What Is Olfactory Groove Meningioma . What is olfactory groove meningioma? Large anterior cranial fossa homogenous space occupying lesion with associated mass effect resulting in. Olfactory groove meningiomas grow along the nerves that run between the brain and the nose, the nerves allow you to smell. Meningioma is a known benign central nervous system tumor commonly arising from the meninges of the brain and spinal cord. The mount sinai health system specializes in diagnosing and treating olfactory groove meningiomas, which are benign growths that. The rate of recurrence and the risk of. They grow near your olfactory nerve,. This type of tumor can cause a loss of smell, and can grow large enough to cause problems with vision. Olfactory groove meningioma is a specific type of brain tumor that forms along the olfactory groove,. Olfactory groove meningioma forms along the nerves that run between the brain and the nose and account for around 10 percent of meningiomas. Olfactory groove meningiomas are located between your brain and nose at the base of your skull.
from www.sciencephoto.com
What is olfactory groove meningioma? Olfactory groove meningiomas are located between your brain and nose at the base of your skull. This type of tumor can cause a loss of smell, and can grow large enough to cause problems with vision. They grow near your olfactory nerve,. Olfactory groove meningioma is a specific type of brain tumor that forms along the olfactory groove,. The mount sinai health system specializes in diagnosing and treating olfactory groove meningiomas, which are benign growths that. Olfactory groove meningiomas grow along the nerves that run between the brain and the nose, the nerves allow you to smell. Olfactory groove meningioma forms along the nerves that run between the brain and the nose and account for around 10 percent of meningiomas. Meningioma is a known benign central nervous system tumor commonly arising from the meninges of the brain and spinal cord. Large anterior cranial fossa homogenous space occupying lesion with associated mass effect resulting in.
Large Olfactory Groove Meningioma Stock Image M210/0355 Science
What Is Olfactory Groove Meningioma What is olfactory groove meningioma? This type of tumor can cause a loss of smell, and can grow large enough to cause problems with vision. The mount sinai health system specializes in diagnosing and treating olfactory groove meningiomas, which are benign growths that. Olfactory groove meningioma is a specific type of brain tumor that forms along the olfactory groove,. Olfactory groove meningiomas grow along the nerves that run between the brain and the nose, the nerves allow you to smell. What is olfactory groove meningioma? Large anterior cranial fossa homogenous space occupying lesion with associated mass effect resulting in. They grow near your olfactory nerve,. The rate of recurrence and the risk of. Meningioma is a known benign central nervous system tumor commonly arising from the meninges of the brain and spinal cord. Olfactory groove meningiomas are located between your brain and nose at the base of your skull. Olfactory groove meningioma forms along the nerves that run between the brain and the nose and account for around 10 percent of meningiomas.
From www.researchgate.net
Illustrative case of a large olfactory groove meningioma (diameter 68 What Is Olfactory Groove Meningioma What is olfactory groove meningioma? This type of tumor can cause a loss of smell, and can grow large enough to cause problems with vision. The rate of recurrence and the risk of. Olfactory groove meningioma is a specific type of brain tumor that forms along the olfactory groove,. Olfactory groove meningiomas grow along the nerves that run between the. What Is Olfactory Groove Meningioma.
