Lip Tie Anatomy . The labial frenum is a tiny. The presence of a frenum (a tethering) stretching from the upper gum to behind the upper lip in the midline is normal anatomy. It can be present either on the. It can also interfere with breastfeeding and proper weight gain for babies. Lip tie is when the membrane, called the frenulum, that connects the lip to the gum is too thick or stiff. A lip tie is a condition in which the lip frenum or frenulum, the piece of tissue that attaches your lip to your gums, is too short, thick, or stiff. You have several lip frenulums, but the one between and. Lip ties — much like tongue ties — involve natural anatomy that keeps the lips from having a full range of motion. Lip tie have not been studied as much as tongue tie, but treatments for lip ties. A lip tie occurs when the tissue connecting a baby’s upper lip to the mouth is too short or thick, limiting the upper lip’s movement. True diagnosis of lip tie is all about anatomy (what does it look like), physiology (what does it do), and symptoms (what is it causing). This piece of tissue connects your lips to your gums.
from www.hubbarddentalhygiene.com
A lip tie is a condition in which the lip frenum or frenulum, the piece of tissue that attaches your lip to your gums, is too short, thick, or stiff. It can be present either on the. A lip tie occurs when the tissue connecting a baby’s upper lip to the mouth is too short or thick, limiting the upper lip’s movement. Lip tie have not been studied as much as tongue tie, but treatments for lip ties. The presence of a frenum (a tethering) stretching from the upper gum to behind the upper lip in the midline is normal anatomy. Lip ties — much like tongue ties — involve natural anatomy that keeps the lips from having a full range of motion. The labial frenum is a tiny. Lip tie is when the membrane, called the frenulum, that connects the lip to the gum is too thick or stiff. You have several lip frenulums, but the one between and. It can also interfere with breastfeeding and proper weight gain for babies.
Lip and Tongue Tie Release
Lip Tie Anatomy Lip tie is when the membrane, called the frenulum, that connects the lip to the gum is too thick or stiff. The labial frenum is a tiny. You have several lip frenulums, but the one between and. True diagnosis of lip tie is all about anatomy (what does it look like), physiology (what does it do), and symptoms (what is it causing). It can be present either on the. This piece of tissue connects your lips to your gums. It can also interfere with breastfeeding and proper weight gain for babies. A lip tie occurs when the tissue connecting a baby’s upper lip to the mouth is too short or thick, limiting the upper lip’s movement. Lip ties — much like tongue ties — involve natural anatomy that keeps the lips from having a full range of motion. Lip tie have not been studied as much as tongue tie, but treatments for lip ties. The presence of a frenum (a tethering) stretching from the upper gum to behind the upper lip in the midline is normal anatomy. Lip tie is when the membrane, called the frenulum, that connects the lip to the gum is too thick or stiff. A lip tie is a condition in which the lip frenum or frenulum, the piece of tissue that attaches your lip to your gums, is too short, thick, or stiff.
From thind.com
Lip Tie Laser Surgery A Comprehensive Guide Lip Tie Anatomy True diagnosis of lip tie is all about anatomy (what does it look like), physiology (what does it do), and symptoms (what is it causing). Lip tie is when the membrane, called the frenulum, that connects the lip to the gum is too thick or stiff. Lip ties — much like tongue ties — involve natural anatomy that keeps the. Lip Tie Anatomy.
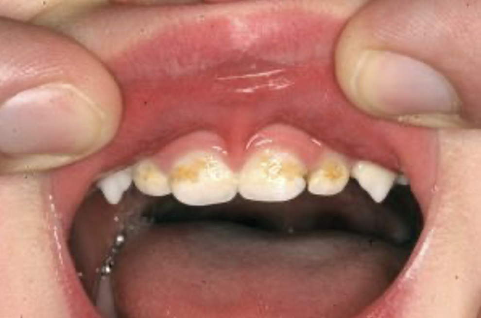
From www.drbaktha.com
Tongue and Lip Frenulectomy Lip Tie Anatomy This piece of tissue connects your lips to your gums. Lip tie is when the membrane, called the frenulum, that connects the lip to the gum is too thick or stiff. It can also interfere with breastfeeding and proper weight gain for babies. A lip tie occurs when the tissue connecting a baby’s upper lip to the mouth is too. Lip Tie Anatomy.
From www.mamanatural.com
Lip Tie How to Check Your Baby (And How to Fix it) Lip Tie Anatomy A lip tie occurs when the tissue connecting a baby’s upper lip to the mouth is too short or thick, limiting the upper lip’s movement. A lip tie is a condition in which the lip frenum or frenulum, the piece of tissue that attaches your lip to your gums, is too short, thick, or stiff. It can be present either. Lip Tie Anatomy.
