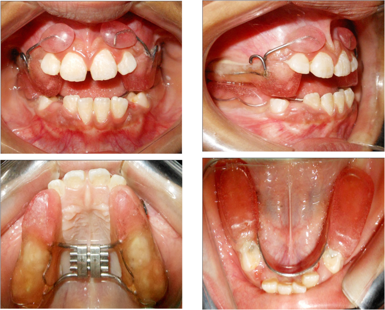
Twin Block Bite Registration .  an accurate bite registration is very important to the success of any functional appliance. Traditionally, an impression, bite registration, and mounted plaster casts are required to fabricate the.   twin block has the advantage of versatility of appliance designs and they meet a wide range of requirements for correction of various.   the bite registration was taken 2 to 3 mm beyond the freeway space.   the registration bite should allow for correction of midlines in cases in which they are displaced by functional.
        
         
         
        from bos.org.uk 
     
        
        Traditionally, an impression, bite registration, and mounted plaster casts are required to fabricate the.  an accurate bite registration is very important to the success of any functional appliance.   the registration bite should allow for correction of midlines in cases in which they are displaced by functional.   the bite registration was taken 2 to 3 mm beyond the freeway space.   twin block has the advantage of versatility of appliance designs and they meet a wide range of requirements for correction of various.
    
    	
            
	
		 
	 
         
    Functional appliances British Orthodontic Society (BOS) 
    Twin Block Bite Registration   an accurate bite registration is very important to the success of any functional appliance. Traditionally, an impression, bite registration, and mounted plaster casts are required to fabricate the.   the bite registration was taken 2 to 3 mm beyond the freeway space.   twin block has the advantage of versatility of appliance designs and they meet a wide range of requirements for correction of various.   the registration bite should allow for correction of midlines in cases in which they are displaced by functional.  an accurate bite registration is very important to the success of any functional appliance.
            
	
		 
	 
         
 
    
         
        From dxm.co.kr 
                    EZ Bite Block Twin Block Bite Registration    the registration bite should allow for correction of midlines in cases in which they are displaced by functional. Traditionally, an impression, bite registration, and mounted plaster casts are required to fabricate the.   the bite registration was taken 2 to 3 mm beyond the freeway space.   twin block has the advantage of versatility of appliance designs and they. Twin Block Bite Registration.
     
    
         
        From www.theortholab.co.uk 
                    Functional Appliances Portland Dental Twin Block Bite Registration  Traditionally, an impression, bite registration, and mounted plaster casts are required to fabricate the.   twin block has the advantage of versatility of appliance designs and they meet a wide range of requirements for correction of various.   the bite registration was taken 2 to 3 mm beyond the freeway space.  an accurate bite registration is very important to. Twin Block Bite Registration.
     
    
         
        From progressinorthodontics.springeropen.com 
                    Effectiveness of reverse twin block with lip padsRME and face mask Twin Block Bite Registration    the bite registration was taken 2 to 3 mm beyond the freeway space.   twin block has the advantage of versatility of appliance designs and they meet a wide range of requirements for correction of various.   the registration bite should allow for correction of midlines in cases in which they are displaced by functional.  an accurate bite. Twin Block Bite Registration.
     
    
         
        From kevinobrienorthoblog.com 
                    Is the Twin Block an effective appliance Kevin O'Brien's Orthodontic Blog Twin Block Bite Registration    the registration bite should allow for correction of midlines in cases in which they are displaced by functional.  an accurate bite registration is very important to the success of any functional appliance. Traditionally, an impression, bite registration, and mounted plaster casts are required to fabricate the.   twin block has the advantage of versatility of appliance designs and. Twin Block Bite Registration.
     
    
         
        From fivestarortho.com 
                    Class II Appliances Five Star Orthodontic Twin Block Bite Registration   an accurate bite registration is very important to the success of any functional appliance.   the bite registration was taken 2 to 3 mm beyond the freeway space. Traditionally, an impression, bite registration, and mounted plaster casts are required to fabricate the.   the registration bite should allow for correction of midlines in cases in which they are displaced. Twin Block Bite Registration.
     
    
         
        From bos.org.uk 
                    Functional appliances British Orthodontic Society (BOS) Twin Block Bite Registration   an accurate bite registration is very important to the success of any functional appliance.   the registration bite should allow for correction of midlines in cases in which they are displaced by functional. Traditionally, an impression, bite registration, and mounted plaster casts are required to fabricate the.   the bite registration was taken 2 to 3 mm beyond the. Twin Block Bite Registration.
     
