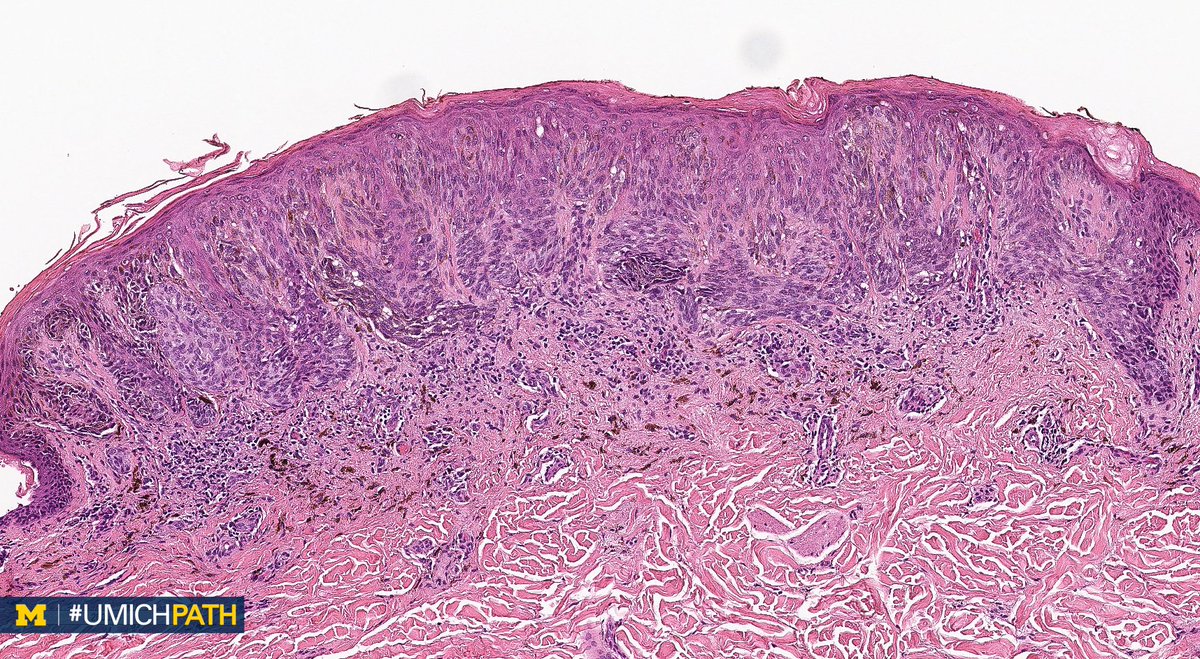
Spindle Cell Nevus Of Reed . It is generally found on the trunk or. spitz naevus is classified as classic, pigmented, or spindle cell tumour of reed. Spindle cell naevus, epithelioid cell naevus, juvenile melanoma) is a variant of a compound. the spitz naevus (syn. pigmented spindle cell nevus is a benign melanocytic lesion that was initially described in 1975 by reed et al. pigmented spindle cell nevus (pscn), also known as reed nevus, is a distinctive melanocytic tumor that can show. interestingly, ntrk3 fusion appears to be the most typical genomic aberration in pigmented spindle cell nevus. pigmented spindle cell naevus of reed. Pigmented spindle cell naevus of reed appears in children and young adults.
from www.pcds.org.uk
pigmented spindle cell naevus of reed. It is generally found on the trunk or. pigmented spindle cell nevus (pscn), also known as reed nevus, is a distinctive melanocytic tumor that can show. Pigmented spindle cell naevus of reed appears in children and young adults. interestingly, ntrk3 fusion appears to be the most typical genomic aberration in pigmented spindle cell nevus. pigmented spindle cell nevus is a benign melanocytic lesion that was initially described in 1975 by reed et al. the spitz naevus (syn. Spindle cell naevus, epithelioid cell naevus, juvenile melanoma) is a variant of a compound. spitz naevus is classified as classic, pigmented, or spindle cell tumour of reed.
Spitz naevus
Spindle Cell Nevus Of Reed interestingly, ntrk3 fusion appears to be the most typical genomic aberration in pigmented spindle cell nevus. pigmented spindle cell naevus of reed. the spitz naevus (syn. pigmented spindle cell nevus is a benign melanocytic lesion that was initially described in 1975 by reed et al. Pigmented spindle cell naevus of reed appears in children and young adults. spitz naevus is classified as classic, pigmented, or spindle cell tumour of reed. interestingly, ntrk3 fusion appears to be the most typical genomic aberration in pigmented spindle cell nevus. pigmented spindle cell nevus (pscn), also known as reed nevus, is a distinctive melanocytic tumor that can show. It is generally found on the trunk or. Spindle cell naevus, epithelioid cell naevus, juvenile melanoma) is a variant of a compound.
