Leg Length Discrepancy Surgery Growth Plate . In patients with leg length discrepancy due to premature epiphyseal closure, the extent of shortening can be predicted based. For discrepancies greater than 3cm, however, limb lengthening may be an effective treatment choice. The limb length discrepancy will gradually lessen as the opposite leg continues to grow and catch up. Leg length discrepancy is a common condition that may be caused by a congenital defect, disruption of the physis, or a paralytic disorder and presents with limb length. This procedure slows the growth of the opposite leg or arm by altering the activity of the growth plate, thereby allowing the affected limb to “catch up” by the end of growth. This will not instantly fix. The surgeon may place metal staples, or a. Guided growth surgery (epiphysiodesis) is a way to temporarily or permanently halt the growth of the longer leg, giving the shorter leg a chance to. The growth plate fusion procedure.
from doctorvisit.netlify.app
The limb length discrepancy will gradually lessen as the opposite leg continues to grow and catch up. In patients with leg length discrepancy due to premature epiphyseal closure, the extent of shortening can be predicted based. Leg length discrepancy is a common condition that may be caused by a congenital defect, disruption of the physis, or a paralytic disorder and presents with limb length. The growth plate fusion procedure. The surgeon may place metal staples, or a. This will not instantly fix. Guided growth surgery (epiphysiodesis) is a way to temporarily or permanently halt the growth of the longer leg, giving the shorter leg a chance to. For discrepancies greater than 3cm, however, limb lengthening may be an effective treatment choice. This procedure slows the growth of the opposite leg or arm by altering the activity of the growth plate, thereby allowing the affected limb to “catch up” by the end of growth.
Leg length discrepancy after hip replacement doctorvisit
Leg Length Discrepancy Surgery Growth Plate Leg length discrepancy is a common condition that may be caused by a congenital defect, disruption of the physis, or a paralytic disorder and presents with limb length. Leg length discrepancy is a common condition that may be caused by a congenital defect, disruption of the physis, or a paralytic disorder and presents with limb length. For discrepancies greater than 3cm, however, limb lengthening may be an effective treatment choice. This procedure slows the growth of the opposite leg or arm by altering the activity of the growth plate, thereby allowing the affected limb to “catch up” by the end of growth. The limb length discrepancy will gradually lessen as the opposite leg continues to grow and catch up. The surgeon may place metal staples, or a. This will not instantly fix. In patients with leg length discrepancy due to premature epiphyseal closure, the extent of shortening can be predicted based. The growth plate fusion procedure. Guided growth surgery (epiphysiodesis) is a way to temporarily or permanently halt the growth of the longer leg, giving the shorter leg a chance to.
From www.researchgate.net
Patient with an acquired leg length discrepancy and 2 prior lengthening Leg Length Discrepancy Surgery Growth Plate Guided growth surgery (epiphysiodesis) is a way to temporarily or permanently halt the growth of the longer leg, giving the shorter leg a chance to. For discrepancies greater than 3cm, however, limb lengthening may be an effective treatment choice. The growth plate fusion procedure. The limb length discrepancy will gradually lessen as the opposite leg continues to grow and catch. Leg Length Discrepancy Surgery Growth Plate.
From www.researchgate.net
Longstanding Xray of a patient with limb length discrepancy Leg Length Discrepancy Surgery Growth Plate This procedure slows the growth of the opposite leg or arm by altering the activity of the growth plate, thereby allowing the affected limb to “catch up” by the end of growth. In patients with leg length discrepancy due to premature epiphyseal closure, the extent of shortening can be predicted based. This will not instantly fix. The limb length discrepancy. Leg Length Discrepancy Surgery Growth Plate.
From www.orthokids.org
OrthoKids Leg Length Discrepancy Leg Length Discrepancy Surgery Growth Plate For discrepancies greater than 3cm, however, limb lengthening may be an effective treatment choice. Guided growth surgery (epiphysiodesis) is a way to temporarily or permanently halt the growth of the longer leg, giving the shorter leg a chance to. This will not instantly fix. In patients with leg length discrepancy due to premature epiphyseal closure, the extent of shortening can. Leg Length Discrepancy Surgery Growth Plate.
