Neuroendocrine Cancer Cervix . This study aims to investigate the. This topic review will cover the epidemiology, clinical presentation, staging, and treatment of small cell neuroendocrine. Neuroendocrine tumors are a rare entity of the female genital tract, with cervix being the most common primary site. Aims neuroendocrine carcinoma of the cervix (necc) is a rare variant of cervical cancer. This study aims to investigate the clinicopathological features. 2 3 the 2014 world health organization (who) clas. Neuroendocrine carcinoma of the cervix (necc) is a rare variant of cervical cancer. Cervical small cell neuroendocrine carcinoma (scnec) is a rare invasive cancer, accounting for no more than 3% of cervical. Neuroendocrine carcinoma of the cervix (necc) is a rare variant of cervical.
from cytojournal.com
2 3 the 2014 world health organization (who) clas. Neuroendocrine carcinoma of the cervix (necc) is a rare variant of cervical. Neuroendocrine carcinoma of the cervix (necc) is a rare variant of cervical cancer. This topic review will cover the epidemiology, clinical presentation, staging, and treatment of small cell neuroendocrine. This study aims to investigate the. This study aims to investigate the clinicopathological features. Neuroendocrine tumors are a rare entity of the female genital tract, with cervix being the most common primary site. Aims neuroendocrine carcinoma of the cervix (necc) is a rare variant of cervical cancer. Cervical small cell neuroendocrine carcinoma (scnec) is a rare invasive cancer, accounting for no more than 3% of cervical.
A case of large cell neuroendocrine carcinoma of the uterine cervix
Neuroendocrine Cancer Cervix This topic review will cover the epidemiology, clinical presentation, staging, and treatment of small cell neuroendocrine. Neuroendocrine carcinoma of the cervix (necc) is a rare variant of cervical cancer. Aims neuroendocrine carcinoma of the cervix (necc) is a rare variant of cervical cancer. This topic review will cover the epidemiology, clinical presentation, staging, and treatment of small cell neuroendocrine. Cervical small cell neuroendocrine carcinoma (scnec) is a rare invasive cancer, accounting for no more than 3% of cervical. 2 3 the 2014 world health organization (who) clas. Neuroendocrine carcinoma of the cervix (necc) is a rare variant of cervical. Neuroendocrine tumors are a rare entity of the female genital tract, with cervix being the most common primary site. This study aims to investigate the clinicopathological features. This study aims to investigate the.
From www.youtube.com
Digital Surgical Pathology 391 Small cell neuroendocrine carcinoma of Neuroendocrine Cancer Cervix This topic review will cover the epidemiology, clinical presentation, staging, and treatment of small cell neuroendocrine. Aims neuroendocrine carcinoma of the cervix (necc) is a rare variant of cervical cancer. Neuroendocrine carcinoma of the cervix (necc) is a rare variant of cervical cancer. This study aims to investigate the. Neuroendocrine tumors are a rare entity of the female genital tract,. Neuroendocrine Cancer Cervix.
From www.researchgate.net
Smallcell neuroendocrine cancer of uterine cervix, ki67 about 60 Neuroendocrine Cancer Cervix Neuroendocrine tumors are a rare entity of the female genital tract, with cervix being the most common primary site. Neuroendocrine carcinoma of the cervix (necc) is a rare variant of cervical. 2 3 the 2014 world health organization (who) clas. Neuroendocrine carcinoma of the cervix (necc) is a rare variant of cervical cancer. Cervical small cell neuroendocrine carcinoma (scnec) is. Neuroendocrine Cancer Cervix.
From iv.iiarjournals.org
Clinicopathological Characteristics of Microscopic Tubal Neuroendocrine Cancer Cervix Cervical small cell neuroendocrine carcinoma (scnec) is a rare invasive cancer, accounting for no more than 3% of cervical. This study aims to investigate the. Neuroendocrine carcinoma of the cervix (necc) is a rare variant of cervical. Aims neuroendocrine carcinoma of the cervix (necc) is a rare variant of cervical cancer. This study aims to investigate the clinicopathological features. This. Neuroendocrine Cancer Cervix.
