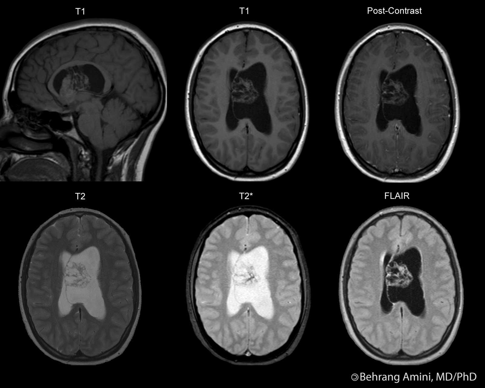
What Is Central Neurocytoma . central neurocytoma (cn) is a rare, benign brain tumor often located in the lateral ventricles. central neurocytomas are who grade 2 neuroepithelial intraventricular tumors with fairly characteristic imaging. It is typically found in. central neurocytoma (cn) is a benign primary neuronal tumor of the central nervous system (cns) most often found in. what is central neurocytoma? It is typically found in. central neurocytoma is a very rare brain tumor of young adults (over 100 cases reported worldwide). central neurocytoma is a very rare brain tumor of young adults (over 100 cases reported worldwide). Central neurocytomas are generally noncancerous (benign) brain tumors in the ventricles,.
from roentgenrayreader.blogspot.com
central neurocytoma is a very rare brain tumor of young adults (over 100 cases reported worldwide). central neurocytoma (cn) is a benign primary neuronal tumor of the central nervous system (cns) most often found in. It is typically found in. It is typically found in. what is central neurocytoma? central neurocytoma (cn) is a rare, benign brain tumor often located in the lateral ventricles. central neurocytoma is a very rare brain tumor of young adults (over 100 cases reported worldwide). Central neurocytomas are generally noncancerous (benign) brain tumors in the ventricles,. central neurocytomas are who grade 2 neuroepithelial intraventricular tumors with fairly characteristic imaging.
Roentgen Ray Reader Central Neurocytoma
What Is Central Neurocytoma central neurocytoma is a very rare brain tumor of young adults (over 100 cases reported worldwide). central neurocytomas are who grade 2 neuroepithelial intraventricular tumors with fairly characteristic imaging. It is typically found in. what is central neurocytoma? central neurocytoma (cn) is a benign primary neuronal tumor of the central nervous system (cns) most often found in. central neurocytoma (cn) is a rare, benign brain tumor often located in the lateral ventricles. Central neurocytomas are generally noncancerous (benign) brain tumors in the ventricles,. central neurocytoma is a very rare brain tumor of young adults (over 100 cases reported worldwide). central neurocytoma is a very rare brain tumor of young adults (over 100 cases reported worldwide). It is typically found in.
From www.semanticscholar.org
Figure 1 from Angiographic characteristics of central neurocytoma What Is Central Neurocytoma central neurocytomas are who grade 2 neuroepithelial intraventricular tumors with fairly characteristic imaging. central neurocytoma is a very rare brain tumor of young adults (over 100 cases reported worldwide). It is typically found in. central neurocytoma is a very rare brain tumor of young adults (over 100 cases reported worldwide). It is typically found in. central. What Is Central Neurocytoma.
From www.researchgate.net
Central neurocytoma. A and B) T2W axial and T1W axial MRI shows What Is Central Neurocytoma central neurocytomas are who grade 2 neuroepithelial intraventricular tumors with fairly characteristic imaging. It is typically found in. what is central neurocytoma? Central neurocytomas are generally noncancerous (benign) brain tumors in the ventricles,. central neurocytoma is a very rare brain tumor of young adults (over 100 cases reported worldwide). It is typically found in. central neurocytoma. What Is Central Neurocytoma.
