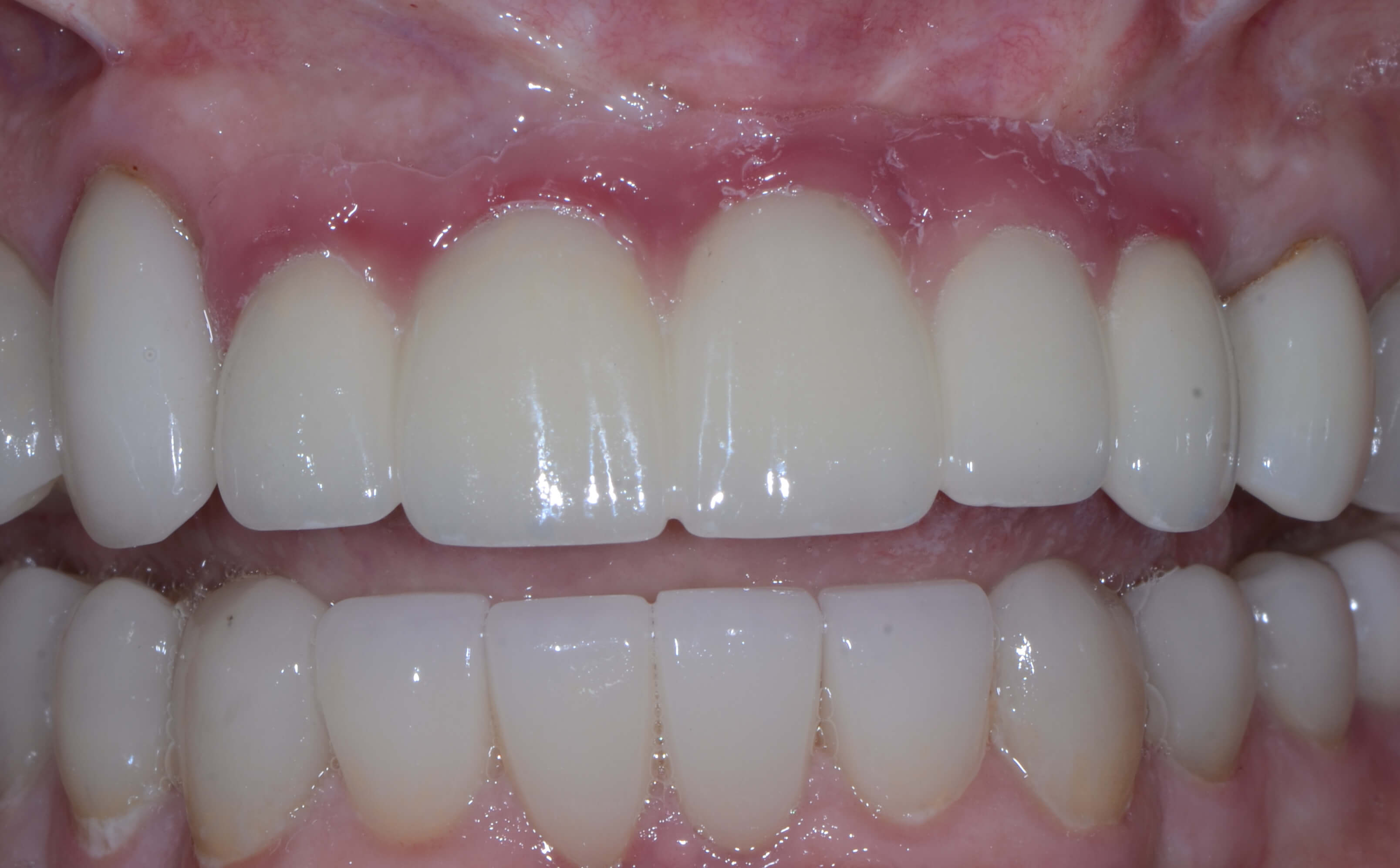
Pink Composite Filling Material . It can work exceptionally well to help replace a missing papilla. Spear states that the first type of composite material in the market was macrofills, containing particles ranging Composite fillings have a more natural appearance than other options. Composite resin may not last as long as other kinds of fillings. Like other kinds of fillings, they’re intended to treat cavities. The composite material can be customized to match the shade of your tooth, so they’re almost unnoticeable to anyone who. Composite fillings are a popular option for treating cavities due to their natural appearance and ability to blend with the. Pink composite can also be used as a definitive restorative material. Composite materials, commonly used for dental restorations, help to act as a filler for tooth cavities and chipped teeth.
