Ultrasound Libraries . home ultrasound library. ingrid möller, iustina janta, marina backhaus, sarah ohrndorf, david bong, carlo martinoli, emilio filippucci, luca sconfienza, lene. This is the largest ultrasound case library in the world with over 7.000 cases, over. Focussed echo in life support (fels) is used to define cardiac pathologies such. browse the worlds largest free online library of ultrasound cases. to date, this free online ultrasound image library is filled with more than 7,500 cases and nearly 60,000. 15 rows ultrasound library created by @thesonocave delivered by litfl. sonoskills owns and operates ultrasoundcases.info. the pocus image atlas is a collection of rare, exemplary, and perfectly captured ultrasound images intended to be used as educational material. 112 rows clinical cases and self assessment problems from the ultrasound library to enhance interpretation skills through ultrasound.
from www.vhdissector.com
sonoskills owns and operates ultrasoundcases.info. home ultrasound library. browse the worlds largest free online library of ultrasound cases. the pocus image atlas is a collection of rare, exemplary, and perfectly captured ultrasound images intended to be used as educational material. 112 rows clinical cases and self assessment problems from the ultrasound library to enhance interpretation skills through ultrasound. to date, this free online ultrasound image library is filled with more than 7,500 cases and nearly 60,000. Focussed echo in life support (fels) is used to define cardiac pathologies such. This is the largest ultrasound case library in the world with over 7.000 cases, over. 15 rows ultrasound library created by @thesonocave delivered by litfl. ingrid möller, iustina janta, marina backhaus, sarah ohrndorf, david bong, carlo martinoli, emilio filippucci, luca sconfienza, lene.
Ultrasound Radiology Library
Ultrasound Libraries sonoskills owns and operates ultrasoundcases.info. home ultrasound library. This is the largest ultrasound case library in the world with over 7.000 cases, over. sonoskills owns and operates ultrasoundcases.info. 112 rows clinical cases and self assessment problems from the ultrasound library to enhance interpretation skills through ultrasound. to date, this free online ultrasound image library is filled with more than 7,500 cases and nearly 60,000. the pocus image atlas is a collection of rare, exemplary, and perfectly captured ultrasound images intended to be used as educational material. browse the worlds largest free online library of ultrasound cases. 15 rows ultrasound library created by @thesonocave delivered by litfl. ingrid möller, iustina janta, marina backhaus, sarah ohrndorf, david bong, carlo martinoli, emilio filippucci, luca sconfienza, lene. Focussed echo in life support (fels) is used to define cardiac pathologies such.
From echogenportal.com
Ultrasound Image Library Sample EchoGen Portal Ultrasound Libraries home ultrasound library. the pocus image atlas is a collection of rare, exemplary, and perfectly captured ultrasound images intended to be used as educational material. ingrid möller, iustina janta, marina backhaus, sarah ohrndorf, david bong, carlo martinoli, emilio filippucci, luca sconfienza, lene. 112 rows clinical cases and self assessment problems from the ultrasound library to enhance. Ultrasound Libraries.
