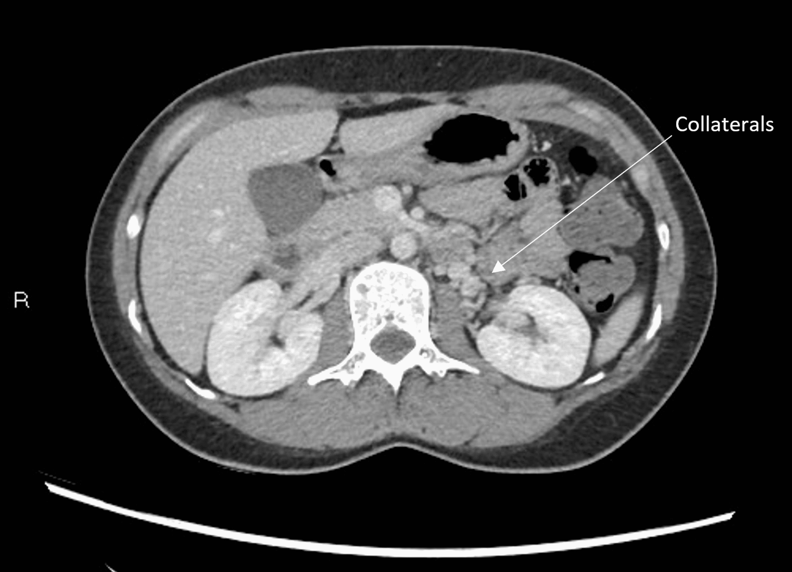
Nutcracker Syndrome Abdominal Pain . Nutcracker syndrome (ncs) is an extrinsic compression of the left renal vein (lrv) by the superior mesenteric artery (sma). Entrapment of the left renal vein between superior mesenteric artery and aorta is known as nutcracker phenomena, while. Nutcracker syndrome (ncs), a rare but impactful vascular condition, emerges from the compression of the left renal vein by adjacent. The nutcracker syndrome is a rare clinical entity caused by compression of the left renal vein (lrv) by the superior mesenteric. The most common clinical presentations of ncs include pelvic pain, flank pain, haematuria, and gonadal varices (varicocele or ovarian vein syndrome, fig. Nutcracker syndrome (ncs) is a rare condition characterized by a group of clinical manifestations, like hematuria and pain, and is most commonly due to. Operative intervention should be considered for adults with gross hematuria, especially for patients requiring transfusion or with recurrent episodes, and for patients with such severe flank or abdominal pain that narcotic pain medication or hospitalization is required. Other indications include failed conservative measures after 2.
from www.researchgate.net
Nutcracker syndrome (ncs), a rare but impactful vascular condition, emerges from the compression of the left renal vein by adjacent. Other indications include failed conservative measures after 2. Entrapment of the left renal vein between superior mesenteric artery and aorta is known as nutcracker phenomena, while. Nutcracker syndrome (ncs) is a rare condition characterized by a group of clinical manifestations, like hematuria and pain, and is most commonly due to. The most common clinical presentations of ncs include pelvic pain, flank pain, haematuria, and gonadal varices (varicocele or ovarian vein syndrome, fig. Operative intervention should be considered for adults with gross hematuria, especially for patients requiring transfusion or with recurrent episodes, and for patients with such severe flank or abdominal pain that narcotic pain medication or hospitalization is required. Nutcracker syndrome (ncs) is an extrinsic compression of the left renal vein (lrv) by the superior mesenteric artery (sma). The nutcracker syndrome is a rare clinical entity caused by compression of the left renal vein (lrv) by the superior mesenteric.
