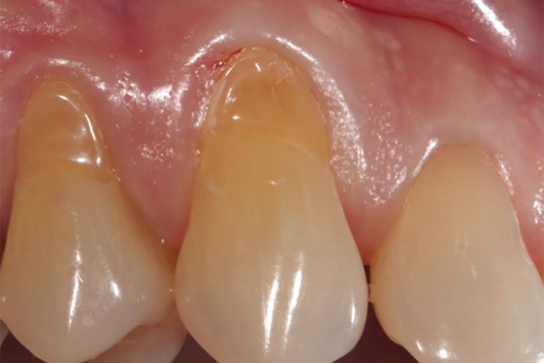
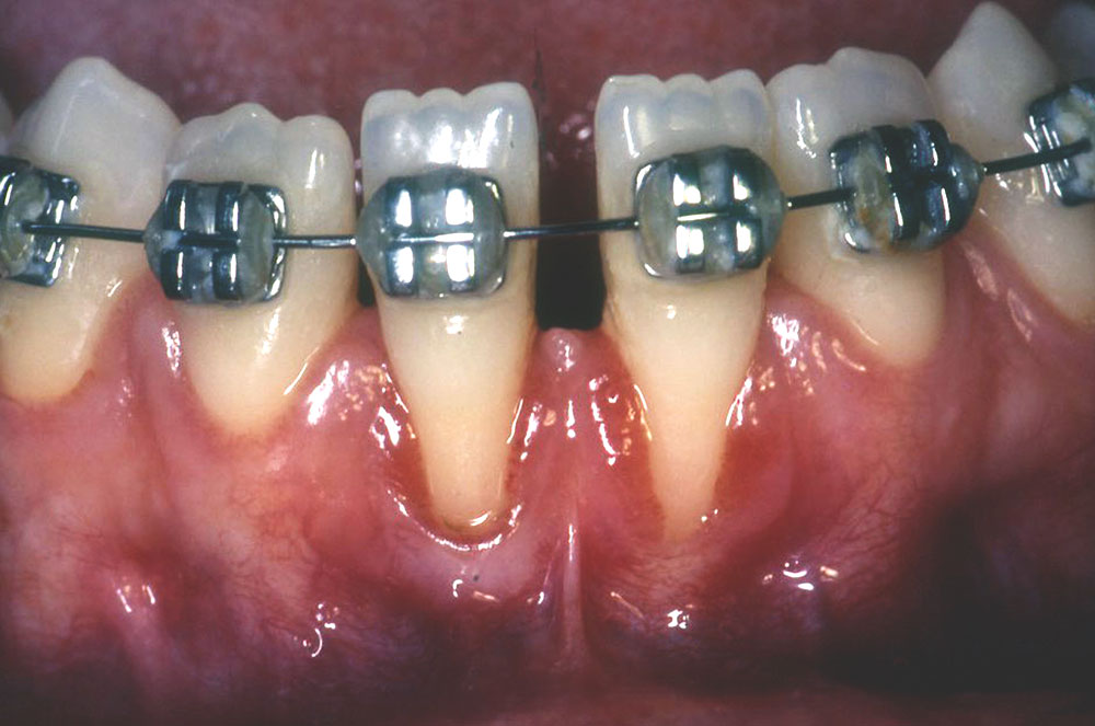
Orthodontic Gingival Recession . further randomized clinical studies including clinical examination of hygiene and gingival condition before, during and after. a thin gingival biotype, presence of previous gr, baseline width of keratinized gingiva and facial gingival. gingival recession or soft tissue recession is defined as the displacement of the gingival margin apical. isolated gingival recession may occur in as many as 30 per cent of adolescents, and lead to problems of dentine hypersensitivity,. Thin periodontal phenotype is associated with increased risk of recession during orthodontic treatment. several factors have been suggested to influence the occurrence of gingival recession following orthodontic. orthodontic therapy and gingival recession:
from www.directorioodontologico.info
isolated gingival recession may occur in as many as 30 per cent of adolescents, and lead to problems of dentine hypersensitivity,. Thin periodontal phenotype is associated with increased risk of recession during orthodontic treatment. several factors have been suggested to influence the occurrence of gingival recession following orthodontic. further randomized clinical studies including clinical examination of hygiene and gingival condition before, during and after. gingival recession or soft tissue recession is defined as the displacement of the gingival margin apical. a thin gingival biotype, presence of previous gr, baseline width of keratinized gingiva and facial gingival. orthodontic therapy and gingival recession:
GINGIVAL RECESSION its causes and types, and the importance of
Orthodontic Gingival Recession several factors have been suggested to influence the occurrence of gingival recession following orthodontic. orthodontic therapy and gingival recession: a thin gingival biotype, presence of previous gr, baseline width of keratinized gingiva and facial gingival. several factors have been suggested to influence the occurrence of gingival recession following orthodontic. isolated gingival recession may occur in as many as 30 per cent of adolescents, and lead to problems of dentine hypersensitivity,. gingival recession or soft tissue recession is defined as the displacement of the gingival margin apical. further randomized clinical studies including clinical examination of hygiene and gingival condition before, during and after. Thin periodontal phenotype is associated with increased risk of recession during orthodontic treatment.