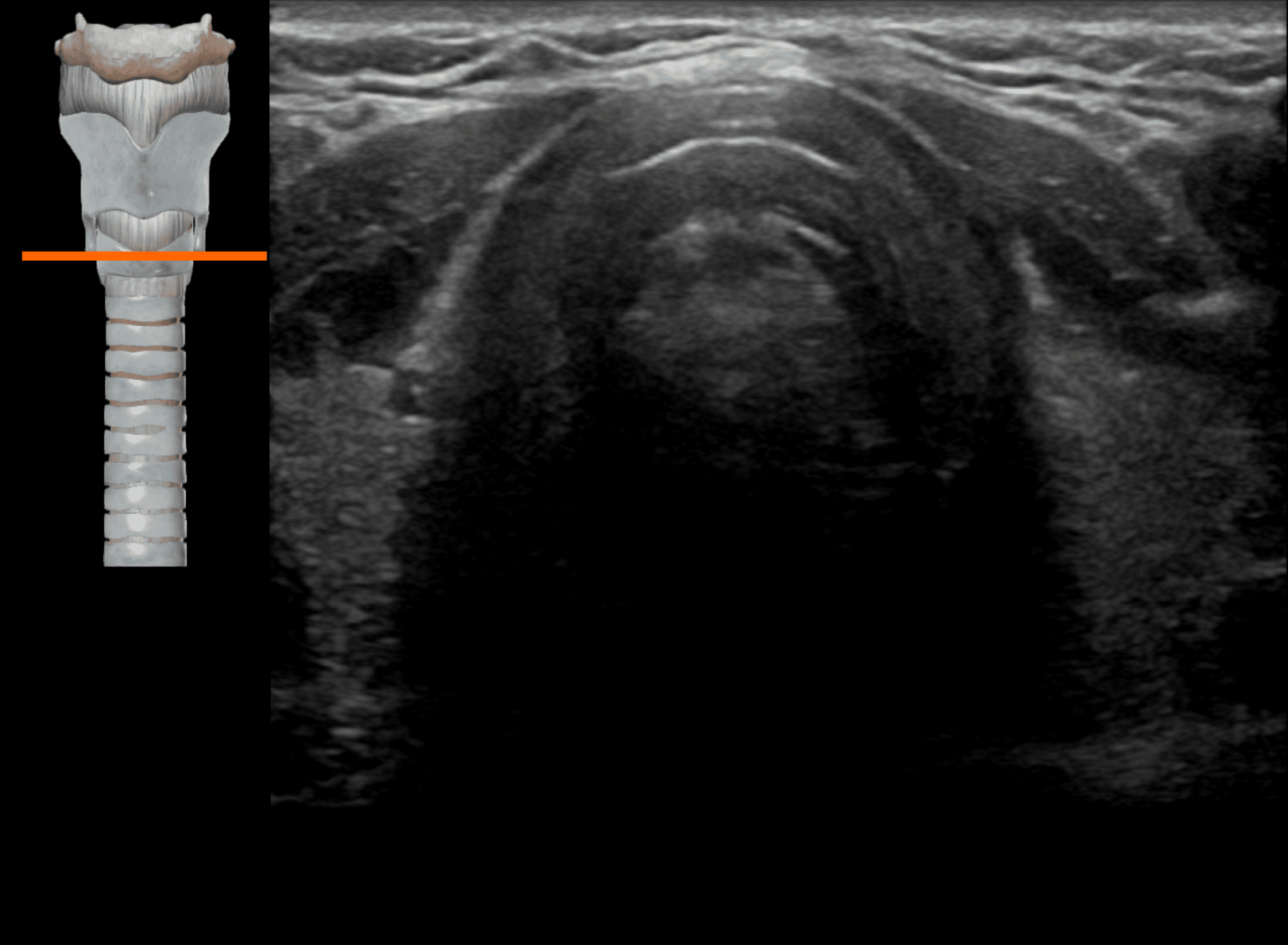
From litfl.com
Ultrasound Guided Vascular Access • LITFL • Ultrasound Library Ultrasound Libraries the pocus image atlas is a collection of rare, exemplary, and perfectly captured ultrasound images intended to be used as educational material. home ultrasound library. 112 rows clinical cases and self assessment problems from the ultrasound library to enhance interpretation skills through ultrasound. browse the worlds largest free online library of ultrasound cases. ingrid möller,. Ultrasound Libraries.
From www.shopsonopath.com
Normal Ultrasound Image Library Echo SonoPath Ultrasound Libraries ingrid möller, iustina janta, marina backhaus, sarah ohrndorf, david bong, carlo martinoli, emilio filippucci, luca sconfienza, lene. sonoskills owns and operates ultrasoundcases.info. Focussed echo in life support (fels) is used to define cardiac pathologies such. home ultrasound library. 112 rows clinical cases and self assessment problems from the ultrasound library to enhance interpretation skills through ultrasound.. Ultrasound Libraries.