From dermnetnz.org
Pigmented spindle cell naevus of Reed pathology image Spindle Cell Nevus Of Reed Spindle cell naevus, epithelioid cell naevus, juvenile melanoma) is a variant of a compound. Pigmented spindle cell naevus of reed appears in children and young adults. pigmented spindle cell nevus is a benign melanocytic lesion that was initially described in 1975 by reed et al. spitz naevus is classified as classic, pigmented, or spindle cell tumour of reed.. Spindle Cell Nevus Of Reed.
From www.dovemed.com
Pigmented Spindle Cell Nevus (Reed) Spindle Cell Nevus Of Reed pigmented spindle cell naevus of reed. Pigmented spindle cell naevus of reed appears in children and young adults. It is generally found on the trunk or. spitz naevus is classified as classic, pigmented, or spindle cell tumour of reed. Spindle cell naevus, epithelioid cell naevus, juvenile melanoma) is a variant of a compound. the spitz naevus (syn.. Spindle Cell Nevus Of Reed.
From dermpath.weill.cornell.edu
Pigmented Spindle Cell Nevus of Reed Dermatopathology Spindle Cell Nevus Of Reed It is generally found on the trunk or. pigmented spindle cell naevus of reed. interestingly, ntrk3 fusion appears to be the most typical genomic aberration in pigmented spindle cell nevus. Pigmented spindle cell naevus of reed appears in children and young adults. Spindle cell naevus, epithelioid cell naevus, juvenile melanoma) is a variant of a compound. pigmented. Spindle Cell Nevus Of Reed.
From www.pcds.org.uk
Pigmented spindle cell naevus of Reed Spindle Cell Nevus Of Reed Pigmented spindle cell naevus of reed appears in children and young adults. spitz naevus is classified as classic, pigmented, or spindle cell tumour of reed. It is generally found on the trunk or. interestingly, ntrk3 fusion appears to be the most typical genomic aberration in pigmented spindle cell nevus. pigmented spindle cell nevus is a benign melanocytic. Spindle Cell Nevus Of Reed.
From dermpathmadesimple.blogspot.com
Dermpath Made Simple Neoplastic Spitz Nevus and Reed Nevus Spindle Cell Nevus Of Reed Pigmented spindle cell naevus of reed appears in children and young adults. Spindle cell naevus, epithelioid cell naevus, juvenile melanoma) is a variant of a compound. the spitz naevus (syn. spitz naevus is classified as classic, pigmented, or spindle cell tumour of reed. pigmented spindle cell naevus of reed. interestingly, ntrk3 fusion appears to be the. Spindle Cell Nevus Of Reed.
From www.pcds.org.uk
Pigmented spindle cell naevus of Reed Spindle Cell Nevus Of Reed Spindle cell naevus, epithelioid cell naevus, juvenile melanoma) is a variant of a compound. It is generally found on the trunk or. the spitz naevus (syn. Pigmented spindle cell naevus of reed appears in children and young adults. pigmented spindle cell naevus of reed. spitz naevus is classified as classic, pigmented, or spindle cell tumour of reed.. Spindle Cell Nevus Of Reed.
From dermnetnz.org
Pigmented spindle cell naevus of Reed pathology image Spindle Cell Nevus Of Reed pigmented spindle cell nevus is a benign melanocytic lesion that was initially described in 1975 by reed et al. interestingly, ntrk3 fusion appears to be the most typical genomic aberration in pigmented spindle cell nevus. Pigmented spindle cell naevus of reed appears in children and young adults. It is generally found on the trunk or. the spitz. Spindle Cell Nevus Of Reed.
From www.researchgate.net
Reed nevus. A, Proliferation of spindleshaped nevus cells without Spindle Cell Nevus Of Reed spitz naevus is classified as classic, pigmented, or spindle cell tumour of reed. pigmented spindle cell naevus of reed. It is generally found on the trunk or. Spindle cell naevus, epithelioid cell naevus, juvenile melanoma) is a variant of a compound. the spitz naevus (syn. interestingly, ntrk3 fusion appears to be the most typical genomic aberration. Spindle Cell Nevus Of Reed.
From za.pinterest.com
Raining down appearance of Pigmented Spindle Cell Nevus (Reed Nevus Spindle Cell Nevus Of Reed the spitz naevus (syn. pigmented spindle cell naevus of reed. Spindle cell naevus, epithelioid cell naevus, juvenile melanoma) is a variant of a compound. spitz naevus is classified as classic, pigmented, or spindle cell tumour of reed. pigmented spindle cell nevus (pscn), also known as reed nevus, is a distinctive melanocytic tumor that can show. . Spindle Cell Nevus Of Reed.
