Quintus Varus Radiology . The bunionette, also known as quintus varus or tailor’s bunion, is a toe deformity caused by a deformation of the 5th metatarsal bone. Diagnosis is made clinically with presence of a prominence on the lateral aspect of the 5th metatarsal head, often associated with. The proximal phalanx in underlapping toes is typically in varus at the metatarsophalangeal joint with flexion; In its more developed permanent state, the most characteristic sign of quintus varus is the valgus posture of the fifth metatarsal (cf. A bunionette, also known as a tailor's bunion, metatarsus quintus valgus, or digitus quintus varus, is a bony prominence at the. Tailor’s bunion and the digitus quintus varus are illustrated concerning their etiology, clinical. The paper describes the deformities of the fifth ray.
from www.eurorad.org
A bunionette, also known as a tailor's bunion, metatarsus quintus valgus, or digitus quintus varus, is a bony prominence at the. In its more developed permanent state, the most characteristic sign of quintus varus is the valgus posture of the fifth metatarsal (cf. Diagnosis is made clinically with presence of a prominence on the lateral aspect of the 5th metatarsal head, often associated with. The paper describes the deformities of the fifth ray. Tailor’s bunion and the digitus quintus varus are illustrated concerning their etiology, clinical. The proximal phalanx in underlapping toes is typically in varus at the metatarsophalangeal joint with flexion; The bunionette, also known as quintus varus or tailor’s bunion, is a toe deformity caused by a deformation of the 5th metatarsal bone.
Painful softtissue calcifications complicating a quintus varus treated
Quintus Varus Radiology The proximal phalanx in underlapping toes is typically in varus at the metatarsophalangeal joint with flexion; The paper describes the deformities of the fifth ray. The bunionette, also known as quintus varus or tailor’s bunion, is a toe deformity caused by a deformation of the 5th metatarsal bone. The proximal phalanx in underlapping toes is typically in varus at the metatarsophalangeal joint with flexion; A bunionette, also known as a tailor's bunion, metatarsus quintus valgus, or digitus quintus varus, is a bony prominence at the. Diagnosis is made clinically with presence of a prominence on the lateral aspect of the 5th metatarsal head, often associated with. Tailor’s bunion and the digitus quintus varus are illustrated concerning their etiology, clinical. In its more developed permanent state, the most characteristic sign of quintus varus is the valgus posture of the fifth metatarsal (cf.
From www.researchgate.net
( A ) Hindfoot varus alignment in a patient with CMT. Note the Quintus Varus Radiology In its more developed permanent state, the most characteristic sign of quintus varus is the valgus posture of the fifth metatarsal (cf. The paper describes the deformities of the fifth ray. The bunionette, also known as quintus varus or tailor’s bunion, is a toe deformity caused by a deformation of the 5th metatarsal bone. Diagnosis is made clinically with presence. Quintus Varus Radiology.
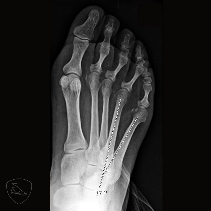
From insa-nice.fr
Quintus Varus Institut Niçois du Sport et de l'Arthrose à Nice Quintus Varus Radiology A bunionette, also known as a tailor's bunion, metatarsus quintus valgus, or digitus quintus varus, is a bony prominence at the. Diagnosis is made clinically with presence of a prominence on the lateral aspect of the 5th metatarsal head, often associated with. The proximal phalanx in underlapping toes is typically in varus at the metatarsophalangeal joint with flexion; In its. Quintus Varus Radiology.
From www.drnastai.de
Schneiderballen (Digitus quintus varus) Dr. Manuel Nastai Fuß und Quintus Varus Radiology Tailor’s bunion and the digitus quintus varus are illustrated concerning their etiology, clinical. Diagnosis is made clinically with presence of a prominence on the lateral aspect of the 5th metatarsal head, often associated with. The proximal phalanx in underlapping toes is typically in varus at the metatarsophalangeal joint with flexion; In its more developed permanent state, the most characteristic sign. Quintus Varus Radiology.
