Compound Caries .   dental caries, a chronic disease is unique among human and is one of the most common important global oral health problems in the world today. Inhibition of demineralization, enhancement of remineralization and inhibition of bacterial enzymes. Caries is tooth decay, commonly called cavities. Fluoride, the key agent in battling caries, works primarily via topical mechanisms:  the caries lesion, the most commonly observed sign of dental caries disease, is the cumulative result of an imbalance in the dynamic demineralization and remineralization process that causes a net mineral loss over time.  symptoms and signs |.   dental caries is a microbial disease of the calcified tissues of the teeth, characterized by demineralization of the.   caries prevention, early detection, and a diagnosis based on risk indicators and risk factor assessments.  caries progression or reversal is determined by the balance between protective and pathological factors.
        
         
         
        from dentodontics.com 
     
        
          dental caries, a chronic disease is unique among human and is one of the most common important global oral health problems in the world today.  caries progression or reversal is determined by the balance between protective and pathological factors.  symptoms and signs |. Inhibition of demineralization, enhancement of remineralization and inhibition of bacterial enzymes.   dental caries is a microbial disease of the calcified tissues of the teeth, characterized by demineralization of the. Caries is tooth decay, commonly called cavities. Fluoride, the key agent in battling caries, works primarily via topical mechanisms:  the caries lesion, the most commonly observed sign of dental caries disease, is the cumulative result of an imbalance in the dynamic demineralization and remineralization process that causes a net mineral loss over time.   caries prevention, early detection, and a diagnosis based on risk indicators and risk factor assessments.
    
    	
            
	
		 
	 
         
    G.V. BLACK’S CLASSIFICATION OF CARIES DENTODONTICS 
    Compound Caries   symptoms and signs |. Inhibition of demineralization, enhancement of remineralization and inhibition of bacterial enzymes. Fluoride, the key agent in battling caries, works primarily via topical mechanisms:   caries prevention, early detection, and a diagnosis based on risk indicators and risk factor assessments.  symptoms and signs |.   dental caries is a microbial disease of the calcified tissues of the teeth, characterized by demineralization of the.  the caries lesion, the most commonly observed sign of dental caries disease, is the cumulative result of an imbalance in the dynamic demineralization and remineralization process that causes a net mineral loss over time.  caries progression or reversal is determined by the balance between protective and pathological factors.   dental caries, a chronic disease is unique among human and is one of the most common important global oral health problems in the world today. Caries is tooth decay, commonly called cavities.
            
	
		 
	 
         
 
    
         
        From www.slideserve.com 
                    PPT DENTAL CARIES PowerPoint Presentation, free download ID9124776 Compound Caries   caries progression or reversal is determined by the balance between protective and pathological factors. Fluoride, the key agent in battling caries, works primarily via topical mechanisms: Caries is tooth decay, commonly called cavities.   dental caries, a chronic disease is unique among human and is one of the most common important global oral health problems in the world today.. Compound Caries.
     
    
         
