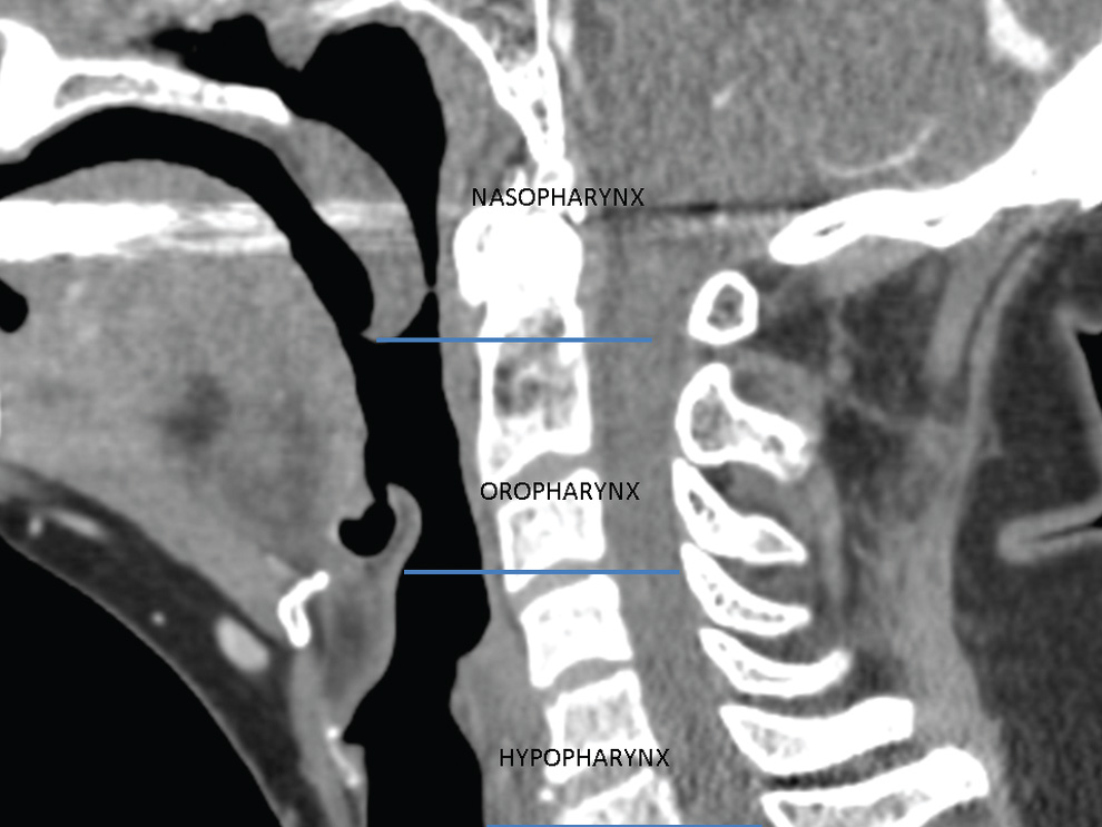
Oropharyngeal Anatomy Radiology . Describe abnormalities detected at fluoroscopic swallowing examination. Emphasis is placed on the. (a) anatomical divisions of the pharynx and their boundaries. Familiarization of the normal appearance of the oral cavity and oropharynx on mri is critical to recognize and describe these types of pathology. The oropharynx forms part of the pharynx, being the continuation of the oral cavity and nasopharynx superiorly, and the larynx and. This article reviews the oral cavity. It communicates with the nasopharynx superiorly and the laryngopharynx inferiorly. (1) the oral mucosal surface, including. This article reviews the anatomy of the oropharynx and oral cavity, as seen on ct and mr imaging studies. Anatomy • the oropharynx is the posterior continuation of the oral cavity; The pharynx is composed of three parts: From an imaging standpoint, the oral cavity can be subdivided into four distinct regions: Posterior to the nasal choanae, extending from the vault. Discuss the anatomy and imaging phases of swallowing.
from www.youtube.com
(1) the oral mucosal surface, including. Emphasis is placed on the. (a) anatomical divisions of the pharynx and their boundaries. Anatomy • the oropharynx is the posterior continuation of the oral cavity; This article reviews the oral cavity. The oropharynx forms part of the pharynx, being the continuation of the oral cavity and nasopharynx superiorly, and the larynx and. Describe abnormalities detected at fluoroscopic swallowing examination. It communicates with the nasopharynx superiorly and the laryngopharynx inferiorly. The pharynx is composed of three parts: Familiarization of the normal appearance of the oral cavity and oropharynx on mri is critical to recognize and describe these types of pathology.
