Adrenal Cortical Cancer Survival Rate . How common are adrenal cancers? This means that up to 60% of people with this disease will still. Because there are so few people with acc,. Adrenal tumors are found in about 1 in every 10 people who have an imaging test (like a ct or. Doctors estimate acc survival rates by how groups of people with acc have done in the past. The majority of patients with acc present with advanced disease (34% with stage iii disease and 26% with stage iv disease) with the most common sites of metastatic.
from causenta.com
The majority of patients with acc present with advanced disease (34% with stage iii disease and 26% with stage iv disease) with the most common sites of metastatic. Doctors estimate acc survival rates by how groups of people with acc have done in the past. Adrenal tumors are found in about 1 in every 10 people who have an imaging test (like a ct or. Because there are so few people with acc,. This means that up to 60% of people with this disease will still. How common are adrenal cancers?
Adrenal Cortical Cancer Video Causenta Cancer Treatment Center in
Adrenal Cortical Cancer Survival Rate Because there are so few people with acc,. How common are adrenal cancers? Adrenal tumors are found in about 1 in every 10 people who have an imaging test (like a ct or. Because there are so few people with acc,. The majority of patients with acc present with advanced disease (34% with stage iii disease and 26% with stage iv disease) with the most common sites of metastatic. Doctors estimate acc survival rates by how groups of people with acc have done in the past. This means that up to 60% of people with this disease will still.
From doctorlib.info
Disorders of the Adrenal Cortex Pathophysiology of Disease An Adrenal Cortical Cancer Survival Rate How common are adrenal cancers? This means that up to 60% of people with this disease will still. Doctors estimate acc survival rates by how groups of people with acc have done in the past. Because there are so few people with acc,. The majority of patients with acc present with advanced disease (34% with stage iii disease and 26%. Adrenal Cortical Cancer Survival Rate.
From www.researchgate.net
Overall survival of the adrenocortical carcinoma study patients Adrenal Cortical Cancer Survival Rate Because there are so few people with acc,. Doctors estimate acc survival rates by how groups of people with acc have done in the past. The majority of patients with acc present with advanced disease (34% with stage iii disease and 26% with stage iv disease) with the most common sites of metastatic. Adrenal tumors are found in about 1. Adrenal Cortical Cancer Survival Rate.
From www.pathologyoutlines.com
Pathology Outlines Adrenal cortical carcinoma Adrenal Cortical Cancer Survival Rate This means that up to 60% of people with this disease will still. The majority of patients with acc present with advanced disease (34% with stage iii disease and 26% with stage iv disease) with the most common sites of metastatic. Doctors estimate acc survival rates by how groups of people with acc have done in the past. Because there. Adrenal Cortical Cancer Survival Rate.
From www.mdpi.com
Medicina Free FullText A Case of Oncocytic Adrenal Cortical Adrenal Cortical Cancer Survival Rate Adrenal tumors are found in about 1 in every 10 people who have an imaging test (like a ct or. This means that up to 60% of people with this disease will still. How common are adrenal cancers? Because there are so few people with acc,. Doctors estimate acc survival rates by how groups of people with acc have done. Adrenal Cortical Cancer Survival Rate.
From txhospitals.in
Diagnostic Process of Adrenal Gland Disorders at TX Hospitals Adrenal Cortical Cancer Survival Rate How common are adrenal cancers? Adrenal tumors are found in about 1 in every 10 people who have an imaging test (like a ct or. Because there are so few people with acc,. This means that up to 60% of people with this disease will still. Doctors estimate acc survival rates by how groups of people with acc have done. Adrenal Cortical Cancer Survival Rate.
From cancerwalls.blogspot.com
Adrenal Gland Cancer Survival Rate CancerWalls Adrenal Cortical Cancer Survival Rate The majority of patients with acc present with advanced disease (34% with stage iii disease and 26% with stage iv disease) with the most common sites of metastatic. Adrenal tumors are found in about 1 in every 10 people who have an imaging test (like a ct or. Because there are so few people with acc,. This means that up. Adrenal Cortical Cancer Survival Rate.
From www.pathologyoutlines.com
Pathology Outlines Adrenal cortical carcinoma Adrenal Cortical Cancer Survival Rate Doctors estimate acc survival rates by how groups of people with acc have done in the past. Because there are so few people with acc,. The majority of patients with acc present with advanced disease (34% with stage iii disease and 26% with stage iv disease) with the most common sites of metastatic. How common are adrenal cancers? Adrenal tumors. Adrenal Cortical Cancer Survival Rate.
