Water Density Lesion . Liver lesions, also known as liver tumors or masses, are abnormal growths of cells in the liver. It may be an endothelial cyst or a. A cyst has a thin wall and may have thin septa. Slowly progressive peripheral nodular enhancement of arterial density. From a practical point of view, the approach to characterizing a focal liver lesion seen on ct begins with the determination of its.
from www.cooperhealth.org
From a practical point of view, the approach to characterizing a focal liver lesion seen on ct begins with the determination of its. It may be an endothelial cyst or a. Liver lesions, also known as liver tumors or masses, are abnormal growths of cells in the liver. Slowly progressive peripheral nodular enhancement of arterial density. A cyst has a thin wall and may have thin septa.
Dense Breast Clinic Cooper University Health Care
Water Density Lesion From a practical point of view, the approach to characterizing a focal liver lesion seen on ct begins with the determination of its. Liver lesions, also known as liver tumors or masses, are abnormal growths of cells in the liver. From a practical point of view, the approach to characterizing a focal liver lesion seen on ct begins with the determination of its. It may be an endothelial cyst or a. Slowly progressive peripheral nodular enhancement of arterial density. A cyst has a thin wall and may have thin septa.
From radiologykey.com
Splenic Cyst Radiology Key Water Density Lesion Liver lesions, also known as liver tumors or masses, are abnormal growths of cells in the liver. Slowly progressive peripheral nodular enhancement of arterial density. A cyst has a thin wall and may have thin septa. It may be an endothelial cyst or a. From a practical point of view, the approach to characterizing a focal liver lesion seen on. Water Density Lesion.
From www.studocu.com
Water Density Lab yuh Using Beyond Labz to Determine the Density of Water Density Lesion From a practical point of view, the approach to characterizing a focal liver lesion seen on ct begins with the determination of its. It may be an endothelial cyst or a. Liver lesions, also known as liver tumors or masses, are abnormal growths of cells in the liver. A cyst has a thin wall and may have thin septa. Slowly. Water Density Lesion.
From www.researchgate.net
13 Difference between the deep water density (σ0) and the surface σ0 Water Density Lesion Liver lesions, also known as liver tumors or masses, are abnormal growths of cells in the liver. From a practical point of view, the approach to characterizing a focal liver lesion seen on ct begins with the determination of its. It may be an endothelial cyst or a. A cyst has a thin wall and may have thin septa. Slowly. Water Density Lesion.
From www.researchgate.net
Hypodense lesion in the left lobe of liver consistent with metastatic Water Density Lesion From a practical point of view, the approach to characterizing a focal liver lesion seen on ct begins with the determination of its. Liver lesions, also known as liver tumors or masses, are abnormal growths of cells in the liver. A cyst has a thin wall and may have thin septa. Slowly progressive peripheral nodular enhancement of arterial density. It. Water Density Lesion.
From epos.myesr.org
EPOS™ Water Density Lesion Slowly progressive peripheral nodular enhancement of arterial density. A cyst has a thin wall and may have thin septa. From a practical point of view, the approach to characterizing a focal liver lesion seen on ct begins with the determination of its. It may be an endothelial cyst or a. Liver lesions, also known as liver tumors or masses, are. Water Density Lesion.
From www.linkedin.com
Exercises for change of Water Density Water Density Lesion Liver lesions, also known as liver tumors or masses, are abnormal growths of cells in the liver. It may be an endothelial cyst or a. Slowly progressive peripheral nodular enhancement of arterial density. From a practical point of view, the approach to characterizing a focal liver lesion seen on ct begins with the determination of its. A cyst has a. Water Density Lesion.
From www.ajronline.org
Radiologic Findings that Mimic Malignancy AJR Water Density Lesion Liver lesions, also known as liver tumors or masses, are abnormal growths of cells in the liver. From a practical point of view, the approach to characterizing a focal liver lesion seen on ct begins with the determination of its. It may be an endothelial cyst or a. Slowly progressive peripheral nodular enhancement of arterial density. A cyst has a. Water Density Lesion.
From student-tutor.com
Understanding the Density of Water StudentTutor Education Blog Water Density Lesion From a practical point of view, the approach to characterizing a focal liver lesion seen on ct begins with the determination of its. A cyst has a thin wall and may have thin septa. Liver lesions, also known as liver tumors or masses, are abnormal growths of cells in the liver. It may be an endothelial cyst or a. Slowly. Water Density Lesion.
From www.cooperhealth.org
Dense Breast Clinic Cooper University Health Care Water Density Lesion From a practical point of view, the approach to characterizing a focal liver lesion seen on ct begins with the determination of its. A cyst has a thin wall and may have thin septa. It may be an endothelial cyst or a. Slowly progressive peripheral nodular enhancement of arterial density. Liver lesions, also known as liver tumors or masses, are. Water Density Lesion.
