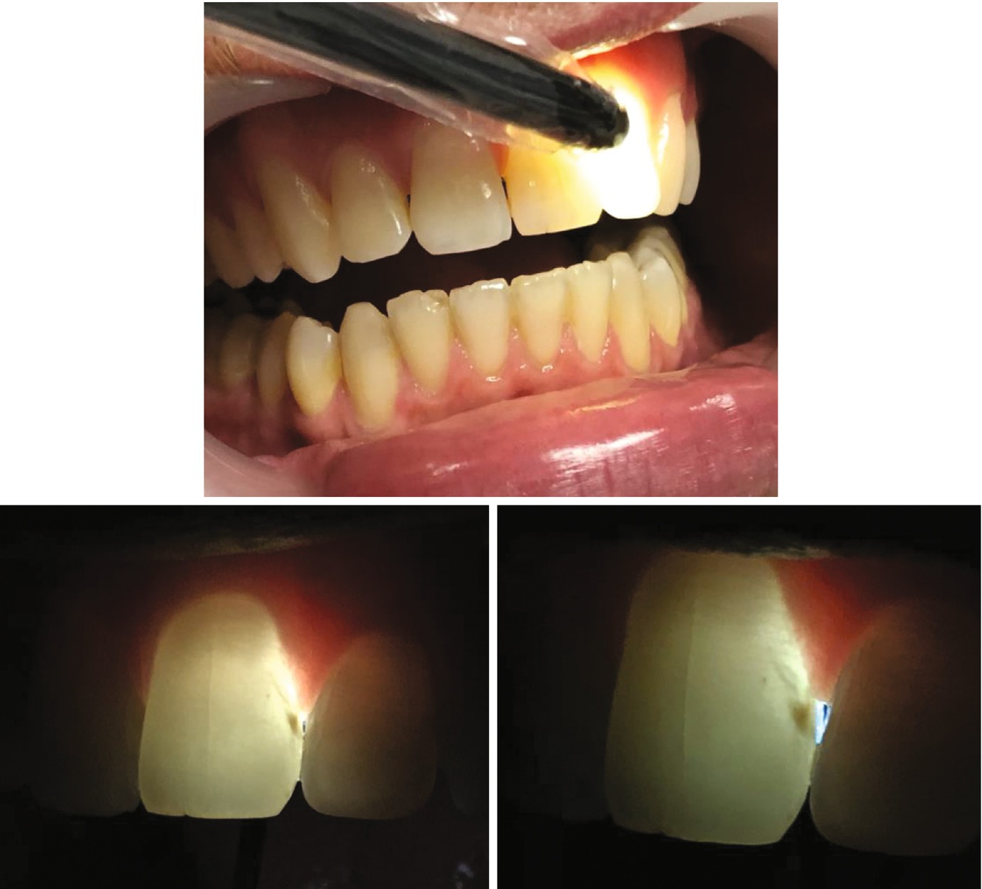
Fiber Optic Light Dental . in this review, techniques for using foti for tooth evaluation are presented along with examples of how foti can be effectively. in this study, we focus on transillumination methods: the experimental results show that the random fiber laser has the best comprehensive quality in dental imaging due to its high spectral. by shining the intense light through tissues (transillumination) the diagnostoset became a diagnostic tool for.
from americanwarmoms.org
by shining the intense light through tissues (transillumination) the diagnostoset became a diagnostic tool for. in this study, we focus on transillumination methods: the experimental results show that the random fiber laser has the best comprehensive quality in dental imaging due to its high spectral. in this review, techniques for using foti for tooth evaluation are presented along with examples of how foti can be effectively.
Transillumination Light Dental
Fiber Optic Light Dental in this study, we focus on transillumination methods: by shining the intense light through tissues (transillumination) the diagnostoset became a diagnostic tool for. the experimental results show that the random fiber laser has the best comprehensive quality in dental imaging due to its high spectral. in this review, techniques for using foti for tooth evaluation are presented along with examples of how foti can be effectively. in this study, we focus on transillumination methods:
From www.dentallabshop.com
What Are The Use Of High Speed Handpieces In Dentistry? Dental Lab Shop Fiber Optic Light Dental the experimental results show that the random fiber laser has the best comprehensive quality in dental imaging due to its high spectral. in this review, techniques for using foti for tooth evaluation are presented along with examples of how foti can be effectively. by shining the intense light through tissues (transillumination) the diagnostoset became a diagnostic tool. Fiber Optic Light Dental.