From cancerwalls.blogspot.com
Adrenal Gland Cancer Survival Rate CancerWalls Adrenal Cortical Cancer Survival Rate Doctors estimate acc survival rates by how groups of people with acc have done in the past. This means that up to 60% of people with this disease will still. Because there are so few people with acc,. Adrenal tumors are found in about 1 in every 10 people who have an imaging test (like a ct or. The majority. Adrenal Cortical Cancer Survival Rate.
From www.netmeds.com
Adrenal Cancer Causes, Symptoms and Treatment Adrenal Cortical Cancer Survival Rate Adrenal tumors are found in about 1 in every 10 people who have an imaging test (like a ct or. Because there are so few people with acc,. This means that up to 60% of people with this disease will still. Doctors estimate acc survival rates by how groups of people with acc have done in the past. How common. Adrenal Cortical Cancer Survival Rate.
From www.nippon.com
Early Detection Crucial Japan’s 10Year Cancer Survival Rate Stands at Adrenal Cortical Cancer Survival Rate How common are adrenal cancers? Doctors estimate acc survival rates by how groups of people with acc have done in the past. Because there are so few people with acc,. This means that up to 60% of people with this disease will still. The majority of patients with acc present with advanced disease (34% with stage iii disease and 26%. Adrenal Cortical Cancer Survival Rate.
From www.frontiersin.org
Frontiers Glucocorticoid regulation of cancer development and progression Adrenal Cortical Cancer Survival Rate The majority of patients with acc present with advanced disease (34% with stage iii disease and 26% with stage iv disease) with the most common sites of metastatic. This means that up to 60% of people with this disease will still. Doctors estimate acc survival rates by how groups of people with acc have done in the past. Adrenal tumors. Adrenal Cortical Cancer Survival Rate.
From www.ctisus.com
Gastrointestinal Learning Modules CT Scanning Adrenal Cortical Cancer Survival Rate Adrenal tumors are found in about 1 in every 10 people who have an imaging test (like a ct or. This means that up to 60% of people with this disease will still. Doctors estimate acc survival rates by how groups of people with acc have done in the past. Because there are so few people with acc,. The majority. Adrenal Cortical Cancer Survival Rate.
From cannabis.net
Medical Cannabis for Adrenal Cortical Cancer Adrenal Cortical Cancer Survival Rate Doctors estimate acc survival rates by how groups of people with acc have done in the past. How common are adrenal cancers? Because there are so few people with acc,. The majority of patients with acc present with advanced disease (34% with stage iii disease and 26% with stage iv disease) with the most common sites of metastatic. Adrenal tumors. Adrenal Cortical Cancer Survival Rate.
From www.ctisus.com
Gastrointestinal Learning Modules CT Scanning Adrenal Cortical Cancer Survival Rate Doctors estimate acc survival rates by how groups of people with acc have done in the past. Adrenal tumors are found in about 1 in every 10 people who have an imaging test (like a ct or. This means that up to 60% of people with this disease will still. How common are adrenal cancers? The majority of patients with. Adrenal Cortical Cancer Survival Rate.
From www.researchgate.net
CT scan of adrenocortical carcinoma showing necrotic right adrenal mass Adrenal Cortical Cancer Survival Rate Adrenal tumors are found in about 1 in every 10 people who have an imaging test (like a ct or. The majority of patients with acc present with advanced disease (34% with stage iii disease and 26% with stage iv disease) with the most common sites of metastatic. Doctors estimate acc survival rates by how groups of people with acc. Adrenal Cortical Cancer Survival Rate.
From www.slideshare.net
Adrenal tumor, classification, management easy explanation Adrenal Cortical Cancer Survival Rate The majority of patients with acc present with advanced disease (34% with stage iii disease and 26% with stage iv disease) with the most common sites of metastatic. Because there are so few people with acc,. How common are adrenal cancers? Doctors estimate acc survival rates by how groups of people with acc have done in the past. Adrenal tumors. Adrenal Cortical Cancer Survival Rate.
From cancerwalls.blogspot.com
Stage 3 Adrenal Cancer Survival Rate CancerWalls Adrenal Cortical Cancer Survival Rate Because there are so few people with acc,. This means that up to 60% of people with this disease will still. How common are adrenal cancers? Doctors estimate acc survival rates by how groups of people with acc have done in the past. The majority of patients with acc present with advanced disease (34% with stage iii disease and 26%. Adrenal Cortical Cancer Survival Rate.
From www.pathologyoutlines.com
Pathology Outlines Adrenal cortical carcinoma Adrenal Cortical Cancer Survival Rate Doctors estimate acc survival rates by how groups of people with acc have done in the past. Because there are so few people with acc,. This means that up to 60% of people with this disease will still. How common are adrenal cancers? The majority of patients with acc present with advanced disease (34% with stage iii disease and 26%. Adrenal Cortical Cancer Survival Rate.