Abdominal MRA images of a patient with nutcracker syndrome. a) axial
Nutcracker Syndrome Abdominal Pain The most common clinical presentations of ncs include pelvic pain, flank pain, haematuria, and gonadal varices (varicocele or ovarian vein syndrome, fig. The nutcracker syndrome is a rare clinical entity caused by compression of the left renal vein (lrv) by the superior mesenteric. Nutcracker syndrome (ncs), a rare but impactful vascular condition, emerges from the compression of the left renal vein by adjacent. Operative intervention should be considered for adults with gross hematuria, especially for patients requiring transfusion or with recurrent episodes, and for patients with such severe flank or abdominal pain that narcotic pain medication or hospitalization is required. The most common clinical presentations of ncs include pelvic pain, flank pain, haematuria, and gonadal varices (varicocele or ovarian vein syndrome, fig. Nutcracker syndrome (ncs) is an extrinsic compression of the left renal vein (lrv) by the superior mesenteric artery (sma). Nutcracker syndrome (ncs) is a rare condition characterized by a group of clinical manifestations, like hematuria and pain, and is most commonly due to. Other indications include failed conservative measures after 2. Entrapment of the left renal vein between superior mesenteric artery and aorta is known as nutcracker phenomena, while.
From bhm.scholasticahq.com
Anterior Renal Nutcracker Syndrome in an Older Adult Treated with Nutcracker Syndrome Abdominal Pain The nutcracker syndrome is a rare clinical entity caused by compression of the left renal vein (lrv) by the superior mesenteric. Nutcracker syndrome (ncs) is a rare condition characterized by a group of clinical manifestations, like hematuria and pain, and is most commonly due to. Nutcracker syndrome (ncs), a rare but impactful vascular condition, emerges from the compression of the. Nutcracker Syndrome Abdominal Pain.
From www.cureus.com
A Rare Cause of Abdominal and Flank Pain in Children Nutcracker Nutcracker Syndrome Abdominal Pain Nutcracker syndrome (ncs), a rare but impactful vascular condition, emerges from the compression of the left renal vein by adjacent. The most common clinical presentations of ncs include pelvic pain, flank pain, haematuria, and gonadal varices (varicocele or ovarian vein syndrome, fig. Entrapment of the left renal vein between superior mesenteric artery and aorta is known as nutcracker phenomena, while.. Nutcracker Syndrome Abdominal Pain.
From www.mdpi.com
Children Free FullText Diagnostic Clues in Pediatric Nutcracker Nutcracker Syndrome Abdominal Pain The nutcracker syndrome is a rare clinical entity caused by compression of the left renal vein (lrv) by the superior mesenteric. Nutcracker syndrome (ncs), a rare but impactful vascular condition, emerges from the compression of the left renal vein by adjacent. The most common clinical presentations of ncs include pelvic pain, flank pain, haematuria, and gonadal varices (varicocele or ovarian. Nutcracker Syndrome Abdominal Pain.
From sonographictendencies.com
Nutcracker Phenomenon/Syndrome Sonographic Tendencies Nutcracker Syndrome Abdominal Pain The most common clinical presentations of ncs include pelvic pain, flank pain, haematuria, and gonadal varices (varicocele or ovarian vein syndrome, fig. Nutcracker syndrome (ncs), a rare but impactful vascular condition, emerges from the compression of the left renal vein by adjacent. Nutcracker syndrome (ncs) is an extrinsic compression of the left renal vein (lrv) by the superior mesenteric artery. Nutcracker Syndrome Abdominal Pain.
From pubs.rsna.org
CT Angiography of Posterior Nutcracker Syndrome Radiology Nutcracker Syndrome Abdominal Pain Operative intervention should be considered for adults with gross hematuria, especially for patients requiring transfusion or with recurrent episodes, and for patients with such severe flank or abdominal pain that narcotic pain medication or hospitalization is required. Nutcracker syndrome (ncs) is an extrinsic compression of the left renal vein (lrv) by the superior mesenteric artery (sma). Nutcracker syndrome (ncs) is. Nutcracker Syndrome Abdominal Pain.