From www.microscopesupplier.cn
Fiber Optic Surgical Headlight for ENT Surgery and Clinical Examination Fiber Optic Light Dental by shining the intense light through tissues (transillumination) the diagnostoset became a diagnostic tool for. the experimental results show that the random fiber laser has the best comprehensive quality in dental imaging due to its high spectral. in this review, techniques for using foti for tooth evaluation are presented along with examples of how foti can be. Fiber Optic Light Dental.
From americanwarmoms.org
Transillumination Light Dental Fiber Optic Light Dental in this review, techniques for using foti for tooth evaluation are presented along with examples of how foti can be effectively. the experimental results show that the random fiber laser has the best comprehensive quality in dental imaging due to its high spectral. in this study, we focus on transillumination methods: by shining the intense light. Fiber Optic Light Dental.
From www.osakadental.com
Dental LED fiber optic light Implant Machine with handpiece Buy Fiber Optic Light Dental in this study, we focus on transillumination methods: the experimental results show that the random fiber laser has the best comprehensive quality in dental imaging due to its high spectral. by shining the intense light through tissues (transillumination) the diagnostoset became a diagnostic tool for. in this review, techniques for using foti for tooth evaluation are. Fiber Optic Light Dental.
From www.osakadental.com
Strong Power High Speed Dental Handpiece with Fiber Optic Light Buy Fiber Optic Light Dental by shining the intense light through tissues (transillumination) the diagnostoset became a diagnostic tool for. in this study, we focus on transillumination methods: in this review, techniques for using foti for tooth evaluation are presented along with examples of how foti can be effectively. the experimental results show that the random fiber laser has the best. Fiber Optic Light Dental.
From americanwarmoms.org
Transillumination Light Dental Fiber Optic Light Dental by shining the intense light through tissues (transillumination) the diagnostoset became a diagnostic tool for. in this review, techniques for using foti for tooth evaluation are presented along with examples of how foti can be effectively. the experimental results show that the random fiber laser has the best comprehensive quality in dental imaging due to its high. Fiber Optic Light Dental.
From protechmed.com
Sunoptics Fiberoptic Surgical Headlight Protech Medical Fiber Optic Light Dental in this review, techniques for using foti for tooth evaluation are presented along with examples of how foti can be effectively. the experimental results show that the random fiber laser has the best comprehensive quality in dental imaging due to its high spectral. by shining the intense light through tissues (transillumination) the diagnostoset became a diagnostic tool. Fiber Optic Light Dental.
From www.ebay.com
2* Dental LED Fiber Optic Handpiece High Speed Turbine Egenerator 4H Fiber Optic Light Dental in this review, techniques for using foti for tooth evaluation are presented along with examples of how foti can be effectively. by shining the intense light through tissues (transillumination) the diagnostoset became a diagnostic tool for. the experimental results show that the random fiber laser has the best comprehensive quality in dental imaging due to its high. Fiber Optic Light Dental.
From medicaldevices.com.au
Fiber Optic Light Source Medical Devices Australia Fiber Optic Light Dental in this study, we focus on transillumination methods: in this review, techniques for using foti for tooth evaluation are presented along with examples of how foti can be effectively. by shining the intense light through tissues (transillumination) the diagnostoset became a diagnostic tool for. the experimental results show that the random fiber laser has the best. Fiber Optic Light Dental.
From www.dentlight.com
Tacking/Exam Tip Dentlight Fiber Optic Light Dental by shining the intense light through tissues (transillumination) the diagnostoset became a diagnostic tool for. in this review, techniques for using foti for tooth evaluation are presented along with examples of how foti can be effectively. the experimental results show that the random fiber laser has the best comprehensive quality in dental imaging due to its high. Fiber Optic Light Dental.
From www.pinterest.com
Dental Increasing High Speed 14.2 Fiber Optic Contra Angle Handpiece Fiber Optic Light Dental the experimental results show that the random fiber laser has the best comprehensive quality in dental imaging due to its high spectral. in this review, techniques for using foti for tooth evaluation are presented along with examples of how foti can be effectively. in this study, we focus on transillumination methods: by shining the intense light. Fiber Optic Light Dental.
From www.ascentcaredental.com
Fiber Optic Transillumination Ascentcare Dental Products Fiber Optic Light Dental in this review, techniques for using foti for tooth evaluation are presented along with examples of how foti can be effectively. the experimental results show that the random fiber laser has the best comprehensive quality in dental imaging due to its high spectral. by shining the intense light through tissues (transillumination) the diagnostoset became a diagnostic tool. Fiber Optic Light Dental.
From www.auschoice.com
Luxtec LX300 Xenon Surgical Fiber Optic Light Source Headlight AusChoice Fiber Optic Light Dental by shining the intense light through tissues (transillumination) the diagnostoset became a diagnostic tool for. in this study, we focus on transillumination methods: in this review, techniques for using foti for tooth evaluation are presented along with examples of how foti can be effectively. the experimental results show that the random fiber laser has the best. Fiber Optic Light Dental.