From orthokids.org
OrthoKids Leg Length Discrepancy Leg Length Discrepancy Surgery Growth Plate This procedure slows the growth of the opposite leg or arm by altering the activity of the growth plate, thereby allowing the affected limb to “catch up” by the end of growth. Guided growth surgery (epiphysiodesis) is a way to temporarily or permanently halt the growth of the longer leg, giving the shorter leg a chance to. This will not. Leg Length Discrepancy Surgery Growth Plate.
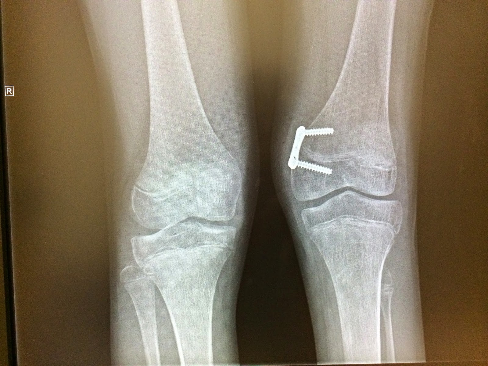
From fibularhemimelialeglengthening.blogspot.ca
fibular hemimelia leg lengthening 8plate 3 1/2 months post surgery Leg Length Discrepancy Surgery Growth Plate The growth plate fusion procedure. In patients with leg length discrepancy due to premature epiphyseal closure, the extent of shortening can be predicted based. The surgeon may place metal staples, or a. For discrepancies greater than 3cm, however, limb lengthening may be an effective treatment choice. This procedure slows the growth of the opposite leg or arm by altering the. Leg Length Discrepancy Surgery Growth Plate.
From doctorvisit.netlify.app
Leg length discrepancy after hip replacement doctorvisit Leg Length Discrepancy Surgery Growth Plate This will not instantly fix. This procedure slows the growth of the opposite leg or arm by altering the activity of the growth plate, thereby allowing the affected limb to “catch up” by the end of growth. The growth plate fusion procedure. Guided growth surgery (epiphysiodesis) is a way to temporarily or permanently halt the growth of the longer leg,. Leg Length Discrepancy Surgery Growth Plate.
From lermagazine.com
Limb length discrepancy When, how to intervene? Lower Extremity Leg Length Discrepancy Surgery Growth Plate This will not instantly fix. The surgeon may place metal staples, or a. For discrepancies greater than 3cm, however, limb lengthening may be an effective treatment choice. Guided growth surgery (epiphysiodesis) is a way to temporarily or permanently halt the growth of the longer leg, giving the shorter leg a chance to. The limb length discrepancy will gradually lessen as. Leg Length Discrepancy Surgery Growth Plate.
From www.semanticscholar.org
Guided growth for the treatment of moderate leglength discrepancy Leg Length Discrepancy Surgery Growth Plate In patients with leg length discrepancy due to premature epiphyseal closure, the extent of shortening can be predicted based. The growth plate fusion procedure. Leg length discrepancy is a common condition that may be caused by a congenital defect, disruption of the physis, or a paralytic disorder and presents with limb length. The surgeon may place metal staples, or a.. Leg Length Discrepancy Surgery Growth Plate.
From www.mdpi.com
Guided Growth in Leg Length Discrepancy in BeckwithWiedemann Syndrome Leg Length Discrepancy Surgery Growth Plate Leg length discrepancy is a common condition that may be caused by a congenital defect, disruption of the physis, or a paralytic disorder and presents with limb length. In patients with leg length discrepancy due to premature epiphyseal closure, the extent of shortening can be predicted based. The limb length discrepancy will gradually lessen as the opposite leg continues to. Leg Length Discrepancy Surgery Growth Plate.
From kr.pinterest.com
Leg Length Discrepancy Leg Lengthening Surgery PRECICE Leg Length Discrepancy Surgery Growth Plate The growth plate fusion procedure. The limb length discrepancy will gradually lessen as the opposite leg continues to grow and catch up. This will not instantly fix. For discrepancies greater than 3cm, however, limb lengthening may be an effective treatment choice. Guided growth surgery (epiphysiodesis) is a way to temporarily or permanently halt the growth of the longer leg, giving. Leg Length Discrepancy Surgery Growth Plate.