From www.researchgate.net
(PDF) Five new hub genes that have an impact on the survival rate of Adrenal Cortical Cancer Survival Rate Adrenal tumors are found in about 1 in every 10 people who have an imaging test (like a ct or. The majority of patients with acc present with advanced disease (34% with stage iii disease and 26% with stage iv disease) with the most common sites of metastatic. Because there are so few people with acc,. How common are adrenal. Adrenal Cortical Cancer Survival Rate.
From www.nippon.com
Early Detection Crucial Japan’s 10Year Cancer Survival Rate Stands at Adrenal Cortical Cancer Survival Rate How common are adrenal cancers? The majority of patients with acc present with advanced disease (34% with stage iii disease and 26% with stage iv disease) with the most common sites of metastatic. Doctors estimate acc survival rates by how groups of people with acc have done in the past. This means that up to 60% of people with this. Adrenal Cortical Cancer Survival Rate.
From www.researchgate.net
Ageadjusted annual incidence of adrenocortical carcinoma over time Adrenal Cortical Cancer Survival Rate Because there are so few people with acc,. How common are adrenal cancers? This means that up to 60% of people with this disease will still. Doctors estimate acc survival rates by how groups of people with acc have done in the past. Adrenal tumors are found in about 1 in every 10 people who have an imaging test (like. Adrenal Cortical Cancer Survival Rate.
From www.pathologyoutlines.com
Pathology Outlines Adrenal cortical carcinoma Adrenal Cortical Cancer Survival Rate This means that up to 60% of people with this disease will still. Because there are so few people with acc,. The majority of patients with acc present with advanced disease (34% with stage iii disease and 26% with stage iv disease) with the most common sites of metastatic. Doctors estimate acc survival rates by how groups of people with. Adrenal Cortical Cancer Survival Rate.
From cancerwalls.blogspot.com
Adrenal Gland Cancer Survival Rate CancerWalls Adrenal Cortical Cancer Survival Rate Adrenal tumors are found in about 1 in every 10 people who have an imaging test (like a ct or. Doctors estimate acc survival rates by how groups of people with acc have done in the past. The majority of patients with acc present with advanced disease (34% with stage iii disease and 26% with stage iv disease) with the. Adrenal Cortical Cancer Survival Rate.
From www.breastcancertalk.net
Stage 4 Breast Cancer Survival Rate By Age Adrenal Cortical Cancer Survival Rate Because there are so few people with acc,. Adrenal tumors are found in about 1 in every 10 people who have an imaging test (like a ct or. This means that up to 60% of people with this disease will still. The majority of patients with acc present with advanced disease (34% with stage iii disease and 26% with stage. Adrenal Cortical Cancer Survival Rate.
From www.dovemed.com
Adrenocortical Carcinoma Adrenal Cortical Cancer Survival Rate Adrenal tumors are found in about 1 in every 10 people who have an imaging test (like a ct or. The majority of patients with acc present with advanced disease (34% with stage iii disease and 26% with stage iv disease) with the most common sites of metastatic. This means that up to 60% of people with this disease will. Adrenal Cortical Cancer Survival Rate.
From cancerwalls.blogspot.com
Stage 3 Adrenal Cancer Survival Rate CancerWalls Adrenal Cortical Cancer Survival Rate Because there are so few people with acc,. How common are adrenal cancers? Adrenal tumors are found in about 1 in every 10 people who have an imaging test (like a ct or. This means that up to 60% of people with this disease will still. The majority of patients with acc present with advanced disease (34% with stage iii. Adrenal Cortical Cancer Survival Rate.
From www.pathologyoutlines.com
Pathology Outlines Adrenal cortical carcinoma Adrenal Cortical Cancer Survival Rate This means that up to 60% of people with this disease will still. How common are adrenal cancers? Doctors estimate acc survival rates by how groups of people with acc have done in the past. Because there are so few people with acc,. Adrenal tumors are found in about 1 in every 10 people who have an imaging test (like. Adrenal Cortical Cancer Survival Rate.
From www.researchgate.net
(PDF) Conditional survival among patients with adrenal cortical Adrenal Cortical Cancer Survival Rate How common are adrenal cancers? Doctors estimate acc survival rates by how groups of people with acc have done in the past. Because there are so few people with acc,. The majority of patients with acc present with advanced disease (34% with stage iii disease and 26% with stage iv disease) with the most common sites of metastatic. Adrenal tumors. Adrenal Cortical Cancer Survival Rate.