From www.researchgate.net
Illdefined soft tissue density lesion of size 12 × 10 cm in right lobe Water Density Lesion A cyst has a thin wall and may have thin septa. It may be an endothelial cyst or a. From a practical point of view, the approach to characterizing a focal liver lesion seen on ct begins with the determination of its. Slowly progressive peripheral nodular enhancement of arterial density. Liver lesions, also known as liver tumors or masses, are. Water Density Lesion.
From www.researchgate.net
The profile of water density and orientation of outer ((a) and (b)) and Water Density Lesion It may be an endothelial cyst or a. From a practical point of view, the approach to characterizing a focal liver lesion seen on ct begins with the determination of its. Liver lesions, also known as liver tumors or masses, are abnormal growths of cells in the liver. Slowly progressive peripheral nodular enhancement of arterial density. A cyst has a. Water Density Lesion.
From slideplayer.com
Cases Dr Payal Damor R2 Radio diagnosis S.S.G.H BARODA ppt download Water Density Lesion Liver lesions, also known as liver tumors or masses, are abnormal growths of cells in the liver. It may be an endothelial cyst or a. Slowly progressive peripheral nodular enhancement of arterial density. A cyst has a thin wall and may have thin septa. From a practical point of view, the approach to characterizing a focal liver lesion seen on. Water Density Lesion.
From books.gw-project.org
2 What Causes Groundwater Density Variations? VariableDensity Water Density Lesion It may be an endothelial cyst or a. Liver lesions, also known as liver tumors or masses, are abnormal growths of cells in the liver. A cyst has a thin wall and may have thin septa. From a practical point of view, the approach to characterizing a focal liver lesion seen on ct begins with the determination of its. Slowly. Water Density Lesion.
From www.ajronline.org
Radiologic Findings that Mimic Malignancy AJR Water Density Lesion It may be an endothelial cyst or a. From a practical point of view, the approach to characterizing a focal liver lesion seen on ct begins with the determination of its. Liver lesions, also known as liver tumors or masses, are abnormal growths of cells in the liver. Slowly progressive peripheral nodular enhancement of arterial density. A cyst has a. Water Density Lesion.
From www.researchgate.net
The vertical profiles of averaged dissolved oxygen (DO) and water Water Density Lesion Liver lesions, also known as liver tumors or masses, are abnormal growths of cells in the liver. A cyst has a thin wall and may have thin septa. From a practical point of view, the approach to characterizing a focal liver lesion seen on ct begins with the determination of its. Slowly progressive peripheral nodular enhancement of arterial density. It. Water Density Lesion.
From www.researchgate.net
(a) Graph of the variation of water density with temperature (Appendix Water Density Lesion From a practical point of view, the approach to characterizing a focal liver lesion seen on ct begins with the determination of its. It may be an endothelial cyst or a. Liver lesions, also known as liver tumors or masses, are abnormal growths of cells in the liver. A cyst has a thin wall and may have thin septa. Slowly. Water Density Lesion.
From slideplayer.com
Movements of the Ocean Ocean Currents. ppt download Water Density Lesion It may be an endothelial cyst or a. Slowly progressive peripheral nodular enhancement of arterial density. A cyst has a thin wall and may have thin septa. From a practical point of view, the approach to characterizing a focal liver lesion seen on ct begins with the determination of its. Liver lesions, also known as liver tumors or masses, are. Water Density Lesion.
From www.researchgate.net
Water profile during 6 ns SMD simulation. (a) 2 D graphical density Water Density Lesion Liver lesions, also known as liver tumors or masses, are abnormal growths of cells in the liver. It may be an endothelial cyst or a. Slowly progressive peripheral nodular enhancement of arterial density. A cyst has a thin wall and may have thin septa. From a practical point of view, the approach to characterizing a focal liver lesion seen on. Water Density Lesion.
From www.vecteezy.com
Mountain Isostasy, mantle and water density scheme 10935320 Vector Art Water Density Lesion Slowly progressive peripheral nodular enhancement of arterial density. Liver lesions, also known as liver tumors or masses, are abnormal growths of cells in the liver. A cyst has a thin wall and may have thin septa. It may be an endothelial cyst or a. From a practical point of view, the approach to characterizing a focal liver lesion seen on. Water Density Lesion.
From www.researchgate.net
Water density distribution at 1500 h for the stills with γ =10°, 20 Water Density Lesion Slowly progressive peripheral nodular enhancement of arterial density. It may be an endothelial cyst or a. From a practical point of view, the approach to characterizing a focal liver lesion seen on ct begins with the determination of its. Liver lesions, also known as liver tumors or masses, are abnormal growths of cells in the liver. A cyst has a. Water Density Lesion.