From jcgo.org
Primary Neuroendocrine Carcinoma of the Uterine Cervix Treated With Neuroendocrine Cancer Cervix This study aims to investigate the clinicopathological features. Neuroendocrine carcinoma of the cervix (necc) is a rare variant of cervical. This study aims to investigate the. Cervical small cell neuroendocrine carcinoma (scnec) is a rare invasive cancer, accounting for no more than 3% of cervical. 2 3 the 2014 world health organization (who) clas. Neuroendocrine carcinoma of the cervix (necc). Neuroendocrine Cancer Cervix.
From www.researchgate.net
A 60yearold woman with neuroendocrine uterine cervical carcinoma Neuroendocrine Cancer Cervix Aims neuroendocrine carcinoma of the cervix (necc) is a rare variant of cervical cancer. This study aims to investigate the. 2 3 the 2014 world health organization (who) clas. This topic review will cover the epidemiology, clinical presentation, staging, and treatment of small cell neuroendocrine. Neuroendocrine tumors are a rare entity of the female genital tract, with cervix being the. Neuroendocrine Cancer Cervix.
From jcgo.org
Primary Neuroendocrine Carcinoma of the Uterine Cervix Treated With Neuroendocrine Cancer Cervix This study aims to investigate the. Aims neuroendocrine carcinoma of the cervix (necc) is a rare variant of cervical cancer. This study aims to investigate the clinicopathological features. Cervical small cell neuroendocrine carcinoma (scnec) is a rare invasive cancer, accounting for no more than 3% of cervical. 2 3 the 2014 world health organization (who) clas. This topic review will. Neuroendocrine Cancer Cervix.
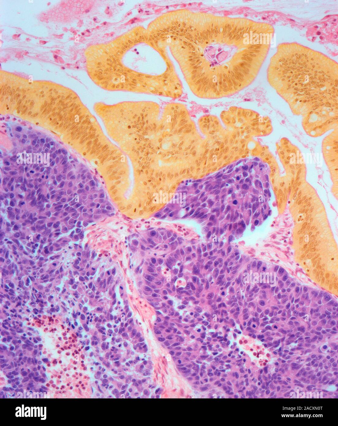
From www.alamy.com
Cervical cancer. Light micrograph (LM) of a section of a large cell Neuroendocrine Cancer Cervix Neuroendocrine carcinoma of the cervix (necc) is a rare variant of cervical cancer. Neuroendocrine carcinoma of the cervix (necc) is a rare variant of cervical. This study aims to investigate the. Aims neuroendocrine carcinoma of the cervix (necc) is a rare variant of cervical cancer. Cervical small cell neuroendocrine carcinoma (scnec) is a rare invasive cancer, accounting for no more. Neuroendocrine Cancer Cervix.
From peerj.com
Prognostic factors and treatment of neuroendocrine tumors of the Neuroendocrine Cancer Cervix Neuroendocrine tumors are a rare entity of the female genital tract, with cervix being the most common primary site. This study aims to investigate the clinicopathological features. Neuroendocrine carcinoma of the cervix (necc) is a rare variant of cervical. Neuroendocrine carcinoma of the cervix (necc) is a rare variant of cervical cancer. This study aims to investigate the. Cervical small. Neuroendocrine Cancer Cervix.
From www.cureus.com
Cureus Neuroendocrine Carcinoma of Uterine Cervix Stereotactic Neuroendocrine Cancer Cervix 2 3 the 2014 world health organization (who) clas. Aims neuroendocrine carcinoma of the cervix (necc) is a rare variant of cervical cancer. Cervical small cell neuroendocrine carcinoma (scnec) is a rare invasive cancer, accounting for no more than 3% of cervical. Neuroendocrine tumors are a rare entity of the female genital tract, with cervix being the most common primary. Neuroendocrine Cancer Cervix.
