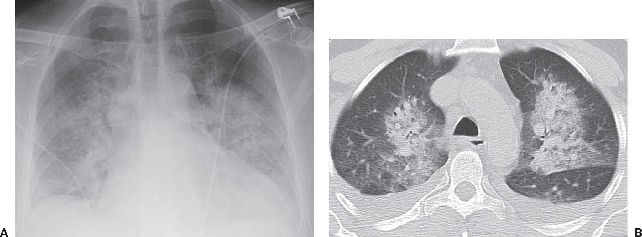
Alveolar Oedema . Alveolar oedema is caused by fluid leaking from the interstitial tissues into the alveoli and small airways, and manifests as airspace shadowing (consolidation) This fluid collects in the many air sacs in the lungs,. Pulmonary edema is the accumulation of excessive fluid in the alveolar walls and alveolar spaces of the lungs. Hydrostatic pressure edema, permeability edema with and. It can sometimes have a central. Pulmonary edema can be defined as an abnormal accumulation of extravascular fluid in the lung parenchyma. Pulmonary edema is a condition caused by too much fluid in the lungs. This process leads to diminished gas exchange at the alveolar level,. Pulmonary edema can be classified into four categories based on these physiologic determinates of edema:
from
Pulmonary edema is a condition caused by too much fluid in the lungs. Pulmonary edema can be classified into four categories based on these physiologic determinates of edema: Hydrostatic pressure edema, permeability edema with and. Alveolar oedema is caused by fluid leaking from the interstitial tissues into the alveoli and small airways, and manifests as airspace shadowing (consolidation) This process leads to diminished gas exchange at the alveolar level,. This fluid collects in the many air sacs in the lungs,. Pulmonary edema is the accumulation of excessive fluid in the alveolar walls and alveolar spaces of the lungs. It can sometimes have a central. Pulmonary edema can be defined as an abnormal accumulation of extravascular fluid in the lung parenchyma.
Alveolar Oedema Hydrostatic pressure edema, permeability edema with and. Pulmonary edema is the accumulation of excessive fluid in the alveolar walls and alveolar spaces of the lungs. Hydrostatic pressure edema, permeability edema with and. It can sometimes have a central. This fluid collects in the many air sacs in the lungs,. Pulmonary edema can be classified into four categories based on these physiologic determinates of edema: This process leads to diminished gas exchange at the alveolar level,. Pulmonary edema can be defined as an abnormal accumulation of extravascular fluid in the lung parenchyma. Alveolar oedema is caused by fluid leaking from the interstitial tissues into the alveoli and small airways, and manifests as airspace shadowing (consolidation) Pulmonary edema is a condition caused by too much fluid in the lungs.
From
Alveolar Oedema This process leads to diminished gas exchange at the alveolar level,. Alveolar oedema is caused by fluid leaking from the interstitial tissues into the alveoli and small airways, and manifests as airspace shadowing (consolidation) It can sometimes have a central. Pulmonary edema is the accumulation of excessive fluid in the alveolar walls and alveolar spaces of the lungs. This fluid. Alveolar Oedema.
From
Alveolar Oedema This process leads to diminished gas exchange at the alveolar level,. Pulmonary edema is the accumulation of excessive fluid in the alveolar walls and alveolar spaces of the lungs. This fluid collects in the many air sacs in the lungs,. It can sometimes have a central. Pulmonary edema can be classified into four categories based on these physiologic determinates of. Alveolar Oedema.
From www.wikidoc.org
Pulmonary edema CT wikidoc Alveolar Oedema This fluid collects in the many air sacs in the lungs,. This process leads to diminished gas exchange at the alveolar level,. It can sometimes have a central. Pulmonary edema can be defined as an abnormal accumulation of extravascular fluid in the lung parenchyma. Pulmonary edema is a condition caused by too much fluid in the lungs. Pulmonary edema is. Alveolar Oedema.
From www.slideserve.com
PPT Chapter 38 Pulmonary Circulation, Pulmonary Edema, Pleural Fluid Alveolar Oedema This process leads to diminished gas exchange at the alveolar level,. Hydrostatic pressure edema, permeability edema with and. It can sometimes have a central. Pulmonary edema is the accumulation of excessive fluid in the alveolar walls and alveolar spaces of the lungs. This fluid collects in the many air sacs in the lungs,. Pulmonary edema is a condition caused by. Alveolar Oedema.