From safewaterfilter.in
Density Of Water A Basic Understanding Water Density Lesion A cyst has a thin wall and may have thin septa. Slowly progressive peripheral nodular enhancement of arterial density. Liver lesions, also known as liver tumors or masses, are abnormal growths of cells in the liver. From a practical point of view, the approach to characterizing a focal liver lesion seen on ct begins with the determination of its. It. Water Density Lesion.
From slideplayer.com
Noninvasive vascular imaging in the diagnosis and treatment of Water Density Lesion It may be an endothelial cyst or a. Slowly progressive peripheral nodular enhancement of arterial density. Liver lesions, also known as liver tumors or masses, are abnormal growths of cells in the liver. A cyst has a thin wall and may have thin septa. From a practical point of view, the approach to characterizing a focal liver lesion seen on. Water Density Lesion.
From sophiegould.z21.web.core.windows.net
Water Density Temperature Chart Water Density Lesion From a practical point of view, the approach to characterizing a focal liver lesion seen on ct begins with the determination of its. Liver lesions, also known as liver tumors or masses, are abnormal growths of cells in the liver. It may be an endothelial cyst or a. Slowly progressive peripheral nodular enhancement of arterial density. A cyst has a. Water Density Lesion.
From research.ssl.berkeley.edu
Contributions to the water ion density in the inner torus due to the Water Density Lesion A cyst has a thin wall and may have thin septa. From a practical point of view, the approach to characterizing a focal liver lesion seen on ct begins with the determination of its. Liver lesions, also known as liver tumors or masses, are abnormal growths of cells in the liver. It may be an endothelial cyst or a. Slowly. Water Density Lesion.
From www.researchgate.net
Moisture density relationship with 13 fly ash Download Scientific Water Density Lesion A cyst has a thin wall and may have thin septa. It may be an endothelial cyst or a. Slowly progressive peripheral nodular enhancement of arterial density. Liver lesions, also known as liver tumors or masses, are abnormal growths of cells in the liver. From a practical point of view, the approach to characterizing a focal liver lesion seen on. Water Density Lesion.
From pubs.acs.org
Connecting NonGaussian Water Density Fluctuations to the Lengthscale Water Density Lesion A cyst has a thin wall and may have thin septa. Slowly progressive peripheral nodular enhancement of arterial density. Liver lesions, also known as liver tumors or masses, are abnormal growths of cells in the liver. It may be an endothelial cyst or a. From a practical point of view, the approach to characterizing a focal liver lesion seen on. Water Density Lesion.
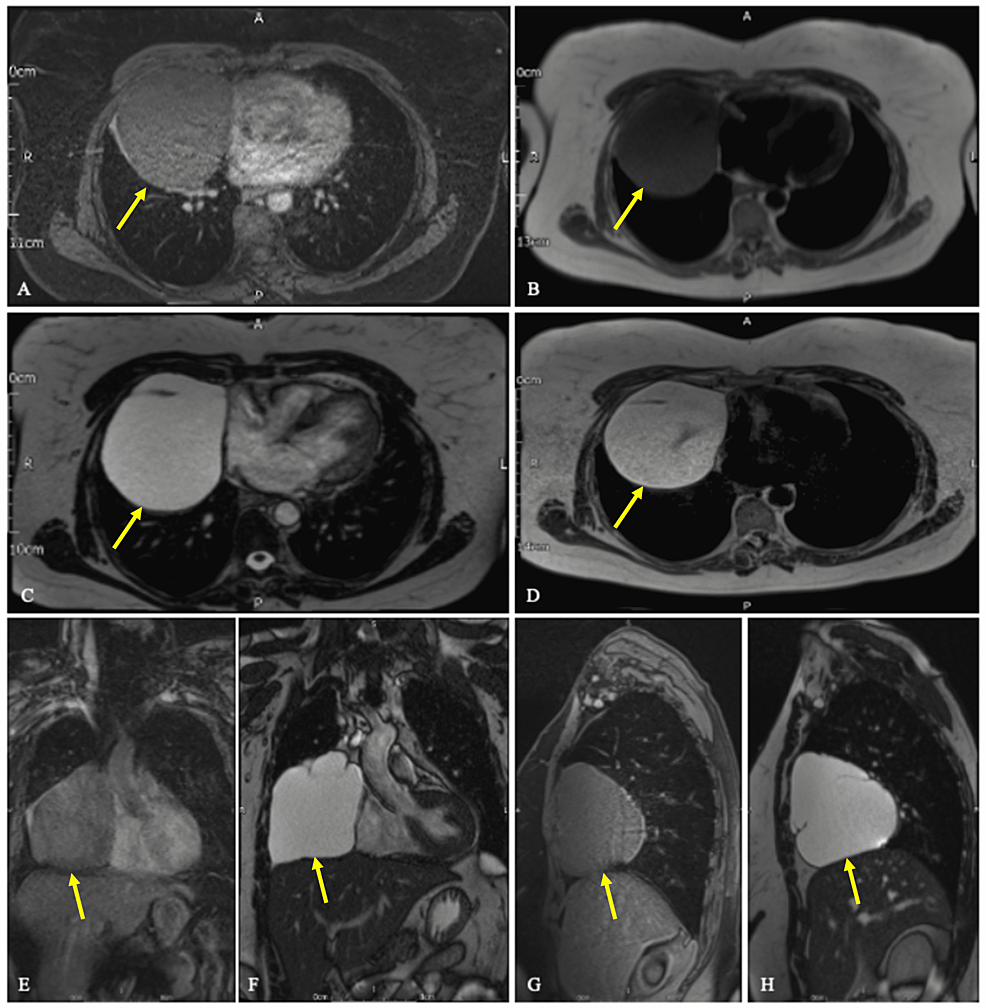
From www.cureus.com
Cureus An Incidental Finding of a Large Pericardial Cyst Water Density Lesion From a practical point of view, the approach to characterizing a focal liver lesion seen on ct begins with the determination of its. Slowly progressive peripheral nodular enhancement of arterial density. A cyst has a thin wall and may have thin septa. It may be an endothelial cyst or a. Liver lesions, also known as liver tumors or masses, are. Water Density Lesion.
From www.researchgate.net
