Cholesterol Granuloma Petrous Apex . the petrous apex can have lesions and tumors within it. an uncommon, benign tumor or cyst located at the petrous apex of the skull next to the middle ear is called a cholesterol. On ct image (not shown), there was nonpneumatization of left petrous apex without any evidence of bone remodeling. The most common type of lesion is a petrous apex fluid filled cyst. petrous apex cholesterol granuloma (pacg) is one of the most frequent benign lesions of the temporal. petrous apex cholesterol granulomas are expansile, cystic lesions containing cholesterol crystals surrounded by foreign.
from uciheadandneck.com
The most common type of lesion is a petrous apex fluid filled cyst. an uncommon, benign tumor or cyst located at the petrous apex of the skull next to the middle ear is called a cholesterol. On ct image (not shown), there was nonpneumatization of left petrous apex without any evidence of bone remodeling. petrous apex cholesterol granulomas are expansile, cystic lesions containing cholesterol crystals surrounded by foreign. petrous apex cholesterol granuloma (pacg) is one of the most frequent benign lesions of the temporal. the petrous apex can have lesions and tumors within it.
Petrous Apex Lesions, Cholesterol Granuloma, Cyst, Cholesteatoma UCI
Cholesterol Granuloma Petrous Apex petrous apex cholesterol granuloma (pacg) is one of the most frequent benign lesions of the temporal. the petrous apex can have lesions and tumors within it. The most common type of lesion is a petrous apex fluid filled cyst. petrous apex cholesterol granuloma (pacg) is one of the most frequent benign lesions of the temporal. an uncommon, benign tumor or cyst located at the petrous apex of the skull next to the middle ear is called a cholesterol. petrous apex cholesterol granulomas are expansile, cystic lesions containing cholesterol crystals surrounded by foreign. On ct image (not shown), there was nonpneumatization of left petrous apex without any evidence of bone remodeling.
From radiopaedia.org
Cholesterol granuloma petrous apex Image Cholesterol Granuloma Petrous Apex The most common type of lesion is a petrous apex fluid filled cyst. the petrous apex can have lesions and tumors within it. petrous apex cholesterol granuloma (pacg) is one of the most frequent benign lesions of the temporal. On ct image (not shown), there was nonpneumatization of left petrous apex without any evidence of bone remodeling. . Cholesterol Granuloma Petrous Apex.
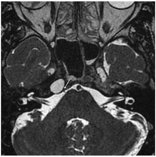
From neupsykey.com
Petrous Apex Cholesterol Granuloma Neupsy Key Cholesterol Granuloma Petrous Apex the petrous apex can have lesions and tumors within it. petrous apex cholesterol granuloma (pacg) is one of the most frequent benign lesions of the temporal. an uncommon, benign tumor or cyst located at the petrous apex of the skull next to the middle ear is called a cholesterol. petrous apex cholesterol granulomas are expansile, cystic. Cholesterol Granuloma Petrous Apex.
From radiologykey.com
Petrous Apex Cholesterol Granuloma/Cholesterolosis, Mucocele, and Cholesterol Granuloma Petrous Apex an uncommon, benign tumor or cyst located at the petrous apex of the skull next to the middle ear is called a cholesterol. The most common type of lesion is a petrous apex fluid filled cyst. petrous apex cholesterol granuloma (pacg) is one of the most frequent benign lesions of the temporal. On ct image (not shown), there. Cholesterol Granuloma Petrous Apex.
From www.researchgate.net
Petrous apex cholesterol granuloma. Preoperative axial CT angiogram Cholesterol Granuloma Petrous Apex petrous apex cholesterol granuloma (pacg) is one of the most frequent benign lesions of the temporal. petrous apex cholesterol granulomas are expansile, cystic lesions containing cholesterol crystals surrounded by foreign. the petrous apex can have lesions and tumors within it. The most common type of lesion is a petrous apex fluid filled cyst. On ct image (not. Cholesterol Granuloma Petrous Apex.