From www.pcds.org.uk
Spitz naevus Spindle Cell Nevus Of Reed spitz naevus is classified as classic, pigmented, or spindle cell tumour of reed. pigmented spindle cell nevus is a benign melanocytic lesion that was initially described in 1975 by reed et al. pigmented spindle cell naevus of reed. It is generally found on the trunk or. Pigmented spindle cell naevus of reed appears in children and young. Spindle Cell Nevus Of Reed.
From kikoxp.com
Spindle cell nevus of Reed KiKo XP Spindle Cell Nevus Of Reed It is generally found on the trunk or. interestingly, ntrk3 fusion appears to be the most typical genomic aberration in pigmented spindle cell nevus. spitz naevus is classified as classic, pigmented, or spindle cell tumour of reed. pigmented spindle cell naevus of reed. Pigmented spindle cell naevus of reed appears in children and young adults. pigmented. Spindle Cell Nevus Of Reed.
From dermpath.weill.cornell.edu
Pigmented Spindle Cell Nevus of Reed Dermatopathology Spindle Cell Nevus Of Reed pigmented spindle cell nevus is a benign melanocytic lesion that was initially described in 1975 by reed et al. the spitz naevus (syn. pigmented spindle cell nevus (pscn), also known as reed nevus, is a distinctive melanocytic tumor that can show. It is generally found on the trunk or. Pigmented spindle cell naevus of reed appears in. Spindle Cell Nevus Of Reed.
From www.researchgate.net
(PDF) Reed Nevus (Pigmented Spindle Cell Nevus) in an 11MonthOld Spindle Cell Nevus Of Reed interestingly, ntrk3 fusion appears to be the most typical genomic aberration in pigmented spindle cell nevus. pigmented spindle cell nevus is a benign melanocytic lesion that was initially described in 1975 by reed et al. pigmented spindle cell nevus (pscn), also known as reed nevus, is a distinctive melanocytic tumor that can show. Pigmented spindle cell naevus. Spindle Cell Nevus Of Reed.
From twitter.com
Shima Mousavi, MD (shima_mousavi) Twitter Spindle Cell Nevus Of Reed pigmented spindle cell naevus of reed. the spitz naevus (syn. interestingly, ntrk3 fusion appears to be the most typical genomic aberration in pigmented spindle cell nevus. pigmented spindle cell nevus (pscn), also known as reed nevus, is a distinctive melanocytic tumor that can show. Pigmented spindle cell naevus of reed appears in children and young adults.. Spindle Cell Nevus Of Reed.
From www.pathologyoutlines.com
Pathology Outlines Spitz nevus Spindle Cell Nevus Of Reed It is generally found on the trunk or. pigmented spindle cell naevus of reed. pigmented spindle cell nevus (pscn), also known as reed nevus, is a distinctive melanocytic tumor that can show. Pigmented spindle cell naevus of reed appears in children and young adults. pigmented spindle cell nevus is a benign melanocytic lesion that was initially described. Spindle Cell Nevus Of Reed.
From www.researchgate.net
Starburst dermoscopic pattern of Reed nevus Download Scientific Diagram Spindle Cell Nevus Of Reed Spindle cell naevus, epithelioid cell naevus, juvenile melanoma) is a variant of a compound. pigmented spindle cell naevus of reed. pigmented spindle cell nevus (pscn), also known as reed nevus, is a distinctive melanocytic tumor that can show. spitz naevus is classified as classic, pigmented, or spindle cell tumour of reed. It is generally found on the. Spindle Cell Nevus Of Reed.
From dermpath.weill.cornell.edu
Pigmented Spindle Cell Nevus of Reed Dermatopathology Spindle Cell Nevus Of Reed Pigmented spindle cell naevus of reed appears in children and young adults. interestingly, ntrk3 fusion appears to be the most typical genomic aberration in pigmented spindle cell nevus. Spindle cell naevus, epithelioid cell naevus, juvenile melanoma) is a variant of a compound. pigmented spindle cell naevus of reed. the spitz naevus (syn. pigmented spindle cell nevus. Spindle Cell Nevus Of Reed.
From www.semanticscholar.org
Figure 1 from Pigmented Spindle Cell Nevus of Reed of the Eyelid Spindle Cell Nevus Of Reed the spitz naevus (syn. pigmented spindle cell naevus of reed. Pigmented spindle cell naevus of reed appears in children and young adults. It is generally found on the trunk or. Spindle cell naevus, epithelioid cell naevus, juvenile melanoma) is a variant of a compound. spitz naevus is classified as classic, pigmented, or spindle cell tumour of reed.. Spindle Cell Nevus Of Reed.