From www.neurosurgicalatlas.com
Central Neurocytoma The Neurosurgical Atlas What Is Central Neurocytoma what is central neurocytoma? central neurocytoma (cn) is a rare, benign brain tumor often located in the lateral ventricles. central neurocytoma is a very rare brain tumor of young adults (over 100 cases reported worldwide). central neurocytomas are who grade 2 neuroepithelial intraventricular tumors with fairly characteristic imaging. Central neurocytomas are generally noncancerous (benign) brain tumors. What Is Central Neurocytoma.
From www.pathologyoutlines.com
Pathology Outlines Central neurocytoma What Is Central Neurocytoma central neurocytoma is a very rare brain tumor of young adults (over 100 cases reported worldwide). central neurocytoma (cn) is a benign primary neuronal tumor of the central nervous system (cns) most often found in. what is central neurocytoma? central neurocytomas are who grade 2 neuroepithelial intraventricular tumors with fairly characteristic imaging. It is typically found. What Is Central Neurocytoma.
From www.pathologyoutlines.com
Pathology Outlines Central neurocytoma What Is Central Neurocytoma central neurocytoma is a very rare brain tumor of young adults (over 100 cases reported worldwide). what is central neurocytoma? central neurocytomas are who grade 2 neuroepithelial intraventricular tumors with fairly characteristic imaging. It is typically found in. central neurocytoma (cn) is a benign primary neuronal tumor of the central nervous system (cns) most often found. What Is Central Neurocytoma.
From www.pathologyoutlines.com
Pathology Outlines Central neurocytoma What Is Central Neurocytoma central neurocytomas are who grade 2 neuroepithelial intraventricular tumors with fairly characteristic imaging. central neurocytoma is a very rare brain tumor of young adults (over 100 cases reported worldwide). central neurocytoma (cn) is a rare, benign brain tumor often located in the lateral ventricles. It is typically found in. It is typically found in. central neurocytoma. What Is Central Neurocytoma.
From www.pathologyoutlines.com
Pathology Outlines Central neurocytoma What Is Central Neurocytoma central neurocytoma (cn) is a benign primary neuronal tumor of the central nervous system (cns) most often found in. what is central neurocytoma? central neurocytoma (cn) is a rare, benign brain tumor often located in the lateral ventricles. central neurocytoma is a very rare brain tumor of young adults (over 100 cases reported worldwide). It is. What Is Central Neurocytoma.
From thejns.org
Central neurocytoma histopathological variants and therapeutic What Is Central Neurocytoma It is typically found in. central neurocytoma is a very rare brain tumor of young adults (over 100 cases reported worldwide). It is typically found in. what is central neurocytoma? Central neurocytomas are generally noncancerous (benign) brain tumors in the ventricles,. central neurocytoma (cn) is a benign primary neuronal tumor of the central nervous system (cns) most. What Is Central Neurocytoma.
From www.researchgate.net
Central neurocytoma with multiple cysts in the structure of the tumor What Is Central Neurocytoma central neurocytoma (cn) is a rare, benign brain tumor often located in the lateral ventricles. central neurocytoma is a very rare brain tumor of young adults (over 100 cases reported worldwide). Central neurocytomas are generally noncancerous (benign) brain tumors in the ventricles,. It is typically found in. It is typically found in. central neurocytoma (cn) is a. What Is Central Neurocytoma.
From www.researchgate.net
H&E stained slide of central neurocytoma showing a proliferation of What Is Central Neurocytoma central neurocytoma (cn) is a benign primary neuronal tumor of the central nervous system (cns) most often found in. It is typically found in. central neurocytoma is a very rare brain tumor of young adults (over 100 cases reported worldwide). It is typically found in. central neurocytomas are who grade 2 neuroepithelial intraventricular tumors with fairly characteristic. What Is Central Neurocytoma.
From www.researchgate.net
MRI axial cut for a case of neurocytoma. MRI axial cut showing central What Is Central Neurocytoma central neurocytoma (cn) is a rare, benign brain tumor often located in the lateral ventricles. It is typically found in. central neurocytoma (cn) is a benign primary neuronal tumor of the central nervous system (cns) most often found in. central neurocytoma is a very rare brain tumor of young adults (over 100 cases reported worldwide). Central neurocytomas. What Is Central Neurocytoma.