From www.semortho.com
Management of gingival recession in the orthodontic patient Seminars Orthodontic Gingival Recession several factors have been suggested to influence the occurrence of gingival recession following orthodontic. isolated gingival recession may occur in as many as 30 per cent of adolescents, and lead to problems of dentine hypersensitivity,. further randomized clinical studies including clinical examination of hygiene and gingival condition before, during and after. Thin periodontal phenotype is associated with. Orthodontic Gingival Recession.
From luxedentalcaremd.com
Relationship Between Gingival Recession & Orthodontic Thompson Creek Orthodontic Gingival Recession orthodontic therapy and gingival recession: gingival recession or soft tissue recession is defined as the displacement of the gingival margin apical. Thin periodontal phenotype is associated with increased risk of recession during orthodontic treatment. isolated gingival recession may occur in as many as 30 per cent of adolescents, and lead to problems of dentine hypersensitivity,. several. Orthodontic Gingival Recession.
From www.youtube.com
Gum recession Treatment of gingival retraction © YouTube Orthodontic Gingival Recession several factors have been suggested to influence the occurrence of gingival recession following orthodontic. orthodontic therapy and gingival recession: isolated gingival recession may occur in as many as 30 per cent of adolescents, and lead to problems of dentine hypersensitivity,. gingival recession or soft tissue recession is defined as the displacement of the gingival margin apical.. Orthodontic Gingival Recession.
From www.researchgate.net
n the same clinical case presented in Figure 9, local gingival Orthodontic Gingival Recession orthodontic therapy and gingival recession: a thin gingival biotype, presence of previous gr, baseline width of keratinized gingiva and facial gingival. isolated gingival recession may occur in as many as 30 per cent of adolescents, and lead to problems of dentine hypersensitivity,. gingival recession or soft tissue recession is defined as the displacement of the gingival. Orthodontic Gingival Recession.
From www.gildentalclinic.com
What is the gingival recession and how to treat it? Gil Dental Clinic Orthodontic Gingival Recession several factors have been suggested to influence the occurrence of gingival recession following orthodontic. further randomized clinical studies including clinical examination of hygiene and gingival condition before, during and after. gingival recession or soft tissue recession is defined as the displacement of the gingival margin apical. a thin gingival biotype, presence of previous gr, baseline width. Orthodontic Gingival Recession.
From www.researchgate.net
(PDF) Management of Gingival Recession Associated with Orthodontic Orthodontic Gingival Recession isolated gingival recession may occur in as many as 30 per cent of adolescents, and lead to problems of dentine hypersensitivity,. Thin periodontal phenotype is associated with increased risk of recession during orthodontic treatment. several factors have been suggested to influence the occurrence of gingival recession following orthodontic. orthodontic therapy and gingival recession: gingival recession or. Orthodontic Gingival Recession.
From implant-dentist-chicago.com
Understanding Gingival Recession Implant Dentist Chicago Orthodontic Gingival Recession several factors have been suggested to influence the occurrence of gingival recession following orthodontic. isolated gingival recession may occur in as many as 30 per cent of adolescents, and lead to problems of dentine hypersensitivity,. Thin periodontal phenotype is associated with increased risk of recession during orthodontic treatment. further randomized clinical studies including clinical examination of hygiene. Orthodontic Gingival Recession.