from optident.co.uk
Composite resin may not last as long as other kinds of fillings. Like other kinds of fillings, they’re intended to treat cavities. Composite fillings are a popular option for treating cavities due to their natural appearance and ability to blend with the. Pink composite can also be used as a definitive restorative material. Composite fillings have a more natural appearance than other options. Spear states that the first type of composite material in the market was macrofills, containing particles ranging It can work exceptionally well to help replace a missing papilla. The composite material can be customized to match the shade of your tooth, so they’re almost unnoticeable to anyone who. Composite materials, commonly used for dental restorations, help to act as a filler for tooth cavities and chipped teeth.
Permaflo Pink Optident Specialist Dental Products And Courses
Pink Composite Filling Material Composite fillings have a more natural appearance than other options. Spear states that the first type of composite material in the market was macrofills, containing particles ranging Composite fillings are a popular option for treating cavities due to their natural appearance and ability to blend with the. Like other kinds of fillings, they’re intended to treat cavities. It can work exceptionally well to help replace a missing papilla. Composite fillings have a more natural appearance than other options. Composite materials, commonly used for dental restorations, help to act as a filler for tooth cavities and chipped teeth. The composite material can be customized to match the shade of your tooth, so they’re almost unnoticeable to anyone who. Pink composite can also be used as a definitive restorative material. Composite resin may not last as long as other kinds of fillings.
From www.alibaba.com
Dental Composite Material Full Fill With Flexible Valplast Pink Resin Pink Composite Filling Material Composite resin may not last as long as other kinds of fillings. Pink composite can also be used as a definitive restorative material. Composite fillings have a more natural appearance than other options. Composite fillings are a popular option for treating cavities due to their natural appearance and ability to blend with the. Composite materials, commonly used for dental restorations,. Pink Composite Filling Material.
From www.medcohealthco.com
Composite Fillings Medco Healthco Stay Safe and Healthy Pink Composite Filling Material Spear states that the first type of composite material in the market was macrofills, containing particles ranging The composite material can be customized to match the shade of your tooth, so they’re almost unnoticeable to anyone who. It can work exceptionally well to help replace a missing papilla. Composite materials, commonly used for dental restorations, help to act as a. Pink Composite Filling Material.
From www.thedentalguide.net
What is a Composite Filling? The Dental Guide Pink Composite Filling Material Composite resin may not last as long as other kinds of fillings. Composite materials, commonly used for dental restorations, help to act as a filler for tooth cavities and chipped teeth. Pink composite can also be used as a definitive restorative material. The composite material can be customized to match the shade of your tooth, so they’re almost unnoticeable to. Pink Composite Filling Material.
From akardental.com
Composite Fillings in Antalya Akar Dental Pink Composite Filling Material Composite fillings have a more natural appearance than other options. It can work exceptionally well to help replace a missing papilla. Spear states that the first type of composite material in the market was macrofills, containing particles ranging Composite resin may not last as long as other kinds of fillings. Composite fillings are a popular option for treating cavities due. Pink Composite Filling Material.
From www.bdent.eu
Dental Composite Fillings B.DENT clinic Zagreb Croatia Pink Composite Filling Material Spear states that the first type of composite material in the market was macrofills, containing particles ranging Composite materials, commonly used for dental restorations, help to act as a filler for tooth cavities and chipped teeth. Composite fillings are a popular option for treating cavities due to their natural appearance and ability to blend with the. It can work exceptionally. Pink Composite Filling Material.
From www.hovedentalclinic.co.uk
Composite Fillings All You Need to Know About Materials and Treatment Pink Composite Filling Material The composite material can be customized to match the shade of your tooth, so they’re almost unnoticeable to anyone who. It can work exceptionally well to help replace a missing papilla. Composite resin may not last as long as other kinds of fillings. Composite fillings are a popular option for treating cavities due to their natural appearance and ability to. Pink Composite Filling Material.