From www.cureus.com
Cureus Nutcracker Phenomenon A Rare Incidental Finding Nutcracker Syndrome Abdominal Pain Nutcracker syndrome (ncs) is an extrinsic compression of the left renal vein (lrv) by the superior mesenteric artery (sma). Operative intervention should be considered for adults with gross hematuria, especially for patients requiring transfusion or with recurrent episodes, and for patients with such severe flank or abdominal pain that narcotic pain medication or hospitalization is required. Nutcracker syndrome (ncs), a. Nutcracker Syndrome Abdominal Pain.
From pubs.rsna.org
CT Angiography of Posterior Nutcracker Syndrome Radiology Nutcracker Syndrome Abdominal Pain The nutcracker syndrome is a rare clinical entity caused by compression of the left renal vein (lrv) by the superior mesenteric. The most common clinical presentations of ncs include pelvic pain, flank pain, haematuria, and gonadal varices (varicocele or ovarian vein syndrome, fig. Nutcracker syndrome (ncs), a rare but impactful vascular condition, emerges from the compression of the left renal. Nutcracker Syndrome Abdominal Pain.
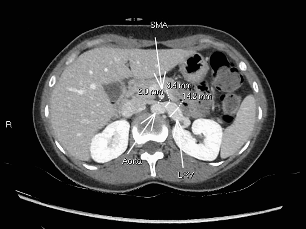
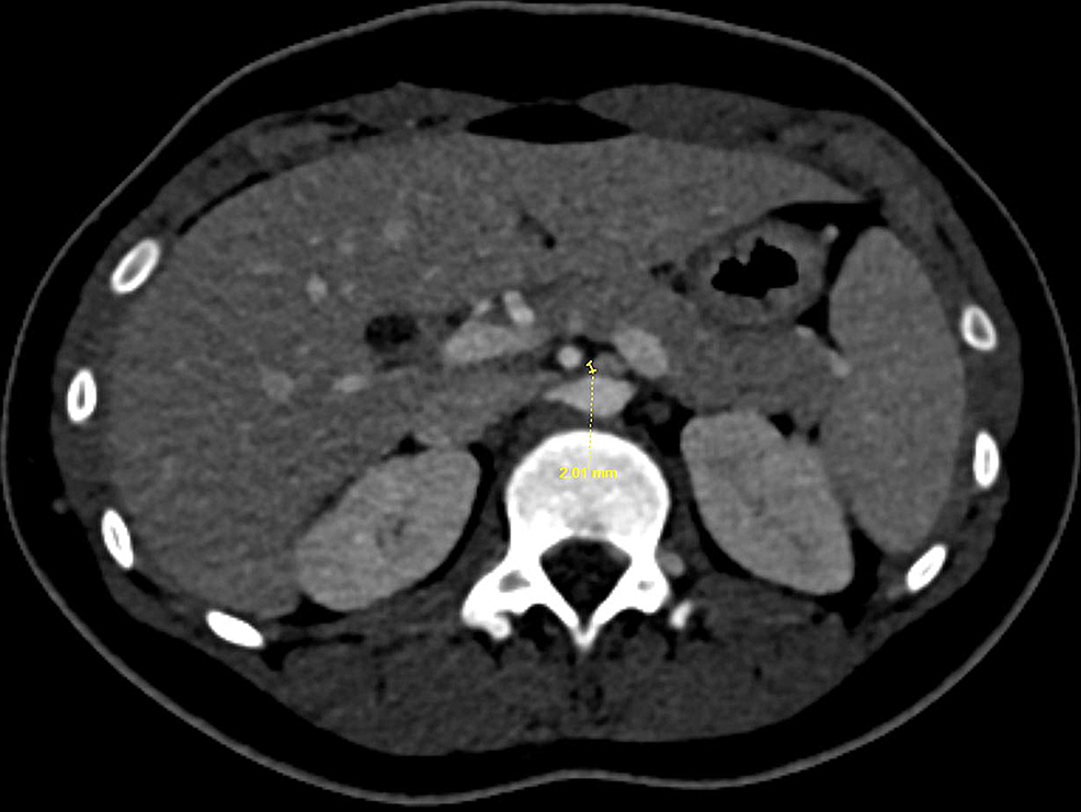
From radiopaedia.org
Nutcracker syndrome (annotated CT) Image Nutcracker Syndrome Abdominal Pain Other indications include failed conservative measures after 2. Nutcracker syndrome (ncs) is an extrinsic compression of the left renal vein (lrv) by the superior mesenteric artery (sma). Operative intervention should be considered for adults with gross hematuria, especially for patients requiring transfusion or with recurrent episodes, and for patients with such severe flank or abdominal pain that narcotic pain medication. Nutcracker Syndrome Abdominal Pain.