From www.pinterest.com
Central Neurocytoma a large mass in the body of the left lateral What Is Central Neurocytoma central neurocytomas are who grade 2 neuroepithelial intraventricular tumors with fairly characteristic imaging. central neurocytoma is a very rare brain tumor of young adults (over 100 cases reported worldwide). It is typically found in. central neurocytoma (cn) is a rare, benign brain tumor often located in the lateral ventricles. It is typically found in. what is. What Is Central Neurocytoma.
From www.clinicalradiologyonline.net
Central neurocytoma clinical, pathological and neuroradiological What Is Central Neurocytoma Central neurocytomas are generally noncancerous (benign) brain tumors in the ventricles,. It is typically found in. what is central neurocytoma? central neurocytoma (cn) is a rare, benign brain tumor often located in the lateral ventricles. central neurocytomas are who grade 2 neuroepithelial intraventricular tumors with fairly characteristic imaging. It is typically found in. central neurocytoma is. What Is Central Neurocytoma.
From www.researchgate.net
Central neurocytoma in a 27yearold woman with a 4month history of What Is Central Neurocytoma central neurocytoma (cn) is a benign primary neuronal tumor of the central nervous system (cns) most often found in. what is central neurocytoma? central neurocytoma is a very rare brain tumor of young adults (over 100 cases reported worldwide). central neurocytomas are who grade 2 neuroepithelial intraventricular tumors with fairly characteristic imaging. It is typically found. What Is Central Neurocytoma.
From www.jocn-journal.com
Update on the diagnosis, pathogenesis, and treatment strategies for What Is Central Neurocytoma central neurocytoma is a very rare brain tumor of young adults (over 100 cases reported worldwide). It is typically found in. central neurocytomas are who grade 2 neuroepithelial intraventricular tumors with fairly characteristic imaging. It is typically found in. central neurocytoma (cn) is a rare, benign brain tumor often located in the lateral ventricles. Central neurocytomas are. What Is Central Neurocytoma.
From casereports.bmj.com
Atypical central neurocytoma with aggressive features in a child BMJ What Is Central Neurocytoma central neurocytoma (cn) is a benign primary neuronal tumor of the central nervous system (cns) most often found in. It is typically found in. central neurocytoma is a very rare brain tumor of young adults (over 100 cases reported worldwide). central neurocytoma is a very rare brain tumor of young adults (over 100 cases reported worldwide). Central. What Is Central Neurocytoma.
From www.drawittoknowit.com
Pathology Glossary Central Neurocytoma & Extraventricular Neurocytoma What Is Central Neurocytoma It is typically found in. Central neurocytomas are generally noncancerous (benign) brain tumors in the ventricles,. central neurocytoma is a very rare brain tumor of young adults (over 100 cases reported worldwide). It is typically found in. central neurocytoma (cn) is a benign primary neuronal tumor of the central nervous system (cns) most often found in. central. What Is Central Neurocytoma.
From www.semanticscholar.org
Central Neurocytoma Semantic Scholar What Is Central Neurocytoma central neurocytomas are who grade 2 neuroepithelial intraventricular tumors with fairly characteristic imaging. central neurocytoma (cn) is a benign primary neuronal tumor of the central nervous system (cns) most often found in. central neurocytoma is a very rare brain tumor of young adults (over 100 cases reported worldwide). what is central neurocytoma? central neurocytoma is. What Is Central Neurocytoma.
From www.pinterest.com
Central neurocytoma Radiology Reference Article What Is Central Neurocytoma what is central neurocytoma? It is typically found in. central neurocytoma is a very rare brain tumor of young adults (over 100 cases reported worldwide). central neurocytoma (cn) is a rare, benign brain tumor often located in the lateral ventricles. central neurocytomas are who grade 2 neuroepithelial intraventricular tumors with fairly characteristic imaging. central neurocytoma. What Is Central Neurocytoma.