From www.semanticscholar.org
Figure 2 from Mesenchymal Stem Cell Exosomes Promote Growth Plate Leg Length Discrepancy Surgery Growth Plate Leg length discrepancy is a common condition that may be caused by a congenital defect, disruption of the physis, or a paralytic disorder and presents with limb length. The surgeon may place metal staples, or a. For discrepancies greater than 3cm, however, limb lengthening may be an effective treatment choice. The growth plate fusion procedure. This procedure slows the growth. Leg Length Discrepancy Surgery Growth Plate.
From my.clevelandclinic.org
Limb Lengthening Surgery Procedure, Process & Recovery Leg Length Discrepancy Surgery Growth Plate The surgeon may place metal staples, or a. For discrepancies greater than 3cm, however, limb lengthening may be an effective treatment choice. This will not instantly fix. The growth plate fusion procedure. Leg length discrepancy is a common condition that may be caused by a congenital defect, disruption of the physis, or a paralytic disorder and presents with limb length.. Leg Length Discrepancy Surgery Growth Plate.
From www.youtube.com
Fixing Congenital Leg Length Discrepancy in Children YouTube Leg Length Discrepancy Surgery Growth Plate In patients with leg length discrepancy due to premature epiphyseal closure, the extent of shortening can be predicted based. Guided growth surgery (epiphysiodesis) is a way to temporarily or permanently halt the growth of the longer leg, giving the shorter leg a chance to. For discrepancies greater than 3cm, however, limb lengthening may be an effective treatment choice. Leg length. Leg Length Discrepancy Surgery Growth Plate.
From www.researchgate.net
Scanograms showing leg length discrepancy correction from 3 cm before Leg Length Discrepancy Surgery Growth Plate In patients with leg length discrepancy due to premature epiphyseal closure, the extent of shortening can be predicted based. This procedure slows the growth of the opposite leg or arm by altering the activity of the growth plate, thereby allowing the affected limb to “catch up” by the end of growth. The limb length discrepancy will gradually lessen as the. Leg Length Discrepancy Surgery Growth Plate.
From drdonghoon.com
Leg Length Discrepancy Limb Lengthening & Complex Reconstruction Leg Length Discrepancy Surgery Growth Plate The surgeon may place metal staples, or a. Guided growth surgery (epiphysiodesis) is a way to temporarily or permanently halt the growth of the longer leg, giving the shorter leg a chance to. This will not instantly fix. For discrepancies greater than 3cm, however, limb lengthening may be an effective treatment choice. Leg length discrepancy is a common condition that. Leg Length Discrepancy Surgery Growth Plate.
From www.orthobullets.com
THA Leg Length Discrepancy Recon Orthobullets Leg Length Discrepancy Surgery Growth Plate This procedure slows the growth of the opposite leg or arm by altering the activity of the growth plate, thereby allowing the affected limb to “catch up” by the end of growth. Leg length discrepancy is a common condition that may be caused by a congenital defect, disruption of the physis, or a paralytic disorder and presents with limb length.. Leg Length Discrepancy Surgery Growth Plate.
From www.childrenshospital.org
Limb Length Discrepancy Boston Children's Hospital Leg Length Discrepancy Surgery Growth Plate This procedure slows the growth of the opposite leg or arm by altering the activity of the growth plate, thereby allowing the affected limb to “catch up” by the end of growth. Guided growth surgery (epiphysiodesis) is a way to temporarily or permanently halt the growth of the longer leg, giving the shorter leg a chance to. The limb length. Leg Length Discrepancy Surgery Growth Plate.
From www.childrenshospital.org
Limb Length Discrepancy Boston Children's Hospital Leg Length Discrepancy Surgery Growth Plate In patients with leg length discrepancy due to premature epiphyseal closure, the extent of shortening can be predicted based. The surgeon may place metal staples, or a. This procedure slows the growth of the opposite leg or arm by altering the activity of the growth plate, thereby allowing the affected limb to “catch up” by the end of growth. Leg. Leg Length Discrepancy Surgery Growth Plate.