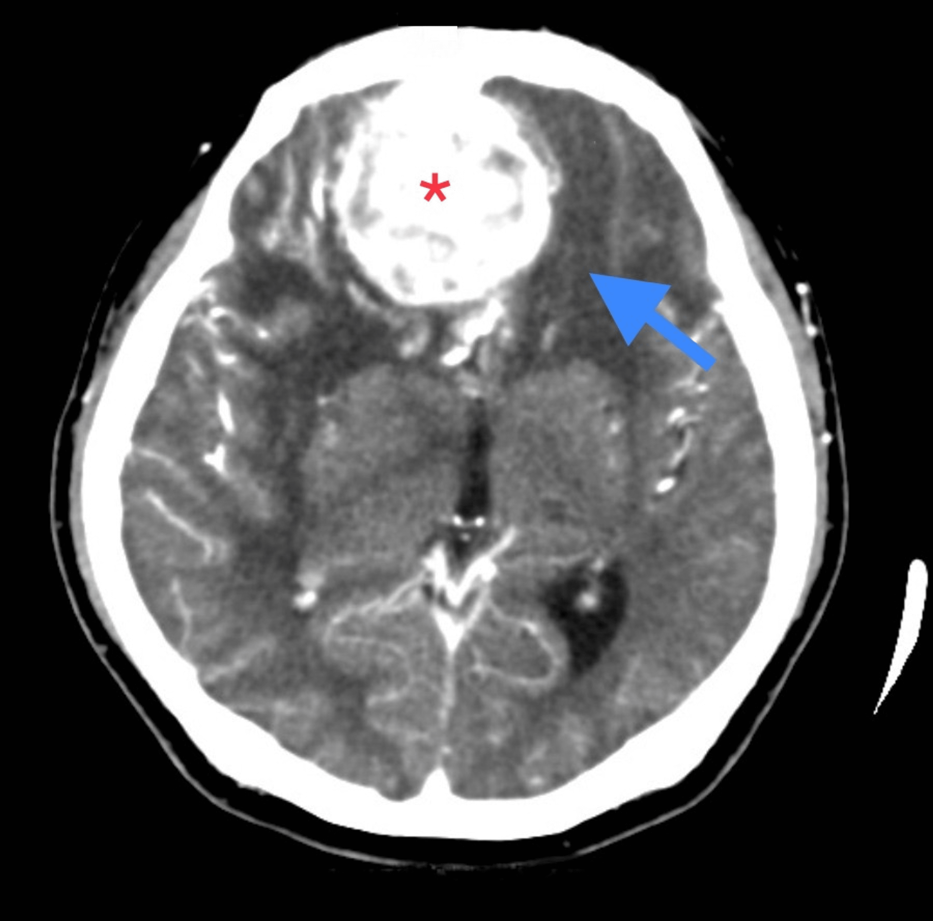
From radiologycases.my
Olfactory groove meningioma Radiology Cases What Is Olfactory Groove Meningioma What is olfactory groove meningioma? Meningioma is a known benign central nervous system tumor commonly arising from the meninges of the brain and spinal cord. This type of tumor can cause a loss of smell, and can grow large enough to cause problems with vision. The mount sinai health system specializes in diagnosing and treating olfactory groove meningiomas, which are. What Is Olfactory Groove Meningioma.
From radiopaedia.org
Olfactory groove meningioma Image What Is Olfactory Groove Meningioma Olfactory groove meningioma is a specific type of brain tumor that forms along the olfactory groove,. Meningioma is a known benign central nervous system tumor commonly arising from the meninges of the brain and spinal cord. What is olfactory groove meningioma? They grow near your olfactory nerve,. This type of tumor can cause a loss of smell, and can grow. What Is Olfactory Groove Meningioma.
From www.semanticscholar.org
Olfactory Groove Meningioma Semantic Scholar What Is Olfactory Groove Meningioma Meningioma is a known benign central nervous system tumor commonly arising from the meninges of the brain and spinal cord. Olfactory groove meningiomas grow along the nerves that run between the brain and the nose, the nerves allow you to smell. The rate of recurrence and the risk of. Olfactory groove meningioma is a specific type of brain tumor that. What Is Olfactory Groove Meningioma.
From www.researchgate.net
Brain MRI of 64yearold woman with olfactory groove meningioma What Is Olfactory Groove Meningioma The mount sinai health system specializes in diagnosing and treating olfactory groove meningiomas, which are benign growths that. Olfactory groove meningiomas grow along the nerves that run between the brain and the nose, the nerves allow you to smell. Olfactory groove meningioma forms along the nerves that run between the brain and the nose and account for around 10 percent. What Is Olfactory Groove Meningioma.
From www.youtube.com
Treatment of Olfactory Groove Meningiomas YouTube What Is Olfactory Groove Meningioma Olfactory groove meningiomas are located between your brain and nose at the base of your skull. The rate of recurrence and the risk of. Olfactory groove meningiomas grow along the nerves that run between the brain and the nose, the nerves allow you to smell. They grow near your olfactory nerve,. What is olfactory groove meningioma? Large anterior cranial fossa. What Is Olfactory Groove Meningioma.
From casereports.bmj.com
Olfactory groove meningioma with a 10year history of smell loss and What Is Olfactory Groove Meningioma Large anterior cranial fossa homogenous space occupying lesion with associated mass effect resulting in. Olfactory groove meningioma is a specific type of brain tumor that forms along the olfactory groove,. Olfactory groove meningioma forms along the nerves that run between the brain and the nose and account for around 10 percent of meningiomas. Meningioma is a known benign central nervous. What Is Olfactory Groove Meningioma.