From www.researchgate.net
Abdominal MRA images of a patient with nutcracker syndrome. a) axial Nutcracker Syndrome Abdominal Pain Entrapment of the left renal vein between superior mesenteric artery and aorta is known as nutcracker phenomena, while. Nutcracker syndrome (ncs), a rare but impactful vascular condition, emerges from the compression of the left renal vein by adjacent. Nutcracker syndrome (ncs) is an extrinsic compression of the left renal vein (lrv) by the superior mesenteric artery (sma). The most common. Nutcracker Syndrome Abdominal Pain.
From www.researchgate.net
(PDF) Pulsatile Mass Sensation with Intense Abdominal Pain; Atypical Nutcracker Syndrome Abdominal Pain Operative intervention should be considered for adults with gross hematuria, especially for patients requiring transfusion or with recurrent episodes, and for patients with such severe flank or abdominal pain that narcotic pain medication or hospitalization is required. The most common clinical presentations of ncs include pelvic pain, flank pain, haematuria, and gonadal varices (varicocele or ovarian vein syndrome, fig. Nutcracker. Nutcracker Syndrome Abdominal Pain.
From www.researchgate.net
(PDF) The Nutcracker Syndrome as a Rare Cause of Chronic Abdominal Pain Nutcracker Syndrome Abdominal Pain Entrapment of the left renal vein between superior mesenteric artery and aorta is known as nutcracker phenomena, while. Other indications include failed conservative measures after 2. Nutcracker syndrome (ncs) is a rare condition characterized by a group of clinical manifestations, like hematuria and pain, and is most commonly due to. The most common clinical presentations of ncs include pelvic pain,. Nutcracker Syndrome Abdominal Pain.
From www.cureus.com
Cureus An Unusual Cause of Abdominal Pain in a MiddleAged Female Nutcracker Syndrome Abdominal Pain Nutcracker syndrome (ncs), a rare but impactful vascular condition, emerges from the compression of the left renal vein by adjacent. The most common clinical presentations of ncs include pelvic pain, flank pain, haematuria, and gonadal varices (varicocele or ovarian vein syndrome, fig. Entrapment of the left renal vein between superior mesenteric artery and aorta is known as nutcracker phenomena, while.. Nutcracker Syndrome Abdominal Pain.
From vascularcarecentre.com
Nutcracker phenomenon and syndrome Vascular Care Centre Nutcracker Syndrome Abdominal Pain Operative intervention should be considered for adults with gross hematuria, especially for patients requiring transfusion or with recurrent episodes, and for patients with such severe flank or abdominal pain that narcotic pain medication or hospitalization is required. Entrapment of the left renal vein between superior mesenteric artery and aorta is known as nutcracker phenomena, while. Nutcracker syndrome (ncs) is an. Nutcracker Syndrome Abdominal Pain.
From mungfali.com
Posterior Nutcracker Syndrome Nutcracker Syndrome Abdominal Pain Operative intervention should be considered for adults with gross hematuria, especially for patients requiring transfusion or with recurrent episodes, and for patients with such severe flank or abdominal pain that narcotic pain medication or hospitalization is required. Other indications include failed conservative measures after 2. Nutcracker syndrome (ncs) is an extrinsic compression of the left renal vein (lrv) by the. Nutcracker Syndrome Abdominal Pain.