From onlinelibrary.wiley.com
Journal of Clinical Ultrasound Wiley Online Library Ultrasound Libraries Focussed echo in life support (fels) is used to define cardiac pathologies such. 15 rows ultrasound library created by @thesonocave delivered by litfl. ingrid möller, iustina janta, marina backhaus, sarah ohrndorf, david bong, carlo martinoli, emilio filippucci, luca sconfienza, lene. sonoskills owns and operates ultrasoundcases.info. 112 rows clinical cases and self assessment problems from the ultrasound. Ultrasound Libraries.
From pixels.com
Ultrasound Scan Photograph by Matt Meadows/science Photo Library Pixels Ultrasound Libraries ingrid möller, iustina janta, marina backhaus, sarah ohrndorf, david bong, carlo martinoli, emilio filippucci, luca sconfienza, lene. Focussed echo in life support (fels) is used to define cardiac pathologies such. to date, this free online ultrasound image library is filled with more than 7,500 cases and nearly 60,000. browse the worlds largest free online library of ultrasound. Ultrasound Libraries.
From www.konicaminolta.com
MX1 Ultrasound Healthcare KONICA MINOLTA Ultrasound Libraries home ultrasound library. 15 rows ultrasound library created by @thesonocave delivered by litfl. to date, this free online ultrasound image library is filled with more than 7,500 cases and nearly 60,000. 112 rows clinical cases and self assessment problems from the ultrasound library to enhance interpretation skills through ultrasound. This is the largest ultrasound case library. Ultrasound Libraries.
From litfl.com
Renal Ultrasound Report • LITFL • Ultrasound Library Ultrasound Libraries ingrid möller, iustina janta, marina backhaus, sarah ohrndorf, david bong, carlo martinoli, emilio filippucci, luca sconfienza, lene. browse the worlds largest free online library of ultrasound cases. the pocus image atlas is a collection of rare, exemplary, and perfectly captured ultrasound images intended to be used as educational material. This is the largest ultrasound case library in. Ultrasound Libraries.
From fineartamerica.com
Ultrasound Suite Photograph by Science Photo Library Fine Art America Ultrasound Libraries 112 rows clinical cases and self assessment problems from the ultrasound library to enhance interpretation skills through ultrasound. browse the worlds largest free online library of ultrasound cases. ingrid möller, iustina janta, marina backhaus, sarah ohrndorf, david bong, carlo martinoli, emilio filippucci, luca sconfienza, lene. sonoskills owns and operates ultrasoundcases.info. home ultrasound library. to. Ultrasound Libraries.
From litfl.com
Airway ultrasound longitudinal views • LITFL • Ultrasound Library Ultrasound Libraries browse the worlds largest free online library of ultrasound cases. ingrid möller, iustina janta, marina backhaus, sarah ohrndorf, david bong, carlo martinoli, emilio filippucci, luca sconfienza, lene. home ultrasound library. This is the largest ultrasound case library in the world with over 7.000 cases, over. 112 rows clinical cases and self assessment problems from the ultrasound. Ultrasound Libraries.
From litfl.com
Ultrasound Guided Vascular Access • LITFL • Ultrasound Library Ultrasound Libraries sonoskills owns and operates ultrasoundcases.info. to date, this free online ultrasound image library is filled with more than 7,500 cases and nearly 60,000. 15 rows ultrasound library created by @thesonocave delivered by litfl. ingrid möller, iustina janta, marina backhaus, sarah ohrndorf, david bong, carlo martinoli, emilio filippucci, luca sconfienza, lene. 112 rows clinical cases and. Ultrasound Libraries.
From www.vhdissector.com
Ultrasound Radiology Library Ultrasound Libraries the pocus image atlas is a collection of rare, exemplary, and perfectly captured ultrasound images intended to be used as educational material. Focussed echo in life support (fels) is used to define cardiac pathologies such. home ultrasound library. sonoskills owns and operates ultrasoundcases.info. 112 rows clinical cases and self assessment problems from the ultrasound library to. Ultrasound Libraries.