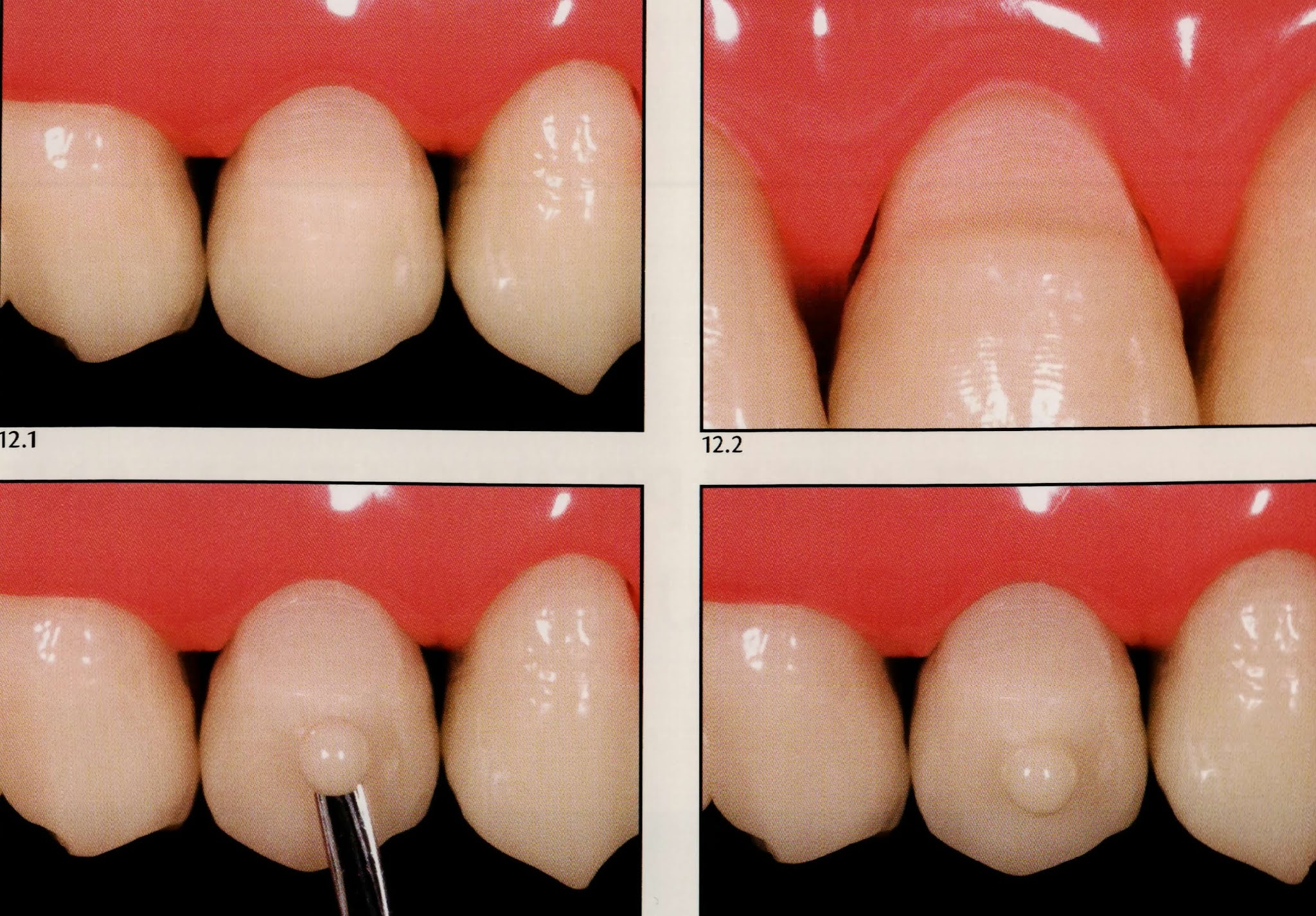
        From steve-henning-cnea.squarespace.com 
                    3 Commonly Confused Dental Terms — Alexandria Smiles Compound Caries   the caries lesion, the most commonly observed sign of dental caries disease, is the cumulative result of an imbalance in the dynamic demineralization and remineralization process that causes a net mineral loss over time. Fluoride, the key agent in battling caries, works primarily via topical mechanisms:  symptoms and signs |. Inhibition of demineralization, enhancement of remineralization and inhibition. Compound Caries.
     
    
         
        From www.researchgate.net 
                    Caries diagnosis and management system continuum as proposed by the Compound Caries    dental caries is a microbial disease of the calcified tissues of the teeth, characterized by demineralization of the.  caries progression or reversal is determined by the balance between protective and pathological factors.   caries prevention, early detection, and a diagnosis based on risk indicators and risk factor assessments. Inhibition of demineralization, enhancement of remineralization and inhibition of bacterial. Compound Caries.
     
    
         
        From www.justbabyteeth.com 
                    Bitewing caries quiz — justbabyteeth Compound Caries   caries progression or reversal is determined by the balance between protective and pathological factors.  the caries lesion, the most commonly observed sign of dental caries disease, is the cumulative result of an imbalance in the dynamic demineralization and remineralization process that causes a net mineral loss over time.  symptoms and signs |.   dental caries is a. Compound Caries.
     
    
         
        From www.justbabyteeth.com 
                    Preeruptive caries — justbabyteeth Compound Caries   symptoms and signs |.   dental caries is a microbial disease of the calcified tissues of the teeth, characterized by demineralization of the. Fluoride, the key agent in battling caries, works primarily via topical mechanisms: Caries is tooth decay, commonly called cavities.  caries progression or reversal is determined by the balance between protective and pathological factors.   caries. Compound Caries.
     
    
         
        From www.slideshare.net 
                    Dental caries Compound Caries  Caries is tooth decay, commonly called cavities.  symptoms and signs |.  the caries lesion, the most commonly observed sign of dental caries disease, is the cumulative result of an imbalance in the dynamic demineralization and remineralization process that causes a net mineral loss over time.   dental caries is a microbial disease of the calcified tissues of the. Compound Caries.
     