CT MRI LARYNX PHARYNX ANATOMY YouTube
Oropharyngeal Anatomy Radiology Posterior to the nasal choanae, extending from the vault. It communicates with the nasopharynx superiorly and the laryngopharynx inferiorly. Familiarization of the normal appearance of the oral cavity and oropharynx on mri is critical to recognize and describe these types of pathology. This article reviews the oral cavity. Emphasis is placed on the. Anatomy • the oropharynx is the posterior continuation of the oral cavity; This article reviews the anatomy of the oropharynx and oral cavity, as seen on ct and mr imaging studies. The oropharynx forms part of the pharynx, being the continuation of the oral cavity and nasopharynx superiorly, and the larynx and. Discuss the anatomy and imaging phases of swallowing. (a) anatomical divisions of the pharynx and their boundaries. The pharynx is composed of three parts: Describe abnormalities detected at fluoroscopic swallowing examination. From an imaging standpoint, the oral cavity can be subdivided into four distinct regions: (1) the oral mucosal surface, including. Posterior to the nasal choanae, extending from the vault.
From pubs.rsna.org
Postsurgical Imaging of the Oral Cavity and Oropharynx What Oropharyngeal Anatomy Radiology Discuss the anatomy and imaging phases of swallowing. It communicates with the nasopharynx superiorly and the laryngopharynx inferiorly. Posterior to the nasal choanae, extending from the vault. From an imaging standpoint, the oral cavity can be subdivided into four distinct regions: The pharynx is composed of three parts: Describe abnormalities detected at fluoroscopic swallowing examination. Emphasis is placed on the.. Oropharyngeal Anatomy Radiology.
From pubs.rsna.org
Postsurgical Imaging of the Oral Cavity and Oropharynx What Oropharyngeal Anatomy Radiology It communicates with the nasopharynx superiorly and the laryngopharynx inferiorly. From an imaging standpoint, the oral cavity can be subdivided into four distinct regions: Familiarization of the normal appearance of the oral cavity and oropharynx on mri is critical to recognize and describe these types of pathology. Discuss the anatomy and imaging phases of swallowing. (a) anatomical divisions of the. Oropharyngeal Anatomy Radiology.
From www.pathologyoutlines.com
Pathology Outlines Stagingoropharynx & hypopharynx Oropharyngeal Anatomy Radiology The pharynx is composed of three parts: Anatomy • the oropharynx is the posterior continuation of the oral cavity; (1) the oral mucosal surface, including. The oropharynx forms part of the pharynx, being the continuation of the oral cavity and nasopharynx superiorly, and the larynx and. From an imaging standpoint, the oral cavity can be subdivided into four distinct regions:. Oropharyngeal Anatomy Radiology.
From www.semanticscholar.org
Oropharyngeal Cancer Imaging; Anatomy and Pathways of Spread in Staging Oropharyngeal Anatomy Radiology Familiarization of the normal appearance of the oral cavity and oropharynx on mri is critical to recognize and describe these types of pathology. This article reviews the anatomy of the oropharynx and oral cavity, as seen on ct and mr imaging studies. Describe abnormalities detected at fluoroscopic swallowing examination. (a) anatomical divisions of the pharynx and their boundaries. From an. Oropharyngeal Anatomy Radiology.