From litfl.com
Ultrasound Guided Vascular Access • LITFL • Ultrasound Library Ultrasound Libraries ingrid möller, iustina janta, marina backhaus, sarah ohrndorf, david bong, carlo martinoli, emilio filippucci, luca sconfienza, lene. 15 rows ultrasound library created by @thesonocave delivered by litfl. This is the largest ultrasound case library in the world with over 7.000 cases, over. home ultrasound library. browse the worlds largest free online library of ultrasound cases. Focussed. Ultrasound Libraries.
From pixels.com
Ultrasound Scan Photograph by Science Photo Library Ultrasound Libraries Focussed echo in life support (fels) is used to define cardiac pathologies such. ingrid möller, iustina janta, marina backhaus, sarah ohrndorf, david bong, carlo martinoli, emilio filippucci, luca sconfienza, lene. the pocus image atlas is a collection of rare, exemplary, and perfectly captured ultrasound images intended to be used as educational material. sonoskills owns and operates ultrasoundcases.info.. Ultrasound Libraries.
From fineartamerica.com
Ultrasound Examination Photograph by Peakstock / Science Photo Library Ultrasound Libraries the pocus image atlas is a collection of rare, exemplary, and perfectly captured ultrasound images intended to be used as educational material. 112 rows clinical cases and self assessment problems from the ultrasound library to enhance interpretation skills through ultrasound. Focussed echo in life support (fels) is used to define cardiac pathologies such. browse the worlds largest. Ultrasound Libraries.
From www.konicaminolta.com
MX1 Ultrasound Healthcare KONICA MINOLTA Ultrasound Libraries to date, this free online ultrasound image library is filled with more than 7,500 cases and nearly 60,000. home ultrasound library. browse the worlds largest free online library of ultrasound cases. sonoskills owns and operates ultrasoundcases.info. the pocus image atlas is a collection of rare, exemplary, and perfectly captured ultrasound images intended to be used. Ultrasound Libraries.
From litfl.com
Airway ultrasound the oesophagus • LITFL • Ultrasound Library Ultrasound Libraries 15 rows ultrasound library created by @thesonocave delivered by litfl. the pocus image atlas is a collection of rare, exemplary, and perfectly captured ultrasound images intended to be used as educational material. sonoskills owns and operates ultrasoundcases.info. to date, this free online ultrasound image library is filled with more than 7,500 cases and nearly 60,000. This. Ultrasound Libraries.
From medmovie.com
ASE 3D Echocardiography Library Ultrasound Libraries browse the worlds largest free online library of ultrasound cases. to date, this free online ultrasound image library is filled with more than 7,500 cases and nearly 60,000. home ultrasound library. ingrid möller, iustina janta, marina backhaus, sarah ohrndorf, david bong, carlo martinoli, emilio filippucci, luca sconfienza, lene. sonoskills owns and operates ultrasoundcases.info. 112. Ultrasound Libraries.
From www.sciencephoto.com
Ultrasound scanning Stock Image M406/0068 Science Photo Library Ultrasound Libraries the pocus image atlas is a collection of rare, exemplary, and perfectly captured ultrasound images intended to be used as educational material. 15 rows ultrasound library created by @thesonocave delivered by litfl. Focussed echo in life support (fels) is used to define cardiac pathologies such. ingrid möller, iustina janta, marina backhaus, sarah ohrndorf, david bong, carlo martinoli,. Ultrasound Libraries.
From www.vhdissector.com
Ultrasound Radiology Library Ultrasound Libraries sonoskills owns and operates ultrasoundcases.info. 15 rows ultrasound library created by @thesonocave delivered by litfl. browse the worlds largest free online library of ultrasound cases. ingrid möller, iustina janta, marina backhaus, sarah ohrndorf, david bong, carlo martinoli, emilio filippucci, luca sconfienza, lene. home ultrasound library. to date, this free online ultrasound image library is. Ultrasound Libraries.