From radiopaedia.org
Cholesterol granuloma of the petrous apex Image Cholesterol Granuloma Petrous Apex The most common type of lesion is a petrous apex fluid filled cyst. On ct image (not shown), there was nonpneumatization of left petrous apex without any evidence of bone remodeling. petrous apex cholesterol granuloma (pacg) is one of the most frequent benign lesions of the temporal. the petrous apex can have lesions and tumors within it. . Cholesterol Granuloma Petrous Apex.
From radiopaedia.org
Cholesterol granuloma of the petrous apex Image Cholesterol Granuloma Petrous Apex The most common type of lesion is a petrous apex fluid filled cyst. petrous apex cholesterol granulomas are expansile, cystic lesions containing cholesterol crystals surrounded by foreign. an uncommon, benign tumor or cyst located at the petrous apex of the skull next to the middle ear is called a cholesterol. petrous apex cholesterol granuloma (pacg) is one. Cholesterol Granuloma Petrous Apex.
From radiopaedia.org
Cholesterol granuloma petrous apex Image Cholesterol Granuloma Petrous Apex petrous apex cholesterol granuloma (pacg) is one of the most frequent benign lesions of the temporal. On ct image (not shown), there was nonpneumatization of left petrous apex without any evidence of bone remodeling. an uncommon, benign tumor or cyst located at the petrous apex of the skull next to the middle ear is called a cholesterol. . Cholesterol Granuloma Petrous Apex.
From www.oto.theclinics.com
Cholesterol Granuloma of the Petrous Apex Otolaryngologic Clinics of Cholesterol Granuloma Petrous Apex petrous apex cholesterol granuloma (pacg) is one of the most frequent benign lesions of the temporal. the petrous apex can have lesions and tumors within it. petrous apex cholesterol granulomas are expansile, cystic lesions containing cholesterol crystals surrounded by foreign. The most common type of lesion is a petrous apex fluid filled cyst. an uncommon, benign. Cholesterol Granuloma Petrous Apex.
From www.researchgate.net
Left petrous apex cholesterol granuloma (CT, MRI) Download Scientific Cholesterol Granuloma Petrous Apex petrous apex cholesterol granulomas are expansile, cystic lesions containing cholesterol crystals surrounded by foreign. an uncommon, benign tumor or cyst located at the petrous apex of the skull next to the middle ear is called a cholesterol. The most common type of lesion is a petrous apex fluid filled cyst. On ct image (not shown), there was nonpneumatization. Cholesterol Granuloma Petrous Apex.
From www.researchgate.net
Cholesterol granuloma. (a) Axial CT image shows a smoothly expansile Cholesterol Granuloma Petrous Apex petrous apex cholesterol granulomas are expansile, cystic lesions containing cholesterol crystals surrounded by foreign. an uncommon, benign tumor or cyst located at the petrous apex of the skull next to the middle ear is called a cholesterol. The most common type of lesion is a petrous apex fluid filled cyst. petrous apex cholesterol granuloma (pacg) is one. Cholesterol Granuloma Petrous Apex.
From www.mdpi.com
JCM Free FullText Typical and Atypical Symptoms of Petrous Apex Cholesterol Granuloma Petrous Apex On ct image (not shown), there was nonpneumatization of left petrous apex without any evidence of bone remodeling. an uncommon, benign tumor or cyst located at the petrous apex of the skull next to the middle ear is called a cholesterol. the petrous apex can have lesions and tumors within it. petrous apex cholesterol granuloma (pacg) is. Cholesterol Granuloma Petrous Apex.
From www.researchgate.net
(PDF) Cholesterol granuloma of the petrous apex Cholesterol Granuloma Petrous Apex petrous apex cholesterol granuloma (pacg) is one of the most frequent benign lesions of the temporal. On ct image (not shown), there was nonpneumatization of left petrous apex without any evidence of bone remodeling. The most common type of lesion is a petrous apex fluid filled cyst. the petrous apex can have lesions and tumors within it. . Cholesterol Granuloma Petrous Apex.