From animalia-life.club
Pulmonary Edema Chest X Ray Alveolar Oedema Pulmonary edema is the accumulation of excessive fluid in the alveolar walls and alveolar spaces of the lungs. Pulmonary edema can be defined as an abnormal accumulation of extravascular fluid in the lung parenchyma. This fluid collects in the many air sacs in the lungs,. Pulmonary edema can be classified into four categories based on these physiologic determinates of edema:. Alveolar Oedema.
From www.dxline.info
Pulmonary Oedema. Causes, symptoms, treatment Pulmonary Oedema Alveolar Oedema This process leads to diminished gas exchange at the alveolar level,. Pulmonary edema is the accumulation of excessive fluid in the alveolar walls and alveolar spaces of the lungs. This fluid collects in the many air sacs in the lungs,. Pulmonary edema can be classified into four categories based on these physiologic determinates of edema: Pulmonary edema can be defined. Alveolar Oedema.
From
Alveolar Oedema Pulmonary edema is the accumulation of excessive fluid in the alveolar walls and alveolar spaces of the lungs. It can sometimes have a central. This fluid collects in the many air sacs in the lungs,. Pulmonary edema can be defined as an abnormal accumulation of extravascular fluid in the lung parenchyma. This process leads to diminished gas exchange at the. Alveolar Oedema.
From
Alveolar Oedema Pulmonary edema is a condition caused by too much fluid in the lungs. Pulmonary edema is the accumulation of excessive fluid in the alveolar walls and alveolar spaces of the lungs. This fluid collects in the many air sacs in the lungs,. Pulmonary edema can be defined as an abnormal accumulation of extravascular fluid in the lung parenchyma. Hydrostatic pressure. Alveolar Oedema.
From
Alveolar Oedema Pulmonary edema is the accumulation of excessive fluid in the alveolar walls and alveolar spaces of the lungs. It can sometimes have a central. This fluid collects in the many air sacs in the lungs,. Alveolar oedema is caused by fluid leaking from the interstitial tissues into the alveoli and small airways, and manifests as airspace shadowing (consolidation) This process. Alveolar Oedema.
From www.mayoclinic.org
Pulmonary edema Symptoms and causes Mayo Clinic Alveolar Oedema Pulmonary edema is the accumulation of excessive fluid in the alveolar walls and alveolar spaces of the lungs. This fluid collects in the many air sacs in the lungs,. Pulmonary edema is a condition caused by too much fluid in the lungs. This process leads to diminished gas exchange at the alveolar level,. It can sometimes have a central. Hydrostatic. Alveolar Oedema.
From radiopaedia.org
Image Alveolar Oedema Pulmonary edema can be defined as an abnormal accumulation of extravascular fluid in the lung parenchyma. Alveolar oedema is caused by fluid leaking from the interstitial tissues into the alveoli and small airways, and manifests as airspace shadowing (consolidation) It can sometimes have a central. Pulmonary edema is the accumulation of excessive fluid in the alveolar walls and alveolar spaces. Alveolar Oedema.
From
Alveolar Oedema It can sometimes have a central. Pulmonary edema can be defined as an abnormal accumulation of extravascular fluid in the lung parenchyma. Hydrostatic pressure edema, permeability edema with and. Alveolar oedema is caused by fluid leaking from the interstitial tissues into the alveoli and small airways, and manifests as airspace shadowing (consolidation) This fluid collects in the many air sacs. Alveolar Oedema.
From
Alveolar Oedema It can sometimes have a central. Hydrostatic pressure edema, permeability edema with and. Alveolar oedema is caused by fluid leaking from the interstitial tissues into the alveoli and small airways, and manifests as airspace shadowing (consolidation) Pulmonary edema can be defined as an abnormal accumulation of extravascular fluid in the lung parenchyma. Pulmonary edema is a condition caused by too. Alveolar Oedema.
From www.semanticscholar.org
Figure 1 from Imaging findings of pulmonary edema Part 1. Cardiogenic Alveolar Oedema Pulmonary edema is the accumulation of excessive fluid in the alveolar walls and alveolar spaces of the lungs. This process leads to diminished gas exchange at the alveolar level,. Pulmonary edema can be classified into four categories based on these physiologic determinates of edema: Pulmonary edema is a condition caused by too much fluid in the lungs. Pulmonary edema can. Alveolar Oedema.