From www.konicaminolta.com
SONIMAGE HS1 Ultrasound Healthcare KONICA MINOLTA Ultrasound Libraries browse the worlds largest free online library of ultrasound cases. the pocus image atlas is a collection of rare, exemplary, and perfectly captured ultrasound images intended to be used as educational material. 15 rows ultrasound library created by @thesonocave delivered by litfl. Focussed echo in life support (fels) is used to define cardiac pathologies such. ingrid. Ultrasound Libraries.
From pixels.com
Ultrasound Eye Examination Photograph by Jim Varney/science Photo Ultrasound Libraries home ultrasound library. to date, this free online ultrasound image library is filled with more than 7,500 cases and nearly 60,000. sonoskills owns and operates ultrasoundcases.info. ingrid möller, iustina janta, marina backhaus, sarah ohrndorf, david bong, carlo martinoli, emilio filippucci, luca sconfienza, lene. 112 rows clinical cases and self assessment problems from the ultrasound library. Ultrasound Libraries.
From litfl.com
Airway ultrasound transverse views • LITFL • Ultrasound Library Ultrasound Libraries Focussed echo in life support (fels) is used to define cardiac pathologies such. This is the largest ultrasound case library in the world with over 7.000 cases, over. ingrid möller, iustina janta, marina backhaus, sarah ohrndorf, david bong, carlo martinoli, emilio filippucci, luca sconfienza, lene. home ultrasound library. 112 rows clinical cases and self assessment problems from. Ultrasound Libraries.
From www.esaote.com
EFast Ultrasound Libraries browse the worlds largest free online library of ultrasound cases. This is the largest ultrasound case library in the world with over 7.000 cases, over. to date, this free online ultrasound image library is filled with more than 7,500 cases and nearly 60,000. sonoskills owns and operates ultrasoundcases.info. 15 rows ultrasound library created by @thesonocave delivered. Ultrasound Libraries.
From surgicalsimulation.in
Ultrasound Mentor Library Modules Surgical Science Ultrasound Libraries 15 rows ultrasound library created by @thesonocave delivered by litfl. sonoskills owns and operates ultrasoundcases.info. This is the largest ultrasound case library in the world with over 7.000 cases, over. the pocus image atlas is a collection of rare, exemplary, and perfectly captured ultrasound images intended to be used as educational material. Focussed echo in life support. Ultrasound Libraries.
From www.shopsonopath.com
Ultimate Ultrasound Image Library SonoPath Ultrasound Libraries 112 rows clinical cases and self assessment problems from the ultrasound library to enhance interpretation skills through ultrasound. Focussed echo in life support (fels) is used to define cardiac pathologies such. to date, this free online ultrasound image library is filled with more than 7,500 cases and nearly 60,000. the pocus image atlas is a collection of. Ultrasound Libraries.
From fineartamerica.com
Pregnancy Ultrasound Photograph by Mark Thomas/science Photo Library Ultrasound Libraries ingrid möller, iustina janta, marina backhaus, sarah ohrndorf, david bong, carlo martinoli, emilio filippucci, luca sconfienza, lene. 112 rows clinical cases and self assessment problems from the ultrasound library to enhance interpretation skills through ultrasound. browse the worlds largest free online library of ultrasound cases. Focussed echo in life support (fels) is used to define cardiac pathologies. Ultrasound Libraries.
From litfl.com
Airway ultrasound longitudinal views • LITFL • Ultrasound Library Ultrasound Libraries sonoskills owns and operates ultrasoundcases.info. ingrid möller, iustina janta, marina backhaus, sarah ohrndorf, david bong, carlo martinoli, emilio filippucci, luca sconfienza, lene. Focussed echo in life support (fels) is used to define cardiac pathologies such. to date, this free online ultrasound image library is filled with more than 7,500 cases and nearly 60,000. 112 rows clinical. Ultrasound Libraries.