From www.lazada.com.ph
Ultradent PermaFlo™ Pink Gingiva Shade Flowable Composite Dental Pink Composite Filling Material Composite fillings are a popular option for treating cavities due to their natural appearance and ability to blend with the. Composite materials, commonly used for dental restorations, help to act as a filler for tooth cavities and chipped teeth. Composite fillings have a more natural appearance than other options. Pink composite can also be used as a definitive restorative material.. Pink Composite Filling Material.
From optident.co.uk
Permaflo Pink Optident Specialist Dental Products And Courses Pink Composite Filling Material Composite materials, commonly used for dental restorations, help to act as a filler for tooth cavities and chipped teeth. Composite fillings have a more natural appearance than other options. The composite material can be customized to match the shade of your tooth, so they’re almost unnoticeable to anyone who. Pink composite can also be used as a definitive restorative material.. Pink Composite Filling Material.
From summitdentistryspokane.com
Everything You Need To Know About Composite Fillings Pink Composite Filling Material It can work exceptionally well to help replace a missing papilla. The composite material can be customized to match the shade of your tooth, so they’re almost unnoticeable to anyone who. Like other kinds of fillings, they’re intended to treat cavities. Pink composite can also be used as a definitive restorative material. Composite resin may not last as long as. Pink Composite Filling Material.
From pacificspecialties.com.au
SX45 Laboratory Products Pacific Dental Specialties Pink Composite Filling Material Composite resin may not last as long as other kinds of fillings. Spear states that the first type of composite material in the market was macrofills, containing particles ranging Pink composite can also be used as a definitive restorative material. Composite materials, commonly used for dental restorations, help to act as a filler for tooth cavities and chipped teeth. Composite. Pink Composite Filling Material.
From northwoods-dental.com
Composite ToothColored Fillings • Northwoods Dental Spa Pink Composite Filling Material Spear states that the first type of composite material in the market was macrofills, containing particles ranging Composite resin may not last as long as other kinds of fillings. Pink composite can also be used as a definitive restorative material. Composite fillings have a more natural appearance than other options. It can work exceptionally well to help replace a missing. Pink Composite Filling Material.
From stomadent.ru
PRIZMAFIL lightcure composites Product Catalogue StomaDent Pink Composite Filling Material Spear states that the first type of composite material in the market was macrofills, containing particles ranging Composite materials, commonly used for dental restorations, help to act as a filler for tooth cavities and chipped teeth. Like other kinds of fillings, they’re intended to treat cavities. Pink composite can also be used as a definitive restorative material. The composite material. Pink Composite Filling Material.
From primeradentalhub.com
Ultradent Permaflo Pink Refills & Kit Flowable Composite Pink Pink Composite Filling Material It can work exceptionally well to help replace a missing papilla. Composite materials, commonly used for dental restorations, help to act as a filler for tooth cavities and chipped teeth. Composite fillings have a more natural appearance than other options. Like other kinds of fillings, they’re intended to treat cavities. Composite resin may not last as long as other kinds. Pink Composite Filling Material.
From www.positivelypda.com
Palmetto Dental Associates — Toothcolored Fillings Pink Composite Filling Material The composite material can be customized to match the shade of your tooth, so they’re almost unnoticeable to anyone who. Spear states that the first type of composite material in the market was macrofills, containing particles ranging Composite resin may not last as long as other kinds of fillings. Composite fillings have a more natural appearance than other options. It. Pink Composite Filling Material.
From championsdental.com
Dental Composite Fillings Champions Dental Pink Composite Filling Material Composite fillings are a popular option for treating cavities due to their natural appearance and ability to blend with the. Composite materials, commonly used for dental restorations, help to act as a filler for tooth cavities and chipped teeth. It can work exceptionally well to help replace a missing papilla. Composite resin may not last as long as other kinds. Pink Composite Filling Material.
From childrensdentistryofmurfreesboro.com
ToothColored Fillings for Children Murfreesboro, TN Children's Pink Composite Filling Material Like other kinds of fillings, they’re intended to treat cavities. The composite material can be customized to match the shade of your tooth, so they’re almost unnoticeable to anyone who. Composite resin may not last as long as other kinds of fillings. Composite fillings are a popular option for treating cavities due to their natural appearance and ability to blend. Pink Composite Filling Material.