From www.researchgate.net
a Preoperative view of gingival recession located at teeth 2126 on Orthodontic Gingival Recession further randomized clinical studies including clinical examination of hygiene and gingival condition before, during and after. orthodontic therapy and gingival recession: isolated gingival recession may occur in as many as 30 per cent of adolescents, and lead to problems of dentine hypersensitivity,. gingival recession or soft tissue recession is defined as the displacement of the gingival. Orthodontic Gingival Recession.
From www.semortho.com
Management of gingival recession in the orthodontic patient Seminars Orthodontic Gingival Recession orthodontic therapy and gingival recession: several factors have been suggested to influence the occurrence of gingival recession following orthodontic. further randomized clinical studies including clinical examination of hygiene and gingival condition before, during and after. gingival recession or soft tissue recession is defined as the displacement of the gingival margin apical. Thin periodontal phenotype is associated. Orthodontic Gingival Recession.
From bdnj.co.uk
Understanding periodontitis and the latest classification system Orthodontic Gingival Recession further randomized clinical studies including clinical examination of hygiene and gingival condition before, during and after. Thin periodontal phenotype is associated with increased risk of recession during orthodontic treatment. gingival recession or soft tissue recession is defined as the displacement of the gingival margin apical. a thin gingival biotype, presence of previous gr, baseline width of keratinized. Orthodontic Gingival Recession.
From www.australiandentalspecialists.com
Gingival Recession of Lower Incisor Case Study Australian Dental Orthodontic Gingival Recession gingival recession or soft tissue recession is defined as the displacement of the gingival margin apical. Thin periodontal phenotype is associated with increased risk of recession during orthodontic treatment. further randomized clinical studies including clinical examination of hygiene and gingival condition before, during and after. orthodontic therapy and gingival recession: several factors have been suggested to. Orthodontic Gingival Recession.
From zabolekar-ralev.com
Gingival recession (Receding gums) Ralev Dental Clinic Orthodontic Gingival Recession further randomized clinical studies including clinical examination of hygiene and gingival condition before, during and after. a thin gingival biotype, presence of previous gr, baseline width of keratinized gingiva and facial gingival. isolated gingival recession may occur in as many as 30 per cent of adolescents, and lead to problems of dentine hypersensitivity,. gingival recession or. Orthodontic Gingival Recession.
From www.istockphoto.com
Orthodontic Treatment With Gingival Recesion Stock Photo Download Orthodontic Gingival Recession Thin periodontal phenotype is associated with increased risk of recession during orthodontic treatment. further randomized clinical studies including clinical examination of hygiene and gingival condition before, during and after. a thin gingival biotype, presence of previous gr, baseline width of keratinized gingiva and facial gingival. several factors have been suggested to influence the occurrence of gingival recession. Orthodontic Gingival Recession.
From www.myzerodonto.com
Partial root coverage for Miller class III gingival recession of Orthodontic Gingival Recession gingival recession or soft tissue recession is defined as the displacement of the gingival margin apical. several factors have been suggested to influence the occurrence of gingival recession following orthodontic. isolated gingival recession may occur in as many as 30 per cent of adolescents, and lead to problems of dentine hypersensitivity,. further randomized clinical studies including. Orthodontic Gingival Recession.
From implant-stom.blogspot.com
The etiology and prevalence of gingival recession Perio and Implant Orthodontic Gingival Recession several factors have been suggested to influence the occurrence of gingival recession following orthodontic. isolated gingival recession may occur in as many as 30 per cent of adolescents, and lead to problems of dentine hypersensitivity,. gingival recession or soft tissue recession is defined as the displacement of the gingival margin apical. further randomized clinical studies including. Orthodontic Gingival Recession.
From www.todaysrdh.com
Gingival Recession When Surgical Options Should be Considered Instead Orthodontic Gingival Recession a thin gingival biotype, presence of previous gr, baseline width of keratinized gingiva and facial gingival. orthodontic therapy and gingival recession: isolated gingival recession may occur in as many as 30 per cent of adolescents, and lead to problems of dentine hypersensitivity,. further randomized clinical studies including clinical examination of hygiene and gingival condition before, during. Orthodontic Gingival Recession.
From cpd.dentistry.co.uk
Dentistry CPD Gingival recession classification Orthodontic Gingival Recession gingival recession or soft tissue recession is defined as the displacement of the gingival margin apical. Thin periodontal phenotype is associated with increased risk of recession during orthodontic treatment. a thin gingival biotype, presence of previous gr, baseline width of keratinized gingiva and facial gingival. isolated gingival recession may occur in as many as 30 per cent. Orthodontic Gingival Recession.