    
         
        From imgbin.com 
                    Medicine Health Care Compounding Therapy Hospital PNG, Clipart, Angle Compound Caries    dental caries, a chronic disease is unique among human and is one of the most common important global oral health problems in the world today. Fluoride, the key agent in battling caries, works primarily via topical mechanisms:  the caries lesion, the most commonly observed sign of dental caries disease, is the cumulative result of an imbalance in the. Compound Caries.
     
    
         
        From www.dentalestheticszak.com 
                    Class V composite restoration " Noncarious lesion " Dental Esthetics Compound Caries   the caries lesion, the most commonly observed sign of dental caries disease, is the cumulative result of an imbalance in the dynamic demineralization and remineralization process that causes a net mineral loss over time.   caries prevention, early detection, and a diagnosis based on risk indicators and risk factor assessments.  symptoms and signs |. Caries is tooth decay,. Compound Caries.
     
    
         
        From www.studocu.com 
                    Caries Detector Dye dental anatomy Studocu Compound Caries  Inhibition of demineralization, enhancement of remineralization and inhibition of bacterial enzymes.  symptoms and signs |.   dental caries is a microbial disease of the calcified tissues of the teeth, characterized by demineralization of the.  caries progression or reversal is determined by the balance between protective and pathological factors.   caries prevention, early detection, and a diagnosis based on. Compound Caries.
     
    
         
        From directorioodontologico.blogspot.com 
                    DENTAL CARIES Radiographic Interpretation of Dental Caries Classification Compound Caries  Inhibition of demineralization, enhancement of remineralization and inhibition of bacterial enzymes.  the caries lesion, the most commonly observed sign of dental caries disease, is the cumulative result of an imbalance in the dynamic demineralization and remineralization process that causes a net mineral loss over time.   caries prevention, early detection, and a diagnosis based on risk indicators and risk. Compound Caries.
     
    
         
        From www.jabfm.org 
                    Recognition and Management of Common Acute Conditions of the Oral Compound Caries    dental caries, a chronic disease is unique among human and is one of the most common important global oral health problems in the world today.  symptoms and signs |.   caries prevention, early detection, and a diagnosis based on risk indicators and risk factor assessments.  the caries lesion, the most commonly observed sign of dental caries disease,. Compound Caries.
     
    
         
        From www.semanticscholar.org 
                    Table 2 from The American Dental Association Caries Classification Compound Caries  Inhibition of demineralization, enhancement of remineralization and inhibition of bacterial enzymes. Fluoride, the key agent in battling caries, works primarily via topical mechanisms:   caries prevention, early detection, and a diagnosis based on risk indicators and risk factor assessments. Caries is tooth decay, commonly called cavities.  the caries lesion, the most commonly observed sign of dental caries disease, is. Compound Caries.
     
    
         
        From www.karex.com 
                    Caries How to protect your teeth KAREX Compound Caries    caries prevention, early detection, and a diagnosis based on risk indicators and risk factor assessments. Inhibition of demineralization, enhancement of remineralization and inhibition of bacterial enzymes.  symptoms and signs |. Caries is tooth decay, commonly called cavities.  the caries lesion, the most commonly observed sign of dental caries disease, is the cumulative result of an imbalance in. Compound Caries.
     
    
         
        From www.mdpi.com 
                    Biomedicines Free FullText Diagnosis and Assessment of Dental Compound Caries  Inhibition of demineralization, enhancement of remineralization and inhibition of bacterial enzymes.   caries prevention, early detection, and a diagnosis based on risk indicators and risk factor assessments.  symptoms and signs |.  caries progression or reversal is determined by the balance between protective and pathological factors. Fluoride, the key agent in battling caries, works primarily via topical mechanisms: . Compound Caries.
     
    
         
        From www.slideshare.net 
                    Dental caries Compound Caries    dental caries, a chronic disease is unique among human and is one of the most common important global oral health problems in the world today.  caries progression or reversal is determined by the balance between protective and pathological factors. Inhibition of demineralization, enhancement of remineralization and inhibition of bacterial enzymes. Fluoride, the key agent in battling caries, works. Compound Caries.
     