From
Alveolar Oedema Alveolar oedema is caused by fluid leaking from the interstitial tissues into the alveoli and small airways, and manifests as airspace shadowing (consolidation) Pulmonary edema is the accumulation of excessive fluid in the alveolar walls and alveolar spaces of the lungs. Pulmonary edema can be classified into four categories based on these physiologic determinates of edema: Pulmonary edema is a. Alveolar Oedema.
From
Alveolar Oedema This fluid collects in the many air sacs in the lungs,. Alveolar oedema is caused by fluid leaking from the interstitial tissues into the alveoli and small airways, and manifests as airspace shadowing (consolidation) Pulmonary edema is a condition caused by too much fluid in the lungs. It can sometimes have a central. Pulmonary edema is the accumulation of excessive. Alveolar Oedema.
From www.animalia-life.club
Pulmonary Edema Chest X Ray Alveolar Oedema Alveolar oedema is caused by fluid leaking from the interstitial tissues into the alveoli and small airways, and manifests as airspace shadowing (consolidation) Pulmonary edema is a condition caused by too much fluid in the lungs. Pulmonary edema can be classified into four categories based on these physiologic determinates of edema: It can sometimes have a central. Pulmonary edema is. Alveolar Oedema.
From
Alveolar Oedema Pulmonary edema is a condition caused by too much fluid in the lungs. Pulmonary edema is the accumulation of excessive fluid in the alveolar walls and alveolar spaces of the lungs. Alveolar oedema is caused by fluid leaking from the interstitial tissues into the alveoli and small airways, and manifests as airspace shadowing (consolidation) It can sometimes have a central.. Alveolar Oedema.
From www.nejm.org
Acute Pulmonary Edema NEJM Alveolar Oedema It can sometimes have a central. This process leads to diminished gas exchange at the alveolar level,. Pulmonary edema is the accumulation of excessive fluid in the alveolar walls and alveolar spaces of the lungs. Pulmonary edema is a condition caused by too much fluid in the lungs. Hydrostatic pressure edema, permeability edema with and. Pulmonary edema can be classified. Alveolar Oedema.
From
Alveolar Oedema Pulmonary edema is the accumulation of excessive fluid in the alveolar walls and alveolar spaces of the lungs. Alveolar oedema is caused by fluid leaking from the interstitial tissues into the alveoli and small airways, and manifests as airspace shadowing (consolidation) Pulmonary edema is a condition caused by too much fluid in the lungs. It can sometimes have a central.. Alveolar Oedema.
From
Alveolar Oedema Alveolar oedema is caused by fluid leaking from the interstitial tissues into the alveoli and small airways, and manifests as airspace shadowing (consolidation) It can sometimes have a central. Hydrostatic pressure edema, permeability edema with and. Pulmonary edema is a condition caused by too much fluid in the lungs. Pulmonary edema can be defined as an abnormal accumulation of extravascular. Alveolar Oedema.
From
Alveolar Oedema Alveolar oedema is caused by fluid leaking from the interstitial tissues into the alveoli and small airways, and manifests as airspace shadowing (consolidation) Hydrostatic pressure edema, permeability edema with and. This fluid collects in the many air sacs in the lungs,. Pulmonary edema is a condition caused by too much fluid in the lungs. This process leads to diminished gas. Alveolar Oedema.
From
Alveolar Oedema Hydrostatic pressure edema, permeability edema with and. This process leads to diminished gas exchange at the alveolar level,. This fluid collects in the many air sacs in the lungs,. Alveolar oedema is caused by fluid leaking from the interstitial tissues into the alveoli and small airways, and manifests as airspace shadowing (consolidation) Pulmonary edema is a condition caused by too. Alveolar Oedema.
From
Alveolar Oedema Alveolar oedema is caused by fluid leaking from the interstitial tissues into the alveoli and small airways, and manifests as airspace shadowing (consolidation) This process leads to diminished gas exchange at the alveolar level,. This fluid collects in the many air sacs in the lungs,. Hydrostatic pressure edema, permeability edema with and. It can sometimes have a central. Pulmonary edema. Alveolar Oedema.
From mungfali.com
Pulmonary Edema Chest X Ray Alveolar Oedema This fluid collects in the many air sacs in the lungs,. Hydrostatic pressure edema, permeability edema with and. Pulmonary edema can be defined as an abnormal accumulation of extravascular fluid in the lung parenchyma. This process leads to diminished gas exchange at the alveolar level,. Pulmonary edema is a condition caused by too much fluid in the lungs. Alveolar oedema. Alveolar Oedema.