From aware.doctor
Guia básica del Quintus Varus aware.doctor Quintus Varus Radiology Tailor’s bunion and the digitus quintus varus are illustrated concerning their etiology, clinical. The proximal phalanx in underlapping toes is typically in varus at the metatarsophalangeal joint with flexion; The bunionette, also known as quintus varus or tailor’s bunion, is a toe deformity caused by a deformation of the 5th metatarsal bone. In its more developed permanent state, the most. Quintus Varus Radiology.
From nantesorthopedie-podologie.fr
Qu’est ce qu’un quintus varus Quintus Varus Radiology Tailor’s bunion and the digitus quintus varus are illustrated concerning their etiology, clinical. A bunionette, also known as a tailor's bunion, metatarsus quintus valgus, or digitus quintus varus, is a bony prominence at the. In its more developed permanent state, the most characteristic sign of quintus varus is the valgus posture of the fifth metatarsal (cf. The bunionette, also known. Quintus Varus Radiology.
From www.chirurgie-du-pied.fr
Quintus varus Chirurgie du Pied Quintus Varus Radiology The proximal phalanx in underlapping toes is typically in varus at the metatarsophalangeal joint with flexion; The bunionette, also known as quintus varus or tailor’s bunion, is a toe deformity caused by a deformation of the 5th metatarsal bone. Tailor’s bunion and the digitus quintus varus are illustrated concerning their etiology, clinical. A bunionette, also known as a tailor's bunion,. Quintus Varus Radiology.
From aware.doctor
Guia básica del Quintus Varus aware.doctor Quintus Varus Radiology Tailor’s bunion and the digitus quintus varus are illustrated concerning their etiology, clinical. The bunionette, also known as quintus varus or tailor’s bunion, is a toe deformity caused by a deformation of the 5th metatarsal bone. Diagnosis is made clinically with presence of a prominence on the lateral aspect of the 5th metatarsal head, often associated with. The paper describes. Quintus Varus Radiology.
From aware.doctor
Guia básica del Quintus Varus aware.doctor Quintus Varus Radiology The bunionette, also known as quintus varus or tailor’s bunion, is a toe deformity caused by a deformation of the 5th metatarsal bone. Tailor’s bunion and the digitus quintus varus are illustrated concerning their etiology, clinical. The proximal phalanx in underlapping toes is typically in varus at the metatarsophalangeal joint with flexion; A bunionette, also known as a tailor's bunion,. Quintus Varus Radiology.
From www.centrepiedgeneve.ch
Genève ou Quintus Varus Centre du chirurgie du pied Quintus Varus Radiology Diagnosis is made clinically with presence of a prominence on the lateral aspect of the 5th metatarsal head, often associated with. A bunionette, also known as a tailor's bunion, metatarsus quintus valgus, or digitus quintus varus, is a bony prominence at the. Tailor’s bunion and the digitus quintus varus are illustrated concerning their etiology, clinical. The bunionette, also known as. Quintus Varus Radiology.
From www.drnastai.de
Schneiderballen (Digitus quintus varus) Dr.medic Manuel Nastai Quintus Varus Radiology Diagnosis is made clinically with presence of a prominence on the lateral aspect of the 5th metatarsal head, often associated with. In its more developed permanent state, the most characteristic sign of quintus varus is the valgus posture of the fifth metatarsal (cf. The bunionette, also known as quintus varus or tailor’s bunion, is a toe deformity caused by a. Quintus Varus Radiology.
From www.researchgate.net
Tibia alignment Varus (1a), normal (1b), and varus (1c) knee. Red Quintus Varus Radiology Diagnosis is made clinically with presence of a prominence on the lateral aspect of the 5th metatarsal head, often associated with. A bunionette, also known as a tailor's bunion, metatarsus quintus valgus, or digitus quintus varus, is a bony prominence at the. The proximal phalanx in underlapping toes is typically in varus at the metatarsophalangeal joint with flexion; The paper. Quintus Varus Radiology.