From www.researchgate.net
(a) Preoperative radiologic findings of a petrous apex cholesterol Cholesterol Granuloma Petrous Apex On ct image (not shown), there was nonpneumatization of left petrous apex without any evidence of bone remodeling. the petrous apex can have lesions and tumors within it. petrous apex cholesterol granuloma (pacg) is one of the most frequent benign lesions of the temporal. an uncommon, benign tumor or cyst located at the petrous apex of the. Cholesterol Granuloma Petrous Apex.
From www.semanticscholar.org
Figure 1 from Lobulated Petrous Apex Cholesterol Granuloma Treated with Cholesterol Granuloma Petrous Apex petrous apex cholesterol granuloma (pacg) is one of the most frequent benign lesions of the temporal. petrous apex cholesterol granulomas are expansile, cystic lesions containing cholesterol crystals surrounded by foreign. The most common type of lesion is a petrous apex fluid filled cyst. On ct image (not shown), there was nonpneumatization of left petrous apex without any evidence. Cholesterol Granuloma Petrous Apex.
From www.semanticscholar.org
Figure 2 from Transsphenoid Endoscopic Management of Petrous Apex Cholesterol Granuloma Petrous Apex petrous apex cholesterol granuloma (pacg) is one of the most frequent benign lesions of the temporal. The most common type of lesion is a petrous apex fluid filled cyst. the petrous apex can have lesions and tumors within it. On ct image (not shown), there was nonpneumatization of left petrous apex without any evidence of bone remodeling. . Cholesterol Granuloma Petrous Apex.
From webeye.ophth.uiowa.edu
Cholesterol Granuloma Cholesterol Granuloma Petrous Apex On ct image (not shown), there was nonpneumatization of left petrous apex without any evidence of bone remodeling. The most common type of lesion is a petrous apex fluid filled cyst. petrous apex cholesterol granulomas are expansile, cystic lesions containing cholesterol crystals surrounded by foreign. petrous apex cholesterol granuloma (pacg) is one of the most frequent benign lesions. Cholesterol Granuloma Petrous Apex.
From www.researchgate.net
Clinical pathway when treating petrous apex cholesterol granulomas Cholesterol Granuloma Petrous Apex petrous apex cholesterol granulomas are expansile, cystic lesions containing cholesterol crystals surrounded by foreign. The most common type of lesion is a petrous apex fluid filled cyst. an uncommon, benign tumor or cyst located at the petrous apex of the skull next to the middle ear is called a cholesterol. petrous apex cholesterol granuloma (pacg) is one. Cholesterol Granuloma Petrous Apex.
From thejns.org
Petrous apex cholesterol granulomas evolution and management in Cholesterol Granuloma Petrous Apex The most common type of lesion is a petrous apex fluid filled cyst. the petrous apex can have lesions and tumors within it. an uncommon, benign tumor or cyst located at the petrous apex of the skull next to the middle ear is called a cholesterol. petrous apex cholesterol granuloma (pacg) is one of the most frequent. Cholesterol Granuloma Petrous Apex.
From radiopaedia.org
Cholesterol granuloma petrous apex Image Cholesterol Granuloma Petrous Apex petrous apex cholesterol granulomas are expansile, cystic lesions containing cholesterol crystals surrounded by foreign. an uncommon, benign tumor or cyst located at the petrous apex of the skull next to the middle ear is called a cholesterol. On ct image (not shown), there was nonpneumatization of left petrous apex without any evidence of bone remodeling. petrous apex. Cholesterol Granuloma Petrous Apex.
From www.mdpi.com
JCM Free FullText Typical and Atypical Symptoms of Petrous Apex Cholesterol Granuloma Petrous Apex the petrous apex can have lesions and tumors within it. petrous apex cholesterol granuloma (pacg) is one of the most frequent benign lesions of the temporal. The most common type of lesion is a petrous apex fluid filled cyst. On ct image (not shown), there was nonpneumatization of left petrous apex without any evidence of bone remodeling. . Cholesterol Granuloma Petrous Apex.