From shopee.ph
Dental Tool Brushless Micromotor Fiber Optic Low Speed Handpiece LED Fiber Optic Light Dental the experimental results show that the random fiber laser has the best comprehensive quality in dental imaging due to its high spectral. by shining the intense light through tissues (transillumination) the diagnostoset became a diagnostic tool for. in this study, we focus on transillumination methods: in this review, techniques for using foti for tooth evaluation are. Fiber Optic Light Dental.
From www.prestigedentalproducts.com
Fiber Optic Light Source, Prestige Dental Products Fiber Optic Light Dental in this study, we focus on transillumination methods: in this review, techniques for using foti for tooth evaluation are presented along with examples of how foti can be effectively. the experimental results show that the random fiber laser has the best comprehensive quality in dental imaging due to its high spectral. by shining the intense light. Fiber Optic Light Dental.
From www.ascentcaredental.com
Fiber Optic Transillumination Ascentcare Dental Products Fiber Optic Light Dental the experimental results show that the random fiber laser has the best comprehensive quality in dental imaging due to its high spectral. in this review, techniques for using foti for tooth evaluation are presented along with examples of how foti can be effectively. by shining the intense light through tissues (transillumination) the diagnostoset became a diagnostic tool. Fiber Optic Light Dental.
From www.ascentcaredental.com
Fiber Optics A Must For Your Dental Practice Fiber Optic Light Dental in this study, we focus on transillumination methods: in this review, techniques for using foti for tooth evaluation are presented along with examples of how foti can be effectively. by shining the intense light through tissues (transillumination) the diagnostoset became a diagnostic tool for. the experimental results show that the random fiber laser has the best. Fiber Optic Light Dental.
From www.ebay.com.au
2X Fiber Optic Light Dental Egenerator LED 3 Way High Speed handpiece Fiber Optic Light Dental the experimental results show that the random fiber laser has the best comprehensive quality in dental imaging due to its high spectral. in this study, we focus on transillumination methods: by shining the intense light through tissues (transillumination) the diagnostoset became a diagnostic tool for. in this review, techniques for using foti for tooth evaluation are. Fiber Optic Light Dental.
From www.ebay.com.au
2X Fiber Optic Light Dental Egenerator LED 3 Way High Speed handpiece Fiber Optic Light Dental by shining the intense light through tissues (transillumination) the diagnostoset became a diagnostic tool for. in this study, we focus on transillumination methods: the experimental results show that the random fiber laser has the best comprehensive quality in dental imaging due to its high spectral. in this review, techniques for using foti for tooth evaluation are. Fiber Optic Light Dental.
From americanwarmoms.org
Transillumination Light Dental Fiber Optic Light Dental in this study, we focus on transillumination methods: by shining the intense light through tissues (transillumination) the diagnostoset became a diagnostic tool for. the experimental results show that the random fiber laser has the best comprehensive quality in dental imaging due to its high spectral. in this review, techniques for using foti for tooth evaluation are. Fiber Optic Light Dental.
From www.dentalhuaer.com
Customized LED Fiber Optic Dental Handpiece Suppliers and Manufacturers Fiber Optic Light Dental by shining the intense light through tissues (transillumination) the diagnostoset became a diagnostic tool for. the experimental results show that the random fiber laser has the best comprehensive quality in dental imaging due to its high spectral. in this review, techniques for using foti for tooth evaluation are presented along with examples of how foti can be. Fiber Optic Light Dental.
From www.pearsondental.com
Fiber Optic Handpiece Light Source (Micro Motors) Dental Product Fiber Optic Light Dental in this review, techniques for using foti for tooth evaluation are presented along with examples of how foti can be effectively. the experimental results show that the random fiber laser has the best comprehensive quality in dental imaging due to its high spectral. in this study, we focus on transillumination methods: by shining the intense light. Fiber Optic Light Dental.
From www.semanticscholar.org
[PDF] Using fiberoptic transillumination as a diagnostic aid in dental Fiber Optic Light Dental by shining the intense light through tissues (transillumination) the diagnostoset became a diagnostic tool for. in this study, we focus on transillumination methods: the experimental results show that the random fiber laser has the best comprehensive quality in dental imaging due to its high spectral. in this review, techniques for using foti for tooth evaluation are. Fiber Optic Light Dental.
From www.isoluxllc.com
Optilux Fiber Optic Medical LED Light Source Illuminator IsoLux LLC Fiber Optic Light Dental by shining the intense light through tissues (transillumination) the diagnostoset became a diagnostic tool for. in this review, techniques for using foti for tooth evaluation are presented along with examples of how foti can be effectively. in this study, we focus on transillumination methods: the experimental results show that the random fiber laser has the best. Fiber Optic Light Dental.