From cytojournal.com
A case of large cell neuroendocrine carcinoma of the uterine cervix Neuroendocrine Cancer Cervix Neuroendocrine carcinoma of the cervix (necc) is a rare variant of cervical. Cervical small cell neuroendocrine carcinoma (scnec) is a rare invasive cancer, accounting for no more than 3% of cervical. Aims neuroendocrine carcinoma of the cervix (necc) is a rare variant of cervical cancer. Neuroendocrine tumors are a rare entity of the female genital tract, with cervix being the. Neuroendocrine Cancer Cervix.
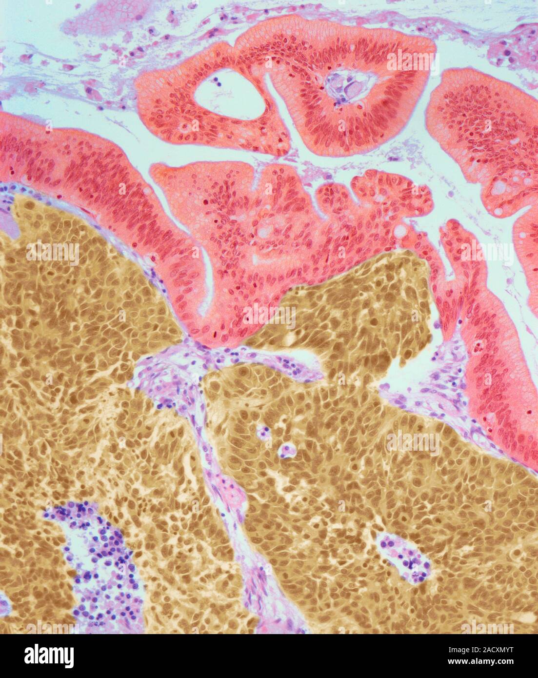
From www.alamy.com
Cervical cancer. Light micrograph (LM) of a section of a large cell Neuroendocrine Cancer Cervix Neuroendocrine carcinoma of the cervix (necc) is a rare variant of cervical cancer. Neuroendocrine carcinoma of the cervix (necc) is a rare variant of cervical. This study aims to investigate the. This topic review will cover the epidemiology, clinical presentation, staging, and treatment of small cell neuroendocrine. 2 3 the 2014 world health organization (who) clas. This study aims to. Neuroendocrine Cancer Cervix.
From www.researchgate.net
(PDF) Treatment of neuroendocrine carcinoma of the cervix with a PARP Neuroendocrine Cancer Cervix Neuroendocrine carcinoma of the cervix (necc) is a rare variant of cervical. This topic review will cover the epidemiology, clinical presentation, staging, and treatment of small cell neuroendocrine. Cervical small cell neuroendocrine carcinoma (scnec) is a rare invasive cancer, accounting for no more than 3% of cervical. Neuroendocrine tumors are a rare entity of the female genital tract, with cervix. Neuroendocrine Cancer Cervix.
From www.researchgate.net
Highgrade neuroendocrine cervical cancer, small cell type, showing Neuroendocrine Cancer Cervix Cervical small cell neuroendocrine carcinoma (scnec) is a rare invasive cancer, accounting for no more than 3% of cervical. This topic review will cover the epidemiology, clinical presentation, staging, and treatment of small cell neuroendocrine. This study aims to investigate the. 2 3 the 2014 world health organization (who) clas. Neuroendocrine carcinoma of the cervix (necc) is a rare variant. Neuroendocrine Cancer Cervix.
From www.alamy.com
Cervical cancer. Light micrograph (LM) of a section of a large cell Neuroendocrine Cancer Cervix Neuroendocrine carcinoma of the cervix (necc) is a rare variant of cervical. Aims neuroendocrine carcinoma of the cervix (necc) is a rare variant of cervical cancer. This topic review will cover the epidemiology, clinical presentation, staging, and treatment of small cell neuroendocrine. This study aims to investigate the clinicopathological features. 2 3 the 2014 world health organization (who) clas. Neuroendocrine. Neuroendocrine Cancer Cervix.