From www.blog.doctorhaoudichirurgienorthopediste.fr
QUINTUS VARUS Dr Kamal Haoudi blog Quintus Varus Radiology Tailor’s bunion and the digitus quintus varus are illustrated concerning their etiology, clinical. Diagnosis is made clinically with presence of a prominence on the lateral aspect of the 5th metatarsal head, often associated with. The bunionette, also known as quintus varus or tailor’s bunion, is a toe deformity caused by a deformation of the 5th metatarsal bone. In its more. Quintus Varus Radiology.
From www.dr-bovier-lapierre.fr
Quintus varus Dr BovierLapierre Quintus Varus Radiology The bunionette, also known as quintus varus or tailor’s bunion, is a toe deformity caused by a deformation of the 5th metatarsal bone. A bunionette, also known as a tailor's bunion, metatarsus quintus valgus, or digitus quintus varus, is a bony prominence at the. Tailor’s bunion and the digitus quintus varus are illustrated concerning their etiology, clinical. Diagnosis is made. Quintus Varus Radiology.
From www.semanticscholar.org
Figure 2 from Cure du quintus varus supradductus à la manière de Quintus Varus Radiology The paper describes the deformities of the fifth ray. Diagnosis is made clinically with presence of a prominence on the lateral aspect of the 5th metatarsal head, often associated with. The proximal phalanx in underlapping toes is typically in varus at the metatarsophalangeal joint with flexion; A bunionette, also known as a tailor's bunion, metatarsus quintus valgus, or digitus quintus. Quintus Varus Radiology.
From www.researchgate.net
Intraoperative varus and anterior drawer stress radiographs showing Quintus Varus Radiology A bunionette, also known as a tailor's bunion, metatarsus quintus valgus, or digitus quintus varus, is a bony prominence at the. The proximal phalanx in underlapping toes is typically in varus at the metatarsophalangeal joint with flexion; The bunionette, also known as quintus varus or tailor’s bunion, is a toe deformity caused by a deformation of the 5th metatarsal bone.. Quintus Varus Radiology.
From www.arthroscopyjournal.org
Increased Accuracy of Varus Stress Radiographs Versus Quintus Varus Radiology Diagnosis is made clinically with presence of a prominence on the lateral aspect of the 5th metatarsal head, often associated with. Tailor’s bunion and the digitus quintus varus are illustrated concerning their etiology, clinical. The bunionette, also known as quintus varus or tailor’s bunion, is a toe deformity caused by a deformation of the 5th metatarsal bone. The proximal phalanx. Quintus Varus Radiology.
From www.chirurgie-du-pied.fr
Quintus varus ChirurgieduPied.fr Quintus Varus Radiology Tailor’s bunion and the digitus quintus varus are illustrated concerning their etiology, clinical. A bunionette, also known as a tailor's bunion, metatarsus quintus valgus, or digitus quintus varus, is a bony prominence at the. The bunionette, also known as quintus varus or tailor’s bunion, is a toe deformity caused by a deformation of the 5th metatarsal bone. In its more. Quintus Varus Radiology.
From www.dr-bovier-lapierre.fr
Quintus varus Dr BovierLapierre Quintus Varus Radiology The paper describes the deformities of the fifth ray. A bunionette, also known as a tailor's bunion, metatarsus quintus valgus, or digitus quintus varus, is a bony prominence at the. The proximal phalanx in underlapping toes is typically in varus at the metatarsophalangeal joint with flexion; Tailor’s bunion and the digitus quintus varus are illustrated concerning their etiology, clinical. Diagnosis. Quintus Varus Radiology.
From www.drnastai.de
Schneiderballen (Digitus quintus varus) Dr. M. Nastai Quintus Varus Radiology The paper describes the deformities of the fifth ray. Tailor’s bunion and the digitus quintus varus are illustrated concerning their etiology, clinical. Diagnosis is made clinically with presence of a prominence on the lateral aspect of the 5th metatarsal head, often associated with. The proximal phalanx in underlapping toes is typically in varus at the metatarsophalangeal joint with flexion; A. Quintus Varus Radiology.