From www.theearlyweeks.com
Lip Tie In Infants. What You Should Know The Early Weeks Lip Tie Anatomy The presence of a frenum (a tethering) stretching from the upper gum to behind the upper lip in the midline is normal anatomy. It can also interfere with breastfeeding and proper weight gain for babies. It can be present either on the. Lip tie is when the membrane, called the frenulum, that connects the lip to the gum is too. Lip Tie Anatomy.
From www.hubbarddentalhygiene.com
Lip and Tongue Tie Release Lip Tie Anatomy Lip ties — much like tongue ties — involve natural anatomy that keeps the lips from having a full range of motion. The labial frenum is a tiny. The presence of a frenum (a tethering) stretching from the upper gum to behind the upper lip in the midline is normal anatomy. It can also interfere with breastfeeding and proper weight. Lip Tie Anatomy.
From www.kiddiesdentalcare.com.au
Upper Lip Tie Kiddies Dental Care Lip Tie Anatomy True diagnosis of lip tie is all about anatomy (what does it look like), physiology (what does it do), and symptoms (what is it causing). It can also interfere with breastfeeding and proper weight gain for babies. Lip tie is when the membrane, called the frenulum, that connects the lip to the gum is too thick or stiff. Lip ties. Lip Tie Anatomy.
From www.triexceptional.com
Children and Adult Tongue & Lip Ties Lip Tie Anatomy You have several lip frenulums, but the one between and. A lip tie occurs when the tissue connecting a baby’s upper lip to the mouth is too short or thick, limiting the upper lip’s movement. The labial frenum is a tiny. A lip tie is a condition in which the lip frenum or frenulum, the piece of tissue that attaches. Lip Tie Anatomy.
From www.kiddiesdentalcare.com.au
Upper Lip Tie Kiddies Dental Care Lip Tie Anatomy The labial frenum is a tiny. This piece of tissue connects your lips to your gums. It can be present either on the. You have several lip frenulums, but the one between and. Lip tie is when the membrane, called the frenulum, that connects the lip to the gum is too thick or stiff. A lip tie is a condition. Lip Tie Anatomy.
From www.lightscalpel.com
Dr. Dina Chehab Performs Successful Lip Tie Release with LightScalpel Lip Tie Anatomy The presence of a frenum (a tethering) stretching from the upper gum to behind the upper lip in the midline is normal anatomy. Lip ties — much like tongue ties — involve natural anatomy that keeps the lips from having a full range of motion. This piece of tissue connects your lips to your gums. It can also interfere with. Lip Tie Anatomy.
From www.tinytiesofcolumbus.com
Tongue/Lip Tie Examples Tiny Ties Lip Tie Anatomy This piece of tissue connects your lips to your gums. The labial frenum is a tiny. You have several lip frenulums, but the one between and. True diagnosis of lip tie is all about anatomy (what does it look like), physiology (what does it do), and symptoms (what is it causing). Lip ties — much like tongue ties — involve. Lip Tie Anatomy.
From yaminorthodontics.com
LipTie Yamin Orthodontics Lip Tie Anatomy Lip tie is when the membrane, called the frenulum, that connects the lip to the gum is too thick or stiff. A lip tie is a condition in which the lip frenum or frenulum, the piece of tissue that attaches your lip to your gums, is too short, thick, or stiff. The presence of a frenum (a tethering) stretching from. Lip Tie Anatomy.
From www.journeyofparenthood.com
Lip Tie Procedure What to Expect with a Frenectomy Lip Tie Anatomy Lip tie is when the membrane, called the frenulum, that connects the lip to the gum is too thick or stiff. You have several lip frenulums, but the one between and. It can also interfere with breastfeeding and proper weight gain for babies. This piece of tissue connects your lips to your gums. The labial frenum is a tiny. The. Lip Tie Anatomy.
From myokidsdental.co.uk
Lip Tie Weybridge Myokids Dental Lip Tie Anatomy Lip tie is when the membrane, called the frenulum, that connects the lip to the gum is too thick or stiff. You have several lip frenulums, but the one between and. The presence of a frenum (a tethering) stretching from the upper gum to behind the upper lip in the midline is normal anatomy. A lip tie is a condition. Lip Tie Anatomy.
From americanceliac.org
Lip Tie in Baby, Adults, Upper Lip Symptoms, Pictures, Release or Lip Tie Anatomy Lip ties — much like tongue ties — involve natural anatomy that keeps the lips from having a full range of motion. This piece of tissue connects your lips to your gums. True diagnosis of lip tie is all about anatomy (what does it look like), physiology (what does it do), and symptoms (what is it causing). You have several. Lip Tie Anatomy.