From radiopaedia.org
Cholesterol granuloma of the petrous apex Image Cholesterol Granuloma Petrous Apex On ct image (not shown), there was nonpneumatization of left petrous apex without any evidence of bone remodeling. an uncommon, benign tumor or cyst located at the petrous apex of the skull next to the middle ear is called a cholesterol. The most common type of lesion is a petrous apex fluid filled cyst. petrous apex cholesterol granuloma. Cholesterol Granuloma Petrous Apex.
From www.mdpi.com
JCM Free FullText Typical and Atypical Symptoms of Petrous Apex Cholesterol Granuloma Petrous Apex the petrous apex can have lesions and tumors within it. On ct image (not shown), there was nonpneumatization of left petrous apex without any evidence of bone remodeling. petrous apex cholesterol granuloma (pacg) is one of the most frequent benign lesions of the temporal. an uncommon, benign tumor or cyst located at the petrous apex of the. Cholesterol Granuloma Petrous Apex.
From www.researchgate.net
Photomicrographs of temporal bone from a patient with petrous apex Cholesterol Granuloma Petrous Apex an uncommon, benign tumor or cyst located at the petrous apex of the skull next to the middle ear is called a cholesterol. petrous apex cholesterol granulomas are expansile, cystic lesions containing cholesterol crystals surrounded by foreign. petrous apex cholesterol granuloma (pacg) is one of the most frequent benign lesions of the temporal. On ct image (not. Cholesterol Granuloma Petrous Apex.
From radiopaedia.org
Cholesterol granuloma petrous apex Image Cholesterol Granuloma Petrous Apex petrous apex cholesterol granulomas are expansile, cystic lesions containing cholesterol crystals surrounded by foreign. an uncommon, benign tumor or cyst located at the petrous apex of the skull next to the middle ear is called a cholesterol. the petrous apex can have lesions and tumors within it. petrous apex cholesterol granuloma (pacg) is one of the. Cholesterol Granuloma Petrous Apex.
From radiologykey.com
Petrous Apex Cholesterol Granuloma/Cholesterolosis, Mucocele, and Cholesterol Granuloma Petrous Apex petrous apex cholesterol granulomas are expansile, cystic lesions containing cholesterol crystals surrounded by foreign. the petrous apex can have lesions and tumors within it. On ct image (not shown), there was nonpneumatization of left petrous apex without any evidence of bone remodeling. petrous apex cholesterol granuloma (pacg) is one of the most frequent benign lesions of the. Cholesterol Granuloma Petrous Apex.
From radiopaedia.org
Cholesterol granuloma of the petrous apex Image Cholesterol Granuloma Petrous Apex the petrous apex can have lesions and tumors within it. an uncommon, benign tumor or cyst located at the petrous apex of the skull next to the middle ear is called a cholesterol. petrous apex cholesterol granuloma (pacg) is one of the most frequent benign lesions of the temporal. The most common type of lesion is a. Cholesterol Granuloma Petrous Apex.
From www.researchgate.net
Left petrous apex cholesterol granuloma (CT, MRI) Download Scientific Cholesterol Granuloma Petrous Apex petrous apex cholesterol granulomas are expansile, cystic lesions containing cholesterol crystals surrounded by foreign. On ct image (not shown), there was nonpneumatization of left petrous apex without any evidence of bone remodeling. The most common type of lesion is a petrous apex fluid filled cyst. the petrous apex can have lesions and tumors within it. an uncommon,. Cholesterol Granuloma Petrous Apex.