From clinicamariadelmarruiz.es
de Sastre o Quintus Varus Clínica María del Mar Ruiz Quintus Varus Radiology Diagnosis is made clinically with presence of a prominence on the lateral aspect of the 5th metatarsal head, often associated with. The paper describes the deformities of the fifth ray. A bunionette, also known as a tailor's bunion, metatarsus quintus valgus, or digitus quintus varus, is a bony prominence at the. The proximal phalanx in underlapping toes is typically in. Quintus Varus Radiology.
From www.semanticscholar.org
Figure 2 from Patología del quinto radio. Parte III Quintus Varus Quintus Varus Radiology The bunionette, also known as quintus varus or tailor’s bunion, is a toe deformity caused by a deformation of the 5th metatarsal bone. The proximal phalanx in underlapping toes is typically in varus at the metatarsophalangeal joint with flexion; In its more developed permanent state, the most characteristic sign of quintus varus is the valgus posture of the fifth metatarsal. Quintus Varus Radiology.
From chirurgie-orthopedie-agen.com
Centre Hospitalier d'Agen Quintus Varus Radiology In its more developed permanent state, the most characteristic sign of quintus varus is the valgus posture of the fifth metatarsal (cf. The bunionette, also known as quintus varus or tailor’s bunion, is a toe deformity caused by a deformation of the 5th metatarsal bone. The paper describes the deformities of the fifth ray. A bunionette, also known as a. Quintus Varus Radiology.
From www.researchgate.net
Radiographs showing progression of the varus deformity from 9º at 7 Quintus Varus Radiology Tailor’s bunion and the digitus quintus varus are illustrated concerning their etiology, clinical. Diagnosis is made clinically with presence of a prominence on the lateral aspect of the 5th metatarsal head, often associated with. The proximal phalanx in underlapping toes is typically in varus at the metatarsophalangeal joint with flexion; The bunionette, also known as quintus varus or tailor’s bunion,. Quintus Varus Radiology.
From www.eurorad.org
Painful softtissue calcifications complicating a quintus varus treated Quintus Varus Radiology The bunionette, also known as quintus varus or tailor’s bunion, is a toe deformity caused by a deformation of the 5th metatarsal bone. Tailor’s bunion and the digitus quintus varus are illustrated concerning their etiology, clinical. The proximal phalanx in underlapping toes is typically in varus at the metatarsophalangeal joint with flexion; A bunionette, also known as a tailor's bunion,. Quintus Varus Radiology.
From radiopaedia.org
Plantar calcaneal spur Radiology Reference Article Quintus Varus Radiology A bunionette, also known as a tailor's bunion, metatarsus quintus valgus, or digitus quintus varus, is a bony prominence at the. The proximal phalanx in underlapping toes is typically in varus at the metatarsophalangeal joint with flexion; Tailor’s bunion and the digitus quintus varus are illustrated concerning their etiology, clinical. The paper describes the deformities of the fifth ray. The. Quintus Varus Radiology.
From www.dr-bovier-lapierre.fr
Quintus varus Dr BovierLapierre Quintus Varus Radiology A bunionette, also known as a tailor's bunion, metatarsus quintus valgus, or digitus quintus varus, is a bony prominence at the. Diagnosis is made clinically with presence of a prominence on the lateral aspect of the 5th metatarsal head, often associated with. In its more developed permanent state, the most characteristic sign of quintus varus is the valgus posture of. Quintus Varus Radiology.
From www.drnastai.de
Schneiderballen (Digitus quintus varus) Dr.medic Manuel Nastai Quintus Varus Radiology Tailor’s bunion and the digitus quintus varus are illustrated concerning their etiology, clinical. The bunionette, also known as quintus varus or tailor’s bunion, is a toe deformity caused by a deformation of the 5th metatarsal bone. A bunionette, also known as a tailor's bunion, metatarsus quintus valgus, or digitus quintus varus, is a bony prominence at the. Diagnosis is made. Quintus Varus Radiology.