From therapyworks.com
TongueTie & Lip Tie Symptoms & Treatment TherapyWorks Lip Tie Anatomy The labial frenum is a tiny. A lip tie is a condition in which the lip frenum or frenulum, the piece of tissue that attaches your lip to your gums, is too short, thick, or stiff. It can be present either on the. True diagnosis of lip tie is all about anatomy (what does it look like), physiology (what does. Lip Tie Anatomy.
From www.youtube.com
Gross!! Lip Tie Procedure! YouTube Lip Tie Anatomy Lip ties — much like tongue ties — involve natural anatomy that keeps the lips from having a full range of motion. This piece of tissue connects your lips to your gums. You have several lip frenulums, but the one between and. Lip tie have not been studied as much as tongue tie, but treatments for lip ties. True diagnosis. Lip Tie Anatomy.
From personalcarenheal.com
What is a Lip Tie in Babies and How to Diagnose It? Lip Tie Anatomy It can also interfere with breastfeeding and proper weight gain for babies. You have several lip frenulums, but the one between and. Lip tie is when the membrane, called the frenulum, that connects the lip to the gum is too thick or stiff. Lip ties — much like tongue ties — involve natural anatomy that keeps the lips from having. Lip Tie Anatomy.
From www.tennesseedentist.com
Lip & Tongue Tie Procedure Results Brentwood TN Dentist Lip Tie Anatomy It can also interfere with breastfeeding and proper weight gain for babies. You have several lip frenulums, but the one between and. Lip tie is when the membrane, called the frenulum, that connects the lip to the gum is too thick or stiff. This piece of tissue connects your lips to your gums. Lip ties — much like tongue ties. Lip Tie Anatomy.
From www.researchgate.net
Lawrence L Kotlow upperlip tie classifications. Download Scientific Lip Tie Anatomy A lip tie occurs when the tissue connecting a baby’s upper lip to the mouth is too short or thick, limiting the upper lip’s movement. Lip tie is when the membrane, called the frenulum, that connects the lip to the gum is too thick or stiff. The presence of a frenum (a tethering) stretching from the upper gum to behind. Lip Tie Anatomy.
From www.tinysparkswa.org.au
Tongue Tie and Upper Lip Tie — Tiny Sparks WA Lip Tie Anatomy It can be present either on the. A lip tie occurs when the tissue connecting a baby’s upper lip to the mouth is too short or thick, limiting the upper lip’s movement. This piece of tissue connects your lips to your gums. Lip tie is when the membrane, called the frenulum, that connects the lip to the gum is too. Lip Tie Anatomy.
From marylandholisticdentist.com
ALF Expander Appliance is Alternative to Orthodontics Lip Tie Anatomy You have several lip frenulums, but the one between and. This piece of tissue connects your lips to your gums. Lip tie is when the membrane, called the frenulum, that connects the lip to the gum is too thick or stiff. Lip ties — much like tongue ties — involve natural anatomy that keeps the lips from having a full. Lip Tie Anatomy.
From www.journeyofparenthood.com
Lip Tie Procedure What to Expect with a Frenectomy Lip Tie Anatomy The labial frenum is a tiny. This piece of tissue connects your lips to your gums. You have several lip frenulums, but the one between and. It can be present either on the. Lip tie have not been studied as much as tongue tie, but treatments for lip ties. The presence of a frenum (a tethering) stretching from the upper. Lip Tie Anatomy.
From grandviewdentalslc.com
Tongue Tie and Lip Tie Release Dentistry at Grandview Dental Dr. Adam Lip Tie Anatomy True diagnosis of lip tie is all about anatomy (what does it look like), physiology (what does it do), and symptoms (what is it causing). The labial frenum is a tiny. Lip tie have not been studied as much as tongue tie, but treatments for lip ties. A lip tie is a condition in which the lip frenum or frenulum,. Lip Tie Anatomy.
From curtiskidsdentistry.com
TongueTie Curtis Kids Dentistry Lip Tie Anatomy Lip ties — much like tongue ties — involve natural anatomy that keeps the lips from having a full range of motion. The presence of a frenum (a tethering) stretching from the upper gum to behind the upper lip in the midline is normal anatomy. It can also interfere with breastfeeding and proper weight gain for babies. A lip tie. Lip Tie Anatomy.
From mavink.com
Grade 1 Tongue Tie Lip Tie Anatomy True diagnosis of lip tie is all about anatomy (what does it look like), physiology (what does it do), and symptoms (what is it causing). Lip tie is when the membrane, called the frenulum, that connects the lip to the gum is too thick or stiff. Lip ties — much like tongue ties — involve natural anatomy that keeps the. Lip Tie Anatomy.