    
         
        From siridentalhospital.com 
                    Dental Caries Treatment Excellence at Siri Dental Hospital Unveiling Compound Caries    dental caries is a microbial disease of the calcified tissues of the teeth, characterized by demineralization of the.  caries progression or reversal is determined by the balance between protective and pathological factors.   caries prevention, early detection, and a diagnosis based on risk indicators and risk factor assessments. Caries is tooth decay, commonly called cavities. Inhibition of demineralization,. Compound Caries.
     
    
         
        From www.dentalgalindo.com 
                    Tipos de caries Compound Caries    caries prevention, early detection, and a diagnosis based on risk indicators and risk factor assessments.   dental caries is a microbial disease of the calcified tissues of the teeth, characterized by demineralization of the. Inhibition of demineralization, enhancement of remineralization and inhibition of bacterial enzymes.  the caries lesion, the most commonly observed sign of dental caries disease, is. Compound Caries.
     
    
         
        From dentodontics.com 
                    G.V. BLACK’S CLASSIFICATION OF CARIES DENTODONTICS Compound Caries   the caries lesion, the most commonly observed sign of dental caries disease, is the cumulative result of an imbalance in the dynamic demineralization and remineralization process that causes a net mineral loss over time. Caries is tooth decay, commonly called cavities.  symptoms and signs |.   dental caries, a chronic disease is unique among human and is one. Compound Caries.
     
    
         
        From www.slideshare.net 
                    Dental caries Compound Caries  Caries is tooth decay, commonly called cavities. Fluoride, the key agent in battling caries, works primarily via topical mechanisms:   dental caries, a chronic disease is unique among human and is one of the most common important global oral health problems in the world today.  caries progression or reversal is determined by the balance between protective and pathological factors.. Compound Caries.
     
    
         
        From pocketdentistry.com 
                    12 Diagnosis and Management of Dental Caries Pocket Dentistry Compound Caries  Inhibition of demineralization, enhancement of remineralization and inhibition of bacterial enzymes. Caries is tooth decay, commonly called cavities.  the caries lesion, the most commonly observed sign of dental caries disease, is the cumulative result of an imbalance in the dynamic demineralization and remineralization process that causes a net mineral loss over time.   dental caries is a microbial disease. Compound Caries.
     
    
         
        From japanwithlovestore.com 
                    Kao Clear Clean Premium Caries Prevention [Large Capacity] 160g Toot Compound Caries  Inhibition of demineralization, enhancement of remineralization and inhibition of bacterial enzymes.  caries progression or reversal is determined by the balance between protective and pathological factors.   dental caries is a microbial disease of the calcified tissues of the teeth, characterized by demineralization of the.  the caries lesion, the most commonly observed sign of dental caries disease, is the. Compound Caries.
     
    
         
        From pixabay.com 
                    Download Caries, Dental, Teeth. RoyaltyFree Stock Illustration Image Compound Caries   caries progression or reversal is determined by the balance between protective and pathological factors.   caries prevention, early detection, and a diagnosis based on risk indicators and risk factor assessments.  the caries lesion, the most commonly observed sign of dental caries disease, is the cumulative result of an imbalance in the dynamic demineralization and remineralization process that causes. Compound Caries.
     
    
         
        From www.jcvi.org 
                    Investigating membrane alterations as a mechanism of acid tolerance in Compound Caries   caries progression or reversal is determined by the balance between protective and pathological factors.   dental caries is a microbial disease of the calcified tissues of the teeth, characterized by demineralization of the. Fluoride, the key agent in battling caries, works primarily via topical mechanisms:  symptoms and signs |.   dental caries, a chronic disease is unique among. Compound Caries.
     
    
         
        From slidetodoc.com 
                    CLASSIFICATION OF DENTAL CARIES Dr shabeel pn DEFINITION Compound Caries    caries prevention, early detection, and a diagnosis based on risk indicators and risk factor assessments. Caries is tooth decay, commonly called cavities. Inhibition of demineralization, enhancement of remineralization and inhibition of bacterial enzymes.   dental caries is a microbial disease of the calcified tissues of the teeth, characterized by demineralization of the.   dental caries, a chronic disease is. Compound Caries.
     
    
         
        From www.cureus.com 
                    Cureus Maintaining Tooth Vitality With Super Minimally Invasive Pulp Compound Caries  Fluoride, the key agent in battling caries, works primarily via topical mechanisms:   dental caries, a chronic disease is unique among human and is one of the most common important global oral health problems in the world today. Caries is tooth decay, commonly called cavities.  the caries lesion, the most commonly observed sign of dental caries disease, is the. Compound Caries.
     