From www.semanticscholar.org
Figure 26 from Oropharyngeal Cancer Imaging; Anatomy and Pathways of Oropharyngeal Anatomy Radiology This article reviews the oral cavity. The pharynx is composed of three parts: This article reviews the anatomy of the oropharynx and oral cavity, as seen on ct and mr imaging studies. Emphasis is placed on the. Describe abnormalities detected at fluoroscopic swallowing examination. Anatomy • the oropharynx is the posterior continuation of the oral cavity; Familiarization of the normal. Oropharyngeal Anatomy Radiology.
From pubs.rsna.org
Oral Cavity and Oropharyngeal Squamous Cell Cancer Key Imaging Oropharyngeal Anatomy Radiology It communicates with the nasopharynx superiorly and the laryngopharynx inferiorly. Familiarization of the normal appearance of the oral cavity and oropharynx on mri is critical to recognize and describe these types of pathology. This article reviews the oral cavity. Describe abnormalities detected at fluoroscopic swallowing examination. The oropharynx forms part of the pharynx, being the continuation of the oral cavity. Oropharyngeal Anatomy Radiology.
From radiopaedia.org
Image Oropharyngeal Anatomy Radiology This article reviews the anatomy of the oropharynx and oral cavity, as seen on ct and mr imaging studies. Emphasis is placed on the. Familiarization of the normal appearance of the oral cavity and oropharynx on mri is critical to recognize and describe these types of pathology. Posterior to the nasal choanae, extending from the vault. From an imaging standpoint,. Oropharyngeal Anatomy Radiology.
From pubs.rsna.org
Postsurgical Imaging of the Oral Cavity and Oropharynx What Oropharyngeal Anatomy Radiology It communicates with the nasopharynx superiorly and the laryngopharynx inferiorly. From an imaging standpoint, the oral cavity can be subdivided into four distinct regions: Posterior to the nasal choanae, extending from the vault. (a) anatomical divisions of the pharynx and their boundaries. Emphasis is placed on the. The oropharynx forms part of the pharynx, being the continuation of the oral. Oropharyngeal Anatomy Radiology.
From radiopaedia.org
Image Oropharyngeal Anatomy Radiology Emphasis is placed on the. The oropharynx forms part of the pharynx, being the continuation of the oral cavity and nasopharynx superiorly, and the larynx and. From an imaging standpoint, the oral cavity can be subdivided into four distinct regions: Posterior to the nasal choanae, extending from the vault. (1) the oral mucosal surface, including. It communicates with the nasopharynx. Oropharyngeal Anatomy Radiology.
From www.researchgate.net
T2 weighted MRI scan of the oropharynx showing the small cell lung Oropharyngeal Anatomy Radiology Posterior to the nasal choanae, extending from the vault. Discuss the anatomy and imaging phases of swallowing. The oropharynx forms part of the pharynx, being the continuation of the oral cavity and nasopharynx superiorly, and the larynx and. This article reviews the oral cavity. This article reviews the anatomy of the oropharynx and oral cavity, as seen on ct and. Oropharyngeal Anatomy Radiology.
From radiologykey.com
Mucosal Cancers Neck Primaries and the Lymph Nodes Radiology Key Oropharyngeal Anatomy Radiology Describe abnormalities detected at fluoroscopic swallowing examination. Familiarization of the normal appearance of the oral cavity and oropharynx on mri is critical to recognize and describe these types of pathology. This article reviews the anatomy of the oropharynx and oral cavity, as seen on ct and mr imaging studies. From an imaging standpoint, the oral cavity can be subdivided into. Oropharyngeal Anatomy Radiology.
From radiologykey.com
Oropharynx Radiology Key Oropharyngeal Anatomy Radiology Describe abnormalities detected at fluoroscopic swallowing examination. It communicates with the nasopharynx superiorly and the laryngopharynx inferiorly. (a) anatomical divisions of the pharynx and their boundaries. Anatomy • the oropharynx is the posterior continuation of the oral cavity; From an imaging standpoint, the oral cavity can be subdivided into four distinct regions: Familiarization of the normal appearance of the oral. Oropharyngeal Anatomy Radiology.