From www.sciencephoto.com
Large Olfactory Groove Meningioma Stock Image M210/0354 Science What Is Olfactory Groove Meningioma This type of tumor can cause a loss of smell, and can grow large enough to cause problems with vision. Meningioma is a known benign central nervous system tumor commonly arising from the meninges of the brain and spinal cord. They grow near your olfactory nerve,. Large anterior cranial fossa homogenous space occupying lesion with associated mass effect resulting in.. What Is Olfactory Groove Meningioma.
From www.researchgate.net
An olfactory groove meningioma (A, OGM), medial sphenoid wing What Is Olfactory Groove Meningioma They grow near your olfactory nerve,. Olfactory groove meningiomas are located between your brain and nose at the base of your skull. The mount sinai health system specializes in diagnosing and treating olfactory groove meningiomas, which are benign growths that. What is olfactory groove meningioma? This type of tumor can cause a loss of smell, and can grow large enough. What Is Olfactory Groove Meningioma.
From my.clevelandclinic.org
Meningioma What It Is, Causes, Symptoms & Treatment What Is Olfactory Groove Meningioma This type of tumor can cause a loss of smell, and can grow large enough to cause problems with vision. What is olfactory groove meningioma? Olfactory groove meningioma forms along the nerves that run between the brain and the nose and account for around 10 percent of meningiomas. The mount sinai health system specializes in diagnosing and treating olfactory groove. What Is Olfactory Groove Meningioma.
From neupsykey.com
Tuberculum Sellae and Olfactory Groove Meningiomas Neupsy Key What Is Olfactory Groove Meningioma Meningioma is a known benign central nervous system tumor commonly arising from the meninges of the brain and spinal cord. Large anterior cranial fossa homogenous space occupying lesion with associated mass effect resulting in. Olfactory groove meningioma forms along the nerves that run between the brain and the nose and account for around 10 percent of meningiomas. What is olfactory. What Is Olfactory Groove Meningioma.
From www.sciencephoto.com
Olfactory Groove Meningioma, MRI Stock Image C039/4263 Science What Is Olfactory Groove Meningioma Olfactory groove meningiomas are located between your brain and nose at the base of your skull. Olfactory groove meningioma forms along the nerves that run between the brain and the nose and account for around 10 percent of meningiomas. What is olfactory groove meningioma? This type of tumor can cause a loss of smell, and can grow large enough to. What Is Olfactory Groove Meningioma.
From www.semanticscholar.org
Figure 1 from Olfactory Groove Meningioma Semantic Scholar What Is Olfactory Groove Meningioma The rate of recurrence and the risk of. What is olfactory groove meningioma? Meningioma is a known benign central nervous system tumor commonly arising from the meninges of the brain and spinal cord. Large anterior cranial fossa homogenous space occupying lesion with associated mass effect resulting in. Olfactory groove meningiomas are located between your brain and nose at the base. What Is Olfactory Groove Meningioma.
From neupsykey.com
Olfactory Groove Meningiomas Pitfalls and Surgical Technique Neupsy Key What Is Olfactory Groove Meningioma Meningioma is a known benign central nervous system tumor commonly arising from the meninges of the brain and spinal cord. The mount sinai health system specializes in diagnosing and treating olfactory groove meningiomas, which are benign growths that. Large anterior cranial fossa homogenous space occupying lesion with associated mass effect resulting in. They grow near your olfactory nerve,. Olfactory groove. What Is Olfactory Groove Meningioma.
From www.semanticscholar.org
Olfactory Groove Meningioma Semantic Scholar What Is Olfactory Groove Meningioma Meningioma is a known benign central nervous system tumor commonly arising from the meninges of the brain and spinal cord. The rate of recurrence and the risk of. Olfactory groove meningiomas grow along the nerves that run between the brain and the nose, the nerves allow you to smell. Olfactory groove meningioma is a specific type of brain tumor that. What Is Olfactory Groove Meningioma.
From jnnp.bmj.com
Olfactory function in patients with olfactory groove meningioma What Is Olfactory Groove Meningioma They grow near your olfactory nerve,. What is olfactory groove meningioma? Olfactory groove meningiomas grow along the nerves that run between the brain and the nose, the nerves allow you to smell. This type of tumor can cause a loss of smell, and can grow large enough to cause problems with vision. Meningioma is a known benign central nervous system. What Is Olfactory Groove Meningioma.