From ar.iiarjournals.org
Small Cell Neuroendocrine Cervical Carcinoma with 1Year Followup Neuroendocrine Cancer Cervix This topic review will cover the epidemiology, clinical presentation, staging, and treatment of small cell neuroendocrine. Cervical small cell neuroendocrine carcinoma (scnec) is a rare invasive cancer, accounting for no more than 3% of cervical. This study aims to investigate the clinicopathological features. Neuroendocrine carcinoma of the cervix (necc) is a rare variant of cervical cancer. 2 3 the 2014. Neuroendocrine Cancer Cervix.
From www.spandidos-publications.com
Neuroendocrine small cell carcinoma of the cervix A case report Neuroendocrine Cancer Cervix 2 3 the 2014 world health organization (who) clas. Neuroendocrine tumors are a rare entity of the female genital tract, with cervix being the most common primary site. This study aims to investigate the clinicopathological features. This topic review will cover the epidemiology, clinical presentation, staging, and treatment of small cell neuroendocrine. Cervical small cell neuroendocrine carcinoma (scnec) is a. Neuroendocrine Cancer Cervix.
From www.glowm.com
Pathology of Cervical Carcinoma GLOWM Neuroendocrine Cancer Cervix Neuroendocrine tumors are a rare entity of the female genital tract, with cervix being the most common primary site. Neuroendocrine carcinoma of the cervix (necc) is a rare variant of cervical. Aims neuroendocrine carcinoma of the cervix (necc) is a rare variant of cervical cancer. Cervical small cell neuroendocrine carcinoma (scnec) is a rare invasive cancer, accounting for no more. Neuroendocrine Cancer Cervix.
From obgynkey.com
Neuroendocrine Carcinoma, Mixed Epithelial/Mesenchymal and Mesenchymal Neuroendocrine Cancer Cervix Cervical small cell neuroendocrine carcinoma (scnec) is a rare invasive cancer, accounting for no more than 3% of cervical. This study aims to investigate the clinicopathological features. This topic review will cover the epidemiology, clinical presentation, staging, and treatment of small cell neuroendocrine. Neuroendocrine tumors are a rare entity of the female genital tract, with cervix being the most common. Neuroendocrine Cancer Cervix.
From www.researchgate.net
Highgrade neuroendocrine cervical cancer, small cell type, showing Neuroendocrine Cancer Cervix Neuroendocrine carcinoma of the cervix (necc) is a rare variant of cervical. Aims neuroendocrine carcinoma of the cervix (necc) is a rare variant of cervical cancer. Cervical small cell neuroendocrine carcinoma (scnec) is a rare invasive cancer, accounting for no more than 3% of cervical. This topic review will cover the epidemiology, clinical presentation, staging, and treatment of small cell. Neuroendocrine Cancer Cervix.
From www.spandidos-publications.com
Large cell neuroendocrine cervical tumor treated by radical surgery and Neuroendocrine Cancer Cervix Cervical small cell neuroendocrine carcinoma (scnec) is a rare invasive cancer, accounting for no more than 3% of cervical. 2 3 the 2014 world health organization (who) clas. Neuroendocrine tumors are a rare entity of the female genital tract, with cervix being the most common primary site. Neuroendocrine carcinoma of the cervix (necc) is a rare variant of cervical. This. Neuroendocrine Cancer Cervix.
From www.cureus.com
Cureus Large Cell Neuroendocrine Cervical Carcinoma A Case Report Neuroendocrine Cancer Cervix Neuroendocrine carcinoma of the cervix (necc) is a rare variant of cervical. Cervical small cell neuroendocrine carcinoma (scnec) is a rare invasive cancer, accounting for no more than 3% of cervical. Neuroendocrine carcinoma of the cervix (necc) is a rare variant of cervical cancer. 2 3 the 2014 world health organization (who) clas. This study aims to investigate the. Neuroendocrine. Neuroendocrine Cancer Cervix.