From fibularhemimelialeglengthening.blogspot.com
fibular hemimelia leg lengthening 8plate 3 1/2 months post surgery Leg Length Discrepancy Surgery Growth Plate This will not instantly fix. In patients with leg length discrepancy due to premature epiphyseal closure, the extent of shortening can be predicted based. Guided growth surgery (epiphysiodesis) is a way to temporarily or permanently halt the growth of the longer leg, giving the shorter leg a chance to. Leg length discrepancy is a common condition that may be caused. Leg Length Discrepancy Surgery Growth Plate.
From www.vrogue.co
Figure 4 From Recurrent Fracture After Anterior Tensi vrogue.co Leg Length Discrepancy Surgery Growth Plate Guided growth surgery (epiphysiodesis) is a way to temporarily or permanently halt the growth of the longer leg, giving the shorter leg a chance to. Leg length discrepancy is a common condition that may be caused by a congenital defect, disruption of the physis, or a paralytic disorder and presents with limb length. This procedure slows the growth of the. Leg Length Discrepancy Surgery Growth Plate.
From mavink.com
Leg Length Discrepancy Plates Leg Length Discrepancy Surgery Growth Plate Guided growth surgery (epiphysiodesis) is a way to temporarily or permanently halt the growth of the longer leg, giving the shorter leg a chance to. Leg length discrepancy is a common condition that may be caused by a congenital defect, disruption of the physis, or a paralytic disorder and presents with limb length. In patients with leg length discrepancy due. Leg Length Discrepancy Surgery Growth Plate.
From www.reachyourheight.com
Developmental Leg Length Discrepancy Damaging Growth Plates Leg Length Discrepancy Surgery Growth Plate Guided growth surgery (epiphysiodesis) is a way to temporarily or permanently halt the growth of the longer leg, giving the shorter leg a chance to. This will not instantly fix. The growth plate fusion procedure. Leg length discrepancy is a common condition that may be caused by a congenital defect, disruption of the physis, or a paralytic disorder and presents. Leg Length Discrepancy Surgery Growth Plate.
From drdonghoon.com
Leg Length Discrepancy Limb Lengthening & Complex Reconstruction Leg Length Discrepancy Surgery Growth Plate The limb length discrepancy will gradually lessen as the opposite leg continues to grow and catch up. The growth plate fusion procedure. Leg length discrepancy is a common condition that may be caused by a congenital defect, disruption of the physis, or a paralytic disorder and presents with limb length. Guided growth surgery (epiphysiodesis) is a way to temporarily or. Leg Length Discrepancy Surgery Growth Plate.
From www.researchgate.net
Measurements were performed on longstanding Xrays. a Limb length Leg Length Discrepancy Surgery Growth Plate The growth plate fusion procedure. Leg length discrepancy is a common condition that may be caused by a congenital defect, disruption of the physis, or a paralytic disorder and presents with limb length. The limb length discrepancy will gradually lessen as the opposite leg continues to grow and catch up. The surgeon may place metal staples, or a. This will. Leg Length Discrepancy Surgery Growth Plate.
From www.mdpi.com
JCM Free FullText Antegrade Intramedullary Femoral Lengthening and Leg Length Discrepancy Surgery Growth Plate The growth plate fusion procedure. This will not instantly fix. Guided growth surgery (epiphysiodesis) is a way to temporarily or permanently halt the growth of the longer leg, giving the shorter leg a chance to. Leg length discrepancy is a common condition that may be caused by a congenital defect, disruption of the physis, or a paralytic disorder and presents. Leg Length Discrepancy Surgery Growth Plate.
From drdonghoon.com
Leg Length Discrepancy Limb Lengthening & Complex Reconstruction Leg Length Discrepancy Surgery Growth Plate In patients with leg length discrepancy due to premature epiphyseal closure, the extent of shortening can be predicted based. Guided growth surgery (epiphysiodesis) is a way to temporarily or permanently halt the growth of the longer leg, giving the shorter leg a chance to. For discrepancies greater than 3cm, however, limb lengthening may be an effective treatment choice. The growth. Leg Length Discrepancy Surgery Growth Plate.
From orthoinfo.aaos.org
Lower Limb Length Discrepancy OrthoInfo AAOS Leg Length Discrepancy Surgery Growth Plate For discrepancies greater than 3cm, however, limb lengthening may be an effective treatment choice. In patients with leg length discrepancy due to premature epiphyseal closure, the extent of shortening can be predicted based. This will not instantly fix. The surgeon may place metal staples, or a. Leg length discrepancy is a common condition that may be caused by a congenital. Leg Length Discrepancy Surgery Growth Plate.