From radiopaedia.org
Olfactory groove meningioma Image What Is Olfactory Groove Meningioma The rate of recurrence and the risk of. The mount sinai health system specializes in diagnosing and treating olfactory groove meningiomas, which are benign growths that. Meningioma is a known benign central nervous system tumor commonly arising from the meninges of the brain and spinal cord. Olfactory groove meningioma is a specific type of brain tumor that forms along the. What Is Olfactory Groove Meningioma.
From radiopaedia.org
Glioblastoma and a synchronous olfactory groove meningioma Image What Is Olfactory Groove Meningioma What is olfactory groove meningioma? Olfactory groove meningiomas are located between your brain and nose at the base of your skull. Olfactory groove meningiomas grow along the nerves that run between the brain and the nose, the nerves allow you to smell. The mount sinai health system specializes in diagnosing and treating olfactory groove meningiomas, which are benign growths that.. What Is Olfactory Groove Meningioma.
From www.researchgate.net
Olfactory groove meningioma. 51yearold male presenting with headache What Is Olfactory Groove Meningioma Olfactory groove meningioma is a specific type of brain tumor that forms along the olfactory groove,. The rate of recurrence and the risk of. Large anterior cranial fossa homogenous space occupying lesion with associated mass effect resulting in. Olfactory groove meningioma forms along the nerves that run between the brain and the nose and account for around 10 percent of. What Is Olfactory Groove Meningioma.
From radiocases.blogspot.com
Dr Balaji Anvekar's Neuroradiology Cases Olfactory groove Meningioma MRI What Is Olfactory Groove Meningioma Olfactory groove meningiomas are located between your brain and nose at the base of your skull. Olfactory groove meningioma forms along the nerves that run between the brain and the nose and account for around 10 percent of meningiomas. They grow near your olfactory nerve,. The mount sinai health system specializes in diagnosing and treating olfactory groove meningiomas, which are. What Is Olfactory Groove Meningioma.
From www.neurosurgicalatlas.com
Olfactory Groove Meningioma The Neurosurgical Atlas What Is Olfactory Groove Meningioma This type of tumor can cause a loss of smell, and can grow large enough to cause problems with vision. Olfactory groove meningiomas are located between your brain and nose at the base of your skull. What is olfactory groove meningioma? Olfactory groove meningioma forms along the nerves that run between the brain and the nose and account for around. What Is Olfactory Groove Meningioma.
From www.researchgate.net
Preoperative imaging of an olfactory groove meningioma. A and B What Is Olfactory Groove Meningioma They grow near your olfactory nerve,. Olfactory groove meningioma is a specific type of brain tumor that forms along the olfactory groove,. Olfactory groove meningioma forms along the nerves that run between the brain and the nose and account for around 10 percent of meningiomas. The mount sinai health system specializes in diagnosing and treating olfactory groove meningiomas, which are. What Is Olfactory Groove Meningioma.
From www.neurosurgery-blog.com
Endoscopic endonasal surgery for olfactory groove meningiomas What Is Olfactory Groove Meningioma The rate of recurrence and the risk of. They grow near your olfactory nerve,. Meningioma is a known benign central nervous system tumor commonly arising from the meninges of the brain and spinal cord. Olfactory groove meningioma is a specific type of brain tumor that forms along the olfactory groove,. What is olfactory groove meningioma? Olfactory groove meningiomas grow along. What Is Olfactory Groove Meningioma.
From altairhealth.com
Olfactory Groove and Sphenoid Wing Meningiomas Altair Health What Is Olfactory Groove Meningioma Olfactory groove meningiomas grow along the nerves that run between the brain and the nose, the nerves allow you to smell. What is olfactory groove meningioma? Olfactory groove meningioma is a specific type of brain tumor that forms along the olfactory groove,. Olfactory groove meningiomas are located between your brain and nose at the base of your skull. The mount. What Is Olfactory Groove Meningioma.
From www.sciencephoto.com
Large Olfactory Groove Meningioma Stock Image M210/0355 Science What Is Olfactory Groove Meningioma The mount sinai health system specializes in diagnosing and treating olfactory groove meningiomas, which are benign growths that. Olfactory groove meningiomas are located between your brain and nose at the base of your skull. The rate of recurrence and the risk of. This type of tumor can cause a loss of smell, and can grow large enough to cause problems. What Is Olfactory Groove Meningioma.
From www.researchgate.net
A case of olfactory groove meningioma successfully operated on through What Is Olfactory Groove Meningioma Olfactory groove meningiomas grow along the nerves that run between the brain and the nose, the nerves allow you to smell. Olfactory groove meningiomas are located between your brain and nose at the base of your skull. This type of tumor can cause a loss of smell, and can grow large enough to cause problems with vision. Olfactory groove meningioma. What Is Olfactory Groove Meningioma.