From ar.inspiredpencil.com
Pulmonary Edema Chest X Ray Alveolar Oedema Pulmonary edema is a condition caused by too much fluid in the lungs. Pulmonary edema can be classified into four categories based on these physiologic determinates of edema: Pulmonary edema is the accumulation of excessive fluid in the alveolar walls and alveolar spaces of the lungs. Pulmonary edema can be defined as an abnormal accumulation of extravascular fluid in the. Alveolar Oedema.
From
Alveolar Oedema Alveolar oedema is caused by fluid leaking from the interstitial tissues into the alveoli and small airways, and manifests as airspace shadowing (consolidation) This fluid collects in the many air sacs in the lungs,. Pulmonary edema can be defined as an abnormal accumulation of extravascular fluid in the lung parenchyma. Pulmonary edema can be classified into four categories based on. Alveolar Oedema.
From www.indianradiology.com
Pulmonary Edema CXR Sumer's Radiology Blog Alveolar Oedema It can sometimes have a central. Pulmonary edema can be classified into four categories based on these physiologic determinates of edema: Hydrostatic pressure edema, permeability edema with and. Pulmonary edema can be defined as an abnormal accumulation of extravascular fluid in the lung parenchyma. Pulmonary edema is a condition caused by too much fluid in the lungs. This process leads. Alveolar Oedema.
From www.doccheck.com
Edema pulmonar agudo DocCheck Alveolar Oedema This fluid collects in the many air sacs in the lungs,. Alveolar oedema is caused by fluid leaking from the interstitial tissues into the alveoli and small airways, and manifests as airspace shadowing (consolidation) Pulmonary edema can be classified into four categories based on these physiologic determinates of edema: Pulmonary edema is the accumulation of excessive fluid in the alveolar. Alveolar Oedema.
From
Alveolar Oedema Hydrostatic pressure edema, permeability edema with and. Pulmonary edema is a condition caused by too much fluid in the lungs. This process leads to diminished gas exchange at the alveolar level,. Pulmonary edema is the accumulation of excessive fluid in the alveolar walls and alveolar spaces of the lungs. This fluid collects in the many air sacs in the lungs,.. Alveolar Oedema.
From
Alveolar Oedema It can sometimes have a central. This process leads to diminished gas exchange at the alveolar level,. Alveolar oedema is caused by fluid leaking from the interstitial tissues into the alveoli and small airways, and manifests as airspace shadowing (consolidation) Hydrostatic pressure edema, permeability edema with and. This fluid collects in the many air sacs in the lungs,. Pulmonary edema. Alveolar Oedema.
From
Alveolar Oedema This process leads to diminished gas exchange at the alveolar level,. Pulmonary edema can be defined as an abnormal accumulation of extravascular fluid in the lung parenchyma. Pulmonary edema is a condition caused by too much fluid in the lungs. Pulmonary edema can be classified into four categories based on these physiologic determinates of edema: This fluid collects in the. Alveolar Oedema.
From heart.thecommonvein.net
CXR Interstitial Edema Heart Alveolar Oedema Pulmonary edema is the accumulation of excessive fluid in the alveolar walls and alveolar spaces of the lungs. It can sometimes have a central. Pulmonary edema is a condition caused by too much fluid in the lungs. Pulmonary edema can be defined as an abnormal accumulation of extravascular fluid in the lung parenchyma. This fluid collects in the many air. Alveolar Oedema.
From
Alveolar Oedema This fluid collects in the many air sacs in the lungs,. Pulmonary edema is a condition caused by too much fluid in the lungs. This process leads to diminished gas exchange at the alveolar level,. Pulmonary edema can be classified into four categories based on these physiologic determinates of edema: Hydrostatic pressure edema, permeability edema with and. Alveolar oedema is. Alveolar Oedema.
From
Alveolar Oedema Hydrostatic pressure edema, permeability edema with and. This process leads to diminished gas exchange at the alveolar level,. Pulmonary edema can be classified into four categories based on these physiologic determinates of edema: It can sometimes have a central. Alveolar oedema is caused by fluid leaking from the interstitial tissues into the alveoli and small airways, and manifests as airspace. Alveolar Oedema.