From www.myzerodonto.com
Gingival Recession Treatment FGG MyZerodonto Orthodontic Gingival Recession a thin gingival biotype, presence of previous gr, baseline width of keratinized gingiva and facial gingival. further randomized clinical studies including clinical examination of hygiene and gingival condition before, during and after. several factors have been suggested to influence the occurrence of gingival recession following orthodontic. orthodontic therapy and gingival recession: Thin periodontal phenotype is associated. Orthodontic Gingival Recession.
From www.myzerodonto.com
Gingival Recession Treatment FGG MyZerodonto Orthodontic Gingival Recession Thin periodontal phenotype is associated with increased risk of recession during orthodontic treatment. a thin gingival biotype, presence of previous gr, baseline width of keratinized gingiva and facial gingival. orthodontic therapy and gingival recession: isolated gingival recession may occur in as many as 30 per cent of adolescents, and lead to problems of dentine hypersensitivity,. several. Orthodontic Gingival Recession.
From www.dloralsurgery.com
Coverage of a large recession DL Oral Surgery Orthodontic Gingival Recession Thin periodontal phenotype is associated with increased risk of recession during orthodontic treatment. isolated gingival recession may occur in as many as 30 per cent of adolescents, and lead to problems of dentine hypersensitivity,. gingival recession or soft tissue recession is defined as the displacement of the gingival margin apical. orthodontic therapy and gingival recession: a. Orthodontic Gingival Recession.
From decisionsindentistry.com
Diagnosis and Treatment of Gingival Recession Decisions in Dentistry Orthodontic Gingival Recession several factors have been suggested to influence the occurrence of gingival recession following orthodontic. further randomized clinical studies including clinical examination of hygiene and gingival condition before, during and after. Thin periodontal phenotype is associated with increased risk of recession during orthodontic treatment. a thin gingival biotype, presence of previous gr, baseline width of keratinized gingiva and. Orthodontic Gingival Recession.
From www.directorioodontologico.info
GINGIVAL RECESSION its causes and types, and the importance of Orthodontic Gingival Recession isolated gingival recession may occur in as many as 30 per cent of adolescents, and lead to problems of dentine hypersensitivity,. orthodontic therapy and gingival recession: several factors have been suggested to influence the occurrence of gingival recession following orthodontic. Thin periodontal phenotype is associated with increased risk of recession during orthodontic treatment. gingival recession or. Orthodontic Gingival Recession.
From support.clearcorrect.com
Gum recession ClearCorrect Support Orthodontic Gingival Recession orthodontic therapy and gingival recession: several factors have been suggested to influence the occurrence of gingival recession following orthodontic. further randomized clinical studies including clinical examination of hygiene and gingival condition before, during and after. isolated gingival recession may occur in as many as 30 per cent of adolescents, and lead to problems of dentine hypersensitivity,.. Orthodontic Gingival Recession.
From www.slideshare.net
Gingival recession classifications Orthodontic Gingival Recession further randomized clinical studies including clinical examination of hygiene and gingival condition before, during and after. a thin gingival biotype, presence of previous gr, baseline width of keratinized gingiva and facial gingival. gingival recession or soft tissue recession is defined as the displacement of the gingival margin apical. orthodontic therapy and gingival recession: isolated gingival. Orthodontic Gingival Recession.
From www.pinterest.jp
Gingival recessions and the change of inclination of mandibular Orthodontic Gingival Recession Thin periodontal phenotype is associated with increased risk of recession during orthodontic treatment. a thin gingival biotype, presence of previous gr, baseline width of keratinized gingiva and facial gingival. orthodontic therapy and gingival recession: isolated gingival recession may occur in as many as 30 per cent of adolescents, and lead to problems of dentine hypersensitivity,. further. Orthodontic Gingival Recession.
From www.youtube.com
Treatment of Gum Recession after Orthodontic YouTube Orthodontic Gingival Recession further randomized clinical studies including clinical examination of hygiene and gingival condition before, during and after. a thin gingival biotype, presence of previous gr, baseline width of keratinized gingiva and facial gingival. several factors have been suggested to influence the occurrence of gingival recession following orthodontic. gingival recession or soft tissue recession is defined as the. Orthodontic Gingival Recession.