From www.semanticscholar.org
Figure 2 from MR Imaging of Cerebral Extraventricular Neurocytoma A What Is Central Neurocytoma central neurocytomas are who grade 2 neuroepithelial intraventricular tumors with fairly characteristic imaging. It is typically found in. central neurocytoma (cn) is a rare, benign brain tumor often located in the lateral ventricles. what is central neurocytoma? central neurocytoma is a very rare brain tumor of young adults (over 100 cases reported worldwide). It is typically. What Is Central Neurocytoma.
From www.neuroradiologycases.com
Neuroradiology Cases Central Neurocytoma What Is Central Neurocytoma Central neurocytomas are generally noncancerous (benign) brain tumors in the ventricles,. central neurocytoma (cn) is a benign primary neuronal tumor of the central nervous system (cns) most often found in. It is typically found in. central neurocytoma is a very rare brain tumor of young adults (over 100 cases reported worldwide). central neurocytoma is a very rare. What Is Central Neurocytoma.
From www.neurology.org
Teaching NeuroImages Central neurocytoma Neurology What Is Central Neurocytoma It is typically found in. central neurocytoma is a very rare brain tumor of young adults (over 100 cases reported worldwide). central neurocytoma (cn) is a rare, benign brain tumor often located in the lateral ventricles. Central neurocytomas are generally noncancerous (benign) brain tumors in the ventricles,. It is typically found in. central neurocytoma is a very. What Is Central Neurocytoma.
From www.neurosurgicalatlas.com
Central Neurocytoma The Neurosurgical Atlas What Is Central Neurocytoma central neurocytomas are who grade 2 neuroepithelial intraventricular tumors with fairly characteristic imaging. central neurocytoma is a very rare brain tumor of young adults (over 100 cases reported worldwide). It is typically found in. central neurocytoma (cn) is a rare, benign brain tumor often located in the lateral ventricles. central neurocytoma is a very rare brain. What Is Central Neurocytoma.
From www.pathologyoutlines.com
Pathology Outlines Central neurocytoma What Is Central Neurocytoma what is central neurocytoma? central neurocytoma is a very rare brain tumor of young adults (over 100 cases reported worldwide). central neurocytoma (cn) is a rare, benign brain tumor often located in the lateral ventricles. Central neurocytomas are generally noncancerous (benign) brain tumors in the ventricles,. It is typically found in. central neurocytomas are who grade. What Is Central Neurocytoma.
From www.researchgate.net
a Central neurocytoma T1weighted sequence with contrast What Is Central Neurocytoma It is typically found in. It is typically found in. central neurocytoma (cn) is a benign primary neuronal tumor of the central nervous system (cns) most often found in. Central neurocytomas are generally noncancerous (benign) brain tumors in the ventricles,. central neurocytoma (cn) is a rare, benign brain tumor often located in the lateral ventricles. central neurocytoma. What Is Central Neurocytoma.
From roentgenrayreader.blogspot.com
Roentgen Ray Reader Central Neurocytoma What Is Central Neurocytoma Central neurocytomas are generally noncancerous (benign) brain tumors in the ventricles,. central neurocytomas are who grade 2 neuroepithelial intraventricular tumors with fairly characteristic imaging. what is central neurocytoma? central neurocytoma (cn) is a benign primary neuronal tumor of the central nervous system (cns) most often found in. central neurocytoma is a very rare brain tumor of. What Is Central Neurocytoma.
From www.sciencephoto.com
Central Neurocytoma, MRI Stock Image C039/4079 Science Photo Library What Is Central Neurocytoma It is typically found in. central neurocytoma (cn) is a benign primary neuronal tumor of the central nervous system (cns) most often found in. Central neurocytomas are generally noncancerous (benign) brain tumors in the ventricles,. central neurocytomas are who grade 2 neuroepithelial intraventricular tumors with fairly characteristic imaging. It is typically found in. central neurocytoma is a. What Is Central Neurocytoma.