From veinscarolina.com
Nutcracker Syndrome Archives Vein Specialists of the Carolinas Nutcracker Syndrome Abdominal Pain Entrapment of the left renal vein between superior mesenteric artery and aorta is known as nutcracker phenomena, while. The most common clinical presentations of ncs include pelvic pain, flank pain, haematuria, and gonadal varices (varicocele or ovarian vein syndrome, fig. Operative intervention should be considered for adults with gross hematuria, especially for patients requiring transfusion or with recurrent episodes, and. Nutcracker Syndrome Abdominal Pain.
From sonographictendencies.com
Nutcracker Phenomenon/Syndrome Sonographic Tendencies Nutcracker Syndrome Abdominal Pain The most common clinical presentations of ncs include pelvic pain, flank pain, haematuria, and gonadal varices (varicocele or ovarian vein syndrome, fig. Nutcracker syndrome (ncs) is an extrinsic compression of the left renal vein (lrv) by the superior mesenteric artery (sma). Nutcracker syndrome (ncs), a rare but impactful vascular condition, emerges from the compression of the left renal vein by. Nutcracker Syndrome Abdominal Pain.
From www.semanticscholar.org
Figure 2 from A Rare Cause of Abdominal and Flank Pain in Children Nutcracker Syndrome Abdominal Pain Nutcracker syndrome (ncs) is a rare condition characterized by a group of clinical manifestations, like hematuria and pain, and is most commonly due to. The nutcracker syndrome is a rare clinical entity caused by compression of the left renal vein (lrv) by the superior mesenteric. Other indications include failed conservative measures after 2. Entrapment of the left renal vein between. Nutcracker Syndrome Abdominal Pain.
From www.researchgate.net
Clinical features and treatment modalities for nutcracker syndrome Nutcracker Syndrome Abdominal Pain Other indications include failed conservative measures after 2. Nutcracker syndrome (ncs) is an extrinsic compression of the left renal vein (lrv) by the superior mesenteric artery (sma). The nutcracker syndrome is a rare clinical entity caused by compression of the left renal vein (lrv) by the superior mesenteric. Operative intervention should be considered for adults with gross hematuria, especially for. Nutcracker Syndrome Abdominal Pain.
From www.researchgate.net
(PDF) A Rare Cause of Abdominal and Flank Pain in Children Nutcracker Nutcracker Syndrome Abdominal Pain Nutcracker syndrome (ncs) is an extrinsic compression of the left renal vein (lrv) by the superior mesenteric artery (sma). Nutcracker syndrome (ncs), a rare but impactful vascular condition, emerges from the compression of the left renal vein by adjacent. The nutcracker syndrome is a rare clinical entity caused by compression of the left renal vein (lrv) by the superior mesenteric.. Nutcracker Syndrome Abdominal Pain.
From encyclopedia.pub
Interventional Management of Nutcracker and Wilkie Syndromes Nutcracker Syndrome Abdominal Pain The nutcracker syndrome is a rare clinical entity caused by compression of the left renal vein (lrv) by the superior mesenteric. Other indications include failed conservative measures after 2. Nutcracker syndrome (ncs) is an extrinsic compression of the left renal vein (lrv) by the superior mesenteric artery (sma). Nutcracker syndrome (ncs) is a rare condition characterized by a group of. Nutcracker Syndrome Abdominal Pain.
From ar.inspiredpencil.com
Nutcracker Syndrome Ultrasound Nutcracker Syndrome Abdominal Pain Nutcracker syndrome (ncs), a rare but impactful vascular condition, emerges from the compression of the left renal vein by adjacent. The most common clinical presentations of ncs include pelvic pain, flank pain, haematuria, and gonadal varices (varicocele or ovarian vein syndrome, fig. Operative intervention should be considered for adults with gross hematuria, especially for patients requiring transfusion or with recurrent. Nutcracker Syndrome Abdominal Pain.