From radiologykey.com
Oral Cavity, Pharynx, and Suprahyoid Neck Radiology Key Oropharyngeal Anatomy Radiology The pharynx is composed of three parts: (a) anatomical divisions of the pharynx and their boundaries. Familiarization of the normal appearance of the oral cavity and oropharynx on mri is critical to recognize and describe these types of pathology. (1) the oral mucosal surface, including. Anatomy • the oropharynx is the posterior continuation of the oral cavity; This article reviews. Oropharyngeal Anatomy Radiology.
From pubs.rsna.org
Postsurgical Imaging of the Oral Cavity and Oropharynx What Oropharyngeal Anatomy Radiology Emphasis is placed on the. Familiarization of the normal appearance of the oral cavity and oropharynx on mri is critical to recognize and describe these types of pathology. The oropharynx forms part of the pharynx, being the continuation of the oral cavity and nasopharynx superiorly, and the larynx and. (1) the oral mucosal surface, including. This article reviews the oral. Oropharyngeal Anatomy Radiology.
From www.youtube.com
CT MRI LARYNX PHARYNX ANATOMY YouTube Oropharyngeal Anatomy Radiology Posterior to the nasal choanae, extending from the vault. From an imaging standpoint, the oral cavity can be subdivided into four distinct regions: Familiarization of the normal appearance of the oral cavity and oropharynx on mri is critical to recognize and describe these types of pathology. (1) the oral mucosal surface, including. Discuss the anatomy and imaging phases of swallowing.. Oropharyngeal Anatomy Radiology.
From www.semanticscholar.org
Oropharyngeal Cancer Imaging; Anatomy and Pathways of Spread in Staging Oropharyngeal Anatomy Radiology Emphasis is placed on the. The oropharynx forms part of the pharynx, being the continuation of the oral cavity and nasopharynx superiorly, and the larynx and. Familiarization of the normal appearance of the oral cavity and oropharynx on mri is critical to recognize and describe these types of pathology. It communicates with the nasopharynx superiorly and the laryngopharynx inferiorly. Anatomy. Oropharyngeal Anatomy Radiology.
From www.semanticscholar.org
Oropharyngeal Cancer Imaging; Anatomy and Pathways of Spread in Staging Oropharyngeal Anatomy Radiology This article reviews the oral cavity. (a) anatomical divisions of the pharynx and their boundaries. Anatomy • the oropharynx is the posterior continuation of the oral cavity; Emphasis is placed on the. Familiarization of the normal appearance of the oral cavity and oropharynx on mri is critical to recognize and describe these types of pathology. From an imaging standpoint, the. Oropharyngeal Anatomy Radiology.
From pubs.rsna.org
Oral Cavity and Oropharyngeal Squamous Cell Cancer Key Imaging Oropharyngeal Anatomy Radiology The pharynx is composed of three parts: From an imaging standpoint, the oral cavity can be subdivided into four distinct regions: (1) the oral mucosal surface, including. The oropharynx forms part of the pharynx, being the continuation of the oral cavity and nasopharynx superiorly, and the larynx and. This article reviews the oral cavity. Familiarization of the normal appearance of. Oropharyngeal Anatomy Radiology.
From www.semanticscholar.org
Oropharyngeal Cancer Imaging; Anatomy and Pathways of Spread in Staging Oropharyngeal Anatomy Radiology Describe abnormalities detected at fluoroscopic swallowing examination. (a) anatomical divisions of the pharynx and their boundaries. Familiarization of the normal appearance of the oral cavity and oropharynx on mri is critical to recognize and describe these types of pathology. This article reviews the oral cavity. Anatomy • the oropharynx is the posterior continuation of the oral cavity; It communicates with. Oropharyngeal Anatomy Radiology.
From www.slideshare.net
Anatomy of pharynx Oropharyngeal Anatomy Radiology (1) the oral mucosal surface, including. The oropharynx forms part of the pharynx, being the continuation of the oral cavity and nasopharynx superiorly, and the larynx and. This article reviews the anatomy of the oropharynx and oral cavity, as seen on ct and mr imaging studies. This article reviews the oral cavity. (a) anatomical divisions of the pharynx and their. Oropharyngeal Anatomy Radiology.