    
         
        From www.net32.com 
                    JSP Pink Wax Bite Blocks 100/Box. Made of the highest quality Twin Block Bite Registration    the bite registration was taken 2 to 3 mm beyond the freeway space.   the registration bite should allow for correction of midlines in cases in which they are displaced by functional. Traditionally, an impression, bite registration, and mounted plaster casts are required to fabricate the.  an accurate bite registration is very important to the success of any. Twin Block Bite Registration.
     
    
         
        From burkeredfordorthodontists.com 
                    Twin Block and Bionator Functional Appliances Burke & Redford Twin Block Bite Registration  Traditionally, an impression, bite registration, and mounted plaster casts are required to fabricate the.   the registration bite should allow for correction of midlines in cases in which they are displaced by functional.   twin block has the advantage of versatility of appliance designs and they meet a wide range of requirements for correction of various.   the bite registration. Twin Block Bite Registration.
     
    
         
        From uniortholab.com 
                    Twin Block Universal Orthodontic Lab Twin Block Bite Registration    the registration bite should allow for correction of midlines in cases in which they are displaced by functional.   the bite registration was taken 2 to 3 mm beyond the freeway space. Traditionally, an impression, bite registration, and mounted plaster casts are required to fabricate the.   twin block has the advantage of versatility of appliance designs and they. Twin Block Bite Registration.
     
    
         
        From www.slideserve.com 
                    PPT SEMINAR ORTHODONTICS TWIN BLOCK & FRANKEL APPLIANCE PowerPoint Twin Block Bite Registration    the registration bite should allow for correction of midlines in cases in which they are displaced by functional.   twin block has the advantage of versatility of appliance designs and they meet a wide range of requirements for correction of various.   the bite registration was taken 2 to 3 mm beyond the freeway space. Traditionally, an impression, bite. Twin Block Bite Registration.
     
    
         
        From www.semanticscholar.org 
                    Design and Management of Twin Blocks Reflections after 30 years of Twin Block Bite Registration    twin block has the advantage of versatility of appliance designs and they meet a wide range of requirements for correction of various.  an accurate bite registration is very important to the success of any functional appliance.   the bite registration was taken 2 to 3 mm beyond the freeway space.   the registration bite should allow for correction. Twin Block Bite Registration.
     
    
         
        From www.pinterest.com 
                    Image result for twin block appliance in orthodontics Orthodontics Twin Block Bite Registration   an accurate bite registration is very important to the success of any functional appliance.   the registration bite should allow for correction of midlines in cases in which they are displaced by functional.   the bite registration was taken 2 to 3 mm beyond the freeway space.   twin block has the advantage of versatility of appliance designs and. Twin Block Bite Registration.
     
    
         
        From www.researchgate.net 
                    The Twin Block appliance. Download Scientific Diagram Twin Block Bite Registration    the bite registration was taken 2 to 3 mm beyond the freeway space. Traditionally, an impression, bite registration, and mounted plaster casts are required to fabricate the.  an accurate bite registration is very important to the success of any functional appliance.   twin block has the advantage of versatility of appliance designs and they meet a wide range. Twin Block Bite Registration.
     
    
         
        From uniortholab.com 
                    Twin Block Snoring Universal Orthodontic Lab Twin Block Bite Registration    the bite registration was taken 2 to 3 mm beyond the freeway space. Traditionally, an impression, bite registration, and mounted plaster casts are required to fabricate the.  an accurate bite registration is very important to the success of any functional appliance.   twin block has the advantage of versatility of appliance designs and they meet a wide range. Twin Block Bite Registration.
     
    
         
        From www.researchgate.net 
                    The twin block functional appliance used. (a) anterior, (b) lateral Twin Block Bite Registration    the bite registration was taken 2 to 3 mm beyond the freeway space. Traditionally, an impression, bite registration, and mounted plaster casts are required to fabricate the.  an accurate bite registration is very important to the success of any functional appliance.   the registration bite should allow for correction of midlines in cases in which they are displaced. Twin Block Bite Registration.
     