From www.researchgate.net
a, b Preoperative MRI of an olfactory groove meningioma with extension What Is Olfactory Groove Meningioma The rate of recurrence and the risk of. Olfactory groove meningioma forms along the nerves that run between the brain and the nose and account for around 10 percent of meningiomas. Olfactory groove meningiomas grow along the nerves that run between the brain and the nose, the nerves allow you to smell. What is olfactory groove meningioma? Olfactory groove meningioma. What Is Olfactory Groove Meningioma.
From www.sciencephoto.com
Olfactory Groove Meningioma, MRI Stock Image C039/4260 Science What Is Olfactory Groove Meningioma They grow near your olfactory nerve,. What is olfactory groove meningioma? The mount sinai health system specializes in diagnosing and treating olfactory groove meningiomas, which are benign growths that. Meningioma is a known benign central nervous system tumor commonly arising from the meninges of the brain and spinal cord. Olfactory groove meningiomas are located between your brain and nose at. What Is Olfactory Groove Meningioma.
From www.researchgate.net
Illustrative case of a mediumsized olfactory groove meningioma What Is Olfactory Groove Meningioma Large anterior cranial fossa homogenous space occupying lesion with associated mass effect resulting in. What is olfactory groove meningioma? They grow near your olfactory nerve,. Olfactory groove meningioma forms along the nerves that run between the brain and the nose and account for around 10 percent of meningiomas. This type of tumor can cause a loss of smell, and can. What Is Olfactory Groove Meningioma.
From www.valleyni.com
Clinical Presentation & Radiographic Appearance (by location) Valley What Is Olfactory Groove Meningioma Olfactory groove meningiomas grow along the nerves that run between the brain and the nose, the nerves allow you to smell. This type of tumor can cause a loss of smell, and can grow large enough to cause problems with vision. Meningioma is a known benign central nervous system tumor commonly arising from the meninges of the brain and spinal. What Is Olfactory Groove Meningioma.
From www.neurosurgicalatlas.com
Olfactory Groove Meningioma The Neurosurgical Atlas What Is Olfactory Groove Meningioma They grow near your olfactory nerve,. This type of tumor can cause a loss of smell, and can grow large enough to cause problems with vision. Olfactory groove meningioma forms along the nerves that run between the brain and the nose and account for around 10 percent of meningiomas. Large anterior cranial fossa homogenous space occupying lesion with associated mass. What Is Olfactory Groove Meningioma.
From www.cureus.com
Cureus Visual Loss As Primary Manifestation of Olfactory Groove What Is Olfactory Groove Meningioma Olfactory groove meningioma forms along the nerves that run between the brain and the nose and account for around 10 percent of meningiomas. The mount sinai health system specializes in diagnosing and treating olfactory groove meningiomas, which are benign growths that. Olfactory groove meningioma is a specific type of brain tumor that forms along the olfactory groove,. This type of. What Is Olfactory Groove Meningioma.
From www.neurosurgicalatlas.com
Olfactory Groove Meningioma The Neurosurgical Atlas What Is Olfactory Groove Meningioma Olfactory groove meningiomas grow along the nerves that run between the brain and the nose, the nerves allow you to smell. This type of tumor can cause a loss of smell, and can grow large enough to cause problems with vision. Olfactory groove meningiomas are located between your brain and nose at the base of your skull. What is olfactory. What Is Olfactory Groove Meningioma.
From www.sciencephoto.com
Olfactory Groove Meningioma, MRI Stock Image C039/4264 Science What Is Olfactory Groove Meningioma Olfactory groove meningiomas grow along the nerves that run between the brain and the nose, the nerves allow you to smell. Olfactory groove meningioma forms along the nerves that run between the brain and the nose and account for around 10 percent of meningiomas. The mount sinai health system specializes in diagnosing and treating olfactory groove meningiomas, which are benign. What Is Olfactory Groove Meningioma.
From radiopaedia.org
Olfactory groove meningioma (huge) Image What Is Olfactory Groove Meningioma What is olfactory groove meningioma? Large anterior cranial fossa homogenous space occupying lesion with associated mass effect resulting in. This type of tumor can cause a loss of smell, and can grow large enough to cause problems with vision. The mount sinai health system specializes in diagnosing and treating olfactory groove meningiomas, which are benign growths that. The rate of. What Is Olfactory Groove Meningioma.