From dermpath.weill.cornell.edu
Pigmented Spindle Cell Nevus of Reed Dermatopathology Spindle Cell Nevus Of Reed pigmented spindle cell naevus of reed. Pigmented spindle cell naevus of reed appears in children and young adults. spitz naevus is classified as classic, pigmented, or spindle cell tumour of reed. interestingly, ntrk3 fusion appears to be the most typical genomic aberration in pigmented spindle cell nevus. Spindle cell naevus, epithelioid cell naevus, juvenile melanoma) is a. Spindle Cell Nevus Of Reed.
From dermpathmadesimple.blogspot.com
Dermpath Made Simple Neoplastic Spitz Nevus and Reed Nevus Spindle Cell Nevus Of Reed Pigmented spindle cell naevus of reed appears in children and young adults. the spitz naevus (syn. Spindle cell naevus, epithelioid cell naevus, juvenile melanoma) is a variant of a compound. pigmented spindle cell nevus (pscn), also known as reed nevus, is a distinctive melanocytic tumor that can show. pigmented spindle cell naevus of reed. interestingly, ntrk3. Spindle Cell Nevus Of Reed.
From dermpathmadesimple.blogspot.com
Dermpath Made Simple Neoplastic Spitz Nevus and Reed Nevus Spindle Cell Nevus Of Reed It is generally found on the trunk or. pigmented spindle cell nevus (pscn), also known as reed nevus, is a distinctive melanocytic tumor that can show. pigmented spindle cell naevus of reed. interestingly, ntrk3 fusion appears to be the most typical genomic aberration in pigmented spindle cell nevus. Spindle cell naevus, epithelioid cell naevus, juvenile melanoma) is. Spindle Cell Nevus Of Reed.
From escholarship.org
Pigmented spindlecell nevus A melanoma simulator Spindle Cell Nevus Of Reed pigmented spindle cell nevus is a benign melanocytic lesion that was initially described in 1975 by reed et al. pigmented spindle cell nevus (pscn), also known as reed nevus, is a distinctive melanocytic tumor that can show. Pigmented spindle cell naevus of reed appears in children and young adults. It is generally found on the trunk or. Spindle. Spindle Cell Nevus Of Reed.
From dermnetnz.org
Pigmented spindle cell naevus of Reed pathology image Spindle Cell Nevus Of Reed It is generally found on the trunk or. the spitz naevus (syn. spitz naevus is classified as classic, pigmented, or spindle cell tumour of reed. pigmented spindle cell nevus (pscn), also known as reed nevus, is a distinctive melanocytic tumor that can show. Spindle cell naevus, epithelioid cell naevus, juvenile melanoma) is a variant of a compound.. Spindle Cell Nevus Of Reed.
From www.huidziekten.nl
Naevus van Reed (pigmented spindle cell nevus) Spindle Cell Nevus Of Reed spitz naevus is classified as classic, pigmented, or spindle cell tumour of reed. It is generally found on the trunk or. pigmented spindle cell nevus is a benign melanocytic lesion that was initially described in 1975 by reed et al. interestingly, ntrk3 fusion appears to be the most typical genomic aberration in pigmented spindle cell nevus. . Spindle Cell Nevus Of Reed.
From www.scribd.com
Pigmented Spitz Nevus (Pigmented Spindle Cell Nevus of Reed) PDF Spindle Cell Nevus Of Reed spitz naevus is classified as classic, pigmented, or spindle cell tumour of reed. It is generally found on the trunk or. pigmented spindle cell nevus (pscn), also known as reed nevus, is a distinctive melanocytic tumor that can show. Pigmented spindle cell naevus of reed appears in children and young adults. interestingly, ntrk3 fusion appears to be. Spindle Cell Nevus Of Reed.
From www.scribd.com
Pigmented Spindle Cell Nevus of Reed (Pigmented Epitheliod Compond Spindle Cell Nevus Of Reed Pigmented spindle cell naevus of reed appears in children and young adults. spitz naevus is classified as classic, pigmented, or spindle cell tumour of reed. It is generally found on the trunk or. pigmented spindle cell nevus is a benign melanocytic lesion that was initially described in 1975 by reed et al. pigmented spindle cell nevus (pscn),. Spindle Cell Nevus Of Reed.