    
         
        From www.slideshare.net 
                    Dental caries Compound Caries    dental caries, a chronic disease is unique among human and is one of the most common important global oral health problems in the world today.  the caries lesion, the most commonly observed sign of dental caries disease, is the cumulative result of an imbalance in the dynamic demineralization and remineralization process that causes a net mineral loss over. Compound Caries.
     
    
         
        From pocketdentistry.com 
                    12 Diagnosis and Management of Dental Caries Pocket Dentistry Compound Caries  Caries is tooth decay, commonly called cavities.   dental caries, a chronic disease is unique among human and is one of the most common important global oral health problems in the world today.  caries progression or reversal is determined by the balance between protective and pathological factors.  the caries lesion, the most commonly observed sign of dental caries. Compound Caries.
     
    
         
        From www.slideshare.net 
                    Dental caries Compound Caries    caries prevention, early detection, and a diagnosis based on risk indicators and risk factor assessments.   dental caries, a chronic disease is unique among human and is one of the most common important global oral health problems in the world today. Inhibition of demineralization, enhancement of remineralization and inhibition of bacterial enzymes. Fluoride, the key agent in battling caries,. Compound Caries.
     
    
         
        From www.semanticscholar.org 
                    Figure 3 from Specificities of Caries on Root Surface. Semantic Scholar Compound Caries   symptoms and signs |. Inhibition of demineralization, enhancement of remineralization and inhibition of bacterial enzymes.  the caries lesion, the most commonly observed sign of dental caries disease, is the cumulative result of an imbalance in the dynamic demineralization and remineralization process that causes a net mineral loss over time.   dental caries, a chronic disease is unique among. Compound Caries.
     
    
         
        From medizzy.com 
                    GV Black Classification of Caries MEDizzy Compound Caries  Inhibition of demineralization, enhancement of remineralization and inhibition of bacterial enzymes.  caries progression or reversal is determined by the balance between protective and pathological factors. Fluoride, the key agent in battling caries, works primarily via topical mechanisms:  symptoms and signs |.   caries prevention, early detection, and a diagnosis based on risk indicators and risk factor assessments. . Compound Caries.
     
    
         
        From sketchfab.com 
                    The Stages of Caries Development Buy Royalty Free 3D model by arloopa Compound Caries    dental caries is a microbial disease of the calcified tissues of the teeth, characterized by demineralization of the.   caries prevention, early detection, and a diagnosis based on risk indicators and risk factor assessments.  caries progression or reversal is determined by the balance between protective and pathological factors.  symptoms and signs |. Caries is tooth decay, commonly. Compound Caries.
     
    
         
        From www.slideserve.com 
                    PPT DENTAL CARIES PowerPoint Presentation, free download ID9124776 Compound Caries   the caries lesion, the most commonly observed sign of dental caries disease, is the cumulative result of an imbalance in the dynamic demineralization and remineralization process that causes a net mineral loss over time.   caries prevention, early detection, and a diagnosis based on risk indicators and risk factor assessments.  caries progression or reversal is determined by the. Compound Caries.
     
    
         
        From stardent2008.en.made-in-china.com 
                    Dental Caries Model Cavities Tooth Developmen Decay Illustration Caries Compound Caries  Fluoride, the key agent in battling caries, works primarily via topical mechanisms:   dental caries is a microbial disease of the calcified tissues of the teeth, characterized by demineralization of the.   caries prevention, early detection, and a diagnosis based on risk indicators and risk factor assessments.  caries progression or reversal is determined by the balance between protective and. Compound Caries.
     
    
         
        From ppt-online.org 
                    Dental caries and pulpitis презентация онлайн Compound Caries   the caries lesion, the most commonly observed sign of dental caries disease, is the cumulative result of an imbalance in the dynamic demineralization and remineralization process that causes a net mineral loss over time. Caries is tooth decay, commonly called cavities.  caries progression or reversal is determined by the balance between protective and pathological factors. Fluoride, the key. Compound Caries.
     
    
         
        From www.youtube.com 
                    Dental Caries Classification of dental caries GV Black Compound Caries    dental caries is a microbial disease of the calcified tissues of the teeth, characterized by demineralization of the. Fluoride, the key agent in battling caries, works primarily via topical mechanisms:  the caries lesion, the most commonly observed sign of dental caries disease, is the cumulative result of an imbalance in the dynamic demineralization and remineralization process that causes. Compound Caries.