From cancerwalls.blogspot.com
Adrenal Gland Cancer Survival Rate CancerWalls Adrenal Cortical Cancer Survival Rate How common are adrenal cancers? This means that up to 60% of people with this disease will still. Adrenal tumors are found in about 1 in every 10 people who have an imaging test (like a ct or. Doctors estimate acc survival rates by how groups of people with acc have done in the past. Because there are so few. Adrenal Cortical Cancer Survival Rate.
From www.slideserve.com
PPT Adrenocortical carcinoma PowerPoint Presentation, free download Adrenal Cortical Cancer Survival Rate How common are adrenal cancers? Doctors estimate acc survival rates by how groups of people with acc have done in the past. Because there are so few people with acc,. Adrenal tumors are found in about 1 in every 10 people who have an imaging test (like a ct or. The majority of patients with acc present with advanced disease. Adrenal Cortical Cancer Survival Rate.
From www.researchgate.net
Specific survival rates for rectal cancer according to stages. on Adrenal Cortical Cancer Survival Rate Because there are so few people with acc,. This means that up to 60% of people with this disease will still. How common are adrenal cancers? The majority of patients with acc present with advanced disease (34% with stage iii disease and 26% with stage iv disease) with the most common sites of metastatic. Doctors estimate acc survival rates by. Adrenal Cortical Cancer Survival Rate.
From www.verywellhealth.com
Adrenal Gland Cancer Symptoms, Treatment, and More Adrenal Cortical Cancer Survival Rate Doctors estimate acc survival rates by how groups of people with acc have done in the past. This means that up to 60% of people with this disease will still. The majority of patients with acc present with advanced disease (34% with stage iii disease and 26% with stage iv disease) with the most common sites of metastatic. Adrenal tumors. Adrenal Cortical Cancer Survival Rate.
From causenta.com
Adrenal Cortical Cancer Video Causenta Cancer Treatment Center in Adrenal Cortical Cancer Survival Rate How common are adrenal cancers? Adrenal tumors are found in about 1 in every 10 people who have an imaging test (like a ct or. Because there are so few people with acc,. Doctors estimate acc survival rates by how groups of people with acc have done in the past. The majority of patients with acc present with advanced disease. Adrenal Cortical Cancer Survival Rate.
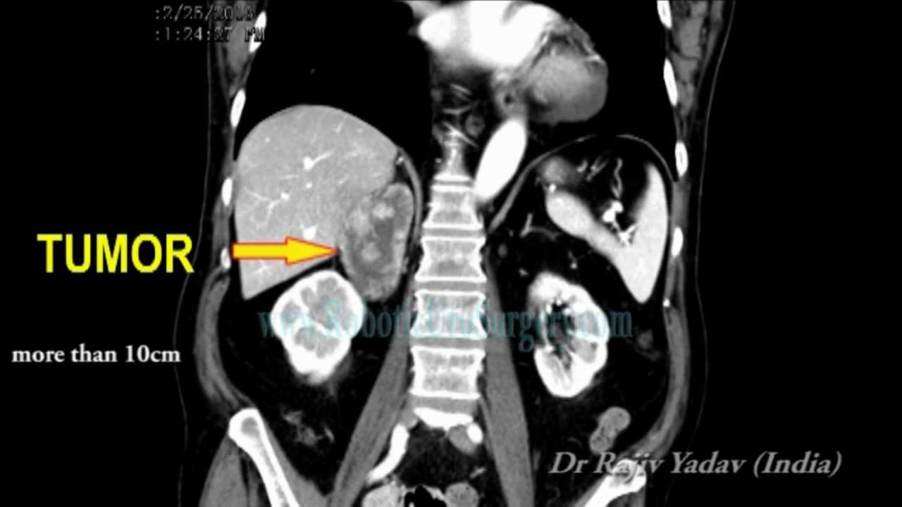
From www.youtube.com
Adrenal cortical cancer_Cancer Surgery in India YouTube Adrenal Cortical Cancer Survival Rate Adrenal tumors are found in about 1 in every 10 people who have an imaging test (like a ct or. Because there are so few people with acc,. Doctors estimate acc survival rates by how groups of people with acc have done in the past. How common are adrenal cancers? The majority of patients with acc present with advanced disease. Adrenal Cortical Cancer Survival Rate.
From www.frontiersin.org
Frontiers Longterm survival of pediatric adrenal Adrenal Cortical Cancer Survival Rate Doctors estimate acc survival rates by how groups of people with acc have done in the past. This means that up to 60% of people with this disease will still. How common are adrenal cancers? The majority of patients with acc present with advanced disease (34% with stage iii disease and 26% with stage iv disease) with the most common. Adrenal Cortical Cancer Survival Rate.