From ijgc.bmj.com
Advanced stage (FIGO IVB) neuroendocrine cervical carcinoma Neuroendocrine Cancer Cervix Aims neuroendocrine carcinoma of the cervix (necc) is a rare variant of cervical cancer. Neuroendocrine carcinoma of the cervix (necc) is a rare variant of cervical. This study aims to investigate the. Cervical small cell neuroendocrine carcinoma (scnec) is a rare invasive cancer, accounting for no more than 3% of cervical. Neuroendocrine tumors are a rare entity of the female. Neuroendocrine Cancer Cervix.
From www.pathologyoutlines.com
Pathology Outlines Large cell neuroendocrine carcinoma Neuroendocrine Cancer Cervix Cervical small cell neuroendocrine carcinoma (scnec) is a rare invasive cancer, accounting for no more than 3% of cervical. Neuroendocrine carcinoma of the cervix (necc) is a rare variant of cervical cancer. Aims neuroendocrine carcinoma of the cervix (necc) is a rare variant of cervical cancer. Neuroendocrine tumors are a rare entity of the female genital tract, with cervix being. Neuroendocrine Cancer Cervix.
From www.neuroendocrinecancer.org.uk
cervical cancer symptoms Neuroendocrine Cancer UK Neuroendocrine Cancer Cervix Cervical small cell neuroendocrine carcinoma (scnec) is a rare invasive cancer, accounting for no more than 3% of cervical. Aims neuroendocrine carcinoma of the cervix (necc) is a rare variant of cervical cancer. This study aims to investigate the. Neuroendocrine tumors are a rare entity of the female genital tract, with cervix being the most common primary site. 2 3. Neuroendocrine Cancer Cervix.
From www.oncotarget.com
Neuroendocrine carcinoma of uterine cervix findings shown by MRI for Neuroendocrine Cancer Cervix Neuroendocrine tumors are a rare entity of the female genital tract, with cervix being the most common primary site. Cervical small cell neuroendocrine carcinoma (scnec) is a rare invasive cancer, accounting for no more than 3% of cervical. This topic review will cover the epidemiology, clinical presentation, staging, and treatment of small cell neuroendocrine. Aims neuroendocrine carcinoma of the cervix. Neuroendocrine Cancer Cervix.
From www.researchgate.net
29yearold female newly diagnosed with neuroendocrine cervical cancer Neuroendocrine Cancer Cervix Cervical small cell neuroendocrine carcinoma (scnec) is a rare invasive cancer, accounting for no more than 3% of cervical. Neuroendocrine tumors are a rare entity of the female genital tract, with cervix being the most common primary site. This study aims to investigate the. Aims neuroendocrine carcinoma of the cervix (necc) is a rare variant of cervical cancer. Neuroendocrine carcinoma. Neuroendocrine Cancer Cervix.
From www.diagnosticimaging.com
MRI Accurately Stages Cervical Neuroendocrine Carcinoma Neuroendocrine Cancer Cervix Neuroendocrine carcinoma of the cervix (necc) is a rare variant of cervical. This study aims to investigate the clinicopathological features. Neuroendocrine carcinoma of the cervix (necc) is a rare variant of cervical cancer. Aims neuroendocrine carcinoma of the cervix (necc) is a rare variant of cervical cancer. Neuroendocrine tumors are a rare entity of the female genital tract, with cervix. Neuroendocrine Cancer Cervix.
From www.diagnosticimaging.com
MRI Accurately Stages Cervical Neuroendocrine Carcinoma Neuroendocrine Cancer Cervix Neuroendocrine carcinoma of the cervix (necc) is a rare variant of cervical cancer. Neuroendocrine tumors are a rare entity of the female genital tract, with cervix being the most common primary site. This study aims to investigate the clinicopathological features. Neuroendocrine carcinoma of the cervix (necc) is a rare variant of cervical. This topic review will cover the epidemiology, clinical. Neuroendocrine Cancer Cervix.