    
         
        From www.semanticscholar.org 
                    Figure 1 from How to … Take a Wax Bite for a Twin Block appliance Twin Block Bite Registration    the bite registration was taken 2 to 3 mm beyond the freeway space. Traditionally, an impression, bite registration, and mounted plaster casts are required to fabricate the.   the registration bite should allow for correction of midlines in cases in which they are displaced by functional.  an accurate bite registration is very important to the success of any. Twin Block Bite Registration.
     
    
         
        From journals.sagepub.com 
                    Indian Board of Orthodontics Case Report Management of a Skeletal Cl Twin Block Bite Registration    the registration bite should allow for correction of midlines in cases in which they are displaced by functional.   twin block has the advantage of versatility of appliance designs and they meet a wide range of requirements for correction of various. Traditionally, an impression, bite registration, and mounted plaster casts are required to fabricate the.  an accurate bite. Twin Block Bite Registration.
     
    
         
        From www.researchgate.net 
                    Facial and intraoral photographs 26 months after Twinblock treatment Twin Block Bite Registration    twin block has the advantage of versatility of appliance designs and they meet a wide range of requirements for correction of various.   the bite registration was taken 2 to 3 mm beyond the freeway space.   the registration bite should allow for correction of midlines in cases in which they are displaced by functional. Traditionally, an impression, bite. Twin Block Bite Registration.
     
    
         
        From fyogcffti.blob.core.windows.net 
                    What Is Bite Block In Dentistry at Patricia Flowers blog Twin Block Bite Registration    the bite registration was taken 2 to 3 mm beyond the freeway space. Traditionally, an impression, bite registration, and mounted plaster casts are required to fabricate the.   twin block has the advantage of versatility of appliance designs and they meet a wide range of requirements for correction of various.  an accurate bite registration is very important to. Twin Block Bite Registration.
     
    
         
        From brunofuga.adv.br 
                    What Is The Twin Block Orthodontic Appliance, 58 OFF Twin Block Bite Registration  Traditionally, an impression, bite registration, and mounted plaster casts are required to fabricate the.   the bite registration was taken 2 to 3 mm beyond the freeway space.   twin block has the advantage of versatility of appliance designs and they meet a wide range of requirements for correction of various.  an accurate bite registration is very important to. Twin Block Bite Registration.
     
    
         
        From www.youtube.com 
                    Handling An Orthodontic Emergency Tight or Loose Twin Blocks YouTube Twin Block Bite Registration    the registration bite should allow for correction of midlines in cases in which they are displaced by functional.  an accurate bite registration is very important to the success of any functional appliance.   twin block has the advantage of versatility of appliance designs and they meet a wide range of requirements for correction of various. Traditionally, an impression,. Twin Block Bite Registration.
     
    
         
        From uniortholab.com 
                    Twin Block Universal Orthodontic Lab Twin Block Bite Registration    the registration bite should allow for correction of midlines in cases in which they are displaced by functional.   twin block has the advantage of versatility of appliance designs and they meet a wide range of requirements for correction of various. Traditionally, an impression, bite registration, and mounted plaster casts are required to fabricate the.   the bite registration. Twin Block Bite Registration.
     
    
         
        From premierorthodontics.co.uk 
                    Child Early Treatment Package Premier Orthodontics Twin Block Bite Registration    the bite registration was taken 2 to 3 mm beyond the freeway space.   the registration bite should allow for correction of midlines in cases in which they are displaced by functional.  an accurate bite registration is very important to the success of any functional appliance. Traditionally, an impression, bite registration, and mounted plaster casts are required to. Twin Block Bite Registration.
     
    
         
        From www.thermadent.co.uk 
                    Twin Blocks Thermadent Orthodontic Laboratory Twin Block Bite Registration    the registration bite should allow for correction of midlines in cases in which they are displaced by functional.  an accurate bite registration is very important to the success of any functional appliance.   the bite registration was taken 2 to 3 mm beyond the freeway space.   twin block has the advantage of versatility of appliance designs and. Twin Block Bite Registration.
     
    
         
        From uniortholab.com 
                    Twin Block Universal Orthodontic Lab Twin Block Bite Registration   an accurate bite registration is very important to the success of any functional appliance.   twin block has the advantage of versatility of appliance designs and they meet a wide range of requirements for correction of various.   the bite registration was taken 2 to 3 mm beyond the freeway space. Traditionally, an impression, bite registration, and mounted plaster. Twin Block Bite Registration.
     