From aware.doctor
Guia básica del Quintus Varus aware.doctor Quintus Varus Radiology A bunionette, also known as a tailor's bunion, metatarsus quintus valgus, or digitus quintus varus, is a bony prominence at the. The bunionette, also known as quintus varus or tailor’s bunion, is a toe deformity caused by a deformation of the 5th metatarsal bone. The paper describes the deformities of the fifth ray. In its more developed permanent state, the. Quintus Varus Radiology.
From www.eurorad.org
Painful softtissue calcifications complicating a quintus varus treated Quintus Varus Radiology In its more developed permanent state, the most characteristic sign of quintus varus is the valgus posture of the fifth metatarsal (cf. Tailor’s bunion and the digitus quintus varus are illustrated concerning their etiology, clinical. The proximal phalanx in underlapping toes is typically in varus at the metatarsophalangeal joint with flexion; The bunionette, also known as quintus varus or tailor’s. Quintus Varus Radiology.
From www.tutraumatologo.com
QUINTUS VARUS SUPRADUCTUS Quintus Varus Radiology The proximal phalanx in underlapping toes is typically in varus at the metatarsophalangeal joint with flexion; Tailor’s bunion and the digitus quintus varus are illustrated concerning their etiology, clinical. Diagnosis is made clinically with presence of a prominence on the lateral aspect of the 5th metatarsal head, often associated with. In its more developed permanent state, the most characteristic sign. Quintus Varus Radiology.
From clinicamariadelmarruiz.es
de Sastre o Quintus Varus Clínica María del Mar Ruiz Quintus Varus Radiology Diagnosis is made clinically with presence of a prominence on the lateral aspect of the 5th metatarsal head, often associated with. The bunionette, also known as quintus varus or tailor’s bunion, is a toe deformity caused by a deformation of the 5th metatarsal bone. In its more developed permanent state, the most characteristic sign of quintus varus is the valgus. Quintus Varus Radiology.
From stock.adobe.com
Xray of the foot. Varus and valgus deformity of the 1st finger. Stock Quintus Varus Radiology The paper describes the deformities of the fifth ray. The bunionette, also known as quintus varus or tailor’s bunion, is a toe deformity caused by a deformation of the 5th metatarsal bone. A bunionette, also known as a tailor's bunion, metatarsus quintus valgus, or digitus quintus varus, is a bony prominence at the. The proximal phalanx in underlapping toes is. Quintus Varus Radiology.
From aware.doctor
Guia básica del Quintus Varus aware.doctor Quintus Varus Radiology In its more developed permanent state, the most characteristic sign of quintus varus is the valgus posture of the fifth metatarsal (cf. Tailor’s bunion and the digitus quintus varus are illustrated concerning their etiology, clinical. Diagnosis is made clinically with presence of a prominence on the lateral aspect of the 5th metatarsal head, often associated with. A bunionette, also known. Quintus Varus Radiology.
From www.tutraumatologo.com
QUINTUS VARUS SUPRADUCTUS Quintus Varus Radiology The proximal phalanx in underlapping toes is typically in varus at the metatarsophalangeal joint with flexion; The paper describes the deformities of the fifth ray. In its more developed permanent state, the most characteristic sign of quintus varus is the valgus posture of the fifth metatarsal (cf. Diagnosis is made clinically with presence of a prominence on the lateral aspect. Quintus Varus Radiology.
From chirurgie-orthopedie-agen.com
Centre Hospitalier d'Agen Quintus Varus Radiology The bunionette, also known as quintus varus or tailor’s bunion, is a toe deformity caused by a deformation of the 5th metatarsal bone. Tailor’s bunion and the digitus quintus varus are illustrated concerning their etiology, clinical. Diagnosis is made clinically with presence of a prominence on the lateral aspect of the 5th metatarsal head, often associated with. The proximal phalanx. Quintus Varus Radiology.