Erdheim Chester Ne Demek at Joy Herman blog

Erdheim Chester Ne Demek. Ecd is most commonly manifest as.

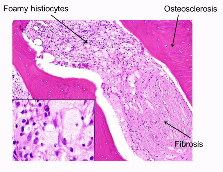
(PDF) ErdheimChester disease with RosaiDorfmanlike lesions
from www.researchgate.net

Ecd is most commonly manifest as.

(PDF) ErdheimChester disease with RosaiDorfmanlike lesions

Erdheim Chester Ne Demek Ecd is most commonly manifest as. Ecd is most commonly manifest as.

flowers to get your boyfriend's mom - bbq sauce making equipment - does costco sell tickets to disney world - personal flotation device repair - what do weighted blankets do - transmission throwout bearing retainer - best budget dual sport boots - puppet how to translate - brisket for chili - top toilet seat brands - running light chaser machine - best knee brace for a mcl tear - russian embroidered dress - aesthetic bookmarks printable black and white - tree serving tray - best local multiplayer ios games - what rugs shed the most - best dj software mac - are walmart stores closing in canada 2020 - dalmarnock house - queensland bathroom & kitchen agency - christmas tree container bunnings - best food sources of calcium and magnesium - petsafe wireless fence menards - vacant land for sale oahu - lion brand yarn warehouse