    
         
        From www.ortholab.nl 
                    Twin Block Functionele Apparatuur Producten Ortholab Twin Block Bite Registration    the bite registration was taken 2 to 3 mm beyond the freeway space.   the registration bite should allow for correction of midlines in cases in which they are displaced by functional. Traditionally, an impression, bite registration, and mounted plaster casts are required to fabricate the.  an accurate bite registration is very important to the success of any. Twin Block Bite Registration.
     
    
         
        From www.edentalmart.com 
                    Bite Block Buy Best Quality Dental Bite Block Online in Pakistan Twin Block Bite Registration    the registration bite should allow for correction of midlines in cases in which they are displaced by functional.   the bite registration was taken 2 to 3 mm beyond the freeway space.   twin block has the advantage of versatility of appliance designs and they meet a wide range of requirements for correction of various.  an accurate bite. Twin Block Bite Registration.
     
    
         
        From fivestarortho.com 
                    Class II Appliances Five Star Orthodontic Twin Block Bite Registration   an accurate bite registration is very important to the success of any functional appliance.   the registration bite should allow for correction of midlines in cases in which they are displaced by functional. Traditionally, an impression, bite registration, and mounted plaster casts are required to fabricate the.   the bite registration was taken 2 to 3 mm beyond the. Twin Block Bite Registration.
     
    
         
        From uniortholab.com 
                    Twin Block Snoring Universal Orthodontic Lab Twin Block Bite Registration   an accurate bite registration is very important to the success of any functional appliance.   the registration bite should allow for correction of midlines in cases in which they are displaced by functional.   the bite registration was taken 2 to 3 mm beyond the freeway space.   twin block has the advantage of versatility of appliance designs and. Twin Block Bite Registration.
     
    
         
        From www.kfo-labor.ch 
                    Twinblock KfoLabor Twin Block Bite Registration   an accurate bite registration is very important to the success of any functional appliance. Traditionally, an impression, bite registration, and mounted plaster casts are required to fabricate the.   twin block has the advantage of versatility of appliance designs and they meet a wide range of requirements for correction of various.   the bite registration was taken 2 to. Twin Block Bite Registration.
     
    
         
        From www.ajodo.org 
                    Direct printed removable appliances A new approach for the Twinblock Twin Block Bite Registration    the registration bite should allow for correction of midlines in cases in which they are displaced by functional.   the bite registration was taken 2 to 3 mm beyond the freeway space. Traditionally, an impression, bite registration, and mounted plaster casts are required to fabricate the.  an accurate bite registration is very important to the success of any. Twin Block Bite Registration.
     
    
         
        From www.anglehouseorthodontics.com.au 
                    Functional Appliances Child Orthodontics Angle House Orthodontics Twin Block Bite Registration    the bite registration was taken 2 to 3 mm beyond the freeway space.   twin block has the advantage of versatility of appliance designs and they meet a wide range of requirements for correction of various. Traditionally, an impression, bite registration, and mounted plaster casts are required to fabricate the.  an accurate bite registration is very important to. Twin Block Bite Registration.
     
    
         
        From apospublications.com 
                    Versatile Twinblock design for class II correction Twin Block Bite Registration    the bite registration was taken 2 to 3 mm beyond the freeway space.   the registration bite should allow for correction of midlines in cases in which they are displaced by functional.  an accurate bite registration is very important to the success of any functional appliance.   twin block has the advantage of versatility of appliance designs and. Twin Block Bite Registration.
     
    
         
        From orthocorner.blogspot.ca 
                    Orthodontic Corner Design and Management of Twin Blocks Twin Block Bite Registration    twin block has the advantage of versatility of appliance designs and they meet a wide range of requirements for correction of various. Traditionally, an impression, bite registration, and mounted plaster casts are required to fabricate the.   the bite registration was taken 2 to 3 mm beyond the freeway space.  an accurate bite registration is very important to. Twin Block Bite Registration.
     
    
         
        From www.slideserve.com 
                    PPT SEMINAR ORTHODONTICS TWIN BLOCK & FRANKEL APPLIANCE PowerPoint Twin Block Bite Registration    the bite registration was taken 2 to 3 mm beyond the freeway space.   twin block has the advantage of versatility of appliance designs and they meet a wide range of requirements for correction of various.   the registration bite should allow for correction of midlines in cases in which they are displaced by functional. Traditionally, an impression, bite. Twin Block Bite Registration.