2 Water density (left) and density of watersaturated air (right Water Density Lesion It may be an endothelial cyst or a. From a practical point of view, the approach to characterizing a focal liver lesion seen on ct begins with the determination of its. Slowly progressive peripheral nodular enhancement of arterial density. A cyst has a thin wall and may have thin septa. Liver lesions, also known as liver tumors or masses, are. Water Density Lesion.
From www.studocu.com
Exp 1 Determination of Density Skyline College Chemistry 210 Water Density Lesion Liver lesions, also known as liver tumors or masses, are abnormal growths of cells in the liver. From a practical point of view, the approach to characterizing a focal liver lesion seen on ct begins with the determination of its. It may be an endothelial cyst or a. A cyst has a thin wall and may have thin septa. Slowly. Water Density Lesion.
From www.researchgate.net
10 Water density against temperature and boron concentration Water Density Lesion From a practical point of view, the approach to characterizing a focal liver lesion seen on ct begins with the determination of its. It may be an endothelial cyst or a. A cyst has a thin wall and may have thin septa. Liver lesions, also known as liver tumors or masses, are abnormal growths of cells in the liver. Slowly. Water Density Lesion.
From slideplayer.com
Noninvasive vascular imaging in the diagnosis and treatment of Water Density Lesion A cyst has a thin wall and may have thin septa. It may be an endothelial cyst or a. Liver lesions, also known as liver tumors or masses, are abnormal growths of cells in the liver. From a practical point of view, the approach to characterizing a focal liver lesion seen on ct begins with the determination of its. Slowly. Water Density Lesion.
From www.researchgate.net
DFTMD density profiles of water oxygen weighted by the density of bulk Water Density Lesion Liver lesions, also known as liver tumors or masses, are abnormal growths of cells in the liver. Slowly progressive peripheral nodular enhancement of arterial density. A cyst has a thin wall and may have thin septa. It may be an endothelial cyst or a. From a practical point of view, the approach to characterizing a focal liver lesion seen on. Water Density Lesion.
From www.researchgate.net
Bilateral renal low density lesions on enhanced computed tomography (CT Water Density Lesion From a practical point of view, the approach to characterizing a focal liver lesion seen on ct begins with the determination of its. It may be an endothelial cyst or a. A cyst has a thin wall and may have thin septa. Slowly progressive peripheral nodular enhancement of arterial density. Liver lesions, also known as liver tumors or masses, are. Water Density Lesion.
From www.researchgate.net
(PDF) discussion) Pore water density in a saturated bentonite Water Density Lesion Slowly progressive peripheral nodular enhancement of arterial density. A cyst has a thin wall and may have thin septa. It may be an endothelial cyst or a. Liver lesions, also known as liver tumors or masses, are abnormal growths of cells in the liver. From a practical point of view, the approach to characterizing a focal liver lesion seen on. Water Density Lesion.
From www.scribd.com
Moisture Density Relationship Compaction Test Lab Report PDF Water Density Lesion A cyst has a thin wall and may have thin septa. Slowly progressive peripheral nodular enhancement of arterial density. It may be an endothelial cyst or a. From a practical point of view, the approach to characterizing a focal liver lesion seen on ct begins with the determination of its. Liver lesions, also known as liver tumors or masses, are. Water Density Lesion.