From nccommons.org
Central neurocytoma (Radiopaedia 1318813206 Axial MRA) NC Commons What Is Central Neurocytoma It is typically found in. central neurocytoma (cn) is a rare, benign brain tumor often located in the lateral ventricles. Central neurocytomas are generally noncancerous (benign) brain tumors in the ventricles,. what is central neurocytoma? It is typically found in. central neurocytoma is a very rare brain tumor of young adults (over 100 cases reported worldwide). . What Is Central Neurocytoma.
From www.neurosurgicalatlas.com
Central Neurocytoma The Neurosurgical Atlas What Is Central Neurocytoma central neurocytoma is a very rare brain tumor of young adults (over 100 cases reported worldwide). Central neurocytomas are generally noncancerous (benign) brain tumors in the ventricles,. It is typically found in. central neurocytoma (cn) is a benign primary neuronal tumor of the central nervous system (cns) most often found in. It is typically found in. central. What Is Central Neurocytoma.
From neuroradiologyteachingfiles.com
central neurocytoma What Is Central Neurocytoma central neurocytoma (cn) is a rare, benign brain tumor often located in the lateral ventricles. It is typically found in. central neurocytomas are who grade 2 neuroepithelial intraventricular tumors with fairly characteristic imaging. It is typically found in. central neurocytoma is a very rare brain tumor of young adults (over 100 cases reported worldwide). central neurocytoma. What Is Central Neurocytoma.
From www.slideserve.com
PPT Central Neurocytoma PowerPoint Presentation, free download ID What Is Central Neurocytoma central neurocytomas are who grade 2 neuroepithelial intraventricular tumors with fairly characteristic imaging. It is typically found in. central neurocytoma (cn) is a rare, benign brain tumor often located in the lateral ventricles. central neurocytoma is a very rare brain tumor of young adults (over 100 cases reported worldwide). what is central neurocytoma? central neurocytoma. What Is Central Neurocytoma.
From www.researchgate.net
1.5T and 7.0T MRI for central neurocytoma. T2weighted axial and What Is Central Neurocytoma It is typically found in. what is central neurocytoma? central neurocytoma is a very rare brain tumor of young adults (over 100 cases reported worldwide). It is typically found in. central neurocytomas are who grade 2 neuroepithelial intraventricular tumors with fairly characteristic imaging. central neurocytoma (cn) is a benign primary neuronal tumor of the central nervous. What Is Central Neurocytoma.
From www.scielo.br
SciELO Brasil Central neurocytoma report of two cases Central What Is Central Neurocytoma Central neurocytomas are generally noncancerous (benign) brain tumors in the ventricles,. It is typically found in. central neurocytoma is a very rare brain tumor of young adults (over 100 cases reported worldwide). central neurocytomas are who grade 2 neuroepithelial intraventricular tumors with fairly characteristic imaging. central neurocytoma (cn) is a benign primary neuronal tumor of the central. What Is Central Neurocytoma.
From journals.sagepub.com
Central neurocytoma—positive and differential diagnosis An example What Is Central Neurocytoma It is typically found in. It is typically found in. central neurocytoma is a very rare brain tumor of young adults (over 100 cases reported worldwide). central neurocytomas are who grade 2 neuroepithelial intraventricular tumors with fairly characteristic imaging. what is central neurocytoma? central neurocytoma (cn) is a rare, benign brain tumor often located in the. What Is Central Neurocytoma.
From www.neurology.org
Mystery Case Central neurocytoma Neurology What Is Central Neurocytoma It is typically found in. what is central neurocytoma? central neurocytomas are who grade 2 neuroepithelial intraventricular tumors with fairly characteristic imaging. central neurocytoma (cn) is a rare, benign brain tumor often located in the lateral ventricles. It is typically found in. central neurocytoma is a very rare brain tumor of young adults (over 100 cases. What Is Central Neurocytoma.