From www.alamy.com
Xray lateral or profile view of the oropharynx 3D rendering Oropharyngeal Anatomy Radiology This article reviews the oral cavity. Anatomy • the oropharynx is the posterior continuation of the oral cavity; Discuss the anatomy and imaging phases of swallowing. Describe abnormalities detected at fluoroscopic swallowing examination. This article reviews the anatomy of the oropharynx and oral cavity, as seen on ct and mr imaging studies. The oropharynx forms part of the pharynx, being. Oropharyngeal Anatomy Radiology.
From www.semanticscholar.org
Figure 3 from Oropharyngeal Cancer Imaging; Anatomy and Pathways of Oropharyngeal Anatomy Radiology (a) anatomical divisions of the pharynx and their boundaries. The pharynx is composed of three parts: Anatomy • the oropharynx is the posterior continuation of the oral cavity; The oropharynx forms part of the pharynx, being the continuation of the oral cavity and nasopharynx superiorly, and the larynx and. It communicates with the nasopharynx superiorly and the laryngopharynx inferiorly. From. Oropharyngeal Anatomy Radiology.
From www.slideserve.com
PPT PHARYNX PowerPoint Presentation, free download ID3107380 Oropharyngeal Anatomy Radiology Emphasis is placed on the. (a) anatomical divisions of the pharynx and their boundaries. From an imaging standpoint, the oral cavity can be subdivided into four distinct regions: Posterior to the nasal choanae, extending from the vault. Discuss the anatomy and imaging phases of swallowing. This article reviews the oral cavity. (1) the oral mucosal surface, including. It communicates with. Oropharyngeal Anatomy Radiology.
From doctorlib.info
Oropharynx Practical Essentials of Intensity Modulated Radiation Oropharyngeal Anatomy Radiology The pharynx is composed of three parts: Describe abnormalities detected at fluoroscopic swallowing examination. This article reviews the oral cavity. Discuss the anatomy and imaging phases of swallowing. From an imaging standpoint, the oral cavity can be subdivided into four distinct regions: Anatomy • the oropharynx is the posterior continuation of the oral cavity; The oropharynx forms part of the. Oropharyngeal Anatomy Radiology.
From www.semanticscholar.org
Oropharyngeal Cancer Imaging; Anatomy and Pathways of Spread in Staging Oropharyngeal Anatomy Radiology It communicates with the nasopharynx superiorly and the laryngopharynx inferiorly. The pharynx is composed of three parts: Anatomy • the oropharynx is the posterior continuation of the oral cavity; The oropharynx forms part of the pharynx, being the continuation of the oral cavity and nasopharynx superiorly, and the larynx and. This article reviews the anatomy of the oropharynx and oral. Oropharyngeal Anatomy Radiology.
From radiologykey.com
Oral Cavity and Oropharynx Radiology Key Oropharyngeal Anatomy Radiology (a) anatomical divisions of the pharynx and their boundaries. The oropharynx forms part of the pharynx, being the continuation of the oral cavity and nasopharynx superiorly, and the larynx and. It communicates with the nasopharynx superiorly and the laryngopharynx inferiorly. Anatomy • the oropharynx is the posterior continuation of the oral cavity; This article reviews the anatomy of the oropharynx. Oropharyngeal Anatomy Radiology.
From radiologykey.com
Pitfalls in the Staging of Cancer of the Oropharyngeal Squamous Cell Oropharyngeal Anatomy Radiology Familiarization of the normal appearance of the oral cavity and oropharynx on mri is critical to recognize and describe these types of pathology. The oropharynx forms part of the pharynx, being the continuation of the oral cavity and nasopharynx superiorly, and the larynx and. Posterior to the nasal choanae, extending from the vault. From an imaging standpoint, the oral cavity. Oropharyngeal Anatomy Radiology.
From www.pinterest.com
Pin by Mourad Salama on Head And Neck Medical radiography, Medical Oropharyngeal Anatomy Radiology Discuss the anatomy and imaging phases of swallowing. This article reviews the anatomy of the oropharynx and oral cavity, as seen on ct and mr imaging studies. (a) anatomical divisions of the pharynx and their boundaries. Familiarization of the normal appearance of the oral cavity and oropharynx on mri is critical to recognize and describe these types of pathology. It. Oropharyngeal Anatomy Radiology.