From www.sciencecodex.com
Oncotarget Neuroendocrine carcinoma of uterine cervix findings shown Neuroendocrine Cancer Cervix Aims neuroendocrine carcinoma of the cervix (necc) is a rare variant of cervical cancer. Neuroendocrine carcinoma of the cervix (necc) is a rare variant of cervical cancer. Neuroendocrine tumors are a rare entity of the female genital tract, with cervix being the most common primary site. This study aims to investigate the clinicopathological features. 2 3 the 2014 world health. Neuroendocrine Cancer Cervix.
From cytojournal.com
Cytological features of adenocarcinoma admixed with small cell Neuroendocrine Cancer Cervix This study aims to investigate the. This study aims to investigate the clinicopathological features. Aims neuroendocrine carcinoma of the cervix (necc) is a rare variant of cervical cancer. Neuroendocrine carcinoma of the cervix (necc) is a rare variant of cervical. Cervical small cell neuroendocrine carcinoma (scnec) is a rare invasive cancer, accounting for no more than 3% of cervical. Neuroendocrine. Neuroendocrine Cancer Cervix.
From www.spandidos-publications.com
Neuroendocrine small cell carcinoma of the cervix A case report Neuroendocrine Cancer Cervix Neuroendocrine carcinoma of the cervix (necc) is a rare variant of cervical cancer. This study aims to investigate the clinicopathological features. 2 3 the 2014 world health organization (who) clas. Neuroendocrine tumors are a rare entity of the female genital tract, with cervix being the most common primary site. This topic review will cover the epidemiology, clinical presentation, staging, and. Neuroendocrine Cancer Cervix.
From www.spandidos-publications.com
Neuroendocrine small cell carcinoma of the cervix A case report Neuroendocrine Cancer Cervix Neuroendocrine carcinoma of the cervix (necc) is a rare variant of cervical cancer. This study aims to investigate the. 2 3 the 2014 world health organization (who) clas. Cervical small cell neuroendocrine carcinoma (scnec) is a rare invasive cancer, accounting for no more than 3% of cervical. Neuroendocrine carcinoma of the cervix (necc) is a rare variant of cervical. Aims. Neuroendocrine Cancer Cervix.
From ar.iiarjournals.org
Small Cell Neuroendocrine Cervical Carcinoma with 1Year Followup Neuroendocrine Cancer Cervix Neuroendocrine tumors are a rare entity of the female genital tract, with cervix being the most common primary site. Cervical small cell neuroendocrine carcinoma (scnec) is a rare invasive cancer, accounting for no more than 3% of cervical. Aims neuroendocrine carcinoma of the cervix (necc) is a rare variant of cervical cancer. This topic review will cover the epidemiology, clinical. Neuroendocrine Cancer Cervix.
From www.researchgate.net
The cervical tumor showing neuroendocrine differentiation, as Neuroendocrine Cancer Cervix Neuroendocrine carcinoma of the cervix (necc) is a rare variant of cervical. Neuroendocrine carcinoma of the cervix (necc) is a rare variant of cervical cancer. This topic review will cover the epidemiology, clinical presentation, staging, and treatment of small cell neuroendocrine. Cervical small cell neuroendocrine carcinoma (scnec) is a rare invasive cancer, accounting for no more than 3% of cervical.. Neuroendocrine Cancer Cervix.
From www.cureus.com
Cureus Neuroendocrine Carcinoma of Uterine Cervix Stereotactic Neuroendocrine Cancer Cervix This study aims to investigate the. This topic review will cover the epidemiology, clinical presentation, staging, and treatment of small cell neuroendocrine. 2 3 the 2014 world health organization (who) clas. Aims neuroendocrine carcinoma of the cervix (necc) is a rare variant of cervical cancer. This study aims to investigate the clinicopathological features. Cervical small cell neuroendocrine carcinoma (scnec) is. Neuroendocrine Cancer Cervix.