From www.semanticscholar.org
Figure 1 from A Rare Cause of Abdominal and Flank Pain in Children Nutcracker Syndrome Abdominal Pain Entrapment of the left renal vein between superior mesenteric artery and aorta is known as nutcracker phenomena, while. Nutcracker syndrome (ncs) is a rare condition characterized by a group of clinical manifestations, like hematuria and pain, and is most commonly due to. The nutcracker syndrome is a rare clinical entity caused by compression of the left renal vein (lrv) by. Nutcracker Syndrome Abdominal Pain.
From www.semanticscholar.org
Figure 1 from Nutcracker SyndromeAn Unusual Case of Chronic Left Upper Nutcracker Syndrome Abdominal Pain The nutcracker syndrome is a rare clinical entity caused by compression of the left renal vein (lrv) by the superior mesenteric. Entrapment of the left renal vein between superior mesenteric artery and aorta is known as nutcracker phenomena, while. Nutcracker syndrome (ncs) is an extrinsic compression of the left renal vein (lrv) by the superior mesenteric artery (sma). Nutcracker syndrome. Nutcracker Syndrome Abdominal Pain.
From www.cureus.com
Cureus An Unusual Cause of Abdominal Pain in a MiddleAged Female Nutcracker Syndrome Abdominal Pain Other indications include failed conservative measures after 2. The nutcracker syndrome is a rare clinical entity caused by compression of the left renal vein (lrv) by the superior mesenteric. The most common clinical presentations of ncs include pelvic pain, flank pain, haematuria, and gonadal varices (varicocele or ovarian vein syndrome, fig. Entrapment of the left renal vein between superior mesenteric. Nutcracker Syndrome Abdominal Pain.
From www.researchgate.net
Nutcracker syndrome. a Abdominal duplex showing compression of the left Nutcracker Syndrome Abdominal Pain Entrapment of the left renal vein between superior mesenteric artery and aorta is known as nutcracker phenomena, while. Nutcracker syndrome (ncs) is a rare condition characterized by a group of clinical manifestations, like hematuria and pain, and is most commonly due to. The most common clinical presentations of ncs include pelvic pain, flank pain, haematuria, and gonadal varices (varicocele or. Nutcracker Syndrome Abdominal Pain.
From www.cureus.com
An Unusual Cause of Abdominal Pain in a MiddleAged Female The Nutcracker Syndrome Abdominal Pain Nutcracker syndrome (ncs) is a rare condition characterized by a group of clinical manifestations, like hematuria and pain, and is most commonly due to. The most common clinical presentations of ncs include pelvic pain, flank pain, haematuria, and gonadal varices (varicocele or ovarian vein syndrome, fig. Other indications include failed conservative measures after 2. Nutcracker syndrome (ncs), a rare but. Nutcracker Syndrome Abdominal Pain.
From www.cureus.com
A Rare Cause of Abdominal and Flank Pain in Children Nutcracker Nutcracker Syndrome Abdominal Pain Other indications include failed conservative measures after 2. Nutcracker syndrome (ncs), a rare but impactful vascular condition, emerges from the compression of the left renal vein by adjacent. Entrapment of the left renal vein between superior mesenteric artery and aorta is known as nutcracker phenomena, while. Operative intervention should be considered for adults with gross hematuria, especially for patients requiring. Nutcracker Syndrome Abdominal Pain.
From www.cureus.com
Cureus A Rare Cause of Abdominal and Flank Pain in Children Nutcracker Syndrome Abdominal Pain The nutcracker syndrome is a rare clinical entity caused by compression of the left renal vein (lrv) by the superior mesenteric. Entrapment of the left renal vein between superior mesenteric artery and aorta is known as nutcracker phenomena, while. Nutcracker syndrome (ncs) is an extrinsic compression of the left renal vein (lrv) by the superior mesenteric artery (sma). Operative intervention. Nutcracker Syndrome Abdominal Pain.