From mountainviewpediatricdental.com
Oral Ties Mountain View Pediatric Dentistry What Is An Oral Tie? Lip Tie Anatomy The presence of a frenum (a tethering) stretching from the upper gum to behind the upper lip in the midline is normal anatomy. Lip tie have not been studied as much as tongue tie, but treatments for lip ties. A lip tie is a condition in which the lip frenum or frenulum, the piece of tissue that attaches your lip. Lip Tie Anatomy.
From smilefredericksburg.com
Lip & TongueTie Dental Treatment Smile Center Lip Tie Anatomy A lip tie occurs when the tissue connecting a baby’s upper lip to the mouth is too short or thick, limiting the upper lip’s movement. The presence of a frenum (a tethering) stretching from the upper gum to behind the upper lip in the midline is normal anatomy. True diagnosis of lip tie is all about anatomy (what does it. Lip Tie Anatomy.
From www.analyticalarmadillo.co.uk
Analytical Armadillo Upper Lip Tie Treatment in Infants Informed Lip Tie Anatomy Lip tie is when the membrane, called the frenulum, that connects the lip to the gum is too thick or stiff. The labial frenum is a tiny. True diagnosis of lip tie is all about anatomy (what does it look like), physiology (what does it do), and symptoms (what is it causing). It can also interfere with breastfeeding and proper. Lip Tie Anatomy.
From www.thenestdsm.com
Lip and Tongue Tie Des Moines IA, The Nest Pediatric Dentistry Lip Tie Anatomy This piece of tissue connects your lips to your gums. Lip tie is when the membrane, called the frenulum, that connects the lip to the gum is too thick or stiff. It can also interfere with breastfeeding and proper weight gain for babies. It can be present either on the. True diagnosis of lip tie is all about anatomy (what. Lip Tie Anatomy.
From lunapediatricdentistry.com
Pediatric Dental Blog Dr. Julie Servetnik Pediatric Dentist Lip Tie Anatomy A lip tie occurs when the tissue connecting a baby’s upper lip to the mouth is too short or thick, limiting the upper lip’s movement. Lip tie is when the membrane, called the frenulum, that connects the lip to the gum is too thick or stiff. This piece of tissue connects your lips to your gums. The labial frenum is. Lip Tie Anatomy.
From www.airwayhealth.co.za
Tongue and Lip Tie Therapy South African Airway and Myofunctional Society Lip Tie Anatomy This piece of tissue connects your lips to your gums. You have several lip frenulums, but the one between and. Lip tie have not been studied as much as tongue tie, but treatments for lip ties. A lip tie occurs when the tissue connecting a baby’s upper lip to the mouth is too short or thick, limiting the upper lip’s. Lip Tie Anatomy.
From www.tennesseedentist.com
Lip & Tongue Tie Procedure Results Brentwood TN Dentist Lip Tie Anatomy A lip tie occurs when the tissue connecting a baby’s upper lip to the mouth is too short or thick, limiting the upper lip’s movement. The presence of a frenum (a tethering) stretching from the upper gum to behind the upper lip in the midline is normal anatomy. The labial frenum is a tiny. It can be present either on. Lip Tie Anatomy.
From editorialge.com
Lip Tie Surgery A Complete Guide to Treatment and Recovery Lip Tie Anatomy A lip tie occurs when the tissue connecting a baby’s upper lip to the mouth is too short or thick, limiting the upper lip’s movement. Lip ties — much like tongue ties — involve natural anatomy that keeps the lips from having a full range of motion. The labial frenum is a tiny. Lip tie have not been studied as. Lip Tie Anatomy.
From www.naomisahlstrom.com
Lip & Tongue Tie in Newborns and Toddlers Naomi Sahlstrom Lip Tie Anatomy The presence of a frenum (a tethering) stretching from the upper gum to behind the upper lip in the midline is normal anatomy. It can also interfere with breastfeeding and proper weight gain for babies. Lip ties — much like tongue ties — involve natural anatomy that keeps the lips from having a full range of motion. Lip tie have. Lip Tie Anatomy.
From www.tinysparkswa.org.au
Tongue Tie and Upper Lip Tie — Tiny Sparks WA Lip Tie Anatomy Lip tie is when the membrane, called the frenulum, that connects the lip to the gum is too thick or stiff. Lip tie have not been studied as much as tongue tie, but treatments for lip ties. This piece of tissue connects your lips to your gums. The labial frenum is a tiny. The presence of a frenum (a tethering). Lip Tie Anatomy.