From www.limblength.org
Growth Arrest International Center for Limb Lengthening Leg Length Discrepancy Surgery Growth Plate The growth plate fusion procedure. The surgeon may place metal staples, or a. For discrepancies greater than 3cm, however, limb lengthening may be an effective treatment choice. This procedure slows the growth of the opposite leg or arm by altering the activity of the growth plate, thereby allowing the affected limb to “catch up” by the end of growth. The. Leg Length Discrepancy Surgery Growth Plate.
From drdonghoon.com
Leg Length Discrepancy Limb Lengthening & Complex Reconstruction Leg Length Discrepancy Surgery Growth Plate This procedure slows the growth of the opposite leg or arm by altering the activity of the growth plate, thereby allowing the affected limb to “catch up” by the end of growth. The surgeon may place metal staples, or a. For discrepancies greater than 3cm, however, limb lengthening may be an effective treatment choice. The growth plate fusion procedure. This. Leg Length Discrepancy Surgery Growth Plate.
From teachmesurgery.com
Growth Plate Fractures TeachMeSurgery Leg Length Discrepancy Surgery Growth Plate The limb length discrepancy will gradually lessen as the opposite leg continues to grow and catch up. In patients with leg length discrepancy due to premature epiphyseal closure, the extent of shortening can be predicted based. Guided growth surgery (epiphysiodesis) is a way to temporarily or permanently halt the growth of the longer leg, giving the shorter leg a chance. Leg Length Discrepancy Surgery Growth Plate.
From www.researchgate.net
(PDF) Guided growth with tension band plate or definitive Leg Length Discrepancy Surgery Growth Plate The growth plate fusion procedure. Leg length discrepancy is a common condition that may be caused by a congenital defect, disruption of the physis, or a paralytic disorder and presents with limb length. This procedure slows the growth of the opposite leg or arm by altering the activity of the growth plate, thereby allowing the affected limb to “catch up”. Leg Length Discrepancy Surgery Growth Plate.
From www.limblength.org
Growth Plate Fusion (Epiphysiodesis) International Center for Limb Leg Length Discrepancy Surgery Growth Plate The growth plate fusion procedure. In patients with leg length discrepancy due to premature epiphyseal closure, the extent of shortening can be predicted based. The limb length discrepancy will gradually lessen as the opposite leg continues to grow and catch up. For discrepancies greater than 3cm, however, limb lengthening may be an effective treatment choice. This procedure slows the growth. Leg Length Discrepancy Surgery Growth Plate.
From littlegrowingbones.com
Guided growth surgery; This is What to expect with and after guided Leg Length Discrepancy Surgery Growth Plate The surgeon may place metal staples, or a. The growth plate fusion procedure. Guided growth surgery (epiphysiodesis) is a way to temporarily or permanently halt the growth of the longer leg, giving the shorter leg a chance to. This procedure slows the growth of the opposite leg or arm by altering the activity of the growth plate, thereby allowing the. Leg Length Discrepancy Surgery Growth Plate.
From healthjade.net
Growth Plate Fracture Causes, Types, Symptoms,Treatment Leg Length Discrepancy Surgery Growth Plate In patients with leg length discrepancy due to premature epiphyseal closure, the extent of shortening can be predicted based. The surgeon may place metal staples, or a. This will not instantly fix. The growth plate fusion procedure. This procedure slows the growth of the opposite leg or arm by altering the activity of the growth plate, thereby allowing the affected. Leg Length Discrepancy Surgery Growth Plate.
From www.carexm.com
Leg Length Discrepancy Ways You Can Correct It CareXM Leg Length Discrepancy Surgery Growth Plate For discrepancies greater than 3cm, however, limb lengthening may be an effective treatment choice. This will not instantly fix. The limb length discrepancy will gradually lessen as the opposite leg continues to grow and catch up. This procedure slows the growth of the opposite leg or arm by altering the activity of the growth plate, thereby allowing the affected limb. Leg Length Discrepancy Surgery Growth Plate.