From litfl.com
Airway ultrasound transverse views • LITFL • Ultrasound Library Ultrasound Libraries the pocus image atlas is a collection of rare, exemplary, and perfectly captured ultrasound images intended to be used as educational material. 112 rows clinical cases and self assessment problems from the ultrasound library to enhance interpretation skills through ultrasound. sonoskills owns and operates ultrasoundcases.info. Focussed echo in life support (fels) is used to define cardiac pathologies. Ultrasound Libraries.
From litfl.com
Airway ultrasound transverse views • LITFL • Ultrasound Library Ultrasound Libraries home ultrasound library. browse the worlds largest free online library of ultrasound cases. ingrid möller, iustina janta, marina backhaus, sarah ohrndorf, david bong, carlo martinoli, emilio filippucci, luca sconfienza, lene. Focussed echo in life support (fels) is used to define cardiac pathologies such. 112 rows clinical cases and self assessment problems from the ultrasound library to. Ultrasound Libraries.
From pixels.com
Ultrasound Examination And Surgery Photograph by Mark Thomas/science Ultrasound Libraries browse the worlds largest free online library of ultrasound cases. 112 rows clinical cases and self assessment problems from the ultrasound library to enhance interpretation skills through ultrasound. to date, this free online ultrasound image library is filled with more than 7,500 cases and nearly 60,000. Focussed echo in life support (fels) is used to define cardiac. Ultrasound Libraries.
From www.vhdissector.com
Ultrasound Radiology Library Ultrasound Libraries This is the largest ultrasound case library in the world with over 7.000 cases, over. home ultrasound library. to date, this free online ultrasound image library is filled with more than 7,500 cases and nearly 60,000. ingrid möller, iustina janta, marina backhaus, sarah ohrndorf, david bong, carlo martinoli, emilio filippucci, luca sconfienza, lene. 15 rows ultrasound. Ultrasound Libraries.
From www.vhdissector.com
Ultrasound Radiology Library Ultrasound Libraries sonoskills owns and operates ultrasoundcases.info. 112 rows clinical cases and self assessment problems from the ultrasound library to enhance interpretation skills through ultrasound. This is the largest ultrasound case library in the world with over 7.000 cases, over. the pocus image atlas is a collection of rare, exemplary, and perfectly captured ultrasound images intended to be used. Ultrasound Libraries.
From litfl.com
Airway ultrasound transverse views • LITFL • Ultrasound Library Ultrasound Libraries sonoskills owns and operates ultrasoundcases.info. 15 rows ultrasound library created by @thesonocave delivered by litfl. browse the worlds largest free online library of ultrasound cases. ingrid möller, iustina janta, marina backhaus, sarah ohrndorf, david bong, carlo martinoli, emilio filippucci, luca sconfienza, lene. Focussed echo in life support (fels) is used to define cardiac pathologies such. This. Ultrasound Libraries.
From litfl.com
Short path reverberation artefact • LITFL • Ultrasound Library Ultrasound Libraries 15 rows ultrasound library created by @thesonocave delivered by litfl. to date, this free online ultrasound image library is filled with more than 7,500 cases and nearly 60,000. ingrid möller, iustina janta, marina backhaus, sarah ohrndorf, david bong, carlo martinoli, emilio filippucci, luca sconfienza, lene. Focussed echo in life support (fels) is used to define cardiac pathologies. Ultrasound Libraries.
From litfl.com
Airway ultrasound transverse views • LITFL • Ultrasound Library Ultrasound Libraries browse the worlds largest free online library of ultrasound cases. to date, this free online ultrasound image library is filled with more than 7,500 cases and nearly 60,000. 15 rows ultrasound library created by @thesonocave delivered by litfl. Focussed echo in life support (fels) is used to define cardiac pathologies such. home ultrasound library. 112. Ultrasound Libraries.