From teachmeanatomy.info
The Pharynx Subdivisions Blood Supply TeachMeAnatomy Oropharyngeal Anatomy Radiology Posterior to the nasal choanae, extending from the vault. Anatomy • the oropharynx is the posterior continuation of the oral cavity; (1) the oral mucosal surface, including. Describe abnormalities detected at fluoroscopic swallowing examination. (a) anatomical divisions of the pharynx and their boundaries. It communicates with the nasopharynx superiorly and the laryngopharynx inferiorly. The pharynx is composed of three parts:. Oropharyngeal Anatomy Radiology.
From www.semanticscholar.org
Figure 1 from Imaging Anatomy of Waldeyer's Ring and PET/CT and MRI Oropharyngeal Anatomy Radiology The oropharynx forms part of the pharynx, being the continuation of the oral cavity and nasopharynx superiorly, and the larynx and. Discuss the anatomy and imaging phases of swallowing. (1) the oral mucosal surface, including. Describe abnormalities detected at fluoroscopic swallowing examination. (a) anatomical divisions of the pharynx and their boundaries. Familiarization of the normal appearance of the oral cavity. Oropharyngeal Anatomy Radiology.
From www.semanticscholar.org
Oropharyngeal Cancer Imaging; Anatomy and Pathways of Spread in Staging Oropharyngeal Anatomy Radiology Discuss the anatomy and imaging phases of swallowing. Emphasis is placed on the. Anatomy • the oropharynx is the posterior continuation of the oral cavity; Familiarization of the normal appearance of the oral cavity and oropharynx on mri is critical to recognize and describe these types of pathology. It communicates with the nasopharynx superiorly and the laryngopharynx inferiorly. From an. Oropharyngeal Anatomy Radiology.
From entokey.com
Diagnostic Imaging of the Pharynx and Esophagus Ento Key Oropharyngeal Anatomy Radiology Posterior to the nasal choanae, extending from the vault. (a) anatomical divisions of the pharynx and their boundaries. Familiarization of the normal appearance of the oral cavity and oropharynx on mri is critical to recognize and describe these types of pathology. Discuss the anatomy and imaging phases of swallowing. Describe abnormalities detected at fluoroscopic swallowing examination. The pharynx is composed. Oropharyngeal Anatomy Radiology.
From pubs.rsna.org
Oral Cavity and Oropharyngeal Squamous Cell Cancer Key Imaging Oropharyngeal Anatomy Radiology Familiarization of the normal appearance of the oral cavity and oropharynx on mri is critical to recognize and describe these types of pathology. Discuss the anatomy and imaging phases of swallowing. Describe abnormalities detected at fluoroscopic swallowing examination. The oropharynx forms part of the pharynx, being the continuation of the oral cavity and nasopharynx superiorly, and the larynx and. (a). Oropharyngeal Anatomy Radiology.
From radiologykey.com
Respiratory and Digestive System Pharynx, Larynx, and Xerostomia Oropharyngeal Anatomy Radiology From an imaging standpoint, the oral cavity can be subdivided into four distinct regions: The oropharynx forms part of the pharynx, being the continuation of the oral cavity and nasopharynx superiorly, and the larynx and. (a) anatomical divisions of the pharynx and their boundaries. Emphasis is placed on the. Discuss the anatomy and imaging phases of swallowing. The pharynx is. Oropharyngeal Anatomy Radiology.
From www.semanticscholar.org
Figure 5 from Oropharyngeal Cancer Imaging; Anatomy and Pathways of Oropharyngeal Anatomy Radiology (1) the oral mucosal surface, including. From an imaging standpoint, the oral cavity can be subdivided into four distinct regions: The pharynx is composed of three parts: Anatomy • the oropharynx is the posterior continuation of the oral cavity; Discuss the anatomy and imaging phases of swallowing. (a) anatomical divisions of the pharynx and their boundaries. It communicates with the. Oropharyngeal Anatomy Radiology.