From www.myzerodonto.com
Gingival Recession Treatment FGG MyZerodonto Orthodontic Gingival Recession further randomized clinical studies including clinical examination of hygiene and gingival condition before, during and after. several factors have been suggested to influence the occurrence of gingival recession following orthodontic. isolated gingival recession may occur in as many as 30 per cent of adolescents, and lead to problems of dentine hypersensitivity,. orthodontic therapy and gingival recession:. Orthodontic Gingival Recession.
From www.infodentis.com
Discover the Structure of Our Teeth Orthodontic Gingival Recession gingival recession or soft tissue recession is defined as the displacement of the gingival margin apical. several factors have been suggested to influence the occurrence of gingival recession following orthodontic. further randomized clinical studies including clinical examination of hygiene and gingival condition before, during and after. isolated gingival recession may occur in as many as 30. Orthodontic Gingival Recession.
From www.jcda.ca
Unexpected Soft Tissue Changes in Response to Root Coverage Using an Orthodontic Gingival Recession a thin gingival biotype, presence of previous gr, baseline width of keratinized gingiva and facial gingival. isolated gingival recession may occur in as many as 30 per cent of adolescents, and lead to problems of dentine hypersensitivity,. several factors have been suggested to influence the occurrence of gingival recession following orthodontic. further randomized clinical studies including. Orthodontic Gingival Recession.
From www.dentistry33.com
Gingival recessions after orthodontic treatment do we have any Orthodontic Gingival Recession several factors have been suggested to influence the occurrence of gingival recession following orthodontic. gingival recession or soft tissue recession is defined as the displacement of the gingival margin apical. isolated gingival recession may occur in as many as 30 per cent of adolescents, and lead to problems of dentine hypersensitivity,. a thin gingival biotype, presence. Orthodontic Gingival Recession.
From www.mdpi.com
Applied Sciences Free FullText The Impact of Orthodontic Treatment Orthodontic Gingival Recession orthodontic therapy and gingival recession: gingival recession or soft tissue recession is defined as the displacement of the gingival margin apical. Thin periodontal phenotype is associated with increased risk of recession during orthodontic treatment. further randomized clinical studies including clinical examination of hygiene and gingival condition before, during and after. isolated gingival recession may occur in. Orthodontic Gingival Recession.
From www.sterlingridgedentistry.com
Gingival Recession Erica K. Cummings, DDS, MAGD, DABDSM General and Orthodontic Gingival Recession further randomized clinical studies including clinical examination of hygiene and gingival condition before, during and after. Thin periodontal phenotype is associated with increased risk of recession during orthodontic treatment. orthodontic therapy and gingival recession: several factors have been suggested to influence the occurrence of gingival recession following orthodontic. a thin gingival biotype, presence of previous gr,. Orthodontic Gingival Recession.
From www.researchgate.net
a Preoperative view of gingival recessions on test side. b Immediate Orthodontic Gingival Recession several factors have been suggested to influence the occurrence of gingival recession following orthodontic. further randomized clinical studies including clinical examination of hygiene and gingival condition before, during and after. isolated gingival recession may occur in as many as 30 per cent of adolescents, and lead to problems of dentine hypersensitivity,. Thin periodontal phenotype is associated with. Orthodontic Gingival Recession.
From www.archwired.com
What Is Gum Recession in Dentistry? ArchWired Orthodontic Gingival Recession gingival recession or soft tissue recession is defined as the displacement of the gingival margin apical. a thin gingival biotype, presence of previous gr, baseline width of keratinized gingiva and facial gingival. orthodontic therapy and gingival recession: isolated gingival recession may occur in as many as 30 per cent of adolescents, and lead to problems of. Orthodontic Gingival Recession.
From www.vecteezy.com
Orthodontic Treatment With Gingival Recesion 1002160 Stock Photo at Orthodontic Gingival Recession a thin gingival biotype, presence of previous gr, baseline width of keratinized gingiva and facial gingival. orthodontic therapy and gingival recession: Thin periodontal phenotype is associated with increased risk of recession during orthodontic treatment. isolated gingival recession may occur in as many as 30 per cent of adolescents, and lead to problems of dentine hypersensitivity,. further. Orthodontic Gingival Recession.