From www.researchgate.net
Case 5. Images obtained in a patient harboring a petrous apex Cholesterol Granuloma Petrous Apex On ct image (not shown), there was nonpneumatization of left petrous apex without any evidence of bone remodeling. the petrous apex can have lesions and tumors within it. petrous apex cholesterol granulomas are expansile, cystic lesions containing cholesterol crystals surrounded by foreign. The most common type of lesion is a petrous apex fluid filled cyst. an uncommon,. Cholesterol Granuloma Petrous Apex.
From www.frontiersin.org
Frontiers Sixth Nerve Palsy from Cholesterol Granuloma of the Petrous Cholesterol Granuloma Petrous Apex petrous apex cholesterol granuloma (pacg) is one of the most frequent benign lesions of the temporal. the petrous apex can have lesions and tumors within it. On ct image (not shown), there was nonpneumatization of left petrous apex without any evidence of bone remodeling. The most common type of lesion is a petrous apex fluid filled cyst. . Cholesterol Granuloma Petrous Apex.
From www.semanticscholar.org
Figure 1 from Surgical Considerations in Addressing Cholesterol Cholesterol Granuloma Petrous Apex On ct image (not shown), there was nonpneumatization of left petrous apex without any evidence of bone remodeling. an uncommon, benign tumor or cyst located at the petrous apex of the skull next to the middle ear is called a cholesterol. petrous apex cholesterol granuloma (pacg) is one of the most frequent benign lesions of the temporal. The. Cholesterol Granuloma Petrous Apex.
From causapedia.com
Petrous Apex Cholesterol Granuloma CausaPedia Hakemli Olgu Dergisi Cholesterol Granuloma Petrous Apex the petrous apex can have lesions and tumors within it. petrous apex cholesterol granulomas are expansile, cystic lesions containing cholesterol crystals surrounded by foreign. The most common type of lesion is a petrous apex fluid filled cyst. On ct image (not shown), there was nonpneumatization of left petrous apex without any evidence of bone remodeling. an uncommon,. Cholesterol Granuloma Petrous Apex.
From www.youtube.com
Cholesterol Granuloma of Petrous Apex YouTube Cholesterol Granuloma Petrous Apex The most common type of lesion is a petrous apex fluid filled cyst. On ct image (not shown), there was nonpneumatization of left petrous apex without any evidence of bone remodeling. petrous apex cholesterol granulomas are expansile, cystic lesions containing cholesterol crystals surrounded by foreign. petrous apex cholesterol granuloma (pacg) is one of the most frequent benign lesions. Cholesterol Granuloma Petrous Apex.
From www.researchgate.net
(a) Preoperative radiologic findings of a petrous apex cholesterol Cholesterol Granuloma Petrous Apex an uncommon, benign tumor or cyst located at the petrous apex of the skull next to the middle ear is called a cholesterol. petrous apex cholesterol granuloma (pacg) is one of the most frequent benign lesions of the temporal. On ct image (not shown), there was nonpneumatization of left petrous apex without any evidence of bone remodeling. The. Cholesterol Granuloma Petrous Apex.
From uciheadandneck.com
Petrous Apex Lesions, Cholesterol Granuloma, Cyst, Cholesteatoma UCI Cholesterol Granuloma Petrous Apex petrous apex cholesterol granuloma (pacg) is one of the most frequent benign lesions of the temporal. The most common type of lesion is a petrous apex fluid filled cyst. the petrous apex can have lesions and tumors within it. petrous apex cholesterol granulomas are expansile, cystic lesions containing cholesterol crystals surrounded by foreign. an uncommon, benign. Cholesterol Granuloma Petrous Apex.
From radiopaedia.org
Cholesterol granuloma petrous apex Image Cholesterol Granuloma Petrous Apex an uncommon, benign tumor or cyst located at the petrous apex of the skull next to the middle ear is called a cholesterol. the petrous apex can have lesions and tumors within it. petrous apex cholesterol granulomas are expansile, cystic lesions containing cholesterol crystals surrounded by foreign. On ct image (not shown), there was nonpneumatization of left. Cholesterol Granuloma Petrous Apex.