From rockridgefamilydentistry.com
Composite Fillings Rock Ridge Family Dental in Round Rock, TX Pink Composite Filling Material Composite fillings are a popular option for treating cavities due to their natural appearance and ability to blend with the. Composite materials, commonly used for dental restorations, help to act as a filler for tooth cavities and chipped teeth. Like other kinds of fillings, they’re intended to treat cavities. Composite resin may not last as long as other kinds of. Pink Composite Filling Material.
From gioumniul.blob.core.windows.net
Composite Dental Filling Material Uk at Melinda Wylie blog Pink Composite Filling Material Like other kinds of fillings, they’re intended to treat cavities. Composite fillings are a popular option for treating cavities due to their natural appearance and ability to blend with the. It can work exceptionally well to help replace a missing papilla. Composite fillings have a more natural appearance than other options. Pink composite can also be used as a definitive. Pink Composite Filling Material.
From www.comfortdentistrytx.com
Composite Fillings Comfort Dentistry Cosmetic & Family Dentist Pink Composite Filling Material Composite fillings have a more natural appearance than other options. Spear states that the first type of composite material in the market was macrofills, containing particles ranging Pink composite can also be used as a definitive restorative material. Composite materials, commonly used for dental restorations, help to act as a filler for tooth cavities and chipped teeth. The composite material. Pink Composite Filling Material.
From yesdentalcare.org
What is Composite Fillings? Tooth Colored Fillings YES Dental Care Pink Composite Filling Material Composite fillings have a more natural appearance than other options. It can work exceptionally well to help replace a missing papilla. Pink composite can also be used as a definitive restorative material. Composite resin may not last as long as other kinds of fillings. Spear states that the first type of composite material in the market was macrofills, containing particles. Pink Composite Filling Material.
From akardental.com
Composite Fillings in Antalya Akar Dental Pink Composite Filling Material It can work exceptionally well to help replace a missing papilla. The composite material can be customized to match the shade of your tooth, so they’re almost unnoticeable to anyone who. Composite fillings have a more natural appearance than other options. Like other kinds of fillings, they’re intended to treat cavities. Composite fillings are a popular option for treating cavities. Pink Composite Filling Material.
From www.homedepot.com
NewTechWood 1 in. x 6 in. x 8 ft. Seoul Pink Solid Composite Decking Pink Composite Filling Material Composite fillings have a more natural appearance than other options. Composite resin may not last as long as other kinds of fillings. Composite fillings are a popular option for treating cavities due to their natural appearance and ability to blend with the. Spear states that the first type of composite material in the market was macrofills, containing particles ranging Pink. Pink Composite Filling Material.
From www.youtube.com
Dental Treatment Pink Composite Aug 22, 2023 YouTube Pink Composite Filling Material Composite resin may not last as long as other kinds of fillings. It can work exceptionally well to help replace a missing papilla. The composite material can be customized to match the shade of your tooth, so they’re almost unnoticeable to anyone who. Composite materials, commonly used for dental restorations, help to act as a filler for tooth cavities and. Pink Composite Filling Material.
From zzlinker.en.made-in-china.com
Nanofil Composite 4.5g Dental Filling Material Resin Light Cure Pink Composite Filling Material Spear states that the first type of composite material in the market was macrofills, containing particles ranging Composite materials, commonly used for dental restorations, help to act as a filler for tooth cavities and chipped teeth. The composite material can be customized to match the shade of your tooth, so they’re almost unnoticeable to anyone who. It can work exceptionally. Pink Composite Filling Material.
From restorativenation.com
Utilizing Pink Composite for Tissue Replacement Restorative Nation Pink Composite Filling Material Like other kinds of fillings, they’re intended to treat cavities. Composite resin may not last as long as other kinds of fillings. Composite materials, commonly used for dental restorations, help to act as a filler for tooth cavities and chipped teeth. It can work exceptionally well to help replace a missing papilla. Pink composite can also be used as a. Pink Composite Filling Material.