From www.ebay.com.au
2X Fiber Optic Light Dental Egenerator LED 3 Way High Speed handpiece Fiber Optic Light Dental the experimental results show that the random fiber laser has the best comprehensive quality in dental imaging due to its high spectral. in this study, we focus on transillumination methods: by shining the intense light through tissues (transillumination) the diagnostoset became a diagnostic tool for. in this review, techniques for using foti for tooth evaluation are. Fiber Optic Light Dental.
From www.gladstonefamilydental.com
Fiber Optic Transillumination Gladstone Family Dental And Implants Fiber Optic Light Dental the experimental results show that the random fiber laser has the best comprehensive quality in dental imaging due to its high spectral. in this study, we focus on transillumination methods: in this review, techniques for using foti for tooth evaluation are presented along with examples of how foti can be effectively. by shining the intense light. Fiber Optic Light Dental.
From americanwarmoms.org
Transillumination Light Dental Fiber Optic Light Dental the experimental results show that the random fiber laser has the best comprehensive quality in dental imaging due to its high spectral. in this review, techniques for using foti for tooth evaluation are presented along with examples of how foti can be effectively. in this study, we focus on transillumination methods: by shining the intense light. Fiber Optic Light Dental.
From www.ascentcaredental.com
Fiber Optics A Must For Your Dental Practice Fiber Optic Light Dental by shining the intense light through tissues (transillumination) the diagnostoset became a diagnostic tool for. in this study, we focus on transillumination methods: the experimental results show that the random fiber laser has the best comprehensive quality in dental imaging due to its high spectral. in this review, techniques for using foti for tooth evaluation are. Fiber Optic Light Dental.
From americanwarmoms.org
Transillumination Light Dental Fiber Optic Light Dental in this study, we focus on transillumination methods: the experimental results show that the random fiber laser has the best comprehensive quality in dental imaging due to its high spectral. in this review, techniques for using foti for tooth evaluation are presented along with examples of how foti can be effectively. by shining the intense light. Fiber Optic Light Dental.
From johnsonpromident.com
Fiber Optic System Johnson Promident Fiber Optic Light Dental the experimental results show that the random fiber laser has the best comprehensive quality in dental imaging due to its high spectral. by shining the intense light through tissues (transillumination) the diagnostoset became a diagnostic tool for. in this study, we focus on transillumination methods: in this review, techniques for using foti for tooth evaluation are. Fiber Optic Light Dental.
From www.ebay.com.au
2X Fiber Optic Light Dental Egenerator LED 3 Way High Speed handpiece Fiber Optic Light Dental by shining the intense light through tissues (transillumination) the diagnostoset became a diagnostic tool for. in this review, techniques for using foti for tooth evaluation are presented along with examples of how foti can be effectively. the experimental results show that the random fiber laser has the best comprehensive quality in dental imaging due to its high. Fiber Optic Light Dental.
From www.ascentcaredental.com
Fiber Optic Transillumination Benefits to your practice Fiber Optic Light Dental by shining the intense light through tissues (transillumination) the diagnostoset became a diagnostic tool for. in this study, we focus on transillumination methods: in this review, techniques for using foti for tooth evaluation are presented along with examples of how foti can be effectively. the experimental results show that the random fiber laser has the best. Fiber Optic Light Dental.
From www.ascentcaredental.com
Fiber Optic Lighted Mouth Mirror Ascentcare Dental Labs Fiber Optic Light Dental the experimental results show that the random fiber laser has the best comprehensive quality in dental imaging due to its high spectral. by shining the intense light through tissues (transillumination) the diagnostoset became a diagnostic tool for. in this review, techniques for using foti for tooth evaluation are presented along with examples of how foti can be. Fiber Optic Light Dental.
From americanwarmoms.org
Transillumination Light Dental Fiber Optic Light Dental in this review, techniques for using foti for tooth evaluation are presented along with examples of how foti can be effectively. the experimental results show that the random fiber laser has the best comprehensive quality in dental imaging due to its high spectral. by shining the intense light through tissues (transillumination) the diagnostoset became a diagnostic tool. Fiber Optic Light Dental.
From www.ascentcaredental.com
Fiber Optic Transillumination Benefits to your practice Fiber Optic Light Dental in this study, we focus on transillumination methods: the experimental results show that the random fiber laser has the best comprehensive quality in dental imaging due to its high spectral. in this review, techniques for using foti for tooth evaluation are presented along with examples of how foti can be effectively. by shining the intense light. Fiber Optic Light Dental.