From www.researchgate.net
(PDF) Spindle cell nevus of Reed in the conjunctiva Spindle Cell Nevus Of Reed the spitz naevus (syn. It is generally found on the trunk or. spitz naevus is classified as classic, pigmented, or spindle cell tumour of reed. interestingly, ntrk3 fusion appears to be the most typical genomic aberration in pigmented spindle cell nevus. pigmented spindle cell nevus (pscn), also known as reed nevus, is a distinctive melanocytic tumor. Spindle Cell Nevus Of Reed.
From www.pcds.org.uk
Spitz naevus Spindle Cell Nevus Of Reed Spindle cell naevus, epithelioid cell naevus, juvenile melanoma) is a variant of a compound. the spitz naevus (syn. pigmented spindle cell nevus (pscn), also known as reed nevus, is a distinctive melanocytic tumor that can show. spitz naevus is classified as classic, pigmented, or spindle cell tumour of reed. Pigmented spindle cell naevus of reed appears in. Spindle Cell Nevus Of Reed.
From dermpathmadesimple.blogspot.com
Dermpath Made Simple Neoplastic Spitz Nevus and Reed Nevus Spindle Cell Nevus Of Reed pigmented spindle cell naevus of reed. pigmented spindle cell nevus (pscn), also known as reed nevus, is a distinctive melanocytic tumor that can show. spitz naevus is classified as classic, pigmented, or spindle cell tumour of reed. interestingly, ntrk3 fusion appears to be the most typical genomic aberration in pigmented spindle cell nevus. the spitz. Spindle Cell Nevus Of Reed.
From file.scirp.org
Reed Nevus (Pigmented Spindle Cell Nevus) in an 11MonthOld Japanese Spindle Cell Nevus Of Reed pigmented spindle cell naevus of reed. Spindle cell naevus, epithelioid cell naevus, juvenile melanoma) is a variant of a compound. spitz naevus is classified as classic, pigmented, or spindle cell tumour of reed. It is generally found on the trunk or. pigmented spindle cell nevus is a benign melanocytic lesion that was initially described in 1975 by. Spindle Cell Nevus Of Reed.
From www.semanticscholar.org
Pigmented Spindle Cell Nevus Semantic Scholar Spindle Cell Nevus Of Reed Spindle cell naevus, epithelioid cell naevus, juvenile melanoma) is a variant of a compound. spitz naevus is classified as classic, pigmented, or spindle cell tumour of reed. pigmented spindle cell nevus is a benign melanocytic lesion that was initially described in 1975 by reed et al. Pigmented spindle cell naevus of reed appears in children and young adults.. Spindle Cell Nevus Of Reed.
From www.youtube.com
Pigemnted spindle cell nevus Phillip McKee, Antonina Kalmykova, CSD Spindle Cell Nevus Of Reed pigmented spindle cell nevus (pscn), also known as reed nevus, is a distinctive melanocytic tumor that can show. It is generally found on the trunk or. Pigmented spindle cell naevus of reed appears in children and young adults. Spindle cell naevus, epithelioid cell naevus, juvenile melanoma) is a variant of a compound. interestingly, ntrk3 fusion appears to be. Spindle Cell Nevus Of Reed.
From www.researchgate.net
(PDF) NTRK fusions in pigmented spindle cell nevus/Reed nevus an Spindle Cell Nevus Of Reed pigmented spindle cell nevus (pscn), also known as reed nevus, is a distinctive melanocytic tumor that can show. spitz naevus is classified as classic, pigmented, or spindle cell tumour of reed. pigmented spindle cell naevus of reed. the spitz naevus (syn. Pigmented spindle cell naevus of reed appears in children and young adults. Spindle cell naevus,. Spindle Cell Nevus Of Reed.
From www.pathologyoutlines.com
Pathology Outlines Spitz nevus Spindle Cell Nevus Of Reed spitz naevus is classified as classic, pigmented, or spindle cell tumour of reed. Spindle cell naevus, epithelioid cell naevus, juvenile melanoma) is a variant of a compound. interestingly, ntrk3 fusion appears to be the most typical genomic aberration in pigmented spindle cell nevus. It is generally found on the trunk or. pigmented spindle cell nevus is a. Spindle Cell Nevus Of Reed.
From healthjade.com
Nevus definition, types, diagnosis & nevus treatment Spindle Cell Nevus Of Reed interestingly, ntrk3 fusion appears to be the most typical genomic aberration in pigmented spindle cell nevus. pigmented spindle cell naevus of reed. Spindle cell naevus, epithelioid cell naevus, juvenile melanoma) is a variant of a compound. spitz naevus is classified as classic, pigmented, or spindle cell tumour of reed. Pigmented spindle cell naevus of reed appears in. Spindle Cell Nevus Of Reed.