From revivedental.com
DigitalDDS Live Courses Revive Dental Implant Center Pink Composite Filling Material Composite materials, commonly used for dental restorations, help to act as a filler for tooth cavities and chipped teeth. Like other kinds of fillings, they’re intended to treat cavities. The composite material can be customized to match the shade of your tooth, so they’re almost unnoticeable to anyone who. Pink composite can also be used as a definitive restorative material.. Pink Composite Filling Material.
From www.pinterest.jp
Correcting a gum recession. Removal of old pink composite. Endo Pink Composite Filling Material It can work exceptionally well to help replace a missing papilla. Spear states that the first type of composite material in the market was macrofills, containing particles ranging Composite fillings have a more natural appearance than other options. Composite resin may not last as long as other kinds of fillings. Pink composite can also be used as a definitive restorative. Pink Composite Filling Material.
From acorndentistryforkids.com
The 3 Steps Of A Composite Filling Acorn Dentistry For Kids Pink Composite Filling Material It can work exceptionally well to help replace a missing papilla. Composite materials, commonly used for dental restorations, help to act as a filler for tooth cavities and chipped teeth. Like other kinds of fillings, they’re intended to treat cavities. Spear states that the first type of composite material in the market was macrofills, containing particles ranging Pink composite can. Pink Composite Filling Material.
From bethesdafamilydentistry.com
5 Facts About Composite Fillings Bethesda Family Dentistry Pink Composite Filling Material Composite materials, commonly used for dental restorations, help to act as a filler for tooth cavities and chipped teeth. Composite resin may not last as long as other kinds of fillings. Pink composite can also be used as a definitive restorative material. Spear states that the first type of composite material in the market was macrofills, containing particles ranging Like. Pink Composite Filling Material.
From optident.co.uk
Permaflo Pink Optident Specialist Dental Products And Courses Pink Composite Filling Material Composite fillings have a more natural appearance than other options. Composite resin may not last as long as other kinds of fillings. Spear states that the first type of composite material in the market was macrofills, containing particles ranging Pink composite can also be used as a definitive restorative material. Composite fillings are a popular option for treating cavities due. Pink Composite Filling Material.
From gioumniul.blob.core.windows.net
Composite Dental Filling Material Uk at Melinda Wylie blog Pink Composite Filling Material The composite material can be customized to match the shade of your tooth, so they’re almost unnoticeable to anyone who. Composite resin may not last as long as other kinds of fillings. Spear states that the first type of composite material in the market was macrofills, containing particles ranging Like other kinds of fillings, they’re intended to treat cavities. Composite. Pink Composite Filling Material.
From stomadent.ru
lightcure composites Filling materials Product Catalogue StomaDent Pink Composite Filling Material Like other kinds of fillings, they’re intended to treat cavities. Composite materials, commonly used for dental restorations, help to act as a filler for tooth cavities and chipped teeth. The composite material can be customized to match the shade of your tooth, so they’re almost unnoticeable to anyone who. Spear states that the first type of composite material in the. Pink Composite Filling Material.
From acorndentistryforkids.com
The 3 Steps Of A Composite Filling Acorn Dentistry For Kids Pink Composite Filling Material Pink composite can also be used as a definitive restorative material. The composite material can be customized to match the shade of your tooth, so they’re almost unnoticeable to anyone who. It can work exceptionally well to help replace a missing papilla. Composite fillings have a more natural appearance than other options. Composite materials, commonly used for dental restorations, help. Pink Composite Filling Material.
From www.youtube.com
COMPOSITE PINK GINGIVA STEP BY STEP.wmv YouTube Pink Composite Filling Material Composite fillings are a popular option for treating cavities due to their natural appearance and ability to blend with the. It can work exceptionally well to help replace a missing papilla. Composite fillings have a more natural appearance than other options. Spear states that the first type of composite material in the market was macrofills, containing particles ranging Composite resin. Pink Composite Filling Material.
From www.sevenoaksdentalcentre.com
Tooth Colored Fillings Seven Oaks Dental Centre Pink Composite Filling Material It can work exceptionally well to help replace a missing papilla. Spear states that the first type of composite material in the market was macrofills, containing particles ranging Pink composite can also be used as a definitive restorative material. Composite fillings have a more natural appearance than other options. Composite resin may not last as long as other kinds of. Pink Composite Filling Material.