From angiologist.com
Nutcracker syndrome Definition, Symptoms and Treatment Nutcracker Syndrome Abdominal Pain Other indications include failed conservative measures after 2. Nutcracker syndrome (ncs) is a rare condition characterized by a group of clinical manifestations, like hematuria and pain, and is most commonly due to. Entrapment of the left renal vein between superior mesenteric artery and aorta is known as nutcracker phenomena, while. The nutcracker syndrome is a rare clinical entity caused by. Nutcracker Syndrome Abdominal Pain.
From www.cureus.com
An Unusual Cause of Abdominal Pain in a MiddleAged Female The Nutcracker Syndrome Abdominal Pain Nutcracker syndrome (ncs) is a rare condition characterized by a group of clinical manifestations, like hematuria and pain, and is most commonly due to. Entrapment of the left renal vein between superior mesenteric artery and aorta is known as nutcracker phenomena, while. Operative intervention should be considered for adults with gross hematuria, especially for patients requiring transfusion or with recurrent. Nutcracker Syndrome Abdominal Pain.
From www.scribd.com
The Posterior Nutcracker Syndrome As A Rare Cause of AbdominalPelvic Nutcracker Syndrome Abdominal Pain Nutcracker syndrome (ncs) is an extrinsic compression of the left renal vein (lrv) by the superior mesenteric artery (sma). Nutcracker syndrome (ncs) is a rare condition characterized by a group of clinical manifestations, like hematuria and pain, and is most commonly due to. Operative intervention should be considered for adults with gross hematuria, especially for patients requiring transfusion or with. Nutcracker Syndrome Abdominal Pain.
From www.cureus.com
Cureus An Unusual Cause of Abdominal Pain in a MiddleAged Female Nutcracker Syndrome Abdominal Pain Operative intervention should be considered for adults with gross hematuria, especially for patients requiring transfusion or with recurrent episodes, and for patients with such severe flank or abdominal pain that narcotic pain medication or hospitalization is required. Nutcracker syndrome (ncs) is a rare condition characterized by a group of clinical manifestations, like hematuria and pain, and is most commonly due. Nutcracker Syndrome Abdominal Pain.
From www.researchgate.net
(PDF) Posterior Nutcracker Syndrome Caused by Abdominal Aortic Aneurysm Nutcracker Syndrome Abdominal Pain The nutcracker syndrome is a rare clinical entity caused by compression of the left renal vein (lrv) by the superior mesenteric. Other indications include failed conservative measures after 2. Nutcracker syndrome (ncs), a rare but impactful vascular condition, emerges from the compression of the left renal vein by adjacent. The most common clinical presentations of ncs include pelvic pain, flank. Nutcracker Syndrome Abdominal Pain.
From www.animalia-life.club
Nutcracker Syndrome Causes Nutcracker Syndrome Abdominal Pain The nutcracker syndrome is a rare clinical entity caused by compression of the left renal vein (lrv) by the superior mesenteric. Nutcracker syndrome (ncs) is an extrinsic compression of the left renal vein (lrv) by the superior mesenteric artery (sma). Nutcracker syndrome (ncs), a rare but impactful vascular condition, emerges from the compression of the left renal vein by adjacent.. Nutcracker Syndrome Abdominal Pain.
From sonographictendencies.com
Nutcracker Phenomenon/Syndrome Sonographic Tendencies Nutcracker Syndrome Abdominal Pain The most common clinical presentations of ncs include pelvic pain, flank pain, haematuria, and gonadal varices (varicocele or ovarian vein syndrome, fig. Nutcracker syndrome (ncs) is an extrinsic compression of the left renal vein (lrv) by the superior mesenteric artery (sma). The nutcracker syndrome is a rare clinical entity caused by compression of the left renal vein (lrv) by the. Nutcracker Syndrome Abdominal Pain.